Let-7 miRNA’s Expression Profile and Its Potential Prognostic Role in Uterine Leiomyosarcoma
Abstract
1. Introduction
2. Materials and Methods
2.1. Patients’ Samples
2.2. MicroRNA Isolation and Quantitative Real Time-Polymerase Chain Reaction (qRT-PCR) Analysis
2.3. Statistical Analysis
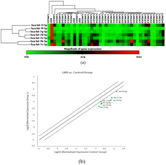
3. Results
4. Discussion
5. Conclusions
Supplementary Materials
Author Contributions
Funding
Acknowledgments
Conflicts of Interest
References
- Wang, B.; Jiang, L.; Xu, Q. A comprehensive evaluation for polymorphisms in let-7 family in cancer risk and prognosis: A system review and meta-analysis. Biosci. Rep. 2018, 38. [Google Scholar] [CrossRef] [PubMed]
- Ustianenko, D.; Chiu, H.S.; Treiber, T.; Weyn-Vanhentenryck, S.M.; Treiber, N.; Meister, G.; Sumazin, P.; Zhang, C. LIN28 Selectively Modulates a Subclass of Let-7 MicroRNAs. Mol. Cell 2018, 71, 271–283.e5. [Google Scholar] [CrossRef]
- Torres, A.; Torres, K.; Maciejewski, R.; Harvey, W.H. MicroRNAs and their role in gynecological tumors. Med. Res. Rev. 2011, 31, 895–923. [Google Scholar] [CrossRef] [PubMed]
- Dos Anjos, L.G.; de Almeida, B.C.; de Almeida, T.G.; Rocha, A.M.L.; Maffazioli, G.D.N.; Soares, F.A.; da Cunha, I.W.; Baracat, E.C.; Carvalho, K.C. Could miRNA signatures be useful for predicting uterine sarcoma and carcinosarcoma prognosis and treatment? Cancers 2018, 10, 1–18. [Google Scholar]
- He, M.; Zhou, W.; Li, C.; Guo, M. MicroRNAs, DNA Damage Response, and Cancer Treatment. Int. J. Mol. Sci. 2016, 17, E2087. [Google Scholar] [CrossRef]
- García-Vázquez, R.; Rincón, D.G.; Ruiz-García, E.; García, A.M.; Hernández de la Cruz, O.N.; De la Vega, H.A.; Isla-Ortiz, D.; Marchat, L.A.; Salinas-Vera, Y.M.; Carlos-Reyes, Á.; et al. Let-7D-3P Is Associated with Apoptosis and Response to Neoadjuvant Chemotherapy in Ovarian Cancer. Oncol. Rep. 2018, 39, 3086–3094. [Google Scholar]
- Wang, X.; Cao, L.; Wang, Y.; Wang, X.; Liu, N.; You, Y. Regulation of let-7 and its target oncogenes (Review). Oncol. Lett. 2012, 3, 955–960. [Google Scholar] [CrossRef]
- Cinkornpumin, J.; Roos, M.; Nguyen, L.; Liu, X.; Gaeta, X.; Lin, S.; Chan, D.N.; Liu, A.; Gregory, R.I.; Jung, M.; et al. A small molecule screen to identify regulators of let-7 targets. Sci. Rep. 2017, 7, 1–10. [Google Scholar] [CrossRef]
- Wang, Y.; Zhou, J.; Chen, Y.; Wang, C.; Wu, E.; Fu, L.; Xie, C. Quantification of distinct let-7 microRNA family members by a modified stem-loop RT-qPCR. Mol. Med. Rep. 2018, 17, 3690–3696. [Google Scholar] [CrossRef]
- Rupaimoole, R.; Slack, F.J. MicroRNA therapeutics: Towards a new era for the management of cancer and other diseases. Nat. Rev. Drug Discov. 2017, 16, 203–221. [Google Scholar] [CrossRef]
- Barh, D.; Malhotra, R.; Ravi, B.; Sindhurani, P. MicroRNA let-7: An emerging next-generation cancer therapeutic. Curr. Oncol. 2010, 17, 70–80. [Google Scholar] [CrossRef] [PubMed]
- Winter, J.; Jung, S.; Keller, S.; Gregory, R.I.; Diederichs, S. Many roads to maturity: MicroRNA biogenesis pathways and their regulation. Nat. Cell Biol. 2009, 11, 228–234. [Google Scholar] [CrossRef] [PubMed]
- Rupaimoole, R.; Calin, G.A.; Lopez-Berestein, G.; Sood, A.K. MiRNA deregulation in cancer cells and the tumor microenvironment. Cancer Discov. 2016, 6, 235–246. [Google Scholar] [CrossRef] [PubMed]
- Ma, F.; Lin, P.; Chen, Q.; Lu, X.; Zhang, Y.E.; Wu, C.-I. Direct measurement of pervasive weak repression by microRNAs and their role at the network level. BMC Genomics 2018, 19, 362. [Google Scholar] [CrossRef] [PubMed]
- Kowalewska, M.; Bakula-Zalewska, E.; Chechlinska, M.; Goryca, K.; Nasierowska-Guttmejer, A.; Danska-Bidzinska, A.; Bidzinski, M. microRNAs in uterine sarcomas and mixed epithelial-mesenchymal uterine tumors: A preliminary report. Tumour Biol. 2013, 34, 2153–2160. [Google Scholar] [CrossRef] [PubMed]
- Roberts, M.E.; Aynardi, J.T.; Chu, C.S. Uterine leiomyosarcoma: A review of the literature and update on management options. Gynecol. Oncol. 2018, 151, 562–572. [Google Scholar] [CrossRef]
- Loizzi, V.; Cormio, G.; Nestola, D.; Falagario, M.; Surgo, A.; Camporeale, A.; Putignano, G.; Selvaggi, L. Prognostic Factors and Outcomes in 28 Cases of Uterine Leiomyosarcoma. Oncology 2011, 81, 91–97. [Google Scholar] [CrossRef]
- Arend, R.C.; Toboni, M.D.; Montgomery, A.M.; Burger, R.A.; Olawaiye, A.B.; Monk, B.J.; Herzog, T.J. Systemic Treatment of Metastatic/Recurrent Uterine Leiomyosarcoma: A Changing Paradigm. Oncologist 2018, 1–13. [Google Scholar] [CrossRef]
- Gockley, A.A.; Rauh-Hain, J.A.; del Carmen, M.G. Uterine leiomyosarcoma: A review article. Int. J. Gynecol. Cancer 2014, 24, 1538–1542. [Google Scholar] [CrossRef]
- De Almeida, B.; Garcia, N.; Maffazioli, G.; dos Anjos, L.G.; Baracat, E.C.; Carvalho, K.C. Oncomirs Expression Profiling in Uterine Leiomyosarcoma Cells. Int. J. Mol. Sci. 2017, 19, 52. [Google Scholar] [CrossRef]
- geNorm Normalization of Real-Time PCR Expression Data. Available online: https://genorm.cmgg.be/ (accessed on 22 January 2019).
- Hamberg, M.; Backes, C.; Fehlmann, T.; Hart, M.; Meder, B.; Meese, E.; Keller, A. miRTargetLink—miRNAs, Genes and Interaction Networks. Int. J. Mol. Sci. 2016, 17, 564. [Google Scholar] [CrossRef] [PubMed]
- Kumari, S.; Nie, J.; Chen, H.-S.; Ma, H.; Stewart, R.; Li, X.; Lu, M.-Z.; Taylor, W.M.; Wei, H. Evaluation of gene association methods for coexpression network construction and biological knowledge discovery. PLoS ONE 2012, 7, e50411. [Google Scholar] [CrossRef] [PubMed]
- Johnson, C.D.; Esquela-Kerscher, A.; Stefani, G.; Byrom, M.; Kelnar, K.; Ovcharenko, D.; Wilson, M.; Wang, X.; Shelton, J.; Shingara, J.; et al. The let-7 microRNA represses cell proliferation pathways in human cells. Cancer Res. 2007, 67, 7713–7722. [Google Scholar] [CrossRef] [PubMed]
- Gilles, M.-E.; Slack, F.J. Let-7 microRNA as a potential therapeutic target with implications for immunotherapy. Expert Opin. Ther. Targets 2018, 22, 929–939. [Google Scholar] [CrossRef]
- Lamperska, K.M.; Kolenda, T.; Teresiak, A.; Kowalik, A.; Kruszyna-Mochalska, M.; Jackowiak, W.; Bliźniak, R.; Przybyła, W.; Kapałczyńska, M.; Kozlowski, P. Different levels of let-7d expression modulate response of FaDu cells to irradiation and chemotherapeutics. PLoS ONE 2017, 12, e0180265. [Google Scholar] [CrossRef]
- Pedroza-Torres, A.; Fernández-Retana, J.; Peralta-Zaragoza, O.; Jacobo-Herrera, N.; Cantú de Leon, D.; Cerna-Cortés, J.F.; Lopez-Camarillo, C.; Pérez-Plasencia, C. A microRNA expression signature for clinical response in locally advanced cervical cancer. Gynecol. Oncol. 2016, 142, 557–565. [Google Scholar] [CrossRef]
- Shi, G.; Perle, M.A.; Mittal, K.; Chen, H.; Zou, X.; Narita, M.; Hernando, E.; Lee, P.; Wei, J.J. Let-7 repression leads to HMGA2 overexpression in uterine leiomyosarcoma. J. Cell. Mol. Med. 2009, 13, 3898–3905. [Google Scholar] [CrossRef]
- Xiao, M.; Cai, J.; Cai, L.; Jia, J.; Xie, L.; Zhu, Y.; Huang, B.; Jin, D.; Wang, Z. Let-7e sensitizes epithelial ovarian cancer to cisplatin through repressing DNA double strand break repair. J. Ovarian Res. 2017, 10, 24. [Google Scholar] [CrossRef]
- Ramezanpour, M.; Daei, P.; Tabarzad, M.; Khanaki, K.; Elmi, A.; Barati, M. Preliminary study on the effect of nucleolin specific aptamer-miRNA let-7d chimera on Janus kinase-2 expression level and activity in gastric cancer (MKN-45) cells. Mol. Biol. Rep. 2018, 46, 207–215. [Google Scholar] [CrossRef]
- Lee, I.; Ajay, S.S.; Chen, H.; Maruyama, A.; Wang, N.; McInnis, M.G.; Athey, B.D. Discriminating single-base difference miRNA expressions using microarray Probe Design Guru (ProDeG). Nucleic Acids Res. 2008, 36, e27. [Google Scholar] [CrossRef]
- Chou, C.-H.; Shrestha, S.; Yang, C.-D.; Chang, N.-W.; Lin, Y.-L.; Liao, K.-W.; Huang, W.-C.; Sun, T.-H.; Tu, S.-J.; Lee, W.-H.; et al. miRTarBase update 2018: A resource for experimentally validated microRNA-target interactions. Nucleic Acids Res. 2018, 46, D296–D302. [Google Scholar] [CrossRef] [PubMed]
- Lee, H.; Han, S.; Kwon, C.S.; Lee, D. Biogenesis and regulation of the let-7 miRNAs and their functional implications. Protein Cell 2016, 7, 100–113. [Google Scholar] [CrossRef] [PubMed]
- Peng, Y.; Croce, C.M. The role of MicroRNAs in human cancer. Signal. Transduct. Target. Ther. 2016, 1, 15004. [Google Scholar] [CrossRef] [PubMed]
- Balzeau, J.; Menezes, M.R.; Cao, S.; Hagan, J.P. The LIN28/let-7 pathway in cancer. Front. Genet. 2017, 8, 1–16. [Google Scholar] [CrossRef] [PubMed]
- Lightfoot, H.L.; Miska, E.A.; Balasubramanian, S. Identification of small molecule inhibitors of the Lin28-mediated blockage of pre-let-7g processing. Org. Biomol. Chem. 2016, 14, 10208–10216. [Google Scholar] [CrossRef]
- Huang, J.; Lin, H.; Zhong, M.; Huang, J.; Sun, S.; Lin, L.; Chen, Y. Role of lin28a/let-7a/c-myc pathway in growth and malignant behavior of papillary thyroid carcinoma. Med. Sci. Monit. 2018, 24, 8899–8909. [Google Scholar] [CrossRef]
- Jakymiw, A.; Patel, R.S.; Deming, N.; Bhattacharyya, I.; Shah, P.; Lamont, R.J.; Stewart, C.M.; Cohen, D.M.; Chan, E.K.L. Overexpression of dicer as a result of reduced let-7 MicroRNA levels contributes to increased cell proliferation of oral cancer cells. Genes. Chromosomes Cancer 2010, 49, 549–559. [Google Scholar] [CrossRef]
- Brueckner, B.; Stresemann, C.; Kuner, R.; Mund, C.; Musch, T.; Meister, M.; Sültmann, H.; Lyko, F. The Human let-7a-3 Locus Contains an Epigenetically Regulated MicroRNA Gene with Oncogenic Function. Cancer Res. 2007, 15, 1419–1423. [Google Scholar] [CrossRef]
- Chirshev, E.; Oberg, K.C.; Ioffe, Y.J.; Unternaehrer, J.J. Let-7 as biomarker, prognostic indicator, and therapy for precision medicine in cancer. Clin. Transl. Med. 2019, 8. [Google Scholar] [CrossRef]
- Wu, L.; Nguyen, L.H.; Zhou, K.; de Soysa, T.Y.; Li, L.; Miller, J.B.; Tian, J.; Locker, J.; Zhang, S.; Shinoda, G.; et al. Precise let-7 expression levels balance organ regeneration against tumor suppression. Elife 2015, 4, e09431. [Google Scholar] [CrossRef]
- An, X.; Sarmiento, C.; Tan, T.; Zhu, H. Regulation of multidrug resistance by microRNAs in anti-cancer therapy. Acta Pharm. Sin. B 2017, 7, 38–51. [Google Scholar] [CrossRef] [PubMed]
- Ducie, J.A.; Leitao, M.M. The role of adjuvant therapy in uterine leiomyosarcoma. Expert Rev. Anticancer Ther. 2016, 16, 45–55. [Google Scholar] [CrossRef] [PubMed]
- Pautier, P.; Floquet, A.; Gladieff, L.; Bompas, E.; Ray-Coquard, I.; Piperno-Neumann, S.; Selle, F.; Guillemet, C.; Weber, B.; Largillier, R.; et al. A randomized clinical trial of adjuvant chemotherapy with doxorubicin, ifosfamide, and cisplatin followed by radiotherapy versus radiotherapy alone in patients with localized uterine sarcomas (SARCGYN study). A study of the French Sarcoma Group. Ann. Oncol. Off. J. Eur. Soc. Med. Oncol. 2013, 24, 1099–1104. [Google Scholar] [CrossRef] [PubMed]
- Mancari, R.; Signorelli, M.; Gadducci, A.; Carinelli, S.; De Ponti, E.; Sesana, S.; Corso, S.; Chiappa, V.; Colombo, N.; Lissoni, A.A. Adjuvant chemotherapy in stage I–II uterine leiomyosarcoma: A multicentric retrospective study of 140 patients. Gynecol. Oncol. 2014, 133, 531–536. [Google Scholar] [CrossRef] [PubMed]
- Li, Y.; Ren, H.; Wang, J. Outcome of adjuvant radiotherapy after total hysterectomy in patients with uterine leiomyosarcoma or carcinosarcoma: A SEER-based study. BMC Cancer 2019, 19, 1–9. [Google Scholar] [CrossRef] [PubMed]
- López-Otín, C.; Blasco, M.A.; Partridge, L.; Serrano, M.; Kroemer, G. The hallmarks of aging. Cell 2013, 153, 1194–1217. [Google Scholar] [CrossRef] [PubMed]
- Ricci, S.; Stone, R.L.; Fader, A.N. Uterine leiomyosarcoma: Epidemiology, contemporary treatment strategies and the impact of uterine morcellation. Gynecol. Oncol. 2017, 145, 208–216. [Google Scholar] [CrossRef]
- Ma, J.; Zhan, Y.; Xu, Z.; Li, Y.; Luo, A.; Ding, F.; Cao, X.; Chen, H.; Liu, Z. ZEB1 induced miR-99b/let-7e/miR-125a cluster promotes invasion and metastasis in esophageal squamous cell carcinoma. Cancer Lett. 2017, 398, 37–45. [Google Scholar] [CrossRef]
- The Cancer Genome Atlas Program-National Cancer Institute. Available online: https://www.cancer.gov/about-nci/organization/ccg/research/structural-genomics/tcga (accessed on 17 September 2019).
- cBioPortal for Cancer Genomics. Available online: https://www.cbioportal.org/ (accessed on 17 September 2019).
- Forbes, S.A.; Beare, D.; Boutselakis, H.; Bamford, S.; Bindal, N.; Tate, J.; Cole, C.G.; Ward, S.; Dawson, E.; Ponting, L.; et al. COSMIC: Somatic cancer genetics at high-resolution. Nucleic Acids Res. 2017, 45, D777–D783. [Google Scholar] [CrossRef]
- Cui, R.; Wright, J.; Hou, J. Uterine leiomyosarcoma: A review of recent advances in molecular biology, clinical management and outcome. BJOG An. Int. J. Obstet. Gynaecol. 2017, 124, 1028–1037. [Google Scholar] [CrossRef]







| Variables | Overall Population | Percentage Frequencies |
|---|---|---|
| Clinical FIGO stage | ||
| I | 13 | 38% |
| II | 5 | 15% |
| III | 6 | 18% |
| IV | 10 | 29% |
| Relapse | ||
| No | 11 | 32% |
| Yes | 23 | 68% |
| Metastasis | ||
| No | 2 | 6% |
| Local | 10 | 29% |
| Distant | 19 | 56% |
| Local and distant | 3 | 9% |
| Menopause * | ||
| Yes | 8 | 26% |
| No | 23 | 74% |
| let-7 Family Member | Correlation Coefficient (r) | p | |
|---|---|---|---|
| let-7b | let-7a | 0.7283 | <0.0001 |
| let-7c | 0.7678 | ||
| let-7d | 0.7901 | ||
| let-7g | 0.7213 | ||
| let-7e | 0.6321 | ||
| let-7f | 0.6113 | ||
| let-7i | 0.6700 | ||
| let-7d | let-7a | 0.7488 | <0.0001 |
| let-7c | 0.8478 | ||
| let-7f | 0.7675 | ||
| let-7g | 0.8952 | ||
| let-7i | 0.7766 | ||
| let-7e | 0.6865 | ||
| let-7e | let-7c | 0.7806 | <0.0001 |
| let-7a | 0.6684 | <0.0001 | |
| let-7g | 0.6263 | <0.0001 | |
| let-7f | 0.5917 | 0.0002 | |
| let-7i | 0.5013 | 0.0025 | |
| Variable | Median ± SE | 95% CI | p |
|---|---|---|---|
| Age (n = 34) | |||
| <50 | 20.0 ± 6.84 | 6.58–33.41 | 0.567 |
| ≥50 | 18.0 ± 5.59 | 7.04–28.95 | |
| FIGO stage (n = 34) | |||
| I and II | 25.0 ± 5.33 | 14.54–35.45 | 0.142 |
| III and IV | 15.0 ± 2.97 | 9.16–20.83 | |
| Adjuvant therapy (n = 34) | |||
| No | 30.0 ± 4.40 | 21.37–38.62 | 0.031 |
| Yes | 15.0 ± 3.48 | 8.17–21.82 | |
| Histologic grade (n = 34) | |||
| Low-grade | 31.0 ± 10.0 | 11.40–50.60 | 0.097 |
| High-grade | 17.0 ± 2.92 | 11.27–22.72 | |
| Relapse (n = 27) | |||
| No | 61.0 | - | 0.078 |
| Yes | 20.0 ± 2.39 | 15.30–24.69 | |
| Metastasis (n = 34) | |||
| No | 61.0 | - | 0.143 |
| Yes | 18.0 ± 3.36 | 11.41–24.58 |
| Variable | Median ± SE | 95% CI | p |
|---|---|---|---|
| Age | |||
| <50 | 9.0 ± 4.78 | 0.00–18.37 | 0.758 |
| ≥50 | 11.0 ± 2.25 | 6.58–15.42 | |
| FIGO stage | |||
| I and II | 12.0 ± 4.52 | 3.14–20.85 | 0.834 |
| III and IV | 11.0 ± 1.54 | 7.96–14.03 | |
| Adjuvant therapy | |||
| No | 19.0 ± 6.97 | 5.32–32.67 | 0.026 |
| Yes | 8.0 ± 4.33 | 0.00–16.48 | |
| Histologic grade | |||
| Low-grade | 14.0 ± 00.0 | - | 0.642 |
| High-grade | 11.0 ± 1.97 | 7.12–14.87 |
| Variable | HR (95% CI) | p | |
|---|---|---|---|
| OS | let-7e expression 1 | 2.24 (1.00–5.00) | 0.048 |
| Adjuvant therapy 2 | 0.495 (0.21–1.12) | 0.092 | |
| DFS | let-7b expression 1 | 2.65 (0.84–8.29) | 0.093 |
| Adjuvant therapy 2 | 0.35 (0.11–1.12) | 0.079 | |
| let-7d expression 1 | 1.87 (0.61–5.77) | 0.271 | |
| Adjuvant therapy 2 | 0.39 (0.11–1.35) | 0.139 | |
© 2019 by the authors. Licensee MDPI, Basel, Switzerland. This article is an open access article distributed under the terms and conditions of the Creative Commons Attribution (CC BY) license (http://creativecommons.org/licenses/by/4.0/).
Share and Cite
de Almeida, B.C.; dos Anjos, L.G.; Uno, M.; da Cunha, I.W.; Soares, F.A.; Baiocchi, G.; Baracat, E.C.; Carvalho, K.C. Let-7 miRNA’s Expression Profile and Its Potential Prognostic Role in Uterine Leiomyosarcoma. Cells 2019, 8, 1452. https://doi.org/10.3390/cells8111452
de Almeida BC, dos Anjos LG, Uno M, da Cunha IW, Soares FA, Baiocchi G, Baracat EC, Carvalho KC. Let-7 miRNA’s Expression Profile and Its Potential Prognostic Role in Uterine Leiomyosarcoma. Cells. 2019; 8(11):1452. https://doi.org/10.3390/cells8111452
Chicago/Turabian Stylede Almeida, Bruna Cristine, Laura Gonzalez dos Anjos, Miyuki Uno, Isabela Werneck da Cunha, Fernando Augusto Soares, Glauco Baiocchi, Edmund Chada Baracat, and Katia Candido Carvalho. 2019. "Let-7 miRNA’s Expression Profile and Its Potential Prognostic Role in Uterine Leiomyosarcoma" Cells 8, no. 11: 1452. https://doi.org/10.3390/cells8111452
APA Stylede Almeida, B. C., dos Anjos, L. G., Uno, M., da Cunha, I. W., Soares, F. A., Baiocchi, G., Baracat, E. C., & Carvalho, K. C. (2019). Let-7 miRNA’s Expression Profile and Its Potential Prognostic Role in Uterine Leiomyosarcoma. Cells, 8(11), 1452. https://doi.org/10.3390/cells8111452

