You are currently viewing a new version of our website. To view the old version click .
Agronomy
  • Communication
  • Open Access

20 February 2023

Rapid Detection of A282S Mutation in the RDL1 Gene of Rice Stem Borer via the Mutation-Specific LAMP Technique

,
,
,
,
,
,
,
,
and
1
Key Laboratory of Integrated Pest Management on Crops in East China, Ministry of Agriculture and Rural Affairs, Department of Entomology, College of Plant Protection, Nanjing Agricultural University, Nanjing 210095, China
2
Institute of Plant Protection, Jiangsu Academy of Agricultural Sciences, Nanjing 210014, China
3
College of Plant Science, Tibet Agriculture and Animal Husbandry University, Nyingchi 860000, China
*
Author to whom correspondence should be addressed.
This article belongs to the Special Issue Insecticide Resistance and Novel Insecticides

Abstract

Rice stem borer Chilo suppressalis (Walker) is one of the most serious pests on rice and is distributed worldwide. With the long-term and continuous usage of insecticides, C. suppressalis has developed high levels of resistance to various kinds of insecticides, including phenylpyrazole insecticides. As is well known, the resistance of C. suppressalis to phenylpyrazole insecticides is determined by the A282S mutation of the GABA receptor RDL subunit. In order to efficiently detect the resistance of C. suppressalis, a rapid and sensitive loop-mediated isothermal amplification (LAMP) technique was established and optimized in this study. The optimal concentration of components was Bst DNA polymerase (0.24 U/μL), dNTP (0.8 mM), Mg2+ (4 mM), betaine (0.6 M), forward inner primer and backward inner primer (1.6 μM), F3 and B3 (0.4 μM), and hydroxyl naphthol blue (150 mM), respectively, and the optimal reaction condition was 63 °C for 60 min, which could reduce the cost and time of detection. In addition, the accuracy of the optimized LAMP reaction system and parameters was verified in the field strains of C. suppressalis from different regions, including Jiangsu, Jiangxi, and Hu’nan provinces. The mutation (A2’S) was successfully detected in the field strains. As far as we know, this is the first report of the LAMP technique applied in the resistance monitoring of C. suppressalis to phenylpyrazole insecticides. According to our results, the optimized LAMP reaction system is feasible and easy to operate and to efficiently detect resistance-related mutation in a short time, as directly judged by the naked eye. Our results provide a new tool for detection of resistance of C. suppressalis, which is a very useful tool for comprehensive management of C. suppressalis.

1. Introduction

Rice stem borer Chilo suppressalis (Walker) is one of the main pests in rice production, and has the characteristics of a large base, long damage period and severe harm [1]. Its larvae drill into the rice stem and destroy the rice tissue, which leads the rice to die due to lack of water and nutrients. To date, phenylpyrazole insecticides including fipronil, ethiprole and flufiprole are still used to control C. suppressalis in the paddy field in some countries. However, it is worth noting that C. suppressalis has developed different resistance levels to these insecticides [2,3]. Existing studies show that the resistance generation of insect pests to phenylpyrazole insecticides is related to the A2’S mutation of the resistance to dieldrin (RDL) subunit of γ-aminobutyric acid (GABA) receptor. For example, the A2’S mutation of RDL subunit lead Plutella xylostella (Linnaeus) to a high resistance level to fipronil [4]. The A2’S mutation in Heliothis virescens (Fabricius) and Nilaparvata lugens (Stål) can reduce the sensitivity of heterogeneously expressed RDL receptor to fipronil [5,6].
Traditional mutation detection technology for insecticide targets gives priority to PCR and DNA sequencing, which have high accuracy. However, the stringent testing cycle is long and has a high-cost, complex experimental conditions and expensive equipment, e.g., the thermal cycler system are required; meanwhile, it does not well meet the requirement of farmers for fast tests [7,8,9,10]. Loop-mediated isothermal amplification (LAMP) is a technique in vitro with thermostatic amplification of specific DNA, created by Notomit’s group in 2000. The primers capable of generating a circular structure and Bst DNA polymerase with strand displacement activity under a constant temperature (~65 °C) were used in the LAMP technique [11,12]. The LAMP technique has the advantages of inexpensive equipment, simple operation, rapid reaction, easy judgment, etc., and has broad application prospects in field detection [13].
In recent years, the LAMP technique has been applied in the detection of insecticidal resistance, such as the G119S mutation in the acetylcholinesterase of the brown planthopper Anopheles gambiae Giles [14], the R81T mutation in the acetylcholine receptor (AChR) of the green peach potato aphid Myzus persicae Sulzer [1], and the A415V mutation in the ecdysone receptor gene of the smaller tea tortrix, Adoxophyes honmai Yasuda [15].
Therefore, establishing a convenient and rapid detection technique based on the LAMP technique for A282S mutation in RDL subunit is of great value for identifying the resistance status of C. suppressalis to phenylpyrazole insecticides in the field, and can provides scientific guidance for integrated pest management of C. suppressalis.

2. Materials and Methods

2.1. C. suppressalis Population

The field populations of C. suppressalis were collected from Jiangsu, Hu’nan and Jiangxi provinces of China, and cultured indoors on artificial food without exposure to any insecticide under temperature 27 ± 1 °C, relative humidity 60%–80%, and photoperiod L:D = 16:8 h [16].

2.2. Plasmid-Construction of CsRDL1 with A282S Mutation

Genomic DNA of C. suppressalis was extracted by DNAiso Reagent kit (Takara Biomedical Technology Co. Ltd., Beijing, China). According to the genome sequence of CsRDL1, a set of primers used for amplifying the genome sequence containing the A282 locus (Table 1) were designed by Beacon Designer 8.13 (Premier Biosoft International, Palo Alto, CA, USA).
Table 1. Amplification of CsRDL1 gene.
The PCR was performed according to the protocol of 2 × Phanta® Max Master Mix (Vazyme Biotech Co., Ltd., Nanjing, Jiangsu province, China). Subsequently, the PCR product was purified with EasyPure ® PCR Purification kit (TransGen Biotech Co., Ltd., Beijing, China), ligated into the pEASY ®-Blunt 3 Cloning vector (TransGen Biotech Co., Ltd.), and transferred into the Trans-T1 Phage Resistant Chemically Competent Cells (TransGen Biotech Co., Ltd.). Plasmid of pEASY ®-Blunt 3-CsRDL1-A282 (hereafter as Blunt-CsRDL1-A282) was extracted by TIANprep Mini Plasmid kit (Tiangen Biotech Co., Ltd., Beijing, China), and used as template to generate the S282 mutation by the CsRDL1A282S-F and CsRDL1A282S-R (Table 1), and the Fast Mutagenesis Systems kit (TransGen Biotech Co., Ltd.). Plasmid of Blunt-CsRDL1-S282 was extracted by TIANprep Mini Plasmid kit for further study.

2.3. Design of Specific Primers for LAMP Reaction

The specific primers for LAMP were designed by CsRDL1 containing A282S mutation in the genome sequence using online software Primer Explorer V5 (http://primerexplorer.jp/e/index.html, accessed on 15 December 2022) (Figure 1 and Figure 2). It is worth noting that the design principle of specific primers follows: (1) GC content was between 40% and 65%; (2) 120~160 bp, 40~60 bp, and 0~60 bp nucleotides were between the 5′ end of F2 and B2, the 5′ end of F2 and F1, and the 3′ end of F3 to the 5′ end of F2, respectively; (3) 40~60 bp and 0~60 bp nucleotides were between the 5′ end of F2 and B1, and the 3′ end of B3 to the 5′ end of B2, respectively [17].
Figure 1. Schematic representation of LAMP primers. F1c and B1c were complementary to F1 and B1.
Figure 2. Sequencing results of the mutant plasmid. The (a,b) were the CsRDL1-A282 and CsRDL1-S282, respectively. The nucleotides in the box represent the 282th amino acid of CsRDL1 subunit.

2.4. Optimization of LAMP Reaction Component

The basic component of the LAMP reaction system (15 μL) contains 0.6 μL Bst DNA polymerase (8 U/μL), 1.5 μL 10 × ThermoPol Reaction Buffer, 0.6 μL Mg2+ (100 mM), 1.5 μL dNTP (10 mM), 2.4 μL FIP and BIP (10 μM), 0.6 μL F3 and B3 (10 μm), 1.5 μL betaine (5 mM), 1.0 μL hydroxy naphthol blue (HNB) (2.4 mM), 0.6 μL DNA template, and 1.7 μL ddH2O. The parameters of the LAMP reaction were set at 63 °C for 60 min.
In order to reduce the detection cost, the components in the LAMP reaction system were optimized. A serial of concentration for components were respectively set, e.g., Bst DNA polymerase (0.08, 0.16, 0.24, 0.32 and 0.4 U/μL), dNTP (0.4, 0.6, 0.8, 1.0 and 1.2 mM), Mg2+ (1.0, 2.0, 3.0, 4.0 and 5.0 mM), betaine (0.2, 0.4, 0.6, 0.8 and 1.0 M), FIP/BIP, (0.4, 0.8, 1.2, 1.6 and 2.0 μM), F3/B3 (0.1, 0.2, 0.3, 0.4 and 0.5 μM), and HNB (50, 100, 150, 200 and 250 μM). At last, the optimal concentration was determined according to HNB visualization and agarose gel electrophoresis.

2.5. Optimization of LAMP Reaction Parameters

In order to obtain the optimal reaction parameters, the temperature and time of LAMP reactions were optimized, respectively, based on the optimized concentration of each component in the LAMP reaction system. The LAMP reaction was performed at different temperatures (59 °C, 61 °C, 63 °C, 65 °C, and 67 °C) for 60 min to optimize the isothermal conditions. Subsequently, several time points (30 min, 40 min, 50 min, 60 min, and 70 min) were examined under the optimized temperature. Finally, the optimal reaction parameters of temperature and time were determined according to the color of HNB visualization and agarose gel electrophoresis.

2.6. Verifying the Accuracy of the LAMP Technique

To verify the accuracy of the optimized LAMP reaction system and parameters, field strains of C. suppressalis from different regions were tested. Two larvae from each region were randomly selected as two replications for mutation detection. The change of HNB visualization, agarose gel electrophoresis and conventional PCR combing the nucleotide sequence using the Sanger method (General Biol. Co., Ltd., Chuzhou, China) were performed, and the nucleotide sequencing results were used to identify the mutation and to determine the accuracy of the LAMP technique.

3. Results

3.1. Mutation of the CsRDL1

As shown in the Figure 2, the guanylate (G) was mutated to thymine (T), therefore the amino acid was mutated from alanine (A) to serine (S).

3.2. Design Specific Primer forLAMP Reaction

The specific primers (CsRDL1-F3/B3, and FIP/BIP) for amplification of CsRDL1-S282 plasmid were designed (Figure 3) and chosen by using the plasmid Blunt-CsRDL1-S282 (mutated type, MT), genome-CsRDL1-A282 (wild type, WT), and ddH2O as templates, respectively.
Figure 3. Position of primers for LAMP reaction in CsRDL1 sequence.
As shown in Figure 4, the selected specific primers could amplify the CsRDL1-S282 plasmid, the HNB visualization becomes from violet to sky blue, and the smear bands appear on the agarose gel electrophoresis. In contrast, the HNB visualization of the reaction solution with the ddH2O and genome-CsRDL1-A282 as templates becomes purple, and no band appeared on the agarose gel electrophoresis (Figure 4).
Figure 4. Screening of specific primers for LAMP reaction. M. Trans 2K Plus DNA marker. WT and MT indicated the genome-CsRDL1-A282 and Blunt-CsRDL1-S282, respectively.

3.3. Optimized Components of LAMP Reaction System

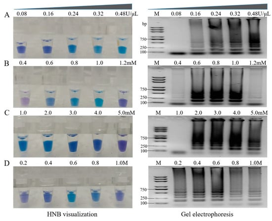
As shown in Figure 5 and Figure 6, the optimal concentration for each component was Bst DNA polymerase (0.24 U/μL, Figure 5A), dNTP (0.8 mM, Figure 5B), Mg2+ (4 mM, Figure 5C), betaine (0.6 M, Figure 5D), FIP and BIP (1.6 μM, Figure 6A), F3 and B3 (0.4 μM, Figure 6B), and HNB (150 mM, Figure 6C), respectively.
Figure 5. Optimization of the concentration of Bst DNA polymerase (A), dNTP (B), Mg2+ (C), and betaine (D), respectively. M. Trans 2K Plus DNA marker.
Figure 6. Optimization the concentrations of FIP/BIP (A), F3/B3 (B), HNB (C), respectively. M. Trans 2K Plus DNA marker.

3.4. Optimization of Reaction Parameters of the LAMP Technique

Based on the optimized concentration of each component in the LAMP reaction system, the optimal temperature and time was 63 °C (Figure 7A) and 60 min (Figure 7B), respectively.
Figure 7. Optimization of temperature (A) and time (B), respectively of LAMP reaction. M. Trans 2K DNA marker.

3.5. Accuracy of the LAMP Technique

In the assay to verify the accuracy of optimized LAMP reaction system (Figure 8), the HNB visualization becomes purple, and no band appears on agarose gel in the reaction with the sample from Jiangsu province. In contrast, the HNB visualization became sky blue, and smear bands appeared in the reactions with samples from Hu’nan province and Jiangxi province. Meanwhile, the nucleotide sequencing results showed that the A282S mutation was not detected in the Jiangsu sample, but in the Jiangxi and Hu’nan samples, which indicated that the accuracy of optimized LAMP reaction system is 100%.
Figure 8. Detection of field strain of C. suppressalis from different regions by the LAMP technique. M. Trans 2K Plus DNA marker.

4. Discussion

The C. suppressalis is one most serious insect pests damaging the product of rice, and phenylpyrazole insecticides are commonly used in the paddy for control of C. suppressalis. However, the insecticide resistance of C. suppressalis to phenylpyrazole insecticides is frequently reported, and it is a serious obstacle for control of the C. suppressalis in recent years [2]. Previous studies found that the alanine, which located in the second amino acid residue at the second transmembrane domain of RDL, was mutated to serine results in high resistant levels to insecticides acting on insect GABA receptor, including phenylpyrazole insecticides [6,18,19]. In order to make a suitable integrated pest management strategy and meet the requirement of fast diagnostic, a fast, visual, and conventional molecular diagnostic technique, e.g., LAMP, was established in this study.
In this study, only four primers (F3, B3, FIP, and BIP) were used in the LAMP reaction, which omits the addition of loop-forward and loop-backward primers [20]. In addition, the specificity of four primers was confirmed using the plasmid Blunt-CsRDL1-S282, genome-CsRDL1-A282, and ddH2O as templates, and the mutation point (A282S) could be correctly distinguished by the optimal LAMP reaction system. Meanwhile, the successful mutation-detection of the field strains of C. suppressalis also confirmed its specificity.
The concentration of components, including Bst DNA polymerase, Mg2+, dNTP, betaine, FIP/BIP, F3/B3, HNB of the LAMP reaction system were also optimized, which made the LAMP technique more economical and convenient. Visualization is an important advantage of the LAMP technique. In the present study, the SYBR Green I was firstly chosen as the chromogenic agent (data not shown). However, the SYBR Green I must be added after the LAMP reaction, which frequently results in aerosol contamination and produces a false positive. Therefore, the HNB was subsequently used as the chromogenic agent, which could be added before the LAMP reaction and avoid the contamination while opening the eppendorf tube cover after the LAMP reaction. In addition, the HNB has advantages of low-cost, obvious color change, safe and effective, compared with other chromogenic agents, such as SYBR® Safe DNA gel stain, malachite green, SYBR Green I, ethidium bromide and propidium iodide [21].
The reaction time and temperature of the LAMP reaction were also optimized, making the LAMP technique more convenient and suitable for usage in the field. The optimal temperature and time of LAMP for detection of A282S mutation of CsRDL1 were 63 °C and 60 min, respectively. The time cost is shorter than conventional thermal cycling with PCR and no PCR apparatus is required.
Previous studies have shown that the A2’S mutation is related to the resistance of a variety of insects to phenylpyrazole insecticides [22,23,24]. The RDL1-A282S mutation appeared in C. suppressalis from Jiangxi and Hu’nan provinces, and the results of the LAMP technique were consistent with those of nucleotide sequencing and PCR. Therefore, the LAMP reaction system established in this study could be used in the field for detecting the A2’S mutation.

5. Conclusions

In conclusion, we developed a LAMP technique for fast, visual and accurate detection of A282S mutation in CsRDL1. To our knowledge, this is the first instance of detecting insecticide resistance using the LAMP technique in C. suppressalis. The concentration of components (e.g., Bst DNA polymerase, Mg2+, dNTP, betaine, FIP/BIP, F3/B3, HNB) and reaction parameters (e.g., time and temperature) of the LAMP reaction system were also optimized, which made the LAMP technique is more economical, convenient and suitable for usage in the field. The accuracy and feasibility of it were consistent with PCR in samples from the lab and the field (e.g., Jiangsu province, Hu’nan province and Jiangxi province). The establishment of the LAMP technique can provide a new means for monitoring the resistance of C. suppressalis to phenylpyrazole insecticides, and a reference and basis for the management of C. suppressalis.

Author Contributions

Methodology, Z.S. and S.Z.; Investigation, Z.S., S.Z., W.M., Y.L. and Y.F.; Data curation, Z.S.; Writing- original draft, Z.S., S.Z. and W.M.; Visualization, Z.S., S.Z., Y.L., Y.F. and J.Y. (Jinyao Yu); Validation, W.M.; Writing- review & editing, Y.L., G.L., J.Y. (Jinyao Yu), Y.F., J.Y. (Junxi Yao), Y.C. and C.Z.; Conceptualization, G.L. and C.Z.; Supervision, C.Z. All authors have read and agreed to the published version of the manuscript.

Funding

This work was supported by the National Key R&D Program of China (grant number 2022YFD1400900); the Student Innovation Research and Entrepreneurship Training (grant number ZKF202206), and the National Natural Science Foundation of China (grant number 31871995).

Data Availability Statement

The datasets generated or analysed during this study are available from the corresponding author on reasonable request.

Acknowledgments

We thank Yabing Duan (Nanjing Agriculture University), Xianwei Ai and anonymous reviewers for their valuable comments to improve the quality of the manuscript.

Conflicts of Interest

The authors declare that they have no competing interests.

Abbreviations

AChR, acetylcholine receptor; BIP, backward inner primer; FIP, forward inner primer; GABA, γ-aminobutyric acid; HNB, hydroxyl naphthol blue; LAMP, loop-mediated isothermal amplification; MT, mutated type; RDL, resistance to dieldrin gene; RDL, resistance to dieldrin protein; WT wild type.

References

  1. Sial, M.U.; Zhao, Z.Z.; Zhang, L.; Zhang, Y.N.; Mao, L.G.; Jiang, H.Y. Loop-mediated isothermal amplification for the detection of R81T mutation in nAChR with crude genomic DNA extracted from individual Myzus persicae. J. Pest Sci. 2020, 93, 531–541. [Google Scholar] [CrossRef]
  2. Huang, Q.C.; Deng, Y.F.; Zhan, T.S.; He, Y.A. Synergistic and antagonistic effects of piperonyl butoxide in fipronil-susceptible and resistant rice stem borrers, Chilo suppressalis. J. Insect Sci. 2010, 10, 182. [Google Scholar] [CrossRef]
  3. Meng, X.K.; Wu, Z.L.; Jiang, C.Y.; Guan, D.J.; Zhang, N.; Jiang, H.; Shen, Q.W.; Qian, K.; Wang, J.J. Identification and characterization of glutathione S-transferases and their potential roles in detoxification of abamectin in the rice stem borer, Chilo suppressalis. Pestic. Biochem. Physiol. 2022, 182, 105050. [Google Scholar] [CrossRef]
  4. Wang, X.; Wu, S.; Gao, W.; Wu, Y. Dominant inheritance of field-evolved resistance to fipronil in Plutella xylostella (Lepidoptera: Plutellidae). J. Econ. Entomol. 2016, 109, 334–338. [Google Scholar] [CrossRef]
  5. Wolff, M.A.; Wingate, V.P.M. Characterization and comparative pharmacological studies of a functional γ-aminobutyric acid (GABA) receptor cloned from the tobacco budworm, Heliothis virescens (Noctuidae: Lepidoptera). Invertebr. Neurosci. 1998, 3, 305–315. [Google Scholar] [CrossRef]
  6. Garrood, W.T.; Zimmer, C.T.; Gutbrod, O.; Lüke, B.; Williamson, M.S.; Bass, C.; Nauen, R.; Emyr Davies, T.G. Influence of the RDL A301S mutation in the brown planthopper Nilaparvata lugens on the activity of phenylpyrazole insecticides. Pestic. Biochem. Physiol. 2017, 142, 1–8. [Google Scholar] [CrossRef]
  7. Francois, P.; Tangomo, M.; Hibbs, J.; Bonetti, E.; Boehme, C.; Notomi, T.; Perkins, M.; Schrenzel, J. Robustness of a loop-mediated isothermal amplification reaction for diagnostic applications. FEMS Immunol. Med. Microbiol. 2011, 62, 41–48. [Google Scholar] [CrossRef]
  8. Duan, Y.B.; Ge, C.Y.; Zhang, X.K.; Wang, J.X.; Zhou, M.G. Development and evaluation of a novel and rapid detection assay for Botrytis cinerea based on loop-mediated isothermal amplification. PLoS ONE 2014, 9, e111094. [Google Scholar] [CrossRef]
  9. Moradi, A.; Almasi, M.A.; Jafary, H.; Mercado-Blanco, J. A novel and rapid loop-mediated isothermal amplification assay for the specific detection of Verticillium dahliae. J. Appl. Microbiol. 2014, 116, 942–954. [Google Scholar] [CrossRef]
  10. Kitagawa, M.; Nagamine, K.; Oka, H.; Ouhara, K.; Ogawa, I.; Komatsuzawa, H.; Kurihara, H. Rapid detection of the Streptococcus mutans cnm gene by loop-mediated isothermal amplification. Anal. Biochem. 2020, 605, 113812. [Google Scholar] [CrossRef]
  11. Notomi, T.; Okayama, H.; Masubuchi, H.; Yonekawa, T.; Watanabe, K.; Amino, N.; Hase, T. Loop-mediated isothermal amplification of DNA. Nucleic Acids Res. 2000, 28, e63. [Google Scholar] [CrossRef] [PubMed]
  12. Soroka, M.; Wasowicz, B.; Rymaszewska, A. Loop-mediated isothermal amplification (LAMP): The better sibling of PCR? Cells 2021, 10, 1931. [Google Scholar] [CrossRef] [PubMed]
  13. Zhang, X.Z.; Lowe, S.B.; Gooding, J.J. Brief review of monitoring methods for loop-mediated isothermal amplification (LAMP). Biosens. Bioelectron. 2014, 61, 491–499. [Google Scholar] [CrossRef]
  14. Badolo, A.; Bando, H.; Traore, A.; Ko-Ketsu, M.; Guelbeogo, W.M.; Kanuka, H.; Ranson, H.; Sagnon, N.; Fukumoto, S. Detection of G119S ace-1R mutation in field-collected Anopheles gambiae mosquitoes using allele-specific loop-mediated isothermal amplification (AS-LAMP) method. Malar. J. 2015, 14, 477. [Google Scholar] [CrossRef]
  15. Uchibori-Asano, M.; Uchiyama, T.; Jouraku, A.; Shinoda, T. Development of allele-specific loop-mediated isothermal amplification (AS-LAMP) to detect the tebufenozide-resistant allele in the smaller tea tortrix, Adoxophyes honmai (Lepidoptera: Tortricidae). Appl. Entomol. Zool. 2022, 57, 93–99. [Google Scholar] [CrossRef]
  16. Li, B.; Han, L.Z.; Peng, Y.F. Development of a standardized artificial diet and rearing technique for the striped stem borer, Chilo suppressalis Walker (Lepidoptera: Crambidae). Chin. J. Entomol. 2015, 52, 498–503. [Google Scholar] [CrossRef]
  17. Tomita, N.; Mori, Y.; Kanda, H.; Notomi, T. Loop-mediated isothermal amplification (LAMP) of gene sequences and simple visual detection of products. Nat. Protoc. 2008, 3, 877–882. [Google Scholar] [CrossRef]
  18. Ffrench-Constant, R.H.; Rocheleau, T.A.; Steichen, J.C.; Chalmers, A.E. A point mutation in a Drosophila GABA receptor confers insecticide resistance. Nature 1993, 363, 449–451. [Google Scholar] [CrossRef]
  19. Nakao, T.; Naoi, A.; Hama, M.; Kawahara, N.; Hirase, K. Concentration-dependent effects of GABA on insensitivity to fipronil in the A2′S mutant RDL GABA receptor from fipronil-resistant Oulema oryzae (Coleoptera: Chrysomelidae). J. Econ. Entomol. 2012, 105, 1781–1788. [Google Scholar] [CrossRef]
  20. Nagamine, K.; Hase, T.; Notomi, T. Accelerated reaction by loop-mediated isothermal amplification using loop primers. Mol. Cell Probes. 2002, 16, 223–229. [Google Scholar] [CrossRef]
  21. Goto, M.; Honda, E.; Ogura, A.; Nomoto, A.; Hanaki, K.-I. Colorimetric detection of loop-mediated isothermal amplification reaction by using hydroxy naphthol blue. BioTechniques 2009, 46, 167–172. [Google Scholar] [CrossRef] [PubMed]
  22. Wang, H.; Coates, B.S.; Chen, H.; Sappington, T.W.; Guillemaud, T.; Siegfried, B.D. Role of a gamma-aminobutryic acid (GABA) receptor mutation in the evolution and spread of Diabrotica virgifera virgifera resistance to cyclodiene insecticides. Insect Mol. Biol. 2013, 22, 473–484. [Google Scholar] [CrossRef] [PubMed]
  23. Anthony, N.M.; Brown, J.K.; Markham, P.G.; Ffrench-Constant, R.H. Molecular analysis of cyclodiene resistance-associated mutations among populations of the sweetpotato whitefly Bemisia tabaci. Pestic. Biochem. Physiol. 1995, 51, 220–228. [Google Scholar] [CrossRef]
  24. Hansen, K.K.; Kristensen, M.; Jensen, K.M.V. Correlation of a resistance-associated Rdl mutation in the German cockroach, Blattella germanica (L), with persistent dieldrin resistance in two Danish field populations. Pest Manag. Sci. 2005, 61, 749–753. [Google Scholar] [CrossRef] [PubMed]
Disclaimer/Publisher’s Note: The statements, opinions and data contained in all publications are solely those of the individual author(s) and contributor(s) and not of MDPI and/or the editor(s). MDPI and/or the editor(s) disclaim responsibility for any injury to people or property resulting from any ideas, methods, instructions or products referred to in the content.

Article Metrics

Citations

Article Access Statistics

Multiple requests from the same IP address are counted as one view.