Modifications in Tissue and Cell Ultrastructure as Elements of Immunity-Like Reaction in Chenopodium quinoa against Prune Dwarf Virus (PDV)
Abstract
1. Introduction
2. Materials and Methods
2.1. Virus Inoculation and DAS-ELISA
2.2. Isolation of RNA and Genomic DNA (gDNA) and qPCR Analysis of Expression of MP Gene of PDV in Quinoa Plants
2.3. Immunofluorescence Localization of PDV-P1 in Quinoa Tissues and Assessment of Quantitative Fluorescence Signal
2.4. Preparation of Leaf Material for Light and Transmission Microscopy
2.5. Preparation of Leaf Material and Immunogold Localization of PDV Movement Protein (PDV MP)
2.6. Localization and Quantification of H2O2 by Corrected Total Electron Density (CTED) Method
2.7. Measurment of H2O2 Concentration
3. Results
3.1. Symptoms of PDV Infection and Immunofluorescent Localization of P1 Protein in a Context of PDV CP Distribution and Relative Expression of MP
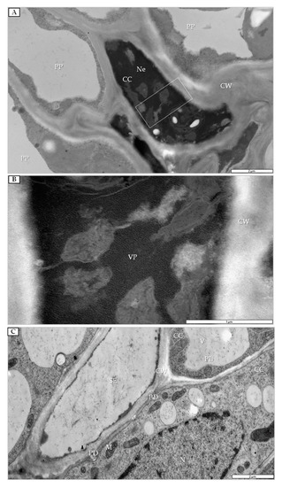
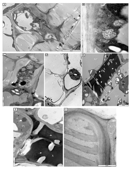
3.2. Anatomical and Ultrastructural Changes in PDV-Infected Quinoa Plants and Immunogold Labbleing of PDV MP
4. Discussion
4.1. Symptoms of PDV Infection and Immunofluorescent Localization of P1 Protein Within a Context of PDV CP Distribution
4.2. Anatomical and Ultrastructural Changes in PDV-Infected Quinoa Plants
5. Conclusions
Supplementary Materials
Author Contributions
Funding
Acknowledgments
Conflicts of Interest
References
- Pallas, V.; Aparicio, F.; Herranz, M.C.; Amari, K.; Sanchez-Pina, M.A.; Myrta, A.; Sanchez-Navarro, J.A. Ilarviruses of Prunus spp.: A continued concern for fruit trees. Phytopathology 2012, 102, 1108–1120. [Google Scholar] [CrossRef]
- Pallas, V.; Aparicio, F.; Herranz, M.C.; Sanchez-Navarro, J.A.; Scott, S.W. The molecular biology of ilarviruses. Adv. Virus Res. 2013, 87, 139–183. [Google Scholar]
- Paduch-Cichal, E. Characterization of PNRSV and PDV. Associate Professor Thesis, Warsaw University of Life Sciences, Warsaw, Poland, 18 April 2000. [Google Scholar]
- Nemeth, M. Interferencja vizsgălatok a csonthĕjas gyümöcsfăk gyürüsfoltossăg (ringspot) virusavial. Növĕnyvĕdelem 1972, 8, 64–71. [Google Scholar]
- Nemeth, M. Virus, Mycoplasma and Rikettsia Diseases of Fruit Trees, 1st ed.; Springer: Budapest, Hungary, 1986; pp. 600–650. [Google Scholar]
- Kalinowska, E.; Mroczkowska, K.; Paduch-Cichal, E.; Chodorska, M. Genetic variability among coat protein of Prune dwarf virus variants from different countries and different Prunus species. Eur. J. Plant Pathol. 2014, 4, 863–868. [Google Scholar] [CrossRef]
- Bujarski, J.J.; Figlerowicz, M.; Gallitelli, D.; Roossinck, M.J.; Scott, S.W. Family Bromoviridae. In Virus Taxonomy: Classification and Nomenclature of Viruses-Ninth Report of the International Committee on Taxonomy of Viruses, 1st ed.; King, A.M.Q., Adams, M.J., Carstens, E.B., Lefkowitz, E.J., Eds.; Elsevier Academic Press: San Diego, CA, USA, 2012; pp. 972–976. [Google Scholar]
- Kozieł, E.; Otulak-Kozieł, K.; Bujarski, J.J. Ultrastructural analysis of Prune dwarf virus intercellular transport and pathogenesis. Int. J. Mol. Sci. 2018, 19, 2570. [Google Scholar] [CrossRef] [PubMed]
- Kozieł, E.; Otulak, K.; Lockhart, B.E.L.; Garbaczewska, G. Subcelullar localization of proteins associated with Prune dwarf virus replication. Eur. J. Plant. Pathol. 2017, 149, 653–668. [Google Scholar] [CrossRef]
- Kozieł, E. Pathogenic Changes in Vegetative Organs of Plum Tree and Test Plants Infected by Prune Dwarf Virus (PDV). Ph.D. Thesis, Warsaw University of Life Sciences, Warsaw, Poland, 18 April 2016. [Google Scholar]
- Fulton, R.W. Comparative host ranges of certain mechanically transmitted viruses of Prunus. Phytopatology 1957, 47, 215–220. [Google Scholar]
- Fulton, R.W. Prune dwarf virus. C.M.I/A.A.B. Descr. Plant. Viruses 1970, 1, 1–20. [Google Scholar]
- Plant Viruses Online Database. Available online: http://bio-mirror.im.ac.cn/mirrors/pvo/vide/descr657.htm (accessed on 17 November 2019).
- Clark, M.F.; Adams, A.N. Characteristics of the microplate method of enzyme-linked immunosorbent assay for the detection of plant viruses. J. Gen. Virol. 1977, 34, 475–483. [Google Scholar] [CrossRef]
- Paduch-Cichal, E.; Sala-Rejczak, K.; Mroczkowska, K.; Boscia, D.; Potere, O. Serological characterization of Prune dwarf virus isolates. J. Plant Prot. Res. 2011, 51, 389–392. [Google Scholar] [CrossRef]
- Paduch-Cichal, E.; Sala-Rejczak, K. Biological properties, stability in crude sap and serological characterization of Prune dwarf virus (PDV) isolates from Prunus avium seedlings. Phytopathol. Pol. 2003, 29, 9–22. [Google Scholar]
- Tashi, G.; Zhan, H.; Xing, G.; Chang, X. Genome-wide identification and expression analysis of heat shock transcription factor family in Chenopodium quinoa willd. Agronomy 2018, 8, 103. [Google Scholar] [CrossRef]
- Otulak-Kozieł, K.; Kozieł, E.; Valverde, R. The respiratory burst oxidase homolog d (RbohD) cell and tissue distribution in potato–Potato virus y (PVYntn) hypersensitive and susceptible reactions. Int. J. Mol. Sci. 2019, 20, 2741. [Google Scholar] [CrossRef] [PubMed]
- Hayat, M. Basic Techniques for Transmission Electron Microscopy, 1st ed.; Elsevier Academic Press International: San Diego, CA, USA, 1986; pp. 285–370. [Google Scholar]
- Bestwick, C.S.; Brown, I.R.; Mansfield, J.W. Localized Changes in Peroxidase Activity Accompany Hydrogen Peroxide Generation during the Development of a Nonhost Hypersensitive Reaction in Lettuce. Plant Physiol. 1998, 118, 1067–1078. [Google Scholar] [CrossRef]
- Otulak, K.; Garbaczewska, G. Localisation of hydrogen peroxide accumulation during Solanum tuberosum cv. Rywal hypersensitive response to Potato virus Y. Micron 2010, 41, 327–335. [Google Scholar] [CrossRef]
- The University of Sydney Official Website of the Bosh Institute. Available online: https://sydney.edu.au/medicine/bosch/facilities/advanced-microscopy/user-support/ImageJ_FL_Image_Analysis.pdf (accessed on 10 November 2019).
- Velikova, V.; Yordanov, I.; Edreva, A. Oxidative stress and some antioxidant systems in acid rain-treated bean plants—Protective role of exogenous poly-amines. Plant Sci. 2000, 151, 59–66. [Google Scholar] [CrossRef]
- Cropley, R.; Gilmer, R.M.; Posnette, A.F. Necrotic ring spot and Prune dwarf viruses in Prunus and in herbaceous indicators. Ann. Appl. Biol. 1964, 53, 325–332. [Google Scholar] [CrossRef]
- Malinowski, T.; Zawadzka, B. Use of ELISA method in detection of fruit trees viruses. In ELISA Method in Detection, Proceedings of the XXXIII Poland Pomology Conference, Skierniewice, Poland, 30 August–1 September 1994; The Research Institute of Pomology: Skierniewice, Poland, 1994; pp. 9–11. [Google Scholar]
- Myrta, A.; Savino, V. Virus and virus-like diseases of cherry in the Mediterranean region. Acta Hortic. 2008, 795, 891–896. [Google Scholar] [CrossRef]
- Çaglayan, K.; Gazel, M. Virus and virus-like diseases of stone fruits in the eastern Mediterranean area of Turkey. Acta Hortic. 1998, 472, 527–529. [Google Scholar] [CrossRef]
- Halk, R.; Fulton, R.W. Stabilization and particle morphology of prune dwarf virus. Virology 1978, 91, 434–443. [Google Scholar] [CrossRef]
- Fulton, R.W. Purification of Sour cherry necrotic ringspot and Prune dwarf viruses. Virology 1959, 9, 522–535. [Google Scholar] [CrossRef]
- Graf, B.L.; Rojas-Silva, P.; Rojo, L.E.; Delatorre-Herrera, J.; Baldeón, M.E.; Raskyn, I. Innovations in health value and functional food development of quinoa (Chenopodium quinoa willd.). Compr. Rev. Food Sci. Food Saf. 2015, 14, 431–445. [Google Scholar] [CrossRef] [PubMed]
- Waterworth, H.E.; Fulton, R.W. Variation among isolates of necrotic ringspot and Prune dwarf viruses isolated from sour cherry. Phytopathology 1964, 54, 1155–1160. [Google Scholar]
- Pallas, V.; Garcia, J.A. How do plant viruses induce disease? Interactions and interference with host components. J. Gen. Virol. 2011, 92, 2691–2705. [Google Scholar] [CrossRef]
- Kozieł, E.; Bujarski, J.J.; Otulak, K. Molecular biology of Prune Dwarf Virus—A lesser known member of the Bromoviridae but a vital component in the dynamic virus–host cell interaction network. Int. J. Mol. Sci. 2017, 18, 2733. [Google Scholar] [CrossRef]
- Otulak, K.; Garbaczewska, G. Ultrastructural events during hypersensitive response of potato cv. Rywal infected with necrotic strains of potato virus Y. Acta Physiol. Plant. 2010, 32, 635–644. [Google Scholar] [CrossRef]
- Favali, M.A.; Conti, G.G. Ultrastructural observations on the chloroplasts of basil plants either infected with different viruses or treated with 3-amino-l,2,4-triazole. Protoplasma 1970, 70, 153–166. [Google Scholar] [CrossRef]
- Hull, R. Plant. Virology, 5th ed.; Elsevier Academic Press: London, UK, 2013; pp. 148–603. [Google Scholar]











© 2020 by the authors. Licensee MDPI, Basel, Switzerland. This article is an open access article distributed under the terms and conditions of the Creative Commons Attribution (CC BY) license (http://creativecommons.org/licenses/by/4.0/).
Share and Cite
Kozieł, E.; Otulak-Kozieł, K.; Bujarski, J.J. Modifications in Tissue and Cell Ultrastructure as Elements of Immunity-Like Reaction in Chenopodium quinoa against Prune Dwarf Virus (PDV). Cells 2020, 9, 148. https://doi.org/10.3390/cells9010148
Kozieł E, Otulak-Kozieł K, Bujarski JJ. Modifications in Tissue and Cell Ultrastructure as Elements of Immunity-Like Reaction in Chenopodium quinoa against Prune Dwarf Virus (PDV). Cells. 2020; 9(1):148. https://doi.org/10.3390/cells9010148
Chicago/Turabian StyleKozieł, Edmund, Katarzyna Otulak-Kozieł, and Józef J. Bujarski. 2020. "Modifications in Tissue and Cell Ultrastructure as Elements of Immunity-Like Reaction in Chenopodium quinoa against Prune Dwarf Virus (PDV)" Cells 9, no. 1: 148. https://doi.org/10.3390/cells9010148
APA StyleKozieł, E., Otulak-Kozieł, K., & Bujarski, J. J. (2020). Modifications in Tissue and Cell Ultrastructure as Elements of Immunity-Like Reaction in Chenopodium quinoa against Prune Dwarf Virus (PDV). Cells, 9(1), 148. https://doi.org/10.3390/cells9010148
