You are currently on the new version of our website. Access the old version .
CancersCancers
  • Review
  • Open Access

8 March 2024

Intraductal Carcinoma of the Prostate versus Simulants: A Differential Diagnosis Growing in Clinical Impact

and
1
Departments of Pathology and Division of Urology, Department of Surgery, VCU School of Medicine, VCU Massey Comprehensive Cancer Center, and Richmond Veterans Affairs Medical Center, Richmond, VA 23298, USA
2
Department of Pathology and Laboratory Medicine, University of North Carolina, Chapel Hill, NC 27599, USA
*
Author to whom correspondence should be addressed.
This article belongs to the Special Issue Intraductal Cancer of the Prostate (IDC-P): Diagnosis and Characterization

Simple Summary

Though intraductal carcinoma of the prostate has been observed and recognized for years, more recently this process has emerged, to become simultaneously both a consensus, major prognostic factor and controversial parameter as relates to potential impact on the histologic grading in prostate cancer. Due to the increasing incorporation of intraductal carcinoma into risk stratification approaches and management considerations in this disease, the differential diagnoses of this lesion have become of increasing importance. Herein, we review the background of recognition of and evolution of the criteria for intraductal carcinoma, emphasizing its differential diagnoses, both neoplastic and non-neoplastic. We furthermore recommend useful immunohistochemical markers to help correctly recognize and diagnose this key process.

Abstract

Despite its first recognition even longer ago, in the past nearly 20 years, intraductal carcinoma of the prostate has become a standard histopathologic reporting parameter conveying a strong negative prognostic factor for prostatic adenocarcinoma. When seen at biopsy, intraductal carcinoma of the prostate is associated with risk for aggressive prostatectomy outcomes, including frequently high-grade, high-stage, high-volume disease, with increased risk for recurrence and progression. Multiple organizations, including the uropathology subspecialty societies to the World Health Organization, recognize and recommend reporting the presence of intraductal carcinoma, whether sampled in “pure” form or present with concomitant invasive adenocarcinoma. Moreover, emerging scholarship relates intraductal carcinoma to higher prevalence of homologous recombination repair deficiency mutations in prostatic adenocarcinoma, whether somatic or germline, which serve as indications for approved targeted therapies. Taken together, this is a diagnosis for the histopathologist not to miss. In view of these elevated stakes and the opportunity to further precision medicine, this review details neoplastic and non-neoplastic simulants in the differential diagnosis of intraductal carcinoma of the prostate.

1. Introduction

The phenomenon now known as intraductal carcinoma of the prostate has likely been observed in a subset of cases for as long as the diagnostic histopathology of prostatic adenocarcinoma has been reviewed by surgical pathologists. It is generally acknowledged that one of the earliest descriptions of cancerization of pre-existing ducts of the prostate by prostatic adenocarcinoma was by Kovi et al. in Cancer in 1985 [1]. This remarkable report built on relatively recent descriptions of how cancer cells can invade ducts in a retrograde fashion from their peripheral stromal interface, to characterize the mechanism of ductal spread in prostate cancer. Even more remarkably, in an era before immunohistochemistry, by light microscopic criteria and histochemical stains, the authors not only described this phenomenon but attempted to delineate its relative prevalence (which they estimated at nearly half of cases, whether of prostatectomies or transurethral resections). It remains striking that they even identified that “ductal spread” was statistically significantly proportional to the “local extent” (which they defined as cancer volume estimated by proportion of resected tissue fragments involved by cancer). They observed its association with Gleason grade as well, though in multivariate analysis, local extent appeared more strongly correlated to grade (though extent and grade were also both tight covariates). They further characterized three patterns of duct involvement, by retrograde “microinvasion” through the epithelial basement membrane, “permeation” where basement membrane integrity was somewhat preserved, and “extension in continuity”, where carcinoma was seen proliferating within and between the luminal surface cells and basal cells. While the described phenomena likely included what we would now designate as high-grade prostatic intraepithelial neoplasia (HGPIN), atypical intraductal proliferations suspicious for intraductal carcinoma, and intraductal carcinoma itself, this scholarship was remarkable in its anticipation of the future direction of the field.
Additional descriptions by McNeal followed one year later, where cribriform adenocarcinoma was described as “in most cases…predominantly intraductal” and associated with a higher proportion of Gleason pattern 4 and 5 areas [2]. This report further included description of cribriform carcinoma as frequently “representing intraductal carcinoma”. The same author further studied “duct lumen-spanning” lesions, separating them from “dysplasia”, as HGPIN was termed at the time, in an additional report in 1996 [3]. In this later report, for the first time intraductal carcinoma (as well as pattern 4 and 5 cancer and perineural spread) was related to post-prostatectomy biochemical recurrence, even beyond prostatectomy findings such as extracapsular extension and surgical margins. Quite presciently, McNeal and Yemoto postulated that intraductal carcinoma may have a “unique biologic significance” reflective of capacity for extensive spread within ducts, among other parameters of aggression [3]. The phenomenon of intraductal carcinoma continued to be studied episodically under various names and from varied perspectives through the turn of the millennium [4,5,6,7,8].
A rapid growth in interest in intraductal carcinoma of the prostate was triggered by an influential biopsy-based study published in 2006 by Guo and Epstein [9]. In this study, the diagnostic histopathologic features, and the clinical outcomes of a cohort of 27 pure intraductal carcinomas detected at prostatic needle core biopsy (and proven as intraductal through the use of basal cell marker immunohistochemistry) were examined, and a remarkably useful set of criteria were proposed. Specifically, they defined these lesions as a proliferation of malignant epithelial cells, filling large acini and ducts with preserved basal cells, showing either a solid or dense cribriform pattern, or, absent these, a loose cribriform or micropapillary pattern if present with either marked nuclear atypia (nuclear size > 6-fold the size of a normal nucleus) or with comedonecrosis. When available prostatectomy outcomes were assessed for such lesions, Gleason score 8 or 9 carcinoma was always present, as was, in the majority, extraprostatic extension. Bone metastasis was identified among three of sixteen cases which were not treated with resection. The authors interpreted these findings as documenting an important new biopsy diagnosis, tightly associated with clinically significant, often aggressive, disease. Moreover, they recommended that when encountered prospectively in the biopsy setting, definitive treatment should be considered even without documentation of invasive carcinoma.
Subsequent scholarship, including a larger cohort focusing on prostatectomy outcomes [10], supported this recommendation. Moreover, when in the presence of invasive carcinoma, numerous reports and even systematic reviews have subsequently documented that intraductal carcinoma is a significant negative prognostic factor [11,12,13,14,15,16,17]. Based on this scholarship, intraductal carcinoma has become a recommended reporting parameter, since the 2014 International Society of Urological Pathology (ISUP) Consensus [18], and recognized for the first time as an entity by the World Health Organization in 2016 [19], a category maintained in the current 5th Edition Classification [20]. Subsequent ISUP [21] and Genitourinary Pathology Society (GUPS) [22] recommendations have further supported reporting intraductal carcinoma, whether encountered in “pure” form without invasive cancer, a scenario where neither group recommends assigning it a grade. When encountered with concomitant invasive carcinoma, the groups differ in recommendation [23,24] over whether to include the non-invasive pattern seen within the ducts in grade assignment for the invasive carcinoma. This difference in practice reflects significantly different perspectives on the appropriateness of this non-invasive lesion contributing to grade assignment (for example [25]) and significant interobserver practice differences in criteria, grading, and immunostain utilization that we [26] and others [27] have observed. We posit that prospective scholarship should be the solution to these conundrums.
More relevant to the differential diagnosis of intraductal carcinoma, the criteria for diagnosis of intraductal carcinoma have evolved significantly if marginally from those described in 2006 [9], which had been echoed in the 2016 WHO Classification [19]. Subsequent criteria discussed in an influential review addressed the definition of the “density” of the intraductal proliferation, discussing a 70% cutoff for the ratio of intraductal neoplastic cells versus empty space [28], while most recently the GUPS 2019 White Paper espoused a somewhat looser criterion of at least a 50% ratio of epithelium to glandular spaces to consider an intraductal proliferation “dense”. GUPS recommended an overall criterion stating “dense cribriform glands and/or solid nests and/or marked pleomorphism/necrosis. Dense cribriform glands are defined as 50% of the gland composed of epithelium relative to luminal spaces” [22]. This somewhat lower threshold for diagnosis nonetheless came with the recommendation to regard cases hovering at around a 50% ratio of epithelial proliferation to luminal white space as “atypical intraductal proliferation” and suspicious for but not diagnostic of intraductal carcinoma. Lastly, the most recent WHO Classification parses the diagnostic criteria for intraductal carcinoma into essential and desirable features, as per the edition’s convention across entities [20]. The chapter on intraductal carcinoma specifies the essential criteria of “expansile epithelial proliferation in the pre-existing duct-acinar system; lumen-spanning solid, cribriform, and/or comedo patterns; loose cribriform or micropapillary patterns with enlarged pleomorphic nuclei; residual basal cells” and the desirable criterion of immunohistochemistry demonstrating at least partial basal cell retention. Indeed, the retention of basal cells can be variable or focal in different examples of intraductal proliferations [29]. In any case, the issue of atypical intraductal proliferations falling short of criteria for intraductal carcinoma concerns one of the important differential diagnoses discussed, as discussed below.
One additional area where data are lacking and criteria are somewhat limited concerns the marked propensity of the ductal subtype of prostatic adenocarcinoma to spread intraductally [30]. Ductal adenocarcinoma, which is defined histomorphologically, perhaps most specifically, cytologically, exhibits tall columnar cells with a pseudostratified epithelial arrangement, elongate nuclei with prominent nucleoli and frequent mitosis, and true, complex papillary and cribriform architecture. Specifically, in many areas of sections of classic ductal adenocarcinomas, especially those arising in the gland centrally in a periurethral distribution involving ducts, basal cells are frequently detectable by immunohistochemistry for markers such as 34βE12, a phenomenon which may simulate high grade prostatic intraepithelial neoplasia in biopsies [31]. This phenomenon is well characterized in the literature regarding prostatic ductal adenocarcinoma itself, case series of which contend that >90% of well characterized prostatectomy samples of ductal adenocarcinoma exhibit intraductal growth patterns as a component [32]. That said, surprisingly, despite the current emphasis on intraductal carcinoma, recent society consensus and WHO classifications have not comprehensively addressed the conceptual and verbal conundrum of “intraductal ductal”. Perhaps most usefully, the 2019 GUPS White paper, noted the existence of cases of intraductal carcinoma with this pattern, recommending the term intraductal carcinoma of the prostate “with ductal morphology” for when such a scenario is encountered [22], and acknowledging the limited data on the relative prevalence of this finding among biopsy cases of intraductal carcinoma.
As bears on the stakes of the differential diagnosis of intraductal carcinoma of the prostate, a brief consideration of the most direct clinical implications of this diagnosis is warranted. Given the very strong association of intraductal carcinoma with aggressive cancer outcomes, it is somewhat unexpected that it is not a direct contributor to the initial risk stratification or treatment pathway guidelines of the United States National Comprehensive Cancer Center Network (NCCN) [33] nor American Urological Association (AUA) [34]. At most, the NCCN mentions that nomograms have been published using intraductal carcinoma and other features that outperform the NCCCN risk groups; the AUA guidelines simply state intraductal carcinoma is a feature for discussion when counseling a patient [34]. In contrast, the current intersociety guidelines led by the European Association of Urology (EAU) [35], building on a recent consensus [36] on criteria for deferred active treatment (i.e., active surveillance and related approaches), explicitly exclude patients with intraductal carcinoma from active surveillance. In contrast, the most explicit recommendation stemming from a diagnosis of intraductal carcinoma in the NCCCN guidelines is for consideration of germline genetic testing for patients [33], echoed also by the AUA for intermediate risk patients [34].
A developing body of work, albeit one with several contradictory findings, has suggested that intraductal carcinoma is enriched for increased prevalence of pathogenic variants in DNA repair pathways, especially homologous recombination repair (HRR) deficiency. Genes in this pathway include (at least) BRCA1, BRCA2, ATM, CHEK2, PALB2, FANCA, RAD51B, and BRIP. At present, it is unclear whether the mutations seen are more frequently germline or somatic, and whether intraductal carcinoma is a specific marker of HRR deficiency or simply prevalent among advanced/aggressive cancers where HRR deficiency also is prevalent (and studied for treatment purposes) [37,38,39,40,41,42,43]. In any case, in advanced or metastatic prostate cancers, the prevalence of germline or somatic HRR mutations has been estimated at 20% [44] and may approach 30% in some cohorts [45] depending on selection. From the standpoint of intraductal carcinoma differential diagnosis, suffice it to say that if diagnosed, the treating oncology team may consider the patient particularly appropriate for either germline or somatic comprehensive genomic profiling.

2. Neoplastic Simulants of Intraductal Carcinoma

2.1. High-Grade Prostatic Intraepithelial Neoplasia

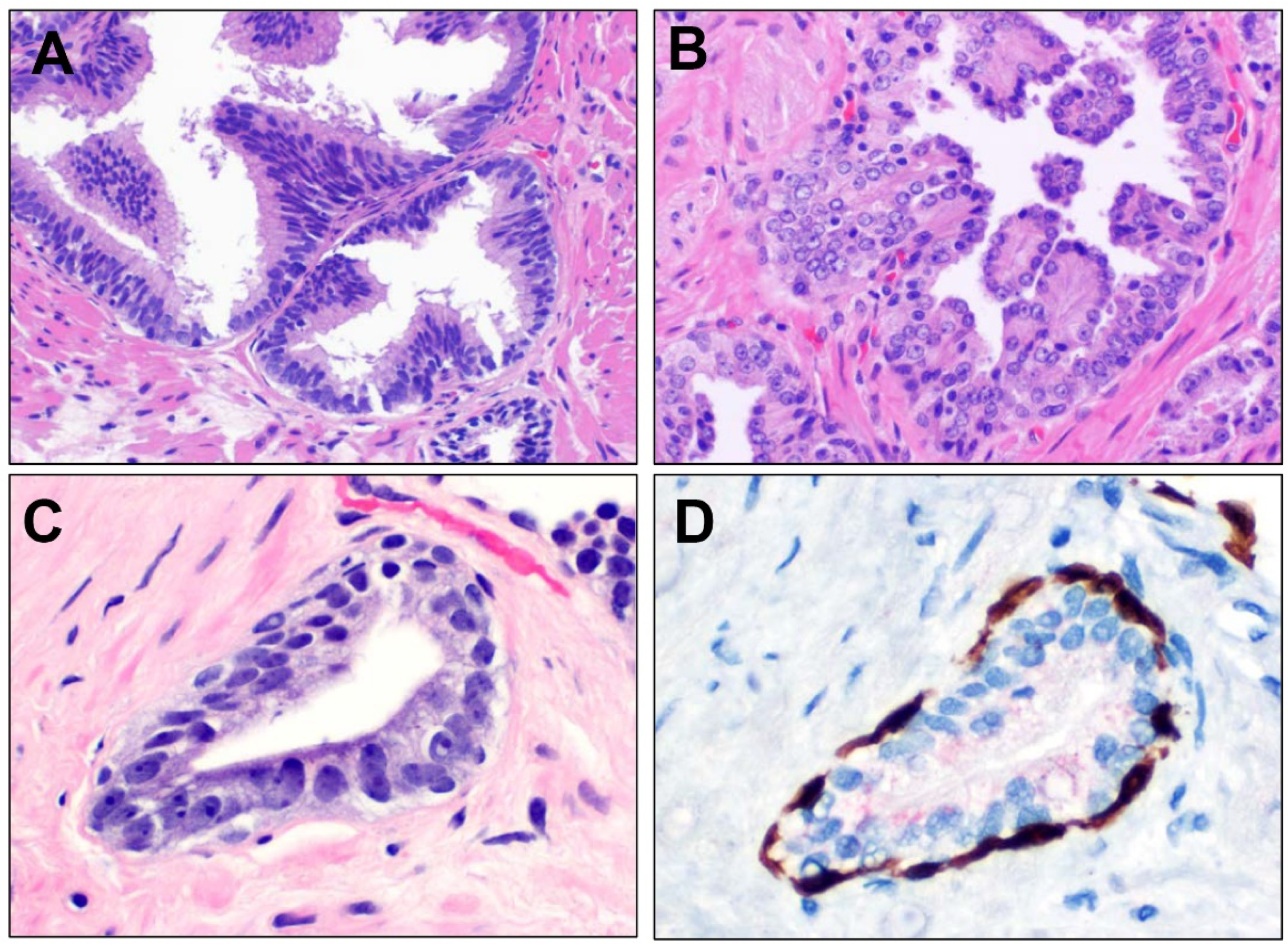
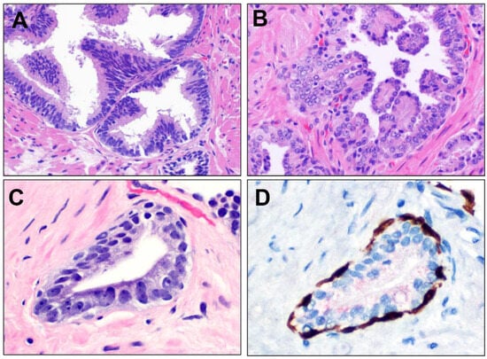
High-grade Prostatic Intraepithelial Neoplasia (HGPIN) is regarded as a non-obligate, non-invasive precursor of acinar subtype prostatic adenocarcinoma [46,47]. HGPIN is characterized by intra-acinar proliferation of neoplastic but pre-malignant luminal cells exhibiting nuclear atypia, including nucleomegaly and nucleolar prominence, but is nonetheless bounded by basal cells. Interobserver reproducibility studies have suggested that “for a diagnosis of HGPIN, atypical glands should be evident at scanning magnification, typically as architecturally complex glands with hyperchromasia that stand out from the benign glands. Confirmation of HGPIN is made by examining the glands at 20× magnification to confirm the presence of conspicuous nucleoli in the luminal cells” [48]. HGPIN may variably demonstrate tufted, micropapillary, and flat patterns, as well as an unusual “inverted” pattern (Figure 1).
Figure 1. Patterns of high-grade prostatic intraepithelial neoplasia (HGPIN). (A) Classic examples of HGPIN demonstrate a tufted appearance, with areas of focal accentuation of pseudostratified columnar luminal epithelial cells showing atypia in the form of nucleomegaly, nuclear hyperchromasia, and nucleoli (200×). (B) An infrequent pattern of HGPIN is that of inverted HGPIN, where an acinus is involved by a neoplastic epithelium with a tufted or micropapillary configuration, but where the nucleoli are located adluminally, lifted off the basement membrane, rather than more basally (200×). (C) Flat HGPIN is a less prevalent pattern where a flat, lower cuboidal atypical epithelium is present, rather than the usual tall, columnar cells, with tufted or micropapillary architecture. This pattern is principally notable due to its potential simulation of invasive carcinoma (400×). (D) As is the case for all HGPIN variants, in flat HGPIN, positive staining for basal cells (p63 nuclear/HMWCK cytoplasm, brown chromogen) and variable overexpression of AMACR (red chromogen) can readily be demonstrated by multiplex immunohistochemistry (400×).
Of note, the previously described “cribriform” pattern of HGPIN is no longer diagnosed, given that it represents either an atypical intraductal proliferation that is at least suspicious for intraductal carcinoma, or, in the presence of sufficient atypia, intraductal carcinoma itself. Because HGPIN is itself benign, and, when encountered at biopsy, only associated with a very mildly elevated risk of adenocarcinoma on subsequent biopsy [49,50,51], its distinction from an aggressive pattern of disease such as intraductal carcinoma is of paramount importance. Qualitative features favoring HGPIN and against consideration of intraductal carcinoma include the smaller size of the focus involved (similar to adjacent/unequivocally benign acini), smooth peripheral contours, lack of expansion and or branching of the acinus by the epithelial proliferation, lower degree of nuclear atypia, lack of mitosis, lack of comedonecrosis, lack of associated invasive adenocarcinoma, and more extensive preservation of basal cells. Immunohistochemistry also has a role in this context, beyond the ability to prove preservation of basal cells; isolated HGPIN expressing ERG is distinctly unusual [52], while, perhaps more usefully, retention of PTEN staining is nearly always present [52,53,54,55] (Figure 2).
Figure 2. Conventional HGPIN immunophenotype. (A) A focus of HGPIN demonstrates at low power larger nuclei and hyperchromatic amphophilic cytoplasm (lower half field) as compared to atrophic ducts and acini (upper half of the field) (100×). (B) Retained expression of p63 nuclear/HMWCK cytoplasmic positive peripheral basal cells (brown chromogen) is characteristic, as frequently is overexpression of AMACR (red chromogen) (100×). (C) Recent studies have established that HGPIN retains expression of PTEN (brown chromogen, cytoplasmic and membranous expression), which is distinctive in the differential diagnosis versus intraductal carcinoma (100×).

2.2. Atypical Intraductal Proliferation

Several names have been used to refer to intraductal epithelial proliferations that are worrisome, with findings beyond that allowable in HGPIN, but where diagnostic criteria for intraductal carcinoma are not met. These include atypical cribriform proliferation, atypical intraductal cribriform proliferation, low-grade intraductal carcinoma, and even atypical proliferation suspicious for intraductal carcinoma, as reviewed recently in the 2019 GUPS White Paper [22] on grading prostate cancer. In fact, atypical intraductal proliferation (AIP) is the recommended term, given that it subtends the full morphologic spectrum of patterns, beyond the common cribriform pattern; this term is noted to be preferred in the 5th Edition WHO classification [20]. While an AIP may be diagnosed in principle based on a suspicious intraductal focus showing deficiency of any of the required criteria for diagnosis of intraductal carcinoma [29,54,56,57,58,59], it is thought that most such cases demonstrate a pattern of intraluminal cribriform growth that is not solid or dense enough for a definitive designation [56]. In any case, these lesions show features that closely recapitulate intraductal carcinoma [54,58,60,61], such that authors recommend immediate rebiopsy [54,58]. Given that the term is still less widely understood by clinicians, when used, an explanation of the “suspicious for but not definitive for” intraductal carcinoma is recommended in a comment, and immediate rebiopsy and/or imaging guided rebiopsy recommended from a management standpoint. While by definition a combination of routine H&E and basal cell marker immunostains are sufficient for diagnosis, immunohistochemistry for PTEN also appears to be useful, with regards to the differential diagnosis with HGPIN [47,52,54], given its retained expression in HGPIN and frequent loss in both AIP and intraductal carcinoma [54,58] (Figure 3). Table 1 briefly summarizes the immunohistochemical biomarkers used in this differential diagnosis, alongside those relevant for the foregoing and subsequent entities described.
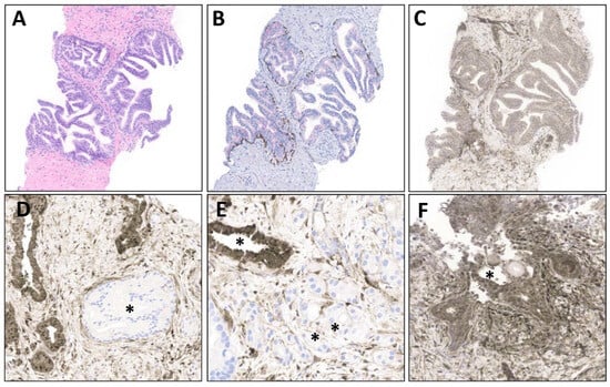
Figure 3. The role of PTEN in the differential diagnosis of florid HGPIN and atypical intraductal proliferations (AIPs). (A) A focus showing three tangentially sectioned acini of florid HGPIN raises consideration of atypical intraductal proliferations due to the density and complexity of the epithelial proliferations (40×). (B) The intraductal nature of these three HGPIN acini is confirmed with p63 nuclear/HMWCK cytoplasmic (brown chromogen) peripheral basal cell staining, with mild overexpression of AMACR (red chromogen) (40×). (C) This focus demonstrates retained PTEN expression (brown chromogen), favoring interpretation as florid HGPIN rather than AIP or intraductal carcinoma (40×). (D) In contrast, this dense, lumen spanning, but unusually small intraductal focus (asterisked) shows loss of expression of PTEN (brown chromogen) in the lesional cells, with internal positive control benign ductal cells (left) strongly positive, favoring interpretation as an AIP (200×). (E) An anatomically adjacent core biopsy to the site of (D) demonstrates invasive carcinoma, also PTEN negative (double asterisk, right lower field), as compared to strongly retained expression in benign adjacent ducts (single asterisk). Carcinoma, particularly higher grades, shows frequent loss of PTEN (200×). (F) PTEN is also strongly retained in this reactive/metaplastic ductal focus (asterisk), where inflammation might simulate necrosis and induce reactive nuclear atypia (200×).
Table 1. Immunohistochemical (IHC) biomarkers in entities 1 in the differential diagnosis of intraductal carcinoma of the prostate.

2.3. High-Grade Invasive Adenocarcinoma Patterns

High-grade patterns of prostatic adenocarcinoma may simulate intraductal carcinoma due to the overlapping morphologies present, including invasive solid, cribriform, and comedonecrosis patterns. Firstly, significant recent scholarship suggests that comedocarcinoma is quite frequently but not exclusively a pattern of intraductal carcinoma [67,68], a scenario where basal cell marker immunohistochemistry frequently must be performed for definitive classification as intraductal or invasive. Certainly, solid Gleason pattern 5 invasive adenocarcinoma, if showing rounded contours, may also raise consideration of the solid pattern of intraductal carcinoma. Perhaps the most challenging differential diagnosis with intraductal carcinoma is invasive cribriform adenocarcinoma. Cribriform carcinoma has been recognized as a pattern of invasive prostatic adenocarcinoma, going back to Gleason’s original description and modifications [69,70,71,72], while the 2005 ISUP consensus largely reallocated this pattern to Gleason pattern 4 (at least if large or irregularly circumscribed) [73]. While earlier scholarship had identified the potential for cribriform growth to signal aggressive behavior in prostate cancer [2,3]. However, more recent scholarship from cases diagnosed post-ISUP 2005 provided strong evidence that large and small cribriform growth patterns were independently associated with risk of post prostatectomy biochemical failure [74]. In the ensuing several years after this work, a significant number of studies identified cribriform pattern as a key and often independent prognostic factor [16,75,76,77,78,79,80], as reviewed recently [60,81], and further supported by a contemporary systematic review and meta-analysis [82]. Consistent with this experience, both GUPS [22] and ISUP [21] agreed in 2019 that reporting cribriform pattern of growth is requisite at biopsy and prostatectomy, which is echoed by the 5th Edition WHO [20]. Moreover, ISUP has promulgated a standardized definition of the cribriform growth pattern: “a confluent sheet of contiguous malignant epithelial cells with multiple glandular lumina that are easily visible at low power (objective magnification ×10). There should be no intervening stroma or mucin separating individual or fused glandular structures” [83].
Of note, only a subset of the studies of cribriform growth pattern have specified or specifically assayed whether the pattern seen and assessed prognostically was intraductal or not. Similarly, neither of the societies’ reporting guidelines, nor the ISUP recommended standardized diagnostic criteria for “cribriform”, specifies whether the pattern seen should be invasive or intraductal for recommended reporting purposes. Certainly, from the standpoint of the most salient difference between GUPS and ISUP 2019 recommendations, this is an important issue if employing the GUPS convention not to grade the non-invasive cribriform component [24]. Fortunately, aside from the question of whichever grading and reporting convention is used, resolution of the differential diagnosis of intraductal carcinoma with a cribriform pattern versus invasive cribriform patterns of carcinoma is readily addressed by contemporary basal cell markers or PIN cocktails.

2.4. Cancerization of Prostatic Ducts by Urothelial Carcinoma

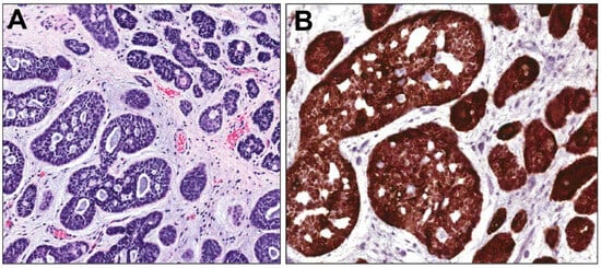
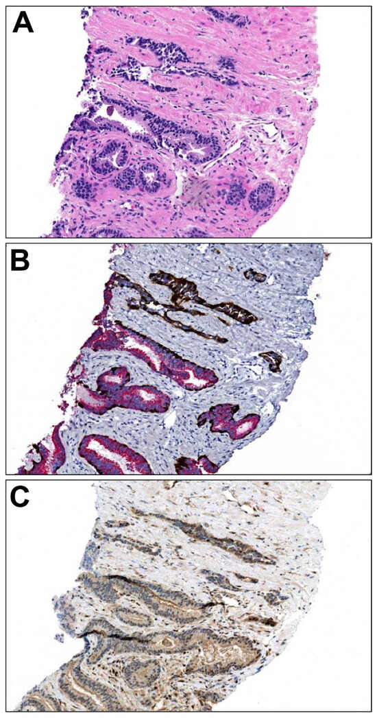
Significant recent scholarship has investigated the patterns of disease, differential diagnosis, and staging implications of urothelial carcinoma and its involvement of the prostate. For context, it bears consideration that the staging of urothelial carcinoma regarding its involvement of the prostate gland was changed in the 8th Edition AJCC staging manual [84] to distinguish between direct invasion of urothelial carcinoma through the wall of the bladder into the prostate versus secondary spread into the prostate through extension along the urethra. Specifically, invasion out of the wall of the bladder and then into the prostate is staged as pT4a with respect to the bladder primary, conveying a worse prognosis. When urothelial carcinoma in situ extends along the urethral mucosal surface and into prostatic ducts, it is staged using a separate urethral scheme as either pTis (non-invasive); pT1, invading subepithelial stroma at the urethral surface; or pT2 if invading the deeper prostatic stromal parenchyma. Either way, these patterns of secondary involvement of the prostate through urethral extension are staged and synoptically reported separately as urothelial carcinoma involving the prostate, and each of these stages are prognostically more favorable than direct pT4a from the bladder [85]. Very recent evidence [86] suggests that complete sampling of the prostate in cystoprostatectomy cases may detect significantly more ductal and acinar cancerization by urothelial carcinoma as compared to a more minimalist sampling of the prostate, while incidental insignificant and significant prostatic adenocarcinoma were also more frequently detected. Thus, urothelial carcinoma with in situ cancerization of prostatic ducts may simulate intraductal carcinoma with a solid growth pattern (Figure 4).
Figure 4. Cancerization of prostatic ducts by urothelial carcinoma. (A) In this focus from a transurethral resection of the prostate, urothelial carcinoma in situ has cancerized and expanded a periurethral gland duct. The dense, lumen spanning pattern and nuclear atypia might raise consideration of intraductal carcinoma (200×). (B) Multiplex PIN cocktail staining (p63 nuclear/HMWCK cytoplasmic, brown chromogen; AMACR red chromogen) can easily distinguish urothelial carcinoma in situ involving prostatic ducts because of its characteristic p63/HMWCK double positive and AMACR variable expression pattern. This phenotype is distinctive from the p63/HMWCK negative and AMACR positive phenotype of intraductal carcinoma (200×).
Fortunately, the question of the use of immunohistochemistry for the differential diagnosis of urothelial and prostatic adenocarcinoma has been addressed in detail, including with best practices recommendations promulgated by ISUP [62,63]; urothelial carcinoma frequently expresses p63, HMWCK, CK5/6, GATA3, and CK7, along with Uroplakins, which are all negative in prostatic luminal neoplasms excepting rare prostatic adenocarcinomas with aberrant p63 expression [87,88]. When applied, contemporary prostatic markers such as NKX3.1 and p501S are negative in urothelial carcinoma [89,90]. Specifically, these standard markers remain useful whether considering invasive or intraductal prostatic and urothelial neoplasms. Pertinent to this differential diagnosis discussion is also one caveat, that GATA3 often stains the basal cells of the prostate, especially in the setting of atrophy and post radiation [91,92], while very recent scholarship has indicated D2-40 as a marker of prostatic basal cells that (unlike p63, p40, CK5/6, or HMWCK) is negative in both urothelial carcinoma and intraductal carcinoma of the prostate. This marker may have a role in interpretation of invasiveness in this setting [64]. The stakes of this differential diagnosis are quite significant, especially in the biopsy setting, given the marked differences in the management of urothelial carcinoma versus prostatic adenocarcinoma [93]. It is prudent that any high grade, solid proliferation without evidence of usual acinar prostatic adenocarcinoma should be evaluated with a limited panel of urothelial and prostate markers to confirm the histologic impression of origin.

2.5. Adenoid Cystic (Basal Cell Carcinoma) of the Prostate

A potential additional neoplastic simulant of intraductal carcinoma, whether with respect to solid or cribriform growth pattern, is adenoid cystic (basal cell) carcinoma of the prostate gland. This tumor is characterized by variably-sized, infiltrative nests showing either a cribriform (adenoid cystic pattern) or solid (basal cell carcinoma pattern) architecture and composition by small cells with limited cytoplasm and high nuclear to cytoplasmic ratios. Like other basaloid neoplasms, a peripheral palisading of cells at the stromal interface may be apparent. These tumors were recently re-renamed in the 5th Edition WHO classification as adenoid cystic carcinoma, reflecting MYB::NFIB fusions identified among a significant subset (especially those with cribriform morphology), as seen in adenoid cystic carcinomas of the salivary glands and other anatomic sites [65,94] (Figure 5). Fortunately, in the differential diagnosis with intraductal carcinoma of the prostate, these tumors express basal cell markers (e.g., p63, HMWCK, p40, especially diffusely at the periphery of the nests, and are negative for luminal cell and neoplastic luminal cell markers such as AMACR and PSA. One immunohistochemical caveat is that loss of expression of PTEN (an aforementioned feature of intraductal carcinoma) has been characterized in these tumors [66]. Given the rarity of adenoid cystic carcinoma of the prostate, treatment guidelines are not well established, though in light of the frequent aggression of these tumors, including extraprostatic extension and propensity for metastasis, at least aggressive local control is indicated [95,96,97]. The importance of this differential diagnosis is highlighted by a recent review of published reported treatments of this entity, which generally document lack of response to treatments directed at conventional prostatic adenocarcinoma, including androgen deprivation therapy, and instead favor aggressive local surgery with consideration of adjuvant radiotherapy [98].
Figure 5. Adenoid Cystic (Basal Cell) Carcinoma of the prostate. (A) Adenoid cystic carcinoma of the prostate demonstrates an infiltrative neoplasm with solid (basal cell pattern, upper right) or cribriform (adenoid cystic pattern, lower left) growth, composed of cells with high nucleocytoplasmic ratios. These patterns might engender consideration of solid or cribriform intraductal carcinoma (100×). (B) By multiplex PIN cocktail staining, adenoid cystic carcinoma shows diffuse nuclear p63 and cytoplasmic HMWCK (both brown chromogen), while AMACR (red chromogen) is negative (200×).

3. Non-Neoplastic Simulants

Benign, Metaplastic, and Hyperplastic Processes

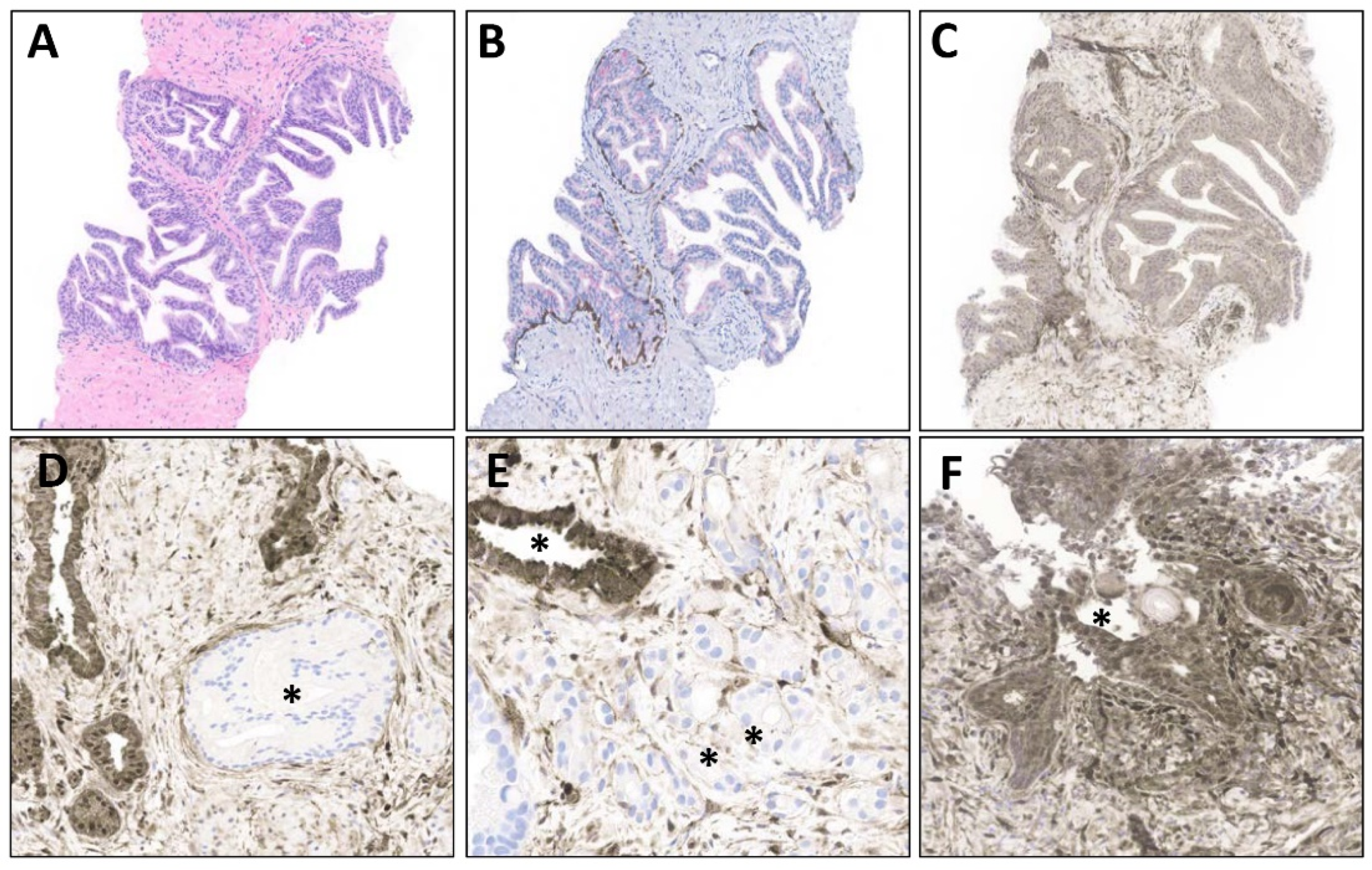
Finally, several benign processes, including normal histoanatomic variations, may produce structures, solid and cribriform, that can simulate intraductal carcinoma. In general, across this category, the issue is architectural simulation of intraductal carcinoma, principally benign basal-cell lined processes that simulate the characteristic dense, lumen-spanning features of intraductal carcinoma. Thus, it is the issue of cytologic atypia that is the best distinguishing factor between these processes and intraductal carcinoma. Firstly, particularly in the base of the prostate, the central zone, architecturally complex, even cribriform benign glands may simulate intraductal carcinoma, though overall the maximum atypia expected and density of the proliferation seen is more in the range of HGPIN than necessarily intraductal carcinoma [99]. Additionally, in the region of the verumontanum, architecturally complex seromucinous glands may impart a density and degree of epithelial complexity, again residing in basal cell-lined acini and ducts, that could raise consideration of carcinoma, including intraductal carcinoma, in a limited or needle biopsy sample [100,101].
Given the often-expanded appearance of the ducts and acini involved by intraductal carcinoma, perhaps some of the most challenging entities in the benign differential diagnosis are hyperplasia, or metaplasia, especially exuberant examples (Figure 6). Clear cell cribriform hyperplasia, as a classic simulant of cribriform Gleason pattern 4 invasive adenocarcinoma, might be considered an even more apt simulant of cribriform intraductal carcinoma, given the presence of basal cells. The lack of admixed invasive adenocarcinoma, lower degree of atypia, and frequently less pronounced AMACR expression are distinguishing vis a vis intraductal carcinoma. Basal cell hyperplasia may also show a florid solid or cribriform pattern that might be taken to simulate intraductal carcinoma [97,102]. Moreover, various metaplastic changes, particularly if florid or arising in hyperplastic processes, may also simulate solid or cribriform intraductal carcinoma patterns. These include solid patterns of urothelial or even squamous metaplasia. Certainly, neither of these metaplastic patterns should present the degree of atypia (including nuclear size and nucleolar prominence) generally present in intraductal carcinoma of the prostate. Squamous and urothelial metaplasia both also exhibit a p63/p40 and HMWCK positive immunophenotype, while negative for PSA, AMACR, NKX3.1, and p501S, unlike intraductal carcinoma. Given that intraductal carcinoma is widely regarded as a clinically significant and clinically actionable pattern of carcinoma, the importance of not mislabeling one of these benign processes as intraductal carcinoma is manifest.
Figure 6. Benign processes that may simulate intraductal carcinoma. (A) Clear cell cribriform hyperplasia shows a pattern of exuberant, benign growth demonstrating cribriform, arching, and Roman bridges-like architecture, occurring with some frequency in the base/central zone of the prostate. Fortunately, the degree of nuclear atypia seen in such foci is very mild, most unlike intraductal carcinoma and cribriform invasive carcinoma (200×). (B) Basal cell hyperplasia with urothelial metaplasia, frequently present in varying proportions together, may simulate the dense solid pattern of intraductal carcinoma, and may show a branching configuration reminiscent of the branching patters of ducts expanded by intraductal carcinoma. The uniformity of the hyperplastic nuclei, the “streaming” look of spindled cells, and the lack of nuclear atypia beyond grooves, are distinctive from intraductal carcinoma (200×).

4. Conclusions

The accurate diagnosis of intraductal carcinoma of the prostate based on its features of lumen-spanning proliferation expanding ducts and acini with atypical cells requires knowledge of its simulants. This review covers the most common pre-neoplastic, malignant, and benign histopathologic mimics of intraductal carcinoma that may introduce difficulty in the diagnosis. The recognition of intraductal carcinoma as a negative prognostic marker has been well-established over the past several decades, leading to development of refined diagnostic criteria and inclusion in reporting schemata. While its diagnostic importance is generally agreed upon, the convergence of accelerated clinical and translational study and widespread clinician awareness [103] of intraductal carcinoma have raised grading related controversy [25] in prostate cancer diagnosis and reporting that is still being argued. While the grading controversy [24] might be subsumed with new histologic stratification systems independent of the Gleason grading heritage and context, at minimum future studies must address the fundamental question of whether biologic and prognostic aspects are defined by the pattern (solid, comedocarcinoma, or cribriform) or the distinctiveness of ductal cancerization reflected in histology. Biomarkers may assist in this regard, especially regarding the emerging conundrum of bona fide, molecularly unique non-invasive precursor-type intraductal carcinomas, unassociated with invasive carcinoma [29,104,105]. Until such a time, we recommend closely following the recommendations of the WHO regarding reporting intraductal carcinoma in all cases, as well as disclosure of whether GUPS or ISUP recommended grading practices are employed when associated with invasive carcinoma.

Author Contributions

Conceptualization, S.C.S. and S.E.W.; literature review, S.C.S. and S.E.W.; writing—original draft preparation, S.C.S.; writing—review and editing S.C.S. and S.E.W. All authors have read and agreed to the published version of the manuscript.

Funding

This research received no external funding.

Conflicts of Interest

The author (S.C.S.) reports royalties for Consulting and Authorship from Elsevier Publishing/Amirsys. The author (S.E.W.) reports royalties for Authorship from Wolters Kluwer.

References

  1. Kovi, J.; Jackson, M.A.; Heshmat, M.Y. Ductal spread in prostatic carcinoma. Cancer 1985, 56, 1566–1573. [Google Scholar] [CrossRef]
  2. McNeal, J.E.; Reese, J.H.; Redwine, E.A.; Freiha, F.S.; Stamey, T.A. Cribriform adenocarcinoma of the prostate. Cancer 1986, 58, 1714–1719. [Google Scholar] [CrossRef]
  3. McNeal, J.E.; Yemoto, C.E. Spread of adenocarcinoma within prostatic ducts and acini. Morphologic and clinical correlations. Am. J. Surg. Pathol. 1996, 20, 802–814. [Google Scholar] [CrossRef]
  4. Cohen, R.J.; Chan, W.C.; Edgar, S.G.; Robinson, E.; Dodd, N.; Hoscek, S.; Mundy, I.P. Prediction of pathological stage and clinical outcome in prostate cancer: An improved pre-operative model incorporating biopsy-determined intraductal carcinoma. Br. J. Urol. 1998, 81, 413–418. [Google Scholar] [CrossRef]
  5. Epstein, J.I.; Yang, X.J. Prostate Biopsy Interpretation, 3rd ed.; Lippincott Williams & Wilkins: Philadelphia, PA, USA, 2002; Volume xiii, 304p. [Google Scholar]
  6. Wilcox, G.; Soh, S.; Chakraborty, S.; Scardino, P.T.; Wheeler, T.M. Patterns of high-grade prostatic intraepithelial neoplasia associated with clinically aggressive prostate cancer. Hum. Pathol. 1998, 29, 1119–1123. [Google Scholar] [CrossRef]
  7. Cohen, R.J.; McNeal, J.E.; Baillie, T. Patterns of differentiation and proliferation in intraductal carcinoma of the prostate: Significance for cancer progression. Prostate 2000, 43, 11–19. [Google Scholar] [CrossRef]
  8. Rubin, M.A.; de La Taille, A.; Bagiella, E.; Olsson, C.A.; O’Toole, K.M. Cribriform carcinoma of the prostate and cribriform prostatic intraepithelial neoplasia: Incidence and clinical implications. Am. J. Surg. Pathol. 1998, 22, 840–848. [Google Scholar] [CrossRef]
  9. Guo, C.C.; Epstein, J.I. Intraductal carcinoma of the prostate on needle biopsy: Histologic features and clinical significance. Mod. Pathol. 2006, 19, 1528–1535. [Google Scholar] [CrossRef]
  10. Robinson, B.D.; Epstein, J.I. Intraductal carcinoma of the prostate without invasive carcinoma on needle biopsy: Emphasis on radical prostatectomy findings. J. Urol. 2010, 184, 1328–1333. [Google Scholar] [CrossRef]
  11. Okubo, Y.; Sato, S.; Hasegawa, C.; Koizumi, M.; Suzuki, T.; Yamamoto, Y.; Yoshioka, E.; Ono, K.; Washimi, K.; Yokose, T.; et al. Cribriform pattern and intraductal carcinoma of the prostate can have a clinicopathological impact, regardless of their percentage and/or number of cores. Hum. Pathol. 2023, 135, 99–107. [Google Scholar] [CrossRef]
  12. Downes, M.R.; Liu, K.N.; Yu, Y.; Lajkosz, K.; Kroon, L.J.; Hollemans, E.; Fleshner, N.; Finelli, A.; van Leenders, G.; Iczkowski, K.A.; et al. Addition of Cribriform and Intraductal Carcinoma Presence to Prostate Biopsy Reporting Strengthens Pretreatment Risk Stratification Using CAPRA and NCCN Tools. Clin. Genitourin. Cancer 2023, 22, 47–55. [Google Scholar] [CrossRef]
  13. Zhang, Y.C.; Sun, G.L.; Ma, D.L.; Wei, C.; Shang, H.J.; Liu, Z.; Li, R.; Wang, T.; Wang, S.G.; Liu, J.H.; et al. The presence of intraductal carcinoma of the prostate is closely associated with poor prognosis: A systematic review and meta-analysis. Asian J. Androl. 2021, 23, 103–108. [Google Scholar] [CrossRef]
  14. Miura, N.; Mori, K.; Mostafaei, H.; Quhal, F.; Motlagh, R.S.; Pradere, B.; Laukhtina, E.; D’Andrea, D.; Saika, T.; Shariat, S.F. The Prognostic Impact of Intraductal Carcinoma of the Prostate: A Systematic Review and Meta-Analysis. J. Urol. 2020, 204, 909–917. [Google Scholar] [CrossRef]
  15. Kato, M.; Tsuzuki, T.; Kimura, K.; Hirakawa, A.; Kinoshita, F.; Sassa, N.; Ishida, R.; Fukatsu, A.; Kimura, T.; Funahashi, Y.; et al. The presence of intraductal carcinoma of the prostate in needle biopsy is a significant prognostic factor for prostate cancer patients with distant metastasis at initial presentation. Mod. Pathol. 2016, 29, 166–173. [Google Scholar] [CrossRef]
  16. Trudel, D.; Downes, M.R.; Sykes, J.; Kron, K.J.; Trachtenberg, J.; van der Kwast, T.H. Prognostic impact of intraductal carcinoma and large cribriform carcinoma architecture after prostatectomy in a contemporary cohort. Eur. J. Cancer 2014, 50, 1610–1616. [Google Scholar] [CrossRef]
  17. Van der Kwast, T.; Al Daoud, N.; Collette, L.; Sykes, J.; Thoms, J.; Milosevic, M.; Bristow, R.G.; Van Tienhoven, G.; Warde, P.; Mirimanoff, R.O.; et al. Biopsy diagnosis of intraductal carcinoma is prognostic in intermediate and high risk prostate cancer patients treated by radiotherapy. Eur. J. Cancer 2012, 48, 1318–1325. [Google Scholar] [CrossRef]
  18. Epstein, J.I.; Egevad, L.; Amin, M.B.; Delahunt, B.; Srigley, J.R.; Humphrey, P.A.; Grading, C. The 2014 International Society of Urological Pathology (ISUP) Consensus Conference on Gleason Grading of Prostatic Carcinoma: Definition of Grading Patterns and Proposal for a New Grading System. Am. J. Surg. Pathol. 2016, 40, 244–252. [Google Scholar] [CrossRef]
  19. Moch, H.; Humphrey, P.A.; Ulbright, T.M.; Reuter, V.E. WHO classification of tumours of the urinary system and male genital organs. In World Health Organization Classifcation of Tumours; WHO: Geneva, Switzerland, 2016; Volume 70, pp. 106–119. [Google Scholar]
  20. WHO Classification of Tumors Editorial Board (Ed.) WHO Classification of Tumours: Urinary and Male Genital Tumors, 5th ed.; IARC Press: Lyon, France, 2022. [Google Scholar]
  21. van Leenders, G.; van der Kwast, T.H.; Grignon, D.J.; Evans, A.J.; Kristiansen, G.; Kweldam, C.F.; Litjens, G.; McKenney, J.K.; Melamed, J.; Mottet, N.; et al. The 2019 International Society of Urological Pathology (ISUP) Consensus Conference on Grading of Prostatic Carcinoma. Am. J. Surg. Pathol. 2020, 44, e87–e99. [Google Scholar] [CrossRef]
  22. Epstein, J.I.; Amin, M.B.; Fine, S.W.; Algaba, F.; Aron, M.; Baydar, D.E.; Beltran, A.L.; Brimo, F.; Cheville, J.C.; Colecchia, M.; et al. The 2019 Genitourinary Pathology Society (GUPS) White Paper on Contemporary Grading of Prostate Cancer. Arch. Pathol. Lab. Med. 2021, 145, 461–493. [Google Scholar] [CrossRef]
  23. Epstein, J.I.; Hirsch, M.S. A Comparison of Genitourinary Pathology Society (GUPS) and International Society of Urological Pathology (ISUP) Prostate Cancer Grading Guidelines. Am. J. Surg. Pathol. 2021, 45, 1005–1007. [Google Scholar] [CrossRef] [PubMed]
  24. Smith, S.C.; Gandhi, J.S.; Moch, H.; Aron, M.; Comperat, E.; Paner, G.P.; McKenney, J.K.; Amin, M.B. Similarities and Differences in the 2019 ISUP and GUPS Recommendations on Prostate Cancer Grading: A Guide for Practicing Pathologists. Adv. Anat. Pathol. 2021, 28, 1–7. [Google Scholar] [CrossRef] [PubMed]
  25. Varma, M.; Epstein, J.I. Head to head: Should the intraductal component of invasive prostate cancer be graded? Histopathology 2021, 78, 231–239. [Google Scholar] [CrossRef]
  26. Gandhi, J.S.; Smith, S.C.; Paner, G.P.; McKenney, J.K.; Sekhri, R.; Osunkoya, A.O.; Baras, A.S.; DeMarzo, A.M.; Cheville, J.C.; Jimenez, R.E.; et al. Reporting Practices and Resource Utilization in the Era of Intraductal Carcinoma of the Prostate: A Survey of Genitourinary Subspecialists. Am. J. Surg. Pathol. 2020, 44, 673–680. [Google Scholar] [CrossRef]
  27. Varma, M.; Egevad, L.; Algaba, F.; Berney, D.; Bubendorf, L.; Camparo, P.; Comperat, E.; Erbersdobler, A.; Griffiths, D.; Grobholz, R.; et al. Intraductal carcinoma of prostate reporting practice: A survey of expert European uropathologists. J. Clin. Pathol. 2016, 69, 852–857. [Google Scholar] [CrossRef]
  28. Wobker, S.E.; Epstein, J.I. Differential Diagnosis of Intraductal Lesions of the Prostate. Am. J. Surg. Pathol. 2016, 40, e67-82. [Google Scholar] [CrossRef]
  29. Xiao, G.Q.; Golestani, R.; Pham, H.; Sherrod, A.E. Stratification of Atypical Intraepithelial Prostatic Lesions Based on Basal Cell and Architectural Patterns. Am. J. Clin. Pathol. 2020, 153, 407–416. [Google Scholar] [CrossRef]
  30. Ro, J.Y.; Ayala, A.G.; Wishnow, K.I.; Ordonez, N.G. Prostatic duct adenocarcinoma with endometrioid features: Immunohistochemical and electron microscopic study. Semin. Diagn. Pathol. 1988, 5, 301–311. [Google Scholar]
  31. Samaratunga, H.; Singh, M. Distribution pattern of basal cells detected by cytokeratin 34 beta E12 in primary prostatic duct adenocarcinoma. Am. J. Surg. Pathol. 1997, 21, 435–440. [Google Scholar] [CrossRef]
  32. Seipel, A.H.; Wiklund, F.; Wiklund, N.P.; Egevad, L. Histopathological features of ductal adenocarcinoma of the prostate in 1,051 radical prostatectomy specimens. Virchows Arch. 2013, 462, 429–436. [Google Scholar] [CrossRef]
  33. Schaeffer, E.; Srinivas, S.; Adra, N.; Yi, A.; Barocas, D.; Bitting, R.; Bryce, A.; Chapin, B.; Cheng, H.; D’Amico, A.V.; et al. NCCN Clinical Practice Guidelines in Oncology (NCCN Guidelines®): Prostate Cancer. J. Natl. Compr. Cancer Netw. 2023, 21, 1067–1096. [Google Scholar]
  34. Eastham, J.A.; Auffenberg, G.B.; Barocas, D.A.; Chou, R.; Crispino, T.; Davis, J.W.; Eggener, S.; Horwitz, E.M.; Kane, C.J.; Kirkby, E.; et al. Clinically Localized Prostate Cancer: AUA/ASTRO Guideline, Part I: Introduction, Risk Assessment, Staging, and Risk-Based Management. J. Urol. 2022, 208, 10–18. [Google Scholar] [CrossRef] [PubMed]
  35. Mottet, N.; Cornford, P.; Van den Berg, R.C.N.; Briers, E.; Advocate, E.P.; Eberli, D.; Meerleer, G.D.; De Santis, M.; Gillessen, S.; Grummet, J.; et al. EAU-EANM-ESTRO-ESUR-ISUP-SIOG Guidelines on Prostate Cancer; European Association of Urology: Arnhem, The Netherlands, 2023. [Google Scholar]
  36. Lam, T.B.L.; MacLennan, S.; Willemse, P.M.; Mason, M.D.; Plass, K.; Shepherd, R.; Baanders, R.; Bangma, C.H.; Bjartell, A.; Bossi, A.; et al. EAU-EANM-ESTRO-ESUR-SIOG Prostate Cancer Guideline Panel Consensus Statements for Deferred Treatment with Curative Intent for Localised Prostate Cancer from an International Collaborative Study (DETECTIVE Study). Eur. Urol. 2019, 76, 790–813. [Google Scholar] [CrossRef] [PubMed]
  37. Lozano, R.; Salles, D.C.; Sandhu, S.; Aragon, I.M.; Thorne, H.; Lopez-Campos, F.; Rubio-Briones, J.; Gutierrez-Pecharroman, A.M.; Maldonado, L.; di Domenico, T.; et al. Association between BRCA2 alterations and intraductal and cribriform histologies in prostate cancer. Eur. J. Cancer 2021, 147, 74–83. [Google Scholar] [CrossRef]
  38. Wu, Y.; Yu, H.; Li, S.; Wiley, K.; Zheng, S.L.; LaDuca, H.; Gielzak, M.; Na, R.; Sarver, B.A.J.; Helfand, B.T.; et al. Rare Germline Pathogenic Mutations of DNA Repair Genes Are Most Strongly Associated with Grade Group 5 Prostate Cancer. Eur. Urol. Oncol. 2020, 3, 224–230. [Google Scholar] [CrossRef]
  39. Isaacsson Velho, P.; Silberstein, J.L.; Markowski, M.C.; Luo, J.; Lotan, T.L.; Isaacs, W.B.; Antonarakis, E.S. Intraductal/ductal histology and lymphovascular invasion are associated with germline DNA-repair gene mutations in prostate cancer. Prostate 2018, 78, 401–407. [Google Scholar] [CrossRef] [PubMed]
  40. Na, R.; Zheng, S.L.; Han, M.; Yu, H.; Jiang, D.; Shah, S.; Ewing, C.M.; Zhang, L.; Novakovic, K.; Petkewicz, J.; et al. Germline Mutations in ATM and BRCA1/2 Distinguish Risk for Lethal and Indolent Prostate Cancer and are Associated with Early Age at Death. Eur. Urol. 2017, 71, 740–747. [Google Scholar] [CrossRef]
  41. Taylor, R.A.; Fraser, M.; Livingstone, J.; Espiritu, S.M.; Thorne, H.; Huang, V.; Lo, W.; Shiah, Y.J.; Yamaguchi, T.N.; Sliwinski, A.; et al. Germline BRCA2 mutations drive prostate cancers with distinct evolutionary trajectories. Nat. Commun. 2017, 8, 13671. [Google Scholar] [CrossRef]
  42. Risbridger, G.P.; Taylor, R.A.; Clouston, D.; Sliwinski, A.; Thorne, H.; Hunter, S.; Li, J.; Mitchell, G.; Murphy, D.; Frydenberg, M.; et al. Patient-derived xenografts reveal that intraductal carcinoma of the prostate is a prominent pathology in BRCA2 mutation carriers with prostate cancer and correlates with poor prognosis. Eur. Urol. 2015, 67, 496–503. [Google Scholar] [CrossRef]
  43. Mahlow, J.; Barry, M.; Albertson, D.J.; Jo, Y.J.; Balatico, M.; Seasor, T.; Gebrael, G.; Kumar, S.A.; Sayegh, N.; Tripathi, N.; et al. Histologic patterns in prostatic adenocarcinoma are not predictive of mutations in the homologous recombination repair pathway. Hum. Pathol. 2024, 144, 28–33. [Google Scholar] [CrossRef]
  44. Ditonno, F.; Bianchi, A.; Malandra, S.; Porcaro, A.B.; Fantinel, E.; Negrelli, R.; Ferro, M.; Milella, M.; Brunelli, M.; Autorino, R.; et al. PARP Inhibitors in Metastatic Prostate Cancer: A Comprehensive Systematic Review and Meta-analysis of Existing Evidence. Clin. Genitourin. Cancer 2023, 22, 402–412.e17. [Google Scholar] [CrossRef]
  45. Abida, W.; Armenia, J.; Gopalan, A.; Brennan, R.; Walsh, M.; Barron, D.; Danila, D.; Rathkopf, D.; Morris, M.; Slovin, S.; et al. Prospective Genomic Profiling of Prostate Cancer Across Disease States Reveals Germline and Somatic Alterations That May Affect Clinical Decision Making. JCO Precis. Oncol. 2017, 2017, 1–16. [Google Scholar] [CrossRef] [PubMed]
  46. Trabzonlu, L.; Kulac, I.; Zheng, Q.; Hicks, J.L.; Haffner, M.C.; Nelson, W.G.; Sfanos, K.S.; Ertunc, O.; Lotan, T.L.; Heaphy, C.M.; et al. Molecular Pathology of High-Grade Prostatic Intraepithelial Neoplasia: Challenges and Opportunities. Cold Spring Harb. Perspect. Med. 2019, 9, a030403. [Google Scholar] [CrossRef] [PubMed]
  47. Zhou, M. High-grade prostatic intraepithelial neoplasia, PIN-like carcinoma, ductal carcinoma, and intraductal carcinoma of the prostate. Mod. Pathol. 2018, 31, S71–S79. [Google Scholar] [CrossRef] [PubMed]
  48. Epstein, J.I.; Grignon, D.J.; Humphrey, P.A.; McNeal, J.E.; Sesterhenn, I.A.; Troncoso, P.; Wheeler, T.M. Interobserver reproducibility in the diagnosis of prostatic intraepithelial neoplasia. Am. J. Surg. Pathol. 1995, 19, 873–886. [Google Scholar] [CrossRef] [PubMed]
  49. Prathibha, S.; Goyal, K.G.; Zynger, D.L. Initial diagnosis of insignificant cancer, high-grade prostatic intraepithelial neoplasia, atypical small acinar proliferation, and negative have the same rate of upgrade to a Gleason score of 7 or higher on repeat prostate biopsy. Hum. Pathol. 2018, 79, 116–121. [Google Scholar] [CrossRef] [PubMed]
  50. Epstein, J.I.; Herawi, M. Prostate needle biopsies containing prostatic intraepithelial neoplasia or atypical foci suspicious for carcinoma: Implications for patient care. J. Urol. 2006, 175, 820–834. [Google Scholar] [CrossRef] [PubMed]
  51. Herawi, M.; Kahane, H.; Cavallo, C.; Epstein, J.I. Risk of prostate cancer on first re-biopsy within 1 year following a diagnosis of high grade prostatic intraepithelial neoplasia is related to the number of cores sampled. J. Urol. 2006, 175, 121–124. [Google Scholar] [CrossRef] [PubMed]
  52. Morais, C.L.; Guedes, L.B.; Hicks, J.; Baras, A.S.; De Marzo, A.M.; Lotan, T.L. ERG and PTEN status of isolated high-grade PIN occurring in cystoprostatectomy specimens without invasive prostatic adenocarcinoma. Hum. Pathol. 2016, 55, 117–125. [Google Scholar] [CrossRef]
  53. Morais, C.L.; Han, J.S.; Gordetsky, J.; Nagar, M.S.; Anderson, A.E.; Lee, S.; Hicks, J.L.; Zhou, M.; Magi-Galluzzi, C.; Shah, R.B.; et al. Utility of PTEN and ERG immunostaining for distinguishing high-grade PIN from intraductal carcinoma of the prostate on needle biopsy. Am. J. Surg. Pathol. 2015, 39, 169–178. [Google Scholar] [CrossRef]
  54. Hickman, R.A.; Yu, H.; Li, J.; Kong, M.; Shah, R.B.; Zhou, M.; Melamed, J.; Deng, F.M. Atypical Intraductal Cribriform Proliferations of the Prostate Exhibit Similar Molecular and Clinicopathologic Characteristics as Intraductal Carcinoma of the Prostate. Am. J. Surg. Pathol. 2017, 41, 550–556. [Google Scholar] [CrossRef]
  55. Lotan, T.L.; Gumuskaya, B.; Rahimi, H.; Hicks, J.L.; Iwata, T.; Robinson, B.D.; Epstein, J.I.; De Marzo, A.M. Cytoplasmic PTEN protein loss distinguishes intraductal carcinoma of the prostate from high-grade prostatic intraepithelial neoplasia. Mod. Pathol. 2013, 26, 587–603. [Google Scholar] [CrossRef]
  56. Shah, R.B.; Nguyen, J.K.; Przybycin, C.G.; Reynolds, J.P.; Cox, R.; Myles, J.; Klein, E.; McKenney, J.K. Atypical intraductal proliferation detected in prostate needle biopsy is a marker of unsampled intraductal carcinoma and other adverse pathological features: A prospective clinicopathological study of 62 cases with emphasis on pathological outcomes. Histopathology 2019, 75, 346–353. [Google Scholar] [CrossRef] [PubMed]
  57. Lee, T.K.; Ro, J.Y. Spectrum of Cribriform Proliferations of the Prostate: From Benign to Malignant. Arch. Pathol. Lab. Med. 2018, 142, 938–946. [Google Scholar] [CrossRef] [PubMed]
  58. Shah, R.B.; Yoon, J.; Liu, G.; Tian, W. Atypical intraductal proliferation and intraductal carcinoma of the prostate on core needle biopsy: A comparative clinicopathological and molecular study with a proposal to expand the morphological spectrum of intraductal carcinoma. Histopathology 2017, 71, 693–702. [Google Scholar] [CrossRef] [PubMed]
  59. Shah, R.B.; Magi-Galluzzi, C.; Han, B.; Zhou, M. Atypical cribriform lesions of the prostate: Relationship to prostatic carcinoma and implication for diagnosis in prostate biopsies. Am. J. Surg. Pathol. 2010, 34, 470–477. [Google Scholar] [CrossRef] [PubMed]
  60. Cai, Q.; Shah, R.B. Cribriform Lesions of the Prostate Gland. Surg. Pathol. Clin. 2022, 15, 591–608. [Google Scholar] [CrossRef] [PubMed]
  61. Destouni, M.; Lazaris, A.C.; Tzelepi, V. Cribriform Patterned Lesions in the Prostate Gland with Emphasis on Differential Diagnosis and Clinical Significance. Cancers 2022, 14, 41. [Google Scholar] [CrossRef] [PubMed]
  62. Epstein, J.I.; Egevad, L.; Humphrey, P.A.; Montironi, R.; Members of the ISUP Immunohistochemistry in Diagnostic Urologic Pathology Group. Best practices recommendations in the application of immunohistochemistry in the prostate: Report from the International Society of Urologic Pathology consensus conference. Am. J. Surg. Pathol. 2014, 38, e6–e19. [Google Scholar] [CrossRef]
  63. Amin, M.B.; Trpkov, K.; Lopez-Beltran, A.; Grignon, D.; Members of the ISUP Immunohistochemistry in Diagnostic Urologic Pathology Group. Best practices recommendations in the application of immunohistochemistry in the bladder lesions: Report from the International Society of Urologic Pathology consensus conference. Am. J. Surg. Pathol. 2014, 38, e20–e34. [Google Scholar] [CrossRef]
  64. Iakymenko, O.A.; Briski, L.M.; Delma, K.S.; Jorda, M.; Kryvenko, O.N. Utility of D2-40, Cytokeratin 5/6, and High-Molecular-weight Cytokeratin (Clone 34betaE12) in Distinguishing Intraductal Spread of Urothelial Carcinoma from Prostatic Stromal Invasion. Am. J. Surg. Pathol. 2022, 46, 454–463. [Google Scholar] [CrossRef]
  65. Bishop, J.A.; Yonescu, R.; Epstein, J.I.; Westra, W.H. A subset of prostatic basal cell carcinomas harbor the MYB rearrangement of adenoid cystic carcinoma. Hum. Pathol. 2015, 46, 1204–1208. [Google Scholar] [CrossRef]
  66. Simper, N.B.; Jones, C.L.; MacLennan, G.T.; Montironi, R.; Williamson, S.R.; Osunkoya, A.O.; Wang, M.; Zhang, S.; Grignon, D.J.; Eble, J.N.; et al. Basal cell carcinoma of the prostate is an aggressive tumor with frequent loss of PTEN expression and overexpression of EGFR. Hum. Pathol. 2015, 46, 805–812. [Google Scholar] [CrossRef]
  67. Madan, R.; Deebajah, M.; Alanee, S.; Gupta, N.S.; Carskadon, S.; Palanisamy, N.; Williamson, S.R. Prostate cancer with comedonecrosis is frequently, but not exclusively, intraductal carcinoma: A need for reappraisal of grading criteria. Histopathology 2019, 74, 1081–1087. [Google Scholar] [CrossRef]
  68. Fine, S.W.; Al-Ahmadie, H.A.; Chen, Y.B.; Gopalan, A.; Tickoo, S.K.; Reuter, V.E. Comedonecrosis Revisited: Strong Association With Intraductal Carcinoma of the Prostate. Am. J. Surg. Pathol. 2018, 42, 1036–1041. [Google Scholar] [CrossRef] [PubMed]
  69. Gleason, D.F.; Mellinger, G.T. Prediction of prognosis for prostatic adenocarcinoma by combined histological grading and clinical staging. J. Urol. 1974, 111, 58–64. [Google Scholar] [CrossRef] [PubMed]
  70. Mellinger, G.T.; Gleason, D.; Bailar, J., 3rd. The histology and prognosis of prostatic cancer. J. Urol. 1967, 97, 331–337. [Google Scholar] [CrossRef] [PubMed]
  71. Gleason, D.F. Classification of prostatic carcinomas. Cancer Chemother. Rep. 1966, 50, 125–128. [Google Scholar] [PubMed]
  72. Bailar, J.C., 3rd; Mellinger, G.T.; Gleason, D.F. Survival rates of patients with prostatic cancer, tumor stage, and differentiation--preliminary report. Cancer Chemother. Rep. 1966, 50, 129–136. [Google Scholar] [PubMed]
  73. Epstein, J.I.; Allsbrook, W.C., Jr.; Amin, M.B.; Egevad, L.L.; Committee, I.G. The 2005 International Society of Urological Pathology (ISUP) Consensus Conference on Gleason Grading of Prostatic Carcinoma. Am. J. Surg. Pathol. 2005, 29, 1228–1242. [Google Scholar] [CrossRef] [PubMed]
  74. Iczkowski, K.A.; Torkko, K.C.; Kotnis, G.R.; Wilson, R.S.; Huang, W.; Wheeler, T.M.; Abeyta, A.M.; La Rosa, F.G.; Cook, S.; Werahera, P.N.; et al. Digital quantification of five high-grade prostate cancer patterns, including the cribriform pattern, and their association with adverse outcome. Am. J. Clin. Pathol. 2011, 136, 98–107. [Google Scholar] [CrossRef] [PubMed]
  75. McKenney, J.K.; Wei, W.; Hawley, S.; Auman, H.; Newcomb, L.F.; Boyer, H.D.; Fazli, L.; Simko, J.; Hurtado-Coll, A.; Troyer, D.A.; et al. Histologic Grading of Prostatic Adenocarcinoma Can Be Further Optimized: Analysis of the Relative Prognostic Strength of Individual Architectural Patterns in 1275 Patients From the Canary Retrospective Cohort. Am. J. Surg. Pathol. 2016, 40, 1439–1456. [Google Scholar] [CrossRef]
  76. Choy, B.; Pearce, S.M.; Anderson, B.B.; Shalhav, A.L.; Zagaja, G.; Eggener, S.E.; Paner, G.P. Prognostic Significance of Percentage and Architectural Types of Contemporary Gleason Pattern 4 Prostate Cancer in Radical Prostatectomy. Am. J. Surg. Pathol. 2016, 40, 1400–1406. [Google Scholar] [CrossRef] [PubMed]
  77. Keefe, D.T.; Schieda, N.; El Hallani, S.; Breau, R.H.; Morash, C.; Robertson, S.J.; Mai, K.T.; Belanger, E.C.; Flood, T.A. Cribriform morphology predicts upstaging after radical prostatectomy in patients with Gleason score 3 + 4 = 7 prostate cancer at transrectal ultrasound (TRUS)-guided needle biopsy. Virchows Arch. 2015, 467, 437–442. [Google Scholar] [CrossRef] [PubMed]
  78. Kweldam, C.F.; Wildhagen, M.F.; Steyerberg, E.W.; Bangma, C.H.; van der Kwast, T.H.; van Leenders, G.J. Cribriform growth is highly predictive for postoperative metastasis and disease-specific death in Gleason score 7 prostate cancer. Mod. Pathol. 2015, 28, 457–464. [Google Scholar] [CrossRef]
  79. Dong, F.; Yang, P.; Wang, C.; Wu, S.; Xiao, Y.; McDougal, W.S.; Young, R.H.; Wu, C.L. Architectural heterogeneity and cribriform pattern predict adverse clinical outcome for Gleason grade 4 prostatic adenocarcinoma. Am. J. Surg. Pathol. 2013, 37, 1855–1861. [Google Scholar] [CrossRef]
  80. Ross, H.M.; Kryvenko, O.N.; Cowan, J.E.; Simko, J.P.; Wheeler, T.M.; Epstein, J.I. Do adenocarcinomas of the prostate with Gleason score (GS) </=6 have the potential to metastasize to lymph nodes? Am. J. Surg. Pathol. 2012, 36, 1346–1352. [Google Scholar] [CrossRef]
  81. Gordetsky, J.B.; Schaffer, K.; Hurley, P.J. Current conundrums with cribriform prostate cancer. Histopathology 2022, 80, 1038–1040. [Google Scholar] [CrossRef] [PubMed]
  82. Osiecki, R.; Kozikowski, M.; Sarecka-Hujar, B.; Pyzlak, M.; Dobruch, J. Prostate Cancer Morphologies: Cribriform Pattern and Intraductal Carcinoma Relations to Adverse Pathological and Clinical Outcomes-Systematic Review and Meta-Analysis. Cancers 2023, 15, 1372. [Google Scholar] [CrossRef]
  83. van der Kwast, T.H.; van Leenders, G.J.; Berney, D.M.; Delahunt, B.; Evans, A.J.; Iczkowski, K.A.; McKenney, J.K.; Ro, J.Y.; Samaratunga, H.; Srigley, J.R.; et al. ISUP Consensus Definition of Cribriform Pattern Prostate Cancer. Am. J. Surg. Pathol. 2021, 45, 1118–1126. [Google Scholar] [CrossRef]
  84. Amin, M.B.; Edge, S.B.; American Joint Committee on Cancer. AJCC Cancer Staging Manual; Springer: Cham, Switzerland, 2017; Volume xvii, 1024p. [Google Scholar]
  85. Patel, A.R.; Cohn, J.A.; Abd El Latif, A.; Miocinovic, R.; Steinberg, G.D.; Paner, G.P.; Hansel, D.E. Validation of new AJCC exclusion criteria for subepithelial prostatic stromal invasion from pT4a bladder urothelial carcinoma. J. Urol. 2013, 189, 53–58. [Google Scholar] [CrossRef]
  86. Yoo, Y.; Kim, J.M.; Choi, E.; Park, H.S.; Cho, M.S.; Sung, S.H.; Park, S. The Effect of Complete Prostate Examination of Radical Cystoprostatectomy Specimen on the Final Stage of Urothelial Carcinoma of the Urinary Bladder and the Detection of Prostate Cancer. Arch. Pathol. Lab. Med. 2023, 147, 665–675. [Google Scholar] [CrossRef]
  87. Smith, S.C.; Palanisamy, N.; Zuhlke, K.A.; Johnson, A.M.; Siddiqui, J.; Chinnaiyan, A.M.; Kunju, L.P.; Cooney, K.A.; Tomlins, S.A. HOXB13 G84E-related familial prostate cancers: A clinical, histologic, and molecular survey. Am. J. Surg. Pathol. 2014, 38, 615–626. [Google Scholar] [CrossRef]
  88. Tan, H.L.; Haffner, M.C.; Esopi, D.M.; Vaghasia, A.M.; Giannico, G.A.; Ross, H.M.; Ghosh, S.; Hicks, J.L.; Zheng, Q.; Sangoi, A.R.; et al. Prostate adenocarcinomas aberrantly expressing p63 are molecularly distinct from usual-type prostatic adenocarcinomas. Mod. Pathol. 2015, 28, 446–456. [Google Scholar] [CrossRef]
  89. Smith, S.C.; Mohanty, S.K.; Kunju, L.P.; Chang, E.; Chung, F.; Carvalho, J.C.; Paner, G.P.; Hansel, D.E.; Luthringer, D.J.; de Peralta-Ventrurina, M.N.; et al. Uroplakin II outperforms uroplakin III in diagnostically challenging settings. Histopathology 2014, 65, 132–138. [Google Scholar] [CrossRef]
  90. Mohanty, S.K.; Smith, S.C.; Chang, E.; Luthringer, D.J.; Gown, A.M.; Aron, M.; Amin, M.B. Evaluation of contemporary prostate and urothelial lineage biomarkers in a consecutive cohort of poorly differentiated bladder neck carcinomas. Am. J. Clin. Pathol. 2014, 142, 173–183. [Google Scholar] [CrossRef]
  91. Wobker, S.E.; Khararjian, A.; Epstein, J.I. GATA3 Positivity in Benign Radiated Prostate Glands: A Potential Diagnostic Pitfall. Am. J. Surg. Pathol. 2017, 41, 557–563. [Google Scholar] [CrossRef]
  92. Tian, W.; Dorn, D.; Wei, S.; Sanders, R.D.; Matoso, A.; Shah, R.B.; Gordetsky, J. GATA3 expression in benign prostate glands with radiation atypia: A diagnostic pitfall. Histopathology 2017, 71, 150–155. [Google Scholar] [CrossRef] [PubMed]
  93. Flaig, T.W.; Spiess, P.E.; Agarwal, N.; Bangs, R.; Boorjian, S.A.; Buyyounouski, M.K.; Chang, S.; Downs, T.M.; Efstathiou, J.A.; Friedlander, T.; et al. Bladder Cancer, Version 3.2020, NCCN Clinical Practice Guidelines in Oncology. J. Natl. Compr. Cancer Netw. 2020, 18, 329–354. [Google Scholar] [CrossRef] [PubMed]
  94. Magers, M.J.; Iczkowski, K.A.; Montironi, R.; Grignon, D.J.; Zhang, S.; Williamson, S.R.; Yang, X.; Wang, M.; Osunkoya, A.O.; Lopez-Beltran, A.; et al. MYB-NFIB gene fusion in prostatic basal cell carcinoma: Clinicopathologic correlates and comparison with basal cell adenoma and florid basal cell hyperplasia. Mod. Pathol. 2019, 32, 1666–1674. [Google Scholar] [CrossRef]
  95. Ali, T.Z.; Epstein, J.I. Basal cell carcinoma of the prostate: A clinicopathologic study of 29 cases. Am. J. Surg. Pathol. 2007, 31, 697–705. [Google Scholar] [CrossRef] [PubMed]
  96. Iczkowski, K.A.; Ferguson, K.L.; Grier, D.D.; Hossain, D.; Banerjee, S.S.; McNeal, J.E.; Bostwick, D.G. Adenoid cystic/basal cell carcinoma of the prostate: Clinicopathologic findings in 19 cases. Am. J. Surg. Pathol. 2003, 27, 1523–1529. [Google Scholar] [CrossRef]
  97. McKenney, J.K.; Amin, M.B.; Srigley, J.R.; Jimenez, R.E.; Ro, J.Y.; Grignon, D.J.; Young, R.H. Basal cell proliferations of the prostate other than usual basal cell hyperplasia: A clinicopathologic study of 23 cases, including four carcinomas, with a proposed classification. Am. J. Surg. Pathol. 2004, 28, 1289–1298. [Google Scholar] [CrossRef] [PubMed]
  98. Cozzi, S.; Bardoscia, L.; Najafi, M.; Botti, A.; Blandino, G.; Augugliaro, M.; Manicone, M.; Iori, F.; Giaccherini, L.; Sardaro, A.; et al. Adenoid Cystic Carcinoma/Basal Cell Carcinoma of the Prostate: Overview and Update on Rare Prostate Cancer Subtypes. Curr. Oncol. 2022, 29, 1866–1876. [Google Scholar] [CrossRef] [PubMed]
  99. Srodon, M.; Epstein, J.I. Central zone histology of the prostate: A mimicker of high-grade prostatic intraepithelial neoplasia. Hum. Pathol. 2002, 33, 518–523. [Google Scholar] [CrossRef]
  100. Muezzinoglu, B.; Erdamar, S.; Chakraborty, S.; Wheeler, T.M. Verumontanum mucosal gland hyperplasia is associated with atypical adenomatous hyperplasia of the prostate. Arch. Pathol. Lab. Med. 2001, 125, 358–360. [Google Scholar] [CrossRef] [PubMed]
  101. Gagucas, R.J.; Brown, R.W.; Wheeler, T.M. Verumontanum mucosal gland hyperplasia. Am. J. Surg. Pathol. 1995, 19, 30–36. [Google Scholar] [CrossRef]
  102. Hosler, G.A.; Epstein, J.I. Basal cell hyperplasia: An unusual diagnostic dilemma on prostate needle biopsies. Hum. Pathol. 2005, 36, 480–485. [Google Scholar] [CrossRef] [PubMed]
  103. Fine, S.W.; Trpkov, K.; Amin, M.B.; Algaba, F.; Aron, M.; Baydar, D.E.; Beltran, A.L.; Brimo, F.; Cheville, J.C.; Colecchia, M.; et al. Practice patterns related to prostate cancer grading: Results of a 2019 Genitourinary Pathology Society clinician survey. Urol. Oncol. 2021, 39, 295.e1–295.e8. [Google Scholar] [CrossRef] [PubMed]
  104. Khani, F.; Wobker, S.E.; Hicks, J.L.; Robinson, B.D.; Barbieri, C.E.; De Marzo, A.M.; Epstein, J.I.; Pritchard, C.C.; Lotan, T.L. Intraductal carcinoma of the prostate in the absence of high-grade invasive carcinoma represents a molecularly distinct type of in situ carcinoma enriched with oncogenic driver mutations. J. Pathol. 2019, 249, 79–89. [Google Scholar] [CrossRef]
  105. Miyai, K.; Divatia, M.K.; Shen, S.S.; Miles, B.J.; Ayala, A.G.; Ro, J.Y. Heterogeneous clinicopathological features of intraductal carcinoma of the prostate: A comparison between “precursor-like” and “regular type” lesions. Int. J. Clin. Exp. Pathol. 2014, 7, 2518–2526. [Google Scholar]
Disclaimer/Publisher’s Note: The statements, opinions and data contained in all publications are solely those of the individual author(s) and contributor(s) and not of MDPI and/or the editor(s). MDPI and/or the editor(s) disclaim responsibility for any injury to people or property resulting from any ideas, methods, instructions or products referred to in the content.

Article Metrics

Citations

Article Access Statistics

Multiple requests from the same IP address are counted as one view.