Traceability of Sicilian Durum Wheat Landraces and Historical Varieties by High Molecular Weight Glutenins Footprint
Abstract
1. Introduction
2. Materials and Methods
2.1. Materials
2.2. Extraction and Quantification of Gluten Proteins in Seeds and Commercial Flours
2.3. Proximate Composition of Commercial Wheat Flour Samples
2.4. HMW-GS Protein Separation by SDS-PAGE
2.5. MALDI-TOF/MS HMW-GS Identification
2.6. Statistical Analyses
3. Results and Discussion
3.1. Landraces History
3.2. Chemical Composition of Commercial Sicilian Wheat Flours
3.3. Identification of HMW-GS Profiles in the Pure Seeds of the Durum Wheat Sicilian Landraces/Historical Varieties
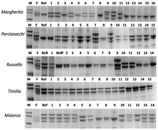
3.4. Analysis of HMW-GS Profiles in Commercial Flours and in the Corresponding Seed Batch of Each Wheat Sicilian Landrace/Historical Variety
4. Conclusions
Author Contributions
Funding
Institutional Review Board Statement
Informed Consent Statement
Data Availability Statement
Acknowledgments
Conflicts of Interest
References
- Subira, J.; Peña, R.J.; Álvaro, F.; Ammar, K.; Ramdani, A.; and Royo, C. Breeding progress in the pasta-making quality of durum wheat cultivars released in Italy and Spain during the 20th Century. Crop Pasture Sci. 2014, 65, 16–26. [Google Scholar] [CrossRef]
- Maccaferri, M.; Harris, N.S.; Twardziok, S.O.; Pasam, R.K.; Gundlach, H.; Spannagl, M.; Ormanbekova, D.; Lux, T.; Prade, V.M.; Milner, S.G.; et al. Durum wheat genome highlights past domestication signatures and future improvement targets. Nat. Genet. 2019. [Google Scholar] [CrossRef]
- Fiore, M.C.; Mercati, F.; Spina, A.; Blangiforti, S.; Venora, G.; Dell’Acqua, M.; Lupini, A.; Preiti, G.; Monti, M.; Pè, M.E.; et al. High-Throughput Genotype, Morphology, and Quality Traits Evaluation for the Assessment of Genetic Diversity of Wheat Landraces from Sicily. Plants 2019, 8, 116. [Google Scholar] [CrossRef] [PubMed]
- Lo Bianco, M.; Siracusa, L.; Dattilo, S.; Venora, G.; Ruberto, G. Phenolic fingerprint of Sicilian modern varieties and old durum wheat landraces: A tool to assess with diversity. Cereal Chem. 2017, 94, 1045–1051. [Google Scholar]
- Di Loreto, A.; Bosi, S.; Montero, L.; Bregola, V.; Marotti, I.; Sferrazza, R.E.; Dinelli, G.; Herrero, M.; Cifuentes, A. Determination of phenolic compounds in ancient and modern durum wheat genotypes. Electrophoresis 2018, 39, 2001–2010. [Google Scholar] [CrossRef]
- Newton, A.C.; Begg, G.; Swanston, J.S. Deployment of diversity for enhanced crop function. Ann. Appl. Biol. 2009, 154, 309–322. [Google Scholar] [CrossRef]
- Lopes, M.S.; El-Basyoni, I.; Baenziger, P.S.; Singh, S.; Royo, C.; Ozbek, K.; Aktas, H.; Ozer, E.; Ozdemir, F.; Manickavelu, A.; et al. Exploiting genetic diversity from landraces in wheat breeding for adaptation to climate change. J. Exp. Bot. 2015, 66, 3477–3486. [Google Scholar] [CrossRef]
- Dinelli, G.; Segura-Carretero, A.; Di Silvestro, R.; Marotti, I.; Arráez-Román, D.; Benedettelli, S.; Ghiselli, L.; Fernadez-Gutierrez, A. Profiles of phenolic compounds in modern and old common wheat varieties determined by liquid chromatography coupled with time-of-flight mass spectrometry. J. Chromatogr. A 2011, 42, 7670–7681. [Google Scholar] [CrossRef]
- Ficco, D.B.M.; Riefolo, C.; Nicastro, G.; De Simone, V.; Di Gesù, A.M.; Beleggia, C.; Platani, C.; Cattivelli, L.; De Vita, P. Phytate and mineral elements concentration in a collection of Italian durum wheat cultiv. Field Crop. Res. 2009, 111, 235–242. [Google Scholar] [CrossRef]
- Fois, S.; Schlichting, L.; Marchylo, B.; Dexter, J.; Motzo, R.; Giunta, F. Environmental conditions affect semolina quality in durum wheat (Triticum turgidum ssp durum L.) cultivars with differerent gluten strength and gluten protein composition. J. Sci. Food Agric. 2011, 91, 2664–2673. [Google Scholar] [CrossRef]
- Migliorini, P.; Spagnolo, S.; Torri, L.; Arnoulet, M.; Lazzerini, G.; Ceccarelli, S. Agronomic and quality characteristics of old, modern and mixture wheat varieties and landraces for organic bread chain in diverse environments of northern Italy. Eur. J. Agron. 2016, 79, 131–141. [Google Scholar] [CrossRef]
- Legislative Decree n. 149, of the 29/10/2009 GU n. 254. 31 October 2009. Available online: http://www.fao.org/faolex/results/details/en/c/LEX-FAOC090873/ (accessed on 13 January 2021).
- Trebbi, D.; Maccaferri, M.; de Heer, P.; Sørensen, A.; Giuliani, S.; Salvi, S.; Sanguineti, M.C.; Massi, A.; van der Vossen, E.A.G.; Tuberosa, R. High-throughput SNP discovery and genotyping in durum wheat (Triticum durum Desf.). Theor. Appl. Genet. 2011, 123, 555–569. [Google Scholar] [CrossRef] [PubMed]
- Oliveira, H.R.; Hagenblad, J.; Leino, M.W.; Leigh, F.J.; Lister, D.L.; Penã-Chocarro, L.; Jones, M.K. Wheat in the Mediterranean revisited—Tetraploid wheat landraces assessed with elite bread wheat Single Nucleotide Polymorphism markers. BMC Genet. 2014, 15, 54. [Google Scholar] [CrossRef] [PubMed]
- Wang, S.; Wong, D.; Forrest, K.; Allen, A.; Chao, S.; Huang, B.E.; Maccaferri, M.; Salvi, S.; Milner, S.G.; Cattivelli, L.; et al. Characterization of polyploid wheat genomic diversity using a high-density 90,000 single nucleotide polymorphism array. Plant Biotech. J. 2014, 12, 787–796. [Google Scholar] [CrossRef] [PubMed]
- Gao, L.F.; Jia, J.Z.; Kong, X.Y. A SNP-Based Molecular Barcode for characterization of common wheat. PLoS ONE 2016, 11, e0150947. [Google Scholar] [CrossRef] [PubMed]
- Burridge, A.J.; Winfield, M.O.; Allen, A.M.; Wilkinson, P.; Barker, G.L.A.; Coghill, J.; Waterfall, C.; Edwards, K.J. High-Density SNP Genotyping Array for Hexaploid Wheat and Its Relatives. Methods Mol. Biol. 2017, 1679, 293–306. [Google Scholar] [PubMed]
- Wieser, H. Chemistry of gluten proteins. Food Microbiol. 2007, 24, 115–119. [Google Scholar] [CrossRef]
- Sissons, M. Role of durum wheat composition on the quality of pasta and bread. Food 2008, 2, 75–90. [Google Scholar]
- Gianibelli, M.C.; Larroque, O.R.; MacRitchie, F.; Wringley, W. Biochemical, genetic, and molecular characterization of wheat glutenin and its component subunits. Cereal Chem. 2001, 78, 635–646. [Google Scholar] [CrossRef]
- Palumbo, M.; Spina, A.; Boggini, G. Bread-making quality of Italian durum wheat (Triticum durum Desf.) cultivars. Ital. J. Food Sci. 2002, 2, 123–133. [Google Scholar]
- Spina, A.; Ammar, K.; Peña, R.J.; Bentivenga, G.; Sciacca, F.; Virzì, N.; Palumbo, M. Durum wheat breeding lines with new HMW glutenin subunits combinations selected for bread-making quality. In Proceedings of the International Symposium Genetics and Breeding of Durum Wheat, Rome, Italy, 27–30 May 2013; pp. 583–587. [Google Scholar]
- Gao, L.; Ma, W.; Chen, J.; Wang, K.; Li, J.; Wang, S.; Bekes, F.; Appels, R.; Yan, Y. Characterization and comparative analysis of wheat high molecular weight glutenin subunits by SDS-PAGE, RP-HPLC, HPCE, and MALDI-TOF-MS. J. Agric. Food Chem. 2010, 58, 2777–2786. [Google Scholar] [CrossRef] [PubMed]
- Liu, L.; Wang, A.; Appels, R.; Ma, J.; Xia, X.; Lan, P.; He, Z.; Bekes, F.; Yan, Y.; Ma, W. A MALDI/TOF based analysis of high molecular weight glutenin subunits for wheat breeding. J. Cereal Sci. 2009, 50, 295–301. [Google Scholar] [CrossRef]
- Cunsolo, V.; Foti, S.; Saletti, R.; Gilbert, S.; Tatham, A.S.; Shewry, P.R. Structural studies of glutenin subunits 1Dy10 and 1Dy12 by matrix assisted laser desorption/ionisation mass spectrometry and high performance liquid chromatog-raphy/electrospray ionisation mass spectrometry. Rapid Commun. Mass Spectrom. 2003, 17, 442–454. [Google Scholar] [CrossRef] [PubMed]
- Lagrain, B.; Brunnbauer, M.; Rombouts, I.; Koehler, P. Identification of intact high molecular weight glutenin subunits from the wheat proteome using combined liquid chromatography-electrospray ionization mass spectrometry. PLoS ONE 2013, 8, e58682. [Google Scholar] [CrossRef]
- Liu, L.; Ikeda, T.M.; Branlard, G.; Peña, R.J.; Rogers, W.J.; Lerner, S.E.; Kolman, M.A.; Xia, X.; Wang, L.; Ma, W.; et al. Comparison of low molecular weight glutenin subunits identified by SDS-PAGE, 2-DE, MALDI-TOF-MS and PCR in common wheat. BMC Plant Biol. 2010, 10, 124. [Google Scholar] [CrossRef]
- Visioli, G.; Bonas, U.; Dal Cortivo, C.; Pasini, G.; Marmiroli, N.; Mosca, G.; Vamerali, T. Variations in yield and gluten proteins in durum wheat varieties under late-season foliar vs. soil application of nitrogen fertilizer in a northern Mediterranean environment. J. Sci. Food Agric. 2018, 98, 2360–2369. [Google Scholar] [CrossRef]
- Association of Analytical Chemistry. A.O.A.C. Official Method of Analysis, 17th ed.; Association of Analytical Chemistry: Washington, DC, USA, 2005. [Google Scholar]
- Visioli, G.; Comastri, A.; Imperiale, D.; Paredi, G.; Faccini, A.; Marmiroli, N. Gel-based and gel-free analytical methods for the detection of HMW-GS and LMW-GS in Wheat Flour. Food Anal. Methods 2016, 9, 469–474. [Google Scholar] [CrossRef]
- Venora, G.; Blangiforti, S. I Grani Antichi Siciliani: Manuale Tecnico per il Riconoscimento delle Varietà Locali dei Frumenti Siciliani; Le Fate: Ragusa, Italy, 2017; ISBN 978-88-940976-6-5. [Google Scholar]
- De Cillis, U. I Frumenti Siciliani; Tipografia Zuccarello & Izzi: Catania, Italy, 1942; ISBN 88-7751-229-6. [Google Scholar]
- Giancaspro, A.; Colasuonno, P.; Zito, A.; Blanco, A.; Pasqualone, A.; Gadaleta, A. Varietal traceability of bread ‘Pane Nero di Castelvetrano’ by denaturing high pressure liquid chromatography analysis of single nucleotide polymorphisms. Food Control 2016, 59, 809–817. [Google Scholar] [CrossRef]
- Melini, V.; Melini, F.; Acquistucci, R. Nutritional characterization of an Italian traditional bread from ancient grains: The case study of the durum wheat bread “Pane di Monreale”. Eur. Food Res. Technol. 2020. [Google Scholar] [CrossRef]
- Janni, M.; Cadonici, S.; Bonas, U.; Grasso, A.; Dahab, A.A.D.; Visioli, G.; Pignone, D.; Ceriotti, A.; Marmiroli, N. Gene-ecology of durum wheat HMW glutenin reflects their diffusion from the center of origin. Sci. Rep. 2018, 8, 16929. [Google Scholar] [CrossRef]
- De Santis, M.A.; Cunsolo, V.; Giuliani, M.M.; Di Francesco, A.; Saletti, R.; Foti, S.; Flagella, Z. Gluten proteome comparison among durum wheat genotypes with different release date. J. Cereal Sci. 2020, 96, 103092. [Google Scholar] [CrossRef]
- De Santis, M.A.; Giuliani, M.M.; Giuzio, L.; De Vita, P.; Lovegrove, A.; Shewry, P.R.; Flagella, Z. Differences in gluten protein composition between old and modern durum wheat genotypes in relation to 20th century breeding in Italy. Eur. J. Agron. 2017, 87, 19–29. [Google Scholar] [CrossRef] [PubMed]
- Mefleh, M.; Paola Conte, P.; Fadda, C.; Giunta, F.; Motzo, R. From seed to bread: Variation in quality in a set of old durum wheat cultivars. J. Sci. Food Agric. 2020, 100, 4066–4074. [Google Scholar] [CrossRef] [PubMed]
- Muccilli, V.; Lo Bianco, M.; Cunsolo, V.; Saletti, R.; Gallo, G.; Foti, S. High Molecular Weight Glutenin Subunits in Some Durum Wheat Cultivars Investigated by Means of Mass Spectrometric Techniques. J. Agric. Food Chem. 2011, 59, 12226–12237. [Google Scholar] [CrossRef]
- Boukid, F.; Folloni, S.; Sforza, S.; Vittadini, E.; Prandi, B. Current Trends in Ancient Grains-Based Foodstuffs: Insights into Nutritional Aspects and Technological Applications. Compr. Rev. Food Sci. Food Saf. 2018, 17, 123–136. [Google Scholar] [CrossRef]




| Taxonomic Classification | Genotypes | Geographic or Genetic Origin and Historical Information | Year of Release | Local Use |
|---|---|---|---|---|
| T. turgidum ssp. durum | Cappelli | Historical variety selected in Apulia from Tunisian landrace Jenah Rhetifah by Strampelli | 1915 | Dry pasta, artisanal breads |
| T. turgidum ssp. durum | Margherito (syn. Bidì) | Historical variety selected in Sicily from Tunisian landraces ‘Mahmoudi and Bidì’ by Santagati (Eastern Sicily) with name Margherito and Tucci (Western Sicily) with name Bidì | <1915 | Dry pasta, fresh pasta, artisanal breads |
| T. turgidum ssp. turanicum | Perciasacchi (syn. Strazzavisazzi) | Indigenous landrace from Sicily | <1900 | Dry pasta, fresh pasta, artisanal breads, sweet and savory baked goods |
| T. turgidum ssp. durum | Russello (syn. Priziusa) | Indigenous landrace from Sicily | 1927 | Dry pasta, fresh pasta, artisanal breads, sweet and savory baked goods |
| T. turgidum ssp. durum | Ruscìa (syn. Russello ibleo) | Indigenous landrace from Sicily | <1900 | Hard dough natural leaved bread, fresh pasta |
| T. turgidum ssp. durum | Timilia (syn. Tumminia) | Indigenous landrace from Sicily | <1900 | ‘Castelvetrano Black bread’, hard dough natural leaved bread, fresh pasta, craft beer |
| T. aestivum. ssp. aestivum | Maiorca | Indigenous landrace from Sicily | <1900 | Homemade cakes, typical Sicilian sweets |
| T. turgidum ssp. durum | Aureo | Commercial variety (Italy) genealogy: Kofa/Svevo | 2009 | Mono-varietal dry pasta (Voiello®) |
| T. turgidum ssp. durum | Biensur | Commercial variety (France) genealogy: not available | 2001 | Dry and fresh pasta |
| Landrace/Historical Variety | Total Protein Content 1 | Total Gluten Proteins 2 | Gli 3 | HMW-GS 3 | LMW-GS 3 | HMW/LMW-GS | Total GS/Gli | Ash 1 | Lipids 1 | Fibre 1 | Starch 1 |
|---|---|---|---|---|---|---|---|---|---|---|---|
| Margherito | 12.9 b | 31.3 a | 81.4 d | 3.1 b | 15.4 a | 0.2 b | 0.2 b | 2.0 a | 2.3 a | 13.1 a | 66.3 b |
| Perciasacchi | 15.9 a | 31.2 a | 83.7 b | 3.7 b | 12.6 c | 0.3 b | 0.2 b | 1.8 b | 2.0 a | 9.8 c | 70.3 a |
| Russello | 13.0 b | 31.2 a | 82.6 c | 1.6 c | 15.8 a | 0.1 c | 0.2 b | 1.6 b | 2.2 a | 12.1 b | 64.2 b |
| Timilia | 13.6 b | 29.4 b | 85.7 a | 1.3 c | 13.1 b | 0.1 c | 0.2 b | 1.8 b | 2.2 a | 12.8 b | 65.1 b |
| Maiorca | 13.2 b | 23.1 c | 74.8 d | 9.3 a | 15.2 a | 0.5 a | 0.3 a | 1.9 b | 2.1 a | 10.6 c | 68.6 b |
| Modern and Historical Cultivars and Landraces | HMW-GS 1 | m/z2 |
|---|---|---|
| Biensur | Bx7 + By8 | 82.927; 74.862 |
| Aureo | Bx6 + By8 | 86.510; 74.899 |
| Cappelli | Bx20 + By20 | 82.467; 75.304 |
| Margherito | Bx20 + By20 | 82.475; 75.488 |
| Perciasacchi | Bx20 + By20 | 82.423; 75.060 |
| Ruscìa | Bx6 + By8 | 86.026; 75.060 |
| Russello | Bx13 + By16 | 82.612; 76.944 |
| Timilia | Bx6 + By8 | 86.618; 74.374 |
Publisher’s Note: MDPI stays neutral with regard to jurisdictional claims in published maps and institutional affiliations. |
© 2021 by the authors. Licensee MDPI, Basel, Switzerland. This article is an open access article distributed under the terms and conditions of the Creative Commons Attribution (CC BY) license (http://creativecommons.org/licenses/by/4.0/).
Share and Cite
Visioli, G.; Giannelli, G.; Agrimonti, C.; Spina, A.; Pasini, G. Traceability of Sicilian Durum Wheat Landraces and Historical Varieties by High Molecular Weight Glutenins Footprint. Agronomy 2021, 11, 143. https://doi.org/10.3390/agronomy11010143
Visioli G, Giannelli G, Agrimonti C, Spina A, Pasini G. Traceability of Sicilian Durum Wheat Landraces and Historical Varieties by High Molecular Weight Glutenins Footprint. Agronomy. 2021; 11(1):143. https://doi.org/10.3390/agronomy11010143
Chicago/Turabian StyleVisioli, Giovanna, Gianluigi Giannelli, Caterina Agrimonti, Alfio Spina, and Gabriella Pasini. 2021. "Traceability of Sicilian Durum Wheat Landraces and Historical Varieties by High Molecular Weight Glutenins Footprint" Agronomy 11, no. 1: 143. https://doi.org/10.3390/agronomy11010143
APA StyleVisioli, G., Giannelli, G., Agrimonti, C., Spina, A., & Pasini, G. (2021). Traceability of Sicilian Durum Wheat Landraces and Historical Varieties by High Molecular Weight Glutenins Footprint. Agronomy, 11(1), 143. https://doi.org/10.3390/agronomy11010143

