Amazonia Phytotherapy Reduces Ischemia and Reperfusion Injury in the Kidneys
Abstract
1. Introduction
2. Materials and Methods
3. Results
3.1. Phytochemical Analysis
3.2. Renal Function Analysis
3.3. Physiological Parameters
3.4. Renal Function
3.5. Renal Hemodynamics
3.6. Oxidative Profile
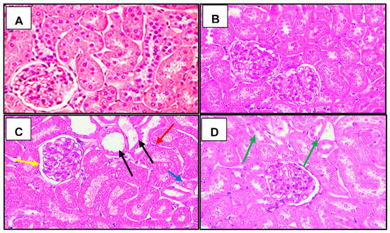
3.7. Histological Analysis
4. Discussion
5. Conclusions
Author Contributions
Funding
Institutional Review Board Statement
Data Availability Statement
Conflicts of Interest
References
- Nentwich, J.; John, S. Nierenversagen. DMW Dtsch. Med. Wochenschr. 2021, 147, 26–33. [Google Scholar] [CrossRef] [PubMed]
- Al-Jaghbeer, M.; Dealmeida, D.; Bilderback, A.; Ambrosino, R.; Kellum, J.A. Clinical Decision Support for In-Hospital AKI. J. Am. Soc. Nephrol. 2018, 29, 654–660. [Google Scholar] [CrossRef] [PubMed]
- Wang, H.; Ji, X.; Wang, A.Y.; Wu, P.K.; Liu, Z.; Dong, L.; Liu, J.; Duan, M. Epidemiology of Sepsis-Associated Acute Kidney Injury in Beijing, China: A Descriptive Analysis. Int. J. Gen. Med. 2021, 14, 5631–5649. [Google Scholar] [CrossRef] [PubMed]
- Griffin, B.R.; Liu, K.D.; Teixeira, J.P. Critical Care Nephrology: Core Curriculum 2020. Am. J. Kidney Dis. 2020, 75, 435–452. [Google Scholar] [CrossRef]
- Han, S.J.; Lee, H.T. Mechanisms and therapeutic targets of ischemic acute kidney injury. Kidney Res. Clin. Pract. 2019, 38, 427–440. [Google Scholar] [CrossRef]
- Ali, A.; Sampaio, T.L.; Khan, H.; Jeandet, P.; Akkol, E.K.; Bahadar, H.; Martins, A.M.C. Plants with Therapeutic Potential for Ischemic Acute Kidney Injury: A Systematic Review. Evid. Based Complement. Altern. Med. 2022, 2022, 6807700. [Google Scholar] [CrossRef]
- Malek, M.; Nematbakhsh, M. Renal ischemia/reperfusion injury; from pathophysiology to treatment. J. Ren. Inj. Prev. 2015, 4, 20–27. [Google Scholar]
- Lee, K.; Jang, H.R. Role of T cells in ischemic acute kidney injury and repair. Korean J. Intern. Med. 2022, 37, 534–550. [Google Scholar] [CrossRef]
- Melro, J.C.L.; Fonseca, S.A.; Silva Júnior, J.M.; Franco, S.P.B.; Souza, M.A.; Pimentel, Y.F.C.; Bomfim, M.R.P.; Almeida, E.M.; Costa, J.G.; Matos-Rocha, T.J.; et al. Ethnodirected study of medicinal plants used by the population assisted in the “Programa de Saúde da Família”, Marechal Deodoro, AL, Brazil. Braz. J. Biol. 2020, 80, 410–423. [Google Scholar] [CrossRef]
- Saldanha, A.A.; Soares, A.C. Chemical compounds and botanical, ethnobotanical and pharmacological aspects of Byrsonima verbascifolia Rich ex. A. Juss. Rev. Bras. Plantas Med. 2015, 17, 1000–1006. [Google Scholar] [CrossRef]
- De Oliveira, B.K.F.; Silva, E.d.O.; e Oliveira, R.M.O.; Gomes, W.R.; Vattimo, M.d.F.F. Pharmacological action and ethnopharmacological use of Abuta grandifolia and other plants of the genus in Amazonian folk medicine: A scoping review. Braz. J. Health Rev. 2023, 6, 7158–7176. [Google Scholar] [CrossRef]
- Pereira, D.F.; Araújo, N.A.; Santos, T.M.; Santana, C.R.; Da Silva, G.F. Utilization of Moringa oleifera Lam cake for produced water treatment. Exacta 2011, 9, 323–332. [Google Scholar] [CrossRef]
- Sahu, P.K.; Ramisetti, N.R.; Cecchi, T.; Swain, S.; Patro, C.S.; Panda, J. An overview of experimental designs in HPLC method development and validation. J. Pharm. Biomed. Anal. 2018, 147, 590–611. [Google Scholar] [CrossRef]
- Blum, F. High performance liquid chromatography. Br. J. Hosp. Med. 2014, 75, C18–C21. [Google Scholar] [CrossRef]
- Király, M.; Dalmadiné Kiss, B.; Vékey, K.; Antal, I.; Ludányi, K. Tömegspektrometria: Múlt és jelen [Mass spectrometry: Past and present]. Acta Pharm. Hung. 2016, 86, 3–11. [Google Scholar]
- Wołosiak, R.; Drużyńska, B.; Derewiaka, D.; Piecyk, M.; Majewska, E.; Ciecierska, M.; Worobiej, E.; Pakosz, P. Verification of the Conditions for Determination of Antioxidant Activity by ABTS and DPPH Assays—A Practical Approach. Molecules 2021, 27, 50. [Google Scholar] [CrossRef]
- Philip, M.; Molyneux, P. The use of the stable free radical diphenylpicrylhydrazyl (DPPH) for estimating antioxidant activity. Songklanakarin J. Sci. Tecnol. 2004, 26, 211–219. [Google Scholar]
- Kang, H. Sample size determination and power analysis using the G*Power software. J. Educ. Eval. Health Prof. 2021, 18, 17. [Google Scholar] [CrossRef]
- Pereira, L.V.B.; Shimizu, M.H.M.; Rodrigues, L.P.M.R.; Leite, C.C.; Andrade, L.; Seguro, A.C. N-Acetylcysteine Protects Rats with Chronic Renal Failure from Gadolinium-Chelate Nephrotoxicity. PLoS ONE 2012, 7, e39528. [Google Scholar] [CrossRef]
- Luchi, W.M.; Shimizu, M.H.M.; Canale, D.; Gois, P.H.F.; de Bragança, A.C.; Volpini, R.A.; Girardi, A.C.C.; Seguro, A.C. Vitamin D deficiency is a potential risk factor for contrast-induced nephropathy. Am. J. Physiol. Integr. Comp. Physiol. 2015, 309, R215–R222. [Google Scholar] [CrossRef]
- Hervey, G.R. Determination of Creatinine by the Jaffé Reaction. Nature 1953, 171, 1125. [Google Scholar] [CrossRef] [PubMed]
- Fonseca, C.D.; Watanabe, M.; Vattimo, M.d.F.F. Role of Heme Oxygenase-1 in Polymyxin B-Induced Nephrotoxicity in Rats. Antimicrob. Agents Chemother. 2012, 56, 5082–5087. [Google Scholar] [CrossRef] [PubMed]
- Fernandes, S.M.; Martins, D.M.; da Fonseca, C.D.; Watanabe, M.; Vattimo, M.D.F.F. Impact of Iodinated Contrast on Renal Function and Hemodynamics in Rats with Chronic Hyperglycemia and Chronic Kidney Disease. BioMed Res. Int. 2016, 2016, 3019410. [Google Scholar] [CrossRef]
- Gay, C.; Collins, J.; Gebicki, J.M. Hydroperoxide Assay with the Ferric–Xylenol Orange Complex. Anal. Biochem. 1999, 273, 149–155. [Google Scholar] [CrossRef] [PubMed]
- Nouroozzadeh, J.; Tajaddinisarmadi, J.; Wolff, S.P. Measurement of Plasma Hydroperoxide Concentrations by the Ferrous Oxidation-Xylenol Orange Assay in Conjunction with Triphenylphosphine. Anal. Biochem. 1994, 220, 403–409. [Google Scholar] [CrossRef] [PubMed]
- Green, L.C.; Wagner, D.A.; Glogowski, J.; Skipper, P.L.; Wishnok, J.S.; Tannenbaum, S.R. Analysis of nitrate, nitrite, and [15N] nitrate in biological fluids. Anal. Biochem. 1982, 126, 131–138. [Google Scholar] [CrossRef]
- Akerboom, T.P.; Sies, H. [48] Assay of glutathione, glutathione disulfide, and glutathione mixed disulfides in biological samples. In Methods in Enzymology; Academic Press: Cambridge, MA, USA, 1981; Volume 77, pp. 373–382. [Google Scholar] [CrossRef]
- Francescato, H.D.; Costa, R.S.; da Silva, C.G.; Coimbra, T.M. Treatment with a p38 MAPK inhibitor attenuates cisplatin nephrotoxicity starting after the beginning of renal damage. Life Sci. 2009, 84, 590–597. [Google Scholar] [CrossRef]
- Ye, L.-H.; He, X.-X.; You, C.; Tao, X.; Wang, L.-S.; Zhang, M.-D.; Zhou, Y.-F.; Chang, Q. Pharmacokinetics of Nuciferine and N-Nornuciferine, Two Major Alkaloids from Nelumbo nucifera Leaves, in Rat Plasma and the Brain. Front. Pharmacol. 2018, 9, 902. [Google Scholar] [CrossRef]
- Oliveira, J.G.D.S. Study of Endophytic Fungal Biodiversity, Cytotoxic and Antimicrobial Potential of Duguetia Flagellaris Huber; State University of Amazonas: Boca do Acre, Brazil, 2013. [Google Scholar]
- Zahari, A.; Ablat, A.; Sivasothy, Y.; Mohamad, J.; Choudhary, M.I.; Awang, K. In vitro antiplasmodial and antioxidant activities of bisbenzylisoquinoline alkaloids from Alseodaphne corneri Kosterm. Asian Pac. J. Trop. Med. 2016, 9, 328–332. [Google Scholar] [CrossRef]
- Alves, I.A.B.S. Pharmacognostic and Ethnopharmacological Study of Croton Cordiifolius Bail. (Euphorbiaceae); Federal University of Pernambuco: Recife, Brazil, 2017. [Google Scholar]
- Wang, F.-X.; Zhu, N.; Zhou, F.; Lin, D.-X. Natural Aporphine Alkaloids with Potential to Impact Metabolic Syndrome. Molecules 2021, 26, 6117. [Google Scholar] [CrossRef]
- Merlugo, L.; Santos, M.C.; Sant’anna, L.S.; Cordeiro, E.W.F.; Batista, L.A.C.; Miotto, S.T.S.; Garcia, C.V.; Moreira, C.M.; Mendez, A.S.L. Alkaloids in Erythrina by UPLC-ESI-MS and In Vivo Hypotensive Potential of Extractive Preparations. Evid. Based Complement. Altern. Med. 2015, 2015, 959081. [Google Scholar] [CrossRef]
- Pinto, F.D.C.L.; Torres, M.D.C.M.; Silveira, E.R.; Pessoa, O.D.L.; Braz-Filho, R.; Guedes, M.L.D.S. Chemical constituents of Solanum buddleifolium Sendtn. Química Nova 2013, 36, 1111–1115. [Google Scholar] [CrossRef]
- Ito, C.N.A. Anti-Inflammatory and Antinociceptive Activity of the Methanolic Extract of Annona Squamosa Leaves and its Isolated Substance, Palmatine; Federal University of Grande Dourados: Dourados, Brazil, 2022. [Google Scholar]
- Sousa, M.P.; Brito, J.S.A.; de Abreu, B.B.; Marreiro, D.d.N.; Paiva, A.d.A.; Moreira-Araújo, R.S.d.R.; Carvalho, C.M.R.G.d.C.; de Carvalho e Martins, M.d.C.; Frota, K.d.M.G. Aspectos metabólicos das catequinas na obesidade e doenças cardiovasculares. RBONE-Revista Brasileira de Obesidade. Nutr. Emagrecimento 2022, 16, 397–408. [Google Scholar]
- Wei, C.-Y.; Wang, S.-W.; Ye, J.-W.; Hwang, T.-L.; Cheng, M.-J.; Sung, P.-J.; Chang, T.-H.; Chen, J.-J. New Anti-Inflammatory Aporphine and Lignan Derivatives from the Root Wood of Hernandia nymphaeifolia. Molecules 2018, 23, 2286. [Google Scholar] [CrossRef]
- Liu, M.; Han, J.; Feng, Y.; Guymer, G.; Forster, P.I.; Quinn, R.J. Antimicrobial Benzyltetrahydroisoquinoline-Derived Alkaloids from the Leaves of Doryphora aromatica. J. Nat. Prod. 2021, 84, 676–682. [Google Scholar] [CrossRef]
- Castellano, J.M.; Garcia-Rodriguez, S.; Espinosa, J.M.; Millan-Linares, M.C.; Rada, M.; Perona, J.S. Oleanolic Acid Exerts a Neuroprotective Effect Against Microglial Cell Activation by Modulating Cytokine Release and Antioxidant Defense Systems. Biomolecules 2019, 9, 683. [Google Scholar] [CrossRef]
- Coppo, E.; Marchese, A. Antibacterial activity of polyphenols. Curr. Pharm. Biotechnol. 2014, 15, 380–390. [Google Scholar] [CrossRef]
- Dangles, O. Antioxidant Activity of Plant Phenols: Chemical Mechanisms and Biological Significance. Curr. Org. Chem. 2012, 16, 692–714. [Google Scholar] [CrossRef]
- Ala, M.; Khoshdel, M.R.F.; Dehpour, A.R. Empagliflozin Enhances Autophagy, Mitochondrial Biogenesis, and Antioxidant Defense and Ameliorates Renal Ischemia/Reperfusion in Nondiabetic Rats. Oxidative Med. Cell. Longev. 2022, 2022, 1197061. [Google Scholar] [CrossRef]
- Cortes, A.L.; Gonsalez, S.R.; Rioja, L.S.; Oliveira, S.S.; Santos, A.L.; Prieto, M.C.; Melo, P.A.; Lara, L.S. Protective outcomes of low-dose doxycycline on renal function of Wistar rats subjected to acute ischemia/reperfusion injury. Biochim. Biophys. Acta Mol. Basis Dis. 2017, 1864, 102–114. [Google Scholar] [CrossRef] [PubMed]
- Chatterjee, P.K.; Patel, N.S.; Sivarajah, A.; Kvale, E.O.; Dugo, L.; Cuzzocrea, S.; Brown, P.A.; Stewart, K.N.; Mota-Filipe, H.; Britti, D.; et al. GW274150, a potent and highly selective inhibitor of iNOS, reduces experimental renal ischemia/reperfusion injury. Kidney Int. 2003, 63, 853–865. [Google Scholar] [CrossRef] [PubMed]
- Choi, H.M.; Kim, S.C.; Kim, M.-G.; Jo, S.-K.; Cho, W.Y.; Kim, H.K. Etiology and outcomes of anuria in acute kidney injury: A single center study. Kidney Res. Clin. Pract. 2014, 34, 13–19. [Google Scholar] [CrossRef] [PubMed]
- Cerda, J. Oliguria: An earlier and accurate biomarker of acute kidney injury? Kidney Int. 2011, 80, 699–701. [Google Scholar] [CrossRef]
- Watanabe, M.; Borges, F.; Pessoa, E.; Fonseca, C.; Fernandes, S.; Drew, R.; Volpini, R.; Vattimo, M. Renoprotective effect of N-acetylcysteine depends upon the severity of the ischemia reperfusion injury. Braz. J. Med. Biol. Res. 2021, 54, e9941. [Google Scholar] [CrossRef]
- Basile, D.P.; Anderson, M.D.; Sutton, T.A. Pathophysiology of Acute Kidney Injury. Compr. Physiol. 2012, 2, 1303–1353. [Google Scholar] [CrossRef]
- Kwon, T.-H.; Frøkiaer, J.; Fernández-Llama, P.; Knepper, M.A.; Nielsen, S. Reduced abundance of aquaporins in rats with bilateral ischemia-induced acute renal failure: Prevention by α-MSH. Am. J. Physiol. Physiol. 1999, 277, F413–F427. [Google Scholar] [CrossRef]
- Kwon, T.-H.; Frøkiær, J.; Han, J.S.; Knepper, M.A.; Nielsen, S. Decreased abundance of major Na+ transporters in kidneys of rats with ischemia-induced acute renal failure. Am. J. Physiol. Physiol. 2000, 278, F925–F939. [Google Scholar] [CrossRef]
- Anoushka, K.; Adeera, L. Laboratory assessment of kidney disease: Glomerular filtration rate, urinalysis, and proteinuria. In Brenner and Rector’s the Kidney; Alan, S.Y., Glenn, M.C., Valérie, A.L., Philip, A.M., Karl, S., Maarten, W.T., Eds.; Elsevier, Inc.: Philadelphia, PA, USA, 2020; pp. 732–757. [Google Scholar]
- Islam, S.; Miao, L.; Yu, H.; Han, Z.; Sun, H. Ethanol Extract of Illicium henryi Attenuates LPS-Induced Acute Kidney Injury in Mice via Regulating Inflammation and Oxidative Stress. Nutrients 2019, 11, 1412. [Google Scholar] [CrossRef]
- Kellum, J.A.; Romagnani, P.; Ashuntantang, G.; Ronco, C.; Zarbock, A.; Anders, H.J. Acute kidney injury. Nat. Rev. Dis. Prim. 2021, 7, 52. [Google Scholar] [CrossRef]
- Ponticelli, C.; Reggiani, F.; Moroni, G. Delayed Graft Function in Kidney Transplant: Risk Factors, Consequences and Prevention Strategies. J. Pers. Med. 2022, 12, 1557. [Google Scholar] [CrossRef]
- Sutton, T.A. Alteration of microvascular permeability in acute kidney injury. Microvasc. Res. 2009, 77, 4–7. [Google Scholar] [CrossRef]
- Gheitasi, I.; Azizi, A.; Omidifar, N.; Doustimotlagh, A.H. Renoprotective Effects of Origanum majorana Methanolic L and Carvacrol on Ischemia/Reperfusion-Induced Kidney Injury in Male Rats. Evid. Based Complement. Altern. Med. 2020, 2020, 9785932. [Google Scholar] [CrossRef]
- Ohkita, M.; Hayashi, H.; Ito, K.; Shigematsu, N.; Tanaka, R.; Tsutsui, H.; Matsumura, Y. Preventive Effects of Grape Extract on Ischemia/Reperfusion-Induced Acute Kidney Injury in Mice. Biol. Pharm. Bull. 2019, 42, 1883–1890. [Google Scholar] [CrossRef]
- Alché, J.D.D. A concise appraisal of lipid oxidation and lipoxidation in higher plants. Redox Biol. 2019, 23, 101136. [Google Scholar] [CrossRef]
- Adedapo, A.A.; Oni, O.A.; Falayi, O.O.; Ogunmiluyi, I.O.; Ogunpolu, B.S.; Omobowale, T.O.; Oyagbemi, A.A.; Oguntibeju, O.O.; Yakubu, M.A. Annona muricata mitigates glycerol-induced nephrotoxicities in male albino rats through signaling pathways of angiotensin conversion enzyme, kidney injury molecule-1, and antioxidant properties. Sci. Afr. 2022, 16, e01225. [Google Scholar] [CrossRef]
- Oladele, J.O.; Oyeleke, O.M.; Dele Olowookere, B.; Babatope, O.D.; Olaniyan, M.D.; Akindolie, B.O.; Oladele, O.T. Bitter Leaf (Vernonia Amygdalina) Modulates Nitrobenzene-Induced Renal Damage in Rats Via Suppression of Oxido-Inflammatory Activities. Serbian J. Exp. Clin. Res. 2021, 22, 317–324. [Google Scholar] [CrossRef]
- AlBasher, G.; Alfarraj, S.; Alarifi, S.; Alkhtani, S.; Almeer, R.; Alsultan, N.; Alharthi, M.; Alotibi, N.; Al-Dbass, A.; Moneim, A.E.A. Nephroprotective Role of Selenium Nanoparticles Against Glycerol-Induced Acute Kidney Injury in Rats. Biol. Trace Element Res. 2019, 194, 444–454. [Google Scholar] [CrossRef]
- Adedapo, A.A.; Etim, U.; Falayi, O.O.; Ogunpolu, B.S.; Omobowale, T.O.; Oyagbemi, A.A.; Oguntibeju, O.O. Methanol stem extract of Moringa oleifera mitigates glycerol-induced acute kidney damage in rats through modulation of KIM-1 and NF-kB signaling pathways. Sci. Afr. 2020, 9, e00493. [Google Scholar] [CrossRef]
- Poderoso, J.J.; Helfenberger, K.; Poderoso, C. The effect of nitric oxide on mitochondrial respiration. Nitric Oxide 2019, 88, 61–72. [Google Scholar] [CrossRef]
- Ahmadvand, H.; Mahdavifard, S. Protective Effect of Thioctic Acid on Renal Ischemia-reperfusion Injury in Rat. Int. J. Prev. Med. 2019, 10, 176. [Google Scholar] [CrossRef]
- Vargas, F.; Romecín, P.; Guillen, A.I.G.; Wangesteen, R.; Vargas-Tendero, P.; Paredes, M.D.; Atucha, N.M.; García-Estañ, J. Flavonoids in Kidney Health and Disease. Front. Physiol. 2018, 9, 394. [Google Scholar] [CrossRef] [PubMed]
- Jeong, B.Y. TGF-b-mediated NADPH oxidase 4-dependent oxidative stress promotes colistin-induced acute kidney injury. J. Antimicrob. Chemother. 2018, 73, 962–972. [Google Scholar] [CrossRef] [PubMed]
- Sampaio, T.L.; de Menezes, R.R.P.P.B.; da Costa, M.F.B.; Meneses, G.C.; Arrieta, M.C.V.; Filho, A.J.M.C.; de Morais, G.B.; Libório, A.B.; Alves, R.S.; Evangelista, J.S.A.M.; et al. Nephroprotective effects of (−)-α-bisabolol against ischemic-reperfusion acute kidney injury. Phytomedicine 2016, 23, 1843–1852. [Google Scholar] [CrossRef]
- Bonventre, J.V.; Yang, L. Cellular pathophysiology of ischemic acute kidney injury. J. Clin. Investig. 2011, 121, 4210–4221. [Google Scholar] [CrossRef]






| Sample | % Antioxidant | |
|---|---|---|
| DPPH (517 nm) | ABTS (734 nm) | |
| Aqueous Extract | 76.03% | 89.55% |
Disclaimer/Publisher’s Note: The statements, opinions and data contained in all publications are solely those of the individual author(s) and contributor(s) and not of MDPI and/or the editor(s). MDPI and/or the editor(s) disclaim responsibility for any injury to people or property resulting from any ideas, methods, instructions or products referred to in the content. |
© 2023 by the authors. Licensee MDPI, Basel, Switzerland. This article is an open access article distributed under the terms and conditions of the Creative Commons Attribution (CC BY) license (https://creativecommons.org/licenses/by/4.0/).
Share and Cite
de Oliveira, B.K.F.; de Oliveira Silva, E.; Ventura, S.; Vieira, G.H.F.; de Pina Victoria, C.D.; Volpini, R.A.; de Fátima Fernandes Vattimo, M. Amazonia Phytotherapy Reduces Ischemia and Reperfusion Injury in the Kidneys. Cells 2023, 12, 1688. https://doi.org/10.3390/cells12131688
de Oliveira BKF, de Oliveira Silva E, Ventura S, Vieira GHF, de Pina Victoria CD, Volpini RA, de Fátima Fernandes Vattimo M. Amazonia Phytotherapy Reduces Ischemia and Reperfusion Injury in the Kidneys. Cells. 2023; 12(13):1688. https://doi.org/10.3390/cells12131688
Chicago/Turabian Stylede Oliveira, Brenner Kássio Ferreira, Eloiza de Oliveira Silva, Sara Ventura, Guilherme Henrique Ferreira Vieira, Carla Djamila de Pina Victoria, Rildo Aparecido Volpini, and Maria de Fátima Fernandes Vattimo. 2023. "Amazonia Phytotherapy Reduces Ischemia and Reperfusion Injury in the Kidneys" Cells 12, no. 13: 1688. https://doi.org/10.3390/cells12131688
APA Stylede Oliveira, B. K. F., de Oliveira Silva, E., Ventura, S., Vieira, G. H. F., de Pina Victoria, C. D., Volpini, R. A., & de Fátima Fernandes Vattimo, M. (2023). Amazonia Phytotherapy Reduces Ischemia and Reperfusion Injury in the Kidneys. Cells, 12(13), 1688. https://doi.org/10.3390/cells12131688

