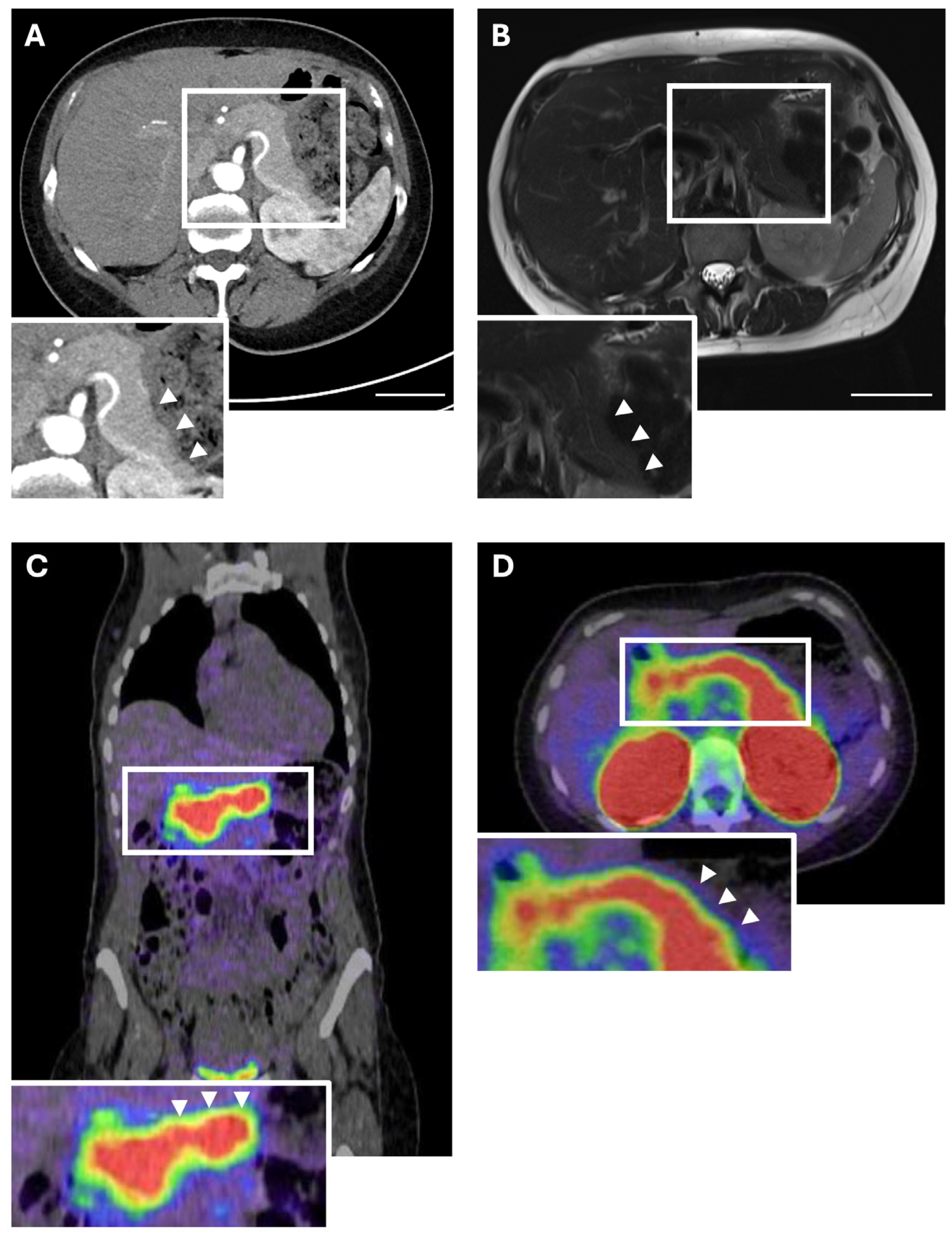
Share and Cite
Ritter, A.S.; Ockenga, F.; Steinkraus, K.C.; Poppinga, J.; Kroge, P.H.v.; Amin, T.; Viol, F.; Fründt, T.W.; Nickel, F.; Hackert, T.; et al. Minimally Invasive Resection of Occult Insulinomas—Experience from an ENETS Centre of Excellence and Review of the Literature. Cancers 2025, 17, 3857. https://doi.org/10.3390/cancers17233857
Ritter AS, Ockenga F, Steinkraus KC, Poppinga J, Kroge PHv, Amin T, Viol F, Fründt TW, Nickel F, Hackert T, et al. Minimally Invasive Resection of Occult Insulinomas—Experience from an ENETS Centre of Excellence and Review of the Literature. Cancers. 2025; 17(23):3857. https://doi.org/10.3390/cancers17233857
Chicago/Turabian StyleRitter, Alina S., Feline Ockenga, Kira C. Steinkraus, Jelte Poppinga, Philipp H. von Kroge, Tania Amin, Fabrice Viol, Thorben W. Fründt, Felix Nickel, Thilo Hackert, and et al. 2025. "Minimally Invasive Resection of Occult Insulinomas—Experience from an ENETS Centre of Excellence and Review of the Literature" Cancers 17, no. 23: 3857. https://doi.org/10.3390/cancers17233857
APA StyleRitter, A. S., Ockenga, F., Steinkraus, K. C., Poppinga, J., Kroge, P. H. v., Amin, T., Viol, F., Fründt, T. W., Nickel, F., Hackert, T., & Nießen, A. (2025). Minimally Invasive Resection of Occult Insulinomas—Experience from an ENETS Centre of Excellence and Review of the Literature. Cancers, 17(23), 3857. https://doi.org/10.3390/cancers17233857

