Quantitative Trait Loci Mapping for Adult-Plant Stripe Rust Resistance in Chinese Wheat Cultivar Weimai 8
Abstract
1. Introduction
2. Materials and Methods
2.1. Plant Materials
2.2. Plant Pathogen
2.3. Evaluation of Stripe-Rust Reactions in the Field
2.4. DNA Extraction and Bulk Group Preparation
2.5. SSR Analyses and Electrophoresis Detection
2.6. Linkage Analysis and Genetic Mapping
3. Results
3.1. Phenotypic Evaluation
3.2. Molecular Marker Screening and Gene Location
3.3. Linkage Map Construction
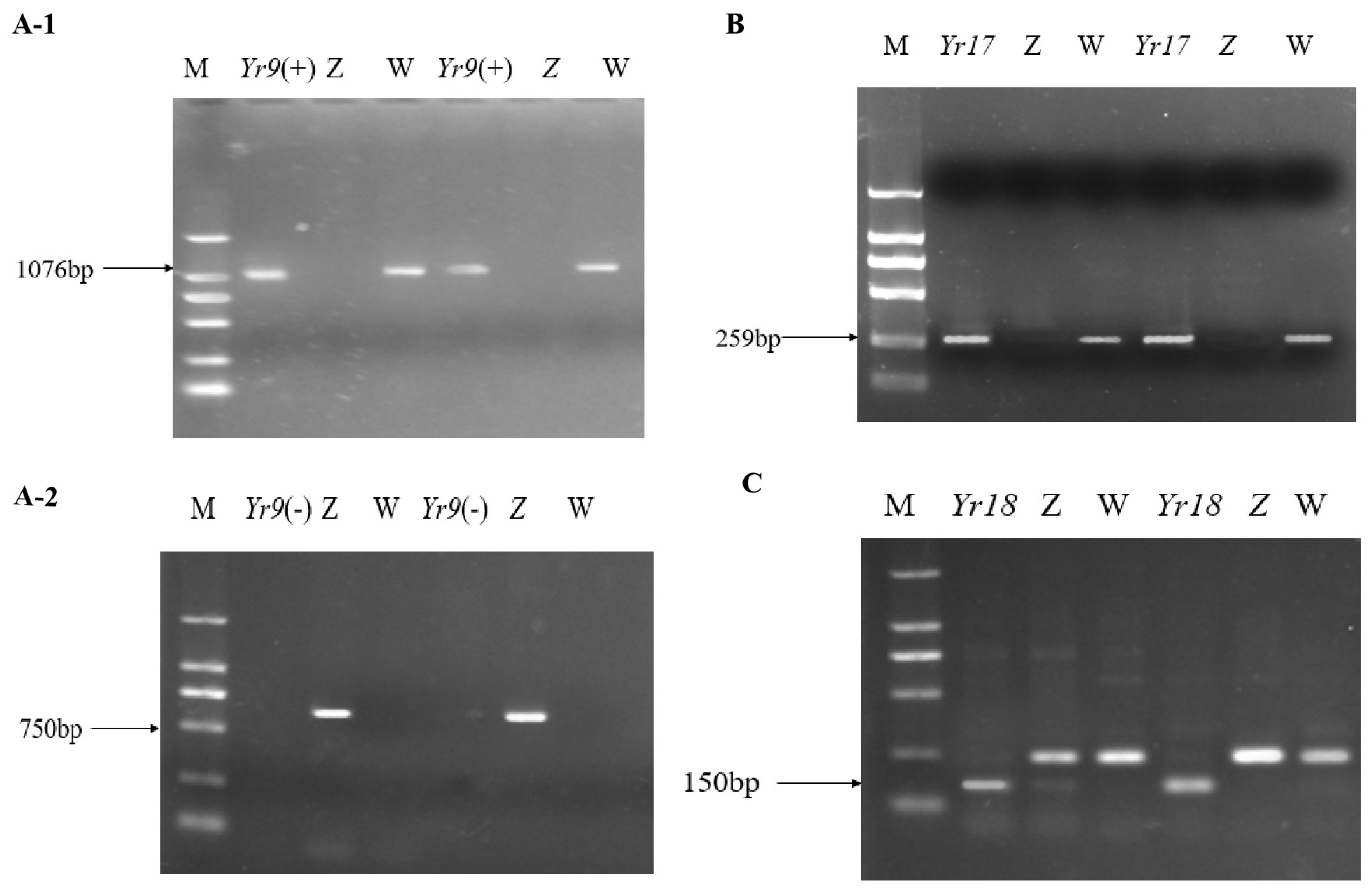
3.4. Identification of Stripe-Rust Resistance Gene Yr9, Yr17, and Yr18
4. Discussion
4.1. Investigation Index of Adult Stripe Rust
4.2. QYr.wmy-2BS, Possibly a New Loci
4.3. QYr.wmy-1B Is Yr9 and QYr.wmy-2AS Is Yr17
4.4. Weimai 8 as a Useful Resource in Breeding for Durable Wheat Stripe-Rust Resistance in China
5. Conclusions
Author Contributions
Funding
Data Availability Statement
Conflicts of Interest
References
- Cheng, Y.; Li, J.; Yao, F.; Li, L.; Wang, Y.; Wu, Y.; Li, J.; Ye, X.; Wang, J.; Jiang, Q.; et al. Dissection of loci conferring resistance to stripe rust in Chinese wheat landraces from the middle and lower reaches of the Yangtze River via genome-wide association study. Plant Sci. Int. J. Exp. Plant Biol. 2019, 287, 110204. [Google Scholar] [CrossRef]
- Awais, M.; Ali, S.; Ju, M.; Liu, W.; Zhang, G.; Zhang, Z.; Li, Z.; Ma, X.; Wang, L.; Du, Z.; et al. Countrywide inter-epidemic region migration pattern suggests the role of southwestern population in wheat stripe rust epidemics in China. Environ. Microbiol. 2022, 24, 4684–4701. [Google Scholar] [CrossRef] [PubMed]
- Zhou, X.; Fang, T.; Li, K.; Huang, K.; Ma, C.; Zhang, M.; Li, X.; Yang, S.; Ren, R.; Zhang, P. Yield losses associated with different levels of stripe rust resistance of commercial wheat cultivars in China. Phytopathology 2022, 112, 1244–1254. [Google Scholar] [CrossRef] [PubMed]
- Franco, M.F.; Polacco, A.N.; Campos, P.E.; Pontaroli, A.C.; Vanzetti, L.S. Genome-wide association study for resistance in bread wheat (Triticum aestivum L.) to stripe rust (Puccinia striiformis f. sp. tritici) races in Argentina. BMC Plant Biol. 2022, 22, 543. [Google Scholar] [CrossRef]
- Chen, X. Epidemiology and control of stripe rust (Puccinia striiformis f. sp. tritici) on wheat. Can. J. Plant Pathol. 2005, 27, 314–337. [Google Scholar] [CrossRef]
- McInosh, R.; Mu, J.M.; Han, D.J.; Kang, Z.S. Wheat stripe rust resistance gene Yr24/Yr26: A retrospective review. Crop J. 2018, 6, 321–329. [Google Scholar] [CrossRef]
- Rollar, S.; Geyer, M.; Hartl, L.; Mohler, V.; Ordon, F.; Serfling, A. Quantitative Trait Loci Mapping of Adult Plant and Seedling Resistance to Stripe Rust (Puccinia striiformis Westend.) in a Multiparent Advanced Generation Intercross Wheat Population. Front. Plant Sci. 2021, 12, 684671. [Google Scholar] [CrossRef]
- Dong, Z.; Hegarty, J.; Zhang, J.; Zhang, W.; Chao, S.; Chen, X.; Zhou, Y.; Dubcovsky, J. Validation and characterization of a QTL for adult plant resistance to stripe rust on wheat chromosome arm 6BS (Yr78). Theor. Appl. Genet. 2017, 130, 2127–2137. [Google Scholar] [CrossRef] [PubMed]
- Lu, C.; Du, J.; Chen, H.; Chen, H.; Gong, S.; Jin, Y.; Meng, X.; Zhang, T.; Fu, B.; Molnár, I.; et al. Wheat Pm55 alleles exhibit distinct interactions with an inhibitor to cause different powdery mildew resistance. Nat. Commun. 2024, 15, 503. [Google Scholar] [CrossRef]
- Wang, F.; Zhang, M.; Hu, Y.; Gan, M.; Jiang, B.; Hao, M.; Ning, S.; Yuan, Z.; Chen, X.; Chen, X.; et al. Pyramiding of Adult-Plant Resistance Genes Enhances All-Stage Resistance to Wheat Stripe Rust. Plant Dis. 2023, 107, 879–885. [Google Scholar] [CrossRef]
- Wang, S.; Li, Q.P.; Wang, J.; Yan, Y.; Zhang, G.L.; Yan, Y.; Zhang, H.; Wu, J.; Chen, F.; Wang, X.; et al. YR36/WKS1-Mediated Phosphorylation of PsbO, an Extrinsic Member of Photosystem II, Inhibits Photosynthesis and Confers Stripe Rust Resistance in Wheat. Mol. Plant 2019, 12, 1639–1650. [Google Scholar] [CrossRef]
- Cloutier, S.; Reimer, E.; Khadka, B.; McCallum, B.D. Variations in exons 11 and 12 of the multi-pest resistance wheat gene Lr34 are independently additive for leaf rust resistance. Front. Plant Sci. 2023, 13, 1061490. [Google Scholar] [CrossRef]
- Huerta-Espino, J.; Singh, R.; Crespo-Herrera, L.A.; Villaseñor-Mir, H.E.; Rodriguez-Garcia, M.F.; Dreisigacker, S.; Barcenas-Santana, D.; Lagudah, E. Adult Plant Slow Rusting Genes Confer High Levels of Resistance to Rusts in Bread Wheat Cultivars From Mexico. Front. Plant Sci. 2020, 14, 824. [Google Scholar] [CrossRef]
- Eric, D.; Sambasivam, P.; Lee, T.H. Harnessing adult-plant resistance genes to deploy durable disease resistance in crops. Essays Biochem. 2022, 66, 571–580. [Google Scholar] [CrossRef]
- Kaur, S.; Pennington, T.; Conley, E.J.; Green, A.; Kolmer, J.; Anderson, J.; Gupta, R.; Gill, U. High-Resolution Melting-Based Marker Development for Wheat Leaf Rust Resistance Gene Lr34. Phytopathology 2023, 113, 508–515. [Google Scholar] [CrossRef]
- Bhavani, S.; Singh, R.P.; Hodson, D.P.; Huerta-Espino, J.; Randhawa, M.S. Wheat Rusts: Current Status, Prospects of Genetic Control and Integrated Approaches to Enhance Resistance Durability. In Wheat Improvement; Springer: Berlin/Heidelberg, Germany, 2022; pp. 125–141. [Google Scholar] [CrossRef]
- Mcintosh, R.; Dubcovsky, J.; Rogers, W.; Xia, X.; Raupp, W. Catalogue of gene symbols for wheat: 2021 supplement. Annu. Wheat Newsl. 2021, 67, 104–113. [Google Scholar]
- Klymiuk, V.; Chawla, H.; Wiebe, K.; Ens, J.; Fatiukha, A.; Govta, L.; Fahima, T.; Ponzniak, C. Discovery of stripe rust resistance with incomplete dominance in wild emmer wheat using bulked segregant analysis sequencing. Commun. Biol. 2022, 5, 826. [Google Scholar] [CrossRef]
- Ren, T.H.; Li, Z.; Feiquan, T.; Jiang, C.; Peigao, G.L. Advances in identifying stripe rust resistance genes in cereals. In Achieving Durable Disease Resistance in Cereals; Burleigh Dodds Science Publishing: Cambridge, UK, 2021; pp. 39–80. [Google Scholar] [CrossRef]
- Li, J.; Dundas, I.; Dong, C.; Li, G.; Trethowan, R.; Yang, Z.; Hoxha, S.; Zhang, P. Identification and characterization of a new stripe rust resistance gene Yr83 on rye chromosome 6R in wheat. Theor. Appl. Genet. 2020, 133, 1095–1107. [Google Scholar] [CrossRef] [PubMed]
- Rajender, S.; Neelam, R.Y. Evaluating stripe rust resistance in Indian wheat genotypes and breeding lines using molecular markers. Comptes Rendus Biol. 2019, 342, 154–174. [Google Scholar] [CrossRef]
- Zheng, X.; Zhou, J.; Zhang, M.; Tan, W.; Ma, C.; Tian, R.; Yan, Q.; Li, X.; Xia, C.; Kang, Z.; et al. Transfer of Durable Stripe Rust Resistance Gene Yr39 into Four Chinese Elite Wheat Cultivars Using Marker-Assisted Selection. Agronomy 2022, 12, 1791. [Google Scholar] [CrossRef]
- Ren, R.; Wang, M.; Chen, X.; Zhang, Z. Characterization and molecular mapping of Yr52 for high-temperature adult plant resistance to stripe rust in spring wheat germplasm PI183527. Theor. Appl. Genet. 2012, 125, 847–857. [Google Scholar] [CrossRef]
- Zhang, M.; Fang, T.; Zhou, X.; Chen, X.; Li, X.; Feng, J.; Yang, S.; Kang, Z. Combination of Marker-Assisted Backcross Selection of Yr59 and Phenotypic Selection to Improve Stripe Rust Resistance and Agronomic Performance in Four Elite Wheat Cultivars. Agronomy 2022, 12, 497. [Google Scholar] [CrossRef]
- Zhou, J.; Zheng, X.; Zhong, X. Transfer of the high-temperature adult-plant stripe rust resistance gene Yr62 in four Chinese wheat cultivars. Mol. Breed. 2023, 43, 44. [Google Scholar] [CrossRef] [PubMed]
- Feng, J.; Wang, M.; See, D.; Zheng, Y.; Chen, X. Characterization of novel gene Yr79 and four additional quantitative trait loci for all-stage and high-temperature adult-plant resistance to stripe rust in spring wheat PI 182103. Phytopathology 2018, 108, 737–747. [Google Scholar] [CrossRef]
- Wu, Z.; Zhang, G.; Zhao, R.; Gao, Q.; Zhao, J.; Zhu, X.; Wang, F.; Kang, Z.; Wang, X. Transcriptomic analysis of wheat reveals possible resistance mechanism mediated by Yr10 to stripe rust. Stress. Biol. 2023, 3, 44. [Google Scholar] [CrossRef] [PubMed]
- Klymiuk, V.; Yaniv, E.; Huang, L.; Raats, D.; Fatiukha, A.; Chen, S.; Feng, L.; Frenkel, Z.; Krugman, T.; Lidzbarsky, G.; et al. Cloning of the wheat Yr15 resistance gene sheds light on the plant tandem kinase-pseudokinase family. Nat. Commun. 2018, 9, 3735. [Google Scholar] [CrossRef]
- Milne, R.J.; Dibley, K.E.; Schnippenkoetter, W.; Mascher, M.; Lui, A.C.W.; Wang, L.; Lo, C.; Ashton, A.R.; Ryan, P.R.; Lagudah, E.S. The Wheat Lr67 Gene from the Sugar Transport Protein 13 Family Confers Multipathogen Resistance in Barley. Plant Physiol. 2019, 179, 1285–1297. [Google Scholar] [CrossRef]
- Spychała, J.; Tomkowiak, A.; Noweiska, A.; Bobrowska, R.; Bocianowski, J.; Książkiewicz, M.; Sobiech, A.; Kwiatek, M.T. Expression Profiling of the Slow Rusting Resistance Genes Lr34/Yr18 and Lr67/Yr46 in Common Wheat (Triticum aestivum L.) and Associated miRNAs Patterns. Genes 2023, 14, 1376. [Google Scholar] [CrossRef]
- Lv, H.; Fang, Z.; Yang, L. An update on the arsenal: Mining resistance genes for disease management of Brassica crops in the genomic era. Hortic. Res. 2020, 7, 34. [Google Scholar] [CrossRef]
- Mahmood, Z.; Ali, M.; Mirza, J.I.; Fayyaz, M.; Majeed, K.; Naeem, M.K.; Aziz, A.; Trethowan, R.; Ogbonnaya, F.C.; Poland, J.; et al. Genome-Wide Association and Genomic Prediction for Stripe Rust Resistance in Synthetic-Derived Wheats. Front. Plant Sci. 2022, 24, 788593. [Google Scholar] [CrossRef]
- Peng, J.; Fahima, T.; Röder, M.; Li, Y.; Grama, A.; Nevo, E. Microsatellite high-density mapping of the stripe rust resistance gene YrH52 region of chromosome 1B and evaluation of its marker-assisted selection in the F2 generation in wild emmer wheat. New Phytol. 2000, 146, 141–154. [Google Scholar] [CrossRef]
- Li, Z.; Zheng, T.; He, Z.; Li, G.; Xu, S.; Li, X.; Yang, G.; Singh, R.; Xia, X. Molecular tagging of stripe rust resistance gene YrZH84 in Chinese wheat line Zhou 8425B. Theor. Appl. Genet. 2006, 112, 1098–1103. [Google Scholar] [CrossRef] [PubMed]
- Weng, D.; Xu, S.; Lin, R.; Wan, A.; Li, J.; Wu, L. Microsatellite marker linked with stripe rust resistant gene Yr9 in wheat. Acta Genet. Sin. 2005, 32, 937–941. [Google Scholar] [CrossRef]
- Chen, C.; Hao, W.; Wu, J.; Si, H.; Xia, X.; Ma, C. Fine Mapping of Stripe-Rust-Resistance Gene YrJ22 in Common Wheat by BSR-Seq and MutMap-Based Sequencing. Plants 2022, 11, 3244. [Google Scholar] [CrossRef]
- Mavrodiev, E.V.; Dervinis, C.; Whitten, W.M.; Gitzendanner, M.A.; Kirst, M.; Kim, S.; Kinser, T.J.; Soltis, P.S.; Soltis, D.E. A new, simple, highly scalable, and efficient protocol for genomic DNA extraction from diverse plant taxa. Appl. Plant Sci. 2021, 9, e11413. [Google Scholar] [CrossRef]
- Xu, Y.; Li, Z. Bulk segregation analysis in the NGS era: A review of its teenage years. Plant J. 2022, 109, 1355–1374. [Google Scholar] [CrossRef]
- Da Silva, M.; Zaccaron, A.; Bluhm, B.; Rupe, J.; Wood, L.; Mozzoni, L.; Mason, R.; Yingling, S.; Pereira, A. Bulked segregant analysis using next-generation sequencing for identification of genetic loci for charcoal rot resistance in soybean. Physiol. Mol. Plant Pathol. 2020, 109, 101440. [Google Scholar] [CrossRef]
- Balakrishnan, D.; Surapaneni, M.; Yadavalli, V.R. Detecting CSSLs and yield QTLs with additive, epistatic and QTL×environment interaction effects from Oryza sativa × O. nivara IRGC81832 cross. Sci. Rep. 2020, 10, 7766. [Google Scholar] [CrossRef]
- Chai, J.; Zhou, R.; Jia, J.; Liu, X. Development and application of a new codominant PCR marker for detecting 1BL.1RS wheat-rye chromosome translocations. Plant Breed. 2006, 125, 302–304. [Google Scholar] [CrossRef]
- Kaur, R.; Sharma, P.; Sheikh, I.; Kumar, R.; Dhaliwal, H. Marker assisted breeding of recombinant 1RS-1BL chromosome for improvemnt of bread making quality and yield of wheat (Triticum aestivum L.). In National Confernce on Biotechnology for Sustainable Development; Springer: Singapore, 2015; p. BSD 297. Available online: https://www.researchgate.net/publication/319178188 (accessed on 17 January 2021).
- Madenova, A.; Kokhmetova, A.; Kampitova, G. Identification of the Carriers of Genes for Resistance to Wheat Leaf Rust Using Molecular Markers. Biosci. Biotechnol. Res. Asia 2015, 12, 1683–1690. [Google Scholar] [CrossRef]
- Lagudah, E.; Mcfadden, H.; Singh, R.; Huerta, E.; Bariana, H.; Spielmeyer, W. Molecular genetic characterization of the Lr34/Yr18 slow rusting resistance gene region in wheat. Theor. Appl. Genet. 2006, 114, 21–30. [Google Scholar] [CrossRef]
- Wang, J.; Li, Z.; Shi, L.; Zhu, L.; Ren, Z.; Li, X.; Liu, D.; Shah, S. QTL mapping for adult-plant leaf rust resistance genes in Chinese wheat cultivar Weimai 8. Czech J. Genet. Plant Breed. 2015, 51, 79–85. [Google Scholar] [CrossRef]
- Wang, Y.; Yu, C.; Cheng, Y.; Yao, F.; Long, L.; Wu, Y.; Li, J.; Li, H.; Wang, J.; Jiang, Q.; et al. Genome-wide association mapping reveals potential novel loci controlling stripe rust resistance in a Chinese wheat landrace diversity panel from the southern autumn-sown spring wheat zone. BMC Genom. 2021, 22, 34. [Google Scholar] [CrossRef]
- Athiyannan, N.; Abrouk, M.; Boshoff, W.H.P. Long-read genome sequencing of bread wheat facilitates disease resistance gene cloning. Nat. Genet. 2022, 54, 227–231. [Google Scholar] [CrossRef] [PubMed]
- Juliana, P.; Singh, R.P.; Huerta-Espino, J. Genome-wide mapping and allelic fingerprinting provide insights into the genetics of resistance to wheat stripe rust in India, Kenya and Mexico. Sci. Rep. 2020, 10, 10908. [Google Scholar] [CrossRef] [PubMed]
- Farrakh, S.; Khalid, S.; Rafique, A.; Riaz, N.; Mujeeb-Kazi, A. Identification of stripe rust resistant genes in resistant synthetic hexaploid wheat accessions using linked markers. Plant Genet. Resour. 2016, 14, 219–225. [Google Scholar] [CrossRef]
- Mesfin, G.; Hanif, M.; Urmil, B.; Harbans, B. Genetics of stripe rust resistance in a common wheat landrace Aus27492 and its transfer to modern wheat cultivars. Can. J. Plant Pathol. 2021, 43, S256–S262. [Google Scholar] [CrossRef]
- Jiang, C.; Wang, X.; Chen, W.; Liu, T.; Luo, P. Resistance performance of wheat stripe rust resistance gene Yr41 and its effect on yield parameters in F2 populations under field conditions. Crop Prot. 2020, 134, 105168. [Google Scholar] [CrossRef]
- Guan, H.; Guo, Y.; Wang, Y.; Liu, T.; Lin, R.; Xu, S. Microsatellite Marker of the Resistance Gene YrSpP to Wheat Stripe Rust. Sci. Agric. Sin. 2005, 38, 1574–1577. Available online: http://en.cnki.com.cn/Article_en/CJFDTOTAL-ZNYK200508011.htm (accessed on 14 March 2021).
- Li, Z.; Singh, S.; Singh, R.; López-Vera, E.; Huerta-Espino, J. Genetics of resistance to yellow rust in PBW343 × Kenya Kudu recombinant inbred line population and mapping of a new resistance gene YrKK. Mol. Breed. 2013, 32, 821–829. [Google Scholar] [CrossRef]
- Yan, X.; Li, M.; Zhang, P.; Yin, G.; Zhang, H.; Gebrewahid, T.; Zhang, J.; Dong, L.; Liu, D.; Liu, Z.; et al. High-temperature wheat leaf rust resistance gene Lr13 exhibits pleiotropic effects on hybrid necrosis. Mol. Plant 2021, 14, 1029–1032. [Google Scholar] [CrossRef]
- Hou, W.; Lu, Q.; Ma, L.; Sun, X.; Wang, L.; Nie, J.; Guo, P.; Liu, T.; Li, Z.; Sun, C.; et al. Mapping of quantitative trait loci for leaf rust resistance in the wheat population ‘Xinmai 26/Zhoumai 22’. J. Exp. Bot. 2023, 74, 3019–3032. [Google Scholar] [CrossRef]
- Chhetri, M.; Bariana, H.; Wong, D.; Sohail, Y.; Hayden, M.; Bansal, U. Development of robust molecular markers for marker-assisted selection of leaf rust resistance gene Lr23 in common and durum wheat breeding programs. Mol. Breed. 2017, 37, 21. [Google Scholar] [CrossRef]
- Xu, S.; Wu, L.; Wan, A.; Wang, F.; Zhao, W.; Niu, Y. Establishment of near isogenic lines resistant to wheat stripe rust using Taichung29 as a recurrent parent. Plant Prot. 2004, 30, 19–22. Available online: http://en.cnki.com.cn/Article_en/CJFDTOTAL-ZWBH200402003.htm (accessed on 19 December 2021).
- Maré, A.; Boshoff, W.H.P.; Herselman, L. Molecular breeding of wheat lines for multiple rust and Fusarium head blight resistance. Euphytica 2020, 216, 163. [Google Scholar] [CrossRef]
- Yuan, F.P.; Zeng, Q.D.; Wu, J.H.; Wang, Q.L.; Yang, Z.J.; Liang, B.P.; Kang, Z.S.; Chen, X.H.; Han, D.J. QTL Mapping and Validation of Adult Plant Resistance to Stripe Rust in Chinese Wheat Landrace Humai 15. Front. Plant Sci. 2018, 9, 968. [Google Scholar] [CrossRef]
- Kaixiang, C.; Caijuan, W.; Juan, L.; Wenli, W.; Baotong, W.; Qiang, L. Genetic analysis of adult plant, quantitative resistance to stripe rust in wheat landrace Wudubaijian in multi-environment trials. J. Integr. Agric. 2022, 21, 2305–2318. [Google Scholar] [CrossRef]
- Wu, J.; Wang, Q.; Liu, S.; Huang, S.; Mu, J.; Zeng, Q.; Huang, L.; Han, D.; Kang, Z. Saturation Mapping of a Major Effect QTL for Stripe Rust Resistance on Wheat Chromosome 2B in Cultivar Napo 63 Using SNP Genotyping Arrays. Front. Plant Sci. 2017, 8, 653. [Google Scholar] [CrossRef]
- Firdissa, E.B.; Yuefeng, R.; Curt, M.; Ron, E.K.; Xiangyu, P.; Reem, A.; Harpinder, R.; Karim, A.; Brad, M.; Richard, D.; et al. High density genetic mapping of stripe rust resistance in a ‘Strongfield’/‘Blackbird’ durum wheat population. Can. J. Plant Pathol. 2021, 43 (Suppl. S2), S242–S255. [Google Scholar] [CrossRef]
- Cobo, N.; Pflüger, L.; Chen, X.; Dubcovsky, J. Mapping QTL for resistance to new virulent races of wheat stripe rust from two Argentinean wheat cultivars. Crop Sci. 2018, 58, 2470–2483. [Google Scholar] [CrossRef]
- Mago, R.; Miah, H.; Lawrence, G.J.; Wellings, C.R.; Spielmeyer, W.; Bariana, H.S.; McIntosh, R.A.; Pryor, A.J.; Ellis, J.G. High-resolution mapping and mutation analysis separate the rust resistance genes Sr31, Lr26 and Yr9 on the short arm of rye chromosome 1. Theor. Appl. Genet. 2005, 112, 41–50. [Google Scholar] [CrossRef]
- Singh, S.P.; Hurni, S.; Ruinelli, M.; Brunner, S.; Sanchez-Martin, J.; Krukowski, P.; Peditto, D.; Buchmann, G.; Zbinden, H.; Keller, B. Evolutionary divergence of the rye Pm17 and Pm8 resistance genes reveals ancient diversity. Plant Mol. Biol. 2018, 98, 249–260. [Google Scholar] [CrossRef]
- Bhardwaj, S.; Singh, G.; Gangwar, O.; Prasad, P.; Kumar, S. Status of wheat rust research and progress in rust management-Indian Context. Agronomy 2019, 9, 892. [Google Scholar] [CrossRef]
- Kokhmetova, A.; Rsaliyev, A.; Malysheva, A.; Atishova, M.; Kumarbayeva, M.; Keishilov, Z. Identification of Stripe Rust Resistance Genes in Common Wheat Cultivars and Breeding Lines from Kazakhstan. Plants 2021, 10, 2303. [Google Scholar] [CrossRef]
- Ambrozková, M.; Dedryver, F.; Dumalasová, V.; Hanzalová, A.; Bartoš, P. Determination of the cluster of wheat rust resistance genes Yr17, Lr37, and Sr38 by a molecular marker. Plant Prot. Sci. 2018, 38, 41–45. [Google Scholar] [CrossRef]
- Pang, Y.; Liu, C.; Lin, M.; Ni, F.; Li, W.; Cai, J.; Zhang, Z.; Zhu, H.; Liu, J.; Wu, J.; et al. Mapping QTL for adult-plant resistance to stripe rust in a Chinese wheat landrace. Int. J. Mol. Sci. 2022, 23, 9662. [Google Scholar] [CrossRef] [PubMed]
- Coriton, O.; Jahier, J.; Leconte, M.; Huteau, V.; Trotoux, G.; Dedryver, F.; de-Vallavielle-Pope, C. Double dose efficiency of the yellow rust resistance gene Yr17 in bread wheat lines. Plant Breed. 2020, 139, 263–271. [Google Scholar] [CrossRef]




| Environment | QTL | Maker Interval | LOD Score | PVE (%) | Additive |
|---|---|---|---|---|---|
| 2016–2017 Baoding | QYr.wmy-1B | Xgwm374.2–Xbarc240 | 5.29 | 16.64 | −8.22 |
| QYr.wmy-2AS | Xbarc212–Xwms636 | 2.78 | 9.35 | −5.86 | |
| QYr.wmy-2BS | Xwmc25–Xbarc361 | 3.61 | 9.95 | −6.06 | |
| QYr.wmy-7DS | Xwmc473–Xwmc488 | 4.15 | 11.49 | −6.51 | |
| 2017–2018 Mianyang | QYr.wmy-1B | Xgwm374.2–Xbarc240 | 4.09 | 13.42 | −6.42 |
| QYr.wmy-2AS | Xwms636–Xgwm614 | 4.33 | 12.70 | −5.98 | |
| QYr.wmy-2BS | Xwmc25–Xbarc361 | 3.34 | 9.61 | −5.21 | |
| QYr.wmy-7DS | Xwmc473–Xwmc488 | 5.41 | 15.07 | −6.52 | |
| 2018–2019 Mianyang | QYr.wmy-1B | Xgwm374.2–Xbarc240 | 3.36 | 11.56 | −6.36 |
| QYr.wmy-2AS | Xbarc212–Xwms636 | 3.81 | 11.46 | −6.09 | |
| QYr.wmy-2BS | Xbarc361–Xgwm148 | 2.53 | 7.27 | −4.87 | |
| QYr.wmy-7DS | Xwmc473–Xwmc488 | 4.80 | 13.28 | −6.57 |
Disclaimer/Publisher’s Note: The statements, opinions and data contained in all publications are solely those of the individual author(s) and contributor(s) and not of MDPI and/or the editor(s). MDPI and/or the editor(s) disclaim responsibility for any injury to people or property resulting from any ideas, methods, instructions or products referred to in the content. |
© 2024 by the authors. Licensee MDPI, Basel, Switzerland. This article is an open access article distributed under the terms and conditions of the Creative Commons Attribution (CC BY) license (https://creativecommons.org/licenses/by/4.0/).
Share and Cite
Yan, X.; Zhang, X.; Kou, M.; Gebrewahid, T.W.; Xi, J.; Li, Z.; Yao, Z. Quantitative Trait Loci Mapping for Adult-Plant Stripe Rust Resistance in Chinese Wheat Cultivar Weimai 8. Agronomy 2024, 14, 264. https://doi.org/10.3390/agronomy14020264
Yan X, Zhang X, Kou M, Gebrewahid TW, Xi J, Li Z, Yao Z. Quantitative Trait Loci Mapping for Adult-Plant Stripe Rust Resistance in Chinese Wheat Cultivar Weimai 8. Agronomy. 2024; 14(2):264. https://doi.org/10.3390/agronomy14020264
Chicago/Turabian StyleYan, Xiaocui, Xiaoling Zhang, Mengyun Kou, Takele Weldu Gebrewahid, Jiaxin Xi, Zaifeng Li, and Zhanjun Yao. 2024. "Quantitative Trait Loci Mapping for Adult-Plant Stripe Rust Resistance in Chinese Wheat Cultivar Weimai 8" Agronomy 14, no. 2: 264. https://doi.org/10.3390/agronomy14020264
APA StyleYan, X., Zhang, X., Kou, M., Gebrewahid, T. W., Xi, J., Li, Z., & Yao, Z. (2024). Quantitative Trait Loci Mapping for Adult-Plant Stripe Rust Resistance in Chinese Wheat Cultivar Weimai 8. Agronomy, 14(2), 264. https://doi.org/10.3390/agronomy14020264

