Cutaneous Localization of Classic Hodgkin Lymphoma Associated with Mycosis Fungoides: Report of a Rare Event and Review of the Literature
Abstract
:1. Introduction
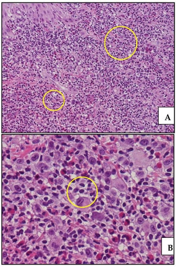
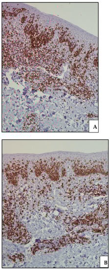
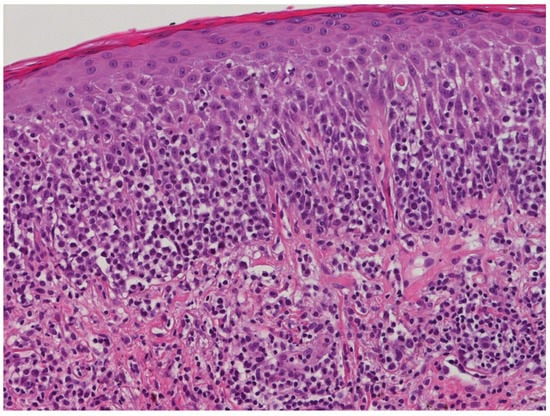
2. Case Presentation
3. Literature Review: Methods and Results
4. Discussion
5. Conclusions
Supplementary Materials
Author Contributions
Funding
Institutional Review Board Statement
Informed Consent Statement
Data Availability Statement
Conflicts of Interest
References
- WHO Classification of Tumours Editorial Board (Ed.) WHO Classification of Tumours Haematopoietic and Lymphoid Tissues, Revised 4th ed.; IARC: Lyon, France, 2017. [Google Scholar]
- Parente, P.; Zanelli, M.; Sanguedolce, F.; Mastracci, L.; Graziano, P. Hodgkin Reed-Sternberg-like cells in non-Hodgkin lymphoma. Diagnostics 2020, 10, 1019. [Google Scholar] [CrossRef]
- Connors, J.M. Clinical manifestations and natural history of Hodgkin lymphoma. Cancer J. 2009, 15, 124–128. [Google Scholar] [CrossRef] [Green Version]
- Zanelli, M.; Mengoli, M.C.; Valli, R.; Froio, E.; Bisagni, A.; Zizzo, M.; De Marco, L.; Ascani, S. Primary classic Hodgkin lymphoma of the ileum and Epstein-Barr virus mucocutaneous ulcer of the colon: Two entities compared. Virchows Archiv. 2019, 474, 117–123. [Google Scholar] [CrossRef]
- Parente, P.; Zanelli, M.; Zizzo, M.; Carosi, I.; Di Candia, L.; Sperandeo, M.; Lacedonia, D.; Fesce, V.F.; Ascani, S.; Graziano, P. Primary pulmonary Hodgkin lymphoma presenting as multiple cystic lung lesions: Diagnostic usefulness of cell block. Cytopathology 2020, 31, 236–239. [Google Scholar] [CrossRef]
- Smith, J.L.; Butler, J.J. Skin involvement in Hodgkin’s disease. Cancer 1980, 45, 354–361. [Google Scholar] [CrossRef]
- Introcaso, C.E.; Kantor, J.; Porter, D.L.; Junkins-Hopkins, J.M. Cutaneous Hodgkin’s disease. J. Am. Acad. Dermatol. 2008, 58, 295–298. [Google Scholar] [CrossRef]
- Massaro, F.; Ferrari, A.; Zendri, E.; Zanelli, M.; Merli, F. Atypical cutaneous lesions in advanced-stage Hodgkin lymphoma: A case report. World J. Clin. Cases 2019, 7, 2513–2518. [Google Scholar] [CrossRef] [PubMed]
- Pagliaro, J.A.; White, S.-I. Specific skin lesions occurring in a patient with Hodgkin’s lymphoma. Australas. J. Dermatol. 1999, 40, 41–43. [Google Scholar] [CrossRef] [PubMed]
- Pranteda, G.; Osti, M.F.; Cox, M.C.; Cacchi, C.; Carlesimo, M.; Grimaldi, M.; Fidanza, L.; Bartolazzi, A. Primary cutaneous Hodgkin lymphoma. J. Am. Acad. Dermatol. 2010, 63, e52–e53. [Google Scholar] [CrossRef] [PubMed]
- Dojcinov, S.D.; Venkataraman, G.; Raffeld, M.; Pittaluga, S.; Jaffe, E.S. EBV positive mucocutaneous ulcer. A study of 26 cases associated with various sources of immunosuppression. Am. J. Surg. Pathol. 2010, 34, 405–417. [Google Scholar] [CrossRef]
- Zanelli, M.; Zizzo, M.; Foroni, M.; De Marco, L.; Martino, G.; Ascani, S. EBV-positive mucocutaneous ulcer within colonic diverticulitis mimicking diffuse large B-cell lymphoma. Ann. Hematol. 2019, 98, 1795–1797. [Google Scholar] [CrossRef] [PubMed]
- Willemze, R.; Cerroni, L.; Kempf, W.; Berti, E.; Facchetti, F.; Swerdlow, S.H.; Jaffe, E.S. The 2018 update of the WHO-EORTC classification for primary cutaneous lymphomas. Blood 2019, 133, 1703–1714. [Google Scholar] [CrossRef] [PubMed]
- Cerroni, L. Skin Lymphoma: The Illustrated Guide, 5th ed.; Wiley-Backwell: Hoboken, NJ, USA, 2020. [Google Scholar]
- Huang, K.P.; Weinstock, M.A.; Clarke, C.A.; McMillan, A.; Hoppe, R.T.; Kim, Y.H. Second lymphomas and other malignant neoplasms in patients with mycosis fungoides and Sezary syndrome: Evidence from population-based and clinical cohort. Arch. Dermatol. 2007, 143, 45–50. [Google Scholar] [CrossRef] [PubMed] [Green Version]
- Barzilai, A.; Trau, H.; David, M.; Feinmesser, M.; Bergman, R.; Shpiro, D.; Rosenblatt, K.; Or, R.; Hodak, E. Mycosis fungoides associated with B-cell malignancies. Br. J. Dermatol. 2006, 155, 379–386. [Google Scholar] [CrossRef]
- Souquet, P.J.; Maudult, G.; Coiffer, B.; Thivolet, J. Association of mycosis fungoides and Hodgkin’s disease. Ann. Dermatol. Venereol. 1984, 111, 981–986. [Google Scholar]
- Goyal, A.; O’Leary, D.; Goyal, K.; Patel, K.; Pearson, D.; Janakiram, M. Cutaneous T-cell lymphoma is associated with increased risk of lymphoma, melanoma, lung cancer, and bladder cancer: A systematic review and meta-analysis. J. Am. Acad. Dermatol. 2020. Available online: https://www.sciencedirect.com/science/article/abs/pii/S0190962220324 (accessed on 8 October 2021). [CrossRef]
- Park, C.S.; Chung, H.C.; Lim, H.Y.; Kim, D.L.; Koh, E.H.; Kim, J.H.; Roh, J.K.; Chun, S.I.; Yang, W.I.; Kim, G.E.; et al. Coexisting mycosis fungoides and Hodgkin’s disease as a composite lymphoma: A case report. Yonsei Med. J. 1991, 32, 362–369. [Google Scholar] [CrossRef]
- Kumar, V.; Garg, M.; Chandra, A.B.; Mayorga, V.S.; Ahmed, S.; Ailawadhi, S. Trends in the risk of secondary cancers in patients with Hodgkin lymphoma. Clin. Lymphoma Myeloma Leuk. 2018, 18, 576–589. [Google Scholar] [CrossRef]
- Ng, A.K.; Bernardo, M.V.; Weller, E.; Backstrand, K.; Silver, B.; Marcus, K.C. Second malignancy after Hodgkin disease treated with radiation therapy with or without chemotherapy: Long-term risks and risk factors. Blood 2002, 100, 1989–1996. [Google Scholar] [CrossRef] [Green Version]
- Caya, J.G.; Chol, H.; Tieu, T.M.; Wollenberg, N.J.; Almagro, U.A. Hodgkin’s disease followed by mycosis fungoides in the same patient. Case report and literature review. Cancer 1984, 53, 463–467. [Google Scholar] [CrossRef]
- Molgò, M.; Espinoza-Benavides, L.; Rojas, P.; Gonzales, S. Mycosis fungoides, lymphomatoid papulosis and Hodgkin’s lymphoma in the same patient; apropos of a possible monoclonal origin. Indian J. Dermatol. 2020, 65, 57–60. [Google Scholar]
- Miyagashi, T.; Sugaya, M.; Minatani, Y.; Fujita, H.; Hangaishi, A.; Kurokawa, M.; Takazawa, Y.; Tamaki, K. Mycosis Fungoides with Recurrent Hodgkin’s Lymphoma and Diffuse Large B-cell Lymphoma. Acta Derm. Venereol. 2009, 89, 421–422. [Google Scholar]
- Geldenhuys, L.; Radhi, J.; Hull, P.R. Mycosis fungoides and cutaneous Hodgkin’s disease in the same patient: A case report. J. Cutan. Pathol. 1999, 26, 311–314. [Google Scholar] [CrossRef] [PubMed]
- Chen, Y.; Nong, L.; Li, X.; Wang, Y. Cutaneous composite lymphoma of mycosis fungoides and Hodgkin lymphoma: Response to sequential therapy. J. Cutan. Pathol. 2020, 47, 829–833. [Google Scholar] [CrossRef] [PubMed]
- Kirsch, I.R.; Watanabe, R.; O’Malley, J.T.; Williamson, D.W.; Scott, L.L.; Elco, C.P.; Teague, J.E.; Gehad, A.; Lowry, E.L.; LeBoeuf, N.R.; et al. TCR sequencing facilitates diagnosis and identifies mature T cells as the cell of origin in CTCL. Sci. Transl. Med. 2015, 7, 308ra158. [Google Scholar] [CrossRef] [PubMed] [Green Version]
- Zanelli, M.; Mengoli, M.C.; Del Sordo, R.; Cagini, A.; De Marco, L.; Simonetti, E.; Martino, G.; Zizzo, M.; Ascani, S. Intravascular NK/T-cell lymphoma, Epstein-Barr virus positive with multiorgan involvement: A clinical dilemma. BMC Cancer 2018, 18, 1115. [Google Scholar] [CrossRef]
- Zanelli, M.; Zizzo, M.; Martino, G.; Sanguedolce, F.; Ascani, S. Erythematous cutaneous macules: An uncommon, challenging presentation of T-lymphoblastic lymphoma. Eur. J. Dermatol. 2020, 30, 318–320. [Google Scholar] [PubMed]
- Davis, T.H.; Morton, C.C.; Miller-Cassman, R.; Balk, S.P.; Kadin, M.E. Hodgkin’s disease, lymphomatoid papulosis, and cutaneous T-cell lymphoma derived from a common T-cell clone. N. Engl. J. Med. 1992, 326, 1115–1122. [Google Scholar] [CrossRef] [PubMed]
- Kremer, M.; Sandherr, M.; Geist, B.; Cabras, A.D.; Hofler, H.; Fend, F. Epstein-Barr virus-negative Hodgkin’s lymphoma after mycosis fungoides: Molecular evidence for distinct clonal origin. Mod. Pathol. 2001, 14, 91–97. [Google Scholar] [CrossRef]






Publisher’s Note: MDPI stays neutral with regard to jurisdictional claims in published maps and institutional affiliations. |
© 2021 by the authors. Licensee MDPI, Basel, Switzerland. This article is an open access article distributed under the terms and conditions of the Creative Commons Attribution (CC BY) license (https://creativecommons.org/licenses/by/4.0/).
Share and Cite
Zanelli, M.; Ricci, S.; Sanguedolce, F.; Palicelli, A.; Farnetti, E.; Tafuni, A.; Zizzo, M.; Valli, R.; Celis, M.I.A.D.; Cavazza, A.; et al. Cutaneous Localization of Classic Hodgkin Lymphoma Associated with Mycosis Fungoides: Report of a Rare Event and Review of the Literature. Life 2021, 11, 1069. https://doi.org/10.3390/life11101069
Zanelli M, Ricci S, Sanguedolce F, Palicelli A, Farnetti E, Tafuni A, Zizzo M, Valli R, Celis MIAD, Cavazza A, et al. Cutaneous Localization of Classic Hodgkin Lymphoma Associated with Mycosis Fungoides: Report of a Rare Event and Review of the Literature. Life. 2021; 11(10):1069. https://doi.org/10.3390/life11101069
Chicago/Turabian StyleZanelli, Magda, Stefano Ricci, Francesca Sanguedolce, Andrea Palicelli, Enrico Farnetti, Alessandro Tafuni, Maurizio Zizzo, Riccardo Valli, Maria Isabel Alvarez De Celis, Alberto Cavazza, and et al. 2021. "Cutaneous Localization of Classic Hodgkin Lymphoma Associated with Mycosis Fungoides: Report of a Rare Event and Review of the Literature" Life 11, no. 10: 1069. https://doi.org/10.3390/life11101069
APA StyleZanelli, M., Ricci, S., Sanguedolce, F., Palicelli, A., Farnetti, E., Tafuni, A., Zizzo, M., Valli, R., Celis, M. I. A. D., Cavazza, A., Longo, C., & Ascani, S. (2021). Cutaneous Localization of Classic Hodgkin Lymphoma Associated with Mycosis Fungoides: Report of a Rare Event and Review of the Literature. Life, 11(10), 1069. https://doi.org/10.3390/life11101069

