Computational Simulation Study-Based Formulation Development and Characterization of MethylprednisoloneLoaded Nanoparticles Containing Chitosan and Pectin to Treat Nocturnal Asthma
Abstract
1. Introduction
2. Materials and Methods
2.1. Materials
2.2. Selection of Polymers by AI-Based Blend Analysis Algorithm
2.2.1. Theoretical Simulation Software
2.2.2. Ground State Energy Level of the Components
2.2.3. Blend Mixing and Adsorption Location Between the Drug and the Polymer
2.3. Preparation of MP-Loaded Chitosan Nanoparticles
2.4. Preparation of Chitosan Succinate Polymer
2.5. Preparation of CSSC-Coated MP-Loaded Chitosan Beads
2.6. Determination of Drug Entrapment Efficiency
2.7. Determination of the Surface Morphology and Size of the Formulated Beads
2.8. FTIR Analysis for MP and Other Excipients
2.9. Evaluation of the Swelling Index
2.10. In Vitro Analysis of Drug Release Studies from MP-CSSC-PC-CH Nanoparticle Beads
2.11. X-Ray Radiographic Imaging Analysis of MP-CSSC-PC-CH Nanoparticle Beads
2.12. In Vivo Pharmacokinetic Studies
2.13. Stability Assessment of MP CSSC-PC-CH Nanoparticles
3. Results and Discussions
3.1. Forcite Minimization Energy Profile of Mixing Components
3.2. Blend Mixing of Various Polymers and the Drug
3.2.1. Interaction Pattern and Interpretation
3.2.2. Entrapment Efficiency
3.3. Determination of Surface Morphology and Size of the Formulated Beads
3.4. FTIR Analysis for MP and Other Excipients
3.5. Determination of the Swelling Index
3.6. In Vitro Drug Release Studies of MP-CSSC-PC-CH Nanoparticle Beads
3.7. X-Ray Radiographic Imaging Studies of MP-CSSC-PC-CH Nanoparticle Beads
3.8. In Vivo Pharmacokinetic Studies
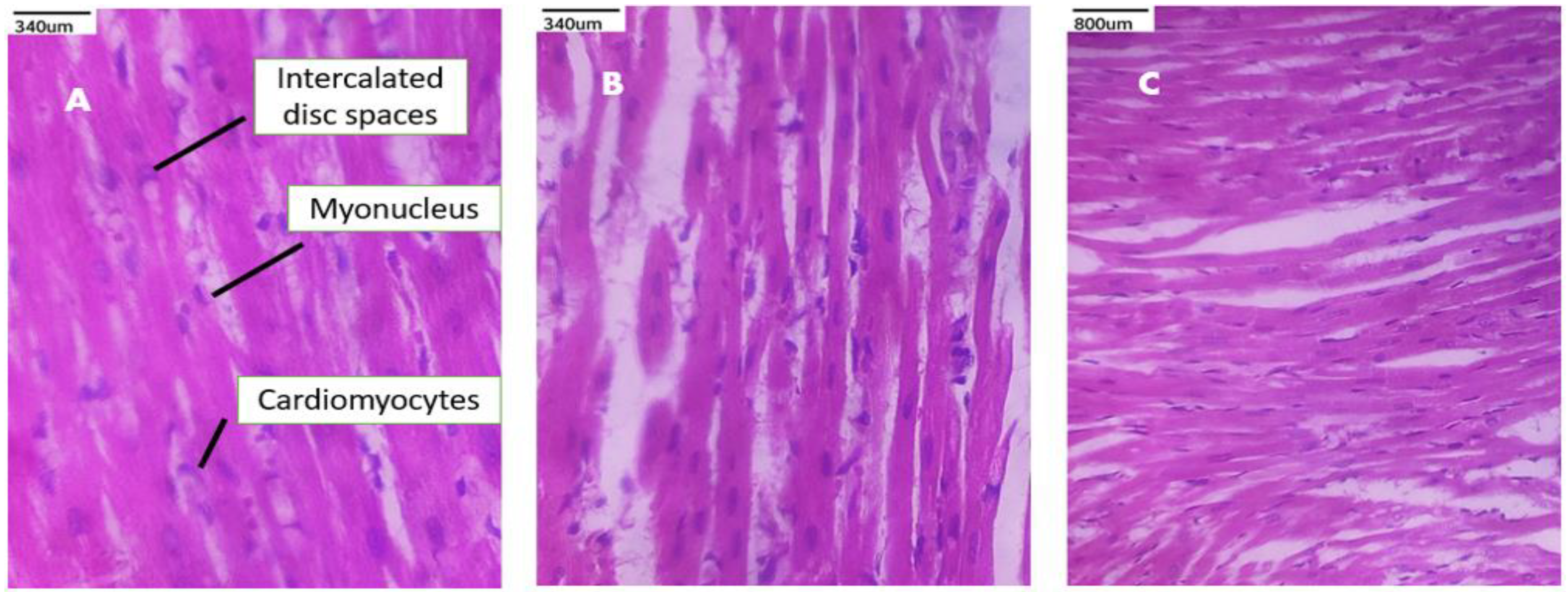
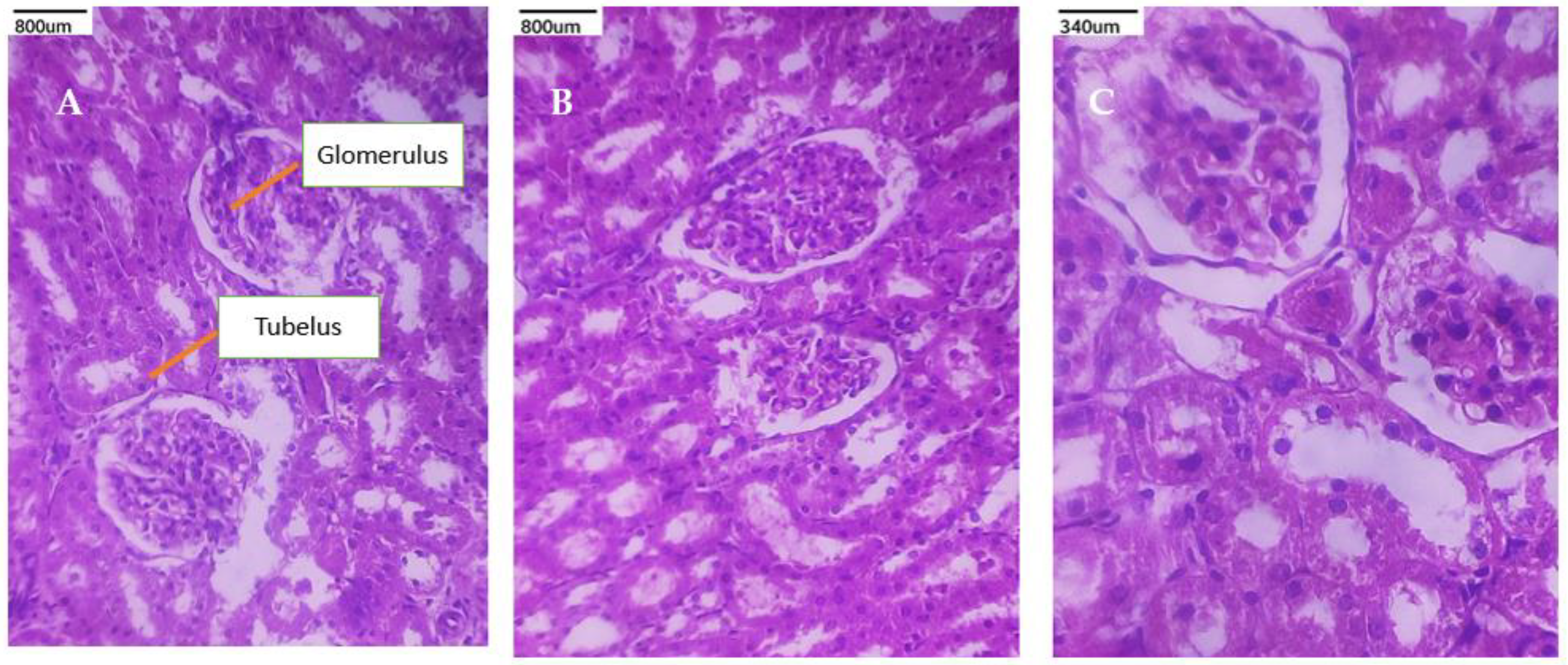
3.9. Histopathological Studies
3.10. Stability Studies of MP CSSC-PC-CH Nanoparticles
4. Conclusions
Author Contributions
Funding
Institutional Review Board Statement
Informed Consent Statement
Data Availability Statement
Acknowledgments
Conflicts of Interest
References
- Reddel, H.K.; Bacharier, L.B.; Bateman, E.D.; Brightling, C.E.; Brusselle, G.G.; Buhl, R.; Cruz, A.A.; Duijts, L.; Drazen, J.M.; FitzGerald, J.M.; et al. Global Initiative for Asthma Strategy 2021: Executive Summary and Rationale for Key Changes. Eur. Respir. J. 2022, 59, 2102730. [Google Scholar] [CrossRef]
- Zaffanello, M.; Ferrante, G.; Piazza, M.; Nosetti, L.; Tenero, L.; Piacentini, G. Exploring the Relationship between Inhaled Corticosteroid Usage, Asthma Severity, and Sleep-Disordered Breathing: A Systematic Literature Review. Adv. Respir. Med. 2024, 92, 300–317. [Google Scholar] [CrossRef] [PubMed]
- Benfante, A.; Tomasello, A.; Caponetto, C.; Battaglia, S.; Scichilone, N. Are nighttime respiratory symptoms assessed by asthma control test affected by comorbidities? J. Asthma 2024, 61, 1083–1088. [Google Scholar] [CrossRef]
- Durrington, H.; Farrow, S.; Ray, D. Recent Advances in Chronotherapy for the Management of Asthma. Chronophysiol. Ther. 2014, 4, 125. [Google Scholar] [CrossRef]
- Paudel, K.R.; Jha, S.K.; Allam, V.S.R.R.; Prasher, P.; Gupta, P.K.; Bhattacharjee, R.; Jha, N.K.; Vishwas, S.; Singh, S.K.; Shrestha, J.; et al. Recent Advances in Chronotherapy Targeting Respiratory Diseases. Pharmaceutics 2021, 13, 2008. [Google Scholar] [CrossRef] [PubMed]
- Skoulas, D.; Mangiapia, G.; Parisi, D.; Kasimatis, M.; Glynos, E.; Stratikos, E.; Iatrou, H. Tunable hydrogels with improved viscoelastic properties from hybrid polypeptides. Macromolecules 2021, 54, 10786–10800. [Google Scholar] [CrossRef]
- Pickup, M.E. Clinical Pharmacokinetics of Prednisone and Prednisolone. Clin. Pharmacokinet. 1979, 4, 111–128. [Google Scholar] [CrossRef]
- Turanlı, Y.; Tort, S.; Acartürk, F. Development and Characterization of Methylprednisolone Loaded Delayed Release Nanofibers. J. Drug Deliv. Sci. Technol. 2019, 49, 58–65. [Google Scholar] [CrossRef]
- Yanat, M.; Schroën, K. Preparation Methods and Applications of Chitosan Nanoparticles; with an Outlook toward Reinforcement of Biodegradable Packaging. React. Funct. Polym. 2021, 161, 104849. [Google Scholar] [CrossRef]
- Herdiana, Y.; Wathoni, N.; Shamsuddin, S.; Muchtaridi, M. Drug Release Study of the Chitosan-Based Nanoparticles. Heliyon 2022, 8, e08674. [Google Scholar] [CrossRef]
- Salave, S.; Rana, D.; Sharma, A.; Bharathi, K.; Gupta, R.; Khode, S.; Benival, D.; Kommineni, N. Polysaccharide Based Implantable Drug Delivery: Development Strategies, Regulatory Requirements, and Future Perspectives. Polysaccharides 2022, 3, 625–654. [Google Scholar] [CrossRef]
- Dong, J.; Gao, H.; Ouyang, D. PharmSD: A Novel AI-Based Computational Platform for Solid Dispersion Formulation Design. Int. J. Pharm. 2021, 604, 120705. [Google Scholar] [CrossRef] [PubMed]
- Irfan, N.; Puratchikody, A. Identification of Silver Nanoparticle-Shaping Tridax Procumbens Phytoconstituent by Theoretical Simulation and Experimental Correlation. Indian J. Pharm. Sci. 2019, 81, 900–912. [Google Scholar] [CrossRef]
- Sorasitthiyanukarn, F.N.; Muangnoi, C.; Rojsitthisak, P.; Rojsitthisak, P. Chitosan-Alginate Nanoparticles as Effective Oral Carriers to Improve the Stability, Bioavailability, and Cytotoxicity of Curcumin Diethyl Disuccinate. Carbohydr. Polym. 2021, 256, 117426. [Google Scholar] [CrossRef]
- Rashki, S.; Asgarpour, K.; Tarrahimofrad, H.; Hashemipour, M.; Ebrahimi, M.S.; Fathizadeh, H.; Khorshidi, A.; Khan, H.; Marzhoseyni, Z.; Salavati-Niasari, M.; et al. Chitosan-Based Nanoparticles against Bacterial Infections. Carbohydr. Polym. 2021, 251, 117108. [Google Scholar] [CrossRef]
- Yosef, A.M.; Alqarni, R.S.; Sayd, F.Y.; Alhawiti, M.S.; Almahlawi, R.M.; Prabahar, K.; Uthumansha, U.; Alanazi, M.A.; El-Sherbiny, M.; Elsherbiny, N.; et al. Preparation and Characterization of Novel Polyelectrolyte Liposomes Using Chitosan Succinate Layered over Chitosomes: A Potential Strategy for Colon Cancer Treatment. Biomedicines 2024, 12, 126. [Google Scholar] [CrossRef]
- Karuna, D.S.; Ubaidulla, U.; Rathnam, G.; Mani, G.; Jang, H.T.; Mani, G. Preparation and Evaluation of Chitosan Succinate Pellets Using Extrusion-Spheronization Technology: Processing and In Vitro Characterization. Turk. J. Pharm. Sci. 2016, 13, 68–86. [Google Scholar] [CrossRef]
- Ubaidulla, U.; Khar, R.K.; Ahmad, F.J.; Tripathi, P. Optimization of Chitosan Succinate and Chitosan Phthalate Microspheres for Oral Delivery of Insulin Using Response Surface Methodology. Pharm. Dev. Technol. 2009, 14, 99–108. [Google Scholar] [CrossRef]
- Harutyunyan, L.R.; Harutyunyan, R.S.; Gabrielyan, G.A.; Lasareva, E.V. Modification of Chitosan and Chitosan Succinate by Surfactants and Investigation of Their Properties. Colloids Surf. A Physicochem. Eng. Asp. 2019, 578, 123622. [Google Scholar] [CrossRef]
- Ubaidulla, U.; Khar, R.K.; Ahmad, F.J.; Sultana, Y.; Panda, A.K. Development and Characterization of Chitosan Succinate Microspheres for the Improved Oral Bioavailability of Insulin. J. Pharm. Sci. 2007, 96, 3010–3023. [Google Scholar] [CrossRef]
- Casa, D.M.; Scariot, D.B.; Khalil, N.M.; Nakamura, C.V.; Mainardes, R.M. Bovine Serum Albumin Nanoparticles Containing Amphotericin B Were Effective in Treating Murine Cutaneous Leishmaniasis and Reduced the Drug Toxicity. Exp. Parasitol. 2018, 192, 12–18. [Google Scholar] [CrossRef]
- Jafari, S.; Maleki-Dizaji, N.; Barar, J.; Barzegar-Jalali, M.; Rameshrad, M.; Adibkia, K. Methylprednisolone Acetate-Loaded Hydroxyapatite Nanoparticles as a Potential Drug Delivery System for Treatment of Rheumatoid Arthritis: In Vitro and In vivo Evaluations. Eur. J. Pharm. Sci. 2016, 91, 225–235. [Google Scholar] [CrossRef]
- Rampino, A.; Borgogna, M.; Blasi, P.; Bellich, B.; Cesàro, A. Chitosan Nanoparticles: Preparation, Size Evolution and Stability. Int. J. Pharm. 2013, 455, 219–228. [Google Scholar] [CrossRef]
- Hwang, J.; Rodgers, K.; Oliver, J.C.; Schluep, T. α-Methylprednisolone Conjugated Cyclodextrin Polymer-Based Nanoparticles for Rheumatoid Arthritis Therapy. Int. J. Nanomed. 2008, 359, 359–371. [Google Scholar] [CrossRef]
- DiFrancesco, R.; Frerichs, V.; Donnelly, J.; Hagler, C.; Hochreiter, J.; Tornatore, K.M. Simultaneous Determination of Cortisol, Dexamethasone, Methylprednisolone, Prednisone, Prednisolone, Mycophenolic Acid and Mycophenolic Acid Glucuronide in Human Plasma Utilizing Liquid Chromatography–Tandem Mass Spectrometry. J. Chromatogr. B Analyt. Technol. Biomed. Life Sci. 2007, 859, 42–51. [Google Scholar] [CrossRef]
- Amidon, S.; Brown, J.E.; Dave, V.S. Colon-Targeted Oral Drug Delivery Systems: Design Trends and Approaches. AAPS PharmSciTech 2015, 16, 731–741. [Google Scholar] [CrossRef]
- Edsbäcker, S.; Bengtsson, B.; Larsson, P.; Lundin, P.; Nilsson, A.; Ulmius, J.; Wollmer, P. A Pharmacoscintigraphic Evaluation of Oral Budesonide given as Controlled-Release (Entocort) Capsules: Pharmacokinetics and scintigraphy of controlled-release budesonide. Aliment. Pharmacol. Ther. 2003, 17, 525–536. [Google Scholar] [CrossRef]
- Rohatagi, S.; Barth, J.; Möllmann, H.; Hochhaus, G.; Soldner, A.; Möllmann, C.; Derendorf, H. Pharmacokinetics of Methylprednisolone and Prednisolone after Single and Multiple Oral Administration. J. Clin. Pharmacol. 1997, 37, 916–925. [Google Scholar] [CrossRef]
- Yao, Z.; DuBois, D.C.; Almon, R.R.; Jusko, W.J. Pharmacokinetic/Pharmacodynamic Modeling of Corticosterone Suppression and Lymphocytopenia by Methylprednisolone in Rats. J. Pharm. Sci. 2008, 97, 2820–2832. [Google Scholar] [CrossRef] [PubMed]
- Haughey, D.B.; Jusko, W.J. Analysis of Methylprednisolone, Methylprednisone and Corticosterone for Assessment of Methylprednisolone Disposition in the Rat. J. Chromatogr. 1988, 430, 241–248. [Google Scholar] [CrossRef] [PubMed]
- Uthumansha, U.; Prabahar, K.; Gajapathy, D.B.; El-Sherbiny, M.; Elsherbiny, N.; Qushawy, M. Optimization and in vitro Characterization of Telmisartan Loaded Sodium Alginate Beads and Its in vivo Efficacy Investigation in Hypertensive Induced Animal Model. Pharmaceutics 2023, 15, 709. [Google Scholar] [CrossRef]
- Macháčková, M.; Tokarský, J.; Čapková, P. A Simple Molecular Modeling Method for the Characterization of Polymeric Drug Carriers. Eur. J. Pharm. Sci. 2013, 48, 316–322. [Google Scholar] [CrossRef] [PubMed]
- Nalini, T.; Basha, S.K.; Sadiq, A.M.; Kumari, V.S. Pectin/Chitosan Nanoparticle Beads as Potential Carriers for Quercetin Release. Mater. Today Commun. 2022, 33, 104172. [Google Scholar] [CrossRef]
- Tian, L.; Singh, A.; Singh, A.V. Synthesis and Characterization of Pectin-Chitosan Conjugate for Biomedical Application. Int. J. Biol. Macromol. 2020, 153, 533–538. [Google Scholar] [CrossRef] [PubMed]
- Wu, M.; Ping, H.; Wang, K.; Ding, H.; Zhang, M.; Yang, Z.; Du, Q. Oral Delivery of Pectin-Chitosan Hydrogels Entrapping Macrophage-Targeted Curcumin-Loaded Liposomes for the Treatment of Ulcerative Colitis. Int. J. Pharm. 2023, 647, 123510. [Google Scholar] [CrossRef] [PubMed]
- Soltani, F.; Kamali, H.; Akhgari, A.; Ghasemzadeh Rahbardar, M.; Afrasiabi Garekani, H.; Nokhodchi, A.; Sadeghi, F. Preparation and Characterization of a Novel Multiparticulate Dosage Form Carrying Budesonide-Loaded Chitosan Nanoparticles to Enhance the Efficiency of Pellets in the Colon. Pharmaceutics 2022, 15, 69. [Google Scholar] [CrossRef] [PubMed]
- Ubaidulla, U.; Khar, R.K.; Ahmed, F.J.; Panda, A.K. Development and In-Vivo Evaluation of Insulin-Loaded Chitosan Phthalate Microspheres for Oral Delivery. J. Pharm. Pharmacol. 2007, 59, 1345–1351. [Google Scholar] [CrossRef] [PubMed]
- Ruan, Y.; Yuan, P.-P.; Li, P.-Y.; Chen, Y.; Fu, Y.; Gao, L.-Y.; Wei, Y.-X.; Zheng, Y.-J.; Li, S.-F.; Feng, W.-S.; et al. Tingli Dazao Xiefei Decoction ameliorates asthma in vivo and in vitro from lung to intestine by modifying NO–CO metabolic disorder mediated inflammation, immune imbalance, cellular barrier damage, oxidative stress and intestinal bacterial disorders. J. Ethnopharmacol. 2023, 313, 116503. [Google Scholar] [CrossRef]
- Zhou, Y.; Li, L.; Yu, Z.; Gu, X.; Pan, R.; Li, Q.; Yuan, C.; Cai, F.; Zhu, Y.; Cui, Y. Dermatophagoides pteronyssinus allergen Der p 22: Cloning, expression, IgE-binding in asthmatic children, and immunogenicity. Pediatr. Allergy Immunol. 2022, 33, e13835. [Google Scholar] [CrossRef] [PubMed]
- Dong, X.; Deng, P.; Wang, X.; Peng, C.; Peng, L. Structural characteristics and immunomodulatory effects of polysaccharides extracted from plant seeds: A review. Trends Food Sci. Technol. 2024, 153, 104747. [Google Scholar] [CrossRef]













| Code | Formulation | MP (1%) | CH (%) | PEC (%) | CSSC (%) | CaCl2 (%) |
|---|---|---|---|---|---|---|
| F1 | CH NP | 1 | 1 | 2 | - | - |
| F2 | PEC-CH NP | 1 | 1 | 2 | - | 10 |
| F3 | PEC-CH NP | 1 | 1 | 2 | 1.0 | 10 |
| F4 | PEC-CH NP | 1 | 1 | 2 | 1.5 | 10 |
| F5 | PEC-CH NP | 1 | 1 | 2 | 2.0 | 10 |
| Drug and Polymer Name | Initial Structure (Total Energy) | Final Structure (Total Energy) | Initial Structure (RMS Force) | Final Structure (RMS Force) |
|---|---|---|---|---|
| MP | 80,572,880.000 | 85,895 | 6.650 × 1017 | 1.286 × 10−2 |
| Starch | 327,479,148.90 | 59,071 | 8.805 × 109 | 1.877 × 10−4 |
| Sodium Alginate | 102,186.851 | 23,576 | 1.149 × 105 | 1.756 × 10−4 |
| Pectin | 224,998.84 | 12,242 | 4.825 × 1017 | 8.946 × 10−5 |
| Lactose | 3,274,791.906 | 59,071 | 8.805 × 109 | 1.877 × 10−4 |
| HPMC | 1,695,365.320 | 256,425 | 3.012 × 1011 | 1.457 × 100 |
| Ethylcellulose | 6,710,585.977 | 81,746 | 1.047 × 108 | 7.931 × 10−3 |
| Chitosan | 8272841.958 | 301,128 | 6.495 × 109 | 6.084 × 10−1 |
| Carboxymethyl Cellulose | 1,553,603.007 | 13,431 | 1.036 × 1012 | 3.680 × 10−1 |
| Base | Screen | Avg Base-Screen Mix (−298 K) | E-Mix | Adsorption Energy |
|---|---|---|---|---|
| MP | Starch | −5.40755618 | 2.96487303 | −32.79969 |
| MP | Sodium Alginate | −3.37076904 | 7.84406254 | −29.631640 |
| MP | Pectin | −3.12717716 | 8.69480618 | −29.736924 |
| MP | Lactose | −5.33106282 | 3.40672579 | −32.8891896 |
| MP | HPMC | −9.44170033 | 17.81168398 | −65.1071738 |
| MP | Ethyl cellulose | −7.27462157 | 3.33341370 | −39.903065 |
| MP | Chitosan | −11.48541631 | −8.99686240 | −55.169463 |
| MP | Carboxymethyl Cellulose | −3.92782055 | 6.66274535 | −34.3474747 |
| Pharmacokinetic Parameters | MP | MP-Loaded PEC-CH Beads | MP-Loaded CSSC-Coated PEC-CH Beads |
|---|---|---|---|
| Cmax (ng/mL) | 1006.8 ± 32.68 | 963.11 ± 24.5 | 939.2 ± 20.11 |
| Tmax (h) | 2 ± 1 | 4 ± 1 | 10 ± 1 |
| AUC0–t (ng/mL × h) | 2980 ± 52.33 | 4032.71 ± 79.33 | 7298.48 ± 64.07 |
| AUMC0–t (ng/mL × h2) | 3278.23 ± 22.59 | 16,853.76 ± 26.58 | 60,281.48 ± 0.52 |
| MRT (h) | 1.10 ± 0.59 | 4.18 ± 1.20 | 8.26 ± 2.34 |
| Relative Bioavailability (%) | _ | 135.30 ± 7.6 | 244.89 ± 6.78 * |
| Storage Temperature Condition | Beads Size (µm) | Drug Content (%) | Lag Time to Release (Tlag) (h) | |||
|---|---|---|---|---|---|---|
| Initial | After Six Months | Initial | After Six Months | Initial | After Six Months | |
| 25 °C/60% RH | 0.98 ± 0.21 | 0.96 ± 0.30 | 99.38 ± 1.72 | 98.65 ± 1.90 | 6.0 ± 0.15 | 6.0 ± 0.62 |
| 40 °C/75% RH | 0.98 ± 0.43 | 95.87 ± 2.56 | 6.0 ± 0.97 | |||
Disclaimer/Publisher’s Note: The statements, opinions and data contained in all publications are solely those of the individual author(s) and contributor(s) and not of MDPI and/or the editor(s). MDPI and/or the editor(s) disclaim responsibility for any injury to people or property resulting from any ideas, methods, instructions or products referred to in the content. |
© 2024 by the authors. Licensee MDPI, Basel, Switzerland. This article is an open access article distributed under the terms and conditions of the Creative Commons Attribution (CC BY) license (https://creativecommons.org/licenses/by/4.0/).
Share and Cite
Voleti, V.K.; Yusuff, I.; Abdulkadhar, M.J.; Al-Sadoon, M.K. Computational Simulation Study-Based Formulation Development and Characterization of MethylprednisoloneLoaded Nanoparticles Containing Chitosan and Pectin to Treat Nocturnal Asthma. Polymers 2025, 17, 24. https://doi.org/10.3390/polym17010024
Voleti VK, Yusuff I, Abdulkadhar MJ, Al-Sadoon MK. Computational Simulation Study-Based Formulation Development and Characterization of MethylprednisoloneLoaded Nanoparticles Containing Chitosan and Pectin to Treat Nocturnal Asthma. Polymers. 2025; 17(1):24. https://doi.org/10.3390/polym17010024
Chicago/Turabian StyleVoleti, Vijaya Kumar, Ismail Yusuff, Mohamed Jalaludeen Abdulkadhar, and Mohammad Khalid Al-Sadoon. 2025. "Computational Simulation Study-Based Formulation Development and Characterization of MethylprednisoloneLoaded Nanoparticles Containing Chitosan and Pectin to Treat Nocturnal Asthma" Polymers 17, no. 1: 24. https://doi.org/10.3390/polym17010024
APA StyleVoleti, V. K., Yusuff, I., Abdulkadhar, M. J., & Al-Sadoon, M. K. (2025). Computational Simulation Study-Based Formulation Development and Characterization of MethylprednisoloneLoaded Nanoparticles Containing Chitosan and Pectin to Treat Nocturnal Asthma. Polymers, 17(1), 24. https://doi.org/10.3390/polym17010024

