Molecular Detection of the Grapevine Pathogens Plasmopara viticola and Erysiphe necator from Airborne Inoculum Collector Cyclones
Abstract
1. Introduction
2. Materials and Methods
2.1. Inoculation of Adhesive Tapes and Processing
2.2. DNA Extraction Methods
2.3. Primer Selection for Molecular Detection of P. viticola and E. necator
2.4. Optimization of PCR Conditions
3. Results and Discussion
3.1. Detection by Microscopy
3.2. DNA Extraction and Quantification
3.3. Molecular Detection of Downy Mildew (P. viticola) and Powdery Mildew (E. necator)
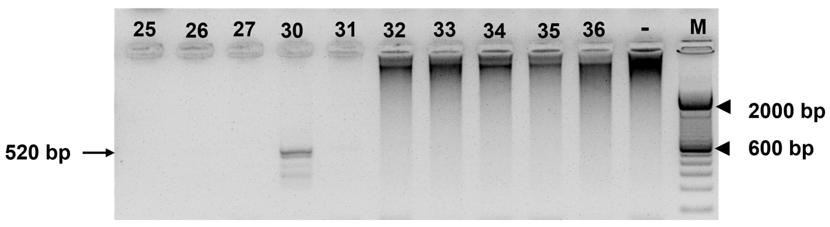
3.3.1. Results Obtained with Primer Pairs Nad9 cob-F/Nad9 cob-R and Giop-F/Giop-R
3.3.2. Results Obtained with Primer Pairs cytb-F/cytb-R, mO3E11-F/mO3E11-R, and Uncin144/Uncin511
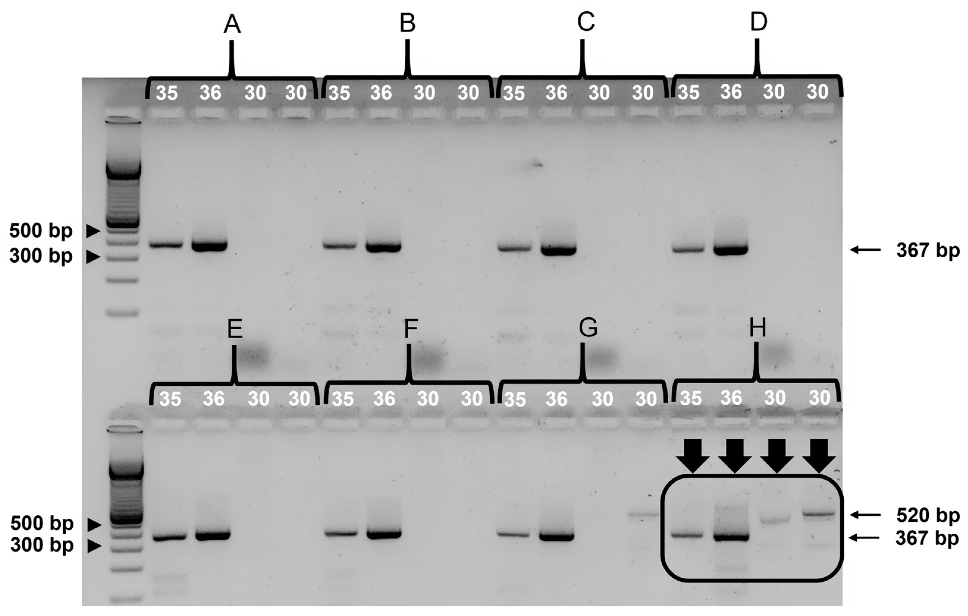
3.3.3. Multiplex PCR
3.4. Validation of the DNA Extraction Method and Selected Primers
4. Conclusions
Supplementary Materials
Author Contributions
Funding
Data Availability Statement
Acknowledgments
Conflicts of Interest
Appendix A
References
- Vivier, M.A.; Pretorius, I.S. Genetically Tailored Grapevines for the Wine Industry. Trends Biotechnol. 2002, 20, 472–478. [Google Scholar] [CrossRef]
- Bouquet, A.; Torregrosa, L.; Iocco, P.; Thomas, M.R. Grapevine (Vitis vinifera L.). Methods Mol. Biol. 2006, 344, 273–285. [Google Scholar] [CrossRef]
- Food and Agriculture Organization of the United Nations (FAO); International Organisation of Vine and Wine (OIV). FAO–OIV Focus. 2016. Table and Dried Grapes; FAO: Rome, Italy, 2016.
- International Organisation of Vine and Wine (OIV). Annual Assessment of the World Vine and Wine Sector in 2022 International Organisation of Vine and Wine Intergovernmental Organisation; OIV: Dijon, France, 2023. [Google Scholar]
- Eisenmann, B.; Wingerter, C.; Dressler, M.; Freund, C.; Kortekamp, A.; Bogs, J. Fungicide-Saving Potential and Economic Advantages of Fungus-Resistant Grapevine Cultivars. Plants 2023, 12, 3120. [Google Scholar] [CrossRef] [PubMed]
- Elsherbiny, O.; Elaraby, A.; Alahmadi, M.; Hamdan, M.; Gao, J. Rapid Grapevine Health Diagnosis Based on Digital Imaging and Deep Learning. Plants 2024, 13, 135. [Google Scholar] [CrossRef] [PubMed]
- Fei, W.; Liu, Y. Biotrophic Fungal Pathogens: A Critical Overview. Appl. Biochem. Biotechnol. 2023, 195, 1–16. [Google Scholar] [CrossRef] [PubMed]
- Rossi, V.; Caffi, T.; Giosuè, S.; Bugiani, R. A Mechanistic Model Simulating Primary Infections of Downy Mildew in Grapevine. Ecol. Modell. 2008, 212, 480–491. [Google Scholar] [CrossRef]
- Wong, F.P.; Burr, H.N.; Wilcox, W.F. Heterothallism in Plasmopara viticola. Plant Pathol. 2001, 50, 427–432. [Google Scholar] [CrossRef]
- Buonassisi, D.; Colombo, M.; Migliaro, D.; Dolzani, C.; Peressotti, E.; Mizzotti, C.; Velasco, R.; Masiero, S.; Perazzolli, M.; Vezzulli, S. Breeding for Grapevine Downy Mildew Resistance: A Review of “Omics” Approaches. Euphytica 2017, 213, 103. [Google Scholar] [CrossRef]
- Brewer, M.T.; Milgroom, M.G. Phylogeography and Population Structure of the Grape Powdery Mildew Fungus, Erysiphe Necator, from Diverse Vitis Species. BMC Evol. Biol. 2010, 10, 268. [Google Scholar] [CrossRef]
- Thiessen, L.D.; Neill, T.M.; Mahaffee, W.F. Formation of Erysiphe necator Chasmothecia in the Pacific Northwest United States. Plant Dis. 2019, 103, 890–896. [Google Scholar] [CrossRef]
- Gadoury, D.M.; Cadle-Davidson, L.; Wilcox, W.F.; Dry, I.B.; Seem, R.C.; Milgroom, M.G. Grapevine Powdery Mildew (Erysiphe necator): A Fascinating System for the Study of the Biology, Ecology and Epidemiology of an Obligate Biotroph. Mol. Plant Pathol. 2012, 13, 1–16. [Google Scholar] [CrossRef] [PubMed]
- Falacy, J.S.; Grove, G.G.; Mahaffee, W.F.; Galloway, H.; Glawe, D.A.; Larsen, R.C.; Vandemark, G.J. Detection of Erysiphe Necator in Air Samples Using the Polymerase Chain Reaction and Species-Specific Primers. Phytopathology 2007, 97, 1290–1297. [Google Scholar] [CrossRef]
- Perner, P. Identifying Fungi Spores, Yeast, Bacteria by Opto-Electronic Imaging and Image Processing and Identification for Protecting Human Health. Curr. Trends Biomed. Eng. Biosci. 2018, 11, 555806. [Google Scholar] [CrossRef]
- Crespo-Michel, A.; Alonso-Arévalo, M.A.; Hernández-Martínez, R. Developing a Microscope Image Dataset for Fungal Spore Classification in Grapevine Using Deep Learning. J. Agric. Food Res. 2023, 14, 100805. [Google Scholar] [CrossRef]
- Diguta, C.F.; Rousseaux, S.; Weidmann, S.; Bretin, N.; Vincent, B.; Guilloux-Benatier, M.; Alexandre, H. Development of a QPCR Assay for Specific Quantification of Botrytis Cinerea on Grapes. FEMS Microbiol. Lett. 2010, 313, 81–87. [Google Scholar] [CrossRef] [PubMed]
- Ali, M.M.; Bachik, N.A.; Muhadi, N.A.; Yusof, T.N.T.; Gomes, C. Non-Destructive Techniques of Detecting Plant Diseases: A Review. Physiol. Mol. Plant Pathol. 2019, 108, 101426. [Google Scholar] [CrossRef]
- Zieliski, B.; Sroka-Oleksiak, A.; Rymarczyk, D.; Piekarczyk, A.; Brzychczy-Woch, M. Deep Learning Approach to Describe and Classify Fungi Microscopic Images. PLoS ONE 2020, 15, e0234806. [Google Scholar] [CrossRef] [PubMed]
- Riaz, S.; Tenscher, A.C.; Ramming, D.W.; Walker, M.A. Using a Limited Mapping Strategy to Identify Major QTLs for Resistance to Grapevine Powdery Mildew (Erysiphe necator) and Their Use in Marker-Assisted Breeding. Theor. Appl. Genet. 2011, 122, 1059–1073. [Google Scholar] [CrossRef] [PubMed]
- Lievens, B.; Thomma, B.P.H.J. Recent Developments in Pathogen Detection Arrays: Implications for Fungal Plant Pathogens and Use in Practice. Phytopathology 2007, 95, 1374–1380. [Google Scholar] [CrossRef] [PubMed]
- Mullis, K.B.; Faloona, F.A. [21] Specific Synthesis of DNA in Vitro via a Polymerase-Catalyzed Chain Reaction. Methods Enzymol. 1987, 155, 335–350. [Google Scholar] [CrossRef]
- Basha, J.S.; Kamalakannan, A.; Saraswathy, S.; Johnson, I.; Ganapati, P.S.; Lakshmi, K.R.S. Rapid Detection of Airborne Inocula of Grapevine Mildews Using PCR and LAMP Assay. Int. J. Plant Soil. Sci. 2021, 33, 12–21. [Google Scholar] [CrossRef]
- Huang, C.M.; Liao, D.J.; Wu, H.S.; Shen, W.C.; Chung, C.L. Cyclone-Based Spore Trapping, Quantitative Real-Time Polymerase Chain Reaction and High Resolution Melting Analysis for Monitoring Airborne Inoculum of Magnaporthe oryzae. Ann. Appl. Biol. 2016, 169, 75–90. [Google Scholar] [CrossRef]
- Chen, W.; Hambleton, S.; Seifert, K.A.; Carisse, O.; Diarra, M.S.; Peters, R.D.; Lowe, C.; Chapados, J.T.; Lévesque, C.A. Assessing Performance of Spore Samplers in Monitoring Aeromycobiota and Fungal Plant Pathogen Diversity in Canada. Appl. Environ. Microbiol. 2018, 84. [Google Scholar] [CrossRef]
- West, J.S.; Atkins, S.D.; Emberlin, J.; Fitt, B.D.L. PCR to Predict Risk of Airborne Disease. Trends Microbiol. 2008, 16, 380–387. [Google Scholar] [CrossRef] [PubMed]
- Carisse, O.; Bacon, R.; Lefebvre, A. Grape Powdery Mildew (Erysiphe necator) Risk Assessment Based on Airborne Conidium Concentration. Crop Prot. 2009, 28, 1036–1044. [Google Scholar] [CrossRef]
- Fall, M.L.; Van der Heyden, H.; Brodeur, L.; Leclerc, Y.; Moreau, G.; Carisse, O. Spatiotemporal Variation in Airborne Sporangia of Phytophthora infestans: Characterization and Initiatives towards Improving Potato Late Blight Risk Estimation. Plant Pathol. 2015, 64, 178–190. [Google Scholar] [CrossRef]
- Crandall, S.G.; Rahman, A.; Quesada-Ocampo, L.M.; Martin, F.N.; Bilodeau, G.J.; Milest, T.D. Advances in Diagnostics of Downy Mildews: Lessons Learned from Other Oomycetes and Future Challenges. Plant Dis. 2018, 102, 265–275. [Google Scholar] [CrossRef] [PubMed]
- Fabre, F.; Plantegenest, M.; Yuen, J. Financial Benefit of Using Crop Protection Decision Rules Over Systematic Spraying Strategies. Phytopathology 2007, 97, 1484–1490. [Google Scholar] [CrossRef]
- Doyle, J.J.; Doyle, J.L. A Rapid Isolation Procedure for Small Amounts of Leaf Tissue. Phytochem. Bull. 1987, 19, 11–15. [Google Scholar]
- Garcés-Claver, A.; Fellman, S.M.; Gil-Ortega, R.; Jahn, M.; Arnedo-Andrés, M.S. Identification, Validation and Survey of a Single Nucleotide Polymorphism (SNP) Associated with Pungency in Capsicum spp. Theor. Appl. Genet. 2007, 115, 907–916. [Google Scholar] [CrossRef] [PubMed]
- Valsesia, G.; Gobbin, D.; Patocchi, A.; Vecchione, A.; Pertot, I.; Gessler, C. Development of a High-Throughput Method for Quantification of Plasmopara viticola DNA in Grapevine Leaves by Means of Quantitative Real-Time Polymerase Chain Reaction. Phytopathology 2005, 95, 672–678. [Google Scholar] [CrossRef] [PubMed]
- Péros, J.P.; Michel-Romiti, C.; Troulet, C.; Notteghem, J.L. New Rapid PCR Protocols to Distinguish Genetic Groups in Erysiphe necator. VITIS 2006, 45, 47. [Google Scholar]
- Stern, V.M.; Smith, R.F.; van den Bosch, R.; Hagen, K.S. The Integration of Chemical and Biological Control of the Spotted Alfalfa Aphid: The Integrated Control Concept. Hilgardia 1959, 29, 81–101. [Google Scholar] [CrossRef]
- Integrated Pest Management (IPM)-European Commission. Available online: https://food.ec.europa.eu/plants/pesticides/sustainable-use-pesticides/integrated-pest-management-ipm_en (accessed on 21 February 2024).
- Tang, S.; Cheke, R.A. Models for Integrated Pest Control and Their Biological Implications. Math. Biosci. 2008, 215, 115–125. [Google Scholar] [CrossRef] [PubMed]
- Damos, P. Modular Structure of Web-Based Decision Support Systems for Integrated Pest Management. A Review. Agron. Sustain. Dev. 2015, 35, 1347–1372. [Google Scholar] [CrossRef]
- Gent, D.H.; De Wolf, E.; Pethybridge, S.J. Perceptions of Risk, Risk Aversion, and Barriers to Adoption of Decision Support Systems and Integrated Pest Management: An Introduction. Phytopathology 2011, 101, 640–643. [Google Scholar] [CrossRef]
- Knight, J.D.; Mumford, J.D. Decision Support Systems in Crop Protection. Outlook Agric. 1994, 23, 281–285. [Google Scholar] [CrossRef]
- Zhai, Z.; Martínez, J.F.; Beltran, V.; Martínez, N.L. Decision Support Systems for Agriculture 4.0: Survey and Challenges. Comput. Electron. Agric. 2020, 170, 105256. [Google Scholar] [CrossRef]
- Michels, M.; Bonke, V.; Musshoff, O. Understanding the Adoption of Smartphone Apps in Crop Protection. Precis. Agric. 2020, 21, 1209–1226. [Google Scholar] [CrossRef]
- Yang, L.; Chu, B.; Deng, J.; Yuan, K.; Sun, Q.; Jiang, C.; Ma, Z. Use of a Real-Time PCR Method to Quantify the Primary Infection of Plasmopara Viticola in Commercial Vineyards. Phytopathol. Res. 2023, 5, 19. [Google Scholar] [CrossRef]
- Romadanova, N.V.; Aralbayeva, M.M.; Zemtsova, A.S.; Alexandrova, A.M.; Kazybayeva, S.Z.; Mikhailenko, N.V.; Kushnarenko, S.V.; Bettoni, J.C. In Vitro Collection for the Safe Storage of Grapevine Hybrids and Identification of the Presence of Plasmopara viticola Resistance Genes. Plants 2024, 13, 1089. [Google Scholar] [CrossRef] [PubMed]
- Martínez Rodríguez, C.; Fernández Sierra, R. Influencia de Las Distintas Condiciones Microclimáticas Del Viñedo Asturiano, En La Incidencia de Determinadas Enfermedades Fúngicas. Master’s Thesis, Universidad de Oviedo, Oviedo, Spain, 2014. [Google Scholar]
- Karthick, M.; Kamalakannan, A.; Malathi, V.G.; Paranidharan, V.; Sivakumar, U.; Kavino, M.; Gowrisri, N. Phenotypic Characterization and Molecular Phylogenetic Relationship of Erysiphe Necator Infecting Grapes (Vitis vinifera). Curr. J. Appl. Sci. Technol. 2019, 37, 1–10. [Google Scholar] [CrossRef]
- Veerathilagam, D.; Kannan, R.; Parthiban, V.K.; Vincent, S.; Bhuvaneswari, K. Characterization of Powdery Mildew Pathogen (Erysiphenecator) [Schw.Burr] Infecting Grapes in Tamil Nadu. Madras Agric. J. 2022, 109, 10–12. [Google Scholar] [CrossRef]
- Alimad, N.; Naffaa, W.; Lawand, S. Detection of Erysiphe Necator, the Causal Agent of Powdery Mildew on Grapevine, and Determination of Their Mating Types in Southern Syria Using Some Molecular Markers. Arab. J. Plant Prot. 2021, 39, 152–158. [Google Scholar] [CrossRef]
- Lemons, A.R.; Lindsley, W.G.; Green, B.J. Collection and Extraction of Occupational Air Samples for Analysis of Fungal DNA. J. Vis. Exp. 2018, 135. [Google Scholar] [CrossRef]
- Vicentini, S.N.C.; Hawkins, N.J.; King, K.M.; Moreira, S.I.; de Paiva Custódio, A.A.; Leite Júnior, R.P.; Portalanza, D.; Garcés-Fiallos, F.R.; Krug, L.D.; West, J.S.; et al. Aerobiology of the Wheat Blast Pathogen: Inoculum Monitoring and Detection of Fungicide Resistance Alleles. Agronomy 2023, 13, 1238. [Google Scholar] [CrossRef]
- Massung, R.F.; Slater, K.; Owens, J.H.; Nicholson, W.L.; Mather, T.N.; Solberg, V.B.; Olson, J.G. Nested PCR Assay for Detection of Granulocytic Ehrlichiae. J. Clin. Microbiol. 1998, 36, 1090–1095. [Google Scholar] [CrossRef] [PubMed]
- Bustin, S.A.; Benes, V.; Garson, J.A.; Hellemans, J.; Huggett, J.; Kubista, M.; Mueller, R.; Nolan, T.; Pfaffl, M.W.; Shipley, G.L.; et al. The MIQE Guidelines: Minimum Information for Publication of Quantitative Real-Time PCR Experiments. Clin. Chem. 2009, 55, 611–622. [Google Scholar] [CrossRef] [PubMed]











| Primer Name | Primer Sequence (5′-3′) | Specie | Expected Fragment Size | Reference |
|---|---|---|---|---|
| Nad9 cob-F | GTATAATTTATTTAAAATAAG | P. viticola | 520 bp | Basha et al. [23] |
| Nad9 cob-R | CAAACATATCCCAAATTTC | |||
| Giop-F | TCCTGCAATTCGCATTACGT | P. viticola | 208 bp | Valsesia et al. [33] |
| Giop-R | GGTTGCAGCTAATGGATTCCTA | |||
| Uncin144 | CCGCCAGAGACCTCATCCAA | E. necator | 367 bp | Falacy et al. [14] |
| Uncin511 | TGGCTGATCACGAGCGTCAC | |||
| cytb-F | TGTTGTAATATTTATTTTAATG | E. necator | 470 bp | Basha et al. [23] |
| cytb-R | TGGGTTAGCCATAATATAA | |||
| mo3E11-F | TTGGCTGGCTGTTGTGGT | E. necator | 221/150 or 131bp | Péros et al. [34] |
| mo3E11-R | CCGCGTGAAGTTGAAGATTT |
| Thermal Cycler Rows | A | B | C | D | E | F | G | H |
|---|---|---|---|---|---|---|---|---|
| Temperatures (°C) | 65 | 63.9 | 62.2 | 59.5 | 56.3 | 53.7 | 52 | 51 |
Disclaimer/Publisher’s Note: The statements, opinions and data contained in all publications are solely those of the individual author(s) and contributor(s) and not of MDPI and/or the editor(s). MDPI and/or the editor(s) disclaim responsibility for any injury to people or property resulting from any ideas, methods, instructions or products referred to in the content. |
© 2024 by the authors. Licensee MDPI, Basel, Switzerland. This article is an open access article distributed under the terms and conditions of the Creative Commons Attribution (CC BY) license (https://creativecommons.org/licenses/by/4.0/).
Share and Cite
Balduque-Gil, J.; Garcés-Claver, A.; Pérez-Lamuela, I.; Barriuso-Vargas, J.J.; Fayos, O. Molecular Detection of the Grapevine Pathogens Plasmopara viticola and Erysiphe necator from Airborne Inoculum Collector Cyclones. Agronomy 2024, 14, 2619. https://doi.org/10.3390/agronomy14112619
Balduque-Gil J, Garcés-Claver A, Pérez-Lamuela I, Barriuso-Vargas JJ, Fayos O. Molecular Detection of the Grapevine Pathogens Plasmopara viticola and Erysiphe necator from Airborne Inoculum Collector Cyclones. Agronomy. 2024; 14(11):2619. https://doi.org/10.3390/agronomy14112619
Chicago/Turabian StyleBalduque-Gil, Joaquín, Ana Garcés-Claver, Inés Pérez-Lamuela, Juan J. Barriuso-Vargas, and Oreto Fayos. 2024. "Molecular Detection of the Grapevine Pathogens Plasmopara viticola and Erysiphe necator from Airborne Inoculum Collector Cyclones" Agronomy 14, no. 11: 2619. https://doi.org/10.3390/agronomy14112619
APA StyleBalduque-Gil, J., Garcés-Claver, A., Pérez-Lamuela, I., Barriuso-Vargas, J. J., & Fayos, O. (2024). Molecular Detection of the Grapevine Pathogens Plasmopara viticola and Erysiphe necator from Airborne Inoculum Collector Cyclones. Agronomy, 14(11), 2619. https://doi.org/10.3390/agronomy14112619

