Susceptibility of Selected Crops to Simulated Imazethapyr Carryover: A Morpho-Anatomical Analysis
Abstract
1. Introduction
2. Materials and Methods
2.1. Plant Material, Soil, and Herbicide
2.2. Bioassay under Controlled Conditions: Differences in Sensitivity of Selected Crops to Imazethapyr Based on Morphological Parameters
2.3. Differences in Crop Sensitivity to Imazethapyr Based on Anatomical Parameters
3. Results and Discussion
3.1. Differences in Crop Sensitivity to Imazethapyr Based on Morphological Parameters
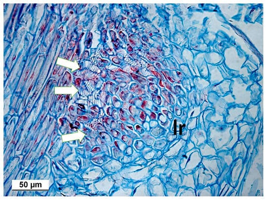
3.2. Differences in Crop Sensitivity to Imazethapyr Based on Anatomical Parameters
4. Conclusions
Author Contributions
Funding
Data Availability Statement
Acknowledgments
Conflicts of Interest
References
- Klingman, T.E.; King, C.A.; Oliver, L.R. Effect of application rate, weed species and weed stage of growth on imazethapyr activity. Weed Sci. 1992, 40, 227–232. [Google Scholar] [CrossRef]
- Bauer, T.A.; Renner, K.A.; Penner, D. Response of selected weed species to postemergence imazethapyr and bentazon. Weed Technol. 1995, 9, 236–242. [Google Scholar] [CrossRef]
- Ballard, T.O.; Foley, M.E.; Bauman, T.T. Response of common ragweed (Ambrosia artemisiifolia) and giant ragweed (Ambrosia trifida) to post emergence imazethapyr. Weed Sci. 1996, 44, 248–251. [Google Scholar] [CrossRef]
- Darwent, A.L.; Cole, D.; Malik, N. Imazethapyr, alone or with other herbicides for weed control during alfalfa (Medicago sativa) establishment. Weed Technol. 1997, 11, 346–353. [Google Scholar] [CrossRef]
- Sikkema, P.H.; Deen, W.; Vyas, S. Weed control in pae with reduced rate of imazethapyr applied preemergence and postemergence. Weed Technol. 2005, 19, 14–18. [Google Scholar] [CrossRef]
- Tan, S.; Evans, R.R.; Dahmer, M.L.; Singh, B.K.; Shaner, D.L. Imidazolinone-tolerant crops: History, current status and future. Pest Manag. Sci. 2005, 61, 246–257. [Google Scholar] [CrossRef]
- Wehtje, G.; Mosjidis, J.A. Weed control in Sericea Lespedeza with imazethapyr. Weed Technol. 2005, 19, 749–752. [Google Scholar] [CrossRef]
- Shaner, D.L.; Anderson, P.C.; Stidham, M.A. Imidazolinones: Potent inhibitors of acetohydroxyacid synthase. Plant Physiol. 1984, 76, 545–546. [Google Scholar] [CrossRef]
- Mangels, G. Behaviour of the imidazolinone herbicides in soil—A review of the literature. In The Imidazolinone Herbicides; Shaner, D.L., O’Connor, S.L., Eds.; CRC Press: Boca Raton, FL, USA, 1991; pp. 192–209. [Google Scholar]
- VanWyk, L.J.; Reinhardt, C.F. A bioassay technique detects imazethapyr leaching and liming-dependent activity. Weed Technol. 2001, 15, 1–6. [Google Scholar] [CrossRef]
- Sondhia, S. Evaluation of imazethapyr leaching in soil under natural rainfall conditions. Indian J.Weed Sci. 2013, 45, 58–61. [Google Scholar]
- Mills, J.A.; Witt, W.W. Efficacy, phytotoxicity and persistence of imazaquin, imazethapyr and clomazone in no-till double-crop soybeans (Glycine max). Weed Sci. 1989, 37, 353–359. [Google Scholar] [CrossRef]
- Jourdan, S.W.; Majek, B.A.; Ayeni, A.O. Imazethapyr bioactivity and movement in soil. Weed Sci. 1998, 46, 608–613. [Google Scholar] [CrossRef]
- Oliveira, R.S., Jr.; Koskinen, W.C.; Ferreira, F.A. Sorption and leaching potential of herbicides on Brazilian soils. Weed Res. 2001, 41, 97–110. [Google Scholar] [CrossRef]
- Kraemer, A.F. Residuals from Two Herbicides: Imazethapyr and Imazapic on Paddy Rice with Different Soil Managements. Ph.D. Thesis, Universidad Federal de Santa Maria, Santa Maria, Brazil, 2008. Available online: https://repositorio.ufsm.br/bitstream/handle/1/4979/ALEJANDROFAUSTOKRAEMER.pdf (accessed on 15 November 2022).
- Renner, K.A.; Meggitt, W.F.; Penner, D. Effect of soil pH on imazaquin and imazethapyr adsorption to soil and phytotoxicity to corn (Zea mays). Weed Sci. 1988, 36, 78–83. [Google Scholar] [CrossRef]
- Goetz, A.J.; Lavy, T.L. Mobility and soil properties of imazethapyr in Arkansas soils. Proc. South. Weed Sci. Soc. Am. 1988, 41, 337. [Google Scholar]
- Goetz, A.J.; Lavy, T.L. Soil texture influence on the field persistence of imazethapyr. Arkansas Farm Res. 1990, 39, 8. [Google Scholar]
- Loux, M.M.; Liebl, R.A.; Slife, F.W. Availability and persistence of imazaquin, imazethapyr and clomazone in soil. Weed Sci. 1989, 37, 259–267. [Google Scholar] [CrossRef]
- Loux, M.M.; Liebl, R.A.; Slife, F.W. Adsorption of imazaquin and imazethapyr on soils, sediments and selected adsorbents. Weed Sci. 1989, 37, 712–718. [Google Scholar] [CrossRef]
- Stougaard, R.N.; Shea, P.J.; Martin, A.R. Effect of soil type and pH on adsorption, mobility, and efficacy of imazaquin and imazethapyr. Weed Sci. 1990, 38, 67–73. [Google Scholar] [CrossRef]
- O’Dell, J.D.; Wolt, J.D.; Jardine, P.M. Transport of imazethapyr in undisturbed soil columns. Soil Sci. Am. J. 1992, 56, 1711–1715. [Google Scholar] [CrossRef]
- Loux, M.M.; Resse, K.D. Effect of soil type and pH on persistence and carryover of imidazolinone herbicides. Weed Technol. 1993, 7, 452–458. [Google Scholar] [CrossRef]
- Gan, J.; Weimer, M.R.; Koskinen, W.C.; Buhler, D.D.; Wyse, D.L.; Becker, R.L. Sorption and desorption of imazethapyr and 5-hydroxyimazethapyr in Minnesota soils. Weed Sci. 1994, 42, 92–97. [Google Scholar] [CrossRef]
- Oliveira, R.S., Jr.; Koskinen, W.C.; Ferreira, F.A.; Khakural, B.R.; Mulla, D.J.; Robert, P.J. Spatial variability of imazethapyr sorption in soil. Weed Sci. 1999, 47, 243–248. [Google Scholar] [CrossRef]
- Bresnahan, G.A.; Koskinen, W.C.; Dexter, A.G.; Lueschen, W.E. Influence of soil pH-sorption interactions in imazethapyr carry-over. J. Agric. Food Chem. 2000, 48, 1929–1934. [Google Scholar] [CrossRef]
- Hollaway, K.L.; Kookana, R.S.; Noy, D.M.; Smith, J.G.; Wilhelm, N. Persistence and leaching of imazethapyr and flumetsulam herbicides over 4-year period in the highly alkaline soils of south-eastern Australia. Aust. J. Exp. Agr. 2006, 46, 669–674. [Google Scholar] [CrossRef]
- Rani, D.; Duhan, A.; Punia, S.S.; Yadav, D.B.; Duhan, S. Behavior of pre-mix formulation of imazethapyr and imazamox herbicide in two different soils. Environ. Monit. Assess. 2019, 191, 33. [Google Scholar] [CrossRef] [PubMed]
- Goetz, A.J.; Lavy, T.L.; Gbur, E.E., Jr. Degradation and field persistence of imazethapyr. Weed Sci. 1990, 38, 421–428. [Google Scholar] [CrossRef]
- Johnson, D.H.; Talbert, R.E. Cotton (Gossypium hirsutum) response to imazaquin and imazethapyr soil residues. Weed Sci. 1996, 44, 156–161. [Google Scholar] [CrossRef]
- Flint, J.L.; Witt, W.W. Microbial degradation of imazaquin and imazethapyr. Weed Sci. 1997, 45, 586–591. [Google Scholar] [CrossRef]
- Singh, K.; Kumari, A.; Rinva, R.S.; Singh, S. Effect of different temperature regimes on persistence of imazethapyr and trifluralin. Indian J. Weed Sci. 2010, 42, 88–94. [Google Scholar]
- Sondhia, S.; Khankhane, P.J.; Singh, P.K.; Sharma, A.R. Determination of imazethapyr residues in soil and grains after its application to soybeans. J. Pestic. Sci. 2015, 40, 106–110. [Google Scholar] [CrossRef]
- Kaur, L.; Kaur, P. Degradation of imazethapyr in soil: Impact of application rate, soil physicochemical properties and temperature. Int. J. Environ. Sci. Technol. 2022, 19, 1877–1892. [Google Scholar] [CrossRef]
- Ayeni, A.O.; Mayek, B.A.; Hammerstedt, J. Rainfall influence on imazethapyr bioactivity in New Jersey soils. Weed Sci. 1998, 46, 581–586. [Google Scholar] [CrossRef]
- Jovanović-Radovanov, K. Imazethapyr persistence in sandy loam detected using white mustard bioassay. J. Environ. Sci. Health B 2017, 52, 711–718. [Google Scholar] [CrossRef]
- Cantwell, J.R.; Liebl, R.A.; Slife, F.W. Biodegradation characteristics of imazaquin and imazethapyr. Weed Sci. 1989, 37, 815–819. [Google Scholar] [CrossRef]
- Ding, W.; Bai, H.; Cheng, Z.; Qu, J.J.; Xu, W.J. Isolation and identification of imazethapyr degradable bacteria and its degradation characteristic. Huanjing Kexue 2008, 29, 1359–1362. Available online: http://www.ncbi.nlm.nih.gov/pubmed/18624207 (accessed on 15 May 2023).
- Zheng, Y.; Xu, J.; Li, S.; Cao, Z. Selection and identification of the effective imazethapyr degradation bacteria. J. Northeast Agric. Univ. 2009, 6, 40–44. [Google Scholar]
- Huang, X.; Pan, J.; Liang, B.; Sun, J.; Zhao, Y.; Li, S. Characterization of a strain capable of degrading imazethapyr and its use in degradation of the herbicide in soil. Curr. Microbiol. 2009, 59, 363–367. [Google Scholar] [CrossRef]
- Curran, W.S.; Loux, M.M.; Liebl, R.A.; Simmons, F.W. Photolysis of imidazolinone herbicides in aqueous solution and on soil. Weed Sci. 1992, 40, 143–148. [Google Scholar] [CrossRef]
- Curran, W.S.; Loux, M.M.; Liebl, R.A.; Simmons, F.W. Effect of tillage and application method on clomazone, imazaquin and imazethapyr persistence. Weed Sci. 1992, 40, 482–489. [Google Scholar] [CrossRef]
- Ishiki, R.R.; Ishiki, H.M.; Takashima, K. Photocatalytic degradation of imazethapyr herbicide at TiO2/H2O interface. Chemosphere 2005, 58, 1461–1469. [Google Scholar] [CrossRef] [PubMed]
- Jungman, S.H.; Oven, M.D.K. Influence of tillage, application timing and herbicide rate on imazaquin and imazethapyr carrzover to rotational corn. Weed Sci. Soc. Am. Abstr. 1989, 29, 1. [Google Scholar]
- Buhler, D.D.; Proost, R.T. Influence of application time on bioactivity of imazethapyr in no-tillage soybean (Glycine max). Weed Sci. 1992, 40, 122–126. [Google Scholar] [CrossRef]
- Walsh, J.D.; Defelice, M.S.; Sims, B.D. Influence of tillage on soybean (Glycine max) herbicide carryover to grass and legume forage crops in Missouri. Weed Sci. 1993, 41, 144–149. [Google Scholar] [CrossRef]
- Babu, C.; Janaki, P.; Chinnusamy, C. Effect of rate of application on degradation of imazethapyr in groundnut and soil under tropical Indian condition. J. Appl. Nat. Sci. 2015, 7, 714–718. [Google Scholar] [CrossRef]
- Mills, J.A.; Witt, W.W. Dissipation of imazaquin and imazethapyr under conventional and no-tillage soybean (Glycine max). Weed Technol. 1991, 5, 586–591. [Google Scholar] [CrossRef]
- Onofri, A. Biological activity, field persistence and safe recroping intervals for imazethapyr and rimsulfuron on a silty-clay soil. Weed Res. 1996, 36, 73–83. [Google Scholar] [CrossRef]
- Schmitz, G.L.; Witt, W.W.; Mueller, T.C. The effect of wheat (Triticum aestivum) straw levels on chlorimuron, imazaquin, and imazethapyr dissipation and interception. Weed Technol. 2001, 15, 129–136. [Google Scholar] [CrossRef]
- Johnson, D.H.; Shaner, D.L.; Deane, J.; Mackersie, L.A.; Tuxhorn, G. Time-dependent adsorption of imazethapyr to soil. Weed Sci. 2000, 48, 769–775. [Google Scholar] [CrossRef]
- Aichele, T.M.; Penner, D. Adsorption, desorption and degradation of imidazolinones in soil. Weed Technol. 2005, 19, 154–159. [Google Scholar] [CrossRef]
- Gunsolus, J.L.; Bahrens, R.; Lueschen, W.E.; Warnes, D.D.; Wiersma, J.V. Carryover potential of AC-263,449, DPX-F6025, FMC-57020 and imazaquin in Minnesota. Proc. North Cent. Weed Sci. Soc. 1986, 41, 52. [Google Scholar]
- Vencill, W.K.; Wilson, H.P.; Hines, T.E.; Hatzios, K.K. Common lambsquarters (Chenopodium album) and rotational crop response to imazethapyr in pea (Pisum sativum) and snap bean (Phaseolus vulgaris). Weed Technol. 1990, 4, 39–43. [Google Scholar] [CrossRef]
- Tickes, B.R.; Umeda, K. The effect of imazethapyr upon crops grown in rotation with alfalfa. Proc. West. Soc. Weed Sci. 1991, 44, 97. [Google Scholar]
- Krausz, R.F.; Kapusta, G.; Matthews, J.L. Soybean (Glycine max) and rotational crop response to PPI chlorimuron, clomazone, imazaquin and imazethapyr. Weed Technol. 1994, 8, 224–230. [Google Scholar] [CrossRef]
- Ayeni, A.O.; Yakubu, A.I. Influence of soil type on the activity of imazethapyr on maize. Niger. J. Weed Sci. 1995, 8, 19–25. [Google Scholar]
- Moyer, L.R.; Esau, R. Imidazolinone herbicide effects on following rotational crops in Southern Alberta. Weed Technol. 1996, 10, 100–106. [Google Scholar] [CrossRef]
- O’Sullivan, J.; Thomas, R.J.; Bouw, W.J. Effect of imazethapyr and imazamox soil residues on several vegetable crops grown in Ontario. Can. J. Plant Sci. 1998, 78, 647–651. [Google Scholar] [CrossRef]
- Bell, C.E.; Boutwell, B.E. After 2 years imazethapyr residues have no effect on crops in Imperial Valley. Calif. Agr. 1999, 53, 36–40. [Google Scholar] [CrossRef]
- Alister, C.; Kogan, M. Efficacy of imidazolinone herbicides applied to imidazolinone-resistant maize and their carryover on rotational crops. Crop Prot. 2005, 24, 375–379. [Google Scholar] [CrossRef]
- Lueschen, W.E.; Getting, J.K.; Foland, E.L. Carryover potential of AC299,263 and imazethapyr in soybean/sugerbeat rotation. Weed Sci. Soc. Am. Abstr. 1986, 217, 68–243. [Google Scholar]
- Walsh, J.D.; Defelice, M.S.; Sims, B.D. Soybean (Glycine max) herbicide carryover to grain and fiber crops. Weed Technol. 1993, 7, 625–632. [Google Scholar] [CrossRef]
- Greenland, R.G. Injury to vegetable crops from herbicides applied in previous years. Weed Technol. 2003, 17, 73–78. [Google Scholar] [CrossRef]
- Li, Y.; Van Eerd, L.L.; O’Halloran, I.; Sikkema, P.H.; Robinson, D.E. Response of four fall-seeded cover crops to residues of selected herbicides. Crop Prot. 2015, 75, 11–17. [Google Scholar] [CrossRef]
- Krausz, R.F.; Kapusta, G.; Knake, E.L. Soybean (Glycine max) and rotational crop tolerance to chlorimuron, clomazone, imazaquin and imazethapyr. Weed Technol. 1992, 6, 77–80. [Google Scholar] [CrossRef]
- Krausz, R.F.; Kapusta, G.; Matthews, J.L. Acetolactate synthase-resistant and-susceptible corn (Zea mays) response to imazethapyr, imazaquin, chlorimuron, and CGA-152005. Weed Technol. 1997, 11, 810–816. [Google Scholar] [CrossRef]
- Renner, K.A.; Powell, G.E. Response of Navy bean (Phaseolus vulgaris) and wheat (Triticum aestivum) grown in rotation to clomazone, imazethapyr, bentazon and acifluorfen. Weed Sci. 1992, 40, 127–133. [Google Scholar] [CrossRef]
- Hanson, B.D.; Thill, D.C. Effects of imazethapyr and pendimethalin on lentil (Lens culinaris), pea (Pisum sativum), and a subsequent winter wheat (Triticum aestivum) crop. Weed Technol. 2001, 15, 190–194. [Google Scholar] [CrossRef]
- Hollaway, K.L.; Noy, D.M. Imazethapyr recropping recommendations for canola are suitable for Australia’s neutral-alkaline soils. In Proceedings of the 10th Agronomy Conference, ASA, Hobart, Australia, 29 January–1 February 2001; Available online: http://agronomyaustraliaproceedings.org/images/sampledata/2001/6/c/hollaway.pdf (accessed on 27 April 2023).
- Brighenti, A.M.; Moraes, J.V.; de Oliveira, R.S., Jr.; Gazziero, D.L.P.; Barroso, A.L.L.; Gomes, J.A. Persistence and phytotoxicity of soybean herbicides on successive sunflower crop. Pesq. Agropec. Bras. 2002, 37, 559–565. [Google Scholar] [CrossRef]
- Curran, W.S.; Knake, E.L.; Liebl, R.A. Corn (Zea mays) injury following use of clomazone, chlorimuron, imazaquin and imazethapyr. Weed Technol. 1991, 5, 539–544. [Google Scholar] [CrossRef]
- Renner, K.A.; Powell, G.E. Response of sugarbeet (Beta vulgaris) to herbicide residues in soil. Weed Technol. 1991, 5, 622–627. [Google Scholar] [CrossRef]
- Johnson, D.H.; Jordan, D.L.; Johnson, W.G.; Talbert, R.E.; Frans, R.E. Nicosulfuron, primisulfuron, imazethapyr and DPX-PE350 injury to succeeding crops. Weed Technol. 1993, 7, 641–644. [Google Scholar] [CrossRef]
- Johnson, D.H.; Talbert, R.E. Imazethapyr and imazaquin control puncturevine (Tribulus terrestris) but carry over to spinach (Spinacia oleracea). Weed Technol. 1993, 7, 79–83. [Google Scholar] [CrossRef]
- Monks, C.D.; Banks, P.A. Effect of straw, ash, and tillage on dissipation of imazaquin and imazethapyr. Weed Sci. 1993, 41, 133–137. [Google Scholar] [CrossRef]
- Rabaey, T.L.; Harvey, R.G. Sweet corn (Zea mays) hybrids respond differently to simulated imazethapyr carryover. Weed Technol. 1997, 11, 92–97. [Google Scholar] [CrossRef]
- Grichar, W.J.; Sestak, D.C.; Nester, P.R. Imidazolinone herbicide effects on rotational crops following peanut (Arachis hypogea L.) in South Texas. Tex. J. Agric. Nat. Resour. 1999, 12, 18–27. [Google Scholar]
- Grichar, W.J.; Besler, B.A.; Baughman, T.A.; Dotray, P.A.; Lemon, R.G.; Senseman, S.A. Cotton response to imazapic and imazethapyr residues following peanut. Tex. J. Agric. Nat. Resour. 2004, 17, 1–8. [Google Scholar]
- York, A.C.; Jordan, D.L.; Batts, R.B.; Culpepper, A.S. Cotton response to imazapic and imazethapyr applied to a preceding peanut crop. J. Cotton Sci. 2000, 4, 210–216. [Google Scholar]
- Carter, M. Soil Sampling and Methods of Analysis; Lewis Publishers: Boca Raton, FL, USA, 1993; pp. 569–579. [Google Scholar]
- R Development Core Team. R: A language and environment for statistical computing; R Foundation for Statistical Computing: Vienna, Austria, 2009; ISBN 3-900051-07-0. Available online: http://www.R-project.org (accessed on 7 May 2023).
- Ruzin, S.E. Plant Microtechnique and Microsscopy; Oxford University Press: New York, NY, USA; London, UK, 1999. [Google Scholar]
- Shaner, D.L. Physiological effects of imidazolinone herbicides. In The Imidazolinone Herbicides; Shaner, D.L., O’Connor, S.L., Eds.; CRC Press: Boca Raton, FL, USA, 1991; pp. 129–138. [Google Scholar]
- Jovanović-Radovanov, K.; Elezović, I. Phytotoxic effect of imazethapyr to hybrid maize (Zea mays L.) and its persistence. Pestic. Phytomed. 2004, 19, 111–132. [Google Scholar]
- Mehdizadeh, M. Sensitivity of oilseed rape (Brassica napus L.) to soil residues of imazethapyr herbicide. Int. J. Agric. Environ. Food Sci. 2019, 3, 46–49. [Google Scholar] [CrossRef]
- Beuerlein, M.; Loux, M.; Beuerlein, J. Corn growth retardation resulting from soybean herbicide residues. Ohio J. Sci. 1990, 90, 67–70. [Google Scholar]
- Szmigielska, A.M.; Schoenau, J.J. Analysis of imazethapyr in agricultural soils by ion exchange membranes and a canola bioassay. Commun. Soil Sci. Plant Ana. 1999, 30, 1831–1846. [Google Scholar] [CrossRef]
- Vrbničanin, S.; Božić, D.; Rančić, D.; Jovanović-Radovanov, K. Susceptibility of different varieties of Canada thistle (Cirsium arvense (L.) Scop.) to some herbicides. Acta Herbol. 2004, 13, 457–464. [Google Scholar]
- Punia, S.S.; Singh, S.; Yadaw, D. Bioefficacy of imazethapyr and chlorimuron-ethyl in clusterbean and their residual effect on succeeding rabi crops. Indian J. Weed Sci. 2011, 43, 48–53. [Google Scholar]
- Punia, S.S.; Yadav, D.; Duhan, A.; Irfan, M. Bioefficacy and phytotoxicity of herbicides in greengram and their residual effect on succeeding mustard. Indian J. Weed Sci. 2015, 47, 386–489. [Google Scholar]
- Barnett, N.M.; Naylor, A.W. Amino acid and protein metabolism in bermuda grass during water stress. Plant Physiol. 1996, 41, 1222–1230. [Google Scholar] [CrossRef]
- Singh, T.N.; Paleg, L.G.; Aspinall, D. Stress metabolism I. Nitrogen metabolism and growth in the barley plant during water stress. Aust. J. Biol. Sci. 1973, 26, 45–56. [Google Scholar] [CrossRef]
- Anderson, P.C.; Hibberd, K.A. Evidence for the interaction of an imidazolinone herbicide with leucine, valine and isoleucine metabolism. Weed Sci. 1985, 33, 479–483. [Google Scholar] [CrossRef]
- Jovanović-Radovanov, K. Influence of simulated imazethapyr soil residues on the whole protein content in different crops roots. Acta Herbol. 2022, 31, 155–165. [Google Scholar] [CrossRef]
- Jupp, A.P.; Newman, E.I. Morphological and anatomical effects of severe drought on the roots of Lolium perenne L. New Phytol. 1987, 105, 393–402. [Google Scholar] [CrossRef]
- Liman, R.; Ciğerci, I.H.; Öztürk, N.S. Determination of genotoxic effects of imazethapyr herbicide in Allium cepa root cells by mitotic activity, chromosome aberration, and comet assay. Pestic. Biochem. Physiol. 2015, 118, 38–42. [Google Scholar] [CrossRef]
- Magdaleno, A.; Gavensky, M.P.; Fassiano, A.V.; Ríos de Molina, M.C.; Santos, M.; March, H.; Moretton, J.; Juárez, B. Phytotoxicity and genotoxicity assessment of imazethapyr herbicide using a battery of bioassays. Environ. Sci. Pollut. Res. Int. 2015, 22, 19194–19202. [Google Scholar] [CrossRef] [PubMed]








| Plant Species | Parameter Measured | Regression Parameters (±SE) | ED50 | ED20 | ED10 | ||
|---|---|---|---|---|---|---|---|
| B | D | C | |||||
| Wheat (n = 60) | RL | −0.6 (0.7) | 122.9 (254.2) | 0.8 (10.1) | 109.8 (12.5) | 13.7 (5.8) | 3.1 (7.8) |
| RFW | −0.4 (0.1) | 139.8 (69.7) | 1.7 (8.1) | 90.9 (8.5) | 6.9 (1.4) | 0.7 (1.4) | |
| SFW | 1.8 (1.3) | 13.9 (3.8) | 29.1 (24.6) | 3131 (79) | 413 (26) | 260 (18.9) | |
| Corn (n = 48) | RL | −0.8 (0.2) | 88.7 (9.1) | 0.4 (4) | 16.0 (5.4) | 2.9 (0.9) | 1.1 (0.5) |
| RFW | −0.9 (0.2) | 96.1 (6.6) | 0.8 (4) | 11.9 (2.7) | 2.5 (0.7) | 1.0 (0.4) | |
| SFW | −1.3 (0.5) | 30.3 (5.7) | −5.4 (2.8) | 24.5 (10.9) | 86.3 (3.5) | 46.9 (2.4) | |
| Sunflower (n = 48) | RL | −1.1 (0.2) | 87.3 (5.9) | −2.5 (3.8) | 14.3 (3.1) | 3.9 (0.9) | 1.8 (0.6) |
| RFW | −1.0 (0.2) | 84.8 (7.3) | −0.8 (4.1) | 17.8 (4.7) | 4.2 (1.2) | 1.8 (0.7) | |
| SFW | −1.7 (0.9) | 39.0 (9.7) | −1.7 (2.4) | 61.7 (25.2) | 176 (9) | 72.7 (8.1) | |
| Rapeseed oil (n = 84) | RL | −1.0 (0.1) | 86.6 (2.7) | −0.1 (3.0) | 3.4 (0.4) | 0.9 (0.2) | 0.4 (0.1) |
| RFW | −1.4 (0.2) | 91.6 (1.9) | −0.4 (3.0) | 3.2 (0.3) | 1.2 (0.2) | 0.6 (0.1) | |
| SFW | −1.5 (0.2) | 61.8 (2.4) | −2.4 (2.7) | 7.7 (1.0) | 3.0 (0.5) | 1.7 (0.4) | |
| White mustard (n = 84) | RL | −0.6 (0.1) | 91.5 (4.9) | 0.0002 (2.9) | 2.2 (0.5) 1 | 0.2 (0.1) | 0.1 (0.04) 1 |
| RFW | −1.0 (0.2) | 91.7 (2.4) | −0.03 (2.9) | 1.6 (0.2) | 0.4 (0.1) | 0.2 (0,1) | |
| SFW | −0.7 (0.1) | 63.9 (5.8) | 0.04 (2.9) | 7.6 (2.6) | 1.0 (0.4) | 0.3 (0.2) | |
| Sugar beet (n = 60) | RL | −0.6 (0.2) | 83.8 (6.1) | −0.1 (3.2) | 2.1 (0.6) | 0.2 (0.1) | 0.05 (0.05) |
| RFW | −1.1 (0.5) | 88.6 (2.4) | −0.02 (3.2) | 0.7 (0.4) | 0.2 (0.2) | 0.1 (0.1) | |
| SFW | −0.7 (0.2) | 77.0 (4.3) | −0.1 (3.2) | 1.2 (0.3) | 0.2 (0.1) | 0.05 (0.06) | |
| Plant Species | Imazethapyr Treatments | RCL (µm) Mean ± (SD) (SE) | AZ (mm) Mean ± (SD) (SE) | LRF (mm) Mean ± (SD) (SE) | LRPNo/ 0.5 mm Root Lenght Mean ± (SD) (SE) |
|---|---|---|---|---|---|
| Corn | Control | 49.80 (3.30) a | 2.58 (0.46) a | 10.53 (1.16) a | 0.0 (0) a |
| ED10 | 36.85 (4.30) b | 2.60 (0.47) a | 9.89 (0.71) a | 0.0 (0) a | |
| ED20 | 34.69 (3.23) b | 2.15 (0.11) a | 9.82 (0.24) a | 0.0 (0) a | |
| RAD | 21.97 (3.77) c | 0.27 (0.03) b | 4.99 (0.42) b | 1.45 (0.76) b | |
| HSD0.05/0.01 | (2.5994) 7.72/10.11 | (0.2377) 0.71/0.92 | (0.5115) 1.52/1.99 | (0.2684) 0.51/0.41 | |
| Sunflower | Control | 26.21 (1.41) a | 2.23 (0.13) a | 12.40 (0.93) a | 0.55 (0.3) a |
| ED10 | 24.08 (4.28) a | 2.42 (0.28) a | 11.90 (1.43) a | 0.32 (0.10) a | |
| ED20 | 21.99 (2.62) a | 2.06 (0.29) a | 5.98 (1.27) b | 0.45 (0.13) a | |
| RAD | 9.81 (1.44) b | 1.46 (0.33) b | 2.58 (0.40) c | 5.45 (0.40) b | |
| HSD0.05/0.01 | (1.9134) 5.68/7.44 | (0.1906) 0.57/0.74 | (0.7645) 2.27/2.97 | (0.1868) 0.56/0.73 | |
| Wheat | Control | 35.71 (7.82) a | 2.32 (0.73) a | 10.54 (2.15) a | 0.0 (0) a |
| ED10 | 41.36 (2.60) a | 1.93 (0.23) a | 7.74 (3.36) b | 0.0 (0) a | |
| ED20 | 40.53 (5.27) a | 1.82 (0.37) a | 5.60 (0.33) bc | 0.0 (0) a | |
| RAD | 15.58 (1.95) b | 0.39 (0.04) b | 4.94 (1.06) c | 0.45 (0.21) b | |
| HSD0.05/0.01 | (3.5275) 10.48/13.72 | (0.2992) 0.89/1.16 | (0.8642) 2.57/3.36 | (0.0736) 0.22/0.29 | |
| Sugar beet | Control | 17.26 (4.30) a | 1.51 (0.22) a | 4.33 (0.46) a | 1.75 (0.56) a |
| ED10 | 22.10 (4.21) ab | 1.13 (0.10) b | 3.08 (0.18) b | 2.45 (0.44) ab | |
| ED20 | 25.73 (5.51) ab | 0.70 (0.10) c | 2.85 (0.46) b | 4.00 (1.41) bc | |
| RAD | 31.30 (5.58) b | 0.62 (0.06) c | 1.08 (0.11) c | 4.50 (1) c | |
| HSD0.05/0.01 | (3.4951) 10.38/13.59 | (0.0967) 0.29/0.38 | (0.2438) 0.72/0.95 | (0.6621) 1.97/2.58 | |
| White mustard | Control | 28.94 (1.88) a | 1.91 (0.37) a | 8.40 (0.84) a | 0.45 (0.17) a |
| ED10 | 25.22 (3.07) a | 0.61 (0.10) b | 3.02 (0.22) b | 2.75 (0.96) b | |
| ED20 | 34.13 (3.99) a | 0.47 (0.04) b | 2.73 (0.29) b | 3.55 (0.78) bc | |
| RAD | 52.86 (15.50) b | 0.33 (0.25) b | 1.58 (0.29) c | 5.00 (0.82) c | |
| HSD0.05/0.01 | (5.8004) 17.23/22.56 | (0.1621) 0.48/0.63 | (0.3401) 1.01/1.32 | (0.5264) 1.56/2.05 | |
| Rapeseed oil | Control | 25.35 (5.44) a | 1.43 (0.33) a | 7.90 (0.35) a | 3.10 (0.26) a |
| ED10 | 24.15 (1.80) ab | 0.36 (0.05) b | 2.63 (0.26) b | 4.30 (0.42) b | |
| ED20 | 22.89 (1.89) abc | 0.27 (0.06) b | 2.34 (0.10) bc | 4.90 (0.27) bc | |
| RAD | 16.84 (2.39) c | 0.11 0.05) b | 2.02 (0.16) c | 5.40 (0.36) c | |
| HSD0.05/0.01 | (2.2967) 6.82/8.93 | (0.1222) 0.36/0.48 | (0.1666) 0.50/0.65 | (0.2363) 0.70/0.92 | |
Disclaimer/Publisher’s Note: The statements, opinions and data contained in all publications are solely those of the individual author(s) and contributor(s) and not of MDPI and/or the editor(s). MDPI and/or the editor(s) disclaim responsibility for any injury to people or property resulting from any ideas, methods, instructions or products referred to in the content. |
© 2023 by the authors. Licensee MDPI, Basel, Switzerland. This article is an open access article distributed under the terms and conditions of the Creative Commons Attribution (CC BY) license (https://creativecommons.org/licenses/by/4.0/).
Share and Cite
Jovanović-Radovanov, K.; Rančić, D. Susceptibility of Selected Crops to Simulated Imazethapyr Carryover: A Morpho-Anatomical Analysis. Agronomy 2023, 13, 1857. https://doi.org/10.3390/agronomy13071857
Jovanović-Radovanov K, Rančić D. Susceptibility of Selected Crops to Simulated Imazethapyr Carryover: A Morpho-Anatomical Analysis. Agronomy. 2023; 13(7):1857. https://doi.org/10.3390/agronomy13071857
Chicago/Turabian StyleJovanović-Radovanov, Katarina, and Dragana Rančić. 2023. "Susceptibility of Selected Crops to Simulated Imazethapyr Carryover: A Morpho-Anatomical Analysis" Agronomy 13, no. 7: 1857. https://doi.org/10.3390/agronomy13071857
APA StyleJovanović-Radovanov, K., & Rančić, D. (2023). Susceptibility of Selected Crops to Simulated Imazethapyr Carryover: A Morpho-Anatomical Analysis. Agronomy, 13(7), 1857. https://doi.org/10.3390/agronomy13071857

