Basal Cell Carcinoma: An Old Friend with Multiple Faces
Simple Summary
Abstract
1. Introduction
2. Clinical Features of BCC
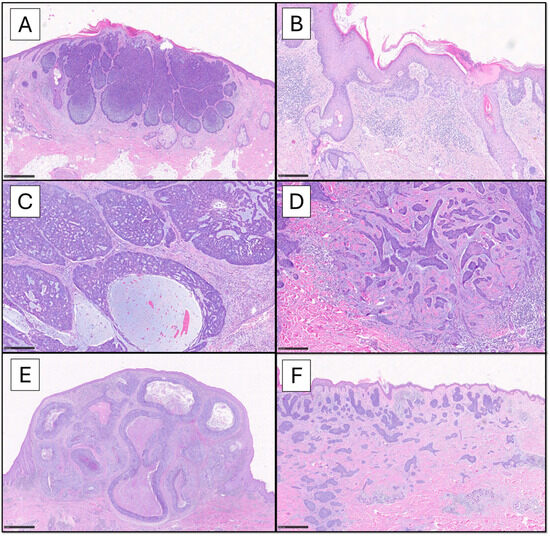
3. Pathological Features of BCC
3.1. Generalities
3.2. Immunophenotype
3.3. Low-Risk BCC
3.4. High-Risk BCC
3.5. Differential Diagnosis
4. Principles of Surgical and Topical Treatment
5. Implications of Oncological Treatments
5.1. Targeted Therapy: Hedgehog Pathway Inhibitors
5.2. Immunotherapy
5.3. Chemotherapy
5.4. Novel Therapeutic Approaches and Vaccines
6. Conclusions
Author Contributions
Funding
Institutional Review Board Statement
Informed Consent Statement
Data Availability Statement
Conflicts of Interest
References
- Peris, K.; Fargnoli, M.C.; Kaufmann, R.; Arenberger, P.; Bastholt, L.; Seguin, N.B.; Bataille, V.; Brochez, L.; Del Marmol, V.; Dummer, R.; et al. European Consensus-Based Interdisciplinary Guideline for Diagnosis and Treatment of Basal Cell Carcinoma-Update 2023. Eur. J. Cancer 2023, 192, 113254. [Google Scholar] [CrossRef] [PubMed]
- Peris, K.; Fargnoli, M.C.; Garbe, C.; Kaufmann, R.; Bastholt, L.; Seguin, N.B.; Bataille, V.; Marmol, V.D.; Dummer, R.; Harwood, C.A.; et al. Diagnosis and Treatment of Basal Cell Carcinoma: European Consensus-Based Interdisciplinary Guidelines. Eur. J. Cancer 2019, 118, 10–34. [Google Scholar] [CrossRef] [PubMed]
- Heath, M.S.; Bar, A. Basal Cell Carcinoma. Dermatol. Clin. 2023, 41, 13–21. [Google Scholar] [CrossRef]
- McDaniel, B.; Badri, T.; Steele, R.B. Basal Cell Carcinoma. In StatPearls; StatPearls Publishing: Treasure Island, FL, USA, 2025. [Google Scholar]
- Attal, Z.G.; Shalata, W.; Soklakova, A.; Tourkey, L.; Shalata, S.; Abu Saleh, O.; Abu Salamah, F.; Alatawneh, I.; Yakobson, A. Advanced and Metastatic Non-Melanoma Skin Cancer: Epidemiology, Risk Factors, Clinical Features, and Treatment Options. Biomedicines 2024, 12, 1448. [Google Scholar] [CrossRef]
- Chen, O.M.; Kim, K.; Steele, C.; Wilmas, K.M.; Aboul-Fettouh, N.; Burns, C.; Doan, H.Q.; Silapunt, S.; Migden, M.R. Advances in Management and Therapeutics of Cutaneous Basal Cell Carcinoma. Cancers 2022, 14, 3720. [Google Scholar] [CrossRef]
- Diepgen, T.L.; Fartasch, M.; Drexler, H.; Schmitt, J. Occupational skin cancer induced by ultraviolet radiation and its prevention: Occupational skin cancer induced by UV radiation. Br. J. Dermatol. 2012, 167, 76–84. [Google Scholar] [CrossRef]
- Flohil, S.C.; Seubring, I.; Van Rossum, M.M.; Coebergh, J.-W.W.; De Vries, E.; Nijsten, T. Trends in Basal Cell Carcinoma Incidence Rates: A 37-Year Dutch Observational Study. J. Investig. Dermatol. 2013, 133, 913–918. [Google Scholar] [CrossRef]
- Brouwers, M.C.; Kerkvliet, K.; Spithoff, K.; AGREE Next Steps Consortium. The AGREE Reporting Checklist: A tool to improve reporting of clinical practice guidelines. BMJ 2016, 352, i1152. [Google Scholar] [CrossRef]
- Work Group; Invited Reviewers; Kim, J.Y.S.; Kozlow, J.H.; Mittal, B.; Moyer, J.; Olencki, T.; Rodgers, P. Guidelines of Care for the Management of Basal Cell Carcinoma. J. Am. Acad. Dermatol. 2018, 78, 540–559. [Google Scholar] [CrossRef]
- Grob, J.J.; Gaudy-Marqueste, C.; Guminski, A.; Malvehy, J.; Basset-Seguin, N.; Bertrand, B.; Fernandez-Penas, P.; Kaufmann, R.; Zalaudek, I.; Fargnoli, M.C.; et al. Position Statement on Classification of Basal Cell Carcinomas. Part 2: EADO Proposal for New Operational Staging System Adapted to Basal Cell Carcinomas. J. Eur. Acad. Dermatol. Venereol. 2021, 35, 2149–2153. [Google Scholar] [CrossRef]
- Tang, S.; Thompson, S.; Smee, R. Metastatic Basal Cell Carcinoma: Case Series and Review of the Literature. Australas. J. Dermatol. 2017, 58, e40–e43. [Google Scholar] [CrossRef] [PubMed]
- Pyne, J.H.; Fishburn, P.; Dicker, A.; David, M. Infiltrating Basal Cell Carcinoma: A Stellate Peri-Tumor Dermatoscopy Pattern as a Clue to Diagnosis. Dermatol. Pract. Concept. 2015, 5, 21–26. [Google Scholar] [CrossRef] [PubMed]
- WHO Classification of Tumours Editorial Board. Skin Tumours, 5th ed.; WHO Classification of Tumours Series; Internet, Beta Version Ahead of Print; International Agency for Research on Cancer: Lyon, France, 2023; Volume 12, Available online: https://tumourclassification.iarc.who.int/chapters/64 (accessed on 20 January 2025).
- Brenn, T.; Goodlad, J.; Mentzel, T. Nonmelanocytic Tumors of the Skin; American Registry of Pathology: Arlington, VA, USA, 2021; ISBN 9781933477121. [Google Scholar]
- Cocuz, I.G.; Popelea, M.C.; Niculescu, R.; Manea, A.; Sabău, A.-H.; Tinca, A.-C.; Szoke, A.R.; Budin, C.E.; Stoian, A.; Morariu, S.H.; et al. Pathophysiology, Histopathology, and Differential Diagnostics of Basal Cell Carcinoma and Cutaneous Squamous Cell Carcinoma—An Update from the Pathologist’s Point of View. Int. J. Mol. Sci. 2024, 25, 2220. [Google Scholar] [CrossRef]
- Calonje, E.; Brenn, T.; Lazar, A.; McKee, P.H. McKee’s Pathology of the Skin: With Clinical Correlations, 4th ed.; W.B. Saunders Company: Philadelphia, PA, USA, 2012; 1803p. [Google Scholar]
- Stanoszek, L.M.; Wang, G.Y.; Harms, P.W. Histologic Mimics of Basal Cell Carcinoma. Arch. Pathol. Lab. Med. 2017, 141, 1490–1502. [Google Scholar] [CrossRef]
- Șerbănescu, M.-S.; Bungărdean, R.M.; Georgiu, C.; Crișan, M. Nodular and Micronodular Basal Cell Carcinoma Subtypes Are Different Tumors Based on Their Morphological Architecture and Their Interaction with the Surrounding Stroma. Diagnostics 2022, 12, 1636. [Google Scholar] [CrossRef]
- Reiter, O.; Mimouni, I.; Dusza, S.; Halpern, A.C.; Leshem, Y.A.; Marghoob, A.A. Dermoscopic Features of Basal Cell Carcinoma and Its Subtypes: A Systematic Review. J. Am. Acad. Dermatol. 2021, 85, 653–664. [Google Scholar] [CrossRef]
- Agrawal, A.; Bharti, J.N.; Singh, S. Clear Cell Basal Cell Carcinoma—A Rare Variant. Indian Dermatol. Online J. 2024, 15, 675–677. [Google Scholar] [CrossRef]
- Tichy, M.; Sen, M.T. Granular Cell Basal Cell Carcinoma: A Rare Variant. Indian J. Dermatol. Venereol. Leprol. 2015, 81, 420–422. [Google Scholar] [CrossRef]
- Roldán-Marín, R.; Leal-Osuna, S.; Lammoglia-Ordiales, L.; Toussaint-Caire, S. Infundibulocystic Basal Cell Carcinoma: Dermoscopic Findings and Histologic Correlation. Dermatol. Pract. Concept. 2014, 4, 51–54. [Google Scholar] [CrossRef]
- Niculet, E.; Craescu, M.; Rebegea, L.; Bobeica, C.; Nastase, F.; Lupasteanu, G.; Stan, D.J.; Chioncel, V.; Anghel, L.; Lungu, M.; et al. Basal Cell Carcinoma: Comprehensive Clinical and Histopathological Aspects, Novel Imaging Tools and Therapeutic Approaches (Review). Exp. Ther. Med. 2022, 23, 60. [Google Scholar] [CrossRef]
- Sevensma, K.E.; Ramphul, K. Premalignant Fibroepithelial Tumor of Pinkus. In StatPearls; StatPearls Publishing: Treasure Island, FL, USA, 2025. [Google Scholar]
- Russell-Goldman, E.; Lindeman, N.I.; Laga, A.C.; Hanna, J. Morphologic, Immunohistochemical, and Molecular Distinction Between Fibroepithelioma of Pinkus and “Fenestrated” Basal Cell Carcinoma. Am. J. Dermatopathol. 2020, 42, 513–520. [Google Scholar] [CrossRef] [PubMed]
- Damani, Z.; Haber, R.M. Fibroepithelioma of Pinkus (FEP). J. Cutan. Med. Surg. 2022, 26, 216. [Google Scholar] [CrossRef]
- Tanese, K. Diagnosis and Management of Basal Cell Carcinoma. Curr. Treat. Options Oncol. 2019, 20, 13. [Google Scholar] [CrossRef]
- Conforti, C.; Pizzichetta, M.A.; Vichi, S.; Toffolutti, F.; Serraino, D.; Di Meo, N.; Giuffrida, R.; Deinlein, T.; Giacomel, J.; Rosendahl, C.; et al. Sclerodermiform Basal Cell Carcinomas vs. Other Histotypes: Analysis of Specific Demographic, Clinical and Dermatoscopic Features. J. Eur. Acad. Dermatol. Venereol. 2021, 35, 79–87. [Google Scholar] [CrossRef] [PubMed]
- Husein-ElAhmed, H. Sclerodermiform Basal Cell Carcinoma: How Much Can We Rely on Dermatoscopy to Differentiate from Non-Aggressive Basal Cell Carcinomas? Analysis of 1256 Cases. An. Bras. Dermatol. 2018, 93, 229–232. [Google Scholar] [CrossRef]
- Pyne, J.H.; Myint, E.; Hou, R.; Clark, S.P.; Wong, C.; Gorji, M. Basal Cell Carcinoma with Perineural Invasion: A Prospective Study Examining Subtype, Tumor Surface Diameter, Invasion Depth, and Anatomic Site in 3005 Consecutive Cases. J. Cutan. Pathol. 2020, 47, 1033–1038. [Google Scholar] [CrossRef]
- Murgia, G.; Denaro, N.; Boggio, F.; Nazzaro, G.; Benzecry, V.; Bortoluzzi, P.; Passoni, E.; Garrone, O.; Marzano, A. Basosquamous Carcinoma: Comprehensive Clinical and Histopathological Aspects, Novel Imaging Tools, and Therapeutic Approaches. Cells 2023, 12, 2737. [Google Scholar] [CrossRef] [PubMed]
- Mestre-Alagarda, C.; Nieto, G.; Terrádez, L.; Monteagudo, C. Primary Cutaneous Biphasic Sarcomatoid Basal Cell Carcinoma with Myoepithelial Carcinoma Differentiation: A New Variant. J. Cutan. Pathol. 2019, 46, 949–953. [Google Scholar] [CrossRef]
- Mc Menamin, M.E.; Goh, S.G.N.; Poblet, E.; Gostelow, B.E.; Robson, A.; Calonje, E. Sarcomatoid Basal Cell Carcinoma—Predilection for Osteosarcomatous Differentiation: A Series of 11 Cases. Am. J. Surg. Pathol. 2006, 30, 1299–1308. [Google Scholar] [CrossRef]
- Gómez-Espejo, C.; Herrera-Sabal, A.; Ríos-Martín, J.J.; Camacho-Martínez, F. Basal Cell Carcinoma with Sarcomatoid Features (Sarcomatoid Carcinoma): Report of a Case and Review of the Literature. J. Dermatol. 2003, 30, 543–549. [Google Scholar] [CrossRef]
- Mohanty, S.K.; Sardana, R.; McFall, M.; Pradhan, D.; Usmani, A.; Jha, S.; Mishra, S.K.; Sampat, N.Y.; Lobo, A.; Wu, J.M.; et al. Does Immunohistochemistry Add to Morphology in Differentiating Trichoepithelioma, Desmoplastic Trichoepithelioma, Morpheaform Basal Cell Carcinoma, and Microcystic Adnexal Carcinoma? Appl. Immunohistochem. Mol. Morphol. 2022, 30, 273–277. [Google Scholar] [CrossRef] [PubMed]
- Quazi, S.J.; Aslam, N.; Saleem, H.; Rahman, J.; Khan, S. Surgical Margin of Excision in Basal Cell Carcinoma: A Systematic Review of Literature. Cureus 2020, 12, e9211. [Google Scholar] [CrossRef] [PubMed]
- Marzuka, A.G.; Book, S.E. Basal Cell Carcinoma: Pathogenesis, Epidemiology, Clinical Features, Diagnosis, Histopathology, and Management. Yale J. Biol. Med. 2015, 88, 167–179. [Google Scholar]
- Gulleth, Y.; Goldberg, N.; Silverman, R.P.; Gastman, B.R. What Is the Best Surgical Margin for a Basal Cell Carcinoma: A Meta-Analysis of the Literature. Plast. Reconstr. Surg. 2010, 126, 1222–1231. [Google Scholar] [CrossRef]
- Di Maria, A.; Barone, G.; Ferraro, V.; Tredici, C.; Manara, S.; De Carlo, C.; Gaeta, A.; Confalonieri, F. Recurrence of Basal Cell Carcinoma Treated with Surgical Excision and Histopathological Analysis with Frozen Section Technique with Complete Margin Control (CMC-FS): A 15-Year Experience of a Reference Center. Cancers 2023, 15, 3840. [Google Scholar] [CrossRef]
- Smeets, N.W.J.; Krekels, G.A.M.; Ostertag, J.U.; Essers, B.A.B.; Dirksen, C.D.; Nieman, F.H.M.; Neumann, H.A.M. Surgical Excision vs Mohs’ Micrographic Surgery for Basal-Cell Carcinoma of the Face: Randomised Controlled Trial. Lancet 2004, 364, 1766–1772. [Google Scholar] [CrossRef]
- Mosterd, K.; Krekels, G.A.M.; Nieman, F.H.; Ostertag, J.U.; Essers, B.A.B.; Dirksen, C.D.; Steijlen, P.M.; Vermeulen, A.; Neumann, H.; Kelleners-Smeets, N.W.J. Surgical Excision versus Mohs’ Micrographic Surgery for Primary and Recurrent Basal-Cell Carcinoma of the Face: A Prospective Randomised Controlled Trial with 5-Years’ Follow-Up. Lancet Oncol. 2008, 9, 1149–1156. [Google Scholar] [CrossRef]
- Thomson, J.; Hogan, S.; Leonardi-Bee, J.; Williams, H.C.; Bath-Hextall, F.J. Interventions for Basal Cell Carcinoma of the Skin. Cochrane Database Syst. Rev. 2020, 11, CD003412. [Google Scholar] [CrossRef]
- Jansen, M.H.E.; Mosterd, K.; Arits, A.H.; Roozeboom, M.H.; Sommer, A.; Essers, B.A.; van Pelt, H.P.A.; Quaedvlieg, P.J.F.; Steijlen, P.M.; Nelemans, P.J.; et al. Five-Year Results of a Randomized Controlled Trial Comparing Effectiveness of Photodynamic Therapy, Topical Imiquimod, and Topical 5-Fluorouracil in Patients with Superficial Basal Cell Carcinoma. J. Investig. Dermatol. 2018, 138, 527–533. [Google Scholar] [CrossRef]
- Jia, H.-X.; He, Y.-L. Efficacy and Safety of Imiquimod 5% Cream for Basal Cell Carcinoma: A Meta-Analysis of Randomized Controlled Trial. J. Dermatol. Treat. 2020, 31, 831–838. [Google Scholar] [CrossRef]
- Arits, A.H.; Mosterd, K.; ABEssers, B.; Spoorenberg, E.; Sommer, A.; De Rooij, M.J.; van Pelt, H.P.; Quaedvlieg, P.J.; Krekels, G.A.; van Neer, P.A.; et al. Photodynamic therapy versus topical imiquimod versus topical fluorouracil for treatment of superficial basal-cell carcinoma: A single blind, non-inferiority, randomised controlled trial. Lancet Oncol. 2013, 14, 647–654. [Google Scholar] [CrossRef] [PubMed]
- Altun, E.; Schwartzman, G.; Cartron, A.M.; Khachemoune, A. Beyond Mohs Surgery and Excisions: A Focused Review of Treatment Options for Subtypes of Basal Cell Carcinoma. Dermatol. Ther. 2021, 34, e14476. [Google Scholar] [CrossRef] [PubMed]
- Christensen, E.; Mørk, E.; Foss, O.A.; Mørk, C.; Kroon, S.; Dotterud, L.K.; Helsing, P.; Vatne, Ø.; Skogvoll, E.; Mjønes, P.; et al. New, Simplified versus Standard Photodynamic Therapy (PDT) Regimen for Superficial and Nodular Basal Cell Carcinoma (BCC): A Single-Blind, Non-Inferiority, Randomised Controlled Multicentre Study. PLoS ONE 2024, 19, e0299718. [Google Scholar] [CrossRef]
- Dika, E.; Scarfì, F.; Ferracin, M.; Broseghini, E.; Marcelli, E.; Bortolani, B.; Campione, E.; Riefolo, M.; Ricci, C.; Lambertini, M. Basal Cell Carcinoma: A Comprehensive Review. Int. J. Mol. Sci. 2020, 21, 5572. [Google Scholar] [CrossRef] [PubMed]
- Mendenhall, W.M.; Amdur, R.J.; Hinerman, R.W.; Cognetta, A.B.; Mendenhall, N.P. Radiotherapy for Cutaneous Squamous and Basal Cell Carcinomas of the Head and Neck. Laryngoscope 2009, 119, 1994–1999. [Google Scholar] [CrossRef]
- Mendenhall, W.M.; Ferlito, A.; Takes, R.P.; Bradford, C.R.; Corry, J.; Fagan, J.J.; Rinaldo, A.; Strojan, P.; Rodrigo, J.P. Cutaneous Head and Neck Basal and Squamous Cell Carcinomas with Perineural Invasion. Oral. Oncol. 2012, 48, 918–922. [Google Scholar] [CrossRef]
- Drew, B.A.; Karia, P.S.; Mora, A.N.; Liang, C.A.; Schmults, C.D. Treatment patterns, outcomes, and patient satisfaction of primary epidermally limited nonmelanoma skin cancer. Dermatol. Surg. 2017, 43, 1423–1430. [Google Scholar] [CrossRef]
- Gambini, D.; Passoni, E.; Nazzaro, G.; Beltramini, G.; Tomasello, G.; Ghidini, M.; Kuhn, E.; Garrone, O. Basal Cell Carcinoma and Hedgehog Pathway Inhibitors: Focus on Immune Response. Front. Med. 2022, 9, 893063. [Google Scholar] [CrossRef]
- Sekulic, A.; Migden, M.R.; Oro, A.E.; Dirix, L.; Lewis, K.D.; Hainsworth, J.D.; Solomon, J.A.; Yoo, S.; Arron, S.T.; Friedlander, P.A.; et al. Efficacy and safety of vismodegib in advanced basal-cell carcinoma. N. Engl. J. Med. 2012, 366, 2171–2179. [Google Scholar] [CrossRef]
- Dummer, R.; Guminski, A.; Gutzmer, R.; Lear, J.T.; Migden, M.R.; Lewis, K.D.; Chang, A.L.S.; Dirix, L.; Combemale, P.; Stratigos, A.; et al. Long-term efficacy and safety of sonidegib in patients with locally advanced and metastatic basal cell carcinoma: 42-month analysis of the randomized Phase 2 BOLT study. Br. J. Dermatol. 2020, 182, 1369–1378. [Google Scholar] [CrossRef]
- Villani, A.; Fabbrocini, G.; Costa, C.; Scalvenzi, M. Response to “Efficacy of Sonidegib in Histologic Subtypes of Advanced Basal Cell Carcinoma: Results from the Final Analysis of the Randomized Phase 2 Basal Cell Carcinoma Outcomes with LDE225 Treatment (BOLT) Trial at 42 Months”. J. Am. Acad. Dermatol. 2021, 84, e299–e300. [Google Scholar] [CrossRef]
- Ungureanu, L.; Vasilovici, A.F.; Halmágyi, S.-R.; Trufin, I.I.; Apostu, A.P.; Prisecaru, M.; Șenilă, S.C. Immunotherapy in Basal Cell Carcinoma. J. Clin. Med. 2024, 13, 5730. [Google Scholar] [CrossRef] [PubMed]
- Lipson, E.J.; Lilo, M.T.; Ogurtsova, A.; Esandrio, J.; Xu, H.; Brothers, P.; Schollenberger, M.; Sharfman, W.H.; Taube, J.M. Basal Cell Carcinoma: PD-L1/PD-1 Checkpoint Expression and Tumor Regression after PD-1 Blockade. J. Immunother. Cancer 2017, 5, 23. [Google Scholar] [CrossRef] [PubMed]
- Stratigos, A.J.; Sekulic, A.; Peris, K.; Bechter, O.; Prey, S.; Kaatz, M.; Lewis, K.D.; Basset-Seguin, N.; Chang, A.L.S.; Dalle, S.; et al. Cemiplimab in locally advanced basal cell carcinoma after hedgehog inhibitor therapy: An open-label, multi-centre, single-arm, phase 2 trial. Lancet Oncol. 2021, 22, 848–857. [Google Scholar] [CrossRef]
- Queirolo, P.; Cinquini, M.; Argenziano, G.; Bassetto, F.; Bossi, P.; Boutros, A.; Clemente, C.; De Giorgi, V.; Del Vecchio, M.; Patuzzo, R.; et al. Guidelines for the Diagnosis and Treatment of Basal Cell Carcinoma: A GRADE Approach for Evidence Evaluation and Recommendations by the Italian Association of Medical Oncology. ESMO Open 2023, 8, 102037. [Google Scholar] [CrossRef]
- Khandekar, J.D. Complete Response of Metastatic Basal Cell Carcinoma to Cisplatin Chemotherapy: A Report on Two Patients. Arch. Dermatol. 1990, 126, 1660. [Google Scholar] [CrossRef]
- Guthrie, T.H.; Porubsky, E.S.; Luxenberg, M.N.; Shah, K.J.; Wurtz, K.L.; Watson, P.R. Cisplatin-Based Chemotherapy in Advanced Basal and Squamous Cell Carcinomas of the Skin: Results in 28 Patients Including 13 Patients Receiving Multimodality Therapy. JCO 1990, 8, 342–346. [Google Scholar] [CrossRef]
- Jefford, M.; Kiffer, J.D.; Somers, G.; Daniel, F.J.; Davis, I.D. Metastatic Basal Cell Carcinoma: Rapid Symptomatic Response to Cisplatin and Paclitaxel. ANZ J. Surg. 2004, 74, 704–705. [Google Scholar] [CrossRef]
- Buarque, E.J. Chemotherapy for Advanced and Recurring Basal Cell Carcinoma (BCC) with Docetaxel and Cisplatin. JCO 2007, 25, 16546. [Google Scholar] [CrossRef]
- Chang, A.L.S.; Tran, D.C.; Cannon, J.G.D.; Li, S.; Jeng, M.; Patel, R.; Van der Bokke, L.; Pague, A.; Brotherton, R.; Rieger, K.E.; et al. Pembrolizumab for Advanced Basal Cell Carcinoma: An Investigator-Initiated, Proof-of-Concept Study. J. Am. Acad. Dermatol. 2019, 80, 564–566. [Google Scholar] [CrossRef]
- Véron, M.; Chevret, S.; Grob, J.-J.; Beylot-Barry, M.; Saiag, P.; Fléchon, A.; You, B.; Maubec, E.; Jouary, T.; Toulemonde, E.; et al. Safety and Efficacy of Nivolumab, an Anti-PD1 Immunotherapy, in Patients with Advanced Basal Cell Carcinoma, after Failure or Intolerance to Sonic Hedgehog Inhibitors: UNICANCER AcSé NIVOLUMAB Trial. Eur. J. Cancer 2022, 177, 103–111. [Google Scholar] [CrossRef] [PubMed]
- Schenk, K.M.; Deutsch, J.S.; Schollenberger, M.D.; Sharfman, W.H.; Brothers, P.N.; Pons, A.; Scott, J.F.; Bibee, K.; Taube, J.M.; Topalian, S.L.; et al. 820P Nivolumab (NIVO) +/− Relatlimab (RELA) or Ipilimumab (IPI) for Patients (Pts) with Advanced Treatment-Naïve or -Refractory Basal Cell Carcinoma (BCC). Ann. Oncol. 2022, 33, S922–S923. [Google Scholar] [CrossRef]
- Zelin, E.; Maronese, C.A.; Dri, A.; Toffoli, L.; Di Meo, N.; Nazzaro, G.; Zalaudek, I. Identifying Candidates for Immunotherapy among Patients with Non-Melanoma Skin Cancer: A Review of the Potential Predictors of Response. J. Clin. Med. 2022, 11, 3364. [Google Scholar] [CrossRef]
- Walter, A.; Barysch, M.J.; Behnke, S.; Dziunycz, P.; Schmid, B.; Ritter, E.; Gnjatic, S.; Kristiansen, G.; Moch, H.; Knuth, A.; et al. Cancer-Testis Antigens and Immunosurveillance in Human Cutaneous Squamous Cell and Basal Cell Carcinomas. Clin. Cancer Res. 2010, 16, 3562–3570. [Google Scholar] [CrossRef]
- Sabbatino, F.; Marra, A.; Liguori, L.; Scognamiglio, G.; Fusciello, C.; Botti, G.; Ferrone, S.; Pepe, S. Resistance to Anti-PD-1-Based Immunotherapy in Basal Cell Carcinoma: A Case Report and Review of the Literature. J. Immunother. Cancer 2018, 6, 126. [Google Scholar] [CrossRef]
- Wong, C.W.; Huang, Y.Y.; Hurlstone, A. The Role of IFN-γ-Signalling in Response to Immune Checkpoint Blockade Therapy. Essays Biochem. 2023, 67, 991–1002. [Google Scholar] [CrossRef]
- Dollinger, E.; Bergman, D.; Zhou, P.; Atwood, S.X.; Nie, Q. Divergent Resistance Mechanisms to Immunotherapy Explain Responses in Different Skin Cancers. Cancers 2020, 12, 2946. [Google Scholar] [CrossRef]
- Gambichler, T.; Skrygan, M.; Kaczmarczyk, J.M.; Hyun, J.; Tomi, N.S.; Sommer, A.; Bechara, F.G.; Boms, S.; Brockmeyer, N.H.; Altmeyer, P.; et al. Increased Expression of TGF-Beta/Smad Proteins in Basal Cell Carcinoma. Eur. J. Med. Res. 2007, 12, 509–514. [Google Scholar]

| Study ID | Phase | Drugs Investigated | Patients Enrolled | Endpoint | Status | Stage |
|---|---|---|---|---|---|---|
| NCT05929664 | Phase II | Cemiplimab | Not specified | ORR and Disease Control Rate | Active | Locally advanced |
| NCT04679480 | Phase II | Cemiplimab + Sonidegib | Not specified | ORR | Active | Advanced |
| NCT04916002 | Phase II | Cemiplimab + Vidutolimod | Not specified | Efficacy in advanced solid tumors | Active | Advanced or metastatic |
| NCT04323202 | Phase I | Pembrolizumab | Not specified | Safety and efficacy in neoadjuvant setting | Active | Resectable Advanced |
| NCT05086692 | Phase I/II | Pembrolizumab + MDNA11 | Not specified | Safety and efficacy | Active | Advanced |
| NCT05859074 | Phase I | Pembrolizumab + MQ710 | Not specified | Safety in dose escalation phase | Active | Not specified |
| NCT03521830 (ESMO 2023) | Phase II | Nivolumab ± Relatlimab ± Ipilimumab | Not specified | ORR | Active | Advanced or metastatic |
| NCT05651828 | Phase II | Vismodegib (different schedules) | Not specified | Tolerability | Active | Advanced |
| NCT05561634 (RADIOSONIC) | Phase II | Radiotherapy after response to Vismodegib | Not specified | Safety and clinical benefit | Active | Locally advanced |
| ARTACUS Trial | Phase I/II | RP1 (oncolytic HSV-1) | Not specified | Safety and efficacy | Active | Advanced |
| NCT05970497 | Phase I | KB707 (modified oncolytic HSV-1) | Not specified | Safety and tolerability | Active | Advanced or metastatic |
| NCT04272034 | Phase I | INCB099318 (oral PD-L1 inhibitor) | 32 | Safety and tolerability | Active | Advanced |
| NCT05592626 (START-001) | Phase I/II | STAR0602 (TCR-targeting bispecific) | Not specified | Safety and efficacy | Active | Advanced |
| NCT05651828 | Phase II | Adaptive therapy with Vismodegib | Not specified | Tolerability and safety | Active | Advanced |
| NCT05086692 | Phase I/II | CX-4945 | 13 | Safety and efficacy | Active | Advanced |
Disclaimer/Publisher’s Note: The statements, opinions and data contained in all publications are solely those of the individual author(s) and contributor(s) and not of MDPI and/or the editor(s). MDPI and/or the editor(s) disclaim responsibility for any injury to people or property resulting from any ideas, methods, instructions or products referred to in the content. |
© 2025 by the authors. Licensee MDPI, Basel, Switzerland. This article is an open access article distributed under the terms and conditions of the Creative Commons Attribution (CC BY) license (https://creativecommons.org/licenses/by/4.0/).
Share and Cite
Sergi, M.C.; Ambrogio, F.; Della Mura, M.; Sorino, J.; Cazzato, G. Basal Cell Carcinoma: An Old Friend with Multiple Faces. Cancers 2025, 17, 993. https://doi.org/10.3390/cancers17060993
Sergi MC, Ambrogio F, Della Mura M, Sorino J, Cazzato G. Basal Cell Carcinoma: An Old Friend with Multiple Faces. Cancers. 2025; 17(6):993. https://doi.org/10.3390/cancers17060993
Chicago/Turabian StyleSergi, Maria Chiara, Francesca Ambrogio, Mario Della Mura, Joana Sorino, and Gerardo Cazzato. 2025. "Basal Cell Carcinoma: An Old Friend with Multiple Faces" Cancers 17, no. 6: 993. https://doi.org/10.3390/cancers17060993
APA StyleSergi, M. C., Ambrogio, F., Della Mura, M., Sorino, J., & Cazzato, G. (2025). Basal Cell Carcinoma: An Old Friend with Multiple Faces. Cancers, 17(6), 993. https://doi.org/10.3390/cancers17060993

