Coagulation Factor Xa Has No Effects on the Expression of PAR1, PAR2, and PAR4 and No Proinflammatory Effects on HL-1 Cells
Abstract
1. Introduction
2. Materials and Methods
2.1. Cell Culture
2.2. RT-PCR
2.3. Western Blot Analysis
2.4. Statistical Analysis
3. Results
3.1. No Change in the Expression of PAR1, PAR2, and PAR4 after FXa-Incubation
3.2. No Change in the Expression of von PAR1, PAR2 und PAR4 after PAR1- and PAR2-AG-Incubations
3.3. No Change in the Phosphorylation of ERK1/2 after FXa and PAR1- and PAR2-AG Incubations
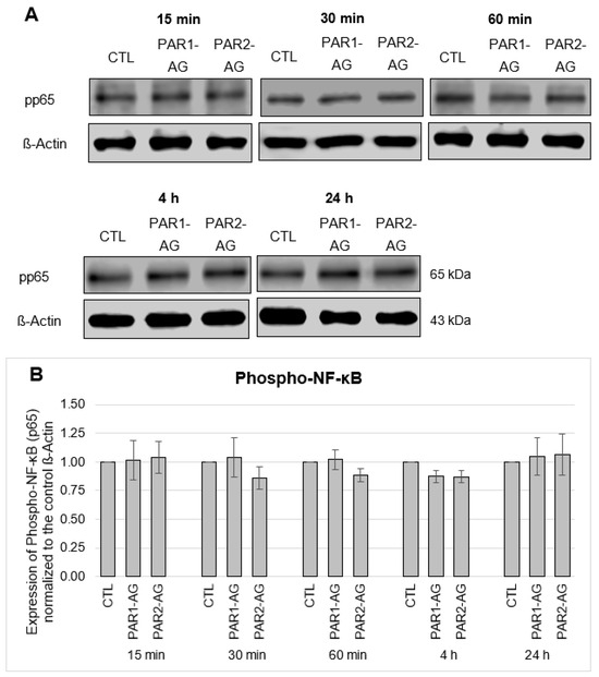
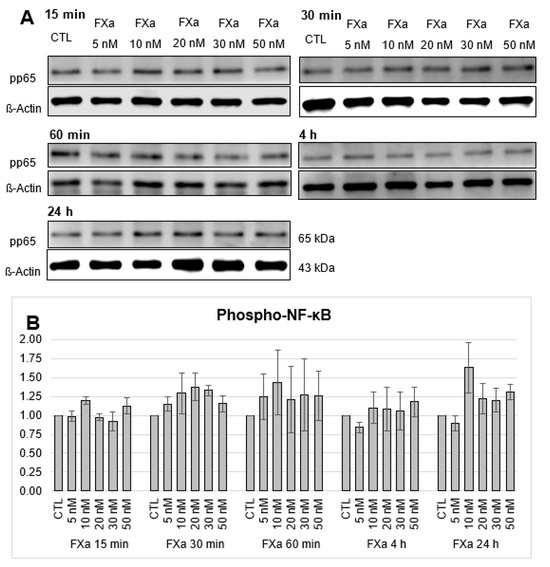
3.4. No Change in the Phosphorylation of Transcription Factor NF-κB after FXa and PAR1- and PAR2-AG Incubations
3.5. No Change in the mRNA Expression of the Cell Adhesion Molecules ICAM-1, VCAM-1, and Fibronectin after FXa and PAR1- and PAR2-AG Incubations
4. Discussion
5. Study Limitations
6. Conclusions
Author Contributions
Funding
Institutional Review Board Statement
Informed Consent Statement
Data Availability Statement
Conflicts of Interest
Appendix A






References
- Camm, A.J.; Lip, G.Y.; De Caterina, R.; Savelieva, I.; Atar, D.; Hohnloser, S.H.; Hindricks, G.; Kirchhof, P.; ESC Committee for Practice Guidelines (CPG). 2012 Focused Update of the Esc Guidelines for the Management of Atrial Fibrillation: An Update of the 2010 Esc Guidelines for the Management of Atrial Fibrillation. Developed with the Special Contribution of the European Heart Rhythm Association. Eur. Heart J. 2012, 33, 2719–2747. [Google Scholar] [CrossRef]
- Chugh, S.S.; Havmoeller, R.; Narayanan, K.; Singh, D.; Rienstra, M.; Benjamin, E.J.; Gillum, R.F.; Kim, Y.H.; McAnulty, J.H., Jr.; Zheng, Z.J.; et al. Worldwide Epidemiology of Atrial Fibrillation: A Global Burden of Disease 2010 Study. Circulation 2014, 129, 837–847. [Google Scholar] [CrossRef]
- Miyasaka, Y.; Barnes, M.E.; Gersh, B.J.; Cha, S.S.; Bailey, K.R.; Abhayaratna, W.P.; Seward, J.B.; Tsang, T.S. Secular Trends in Incidence of Atrial Fibrillation in Olmsted County, Minnesota, 1980 to 2000, and Implications on the Projections for Future Prevalence. Circulation 2006, 114, 119–125. [Google Scholar] [CrossRef]
- Wolf, P.A.; Benjamin, E.J.; Belanger, A.J.; Kannel, W.B.; Levy, D.; D’Agostino, R.B. Secular Trends in the Prevalence of Atrial Fibrillation: The Framingham Study. Am. Heart J. 1996, 131, 790–795. [Google Scholar] [CrossRef]
- Marini, C.; De Santis, F.; Sacco, S.; Russo, T.; Olivieri, L.; Totaro, R.; Carolei, A. Contribution of Atrial Fibrillation to Incidence and Outcome of Ischemic Stroke: Results from a Population-Based Study. Stroke 2005, 36, 1115–1119. [Google Scholar] [CrossRef]
- Stewart, S.; Hart, C.L.; Hole, D.J.; McMurray, J.J. A Population-Based Study of the Long-Term Risks Associated with Atrial Fibrillation: 20-Year Follow-up of the Renfrew/Paisley Study. Am. J. Med. 2002, 113, 359–364. [Google Scholar] [CrossRef]
- Steinberg, B.A.; Kim, S.; Fonarow, G.C.; Thomas, L.; Ansell, J.; Kowey, P.R.; Mahaffey, K.W.; Gersh, B.J.; Hylek, E.; Naccarelli, G.; et al. Drivers of Hospitalization for Patients with Atrial Fibrillation: Results from the Outcomes Registry for Better Informed Treatment of Atrial Fibrillation (Orbit-Af). Am. Heart J. 2014, 167, 735–742 e732. [Google Scholar] [CrossRef]
- Schotten, U.; Verheule, S.; Kirchhof, P.; Goette, A. Pathophysiological Mechanisms of Atrial Fibrillation: A Translational Appraisal. Physiol. Rev. 2011, 91, 265–325. [Google Scholar] [CrossRef]
- Spronk, H.M.; De Jong, A.M.; Verheule, S.; De Boer, H.C.; Maass, A.H.; Lau, D.H.; Rienstra, M.; van Hunnik, A.; Kuiper, M.; Lumeij, S.; et al. Hypercoagulability Causes Atrial Fibrosis and Promotes Atrial Fibrillation. Eur. Heart J. 2017, 38, 38–50. [Google Scholar] [CrossRef]
- Steinberg, S.F. The Cardiovascular Actions of Protease-Activated Receptors. Mol. Pharmacol. 2005, 67, 2–11. [Google Scholar] [CrossRef] [PubMed]
- Macfarlane, S.R.; Seatter, M.J.; Kanke, T.; Hunter, G.D.; Plevin, R. Proteinase-Activated Receptors. Pharmacol. Rev. 2001, 53, 245–282. [Google Scholar]
- Heuberger, D.M.; Schuepbach, R.A. Protease-Activated Receptors (Pars): Mechanisms of Action and Potential Therapeutic Modulators in Par-Driven Inflammatory Diseases. Thromb. J. 2019, 17, 4. [Google Scholar] [CrossRef]
- Pawlinski, R.; Tencati, M.; Hampton, C.R.; Shishido, T.; Bullard, T.A.; Casey, L.M.; Andrade-Gordon, P.; Kotzsch, M.; Spring, D.; Luther, T.; et al. Protease-Activated Receptor-1 Contributes to Cardiac Remodeling and Hypertrophy. Circulation 2007, 116, 2298–2306. [Google Scholar] [CrossRef]
- Camerer, E.; Huang, W.; Coughlin, S.R. Tissue Factor- and Factor X-Dependent Activation of Protease-Activated Receptor 2 by Factor Viia. Proc. Natl. Acad. Sci. USA 2000, 97, 5255–5260. [Google Scholar] [CrossRef]
- Nystedt, S.; Emilsson, K.; Wahlestedt, C.; Sundelin, J. Molecular Cloning of a Potential Proteinase Activated Receptor. Proc. Natl. Acad. Sci. USA 1994, 91, 9208–9212. [Google Scholar] [CrossRef]
- Sidhu, T.S.; French, S.L.; Hamilton, J.R. Differential Signaling by Protease-Activated Receptors: Implications for Therapeutic Targeting. Int. J. Mol. Sci. 2014, 15, 6169–6183. [Google Scholar] [CrossRef]
- Kahn, M.L.; Zheng, Y.W.; Huang, W.; Bigornia, V.; Zeng, D.; Moff, S.; Farese, R.V., Jr.; Tam, C.; Coughlin, S.R. A Dual Thrombin Receptor System for Platelet Activation. Nature 1998, 394, 690–694. [Google Scholar] [CrossRef]
- Kahn, M.L.; Nakanishi-Matsui, M.; Shapiro, M.J.; Ishihara, H.; Coughlin, S.R. Protease-Activated Receptors 1 and 4 Mediate Activation of Human Platelets by Thrombin. J. Clin. Investig. 1999, 103, 879–887. [Google Scholar] [CrossRef]
- Bukowska, A.; Zacharias, I.; Weinert, S.; Skopp, K.; Hartmann, C.; Huth, C.; Goette, A. Coagulation Factor Xa Induces an Inflammatory Signalling by Activation of Protease-Activated Receptors in Human Atrial Tissue. Eur. J. Pharmacol. 2013, 718, 114–123. [Google Scholar] [CrossRef] [PubMed]
- Zhou, P.; Pu, W.T. Recounting Cardiac Cellular Composition. Circ. Res. 2016, 118, 368–370. [Google Scholar] [CrossRef] [PubMed]
- Borensztajn, K.; Stiekema, J.; Nijmeijer, S.; Reitsma, P.H.; Peppelenbosch, M.P.; Spek, C.A. Factor Xa Stimulates Proinflammatory and Profibrotic Responses in Fibroblasts Via Protease-Activated Receptor-2 Activation. Am. J. Pathol. 2008, 172, 309–320. [Google Scholar] [CrossRef]
- Blanc-Brude, O.P.; Archer, F.; Leoni, P.; Derian, C.; Bolsover, S.; Laurent, G.J.; Chambers, R.C. Factor Xa Stimulates Fibroblast Procollagen Production, Proliferation, and Calcium Signaling Via Par1 Activation. Exp. Cell Res. 2005, 304, 16–27. [Google Scholar] [CrossRef]
- Guo, X.; Kolpakov, M.A.; Hooshdaran, B.; Schappell, W.; Wang, T.; Eguchi, S.; Elliott, K.J.; Tilley, D.G.; Rao, A.K.; Andrade-Gordon, P.; et al. Cardiac Expression of Factor X Mediates Cardiac Hypertrophy and Fibrosis in Pressure Overload. JACC Basic Transl. Sci. 2020, 5, 69–83. [Google Scholar] [CrossRef]
- Claycomb, W.C.; Lanson, N.A., Jr.; Stallworth, B.S.; Egeland, D.B.; Delcarpio, J.B.; Bahinski, A.; Izzo, N.J., Jr. Hl-1 Cells: A Cardiac Muscle Cell Line That Contracts and Retains Phenotypic Characteristics of the Adult Cardiomyocyte. Proc. Natl. Acad. Sci. USA 1998, 95, 2979–2984. [Google Scholar] [CrossRef]
- Brass, L.F.; Vassallo, R.R., Jr.; Belmonte, E.; Ahuja, M.; Cichowski, K.; Hoxie, J.A. Structure and Function of the Human Platelet Thrombin Receptor. Studies Using Monoclonal Antibodies Directed against a Defined Domain within the Receptor N Terminus. J. Biol. Chem. 1992, 267, 13795–13798. [Google Scholar] [CrossRef]
- Pearson, G.; Robinson, F.; Beers Gibson, T.; Xu, B.E.; Karandikar, M.; Berman, K.; Cobb, M.H. Mitogen-Activated Protein (Map) Kinase Pathways: Regulation and Physiological Functions. Endocr. Rev. 2001, 22, 153–183. [Google Scholar] [CrossRef]
- Ossovskaya, V.S.; Bunnett, N.W. Protease-Activated Receptors: Contribution to Physiology and Disease. Physiol. Rev. 2004, 84, 579–621. [Google Scholar] [CrossRef]
- Field, L.J. Atrial Natriuretic Factor-Sv40 T Antigen Transgenes Produce Tumors and Cardiac Arrhythmias in Mice. Science 1988, 239, 1029–1033. [Google Scholar] [CrossRef]
- Jiang, T.; Kuznetsov, V.; Pak, E.; Zhang, H.; Robinson, R.B.; Steinberg, S.F. Thrombin Receptor Actions in Neonatal Rat Ventricular Myocytes. Circ. Res. 1996, 78, 553–563. [Google Scholar] [CrossRef]
- Glembotski, C.C.; Irons, C.E.; Krown, K.A.; Murray, S.F.; Sprenkle, A.B.; Sei, C.A. Myocardial Alpha-Thrombin Receptor Activation Induces Hypertrophy and Increases Atrial Natriuretic Factor Gene Expression. J. Biol. Chem. 1993, 268, 20646–20652. [Google Scholar] [CrossRef]
- Kuliopulos, A.; Covic, L.; Seeley, S.K.; Sheridan, P.J.; Helin, J.; Costello, C.E. Plasmin Desensitization of the Par1 Thrombin Receptor: Kinetics, Sites of Truncation, and Implications for Thrombolytic Therapy. Biochemistry 1999, 38, 4572–4585. [Google Scholar] [CrossRef] [PubMed]
- Tordai, A.; Brass, L.F.; Gelfand, E.W. Tunicamycin Inhibits the Expression of Functional Thrombin Receptors on Human T-Lymphoblastoid Cells. Biochem. Biophys. Res. Commun. 1995, 206, 857–862. [Google Scholar] [CrossRef] [PubMed]
- Soto, A.G.; Trejo, J. N-Linked Glycosylation of Protease-Activated Receptor-1 Second Extracellular Loop: A Critical Determinant for Ligand-Induced Receptor Activation and Internalization. J. Biol. Chem. 2010, 285, 18781–18793. [Google Scholar] [CrossRef]
- Compton, S.J.; Sandhu, S.; Wijesuriya, S.J.; Hollenberg, M.D. Glycosylation of Human Proteinase-Activated Receptor-2 (Hpar2): Role in Cell Surface Expression and Signalling. Biochem. J. 2002, 368, 495–505. [Google Scholar] [CrossRef] [PubMed]
- Bohm, S.K.; Kong, W.; Bromme, D.; Smeekens, S.P.; Anderson, D.C.; Connolly, A.; Kahn, M.; Nelken, N.A.; Coughlin, S.R.; Payan, D.G.; et al. Molecular Cloning, Expression and Potential Functions of the Human Proteinase-Activated Receptor-2. Biochem. J. 1996, 314 Pt 3, 1009–1016. [Google Scholar] [CrossRef] [PubMed]
- Xu, W.F.; Andersen, H.; Whitmore, T.E.; Presnell, S.R.; Yee, D.P.; Ching, A.; Gilbert, T.; Davie, E.W.; Foster, D.C. Cloning and Characterization of Human Protease-Activated Receptor 4. Proc. Natl. Acad. Sci. USA 1998, 95, 6642–6646. [Google Scholar] [CrossRef] [PubMed]
- D’Alessandro, E.; Scaf, B.; Munts, C.; van Hunnik, A.; Trevelyan, C.J.; Verheule, S.; Spronk, H.M.H.; Turner, N.A.; Ten Cate, H.; Schotten, U.; et al. Coagulation Factor Xa Induces Proinflammatory Responses in Cardiac Fibroblasts Via Activation of Protease-Activated Receptor-1. Cells 2021, 10, 2958. [Google Scholar] [CrossRef]
- Cardin, S.; Li, D.; Thorin-Trescases, N.; Leung, T.K.; Thorin, E.; Nattel, S. Evolution of the Atrial Fibrillation Substrate in Experimental Congestive Heart Failure: Angiotensin-Dependent and -Independent Pathways. Cardiovasc. Res. 2003, 60, 315–325. [Google Scholar] [CrossRef]
- Goette, A.; Staack, T.; Rocken, C.; Arndt, M.; Geller, J.C.; Huth, C.; Ansorge, S.; Klein, H.U.; Lendeckel, U. Increased Expression of Extracellular Signal-Regulated Kinase and Angiotensin-Converting Enzyme in Human Atria during Atrial Fibrillation. J. Am. Coll. Cardiol. 2000, 35, 1669–1677. [Google Scholar] [CrossRef]
- Sabri, A.; Short, J.; Guo, J.; Steinberg, S.F. Protease-Activated Receptor-1-Mediated DNA Synthesis in Cardiac Fibroblast Is Via Epidermal Growth Factor Receptor Transactivation: Distinct Par-1 Signaling Pathways in Cardiac Fibroblasts and Cardiomyocytes. Circ. Res. 2002, 91, 532–539. [Google Scholar] [CrossRef]
- Climent, A.M.; Guillem, M.S.; Fuentes, L.; Lee, P.; Bollensdorff, C.; Fernandez-Santos, M.E.; Suarez-Sancho, S.; Sanz-Ruiz, R.; Sanchez, P.L.; Atienza, F.; et al. Role of Atrial Tissue Remodeling on Rotor Dynamics: An in Vitro Study. Am. J. Physiol. Heart Circ. Physiol. 2015, 309, H1964–H1973. [Google Scholar] [CrossRef]
- van Gorp, P.R.R.; Trines, S.A.; Pijnappels, D.A.; de Vries, A.A.F. Multicellular in Vitro Models of Cardiac Arrhythmias: Focus on Atrial Fibrillation. Front. Cardiovasc. Med. 2020, 7, 43. [Google Scholar] [CrossRef]
- Sartiani, L.; Bochet, P.; Cerbai, E.; Mugelli, A.; Fischmeister, R. Functional Expression of the Hyperpolarization-Activated, Non-Selective Cation Current I(F) in Immortalized Hl-1 Cardiomyocytes. J. Physiol. 2002, 545, 81–92. [Google Scholar] [CrossRef]
- Dias, P.; Desplantez, T.; El-Harasis, M.A.; Chowdhury, R.A.; Ullrich, N.D.; Cabestrero de Diego, A.; Peters, N.S.; Severs, N.J.; MacLeod, K.T.; Dupont, E. Characterisation of Connexin Expression and Electrophysiological Properties in Stable Clones of the Hl-1 Myocyte Cell Line. PLoS ONE 2014, 9, e90266. [Google Scholar] [CrossRef][Green Version]
- Monge, C.; Beraud, N.; Tepp, K.; Pelloux, S.; Chahboun, S.; Kaambre, T.; Kadaja, L.; Roosimaa, M.; Piirsoo, A.; Tourneur, Y.; et al. Comparative Analysis of the Bioenergetics of Adult Cardiomyocytes and Nonbeating Hl-1 Cells: Respiratory Chain Activities, Glycolytic Enzyme Profiles, and Metabolic Fluxes. Can. J. Physiol. Pharmacol. 2009, 87, 318–326. [Google Scholar] [CrossRef]
- Kuznetsov, A.V.; Javadov, S.; Sickinger, S.; Frotschnig, S.; Grimm, M. H9c2 and Hl-1 Cells Demonstrate Distinct Features of Energy Metabolism, Mitochondrial Function and Sensitivity to Hypoxia-Reoxygenation. Biochim. Biophys. Acta 2015, 1853, 276–284. [Google Scholar] [CrossRef]
- Derian, C.K.; Santulli, R.J.; Tomko, K.A.; Haertlein, B.J.; Andrade-Gordon, P. Species Differences in Platelet Responses to Thrombin and Sfllrn. Receptor-Mediated Calcium Mobilization and Aggregation, and Regulation by Protein Kinases. Thromb. Res. 1995, 78, 505–519. [Google Scholar] [CrossRef]
- Nakajima, H.; Nakajima, H.O.; Salcher, O.; Dittie, A.S.; Dembowsky, K.; Jing, S.; Field, L.J. Atrial but Not Ventricular Fibrosis in Mice Expressing a Mutant Transforming Growth Factor-Beta(1) Transgene in the Heart. Circ. Res. 2000, 86, 571–579. [Google Scholar] [CrossRef] [PubMed]
- Li, F.; Wang, X.; Capasso, J.M.; Gerdes, A.M. Rapid Transition of Cardiac Myocytes from Hyperplasia to Hypertrophy During Postnatal Development. J. Mol. Cell. Cardiol. 1996, 28, 1737–1746. [Google Scholar] [CrossRef] [PubMed]
- Soonpaa, M.H.; Kim, K.K.; Pajak, L.; Franklin, M.; Field, L.J. Cardiomyocyte DNA Synthesis and Binucleation During Murine Development. Am. J. Physiol. 1996, 271, H2183–H2189. [Google Scholar] [CrossRef] [PubMed]
- Onódi, Z.; Visnovitz, T.; Kiss, B.; Hambalkó, S.; Koncz, A.; Ágg, B.; Váradi, B.; Tóth, V.; Nagy, R.N.; Gergely, T.G.; et al. Systematic Transcriptomic and Phenotypic Characterization of Human and Murine Cardiac Myocyte Cell Lines and Primary Cardiomyocytes Reveals Serious Limitations and Low Resemblances to Adult Cardiac Phenotype. J. Mol. Cell. Cardiol. 2022, 165, 19–30. [Google Scholar] [CrossRef] [PubMed]
- Trejo, J. Protease-Activated Receptors: New Concepts in Regulation of G Protein-Coupled Receptor Signaling and Trafficking. J. Pharmacol. Exp. Ther. 2003, 307, 437–442. [Google Scholar] [CrossRef] [PubMed]
- Rauch, B.H.; Millette, E.; Kenagy, R.D.; Daum, G.; Clowes, A.W. Thrombin- and Factor Xa-Induced DNA Synthesis Is Mediated by Transactivation of Fibroblast Growth Factor Receptor-1 in Human Vascular Smooth Muscle Cells. Circ. Res. 2004, 94, 340–345. [Google Scholar] [CrossRef] [PubMed]
- Friebel, J.; Weithauser, A.; Witkowski, M.; Rauch, B.H.; Savvatis, K.; Dorner, A.; Tabaraie, T.; Kasner, M.; Moos, V.; Bosel, D.; et al. Protease-Activated Receptor 2 Deficiency Mediates Cardiac Fibrosis and Diastolic Dysfunction. Eur. Heart J. 2019, 40, 3318–3332. [Google Scholar] [CrossRef] [PubMed]
- Albitz, R.; Droogmans, G.; Nilius, B.; Casteels, R. Thrombin Stimulates L-Type Calcium Channels of Guinea Pig Cardiomyocytes in Cell-Attached Patches but Not after Intracellular Dialysis. Cell Calcium 1992, 13, 203–210. [Google Scholar] [CrossRef]
- Lin, C.; Rezaee, F.; Waasdorp, M.; Shi, K.; van der Poll, T.; Borensztajn, K.; Spek, C.A. Protease Activated Receptor-1 Regulates Macrophage-Mediated Cellular Senescence: A Risk for Idiopathic Pulmonary Fibrosis. Oncotarget 2015, 6, 35304–35314. [Google Scholar] [CrossRef]
- Borensztajn, K.; Aberson, H.; Peppelenbosch, M.P.; Spek, C.A. Fxa-Induced Intracellular Signaling Links Coagulation to Neoangiogenesis: Potential Implications for Fibrosis. Biochim. Biophys. Acta 2009, 1793, 798–805. [Google Scholar] [CrossRef][Green Version]
- Dorn, L.E.; Petrosino, J.M.; Wright, P.; Accornero, F. Ctgf/Ccn2 Is an Autocrine Regulator of Cardiac Fibrosis. J. Mol. Cell. Cardiol. 2018, 121, 205–211. [Google Scholar] [CrossRef]
- Salvarani, N.; Maguy, A.; De Simone, S.A.; Miragoli, M.; Jousset, F.; Rohr, S. Tgf-Β1(Transforming Growth Factor-Β1) Plays a Pivotal Role in Cardiac Myofibroblast Arrhythmogenicity. Circ. Arrhythmia Electrophysiol. 2017, 10, e004567. [Google Scholar] [CrossRef]
- Grand, T.; Salvarani, N.; Jousset, F.; Rohr, S. Aggravation of Cardiac Myofibroblast Arrhythmogeneicity by Mechanical Stress. Cardiovasc. Res. 2014, 104, 489–500. [Google Scholar] [CrossRef][Green Version]
- Jiang, T.; Danilo, P., Jr.; Steinberg, S.F. The Thrombin Receptor Elevates Intracellular Calcium in Adult Rat Ventricular Myocytes. J. Mol. Cell. Cardiol. 1998, 30, 2193–2199. [Google Scholar] [CrossRef] [PubMed]
- Macfarlane, S.R.; Sloss, C.M.; Cameron, P.; Kanke, T.; McKenzie, R.C.; Plevin, R. The Role of Intracellular Ca2+ in the Regulation of Proteinase-Activated Receptor-2 Mediated Nuclear Factor Kappa B Signalling in Keratinocytes. Br. J. Pharmacol. 2005, 145, 535–544. [Google Scholar] [CrossRef] [PubMed]
- Di Scipio, R.G.; Hermodson, M.A.; Yates, S.G.; Davie, E.W. A Comparison of Human Prothrombin, Factor Ix (Christmas Factor), Factor X (Stuart Factor), and Protein S. Biochemistry 1977, 16, 698–706. [Google Scholar] [CrossRef] [PubMed]
- Lawson, J.H.; Kalafatis, M.; Stram, S.; Mann, K.G. A Model for the Tissue Factor Pathway to Thrombin. I. An Empirical Study. J. Biol. Chem. 1994, 269, 23357–23366. [Google Scholar] [CrossRef]
- Riewald, M.; Kravchenko, V.V.; Petrovan, R.J.; O’Brien, P.J.; Brass, L.F.; Ulevitch, R.J.; Ruf, W. Gene Induction by Coagulation Factor Xa Is Mediated by Activation of Protease-Activated Receptor 1. Blood 2001, 97, 3109–3116. [Google Scholar] [CrossRef]
- Riewald, M.; Ruf, W. Mechanistic Coupling of Protease Signaling and Initiation of Coagulation by Tissue Factor. Proc. Natl. Acad. Sci. USA 2001, 98, 7742–7747. [Google Scholar] [CrossRef]










| Primary Antibodies | Species | Type | Manufacturer | Dilution |
|---|---|---|---|---|
| Phospho- Erk 1/2 | mouse | monoclonal | Cell Signaling, Danvers, MA, USA | 1:500 |
| Phospho-NF-KB p65 | rabbit | monoclonal | 1:500 | |
| ERK 1/2 | rabbit | polyclonal | 1:1000 | |
| PAR1 | mouse | monoclonal | Santa Cruz, Dallas, TX, USA | 1:500 |
| PAR2 | mouse | monoclonal | 1:500 | |
| PAR4 | mouse | monoclonal | 1:500 | |
| ß-Actin | mouse | monoclonal | 1:5000 |
Disclaimer/Publisher’s Note: The statements, opinions and data contained in all publications are solely those of the individual author(s) and contributor(s) and not of MDPI and/or the editor(s). MDPI and/or the editor(s) disclaim responsibility for any injury to people or property resulting from any ideas, methods, instructions or products referred to in the content. |
© 2023 by the authors. Licensee MDPI, Basel, Switzerland. This article is an open access article distributed under the terms and conditions of the Creative Commons Attribution (CC BY) license (https://creativecommons.org/licenses/by/4.0/).
Share and Cite
Ruf, L.; Bukowska, A.; Gardemann, A.; Goette, A. Coagulation Factor Xa Has No Effects on the Expression of PAR1, PAR2, and PAR4 and No Proinflammatory Effects on HL-1 Cells. Cells 2023, 12, 2849. https://doi.org/10.3390/cells12242849
Ruf L, Bukowska A, Gardemann A, Goette A. Coagulation Factor Xa Has No Effects on the Expression of PAR1, PAR2, and PAR4 and No Proinflammatory Effects on HL-1 Cells. Cells. 2023; 12(24):2849. https://doi.org/10.3390/cells12242849
Chicago/Turabian StyleRuf, Lukas, Alicja Bukowska, Andreas Gardemann, and Andreas Goette. 2023. "Coagulation Factor Xa Has No Effects on the Expression of PAR1, PAR2, and PAR4 and No Proinflammatory Effects on HL-1 Cells" Cells 12, no. 24: 2849. https://doi.org/10.3390/cells12242849
APA StyleRuf, L., Bukowska, A., Gardemann, A., & Goette, A. (2023). Coagulation Factor Xa Has No Effects on the Expression of PAR1, PAR2, and PAR4 and No Proinflammatory Effects on HL-1 Cells. Cells, 12(24), 2849. https://doi.org/10.3390/cells12242849

