CDH1 Germline Variants in a Tunisian Cohort with Hereditary Diffuse Gastric Carcinoma
Abstract
1. Introduction
2. Materials and Methods
2.1. Study Population
2.2. Molecular Analysis
2.2.1. DNA Isolation
2.2.2. Primer Design
2.3. Genetic Analysis of CDH1 and CTNNA1 Genes
2.4. Search for Large Deletions/Duplications of the CDH1 Gene Using Multiplex Ligation-Dependent Probe Amplification (MLPA) Assay
2.5. In Silico Prediction Tools
2.6. Molecular Modeling Strategy
2.7. Immunohistochemistry
3. Results
3.1. Characteristics of the Study Population
3.2. Molecular Analysis of CDH1 Gene
3.2.1. CDH1 Genetic Testing
3.2.2. Screening of Large Deletions/Duplications in the CDH1 Gene Using Multiplex Ligation-Dependent Probe Amplification (MLPA) Assay
3.2.3. Molecular Modeling
3.3. Molecular Analysis of CTNNA1 Gene
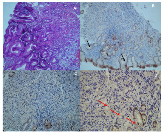
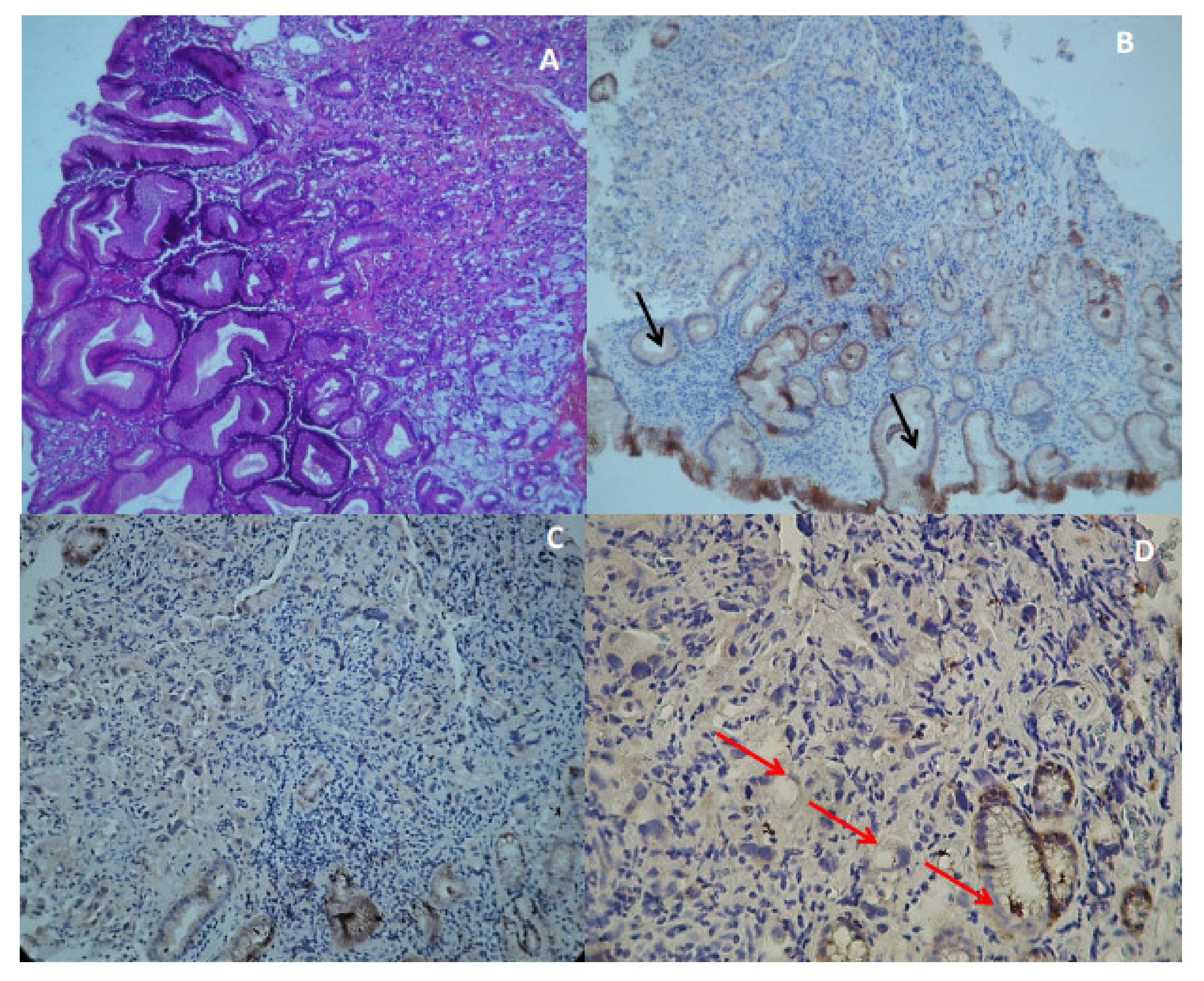
3.4. Immunohistochemistry
4. Discussion
5. Conclusions
Supplementary Materials
Author Contributions
Funding
Institutional Review Board Statement
Informed Consent Statement
Data Availability Statement
Acknowledgments
Conflicts of Interest
Abbreviations
| HDGC | Hereditary Diffuse Gastric Carcinoma |
| HGC | Hereditary Gastric Carcinoma |
| MLPA | Multiplex Ligation Probe Amplification |
| IHC | Immunohistochemistry |
| GC/DGC | Gastric Carcinoma/Diffuse Gastric Carcinoma |
| FIGC | Familial Intestinal Gastric Cancer |
| DR | Dosage Ratio |
| BC/LBC | Breast Cancer/Lobular Breast Cancer |
| IGCLC | International Gastric Cancer Linkage Consortium |
| gDNA | Genomic DNA |
| sDNA | Somatic DNA |
| IRB | Institutional Review Board |
| ACMG | American College of Medical Genetics and Genomics |
| HP | Helicobacter Pylori |
| PDB | Protein Data Bank |
| SSF | Splice Site Finder-Like |
| ThSe | Sensitivity Threshold |
| ThSp | Specificity Threshold |
| FFPE | Formalin-Fixed Paraffin-Embedded |
| CCR | Colorectal Cancer |
| 5′UTR | 5′ Untranslated Region |
| B/LB | Benign/Likely Benign |
| VUS | Variant of Uncertain Significance |
| NR | Not Reported |
| NI | Not Indicated |
| ARM | Armadillo |
| JMD core | Juxta-Membrane Domain Core region |
| RMSF | Root Mean Square Fluctuation |
| RMSD | Root Mean Square Deviation |
| PM1/PM2 | Moderate |
| PP2/PP3/PP4 | Supporting |
References
- Bray, F.; Ferlay, J.; Soerjomataram, I.; Siegel, R.L.; Torre, L.A.; Jemal, A. Global cancer statistics 2018: GLOBOCAN estimates of incidence and mortality worldwide for 36 cancers in 185 countries. CA Cancer J. Clin. 2018, 68, 394–424. [Google Scholar] [CrossRef]
- Rawla, P.; Barsouk, A. Epidemiology of gastric cancer: Global trends, risk factors and prevention. Gastroenterol. Rev. 2019, 14, 26–38. [Google Scholar] [CrossRef] [PubMed]
- Van Cutsem, E.; Sagaert, X.; Topal, B.; Haustermans, K.; Prenen, H. Gastric cancer. Lancet 2016, 388, 2654–2664. [Google Scholar] [CrossRef]
- Karimi, P.; Islami, F.; Anandasabapathy, S.; Freedman, N.D.; Kamangar, F. Gastric Cancer: Descriptive Epidemiology, Risk Factors, Screening, and Prevention. Cancer Epidemiol. Biomark. Prev. 2014, 23, 700–713. [Google Scholar] [CrossRef] [PubMed]
- Kelley, J.R.; Duggan, J.M. Gastric cancer epidemiology and risk factors. J. Clin. Epidemiol. 2003, 56, 1–9. [Google Scholar] [CrossRef]
- Asombang, A.W. Gastric cancer in Africa: Current management and outcomes. World J. Gastroenterol. 2014, 20, 3875. [Google Scholar] [CrossRef]
- Crew, K.D.; Neugut, A.I. Epidemiology of gastric cancer. World J. Gastroenterol. 2006, 12, 354–362. [Google Scholar] [CrossRef]
- Lauren, P. The Two Histological Main Types of Gastric Carcinoma: Diffuse and so-Called in-Testinal-Type Carcinoma. An Attempt at a Histo-Clinical Classification. Acta Pathol. Microbiol. Scand. 1965, 64, 31–49. [Google Scholar] [CrossRef]
- Laurén, P.A.; Nevalainen, T.J. Epidemiology of intestinal and diffuse types of gastric carcinoma a time-trend study in finland with comparison between studies from high-and low-risk areas. Cancer 1993, 71, 2926–2933. [Google Scholar] [CrossRef]
- Ma, J.; Shen, H.; Kapesa, L.; Zeng, S. Lauren classification and individualized chemotherapy in gastric cancer. Oncol. Lett. 2016, 11, 2959–2964. [Google Scholar] [CrossRef]
- Guilford, P.; Hopkins, J.; Harraway, J.; McLeod, M.; McLeod, N.; Harawira, P.; Taite, H.; Scoular, R.; Miller, A.C.; Reeve, A.E. E-cadherin germline mutations in familial gastric cancer. Nature 1998, 392, 402–405. [Google Scholar] [CrossRef] [PubMed]
- Oliveira, C.; Pinheiro, H.; Figueiredo, J.; Seruca, R.; Carneiro, F. Familial gastric cancer: Genetic susceptibility, pathology, and implications for management. Lancet Oncol. 2015, 16, e60–e70. [Google Scholar] [CrossRef]
- Park, J.-G.; Yang, H.-K.; Kim, W.H.; Caldas, C.; Yokota, J.; Guilford, P.J. Report on the First Meeting of the International Collaborative Group on Hereditary Gastric Cancer. JNCI J. Natl. Cancer Inst. 2000, 92, 1781–1782. [Google Scholar] [CrossRef] [PubMed][Green Version]
- Van der Post, R.S.; Vogelaar, I.P.; Carneiro, F.; Guilford, P.; Huntsman, D.; Hoogerbrugge, N.; Caldas, C.; Schreiber, K.E.C.; Hardwick, R.H.; Ausems, M.G.E.M.; et al. Hereditary diffuse gastric cancer: Updated clinical guidelines with an emphasis on germline CDH1 mutation carriers. J. Med. Genet. 2015, 52, 361–374. [Google Scholar] [CrossRef]
- Hansford, S.; Kaurah, P.; Li-Chang, H.; Woo, M.; Senz, J.; Pinheiro, H.; Schrader, K.A.; Schaeffer, D.F.; Shumansky, K.; Zogopoulos, G.; et al. Hereditary Diffuse Gastric Cancer Syndrome: CDH1 Mutations and Beyond. JAMA Oncol. 2015, 1, 23–32. [Google Scholar] [CrossRef]
- Seevaratnam, R.; Coburn, N.; Cardoso, R.; Dixon, M.; Bocicariu, A.; Helyer, L. A systematic review of the indications for genetic testing and prophylactic gastrectomy among patients with hereditary diffuse gastric cancer. Gastric Cancer 2011, 15, 153–163. [Google Scholar] [CrossRef]
- Stemmler, M.P. Cadherins in development and cancer. Mol. Biosyst. 2008, 4, 835–850. [Google Scholar] [CrossRef]
- Van Roy, F.; Berx, G. The cell-cell adhesion molecule E-cadherin. Cell Mol. Life Sci. 2008, 65, 3756–3788. [Google Scholar] [CrossRef]
- Majewski, I.; Kluijt, I.; Cats, A.; Scerri, T.S.; De Jong, D.; Kluin, R.J.C.; Hansford, S.; Hogervorst, F.B.L.; Bosma, A.J.; Hofland, I.; et al. An α-E-catenin (CTNNA1) mutation in hereditary diffuse gastric cancer. J. Pathol. 2013, 229, 621–629. [Google Scholar] [CrossRef]
- Lacroix, L.; Pautier, P.; Duvillard, P.; Motté, N.; Saulnier, P.; Bidart, J.-M.; Soria, J.-C. Response of ovarian carcinomas to gefitinib-carboplatin-paclitaxel combination is not associated with EGFR kinase domain somatic mutations. Int. J. Cancer 2006, 118, 1068–1069. [Google Scholar] [CrossRef]
- Cordoni, G.; Woodward, M.J.; Wu, H.; Alanazi, M.; Wallis, T.; La Ragione, R.M. Comparative genomics of European avian pathogenic E. Coli (APEC). BMC Genom. 2016, 17, 960. [Google Scholar] [CrossRef] [PubMed]
- Den Dunnen, J.T.; Dalgleish, R.; Maglott, D.R.; Hart, R.K.; Greenblatt, M.S.; McGowan-Jordan, J.; Roux, A.F.; Smith, T.; Antonarakis, S.E.; Taschner, P.E.M.; et al. HGVS Recommendations for the Description of Sequence Variants: 2016 Update. Hum. Mutat. 2016, 37, 564–569. [Google Scholar] [CrossRef] [PubMed]
- Lee, K.; Krempely, K.; Roberts, M.E.; Anderson, M.J.; Carneiro, F.; Chao, E.; Dixon, K.; Figueiredo, J.; Ghosh, R.; Huntsman, D.; et al. Specifications of the ACMG/AMP variant curation guidelines for the analysis of germline CDH1 sequence variants. Hum. Mutat. 2018, 39, 1553–1568. [Google Scholar] [CrossRef] [PubMed]
- Richards, S.; Aziz, N.; Bale, S.; Bick, D.; Das, S.; Gastier-Foster, J.; Grody, W.W.; Hegde, M.; Lyon, E.; Spector, E.; et al. Standards and guidelines for the interpretation of sequence variants: A joint consensus recommendation of the American College of Medical Genetics and Genomics and the Association for Molecular Pathology. Genet. Med. 2015, 17, 405–423. [Google Scholar] [CrossRef] [PubMed]
- Leman, R.; Gaildrat, P.; Le Gac, G.; Ka, C.; Fichou, Y.; Audrezet, M.-P.; Caux-Moncoutier, V.; Caputo, S.M.; Boutry-Kryza, N.; Léone, M.; et al. Novel diagnostic tool for prediction of variant spliceogenicity derived from a set of 395 combined in silico/in vitro studies: An international collaborative effort. Nucleic Acids Res. 2018, 46, 7913–7923. [Google Scholar] [CrossRef] [PubMed]
- Šali, A.; Blundell, T.L. Comparative Protein Modelling by Satisfaction of Spatial Restraints. J. Mol. Biol. 1993, 234, 779–815. [Google Scholar] [CrossRef]
- Raveh, B.; London, N.; Schueler-Furman, O. Sub-angstrom modeling of complexes between flexible peptides and globular proteins. Proteins Struct. Funct. Bioinform. 2010, 78, 2029–2040. [Google Scholar] [CrossRef] [PubMed]
- Kortemme, T.; Kim, D.E.; Baker, D. Computational Alanine Scanning of Protein-Protein Interfaces. Sci. STKE 2004, 2004, pl2. [Google Scholar] [CrossRef]
- McGibbon, R.T.; Beauchamp, K.A.; Harrigan, M.; Klein, C.; Swails, J.M.; Hernández, C.X.; Schwantes, C.R.; Wang, L.-P.; Lane, T.; Pande, V.S. MDTraj: A Modern Open Library for the Analysis of Molecular Dynamics Trajectories. Biophys. J. 2015, 109, 1528–1532. [Google Scholar] [CrossRef]
- Schouten, J.P.; McElgunn, C.J.; Waaijer, R.; Zwijnenburg, D.; Diepvens, F.; Pals, G. Relative quantification of 40 nucleic acid sequences by multiplex ligation-dependent probe amplification. Nucleic Acids Res. 2002, 30, e57. [Google Scholar] [CrossRef]
- Ishiyama, N.; Lee, S.-H.; Liu, S.; Li, G.-Y.; Smith, M.J.; Reichardt, L.F.; Ikura, M. Dynamic and Static Interactions between p120 Catenin and E-Cadherin Regulate the Stability of Cell-Cell Adhesion. Cell 2010, 141, 117–128. [Google Scholar] [CrossRef] [PubMed]
- Katona, B.W.; Clark, D.F.; Domchek, S.M. CDH1 on Multigene Panel Testing: Look Before You Leap. JNCI J. Natl. Cancer Inst. 2019, 112, 330–334. [Google Scholar] [CrossRef] [PubMed]
- Huynh, J.M.; Laukaitis, C.M. Panel testing reveals nonsense and missense CDH 1 mutations in families without hereditary diffuse gastric cancer. Mol. Genet. Genom. Med. 2016, 4, 232–236. [Google Scholar] [CrossRef]
- Lowstuter, K.; Espenschied, C.R.; Sturgeon, D.; Ricker, C.; Karam, R.; LaDuca, H.; Culver, J.O.; Dolinsky, J.S.; Chao, E.; Sturgeon, J.; et al. Unexpected CDH1 Mutations Identified on Multigene Panels Pose Clinical Management Challenges. JCO Precis. Oncol. 2017, 1, 1–12. [Google Scholar] [CrossRef] [PubMed]
- Benusiglio, P.R.; Colas, C.; Rouleau, E.; Uhrhammer, N.; Romero, P.; Remenieras, A.; Moretta, A.; Wang, Q.; De Pauw, A.; Buecher, B.; et al. Hereditary diffuse gastric cancer syn-drome: Improved performances of the 2015 testing criteria for the identification of probands with a CDH1 germline mutation. J. Med. Genet. 2015, 52, 563–565. [Google Scholar] [CrossRef] [PubMed]
- Van der Post, R.S.; Vogelaar, I.P.; Manders, P.; van der Kolk, L.E.; Cats, A.; van Hest, L.P.; Sijmons, R.; Aalf, C.M.; Ausems, M.G.E.M.; Gómez García, E.B.; et al. Accuracy of Hereditary Diffuse Gastric Cancer Testing Criteria and Outcomes in Patients with a Germline Mutation in CDH1. Gastroenterology 2015, 149, 897–906.e19. [Google Scholar] [CrossRef]
- Momozawa, Y.; Iwasaki, Y.; Parsons, M.T.; Kamatani, Y.; Takahashi, A.; Tamura, C.; Katagiri, T.; Yoshida, T.; Nakamura, S.; Sugano, K.; et al. Germline pathogenic variants of 11 breast cancer genes in 7051 Japanese patients and 11,241 controls. Nat. Commun. 2018, 9, 4083. [Google Scholar] [CrossRef]
- Grünberg, R.; Leckner, J.; Nilges, M. Complementarity of Structure Ensembles in Protein-Protein Binding. Structure 2004, 12, 2125–2136. [Google Scholar] [CrossRef]
- Paul, F.; Weikl, T.R. How to Distinguish Conformational Selection and Induced Fit Based on Chemical Relaxation Rates. PLoS Comput. Biol. 2016, 12, e1005067. [Google Scholar] [CrossRef]
- Mosesson, Y.; Mills, G.B.; Yarden, Y. Derailed endocytosis: An emerging feature of cancer. Nat. Cancer 2008, 8, 835–850. [Google Scholar] [CrossRef]
- Fujita, Y.; Krause, G.; Scheffner, M.; Zechner, D.; Leddy, H.E.M.; Behrens, J.; Sommer, T.; Birchmeier, W. Hakai, a c-Cbl-like protein, ubiquitinates and induces endocytosis of the E-cadherin complex. Nat. Cell Biol. 2002, 4, 222–231. [Google Scholar] [CrossRef] [PubMed]
- Marambaud, P.; Shioi, J.; Serban, G.; Georgakopoulos, A.; Sarner, S.; Nagy, V.; Baki, L.; Wen, P.; Efthimiopoulos, S.; Shao, Z.; et al. A presenilin-1/gamma-secretase cleavage releases the E-cadherin intracellular domain and regulates disassembly of adherens junctions. EMBO J. 2002, 21, 1948–1956. [Google Scholar] [CrossRef]
- Tian, X.; Liu, Z.; Niu, B.; Zhang, J.; Tan, T.K.; Lee, S.R.; Zhao, Y.; Harris, D.C.H.; Zheng, G. E-Cadherin/β-Catenin Complex and the Epithelial Barrier. J. Biomed. Biotechnol. 2011, 2011, 73. [Google Scholar] [CrossRef] [PubMed]
- Oliveira, C.; Senz, J.; Kaurah, P.; Pinheiro, H.; Sanges, R.; Haegert, A.; Corso, G.; Schouten, J.; Fitzgerald, R.; Vogelsang, H.; et al. Germline CDH1 deletions in hereditary diffuse gastric cancer families. Hum. Mol. Genet. 2009, 18, 1545–1555. [Google Scholar] [CrossRef] [PubMed]
- Paredes, J.; Figueiredo, J.; Albergaria, A.; Oliveira, P.; Carvalho, J.; Ribeiro, A.S.; Caldeira, J.; Costa, A.; Correia, J.S.; Oliveira, M.J.; et al. Epithelial E- and P-cadherins: Role and clinical significance in cancer. Biochim. Biophys. Acta 2012, 1826, 297–311. [Google Scholar] [CrossRef]
- Ehsan, A.; Mahmood, K.; Khan, Y.D.; Khan, S.A.; Chou, K.-C. A Novel Modeling in Mathematical Biology for Classification of Signal Peptides. Sci. Rep. 2018, 8, 1039. [Google Scholar] [CrossRef]
- Halic, M.; Becker, T.; Pool, M.; Spahn, C.M.T.; Grassucci, R.A.; Frank, J.; Beckmann, R. Structure of the signal recognition particle interacting with the elongation-arrested ribosome. Nature 2004, 427, 808–814. [Google Scholar] [CrossRef]
- Janda, C.Y.; Li, J.; Oubridge, C.; Hernández, H.; Robinson, C.; Nagai, K. Recognition of a signal peptide by the signal recognition particle. Nature 2010, 465, 507–510. [Google Scholar] [CrossRef]
- Figueiredo, J.; Melo, S.; Gamet, K.; Godwin, T.; Seixas, S.; Sanches, J.M.; Guilford, P.; Seruca, R. E-cadherin signal sequence disruption: A novel mechanism underlying hereditary cancer. Mol. Cancer 2018, 17, 112. [Google Scholar] [CrossRef]
- Adib, E.; El Zarif, T.; Nassar, A.H.; Akl, E.W.; Alaiwi, S.A.; Mouhieddine, T.H.; Esplin, E.D.; Hatchell, K.; Nielsen, S.M.; Rana, H.Q.; et al. CDH1 germline variants are enriched in patients with colorectal cancer, gastric cancer, and breast cancer. Br. J. Cancer 2021, 126, 797–803. [Google Scholar] [CrossRef]
- Figueiredo, J.; Melo, S.; Carneiro, P.; Moreira, A.M.; Fernandes, S.; Ribeiro, A.S.; Guilford, P.; Paredes, J.; Seruca, R. Clinical spectrum and pleiotropic nature of CDH1 germline mutations. J. Med. Genet. 2019, 56, 199–208. [Google Scholar] [CrossRef]
- Vogelaar, I.P.; Figueiredo, J.; van Rooij, I.A.L.M.; Simões-Correia, J.; van der Post, R.S.; Melo, S.; Seruca, R.; Carels, C.E.; Ligtenberg, M.J.; Hoogerbrugge, N. Identification of germline mutations in the cancer predisposing gene CDH1 in patients with orofacial clefts. Hum. Mol. Genet. 2013, 22, 919–926. [Google Scholar] [CrossRef]
- Xie, Z.M.; Li, L.S.; Laquet, C.; Xie, X.M.; Penault-Llorca, F.; Uhrhammer, N.; Bignon, Y.J. Germline mutations of the E-cadherin gene in families with inherited invasive lobular breast carcinoma but no diffuse gastric cancer. Cancer 2011, 117, 3112–3117. [Google Scholar] [CrossRef]
- Blair, V.R.; McLeod, M.; Carneiro, F.; Coit, D.G.; D’Addario, J.L.; van Dieren, J.M.; Harris, K.L.; Hoogerbrugge, N.; Oliveira, C.; van der Post, R.S.; et al. Hereditary diffuse gastric cancer: Updated clinical practice guidelines. Lancet Oncol. 2020, 21, e386–e397. [Google Scholar] [CrossRef]
- Boujemaa, M.; Hamdi, Y.; Mejri, N.; Romdhane, L.; Ghedira, K.; Bouaziz, H.; Benna, H.E.; Labidi, S.; Dallali, H.; Jaidane, O.; et al. Germline copy number variations in BRCA1/2 negative families: Role in the molecular etiology of hereditary breast cancer in Tunisia. PLoS ONE 2021, 16, e0245362. [Google Scholar] [CrossRef]
- Hamdi, Y.; The PEC Consortium; Boujemaa, M.; Ben Rekaya, M.; Ben Hamda, C.; Mighri, N.; El Benna, H.; Mejri, N.; Labidi, S.; Daoud, N.; et al. Family specific genetic predisposition to breast cancer: Results from Tunisian whole exome sequenced breast cancer cases. J. Transl. Med. 2018, 16, 158. [Google Scholar] [CrossRef] [PubMed]
- Jaballah-Gabteni, A.; Tounsi, H.; Kabbage, M.; Hamdi, Y.; Elouej, S.; Ben Ayed, I.; Medhioub, M.; Mahmoudi, M.; Dallali, H.; Yaiche, H.; et al. Identification of novel pathogenic MSH2 mutation and new DNA repair genes variants: Investigation of a Tunisian Lynch syndrome family with discordant twins. J. Transl. Med. 2019, 17, 212. [Google Scholar] [CrossRef]
- Mighri, N.; Hamdi, Y.; Boujemaa, M.; Othman, H.; Ben Nasr, S.; El Benna, H.; Mejri, N.; Labidi, S.; Ayari, J.; Jaidene, O.; et al. Identification of Novel BRCA1 and RAD50 Mutations Associated with Breast Cancer Predisposition in Tunisian Patients. Front. Genet. 2020, 11, 1397. [Google Scholar] [CrossRef]
- Mezzi, N.; Messaoud, O.; Mkaouar, R.; Zitouna, N.; Romdhane, S.; Abdessalem, G.; Charfeddine, C.; Maazoul, F.; Ouerteni, I.; Hamdi, Y.; et al. Spectrum of Genetic Diseases in Tunisia: Current Situation and Main Milestones Achieved. Genes 2021, 12, 1820. [Google Scholar] [CrossRef] [PubMed]
- Avizienyte, E.; Launonen, V.; Salovaara, R.; Kiviluoto, T.; Aaltonen, L.A. E-cadherinis not frequently mutated in hereditary gastric cancer. J. Med. Genet. 2001, 38, 49–52. [Google Scholar] [CrossRef]
- Bacani, J.T.; Soares, M.; Zwingerman, R.; Di Nicola, N.; Senz, J.; Riddell, R.; Huntsman, D.G.; Gallinger, S. CDH1/E-cadherin germline mutations in early-onset gastric cancer. J. Med. Genet. 2006, 43, 867–872. [Google Scholar] [CrossRef][Green Version]
- Mucaki, E.J.; Caminsky, N.G.; Perri, A.M.; Lu, R.; Laederach, A.; Halvorsen, M.; Knoll, J.H.M.; Rogan, P.K. A unified analytic framework for prioritization of non-coding variants of uncertain significance in heritable breast and ovarian cancer. BMC Med Genomics. 2016, 9, 19. [Google Scholar] [CrossRef] [PubMed]
- El-Husny, A.; Raiol-Moraes, M.; Amador, M.; Ribeiro-dos-Santos, A.M.; Montagnini, A.; Barbosa, S.; Silva, A.; Assumpção, P.; Ishak, G.; Santos, S. CDH1 mutations in gastric cancer patients from northern Brazil identified by Next- Generation Sequencing (NGS). Genet. Mol. Biol. 2016, 39, 189–198. [Google Scholar] [CrossRef] [PubMed]
- Guindalini, R.S.C.; Cormedi, M.C.V.; Maistro, S.; Pasini, F.S.; Branas, P.C.A.A.; dos Santos, L.; Pereira, G.F.d.; de Bock, G.H.; Saccaro, D.M.; Katayama, M.L.H. Frequency of CDH1 germline variants and contribution of dietary habits in early age onset gastric cancer patients in Brazil. Gastric Cancer 2019, 22, 920–931. [Google Scholar] [CrossRef] [PubMed]
- Norero, E.; Alarcon, M.A.; Hakkaart, C.; de Mayo, T.; Mellado, C.; Garrido, M.; Aguayo, G.; Lagos, M.; Torres, J.; Calvo, A.; et al. Identification of c.1531C>T Pathogenic Variant in the CDH1 Gene as a Novel Germline Mutation of Hereditary Diffuse Gastric Cancer. Int. J. Mol. Sci. 2019, 20, 4980. [Google Scholar] [CrossRef]
- Simoes-Correia, J.; Figueiredo, J.; Oliveira, C.; van Hengel, J.; Seruca, R.; Van Roy, F.; Suriano, G. Endoplasmic reticulum quality control: a new mechanism of E-cadherin regulation and its implication in cancer. Hum. Mol. Genet. 2008, 17, 3566–3576. [Google Scholar] [CrossRef]
- Brooks-Wilson, A.R. Germline E-cadherin mutations in hereditary diffuse gastric cancer: assessment of 42 new families and review of genetic screening criteria. J. Med. Genet. 2004, 41, 508–517. [Google Scholar] [CrossRef]
- Johnston, J.J.; Rubinstein, W.S.; Facio, F.M.; Ng, D.; Singh, L.N.; Teer, J.K.; Mullikin, J.C.; Biesecker, L.G. Secondary variants in individuals undergoing exome sequencing: screening of 572 individuals identifies high-penetrance mutations in cancer-susceptibility genes. Am. J. Hum. Genet. 2012, 91, 97–108. [Google Scholar] [CrossRef]
- Suriano, G.; Seixas, S.; Rocha, J.; Seruca, R. A model to infer the pathogenic significance of CDH1 germline missense variants. J. Mol. Med. Berl. Ger. 2006, 84, 1023–1031. [Google Scholar] [CrossRef]
- Bustos-Carpinteyro, A.R.; Oliveira, C.; Sousa, A.; Oliveira, P.; Pinheiro, H.; Carvalho, J.; Magaña-Torres, M.T.; Flores-Miramontes, M.G.; Aguilar-Lemarroy, A.; Jave-Suárez, L.F.; et al. CDH1 somatic alterations in Mexican patients with diffuse and mixed sporadic gastric cancer. BMC Cancer 2019, 19, 69. [Google Scholar] [CrossRef]
- Oliveira, C.; Bordin, M.C.; Grehan, N.; Huntsman, D.; Suriano, G.; Machado, J.C.; Kiviluoto, T.; Aaltonen, L.; Jackson, C.E.; Seruca, R.; et al. Screening E-cadherin in gastric cancer families reveals germline mutations only in hereditary diffuse gastric cancer kindred. Hum. Mutat. 2002, 19, 510–517. [Google Scholar] [CrossRef]
- Jalkh, N.; Chouery, E.; Haidar, Z.; Khater, C.; Atallah, D.; Ali, H.; Al-Mulla, M.R.; Al-Mulla, F.; Megarbane, A. Next-generation sequencing in familial breast cancer patients from Lebanon. BMC Med. Genomics. 2017, 10, 8. [Google Scholar] [CrossRef] [PubMed]
- Keller, G.; Vogelsang, H.; Becker, I.; Plaschke, S.; Ott, K.; Suriano, G.; Mateus, A.R.; Seruca, R.; Biedermann, K.; Huntsman, D.; et al. Germline mutations of the E-cadherin(CDH1) and TP53 genes, rather than of RUNX3 and HPP1, contribute to genetic predisposition in German gastric cancer patients. J. Med Genet. 2004, 41, e89. [Google Scholar] [CrossRef]
- Salahshor, S.; Haixin, L.; Huo, H.; Kristensen, V.N.; Loman, N.; Sjöberg-Margolin, S.; Borg, Å.; Børresen-Dale, An.; Vorechovsky, I.; Lindblom, A. Low frequency of E-cadherin alterations in familial breast cancer. Breast Cancer Res. BCR. 2001, 3, 199–207. [Google Scholar] [CrossRef] [PubMed]
- Humar, B.; Toro, T.; Graziano, F.; Müller, H.; Dobbie, Z.; Kwang-Yang, H.; Eng, C.; Hampel, H.; Gilbert, D.; Winship, I.; et al. Novel germlineCDH1mutations in hereditary diffuse gastric cancer families. Hum. Mutat. 2002, 19, 518–525. [Google Scholar] [CrossRef]
- Kheirollahi, M.; Saneipour, M.; Tabatabaiefar, M.A.; Zeinalian, M.; Minakari, M.; Moridnia, A. New Variants in the CDH1 Gene in Iranian Families with Hereditary Diffuse Gastric Cancer. Middle East J. Cancer 2020, 11, 493–501. [Google Scholar]
- Moridnia, A.; Tabatabaiefar, M.A.; Zeinalian, M.; Minakari, M.; Kheirollahi, M.; Moghaddam, N.A. Novel Variants and Copy Number Variation in CDH1 Gene in Iranian Patients with Sporadic Diffuse Gastric Cancer. J. Gastrointest. Cancer 2018, 50, 420–427. [Google Scholar] [CrossRef] [PubMed]
- Barber, M.; Murrell, A.; Ito, Y.; Maia, A.-T.; Hyland, S.; Oliveira, C.; Save, V.; Carneiro, F.; Paterson, A.L.; Grehan, N. Mechanisms and sequelae of E-cadherin silencing in hereditary diffuse gastric cancer. J. Pathol. 2008, 216, 295–306. [Google Scholar] [CrossRef]






| Total | ||
| N | % | |
| Total | 34 | |
| Gender | ||
| Male | 13 | 38.24 |
| Female | 21 | 61.76 |
| Age at diagnosis | ||
| ≤40 | 14 | 41.18 |
| >40 | 20 | 58.82 |
| Tumor subtype | ||
| Diffuse | 34 | 100 |
| HP Status+ | ||
| Present | 17 | 50 |
| Absent | 7 | 20.59 |
| NI++ | 7 | 20.59 |
| IGCLC 2015 Criteria * | ||
| None | 12 | 35.29 |
| 1 | 2 | 5.88 |
| 2 | 15 | 44.12 |
| 3 | 5 | 14.71 |
| Stage | ||
| NI | 2 | 5.88 |
| 1 | 14 | 41.18 |
| 2 | 4 | 11.76 |
| 3 | 9 | 26.47 |
| 4 | 5 | 14.71 |
| CDH1 Gene | Exons 1–2 | Intron 10 | Exon 14 | |
|---|---|---|---|---|
| Zoom in gene region | chr16: 67325572-67239733 | c.1565 + 3_1565 + 4delinsGT | c.2281G > A | |
| Method of identification | MLPA assay | Sanger Sequencing | Sanger Sequencing | |
| Type of mutation | Deletion | Indel variant | Missense variant | |
| Variant’s reference | Novel | Novel | rs779648243 | |
| ClinVar classification | NR | NR | VUS | |
| Index case | JI-020 | JI-014 | JI-007 | |
| Clinicopathological characteristics of the patient | Age at diagnosis/sex | 79/F | 42/F | 26/M |
| TNM | T3N2M0 | T4N1M1 | T4N0M1 | |
| Localization | NI | AP | F | |
| Personal history | DGC | DGC | DGC | |
| Familial history | CCR-BC | GC | No history | |
| HDGC criteria | 3 | 2 | 2 | |
| E-cadherin expression | NA | Heterogeneous Loss | Homogenous Loss | |
| Protein change | - | NA | p.G761R | |
| Classification | D | PD | PD | |
Publisher’s Note: MDPI stays neutral with regard to jurisdictional claims in published maps and institutional affiliations. |
© 2022 by the authors. Licensee MDPI, Basel, Switzerland. This article is an open access article distributed under the terms and conditions of the Creative Commons Attribution (CC BY) license (https://creativecommons.org/licenses/by/4.0/).
Share and Cite
Ben Aissa-Haj, J.; Kabbage, M.; Othmen, H.; Saulnier, P.; Kettiti, H.T.; Jaballah-Gabteni, A.; Ferah, A.; Medhioub, M.; Khsiba, A.; Mahmoudi, M.; et al. CDH1 Germline Variants in a Tunisian Cohort with Hereditary Diffuse Gastric Carcinoma. Genes 2022, 13, 400. https://doi.org/10.3390/genes13030400
Ben Aissa-Haj J, Kabbage M, Othmen H, Saulnier P, Kettiti HT, Jaballah-Gabteni A, Ferah A, Medhioub M, Khsiba A, Mahmoudi M, et al. CDH1 Germline Variants in a Tunisian Cohort with Hereditary Diffuse Gastric Carcinoma. Genes. 2022; 13(3):400. https://doi.org/10.3390/genes13030400
Chicago/Turabian StyleBen Aissa-Haj, Jihenne, Maria Kabbage, Houcemeddine Othmen, Patrick Saulnier, Haifa Tounsi Kettiti, Amira Jaballah-Gabteni, Azer Ferah, Mouna Medhioub, Amal Khsiba, Moufida Mahmoudi, and et al. 2022. "CDH1 Germline Variants in a Tunisian Cohort with Hereditary Diffuse Gastric Carcinoma" Genes 13, no. 3: 400. https://doi.org/10.3390/genes13030400
APA StyleBen Aissa-Haj, J., Kabbage, M., Othmen, H., Saulnier, P., Kettiti, H. T., Jaballah-Gabteni, A., Ferah, A., Medhioub, M., Khsiba, A., Mahmoudi, M., Maaloul, A., Ben Nasr, S., Chelbi, E., Abdelhak, S., Boubaker, M. S., Azzouz, M. M., & Rouleau, E. (2022). CDH1 Germline Variants in a Tunisian Cohort with Hereditary Diffuse Gastric Carcinoma. Genes, 13(3), 400. https://doi.org/10.3390/genes13030400

