Reversible Thermo-Optical Response Nanocomposites Based on RAFT Symmetric Triblock Copolymers (ABA) of Acrylamide and N-Isopropylacrylamide and Gold Nanoparticles
Abstract
1. Introduction
2. Materials and Methods
2.1. Materials
2.2. Polyacrylamide Block (PAM) Synthesis
2.3. Triblock Copolymers’ Synthesis (PAM-b-PNIPAM-b-PAM)
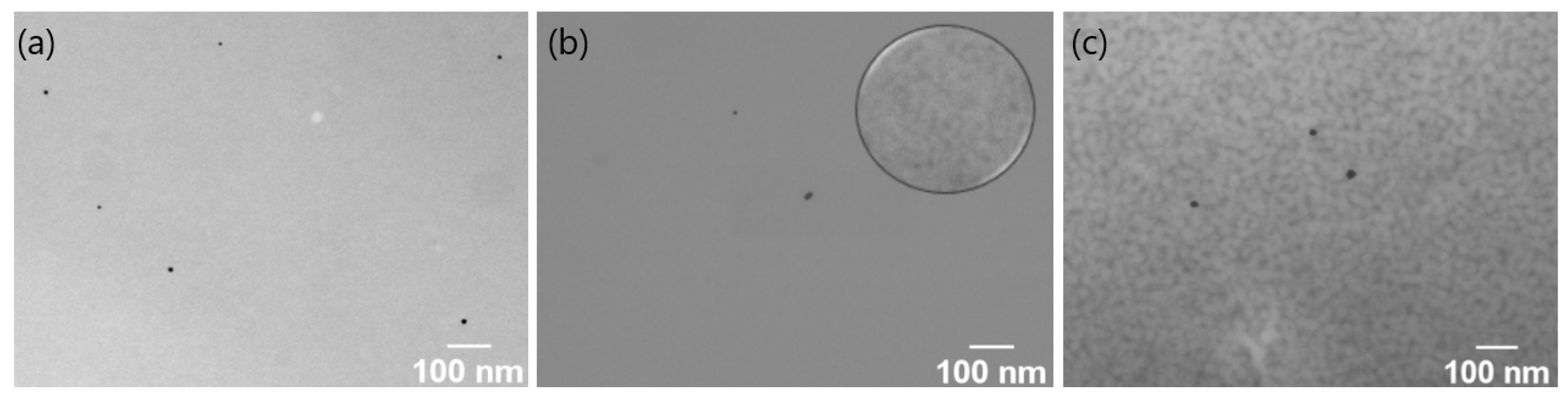
2.4. AuNPs Nanocomposites Synthesis (PAM-b-PNIPAM-b-PAM-Au)
3. Characterization
4. Results and Discussion
5. Conclusions
Supplementary Materials
Author Contributions
Funding
Institutional Review Board Statement
Informed Consent Statement
Data Availability Statement
Acknowledgments
Conflicts of Interest
References
- Raza, A.; Hayat, U.; Rasheed, T.; Bilal, M.; Iqbal, H.M. “Smart” materials-based near-infrared light-responsive drug delivery systems for cancer treatment: A review. J. Mater. Res. Technol. 2019, 8, 1497–1509. [Google Scholar] [CrossRef]
- Wang, D.; Xu, L.; Zhang, L.; Zhang, L.; Zhang, A. Hydrophobic/superhydrophobic reversible smart materials via pho-to/thermo dual-response dynamic wrinkled structure. Chem. Eng. J. 2021, 420, 127679. [Google Scholar] [CrossRef]
- Yang, Y.; Zeng, W.; Huang, P.; Zeng, X.; Mei, L. Smart materials for drug delivery and cancer therapy. View 2021, 2, 20200042. [Google Scholar] [CrossRef]
- English, M.A.; Soenksen, L.R.; Gayet, R.V.; de Puig, H.; Angenent-Mari, N.M.; Mao, A.S.; Nguyen, P.Q.; Collins, J.J. Programmable CRISPR-responsive smart materials. Science 2019, 365, 780–785. [Google Scholar] [CrossRef]
- Kumar, R.; Sharma, A.; Singh, H.; Suating, P.; Kim, H.S.; Sunwoo, K.; Shim, I.; Gibb, B.C.; Kim, J.S. Revisiting Fluorescent Calixarenes: From Molecular Sensors to Smart Materials. Chem. Rev. 2019, 119, 9657–9721. [Google Scholar] [CrossRef] [PubMed]
- Pourjavadi, A.; Kohestanian, M.; Streb, C. pH and thermal dual-responsive poly(NIPAM-co-GMA)-coated magnetic nanoparticles via surface-initiated RAFT polymerization for controlled drug delivery. Mater. Sci. Eng. C 2020, 108, 110418. [Google Scholar] [CrossRef] [PubMed]
- Zhao, C.; Ma, Z.; Zhu, X. Rational design of thermoresponsive polymers in aqueous solutions: A thermodynamics map. Prog. Polym. Sci. 2019, 90, 269–291. [Google Scholar] [CrossRef]
- Constantinou, A.P.; Lan, T.; Carroll, D.R.; Georgiou, T.K. Tricomponent thermoresponsive polymers based on an amine-containing monomer with tunable hydrophobicity: Effect of composition. Eur. Polym. J. 2020, 130, 109655. [Google Scholar] [CrossRef]
- Wang, J.; Zhong, Q.; Wu, J.; Chen, T. Handbook of Smart Textiles; Springer: Singapore, 2014. [Google Scholar]
- Zarrintaj, P.; Jouyandeh, M.; Ganjali, M.R.; Hadavand, B.S.; Mozafari, M.; Sheiko, S.S.; Vatankhah-Varnoosfaderani, M.; Gutiérrez, T.J.; Saeb, M.R. Thermo-sensitive polymers in medicine: A review. Eur. Polym. J. 2019, 117, 402–423. [Google Scholar] [CrossRef]
- Maji, S.; Cesur, B.; Zhang, Z.; De Geest, B.G.; Hoogenboom, R. Poly(N-isopropylacrylamide) coated gold nanoparticles as colourimetric temperature and salt sensors. Polym. Chem. 2016, 7, 1705–1710. [Google Scholar] [CrossRef]
- Choe, A.; Yeom, J.; Shanker, R.; Kim, M.P.; Kang, S.; Ko, H. Stretchable and wearable colorimetric patches based on thermoresponsive plasmonic microgels embedded in a hydrogel film. NPG Asia Mater. 2018, 10, 912–922. [Google Scholar] [CrossRef]
- Thi, T.T.H.; Sinh, L.H.; Huynh, D.P.; Nguyen, D.H.; Huynh, C. Self-Assemblable Polymer Smart-Blocks for Tem-perature-Induced Injectable Hydrogel in Biomedical Applications. Front. Chem. 2020, 8, 19. [Google Scholar] [CrossRef]
- Balestri, A.; Lonetti, B.; Harrisson, S.; Farias-Mancilla, B.; Zhang, J.; Amenitsch, H.; Schubert, U.S.; Guerrero-Sanchez, C.; Montis, C.; Debora, B. Thermo-responsive lipophilic NIPAM-based block copolymers as stabilizers for lipid-based cubic nanoparticles. Colloids Surf. B Biointerfaces 2022, 220, 112884. [Google Scholar] [CrossRef] [PubMed]
- Nagase, K.; Yamato, M.; Kanazawa, H.; Okano, T. Poly(N-isopropylacrylamide)-based thermoresponsive surfaces pro-vide new types of biomedical applications. Biomaterials 2018, 153, 27–48. [Google Scholar] [CrossRef]
- Oh, M.; Yoon, Y.; Lee, T.S. Synthesis of poly(N-isopropylacrylamide) polymer crosslinked with an AIE-active azonaphthol for thermoreversible fluorescence. RSC Adv. 2020, 10, 39277–39283. [Google Scholar] [CrossRef]
- Ansari, M.J.; Rajendran, R.R.; Mohanto, S.; Agarwal, U.; Panda, K.; Dhotre, K.; Manne, R.; Deepak, A.; Zafar, A.; Yasir, M.; et al. Poly(N-isopropylacrylamide)-Based Hydrogels for Biomedical Applications: A Review of the State-of-the-Art. Gels 2022, 8, 454. [Google Scholar] [CrossRef]
- Sponchioni, M.; Palmiero, U.C.; Moscatelli, D. Thermo-responsive polymers: Applications of smart materials in drug delivery and tissue engineering. Mater. Sci. Eng. C 2019, 102, 589–605. [Google Scholar] [CrossRef]
- He, J.; Lin, D.; Chen, Y.; Zhang, L.; Tan, J. One-Step Preparation of Thermo-Responsive Poly(N-isopropylacrylamide)-Based Block Copolymer Nanoparticles by Aqueous Photoinitiated Polymerization-Induced Self-Assembly. Macromol. Rapid Commun. 2021, 42, 2100201. [Google Scholar] [CrossRef] [PubMed]
- Khimani, M.; Patel, H.; Patel, V.; Parekh, P.; Vekariya, R.L. Self-assembly of stimuli-responsive block copolymers in aqueous solutions: An overview. Polym. Bull. 2020, 77, 5783–5810. [Google Scholar] [CrossRef]
- Alaboalirat, M.; Qi, L.; Arrington, K.J.; Qian, S.; Keum, J.K.; Mei, H.; Littrell, K.C.; Sumpter, B.G.; Carrillo, J.-M.Y.; Verduzco, R.; et al. Amphiphilic Bottlebrush Block Copolymers: Analysis of Aqueous Self-Assembly by Small-Angle Neutron Scattering and Surface Tension Measurements. Macromolecules 2019, 52, 465–476. [Google Scholar] [CrossRef]
- Liu, Y.; Tu, W.; Cao, D. Synthesis of Gold Nanoparticles Coated with Polystyrene-block-poly(N-isopropylacrylamide) and Their Thermoresponsive Ultraviolet−Visible Absorbance. Ind. Eng. Chem. Res. 2010, 49, 2707–2715. [Google Scholar] [CrossRef]
- Guo, Y.; Yu, Y.; Shi, K.; Zhang, W. Synthesis of ABA triblock copolymer nanoparticles by polymerization induced self-assembly and their application as an efficient emulsifier. Polym. Chem. 2021, 12, 572–580. [Google Scholar] [CrossRef]
- Suguri, T.; Olsen, B.D. Topology effects on protein–polymer block copolymer self-assembly. Polym. Chem. 2019, 10, 1751–1761. [Google Scholar] [CrossRef]
- Filippov, S.K.; Bogomolova, A.; Kaberov, L.; Velychkivska, N.; Starovoytova, L.; Cernochova, Z.; Rogers, S.E.; Lau, W.M.; Khutoryanskiy, V.V.; Cook, M.T. Internal Nanoparticle Structure of Temperature-Responsive Self-Assembled PNIPAM-b-PEG-b-PNIPAM Triblock Copolymers in Aqueous Solutions: NMR, SANS, and Light Scattering Studies. Langmuir 2016, 32, 5314–5323. [Google Scholar] [CrossRef] [PubMed]
- Teodorescu, M.; Negru, I.; Stanescu, P.O.; Drghici, C.; Lungu, A.; Sârbu, A. Thermogelation properties of poly(N-isopropylacrylamide)-block- poly(ethylene glycol)-block-poly(N-isopropylacrylamide) triblock copolymer aqueous solu-tions. React. Funct. Polym. 2010, 70, 790–797. [Google Scholar] [CrossRef]
- Yin, F.; Behra, J.S.; Beija, M.; Brûlet, A.; Fitremann, J.; Payré, B.; Gineste, S.; Destarac, M.; Viguerie, N.L.-D.; Marty, J.-D. Effect of the microstructure of n-butyl acrylate/N-isopropylacrylamide copolymers on their thermo-responsiveness, self-organization and gel properties in water. J. Colloid Interface Sci. 2020, 578, 685–697. [Google Scholar] [CrossRef] [PubMed]
- Zhu, K.; Zhu, Z.; Zhou, H.; Zhang, J.; Liu, S. Precisely installing gold nanoparticles at the core/shell interface of micellar assemblies of triblock copolymers. Chin. Chem. Lett. 2017, 28, 1276–1284. [Google Scholar] [CrossRef]
- Fliervoet, L.A.L.; Zhang, H.; van Groesen, E.; Fortuin, K.; Duin, N.J.C.B.; Remaut, K.; Schiffelers, R.M.; Hennink, W.E.; Vermonden, T. Local release of siRNA using polyplex-loaded thermosensitive hydrogels. Nanoscale 2020, 12, 10347–10360. [Google Scholar] [CrossRef]
- Deng, K.; Zhao, X.; Liu, F.; Peng, J.; Meng, C.; Huang, Y.; Ma, L.; Chang, C.; Wei, H. Synthesis of Thermosensitive Conjugated Triblock Copolymers by Sequential Click Couplings for Drug Delivery and Cell Imaging. ACS Biomater. Sci. Eng. 2019, 5, 3419–3428. [Google Scholar] [CrossRef]
- Ebeling, B.; Vana, P. Multiblock Copolymers of Styrene and Butyl Acrylate via Polytrithiocarbonate-Mediated RAFT Polymerization. Polymers 2011, 3, 719–739. [Google Scholar] [CrossRef]
- Aguilar, N.M.; Perez-Aguilar, J.M.; González-Coronel, V.J.; Soriano Moro, J.G.; Sanchez-Gaytan, B.L. Polymers as Versatile Players in the Stabilization, Capping, and Design of Inorganic Nanostructures. ACS Omega 2021, 6, 35196–35203. [Google Scholar] [CrossRef] [PubMed]
- Pastoriza-Santos, I.; Kinnear, C.; Pérez-Juste, J.; Mulvaney, P.; Liz-Marzán, L.M. Plasmonic polymer nanocomposites. Nat. Rev. Mater. 2018, 3, 375–391. [Google Scholar] [CrossRef]
- Aguilar, M.N.; Pérez-Aguilar, J.M.; González-Coronel, V.J.; Martínez-Gutiérrez, H.; Zayas Pérez, T.; Soriano-Moro, G.; Sánchez-Gaytán, B.L. Hydrolyzed Polyacrylamide as an In Situ Assistant in the Nucleation and Growth of Gold Nanoparticles. Materials 2022, 15, 8557. [Google Scholar] [CrossRef] [PubMed]
- Lai, J.T.; Filla, D.; Shea, R. Functional Polymers from Novel Carboxyl-Terminated Trithiocarbonates as Highly Efficient RAFT Agents. Macromolecules 2002, 35, 6754–6756. [Google Scholar] [CrossRef]
- Dong, J.; Carpinone, P.L.; Pyrgiotakis, G.; Demokritou, P.; Moudgil, B.M. Synthesis of Precision Gold Nanoparticles Using Turkevich Method. KONA Powder Part J. 2020, 37, 224–232. [Google Scholar] [CrossRef]
- Brandrup, E.A.G.J.; Immergut, E.H. Polymer Handbook; Wiley-Interscience: New York, NY, USA, 1999; Volume 1. [Google Scholar]
- Moad, G.; Rizzardo, E.; Thang, S.H. Radical Addition–Fragmentation Chemistry and RAFT Polymerization. In Polymer Science: A Comprehensive Reference; Elsevier: Amsterdam, The Netherlands, 2012; Volume 3, pp. 181–226. [Google Scholar]
- Dietrich, M.; Glassner, M.; Gruendling, T.; Schmid, C.; Falkenhagen, J.; Barner-Kowollik, C. Facile conversion of RAFT polymers into hydroxyl functional polymers: A detailed investigation of variable monomer and RAFT agent combinations. Polym. Chem. 2010, 1, 634. [Google Scholar] [CrossRef]
- Khodabandeh, A.; Arrua, R.D.; Mansour, F.R.; Thickett, S.C.; Hilder, E.F. PEO-based brush-type amphiphilic macro-RAFT agents and their assembled polyHIPE monolithic structures for applications in separation science. Sci. Rep. 2017, 7, 7847. [Google Scholar] [CrossRef]
- Izunobi, J.U.; Higginbotham, C.L. Polymer Molecular Weight Analysis by 1 H NMR Spectroscopy. J. Chem. Educ. 2011, 88, 1098–1104. [Google Scholar] [CrossRef]
- Doerk, G.S.; Yager, K.G. Beyond native block copolymer morphologies. Mol. Syst. Des. Eng. 2017, 2, 518–538. [Google Scholar] [CrossRef]
- Ji, S.; Nagpal, U.; Liu, G.; Delcambre, S.P.; Müller, M.; de Pablo, J.J.; Nealey, P.F. Directed Assembly of Non-equilibrium ABA Triblock Copolymer Morphologies on Nanopatterned Substrates. ACS Nano 2012, 6, 5440–5448. [Google Scholar] [CrossRef]
- Touve, M.A.; Wright, D.B.; Mu, C.; Sun, H.; Park, C.; Gianneschi, N.C. Block Copolymer Amphiphile Phase Diagrams by High-Throughput Transmission Electron Microscopy. Macromolecules 2019, 52, 5529–5537. [Google Scholar] [CrossRef]
- Doberenz, F.; Zeng, K.; Willems, C.; Zhang, K.; Groth, T. Thermoresponsive polymers and their biomedical application in tissue engineering—A review. J. Mater. Chem. B 2020, 8, 607–628. [Google Scholar] [CrossRef] [PubMed]
- Discher, D.E.; Ahmed, F. Polymersomes. Annu. Rev. Biomed. Eng. 2006, 8, 323–341. [Google Scholar] [CrossRef] [PubMed]
- García-Peñas, A.; Biswas, C.S.; Liang, W.; Wang, Y.; Yang, P.; Stadler, F.J. Effect of Hydrophobic Interactions on Lower Critical Solution Temperature for Poly(N-isopropylacrylamide-co-dopamine Methacrylamide) Copolymers. Polymers 2019, 11, 991. [Google Scholar] [CrossRef]
- Seuring, J.; Agarwal, S. First Example of a Universal and Cost-Effective Approach: Polymers with Tunable Upper Critical Solution Temperature in Water and Electrolyte Solution. Macromolecules 2012, 45, 3910–3918. [Google Scholar] [CrossRef]
- Mäkinen, L.; Varadharajan, D.; Tenhu, H.; Hietala, S. Triple Hydrophilic UCST–LCST Block Copolymers. Macromolecules 2016, 49, 986–993. [Google Scholar] [CrossRef]
- Ise, T.; Nagaoka, K.; Osa, M.; Yoshizaki, T. Cloud points in aqueous solutions of poly(N-isopropylacrylamide) synthe-sized by aqueous redox polymerization. Polym. J. 2011, 43, 164–170. [Google Scholar] [CrossRef]







| Macro-RAFT Agent and Monomer Feed (%) | Triblock Copolymer (Labels) | Nanocomposite Labels | |
|---|---|---|---|
| PAM | NIPAM | ||
| 80 | 20 | PAM-b-PNIPAM-b-PAM1 | PAM-b-PNIPAM-b-PAM-Au1 |
| 50 | 50 | PAM-b-PNIPAM-b-PAM2 | PAM-b-PNIPAM-b-PAM-Au2 |
| 20 | 80 | PAM-b-PNIPAM-b-PAM3 | PAM-b-PNIPAM-b-PAM-Au3 |
| Macro-RAFT Agent and Monomer Feed (%) | Estimated Triblock Copolymers’ Composition (%) | Viscosity Average Molecular Weight (g/mol) (Mv) | ||||
|---|---|---|---|---|---|---|
| PAM | NIPAM | PAM | PNIPAM | PAM | PNIPAM | |
| PAM-b-PNIPAM-b-PAM1 | 80 | 20 | 84 | 16 | 3594 | 1018 |
| PAM-b-PNIPAM-b-PAM2 | 50 | 50 | 42 | 58 | 3594 | 7808 |
| PAM-b-PNIPAM-b-PAM3 | 20 | 80 | 15 | 85 | 3594 | 32,025 |
| Turbidity (NTU) | ||
|---|---|---|
| 25 °C | 36 °C | |
| PAM-b-PNIPAM-b-PAM-Au1 | 240 | 165 |
| PAM-b-PNIPAM-b-PAM-Au2 | 185 | 124 |
| PAM-b-PNIPAM-b-PAM-Au3 | 398 | 1144 |
Disclaimer/Publisher’s Note: The statements, opinions and data contained in all publications are solely those of the individual author(s) and contributor(s) and not of MDPI and/or the editor(s). MDPI and/or the editor(s) disclaim responsibility for any injury to people or property resulting from any ideas, methods, instructions or products referred to in the content. |
© 2023 by the authors. Licensee MDPI, Basel, Switzerland. This article is an open access article distributed under the terms and conditions of the Creative Commons Attribution (CC BY) license (https://creativecommons.org/licenses/by/4.0/).
Share and Cite
Aguilar, N.M.; Perez-Aguilar, J.M.; González-Coronel, V.J.; Martínez-Gutiérrez, H.; Zayas Pérez, T.; González-Vergara, E.; Sanchez-Gaytan, B.L.; Soriano-Moro, G. Reversible Thermo-Optical Response Nanocomposites Based on RAFT Symmetric Triblock Copolymers (ABA) of Acrylamide and N-Isopropylacrylamide and Gold Nanoparticles. Polymers 2023, 15, 1963. https://doi.org/10.3390/polym15081963
Aguilar NM, Perez-Aguilar JM, González-Coronel VJ, Martínez-Gutiérrez H, Zayas Pérez T, González-Vergara E, Sanchez-Gaytan BL, Soriano-Moro G. Reversible Thermo-Optical Response Nanocomposites Based on RAFT Symmetric Triblock Copolymers (ABA) of Acrylamide and N-Isopropylacrylamide and Gold Nanoparticles. Polymers. 2023; 15(8):1963. https://doi.org/10.3390/polym15081963
Chicago/Turabian StyleAguilar, Nery M., Jose Manuel Perez-Aguilar, Valeria J. González-Coronel, Hugo Martínez-Gutiérrez, Teresa Zayas Pérez, Enrique González-Vergara, Brenda L. Sanchez-Gaytan, and Guillermo Soriano-Moro. 2023. "Reversible Thermo-Optical Response Nanocomposites Based on RAFT Symmetric Triblock Copolymers (ABA) of Acrylamide and N-Isopropylacrylamide and Gold Nanoparticles" Polymers 15, no. 8: 1963. https://doi.org/10.3390/polym15081963
APA StyleAguilar, N. M., Perez-Aguilar, J. M., González-Coronel, V. J., Martínez-Gutiérrez, H., Zayas Pérez, T., González-Vergara, E., Sanchez-Gaytan, B. L., & Soriano-Moro, G. (2023). Reversible Thermo-Optical Response Nanocomposites Based on RAFT Symmetric Triblock Copolymers (ABA) of Acrylamide and N-Isopropylacrylamide and Gold Nanoparticles. Polymers, 15(8), 1963. https://doi.org/10.3390/polym15081963

