Modeling the Effects of Irrigation and Its Interaction with Silicon on Quinoa Seed Yield and Water Use Efficiency in Arid Regions
Abstract
1. Introduction
2. Materials and Methods
2.1. Soil Analysis
- Rainfed (I1) refers to agricultural practices that rely solely on rainfall (without irrigation).
- The overall irrigation volume is 2000 m3 per hectare, supplemented by rainwater during the planting and flowering stages (I2).
- The total amount of water used per hectare is 4000 m3, during the planting, blossoming, and seed-filling stages (I3).
2.2. The Studied Characteristics
2.3. Artificial Neural Networks (ANNs)
2.4. Molecular Evaluations
2.4.1. Quantitative Real-Time PCR (RT-PCR)
2.4.2. Differential Display (DD-PCR) Reaction
2.5. Statistical Analysis
3. Results
3.1. Soil Response to Irrigation Treatments
3.2. Factor Analysis for Soil Response
3.3. Irrigation Effects on Plant Growth
3.4. Yield and Components of Yield
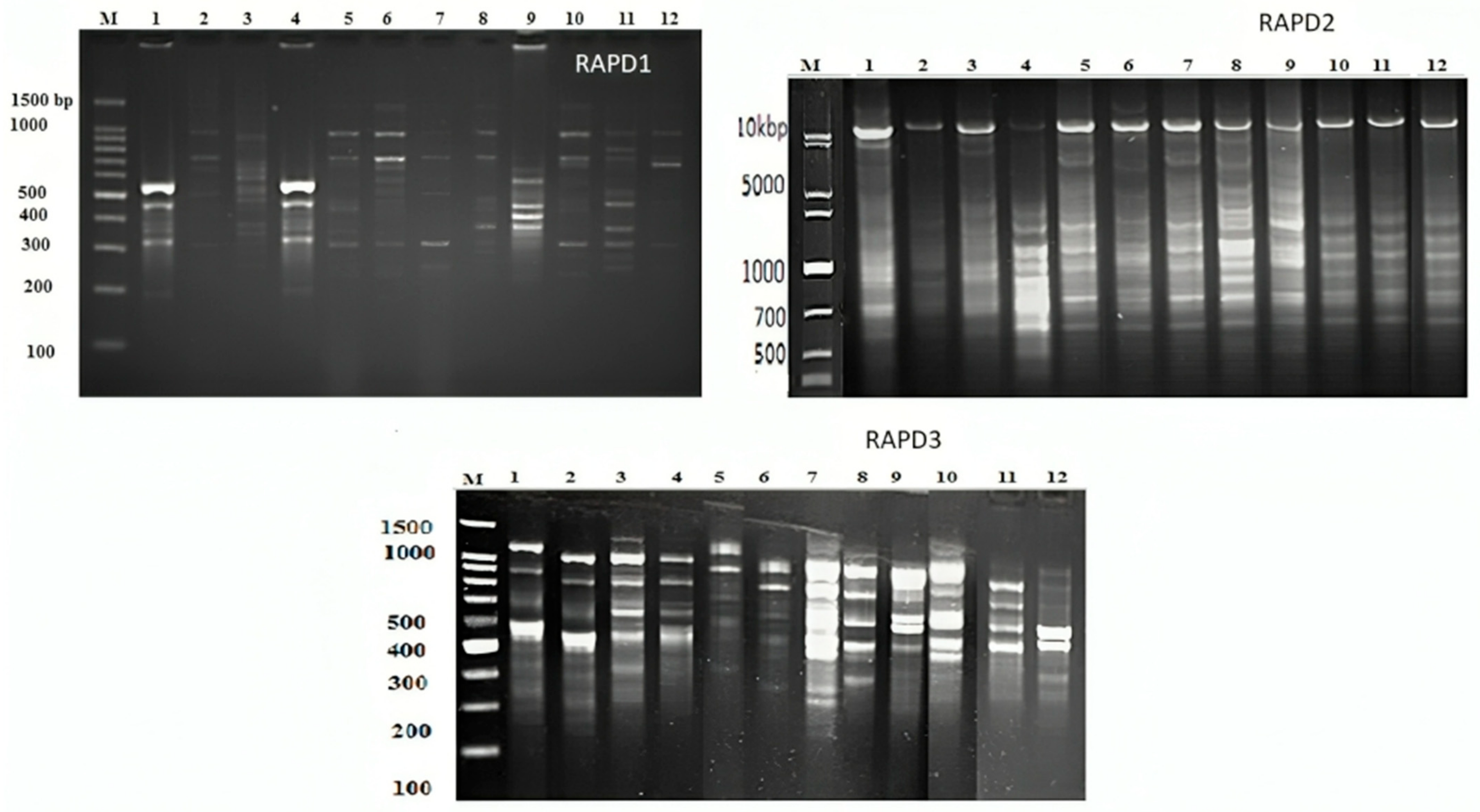
3.5. DD-PCR
3.6. RT-PCR
4. Discussion
4.1. Soil
4.2. Plant
4.2.1. Impact of Irrigation Rates and Sodium Silicate on Quinoa cv. Chibaya
Irrigation Water Productivity (IWP) and Seed Yield
4.2.2. Effects of Sodium Silicate
4.2.3. Yield and Yield Components
4.3. Implications and Future Research
4.4. Genetics
5. Conclusions
Author Contributions
Funding
Data Availability Statement
Acknowledgments
Conflicts of Interest
References
- Ain, Q.T.; Siddique, K.; Bawazeer, S.; Ali, I.; Mazhar, M.; Rasool, R.; Mubeen, B.; Ullah, F.; Unar, A.; Jafar, T.H. Adaptive mechanisms in quinoa for coping in stressful environments: An update. PeerJ 2023, 11, e14832. [Google Scholar] [CrossRef]
- Taaime, N.; Rafik, S.; El Mejahed, K.; Oukarroum, A.; Choukr-Allah, R.; Bouabid, R.; El Gharous, M. Worldwide development of agronomic management practices for quinoa cultivation: A systematic review. Front. Agron. 2023, 5, 1215441. [Google Scholar] [CrossRef]
- El-Hakim, A.; Ahmed, F.; Mady, E.; Abou Tahoun, A.M.; Ghaly, M.S.; Eissa, M.A. Seed Quality and Protein Classification of Some Quinoa Varieties. J. Ecol. Eng. 2022, 23, 24–33. [Google Scholar] [CrossRef]
- Jacobsen, S.-E. The Worldwide Potential for Quinoa (Chenopodium quinoa Willd.). Food Rev. Int. 2003, 19, 167–177. [Google Scholar] [CrossRef]
- Jacobsen, S.-E.; Mujica, A.; Jensen, C.R. The Resistance of Quinoa (Chenopodium quinoa Willd.) to Adverse Abiotic Factors. Food Rev. Int. 2003, 19, 99–109. [Google Scholar] [CrossRef]
- Nolan, T.; Hands, R.E.; Bustin, S.A. Quantification of mRNA using real-time RT-PCR. Nat. Protoc. 2006, 1, 1559–1582. [Google Scholar] [CrossRef]
- Adetunji, C.O.; Michael, O.S.; Kadiri, O.; Varma, A.; Akram, M.; Oloke, J.K.; Shafique, H.; Adetunji, J.B.; Jain, A.; Bodunrinde, R.E. Quinoa: From farm to traditional healing, food application, and Phytopharmacology. In Biology and Biotechnology of Quinoa: Super Grain for Food Security; Springer: Singapore, 2021; pp. 439–466. [Google Scholar]
- Jacobsen, S.-E.; Sørensen, M.; Pedersen, S.M.; Weiner, J. Feeding the world: Genetically modified crops versus agricultural biodiversity. Agron. Sustain. Dev. 2013, 33, 651–662. [Google Scholar] [CrossRef]
- Thiam, E.; Allaoui, A.; Benlhabib, O. Quinoa Productivity and Stability Evaluation through Varietal and Environmental Interaction. Plants 2021, 10, 714. [Google Scholar] [CrossRef]
- Hassani, A.; Azapagic, A.; Shokri, N. Global predictions of primary soil salinization under changing climate in the 21st century. Nat. Commun. 2021, 12, 6663. [Google Scholar] [CrossRef]
- Okur, B.; Örçen, N. Chapter 12-Soil salinization and climate change. In Climate Change and Soil Interactions; Prasad, M.N.V., Pietrzykowski, M., Eds.; Elsevier: Amsterdam, The Netherlands, 2020; pp. 331–350. [Google Scholar]
- UNCCD. Drought in Numbers 2022-Restoration for Readiness and Resilience; UNCCD: Bonn, Germany, 2022. [Google Scholar]
- Seleiman, M.F.; Al-Suhaibani, N.; Ali, N.; Akmal, M.; Alotaibi, M.; Refay, Y.; Dindaroglu, T.; Abdul-Wajid, H.H.; Battaglia, M.L. Drought Stress Impacts on Plants and Different Approaches to Alleviate Its Adverse Effects. Plants 2021, 10, 259. [Google Scholar] [CrossRef]
- Zhao, B.; Kao, S.-C.; Zhao, G.; Gangrade, S.; Rastogi, D.; Ashfaq, M.; Gao, H. Evaluating Enhanced Reservoir Evaporation Losses From CMIP6-Based Future Projections in the Contiguous United States. Earth’s Future 2023, 11, e2022EF002961. [Google Scholar] [CrossRef]
- El-Nasharty, A.B.; SSEl-Nwehy, S.S.; Rezk, A.E.I.; Ibrahim, O.M. Improving seed and oil yield of sunflower grown in cal-careous soil under saline stress conditions. Asian J. Crop Sci. 2017, 9, 35–39. [Google Scholar] [CrossRef]
- Shabbir, R.; Singhal, R.K.; Mishra, U.N.; Chauhan, J.; Javed, T.; Hussain, S.; Kumar, S.; Anuragi, H.; Lal, D.; Chen, P. Combined Abiotic Stresses: Challenges and Potential for Crop Improvement. Agronomy 2022, 12, 2795. [Google Scholar] [CrossRef]
- Yang, A.; Akhtar, S.S.; Li, L.; Fu, Q.; Li, Q.; Naeem, M.A.; He, X.; Zhang, Z.; Jacobsen, S.-E. Biochar Mitigates Combined Effects of Drought and Salinity Stress in Quinoa. Agronomy 2020, 10, 912. [Google Scholar] [CrossRef]
- Bandurska, H. Drought Stress Responses: Coping Strategy and Resistance. Plants 2022, 11, 922. [Google Scholar] [CrossRef]
- Badr, E.A.E.; Ibrahim, O.M.; Tawfik, M.; Bahr, A. Management strategy for improving the productivity of wheat in newly reclaimed sandy soil. Int. J. ChemTech Res. 2015, 8, 1438–1445. [Google Scholar]
- El-Okkiah, S.A.F.; El-Afry, M.M.; Shehab Eldeen, S.A.; El-Tahan, A.M.; Ibrahim, O.M.; Negm, M.M.; Alnafissa, M.; El-Saadony, M.T.; Almazrouei, H.M.R.S.; AbuQamar, S.F.; et al. Foliar spray of silica improved water stress tolerance in rice (Oryza sativa L.) cultivars. Front. Plant Sci. 2022, 13, 935090. [Google Scholar] [CrossRef]
- Vandegeer, R.K.; Zhao, C.; Cibils-Stewart, X.; Wuhrer, R.; Hall, C.R.; Hartley, S.E.; Tissue, D.T.; Johnson, S.N. Silicon deposition on guard cells increases stomatal sensitivity as mediated by K+ efflux and consequently reduces stomatal conductance. Physiol. Plant. 2021, 171, 358–370. [Google Scholar] [CrossRef]
- Wang, M.; Wang, R.; Mur, L.A.J.; Ruan, J.; Shen, Q.; Guo, S. Functions of silicon in plant drought stress responses. Hortic. Res. 2021, 8, 254. [Google Scholar] [CrossRef]
- Islam, M.; Sandhi, A. Heavy Metal and Drought Stress in Plants: The Role of Microbes—A Review. Gesunde Pflanz. 2023, 75, 695–708. [Google Scholar] [CrossRef]
- Mir, R.A.; Bhat, B.A.; Yousuf, H.; Islam, S.T.; Raza, A.; Rizvi, M.A.; Charagh, S.; Albaqami, M.; Sofi, P.A.; Zargar, S.M. Multidimensional Role of Silicon to Activate Resilient Plant Growth and to Mitigate Abiotic Stress. Front. Plant Sci. 2022, 13, 819658. [Google Scholar] [CrossRef] [PubMed]
- Singh, P.; Kumar, V.; Sharma, A. Interaction of silicon with cell wall components in plants: A review. J. Appl. Nat. Sci. 2023, 15, 480–497. [Google Scholar] [CrossRef]
- Wang, Y.; Liu, S.; Wang, J.; Chang, S.X.; Luan, J.; Liu, Y.; Lu, H.; Liu, X. Microbe-mediated attenuation of soil respiration in response to soil warming in a temperate oak forest. Sci. Total Environ. 2020, 711, 134563. [Google Scholar] [CrossRef]
- Pooja, V.; Sharma, J.; Verma, S.; Sharma, A. Importance of silicon in combating a variety of stresses in plants: A re-view. J. Appl. Nat. Sci. 2022, 14, 607–630. [Google Scholar] [CrossRef]
- Lee, S.G.; Lee, H.; Lee, B.C.; Lee, H.; Moon, J.C.; Choi, C.; Chung, N. Effect of sodium silicate on early growth stages of wheat under drought stress. Appl. Biol. Chem. 2020, 63, 48. [Google Scholar] [CrossRef]
- Zargar, S.M.; Mahajan, R.; Bhat, J.A.; Nazir, M.; Deshmukh, R. Role of silicon in plant stress tolerance: Opportunities to achieve a sustainable cropping system. 3 Biotech 2019, 9, 73. [Google Scholar] [CrossRef]
- Saad, M.A.; Pawle, R.; Selfridge, S.; Contreras, L.; Xavierselvan, M.; Nguyen, C.D.; Mallidi, S.; Hasan, T. Optimizing Axial and Peripheral Substitutions in Si-Centered Naphthalocyanine Dyes for Enhancing Aqueous Solubility and Photoacoustic Signal Intensity. Int. J. Mol. Sci. 2023, 24, 2241. [Google Scholar] [CrossRef]
- Duangpan, S.; Tongchu, Y.; Hussain, T.; Eksomtramage, T.; Onthong, J. Beneficial Effects of Silicon Fertilizer on Growth and Physiological Responses in Oil Palm. Agronomy 2022, 12, 413. [Google Scholar] [CrossRef]
- Hu, J.; Cai, X.; Jeong, B.R. Silicon Affects Root Development, Tissue Mineral Content, and Expression of Silicon Transporter Genes in Poinsettia (Euphorbia pulcherrima Willd.) Cultivars. Plants 2019, 8, 180. [Google Scholar] [CrossRef]
- DalCorso, G.; Farinati, S.; Furini, A. Regulatory networks of cadmium stress in plants. Plant Signal Behav. 2010, 5, 663–667. [Google Scholar] [CrossRef]
- Rey, E.; Jarvis, D.E. Structural and functional genomics of Chenopodium quinoa. In The Quinoa Genome; Springer: Cham, Switzerland, 2021; pp. 81–105. [Google Scholar]
- Singh, V.; Ali, M.N. Analysis of Differential Gene Expression under Salinity through Differential Display Reverse Transcription Polymerase Chain Reaction (DDRTPCR) Technique: A Review. Electron. J. Biol. 2016, 12, 394–401. [Google Scholar]
- Sobhy, S.; Saad-Allah, K.; Kassem, E.; Hafez, E.; Sewelam, N. Seed priming in natural weed extracts represents a promising practice for alleviating lead stress toxicity. Egypt. J. Exp. Biol. 2019, 15, 453. [Google Scholar] [CrossRef]
- Rahman, H.; Vikram, P.; Hu, Y.; Asthana, S.; Tanaji, A.; Suryanarayanan, P.; Quadros, C.; Mehta, L.; Shahid, M.; Gkanogiannis, A.; et al. Mining genomic regions associated with agronomic and biochemical traits in quinoa through GWAS. Sci. Rep. 2024, 14, 9205. [Google Scholar] [CrossRef] [PubMed]
- Liu, D.; Shi, L.; Han, C.; Yu, J.; Li, D.; Zhang, Y. Validation of Reference Genes for Gene Expression Studies in Virus-Infected Nicotiana benthamiana Using Quantitative Real-Time PCR. PLoS ONE 2012, 7, e46451. [Google Scholar] [CrossRef]
- Page, A.; Miller, R.; Keeney, D. Methods of soil analysis, part 2. Chem. Microbiol. Prop. 1982, 2, 643–698. [Google Scholar]
- Ryan, J.; Estefan, G.; Rashid, A. Soil and Plant Analysis Laboratory Manual, 2nd ed.; International Center for agricultural Research in the dry Areas (ICARDA), National agricultural Research Center (NARC): Aleppo, Syria, 2001; pp. 46–48. [Google Scholar]
- Ibrahim, O.M.; El-Gamal, E.H.; Darwish, K.M.; Kianfar, N. Modeling Main and Interactional Effects of Some Physiochemical Properties of Egyptian Soils on Cation Exchange Capacity Via Artificial Neural Networks. Eurasian Soil Sci. 2022, 55, 1052–1063. [Google Scholar] [CrossRef]
- Emran, M.; Ibrahim, O.M.; Wali, A.M.; Darwish, K.M.; Badr Eldin, R.M.; Alomran, M.M.; El-Tahan, A.M. Assessing Soil Quality, Wheat Crop Yield, and Water Productivity under Condition of Deficit Irrigation. Plants 2024, 13, 1462. [Google Scholar] [CrossRef]
- Said-Pullicino, D.; Erriquens, F.G.; Gigliotti, G. Changes in the chemical characteristics of water-extractable organic matter during composting and their influence on compost stability and maturity. Bioresour. Technol. 2007, 98, 1822–1831. [Google Scholar] [CrossRef]
- Phillips, C.; Nickerson, N. Soil respiration. In Reference Module in Earth Systems and Environmental Sciences; Scott, A.E., Ed.; Elsevier: Amsterdam, The Netherlands, 2015. [Google Scholar] [CrossRef]
- Jensen, C.R.; Jacobsen, S.E.; Andersen, M.N.; Núñez, N.; Andersen, S.D.; Rasmussen, L.; Mogensen, V.O. Leaf gas exchange and water relation characteristics of field quinoa (Chenopodium quinoa Willd.) during soil drying. Eur. J. Agron. 2000, 13, 11–25. [Google Scholar] [CrossRef]
- Giriappa, S. Water Use Efficiency in Agriculture; Institute for Social and Economic Change: Bangalore, India, 1991; p. 97. [Google Scholar]
- Alandia, G.; Rodriguez, J.P.; Jacobsen, S.E.; Bazile, D.; Condori, B. Global expansion of quinoa and challenges for the Andean region. Glob. Food Secur. 2020, 26, 100429. [Google Scholar] [CrossRef]
- Cui, H.; Yao, Q.; Xing, B.; Zhou, B.; Shah, S.S.; Qin, P. The Performance of Agronomic and Quality Traits of Quinoa under Different Altitudes in Northwest of China. Agronomy 2024, 14, 1194. [Google Scholar] [CrossRef]
- Del Pozo, A.; Ruf, K.; Alfaro, C.; Zurita, A.; Guerra, F.; Sagredo, B. Traits associated with higher productivity and resilience to drought-prone Mediterranean environments of coastal-lowland quinoa (Chenopodium quinoa Willd.). Field Crops Res. 2023, 299, 108985. [Google Scholar] [CrossRef]
- Granado-Rodríguez, S.; Aparicio, N.; Matías, J.; Pérez-Romero, L.F.; Maestro, I.; Gracés, I.; Pedroche, J.J.; Haros, C.M.; Fernandez-Garcia, N.; Navarro del Hierro, J.; et al. Studying the Impact of Different Field Environmental Conditions on Seed Quality of Quinoa: The Case of Three Different Years Changing Seed Nutritional Traits in Southern Europe. Front. Plant Sci. 2021, 12, 854. [Google Scholar] [CrossRef] [PubMed]
- Zhang, Z. Parametric regression model for survival data: Weibull regression model as an example. Ann. Transl. Med. 2016, 4, 484. [Google Scholar] [CrossRef] [PubMed]
- Ashtiani, S.H.M.; Rohani, A.; Aghkhani, M.H. Soft computing-based method for estimation of almond kernel mass from its shell features. Sci. Hortic. 2020, 262, 109071. [Google Scholar] [CrossRef]
- Saleha, Y.M. Gene expression and histopathology alterations during rat mammary carcinogenesis induced by 7,12-dimethylbenz(a)anthracene and the protective role of Neem (Azadirachta indica) leaf extract. J. Am. Sci. 2010, 6, 843–859. [Google Scholar]
- Livak, K.J.; Schmittgen, T.D. Analysis of Relative Gene Expression Data Using Real-Time Quantitative PCR and the 2−ΔΔCT Method. Methods 2001, 25, 402–408. [Google Scholar] [CrossRef]
- StatSoft, Inc. STATISTICA (Data Analysis Software System), Version 10. StatSoft, Inc.: Tulsa, OK, USA, 2011. [Google Scholar]
- Bishop, O.N. Statistics for Biology: A Practical Guide for the Experimental Biologist; Microcomputer edition; Longman: London, UK, 1983. [Google Scholar]
- R_Core_Team. R: A Language and Environment for Statistical Computing; Foundation for Statistical Computing: Vienna, Austria, 2021. [Google Scholar]
- Cochran, W.G.; Snedecor, G.W. Statistical Methods, 7th ed.; Iowa State University Press: Ames, IA, USA, 1980. [Google Scholar]
- Redfield, A.C. The Biological Control of Chemical Factors in the Environment. Am. Sci. 1958, 46, 230A, 205–221. [Google Scholar]
- Cleveland, C.C.; Liptzin, D. C:N:P stoichiometry in soil: Is there a “Redfield ratio” for the microbial biomass? Biogeochemistry 2007, 85, 235–252. [Google Scholar] [CrossRef]
- Tian, T.; Wang, Y.; Wang, H.; Zhu, Z.; Xiao, Z. Visualizing of the cellular uptake and intracellular trafficking of exosomes by live-cell microscopy. J. Cell Biochem. 2010, 111, 488–496. [Google Scholar] [CrossRef]
- Jiang, Y.; Guo, X. Stoichiometric patterns of soil carbon, nitrogen, and phosphorus in farmland of the Poyang Lake region in Southern China. J. Soils Sediments 2019, 19, 3476–3488. [Google Scholar] [CrossRef]
- Haseeb, M.; Iqbal, S.; Hafeez, M.B.; Saddiq, M.S.; Zahra, N.; Raza, A.; Lbrahim, M.U.; Iqbal, J.; Kamran, M.; Ali, Q.; et al. Phytoremediation of nickel by quinoa: Morphological and physiological response. PLoS ONE 2022, 17, e0262309. [Google Scholar] [CrossRef] [PubMed]
- Martínez, E.A.; Veas, E.; Jorquera, C.; San Martín, R.; Jara, P. Re-Introduction of Quínoa into Arid Chile: Cultivation of Two Lowland Races under Extremely Low Irrigation. J. Agron. Crop Sci. 2009, 195, 1–10. [Google Scholar] [CrossRef]
- Hinojosa, L.; Matanguihan, J.B.; Murphy, K.M. Effect of high temperature on pollen morphology, plant growth and seed yield in quinoa (Chenopodium quinoa Willd.). J. Agron. Crop Sci. 2019, 205, 33–45. [Google Scholar] [CrossRef]
- Brakez, M.; Harrouni, C.; Tachbibi, N.; Daoud, S. Comparative effect of NaCl and seawater on germination of quinoa seed (Chenopodium quinoa willd). Emir. J. Food Agric. 2014, 26, 1091–1096. [Google Scholar] [CrossRef]
- Merah, O.; Deléens, E.; Monneveux, P. Grain yield, carbon isotope discrimination, mineral and silicon content in durum wheat under different precipitation regimes. Physiol. Plant. 1999, 107, 387–394. [Google Scholar] [CrossRef]
- Alzahrani, Y.; Kuşvuran, A.; Alharby, H.F.; Kuşvuran, S.; Rady, M.M. The defensive role of silicon in wheat against stress conditions induced by drought, salinity or cadmium. Ecotoxicol. Environ. Saf. 2018, 154, 187–196. [Google Scholar] [CrossRef]
- Othmani, A.; Ayed, S.; Bezzin, O.; Farooq, M.; Ayed-Slama, O.; Slim-Amara, H.; Ben Younes, M. Effect of Silicon Supply Methods on Durum Wheat (Triticum durum Desf.) Response to Drought Stress. Silicon 2021, 13, 3047–3057. [Google Scholar] [CrossRef]
- Sattar, A.; Cheema, M.A.; Sher, A.; Ijaz, M.; Ul-Allah, S.; Nawaz, A.; Abbas, T.; Ali, Q. Physiological and biochemical attributes of bread wheat (Triticum aestivum L.) seedlings are influenced by foliar application of silicon and selenium under water deficit. Acta Physiol. Plant. 2019, 41, 146. [Google Scholar] [CrossRef]
- Xu, D.; Gao, T.; Fang, X.; Bu, H.; Li, Q.; Wang, X.; Zhang, R. Silicon addition improves plant productivity and soil nutrient availability without changing the grass:legume ratio response to N fertilization. Sci. Rep. 2020, 10, 10295. [Google Scholar] [CrossRef]
- Ruppenthal, V.; Zoz, T.; Steiner, F.; do Carmo Lana, M.; Castagnara, D.D. Silicon does not alleviate the adverse effects of drought stress in soybean plants. Semin. Ciências Agrárias 2016, 37, 3941. [Google Scholar] [CrossRef][Green Version]
- Maillard, A.; Ali, N.; Schwarzenberg, A.; Jamois, F.; Yvin, J.-C.; Hosseini, S.A. Silicon transcriptionally regulates sulfur and ABA metabolism and delays leaf senescence in barley under combined sulfur deficiency and osmotic stress. Environ. Exp. Bot. 2018, 155, 394–410. [Google Scholar] [CrossRef]
- Thorne, S.J.; Hartley, S.E.; Maathuis, F.J.M. The Effect of Silicon on Osmotic and Drought Stress Tolerance in Wheat Landraces. Plants 2021, 10, 814. [Google Scholar] [CrossRef]
- Camargo, M.S.; Baltieri, G.J.; Santos, H.L.; Carnietto MR, A.; dos Reis, A.R.; Pacheco, A.C.; de Almeida Silva, M. Silicon Fertilization Enhances Photosynthetic Activity and Sugar Metabolism in Sugarcane Cultivars under Water Deficit at the Ripening Phase. Silicon 2023, 15, 3021–3033. [Google Scholar] [CrossRef]
- Gunes, A.; Pilbeam, D.J.; Inal, A.; Coban, S. Influence of Silicon on Sunflower Cultivars under Drought Stress, I: Growth, Antioxidant Mechanisms, and Lipid Peroxidation. Commun. Soil Sci. Plant Anal. 2008, 39, 1885–1903. [Google Scholar] [CrossRef]
- Angeli, V.; Miguel Silva, P.; Crispim Massuela, D.; Khan, M.W.; Hamar, A.; Khajehei, F.; Graeff-Hönninger, S.; Piatti, C. Quinoa (Chenopodium quinoa Willd.): An Overview of the Potentials of the “Golden Grain” and Socio-Economic and Environmental Aspects of Its Cultivation and Marketization. Foods 2020, 9, 216. [Google Scholar] [CrossRef]
- Tang, P.; Ren, A.; Jiang, Z.; Wang, R.; Cui, K.; Wu, X.; Sun, M.; Gao, Z.; Anwar, S. Evaluation of Quinoa Varieties for Adaptability and Yield Potential in Low Altitudes and Correlation with Agronomic Traits. Agronomy 2024, 14, 852. [Google Scholar] [CrossRef]
- Peršić, V.; Ament, A.; Antunović Dunić, J.; Drezner, G.; Cesar, V. PEG-induced physiological drought for screening winter wheat genotypes sensitivity–integrated biochemical and chlorophyll a fluorescence analysis. Front. Plant Sci. 2022, 13, 987702. [Google Scholar] [CrossRef]
- Chen, W.; Yao, X.; Cai, K.; Chen, J. Silicon Alleviates Drought Stress of Rice Plants by Improving Plant Water Status, Photosynthesis and Mineral Nutrient Absorption. Biol. Trace Elem. Res. 2011, 142, 67–76. [Google Scholar] [CrossRef]
- Hu, D.; Li, R.; Dong, S.; Zhang, J.; Zhao, B.; Ren, B.; Ren, H.; Yao, H.; Wang, Z.; Liu, P. Maize (Zea mays L.) responses to salt stress in terms of root anatomy, respiration and antioxidative enzyme activity. BMC Plant Biol. 2022, 22, 602. [Google Scholar] [CrossRef]
- Sobhy, S.E.; Aseel, D.G.; Abo-Kassem, E.M.; Sewelam, N.A.; Saad-Allah, K.A.; Samy, M.A.; Hafez, E.E. Priming of wheat plant with weed extracts, calcium and salicylic acid for contribution to alleviating the oxidative stress imposed by Fusarium graminearum and lead toxicity. Nov. Res. Microbiol. J. 2023, 7, 1932–1965. [Google Scholar] [CrossRef]
- Manna, M.; Thakur, T.; Chirom, O.; Mandlik, R.; Deshmukh, R.; Salvi, P. Transcription factors as key molecular target to strengthen the drought stress tolerance in plants. Physiol. Plant. 2021, 172, 847–868. [Google Scholar] [CrossRef] [PubMed]
- Munns, R.; James, R.A.; Läuchli, A. Approaches to increasing the salt tolerance of wheat and other cereals. J. Exp. Bot. 2006, 57, 1025–1043. [Google Scholar] [CrossRef]
- Munns, R.; Husain, S.; Rivelli, A.R.; James, R.A.; Condon, A.G.; Lindsay, M.P.; Lagudah, E.S.; Schachtman, D.P.; Hare, R.A. Avenues for increasing salt tolerance of crops, and the role of physiologically based selection traits. Plant Soil 2002, 247, 93–105. [Google Scholar] [CrossRef]
- Morran, S.; Eini, O.; Pyvovarenko, T.; Parent, B.; Singh, R.; Ismagul, A.; Eliby, S.; Shirley, N.; Langridge, P.; Lopato, S. Improvement of stress tolerance of wheat and barley by modulation of expression of DREB/CBF factors. Plant Biotechnol. J. 2011, 9, 230–249. [Google Scholar] [CrossRef]
- Latini, A.; Sperandei, M.; Cantale, C.; Arcangeli, C.; Ammar, K.; Galeffi, P. Variability and expression profile of the DRF1 gene in four cultivars of durum wheat and one triticale under moderate water stress conditions. Planta 2013, 237, 967–978. [Google Scholar] [CrossRef]
- Trono, D.; Pecchioni, N. Candidate Genes Associated with Abiotic Stress Response in Plants as Tools to Engineer Tolerance to Drought, Salinity and Extreme Temperatures in Wheat: An Overview. Plants 2022, 11, 3358. [Google Scholar] [CrossRef]
- Hosseinifard, M.; Stefaniak, S.; Ghorbani Javid, M.; Soltani, E.; Wojtyla, Ł.; Garnczarska, M. Contribution of Exogenous Proline to Abiotic Stresses Tolerance in Plants: A Review. Int. J. Mol. Sci. 2022, 23, 5186. [Google Scholar] [CrossRef]
- Liang, X.; Luo, G.; Li, W.; Yao, A.; Liu, W.; Xie, L.; Han, M.; Li, X.; Han, D. Overexpression of a Malus baccata CBF transcription factor gene, MbCBF1, Increases cold and salinity tolerance in Arabidopsis thaliana. Plant Physiol. Biochem. 2022, 192, 230–242. [Google Scholar] [CrossRef]
- El-Esawi, M.A.; Alayafi, A.A. Overexpression of Rice Rab7 Gene Improves Drought and Heat Tolerance and Increases Grain Yield in Rice (Oryza sativa L.). Genes 2019, 10, 56. [Google Scholar] [CrossRef]
- Wu, D.; Qiu, L.; Xu, L.; Ye, L.; Chen, M.; Sun, D.; Chen, Z.; Zhang, H.; Jin, X.; Dai, F.; et al. Genetic variation of HvCBF genes and their association with salinity tolerance in Tibetan annual wild barley. PLoS ONE 2011, 6, e22938. [Google Scholar] [CrossRef][Green Version]







| Mechanical Properties | Texture | pH (1:2.5) | EC dS m−1 | OM % | Total CaCO3 % | Available Macronutrients, ppm | ||||
|---|---|---|---|---|---|---|---|---|---|---|
| Clay (%) | Sand (%) | Silt (%) | Sandy clay loam | N | P | K | ||||
| 20.6 | 63.1 | 16.3 | 8.6 | 1.08 | 0.8 | 32.5 | 119 | 5.1 | 420 | |
| Treatments | SM (%) | pH | EC (dS m−1) | SOC (%) | DOC (mg L−1) | |
|---|---|---|---|---|---|---|
| Initial soil conditions | 12.53 ± 0.31 | 8.55 ± 0.01 | 2.59 ± 0.11 | 1.17 ± 0.21 | 15.25 ± 1.22 | |
| 1st Month | I1 | 20.41 ± 0.31 g | 8.14 ± 0.10 d | 2.50 ± 0.10 a | 1.31 ± 0.12 bc | 18.41 ± 1.22 e |
| I2 | 22.65 ± 0.43 e | 8.28 ± 0.12 c | 1.69 ± 0.12 c | 1.35 ± 0.13 bc | 18.00 ± 1.24 f | |
| I3 | 23.52 ± 0.32 d | 8.26 ± 0.14 c | 2.34 ± 0.13 b | 1.37 ± 0.18 bc | 18.56 ± 1.32 e | |
| 3rd Month | I1 | 21.31 ± 0.51 f | 8.20 ± 0.13 cd | 1.05 ± 0.13 f | 1.67 ± 0.23 a | 18.61 ± 1.44 e |
| I2 | 23.50 ± 0.34 d | 8.54 ± 0.21 a | 0.46 ± 0.11 i | 1.28 ± 0.14 c | 21.67 ± 1.02 c | |
| I3 | 27.05 ± 0.25 b | 8.59 ± 0.12 a | 0.74 ± 0.11 h | 1.35 ± 0.22 bc | 20.33 ± 1.32 d | |
| 5th Month | I1 | 20.64 ± 0.23 g | 8.20 ± 0.13 cd | 1.53 ± 0.12 d | 1.51 ± 0.24 a b | 22.09 ± 1.23 b |
| I2 | 25.43 ± 0.34 c | 8.41 ± 0.12 b | 0.88 ± 0.20 g | 1.39 ± 0.34 bc | 22.17 ± 1.47 b | |
| I3 | 27.98 ± 0.44 a | 8.40 ± 0.15 b | 1.25 ± 0.21 e | 1.44 ± 0.13 bc | 23.65 ± 1.24 a | |
| Treatments | TN (%) | PAV (%) | Molar C/P Ratio | Molar N/P Ratio | CO2 Emission (g kg−1) | C-CO2 Loss (g kg−1) | |
|---|---|---|---|---|---|---|---|
| Initial soil conditions | 0.09 ± 0.01 | 0.07 ± 0.01 | 41.72 ± 2.21 | 2.60 ± 0.32 | 0.02 ± 0.00 | 0.01 ± 0.00 | |
| 1st Month | I1 | 0.09 ± 0.01 cd | 0.12 ± 0.01 a | 28.75 ± 2.32 f | 1.66 ± 0.14 e | 0.11 ± 0.01 d | 0.030 ± 0.00 d |
| I2 | 0.06 ± 0.02 e | 0.11 ± 0.01 a | 30.55 ± 2.53 e | 1.16 ± 0.21 f | 0.10 ± 0.01 d | 0.030 ± 0.00 d | |
| I3 | 0.07 ± 0.01 de | 0.12 ± 0.02 a | 29.22 ± 1.83 ef | 1.21 ± 0.20 f | 0.11 ± 0.01 d | 0.030 ± 0.00 d | |
| 3rd Month | I1 | 0.11 ± 0.02 bc | 0.12 ± 0.01 a | 36.46 ± 2.35 c | 1.97 ± 0.22 d | 0.17 ± 0.01 c | 0.047 ± 0.00 c |
| I2 | 0.11 ± 0.02 bc | 0.11 ± 0.01 a | 30.62 ± 2.37 e | 2.17 ± 0.21 d | 0.17 ± 0.01 c | 0.047 ± 0.00 c | |
| I3 | 0.17 ± 0.03 a | 0.11 ± 0.01 a | 33.01 ± 1.32 d | 3.61 ± 0.23 c | 0.18 ± 0.01 c | 0.050 ± 0.00 bc | |
| 5th Month | I1 | 0.18 ± 0.01 a | 0.08 ± 0.01 b | 48.80 ± 2.36 a | 4.85 ± 0.32 a | 0.24 ± 0.02 a | 0.060 ± 0.00 a |
| I2 | 0.12 ± 0.02 b | 0.07 ± 0.01 b | 48.59 ± 2.34 a | 3.58 ± 0.35 c | 0.22 ± 0.01 b | 0.063 ± 0.00 ab | |
| I3 | 0.16 ± 0.03 a | 0.08 ± 0.01 b | 46.93 ± 2.55 b | 4.47 ± 0.31 b | 0.24 ± 0.01 a | 0.067 ± 0.00 a | |
| No. | Primer Name | Category | Sequence 5 ⎯⎯⎯⎯⎯⎯⎯⎯ 3 | |
|---|---|---|---|---|
| 1 | RAPD 1 | DD-PCR | TGCCGAGCTG | |
| 2 | RAPD 2 | ATGCCCCTGT | ||
| 3 | RAPD 3 | AGCCACCGAA | ||
| 4 | HvDRF1 | Specific RT-PCR | F | TGGAGCAGAGGAAAGTACCC |
| 5 | R | CATCTCCCTTGGGGTTTTG | ||
| 6 | HvCBF3 | F | CGAACGACGCTGCCATGCTC | |
| 7 | R | GGACCCAGACGACGGAGATA | ||
| Treatments | Na+ | K+ | Ca2+ | Mg2+ | HCO3− | Cl− | SO42− | |
|---|---|---|---|---|---|---|---|---|
| (mg kg−1) | ||||||||
| Initial Soil Conditions | 8.8 ± 1.8 | 50.70 ± 2.3 | 24.5 ± 1.2 | 10.5 ± 1.9 | 455.9 ± 3.7 | 196.16 ± 2.3 | 379.3 ± 3.0 | |
| 1st Month | I1 | 8.8 ± 1.4 d | 50.5 ± 2.3 b | 24.5 ± 1.3 b | 10.5 ± 1.5 a | 466.6 ± 6.4 a | 207.2 ± 2.4 a | 455.2 ± 3.6 a |
| I2 | 5.3 ± 1.2 g | 44.0 ± 3.2 c | 23.3 ± 1.3 c | 9.1 ± 1.4 b | 467.2 ± 5.3 a | 207.6 ± 2.2 a | 454.2 ± 3.6 a | |
| I3 | 7.2 ± 1.3 f | 53.1 ± 2.3 a | 26.6 ± 1.4 a | 11.0 ± 1.4 a | 406.2 ± 6.1 d | 168.1 ± 2.7 d | 281.5 ± 3.7 d | |
| 3rd Month | I1 | 8.1 ± 1.2 e | 35.9 ± 2.2 d | 20.7 ± 1.2 e | 7.5 ± 1.6 c | 405.8 ± 6.3 d | 167.9 ± 2.6 d | 281.2 ± 2.8 d |
| I2 | 8.1 ± 1.3 e | 35.9 ± 2.2 d | 20.7 ± 1.3 e | 7.6 ± 1.3 c | 434.9 ± 4.9 c | 172.9 ± 2.8 c | 292.5 ± 3.5 c | |
| I3 | 10.7 ± 1.3 b c | 43.2 ± 2.2 c | 22.3 ± 1.4 d | 9.0 ± 1.5 b | 444.9 ± 6.4 b | 185.7 ± 2.7 b | 332.2 ± 3.5 b | |
| 5th Month | I1 | 10.7 ± 1.4 c | 43.7 ± 2.3 c | 22.3 ± 1.3 d | 9.1 ± 1.2 b | 378.7 ± 5.7 g | 146.2 ± 2.5 f | 243.2 ± 3.3 g |
| I2 | 12.9 ± 1.3 a | 23.8 ± 2.2 e | 18.3 ± 1.2 g | 5.0 ± 1.1 d | 391.6 ± 5.5 f | 162.7 ± 2.8 e | 260.6 ± 3.8 f | |
| I3 | 10.9 ± 1.2 b | 35.3 ± 2.1 d | 19.4 ± 1.4 f | 7.3 ± 1.3 c | 400.7 ± 5.9 e | 172.2 ± 2.9 c | 274.7 ± 3.9 e | |
| Treatments | CEC | Na+ Effective | K+ Effective | Ca+2 Effective | Mg+2 Effective | |
|---|---|---|---|---|---|---|
| (cmol kg−1) | % | |||||
| Initial Soil Conditions | 4.2 ± 0.1 | 18.5 ± 2.3 | 31.3 ± 2.8 | 29.5 ± 1.1 | 20.8 ± 0.6 | |
| 1st Month | I1 | 4.2 ± 0.2 a | 18.5 ± 2.2 e | 31.2 ± 2.1 a | 29.5 ± 1.2 cd | 20.8 ± 1.3 b |
| I2 | 3.5 ± 0.3 b | 13.1 ± 1.8 g | 32.2 ± 2.4 a | 33.2 ± 2.2 a | 21.5 ± 1.2 a | |
| I3 | 4.2 ± 0.2 a | 14.8 ± 1.9 f | 32.2 ± 2.3 a | 31.5 ± 1.2 b | 21.5 ± 1.7 a | |
| 3rd Month | I1 | 3.3 ± 0.3 bc | 21.5 ± 2.4 d | 28.1 ± 3.1 b | 31.7 ± 2.1 b | 18.7 ± 1.7 c |
| I2 | 3.3 ± 0.3 bc | 21.5 ± 2.3 d | 28.1 ± 2.6 b | 31.7 ± 2.1 b | 18.8 ± 1.5 c | |
| I3 | 3.9 ± 0.4 a | 23.9 ± 2.6 c | 28.5 ± 1.9 b | 28.7 ± 1.2 de | 19.0 ± 1.5 c | |
| 5th Month | I1 | 3.9 ± 0.4 a | 23.7 ± 2.1 c | 28.6 ± 2.6 b | 28.5 ± 2.1 e | 19.1 ± 1.5 c |
| I2 | 3.1 ± 0.5 c | 36.8 ± 2.1 a | 20.0 ± 2.5 d | 29.9 ± 2.2 c | 13.3 ± 1.7 e | |
| I3 | 3.4 ± 0.4 b | 27.7 ± 2.5 b | 26.4 ± 2.4 c | 28.3 ± 1.2 e | 17.6 ± 1.7 d | |
| TRT | Plant Height (cm) | Leaf DW, g/plant | Stem DW, g/plant | Plant DW, G | LA, cm2/plant | 100-Seed Weight, g | |
|---|---|---|---|---|---|---|---|
| Irrigation (I) | I1 | 51.00 a | 2.97 ab | 3.86 b | 6.84 b | 273.60 a | 0.29 a |
| I2 | 53.00 a | 2.75 b | 3.93 b | 6.69 b | 271.65 a | 0.32 a | |
| I3 | 60.03 a | 4.22 a | 6.15 a | 10.37 a | 377.09 a | 0.34 a | |
| Significance | ns | * | ** | ** | * | ns | |
| Effect size | 0.35 | 0.50 | 0.79 | 0.74 | 0.41 | 0.65 | |
| 0.82 | 0.70 | 0.88 | 0.88 | 0.61 | 0.91 | ||
| 0.33 | 0.45 | 0.77 | 0.72 | 0.36 | 0.64 | ||
| 0.67 | 0.49 | 0.76 | 0.77 | 0.38 | 0.82 | ||
| 0.33 | 0.46 | 0.78 | 0.72 | 0.37 | 0.64 | ||
| Silicon (Si), ppm | Control | 55.44 a | 3.26 a | 4.43 a | 7.70 a | 308.50 a | 0.31 a |
| 200 | 55.29 a | 3.06 a | 4.64 a | 7.71 a | 277.49 a | 0.32 a | |
| 400 | 53.29 a | 3.62 a | 4.86 a | 8.49 a | 336.34 a | 0.32 a | |
| Significance | ns | ns | ns | ns | ns | ns | |
| Effect size | 0.02 | 0.06 | 0.02 | 0.04 | 0.10 | 0.01 | |
| 0.23 | 0.23 | 0.16 | 0.26 | 0.27 | 0.18 | ||
| 0.01 | 0.03 | 0.00 | 0.02 | 0.05 | 0.00 | ||
| 0.06 | 0.05 | 0.01 | 0.08 | 0.08 | 0.02 | ||
| 0.01 | 0.03 | 0.00 | 0.02 | 0.06 | 0.00 | ||
| Interaction | ns | ns | ns | ns | ns | ns | |
| Effect size | 0.01 | 0.09 | 0.03 | 0.05 | 0.10 | 0.02 | |
| 0.15 | 0.29 | 0.22 | 0.33 | 0.27 | 0.21 | ||
| 0.00 | 0.01 | 0.00 | 0.02 | 0.01 | 0.00 | ||
| 0.00 | 0.03 | 0.00 | 0.07 | 0.01 | 0.00 | ||
| 0.00 | 0.01 | 0.00 | 0.02 | 0.01 | 0.00 | ||
| TRT | Biological Yield, kg ha−1 | Straw Yield, kg ha−1 | Seed Yield, kg ha−1 | HI | Seed N, % | Seed P, ppm | Seed K, ppm | |
|---|---|---|---|---|---|---|---|---|
| Irrigation (I) | I1 | 1456.64 c | 584.84 c | 871.79 b | 0.59 a | 1.93 b | 125.9 b | 205.02 a |
| I2 | 1688.66 b | 797.49 b | 891.16 b | 0.52 a | 2.18 a | 141.7 a | 195.57 a | |
| I3 | 2421.46 a | 1047.38 a | 1374.07 a | 0.57 a | 2.05 ab | 140.6 a | 168.52 a | |
| Significance | *** | *** | ** | ns | * | ** | ns | |
| Effect size | 0.85 | 0.89 | 0.77 | 0.52 | 0.22 | 0.15 | 0.34 | |
| 0.98 | 0.98 | 0.96 | 0.79 | 0.35 | 0.29 | 0.68 | ||
| 0.84 | 0.89 | 0.76 | 0.49 | 0.15 | 0.09 | 0.31 | ||
| 0.95 | 0.95 | 0.92 | 0.62 | 0.14 | 0.10 | 0.47 | ||
| 0.84 | 0.89 | 0.77 | 0.50 | 0.15 | 0.09 | 0.32 | ||
| Silicon (Si), ppm | Control | 1712.05 b | 774.89 b | 937.16 b | 0.54 b | 2.03 a | 129.67 a | 186.66 a |
| 200 | 1871.14 a | 809.24 ab | 1061.89 a | 0.57 ab | 1.94 a | 145.45 a | 194.43 a | |
| 400 | 1983.56 a | 845.59 a | 1137.97 a | 0.57 a | 2.19 a | 133.18 a | 188.04 a | |
| Significance | *** | * | *** | * | ns | ns | ns | |
| Effect size | 0.06 | 0.02 | 0.10 | 0.10 | 0.22 | 0.14 | 0.02 | |
| 0.76 | 0.48 | 0.76 | 0.42 | 0.35 | 0.27 | 0.09 | ||
| 0.06 | 0.02 | 0.09 | 0.08 | 0.15 | 0.07 | 0.00 | ||
| 0.57 | 0.25 | 0.57 | 0.20 | 0.14 | 0.08 | 0.00 | ||
| 0.06 | 0.02 | 0.09 | 0.08 | 0.15 | 0.08 | 0.00 | ||
| Interaction | ** | ** | ** | ns | ns | ns | * | |
| Effect size | 0.06 | 0.05 | 0.06 | 0.04 | 0.03 | 0.27 | 0.21 | |
| 0.74 | 0.70 | 0.65 | 0.21 | 0.07 | 0.42 | 0.57 | ||
| 0.05 | 0.04 | 0.05 | 0.00 | 0.00 | 0.14 | 0.15 | ||
| 0.53 | 0.47 | 0.40 | 0.00 | 0.00 | 0.15 | 0.31 | ||
| 0.05 | 0.04 | 0.05 | 0.00 | 0.00 | 0.14 | 0.16 | ||
| Irrigation | Silicon | Irrigation×Silicon | Total Main Effects | Total Interaction Effects | |
|---|---|---|---|---|---|
| Relative Importance (sum to R2 0.981) | 0.55 | 0.31 | 0.12 | 0.86 | 0.12 |
| Relative Importance (sum to 1) | 0.56 | 0.32 | 0.12 | 0.88 | 0.12 |
| Variance of MGW | 1.58 | 0.23 | 0.30 | 1.81 | 0.30 |
| Sum of MGW | 71.52 | 40.84 | −15.39 | 112.36 | −15.39 |
Disclaimer/Publisher’s Note: The statements, opinions and data contained in all publications are solely those of the individual author(s) and contributor(s) and not of MDPI and/or the editor(s). MDPI and/or the editor(s) disclaim responsibility for any injury to people or property resulting from any ideas, methods, instructions or products referred to in the content. |
© 2024 by the authors. Licensee MDPI, Basel, Switzerland. This article is an open access article distributed under the terms and conditions of the Creative Commons Attribution (CC BY) license (https://creativecommons.org/licenses/by/4.0/).
Share and Cite
El-Tahan, A.M.; Emran, M.; Safhi, F.A.; Wali, A.M.; Sobhy, S.E.; Ibrahim, O.M. Modeling the Effects of Irrigation and Its Interaction with Silicon on Quinoa Seed Yield and Water Use Efficiency in Arid Regions. Agronomy 2024, 14, 2088. https://doi.org/10.3390/agronomy14092088
El-Tahan AM, Emran M, Safhi FA, Wali AM, Sobhy SE, Ibrahim OM. Modeling the Effects of Irrigation and Its Interaction with Silicon on Quinoa Seed Yield and Water Use Efficiency in Arid Regions. Agronomy. 2024; 14(9):2088. https://doi.org/10.3390/agronomy14092088
Chicago/Turabian StyleEl-Tahan, Amira M., Mohamed Emran, Fatmah A. Safhi, Asal M. Wali, Sherien E. Sobhy, and Omar M. Ibrahim. 2024. "Modeling the Effects of Irrigation and Its Interaction with Silicon on Quinoa Seed Yield and Water Use Efficiency in Arid Regions" Agronomy 14, no. 9: 2088. https://doi.org/10.3390/agronomy14092088
APA StyleEl-Tahan, A. M., Emran, M., Safhi, F. A., Wali, A. M., Sobhy, S. E., & Ibrahim, O. M. (2024). Modeling the Effects of Irrigation and Its Interaction with Silicon on Quinoa Seed Yield and Water Use Efficiency in Arid Regions. Agronomy, 14(9), 2088. https://doi.org/10.3390/agronomy14092088

