Cutaneous Metastasis from Colorectal Cancer: Making Light on an Unusual and Misdiagnosed Event
Abstract
:1. Introduction
2. Materials and Methods
Clinic-Pathologic Evaluation
3. Results
3.1. Clinical Findings
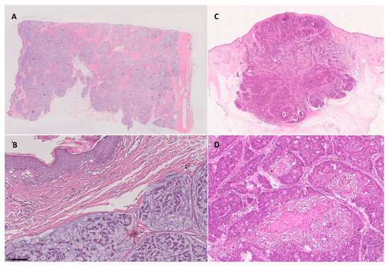
3.2. Histopathological Findings
4. Discussion
5. Conclusions
Author Contributions
Funding
Institutional Review Board Statement
Informed Consent Statement
Data Availability Statement
Acknowledgments
Conflicts of Interest
References
- Faenza, M.; Del Torto, G.; Di Costanzo, P.; Pieretti, G.; Lamberti, R.; Franco, R.; Ferraro, G.A.; Nicoletti, G.F. Large single cutaneous metastasis of colon adenocarcinoma mimicking a squamous cell carcinoma of the skin: A case report. Int. J. Surg. Case Rep. 2019, 56, 96–100. [Google Scholar] [CrossRef] [PubMed]
- Wang, D.Y.; Ye, F.; Lin, J.J.; Xu, X. Cutaneous metastasis: A rare phenomenon of colorectal cancer. Ann. Surg. Treat. Res. 2017, 93, 277–280. [Google Scholar] [CrossRef] [PubMed] [Green Version]
- Cazzato, G.; Colagrande, A.; Cimmino, A.; De Marco, A.; Romita, P.; Foti, C.; Resta, L.; Ingravallo, G. Cutaneous Metastases from Primary Liver Cancers: The Need for Knowledge and Differential Diagnosis. Life 2021, 11, 559. [Google Scholar] [CrossRef] [PubMed]
- Nambiar, S.; Karippot, A. Multiple Cutaneous Metastases as Initial Presentation in Advanced Colon Cancer. Case Rep. Gastrointest. Med. 2018, 2018, 8032905. [Google Scholar] [CrossRef] [PubMed]
- Bin Wong, C.Y.; Kalb, R.E.; Zeitouni, N.C.; Helm, M.A.; Helm, T.N. The presentation, pathology, and current management strategies of cutaneous metastasis. N. Am. J. Med. Sci. 2013, 5, 499–504. [Google Scholar] [CrossRef] [PubMed] [Green Version]
- Aravind, B.; Kumar, R.; Basnyat, P. Cutaneous metastases secondary to colorectal carcinoma may not be as ominous as previously thought: A case report and review of the literature. BMJ Case Rep. 2013, 2013, bcr2013008556. [Google Scholar] [CrossRef] [PubMed]
- World Health Organization (WHO). Classification of Digestive Tumours, 5th ed.; World Health Organization (WHO): Lyon, France, 2019. [Google Scholar]
- Amin, M.B. AJCC Cancer Staging Manual, 8th ed.; Springer: Chicago, IL, USA, 2017. [Google Scholar]
- Seyfried, T.N.; Huysentruyt, L.C. On the Origin of Cancer Metastasis. Crit. Rev. Oncog. 2013, 18, 43–73. [Google Scholar] [CrossRef] [PubMed] [Green Version]
- Krathen, R.A.; Orengo, I.F.; Rosen, T. Cutaneous Metastasis: A Meta-Analysis of Data. South. Med. J. 2003, 96, 164–167. [Google Scholar] [CrossRef] [PubMed]
- Chernoff, K.A.; Marghoob, A.A.; Lacouture, M.E.; Deng, L.; Busam, K.J.; Myskowski, P.L. Dermoscopic Findings in Cutaneous Metastases. JAMA Dermatol. 2014, 150, 429–433. [Google Scholar] [CrossRef] [PubMed] [Green Version]
- Parente, P.; Covelli, C.; Parrella, P.; Latiano, T.P.; Fiordelisi, F.; Pellico, M.T.; Maiello, E.; Graziano, P. Intestinal adenosquamous carcinoma with a synchronous skin metastasis: A immunohistochemical and molecular analysis. Int. J. Color. Dis. 2020, 35, 337–341. [Google Scholar] [CrossRef] [PubMed]
- Hashimi, Y.; Dholakia, S. Facial cutaneous metastasis of colorectal adenocarcinoma. BMJ Case Rep. 2013, 2013, bcr2013009875. [Google Scholar] [CrossRef] [PubMed] [Green Version]


| Case | Age (Years) | Gender | Tumor Location | Histotype | Grading | Pathological Stage UICC 2017 |
|---|---|---|---|---|---|---|
| 1 | 70 | Male | Left colon | Adenosquamous | G3 | pT4a pN2a |
| 2 | 41 | Male | Right colon | Signet ring; mucinous | G3 | NE |
| 3 | 60 | Male | Left colon | NOS | G3 | pT4a pN2b |
| 4 | 70 | Female | Right colon | NOS | G2 | pT3 pN0 |
| 5 | 85 | Male | Left colon | NOS | G3 | pT4a pN1b |
| 6 | 48 | Male | Right colon | NOS | G2 | pT4a pN0 |
| 7 | 76 | Female | Right colon | NOS | G2 | pT4a pN1 |
| 8 | 74 | Male | Left colon | NOS with mucinous component | NE | pT3 pN0 |
| 9 | 70 | Male | Right colon | NOS | NE | NE |
| 10 | 74 | Male | Right colon | NOS | NE | NE |
| 11 | 84 | Female | Left colon | NOS | G2 | pT3 pN0 |
| 12 | 63 | Male | Left colon | NOS | NE | NE |
| 13 | 62 | Male | Rectum | NOS | NE | NE |
| 14 | 63 | Male | Rectum | NOS | NE | pT3 pN2 |
| 15 | 69 | Female | Anus | NOS | NE | NE |
| 16 | 74 | Male | Right colon | Adenosquamous | G3 | pT4a pN2b |
| 17 | 76 | Male | Rectum | NOS | G2 | pT3 pN0 |
| 18 | 89 | Female | Right colon | NOS | G3 | pT3 pN1p M1 |
| 19 | 79 | Male | Right colon | NOS | G3 | pT4 pN1b M1 |
| 20 | 73 | Male | Sigma-rectum | NOS | G2 | pT3 N1b |
| 21 | 69 | Female | Transverse colon | NOS | G2 | pT3 N1b M1 |
| 22 | 77 | Male | Right colon | NOS | G2 | pT4a N2 |
| 23 | 80 | Male | Rectum | NOS | G3 | pT4 N0 |
| 24 | 79 | Female | Right colon | NOS | G3 | NE |
| 25 | 75 | Male | Right colon | Signet ring; mucinous | G3 | pT4 N2 M1 |
| 26 | 66 | Female | Right colon | Signet ring; mucinous | G3 | pT4 N2 |
| 27 | 83 | Male | Left colon | NOS | G3 | pT3 N1 |
| 28 | 85 | Male | Left colon | NOS | G3 | pT1 N0 |
| 29 | 83 | Female | Left colon | NOS | G2 | NE |
| Case | Macroscopy | Size (CM) | Clinical Hypothesis | Localization | Grading of Skin Metastasis (Glandular Component) | Additional Morphological Findings of Skin Metastasis [7] |
|---|---|---|---|---|---|---|
| 1 | Nodular lesion | 2 | Epithelioma | Dermo-ipodermal | G3 | Keratinizant-squamous component |
| 2 | Nodular lesion | 1.3 | Metastasis | Dermo-ipodermal | G3 | ADK; NOS |
| 3 | Nodular lesion | 3 | Metastasis | Dermo-ipodermal | G3 | Mucinous; signet ring |
| 4 | Vegetant ulcerating lesion | 8 | Metastasis | Dermo-ipodermal | G1 | ADK; NOS |
| 5 | Ipodermal cystic lesion | 2.5 | NE | Dermo-ipodermal | G3 | ADK; NOS |
| 6 | Vegetant ulcerating lesion | 1 | NE | Dermo-ipodermal | G2 | ADK; NOS |
| 7 | Nodular lesion | 2.5 | NE | Dermo-ipodermal | G2 | ADK; NOS |
| 8 | Nodular lesion | 1.3 | NE | Dermo-ipodermal | G1 | Mucinous component |
| 9 | Nodular lesion | 0.4 | NE | Dermo-ipodermal | G3 | ADK; NOS |
| 10 | Nodular lesion | 1 | Metastasis | Dermo-ipodermal | G1 | Mucinous component |
| 11 | Nodular lesion | 0.7 | Metastasis | Dermal | G2 | ADK; NOS |
| 12 | Nodular lesion | 0.6 | Metastasis | Dermo-ipodermal | G2 | ADK; NOS |
| 13 | Nodular lesion | 1.5 | Metastasis | Dermo-ipodermal | G1 | ADK; NOS |
| 14 | Nodular ulcerating lesion | 2.5 | Metastasis | Dermo-ipodermal | G1 | ADK; NOS |
| 15 | Nodular lesion | 8 | Metastasis | Dermo-ipodermal | G3 | Mucinous component |
| 16 | Nodular lesion | 5 | Metastasis | Dermo-ipodermal | G3 | ADK; NOS |
| 17 | Nodular lesion | 2.7 | Metastasis | Dermo-ipodermal | G2 | Nonkeratinizant squamous component |
| 18 | Nodular lesion | 0.8 | Adnexal tumor | Dermo-ipodermal | G3 | ADK; NOS |
| 19 | Nodular lesion | 1.5 | Sebaceous cist | Dermal | G3 | ADK; NOS |
| 20 | Nodular lesion | 1 | Metastasis | Dermo-ipodermal | G2 | ADK; NOS |
| 21 | Nodular lesion | 2 | Metastasis | Dermo-ipodermal | G1 | ADK; NOS |
| 22 | Nodular lesion | 5 | Metastasis | Dermo-ipodermal | G2 | ADK; NOS |
| 23 | Nodular lesion | 2.2 | Metastasis | Dermo-ipodermal | G3 | ADK; NOS |
| 24 | Nodular ulcerating lesion | 1 | Epithelioma | Dermo-ipodermal | G3 | ADK; NOS |
| 25 | Nodular lesion | 1.5 | Metastasis | Dermo-ipodermal | NV | Mucinous |
| 26 | Nodular lesion | 1 | Metastasis | Dermo-ipodermal | G3 | Mucinous |
| 27 | Nodular lesion | 2.5 | Metastasis | Dermo-ipodermal | G3 | ADK; NOS |
| 28 | Vegetant ulcerating lesion | 2 | Metastasis | Dermo-ipodermal | G3 | ADK; NOS |
| 29 | Nodular lesion | 3 | Metastasis | Dermo-ipodermal | G2 | ADK; NOS |
| Localization | Synchronous to CRC | Metachronous to CRC | Total |
|---|---|---|---|
| Abdomen | 8 | 5 | 13 |
| Thorax | 4 | 2 | 6 |
| Facial Skin | 2 | 3 | 5 |
| Pelvis | 0 | 4 | 4 |
| Arm | 1 | 0 | 1 |
| 15 | 14 | 29 |
| Localization | Synchronous to VM | Onset before to VM | Metachronous to VM | Total |
|---|---|---|---|---|
| Abdomen | 2 | 1 | 2 | 5 |
| Thorax | 2 | 1 | 2 | 5 |
| Facial Skin | 0 | 1 | 1 | 2 |
| Pelvis | 2 | 0 | 0 | 2 |
| Arm | 1 | 0 | 0 | 1 |
| 7 | 3 | 5 | 15 |
| Case | Primary Tumor Hystotype According to WHO 2019 | Additional Morphological Findings of Skin Metastasis |
|---|---|---|
| 1 | ADS | Keratinizant squamous component |
| 2 | Signet ring; mucinous | ADK, NOS |
| 3 | Mucinous | Mucinous-signet ring |
| 4 | NOS | ADK, NOS |
| 5 | NOS | ADK, NOS |
| 6 | NOS | ADK, NOS |
| 7 | NOS with mucinous component | Mucinous component |
| 8 | NOS | ADK, NOS |
| 9 | NOS | ADK, NOS |
| 10 | NOS | Mucinous component |
| 11 | NOS | ADK, NOS |
| 12 | NOS | ADK, NOS |
| 13 | NOS | ADK, NOS |
| 14 | NOS | Mucinous component |
| 15 | NOS | ADK, NOS |
| 16 | ADS | Nonkeratinizant squamous component |
| 17 | NOS | ADK, NOS |
| 18 | NOS | ADK, NOS |
| 19 | NOS | ADK, NOS |
| 20 | NOS | ADK, NOS |
| 21 | NOS | ADK, NOS |
| 22 | NOS | ADK, NOS |
| 23 | NOS | ADK, NOS |
| 24 | NOS | ADK, NOS |
| 25 | Signet ring; mucinous | Mucinous component |
| 26 | Signet ring; mucinous | Mucinous component |
| 27 | NOS | ADK, NOS |
| 28 | NOS | ADK, NOS |
| 29 | NOS | ADK, NOS |
Publisher’s Note: MDPI stays neutral with regard to jurisdictional claims in published maps and institutional affiliations. |
© 2021 by the authors. Licensee MDPI, Basel, Switzerland. This article is an open access article distributed under the terms and conditions of the Creative Commons Attribution (CC BY) license (https://creativecommons.org/licenses/by/4.0/).
Share and Cite
Parente, P.; Ciardiello, D.; Reggiani Bonetti, L.; Famiglietti, V.; Cazzato, G.; Caramaschi, S.; Attino, V.; Urbano, D.; Di Maggio, G.; Ingravallo, G. Cutaneous Metastasis from Colorectal Cancer: Making Light on an Unusual and Misdiagnosed Event. Life 2021, 11, 954. https://doi.org/10.3390/life11090954
Parente P, Ciardiello D, Reggiani Bonetti L, Famiglietti V, Cazzato G, Caramaschi S, Attino V, Urbano D, Di Maggio G, Ingravallo G. Cutaneous Metastasis from Colorectal Cancer: Making Light on an Unusual and Misdiagnosed Event. Life. 2021; 11(9):954. https://doi.org/10.3390/life11090954
Chicago/Turabian StyleParente, Paola, Davide Ciardiello, Luca Reggiani Bonetti, Vincenzo Famiglietti, Gerardo Cazzato, Stefania Caramaschi, Vito Attino, Diego Urbano, Giuseppe Di Maggio, and Giuseppe Ingravallo. 2021. "Cutaneous Metastasis from Colorectal Cancer: Making Light on an Unusual and Misdiagnosed Event" Life 11, no. 9: 954. https://doi.org/10.3390/life11090954
APA StyleParente, P., Ciardiello, D., Reggiani Bonetti, L., Famiglietti, V., Cazzato, G., Caramaschi, S., Attino, V., Urbano, D., Di Maggio, G., & Ingravallo, G. (2021). Cutaneous Metastasis from Colorectal Cancer: Making Light on an Unusual and Misdiagnosed Event. Life, 11(9), 954. https://doi.org/10.3390/life11090954

