Genomic Structure of the Porcine CYP19 Locus and Expression of the CYP19A3 Paralog
Abstract
1. Background
2. Materials and Methods:
2.1. Animals and Tissue Collection
2.2. RNA Preparation, 5´ RACE, cDNA Synthesis and RT-PCR
2.3. Sequencing of PCR Products
3. Results
3.1. Analysis of 5´RACE Products
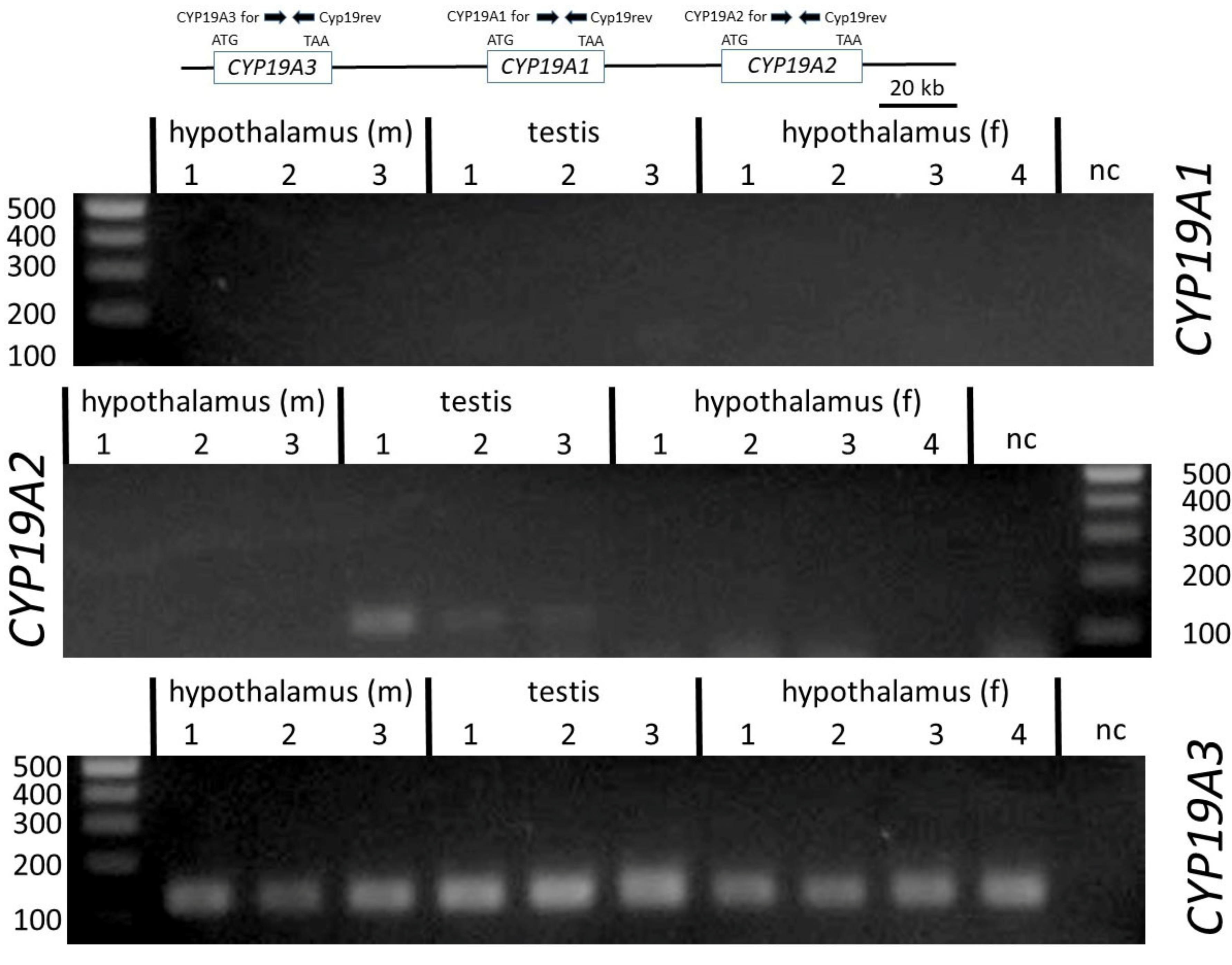
3.2. Reconstruction of the Pig CYP19 Locus
3.3. Isolation of Tissue-Specific CYP19 Transcripts by RT-PCR
4. Discussion
5. Conclusions
6. Ethics Approval
Author Contributions
Funding
Institutional Review Board Statement
Informed Consent Statement
Data Availability Statement
Acknowledgments
Conflicts of Interest
References
- Conley, A.J.; Corbin, C.J.; Hinshelwood, M.M.; Liu, Z.; Simpson, E.R.; Ford, J.J.; Harada, N. Functional aromatase expression in porcine adrenal gland and testis. Biol. Reprod. 1996, 54, 497–505. [Google Scholar] [CrossRef] [PubMed][Green Version]
- Lanzino, M.; Catalano, S.; Genissel, C.; Ando, S.; Carreau, S.; Hamra, K.; McPhaul, M.J. Aromatase messenger RNA is derived from the proximal promoter of the aromatase gene in Leydig, Sertoli, and germ cells of the rat testis. Biol. Reprod. 2001, 64, 1439–1443. [Google Scholar] [CrossRef] [PubMed]
- Golovine, K.; Schwerin, M.; Vanselow, J. Three different promoters control expression of the Aromatase Cytochrome P450 Gene (Cyp19) in mouse gonads and brain. Biol. Reprod. 2003, 68, 978–984. [Google Scholar] [CrossRef] [PubMed]
- Fürbass, R.; Kalbe, C.; Vanselow, J. Tissue-specific expression of the bovine aromatase encoding gene uses multiple transcriptional start sites and alternative first exons. Endocrinology 1997, 138, 2813–2819. [Google Scholar] [CrossRef][Green Version]
- Agarwal, V.R.; Bulun, S.E.; Leitch, M.; Rohrich, R.; Simpson, E.R. Use of alternative promoters to express the aromatase cytochrome P450 (CYP19) gene in breast adipose tissues of cancer-free and breast cancer patients. J. Clin. Endocrinol. Metab. 1996, 81, 3843–3849. [Google Scholar]
- Zhao, Y.; Nichols, J.E.; Bulun, S.E.; Mendelson, C.R.; Simpson, E.R. Aromatase P450 gene expression in human adipose tissue—Role of a Jak/STAT pathway in regulation of the adipose- specific promoter. J. Biol. Chem. 1995, 270, 16449–16457. [Google Scholar] [CrossRef]
- Mahendroo, M.S.; Means, G.D.; Mendelson, C.R.; Simpson, E.R. Tissue-specific expression of human P-450AROM. The promoter responsible for expression in adipose tissue is different from that utilized in placenta. J. Biol. Chem. 1991, 266, 11276–11281. [Google Scholar] [CrossRef]
- Corbin, C.J.; Berger, T.; Ford, J.J.; Roselli, C.E.; Sienkiewicz, W.; Trainor, B.C.; Roser, J.F.; Vidal, J.D.; Harada, N.; Conley, A.J. Porcine hypothalamic aromatase cytochrome P450: Isoform characterization, sex-dependent activity, regional expression, and regulation by enzyme inhibition in neonatal boars. Biol. Reprod. 2009, 81, 388–395. [Google Scholar] [CrossRef][Green Version]
- Means, G.D.; Kilgore, M.W.; Mahendroo, M.S.; Mendelson, C.R.; Simpson, E.R. Tissue-specific promoters regulate aromatase cytochrome p450 gene expression in human ovary and fetal tissues. Mol. Endocrinol. 1991, 5, 2005–2013. [Google Scholar] [CrossRef]
- Honda, S.; Harada, N.; Takagi, Y. Novel Exon 1 of the Aromatase Gene Specific for Aromatase Transcripts in Human Brain. Biochem. Biophys. Res. Commun. 1994, 198, 1153–1160. [Google Scholar] [CrossRef]
- Roselli, C.E.; Resko, J.A.; Stormshak, F. Hormonal influences on sexual partner preference in rams. Arch. Sex Behav. 2002, 31, 43–49. [Google Scholar] [CrossRef]
- Ogawa, S.; Lubahn, D.B.; Korach, K.S.; Pfaff, D.W. Behavioral effects of estrogen receptor gene disruption in male mice. Proc. Natl. Acad. Sci. USA 1997, 94, 1476–1481. [Google Scholar] [CrossRef]
- Bulun, S.E.; Noble, L.S.; Takayama, K.; Michael, M.D.; Agarwal, V.; Fisher, C.; Zhao, Y.; Hinshelwood, M.M.; Ito, Y.; Simpson, E.R. Endocrine disorders associated with inappropriately high aromatase expression. J. Steroid Biochem. Mol. Biol. 1997, 61, 133–139. [Google Scholar] [CrossRef]
- Bulun, S.E.; Rosenthal, I.M.; Brodie, A.M.H.; Inkster, S.E.; Zeller, W.P.; Digeorge, A.M.; Frasier, S.D.; Kilgore, M.W.; Simpson, E.R. Use of Tissue-Specific Promoters in the Regulation of Aromatase Cytochrome P450 Gene Expression in Human Testicular and Ovarian Sex Cord Tumors, as Well as in Normal Fetal and Adult Gonads (Vol 77, Pg 1616, 1993). J. Clin. Endocrinol. Metab. 1994, 78, 495. [Google Scholar]
- Bulun, S.E.; Price, T.M.; Aitken, J.; Mahendroo, M.S.; Simpson, E.R. A Link Between Breast Cancer and Local Estrogen Biosynthesis Suggested by Quantification of Breast Adipose Tissue Aromatase Cytochrome P450 Transcripts Using Competitive Polymerase Chain Reaction After Reverse Transcription. J. Clin. Endocrinol. Metab 1993, 77, 1622–1628. [Google Scholar] [CrossRef]
- Simpson, E.R.; Mahendroo, M.S.; Means, G.D.; Kilgore, M.W.; Hinshelwood, M.M.; Graham-Lorence, S.; Amarneh, B.; Ito, Y.J.; Fisher, C.R.; Michael, M.D.; et al. Aromatase cytochrome P450, the enzyme responsible for estrogen biosynthesis. Endocr. Rev. 1994, 15, 342–355. [Google Scholar]
- Hinshelwood, M.M.; Liu, Z.; Conley, A.J.; Simpson, E.R. Demonstration of tissue-specific promoters in nonprimate species that express aromatase P450 in placentae. Biol. Reprod. 1995, 53, 1151–1159. [Google Scholar] [CrossRef][Green Version]
- Vanselow, J.; Fürbass, R.; Rehbock, F.; Klautschek, G.; Schwerin, M. Cattle and Sheep Use Different Promoters to Direct the Expression of Aromatase Cytochrome P450 Encoding Gene, Cyp 19, during Pregnancy. Domest. Anim. Endocrinol. 2004, 27, 99–114. [Google Scholar] [CrossRef]
- Fürbass, R.; Vanselow, J. An aromatase pseudogene is transcribed in the bovine placenta. Gene 1995, 154, 287–292. [Google Scholar]
- Chwalisz, M.; Fürbass, R. Evaluation of coding-independent functions of the transcribed bovine aromatase pseudogene CYP19P1. BMC Res. Notes 2014, 7, 378. [Google Scholar] [CrossRef]
- Vanselow, J.; Zsolnai, A.; Fésüs, L.; Fürbass, R.; Schwerin, M. Placenta-specific transcripts of the aromatase encoding gene include different untranslated first exons in sheep and cattle. Eur. J. Biochem. 1999, 265, 318–324. [Google Scholar] [CrossRef] [PubMed]
- Vanselow, J.; Fürbass, R. The bovine genome contains three differentially methylated paralogous copies of the P450c17 encoding gene (CYP17A1). Gen. Comp. Endocrinol. 2011, 170, 475–479. [Google Scholar] [CrossRef] [PubMed]
- Corbin, C.J.; Khalil, M.W.; Conley, A.J. Functional ovarian and placental isoforms of porcine aromatase. Mol. Cell Endocrinol. 1995, 113, 29–37. [Google Scholar] [CrossRef]
- Choi, I.; Troyer, D.L.; Cornwell, D.L.; Kirby-Dobbels, K.R.; Collante, W.R.; Simmen, F.A. Closely related genes encode developmental and tissue isoforms of porcine cytochrome P450 aromatase. DNA Cell Biol. 1997, 16, 769–777. [Google Scholar] [CrossRef]
- Graddy, L.G.; Kowalski, A.A.; Simmen, F.A.; Davis, S.L.; Baumgartner, W.W.; Simmen, R.C. Multiple isoforms of porcine aromatase are encoded by three distinct genes. J. Steroid Biochem. Mol. Biol. 2000, 73, 49–57. [Google Scholar] [CrossRef]
- Conley, A.J.; Corbin, C.J.; Hughes, A.L. Adaptive evolution of mammalian aromatases: Lessons from Suiformes. J. Exp. Zool. Part A Ecol. Genet. Physiol. 2008, 311, 346–357. [Google Scholar] [CrossRef]
- Corbin, C.J.; Hughes, A.L.; Heffelfinger, J.R.; Berger, T.; Waltzek, T.B.; Roser, J.F.; Santos, T.C.; Miglino, M.A.; Oliveira, M.F.; Braga, F.C.; et al. Evolution of suiform aromatases: Ancestral duplication with conservation of tissue-specific expression in the collared peccary (Pecari tayassu). J. Mol. Evol. 2007, 65, 403–412. [Google Scholar] [CrossRef]
- Callard, G.V.; Tchoudakova, A. Evolutionary and functional significance of two CYP19 genes differentially expressed in brain and ovary of goldfish. J. Steroid Biochem. Mol. Biol. 1997, 61, 387–392. [Google Scholar] [CrossRef]
- Chiang, E.F.L.; Yan, Y.L.; Guiguen, Y.; Postlethwait, J.; Chung, B.C. Two Cyp19 (P450 aromatase) genes on duplicated zebrafish chromosomes are expressed in ovary or brain. Mol. Biol. Evol. 2001, 18, 542–550. [Google Scholar] [CrossRef]
- Chiang, E.F.L.; Yan, Y.L.; Tong, S.K.; Hsiao, P.H.; Guiguen, Y.; Postlethwait, J.; Chung, B.C. Characterization of duplicated zebrafish cyp19 genes. J. Exp. Zool. 2001, 290, 709–714. [Google Scholar] [CrossRef]
- Conley, A.; Corbin, J.; Smith, T.; Hinshelwood, M.; Liu, Z.; Simpson, E. Porcine aromatases: Studies on tissue-specific, functionally distinct isozymes from a single gene? J. Steroid Biochem. Mol. Biol. 1997, 61, 407–413. [Google Scholar] [CrossRef]
- Conley, A.J.; Christenson, L.K.; Ford, S.P.; Christenson, R.K. Immunocytochemical localization of cytochromes P450 17 alpha- hydroxylase and aromatase in embryonic cell layers of elongating porcine blastocysts. Endocrinology 1994, 135, 2248–2254. [Google Scholar] [CrossRef]
- Meyer, A.E.; Pfeiffer, C.A.; Brooks, K.E.; Spate, L.D.; Benne, J.A.; Cecil, R.; Samuel, M.S.; Murphy, C.N.; Behura, S.; McLean, M.K.; et al. New perspective on conceptus estrogens in maternal recognition and pregnancy establishment in the pig. Biol. Reprod. 2019, 101, 148–161. [Google Scholar] [CrossRef]
- Eshed, Y.; Feinberg, K.; Poliak, S.; Sabanay, H.; Sarig-Nadir, O.; Spiegel, I.; Bermingham, J.R., Jr.; Peles, E. Gliomedin mediates Schwann cell-axon interaction and the molecular assembly of the nodes of Ranvier. Neuron 2005, 47, 215–229. [Google Scholar] [CrossRef]
- Toda, K.; Simpson, E.R.; Mendelson, C.R.; Shizuta, Y.; Kilgore, M.W. Expression of the Gene Encoding Aromatase Cytochrome P450 (Cyp19) in Fetal Tissues. Mol. Endocrinol. 1994, 8, 210–217. [Google Scholar]
- Bouraima, H.; Hanoux, V.; Mittre, H.; Feral, C.; Benhaim, A.; Leymarie, P. Expression of the rabbit cytochrome P450 aromatase encoding gene uses alternative tissue-specific promoters. Eur. J. Biochem. 2001, 268, 4506–4512. [Google Scholar] [CrossRef]
- Yamada-Mouri, N.; Hirata, S.; Kato, J. Existence and expression of the untranslated first exon of aromatase mRNA in the rat brain. J. Steroid Biochem. Mol. Biol. 1996, 58, 163–166. [Google Scholar] [CrossRef]





| NCBI Database (mRNA) | Isoform | Site of Expression |
|---|---|---|
| CYP19A1 (NM_214429) | Type III [24,25] | Blastocyst [24], Embryo [25] |
| CYP19A2 (NM_214430) | Type II [24,25] | Placenta [24,25] |
| CYP19A3 (NM_214431) | Type I [24,25] | Ovary [24,25], Theca/Granulosa [31], Adrenal gl./Testes [31], Hypothalamus [8] |
| Name | Sequence | Length (nt) | Pos in NM_214431 | |
|---|---|---|---|---|
| PCR-0 | AGTTGCAGGCACTGCCAATCC | 21 | 200 | 220 |
| PCR-1 | AATAGCCAGGACCTGGTATTG | 21 | 131 | 151 |
| PCR-2 | GGACAGCTTCAGACACCATGCTG | 23 | 36 | 58 |
| Name | Sequence | Length (nt) | Pos in NC_010443.5 | Orient. | |
|---|---|---|---|---|---|
| DistUTR1for1 | TGGCTTTCTCTCCCTCTCCA | 20 | 120367673 | 120367692 | for |
| DistUTR1for2 | ACATCAAGCGGTTAGGGTTCA | 21 | 120367836 | 120367856 | for |
| GLDNfor | AGCACATCCGCACAGAGAG | 19 | 120398553 | 120398571 | rev |
| GLDNrev | GCCAGGGCAGCCTTTATATG | 20 | 120398934 | 120398915 | rev |
| DistUTR2for1 | CCGCGCATCATTAGCAAAACT | 21 | 120477287 | 120477307 | for |
| DistUTR2rev2 | GCGGCTGTTTAAGAACCGGT | 20 | 120477290 | 120477271 | rev |
| DistUTR2for2 | CATCATTAGCAAAACTCACCAT | 22 | 120477292 | 120477313 | for |
| DistUTR2rev1 | ATGCGCGGCTGTTTAAGAAC | 20 | 120477294 | 120477275 | rev |
| ProxUTRfor | CAAATATGTCTTGTCTAAGTGTCCA | 25 | 120525069 | 120525093 | for |
| CDSrev | TTGCAATGCTGCCAAAAAGGA | 21 | 120525325 | 120525305 | rev |
| CYP19A3_for | CCTCTGGAAAGCTGTTCGACCTTTC | 25 | 120541804 | 120541828 | for |
| CYP19A1_for | CCTCTGGAAAGCTGTTAGAACTTAT | 25 | 120611584 | 120611608 | for |
| CYP19A2_for | CCTCTGGAAAGCCGTTAGAACTTAC | 25 | 120674035 | 120674059 | for |
| CYP19rev | GTAGCCCAAGTCATTGCGG | 19 | 120677180 | 120677162 | rev |
Publisher’s Note: MDPI stays neutral with regard to jurisdictional claims in published maps and institutional affiliations. |
© 2021 by the authors. Licensee MDPI, Basel, Switzerland. This article is an open access article distributed under the terms and conditions of the Creative Commons Attribution (CC BY) license (https://creativecommons.org/licenses/by/4.0/).
Share and Cite
Vanselow, J.; Conley, A.J.; Corbin, C.J.; Berger, T. Genomic Structure of the Porcine CYP19 Locus and Expression of the CYP19A3 Paralog. Genes 2021, 12, 533. https://doi.org/10.3390/genes12040533
Vanselow J, Conley AJ, Corbin CJ, Berger T. Genomic Structure of the Porcine CYP19 Locus and Expression of the CYP19A3 Paralog. Genes. 2021; 12(4):533. https://doi.org/10.3390/genes12040533
Chicago/Turabian StyleVanselow, Jens, Alan J. Conley, Cynthia J. Corbin, and Trish Berger. 2021. "Genomic Structure of the Porcine CYP19 Locus and Expression of the CYP19A3 Paralog" Genes 12, no. 4: 533. https://doi.org/10.3390/genes12040533
APA StyleVanselow, J., Conley, A. J., Corbin, C. J., & Berger, T. (2021). Genomic Structure of the Porcine CYP19 Locus and Expression of the CYP19A3 Paralog. Genes, 12(4), 533. https://doi.org/10.3390/genes12040533

