Effect of Preoperative Body Composition on Postoperative Anastomotic Leakage in Oncological Ivor Lewis Esophagectomy—A Retrospective Cohort Study
Simple Summary
Abstract
1. Introduction
2. Materials and Methods
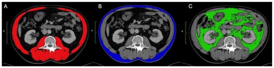
2.1. Analysis of Sarcopenia
2.2. Surgical Technique
2.3. Statistical Analysis
3. Results
4. Discussion
5. Limitation
6. Conclusions
Author Contributions
Funding
Institutional Review Board Statement
Informed Consent Statement
Data Availability Statement
Conflicts of Interest
References
- Asombang, A.W.; Chishinga, N.; Nkhoma, A.; Chipaila, J.; Nsokolo, B.; Manda-Mapalo, M.; Montiero, J.F.G.; Banda, L.; Dua, K.S. Systematic review and meta-analysis of esophageal cancer in Africa: Epidemiology, risk factors, management and outcomes. World J. Gastroenterol. 2019, 25, 4512–4533. [Google Scholar] [CrossRef] [PubMed]
- Low, D.E.; Allum, W.; De Manzoni, G.; Ferri, L.; Immanuel, A.; Kuppusamy, M.; Law, S.; Lindblad, M.; Maynard, N.; Neal, J.; et al. Guidelines for Perioperative Care in Esophagectomy: Enhanced Recovery After Surgery (ERAS®) Society Recommendations. World J. Surg. 2019, 43, 299–330. [Google Scholar] [CrossRef] [PubMed]
- Cossu, A.; Palumbo, D.; Battaglia, S.; Parise, P.; De Pascale, S.; Gualtierotti, M.; Vecchiato, M.; Scotti, G.M.; Gritti, C.; Bettinelli, A.; et al. Sarcopenia and Patient’s Body Composition: New Morphometric Tools to Predict Clinical Outcome After Ivor Lewis Esophagectomy: A Multicenter Study. J. Gastrointest. Surg. 2023, 27, 1047–1054. [Google Scholar] [CrossRef] [PubMed]
- van Hagen, P.; Hulshof, M.C.C.M.; van Lanschot, J.J.B.; Steyerberg, E.W.; Henegouwen, M.I.v.B.; Wijnhoven, B.P.L.; Richel, D.J.; Nieuwenhuijzen, G.A.P.; Hospers, G.A.P.; Bonenkamp, J.J.; et al. Preoperative Chemoradiotherapy for Esophageal or Junctional Cancer. N. Engl. J. Med. 2012, 366, 2074–2084. [Google Scholar] [CrossRef] [PubMed]
- Linden, P.A.; Towe, C.W.; Watson, T.J.; Low, D.E.; Cassivi, S.D.; Grau-Sepulveda, M.; Worrell, S.G.; Perry, Y. Mortality After Esophagectomy: Analysis of Individual Complications and Their Association with Mortality. J. Gastrointest. Surg. 2019, 24, 1948–1954. [Google Scholar] [CrossRef]
- Markar, S.; Gronnier, C.; Duhamel, A.; Mabrut, J.-Y.; Bail, J.-P.; Carrere, N.; Lefevre, J.H.; Brigand, C.; Vaillant, J.-C.; Adham, M.; et al. The Impact of Severe Anastomotic Leak on Long-term Survival and Cancer Recurrence After Surgical Resection for Esophageal Malignancy. Ann. Surg. 2015, 262, 972–980. [Google Scholar] [CrossRef]
- Goense, L.; van Rossum, P.S.N.; Tromp, M.; Joore, H.C.; van Dijk, D.; Kroese, A.C.; Ruurda, J.P.; van Hillegersberg, R. Intraoperative and postoperative risk factors for anastomotic leakage and pneumonia after esophagectomy for cancer. Dis. Esophagus 2016, 30, 1–10. [Google Scholar] [CrossRef]
- Li, S.-J.; Wang, Z.-Q.; Li, Y.-J.; Fan, J.; Zhang, W.-B.; Che, G.-W.; Liu, L.-X.; Chen, L.-Q. Diabetes mellitus and risk of anastomotic leakage after esophagectomy: A systematic review and meta-analysis. Dis. Esophagus 2017, 30, 1–12. [Google Scholar] [CrossRef]
- Herzberg, J.; Strate, T.; Guraya, S.Y.; Honarpisheh, H. Risk factors for anastomotic leakage after surgical resections for esophageal cancer. Langenbeck’s Arch. Surg. 2021, 406, 1859–1866. [Google Scholar] [CrossRef]
- Brown, J.C.; Meyerhardt, J.A. Obesity and Energy Balance in GI Cancer. J. Clin. Oncol. 2016, 34, 4217–4224. [Google Scholar] [CrossRef]
- Shachar, S.S.; Williams, G.R.; Muss, H.B.; Nishijima, T.F. Prognostic value of sarcopenia in adults with solid tumours: A meta-analysis and systematic review. Eur. J. Cancer 2016, 57, 58–67. [Google Scholar] [CrossRef] [PubMed]
- Baracos, V.; Kazemi-Bajestani, S.M.R. Clinical outcomes related to muscle mass in humans with cancer and catabolic illnesses. Int. J. Biochem. Cell Biol. 2013, 45, 2302–2308. [Google Scholar] [CrossRef] [PubMed]
- Boccardi, V.; Marano, L. Improving geriatric outcomes through nutritional and immunonutritional strategies: Focus on surgical setting by a comprehensive evidence review. Ageing Res. Rev. 2024, 96, 102272. [Google Scholar] [CrossRef]
- Hirahara, N.; Matsubara, T.; Hayashi, H.; Takai, K.; Nakada, S.; Tajima, Y. Prognostic Importance of Controlling Nutritional Status in Patients Undergoing Curative Thoracoscopic Esophagectomy for Esophageal Cancer. Am. J. Ther. 2018, 25, e524–e532. [Google Scholar] [CrossRef]
- Harada, K.; Ida, S.; Baba, Y.; Ishimoto, T.; Kosumi, K.; Tokunaga, R.; Izumi, D.; Ohuchi, M.; Nakamura, K.; Kiyozumi, Y.; et al. Prognostic and clinical impact of sarcopenia in esophageal squamous cell carcinoma. Dis. Esophagus 2016, 29, 627–633. [Google Scholar] [CrossRef]
- Cruz-Jentoft, A.J.; Bahat, G.; Bauer, J.; Boirie, Y.; Bruyère, O.; Cederholm, T.; Cooper, C.; Landi, F.; Rolland, Y.; Sayer, A.A.; et al. Sarcopenia: Revised European consensus on definition and diagnosis. Age Ageing 2019, 48, 16–31. [Google Scholar] [CrossRef]
- Prado, C.M.M.; Lieffers, J.R.; McCargar, L.J.; Reiman, T.; Sawyer, M.B.; Martin, L.; Baracos, V.E. Prevalence and clinical implications of sarcopenic obesity in patients with solid tumours of the respiratory and gastrointestinal tracts: A population-based study. Lancet Oncol. 2008, 9, 629–635. [Google Scholar] [CrossRef]
- Gruber, E.S.; Jomrich, G.; Tamandl, D.; Gnant, M.; Schindl, M.; Sahora, K. Sarcopenia and sarcopenic obesity are independent adverse prognostic factors in resectable pancreatic ductal adenocarcinoma. PLoS ONE 2019, 14, e0215915. [Google Scholar] [CrossRef]
- Grotenhuis, B.A.; Shapiro, J.; van Adrichem, S.; de Vries, M.; Koek, M.; Wijnhoven, B.P.L.; van Lanschot, J.J.B. Sarcopenia/Muscle Mass is not a Prognostic Factor for Short- and Long-Term Outcome After Esophagectomy for Cancer. World J. Surg. 2016, 40, 2698–2704. [Google Scholar] [CrossRef]
- Fehrenbach, U.; Wuensch, T.; Gabriel, P.; Segger, L.; Yamaguchi, T.; Auer, T.A.; Beetz, N.L.; Denecke, C.; Kröll, D.; Raakow, J.; et al. CT Body Composition of Sarcopenia and Sarcopenic Obesity: Predictors of Postoperative Complications and Survival in Patients with Locally Advanced Esophageal Adenocarcinoma. Cancers 2021, 13, 2921. [Google Scholar] [CrossRef]
- Busweiler, L.A.; Henneman, D.; Dikken, J.L.; Fiocco, M.; van Berge Henegouwen, M.I.; Wijnhoven, B.P.; van Hillegersberg, R.; Rosman, C.; Wouters, M.W.; van Sandick, J.W.; et al. Failure-to-rescue in patients undergoing surgery for esophageal or gastric cancer. Eur. J. Surg. Oncol. 2017, 43, 1962–1969. [Google Scholar] [CrossRef] [PubMed]
- Leitlinienprogramm Onkologie (Deutsche Krebsgesellschaft, Deutsche Krebshilfe, AWMF): Diagnostik und Therapie der Plattenepithelkarzinome und Adenokarzinome des Ösophagus, Langversion 4.0, 2023, AWMF-Registernummer: 021-023OL. Available online: https://www.leitlinienprogramm-onkologie.de/leitlinien/oesophaguskarzinom/ (accessed on 15 December 2024).
- Rice, T.W.; Patil, D.T.; Blackstone, E.H. 8th edition AJCC/UICC staging of cancers of the esophagus and esophagogastric junction: Application to clinical practice. Ann. Cardiothorac. Surg. 2017, 6, 119–130. [Google Scholar] [CrossRef] [PubMed]
- Nationales Referenzzentrum für Surveillance von Nosokomialen Infektionen. Definitionen nosokomialer Infektionen für die Surveillance im Krankenhaus-Infektions-Surveillance-System–KISS-Definitionen; Nationales Referenzzentrum für Surveillance von nosokomialen Infektionen, Robert Koch-Institut: Berlin, Germany, 2017. [Google Scholar]
- Dindo, D.; Demartines, N.; Clavien, P.-A. Classification of surgical complications: A new proposal with evaluation in a cohort of 6336 patients and results of a survey. Ann. Surg. 2004, 240, 205–213. [Google Scholar] [CrossRef] [PubMed]
- Silber, J.H.; Williams, S.V.; Krakauer, H.; Schwartz, J.S. Hospital and patient characteristics associated with death after surgery. A study of adverse occurrence and failure to rescue. Med. Care 1992, 30, 615–629. [Google Scholar] [CrossRef] [PubMed]
- Sheetz, K.H.; Dimick, J.B.; Ghaferi, A.A. Impact of Hospital Characteristics on Failure to Rescue Following Major Surgery. Ann. Surg. 2016, 263, 692–697. [Google Scholar] [CrossRef]
- Mourtzakis, M.; Prado, C.M.M.; Lieffers, J.R.; Reiman, T.; McCargar, L.J.; Baracos, V.E. A practical and precise approach to quantification of body composition in cancer patients using computed tomography images acquired during routine care. Appl. Physiol. Nutr. Metab. 2008, 33, 997–1006. [Google Scholar] [CrossRef]
- Martin, L.; Birdsell, L.; Macdonald, N.; Reiman, T.; Clandinin, M.T.; McCargar, L.J.; Murphy, R.; Ghosh, S.; Sawyer, M.B.; Baracos, V.E. Cancer cachexia in the age of obesity: Skeletal muscle depletion is a powerful prognostic factor, independent of body mass index. J. Clin. Oncol. Off. J. Am. Soc. Clin. Oncol. 2013, 31, 1539–1547. [Google Scholar] [CrossRef]
- Briez, N.; Piessen, G.; Bonnetain, F.; Brigand, C.; Carrere, N.; Collet, D.; Doddoli, C.; Flamein, R.; Mabrut, J.-Y.; Meunier, B.; et al. Open versus laparoscopically-assisted oesophagectomy for cancer: A multicentre randomised controlled phase III trial—The MIRO trial. BMC Cancer 2011, 11, 310. [Google Scholar] [CrossRef]
- Yip, C.; Goh, V.; Davies, A.; Gossage, J.; Mitchell-Hay, R.; Hynes, O.; Maisey, N.; Ross, P.; Gaya, A.; Landau, D.B.; et al. Assessment of sarcopenia and changes in body composition after neoadjuvant chemotherapy and associations with clinical outcomes in oesophageal cancer. Eur. Radiol. 2014, 24, 998–1005. [Google Scholar] [CrossRef]
- Kamitani, N.; Migita, K.; Matsumoto, S.; Wakatsuki, K.; Kunishige, T.; Nakade, H.; Miyao, S.; Sho, M. Association of skeletal muscle loss with the long-term outcomes of esophageal cancer patients treated with neoadjuvant chemotherapy. Surg. Today 2019, 49, 1022–1028. [Google Scholar] [CrossRef]
- Ligthart-Melis, G.C.; Weijs, P.J.M.; te Boveldt, N.D.; Buskermolen, S.; Earthman, C.P.; Verheul, H.M.W.; de Lange-de Klerk, E.S.M.; van Weyenberg, S.J.B.; van der Peet, D.L. Dietician-delivered intensive nutritional support is associated with a decrease in severe postoperative complications after surgery in patients with esophageal cancer. Dis. Esophagus Off. J. Int. Soc. Dis. Esophagus 2013, 26, 587–593. [Google Scholar] [CrossRef] [PubMed]
- Huddy, J.R.; Huddy, F.M.S.; Markar, S.R.; Tucker, O. Nutritional optimization during neoadjuvant therapy prior to surgical resection of esophageal cancer-a narrative review. Dis. Esophagus Off. J. Int. Soc. Dis. Esophagus 2018, 31, dox110. [Google Scholar] [CrossRef] [PubMed]
- Carneiro, I.P.; Mazurak, V.C.; Prado, C.M. Clinical Implications of Sarcopenic Obesity in Cancer. Curr. Oncol. Rep. 2016, 18, 62. [Google Scholar] [CrossRef] [PubMed]
- Pamoukdjian, F.; Bouillet, T.; Lévy, V.; Soussan, M.; Zelek, L.; Paillaud, E. Prevalence and predictive value of pre-therapeutic sarcopenia in cancer patients: A systematic review. Clin. Nutr. 2018, 37, 1101–1113. [Google Scholar] [CrossRef]
- Kroll, L.; Mathew, A.; Baldini, G.; Hosch, R.; Koitka, S.; Kleesiek, J.; Rischpler, C.; Haubold, J.; Fuhrer, D.; Nensa, F.; et al. CT-derived body composition analysis could possibly replace DXA and BIA to monitor NET-patients. Sci. Rep. 2022, 12, 13419. [Google Scholar] [CrossRef]
- Tewari, N.; Awad, S.; Macdonald, I.A.; Lobo, D.N. A comparison of three methods to assess body composition. Nutrition 2018, 47, 1–5. [Google Scholar] [CrossRef]
- Zopfs, D.; Theurich, S.; Große Hokamp, N.; Knuever, J.; Gerecht, L.; Borggrefe, J.; Schlaak, M.; Pinto dos Santos, D. Single-slice CT measurements allow for accurate assessment of sarcopenia and body composition. Eur. Radiol. 2020, 30, 1701–1708. [Google Scholar] [CrossRef]
- Amini, B.; Boyle, S.P.; Boutin, R.D.; Lenchik, L. Approaches to Assessment of Muscle Mass and Myosteatosis on Computed Tomography: A Systematic Review. J. Gerontol. A. Biol. Sci. Med. Sci. 2019, 74, 1671–1678. [Google Scholar] [CrossRef]
- Fearon, K.; Strasser, F.; Anker, S.D.; Bosaeus, I.; Bruera, E.; Fainsinger, R.L.; Jatoi, A.; Loprinzi, C.; MacDonald, N.; Mantovani, G.; et al. Definition and classification of cancer cachexia: An international consensus. Lancet Oncol. 2011, 12, 489–495. [Google Scholar] [CrossRef]
- Beaudart, C.; McCloskey, E.; Bruyère, O.; Cesari, M.; Rolland, Y.; Rizzoli, R.; Araujo de Carvalho, I.; Amuthavalli Thiyagarajan, J.; Bautmans, I.; Bertière, M.-C.; et al. Sarcopenia in daily practice: Assessment and management. BMC Geriatr. 2016, 16, 170. [Google Scholar] [CrossRef]
- Tagliafico, A.S.; Bignotti, B.; Torri, L.; Rossi, F. Sarcopenia: How to measure, when and why. Radiol. Med. 2022, 127, 228–237. [Google Scholar] [CrossRef] [PubMed]
- Paireder, M.; Asari, R.; Kristo, I.; Rieder, E.; Tamandl, D.; Ba-Ssalamah, A.; Schoppmann, S.F. Impact of sarcopenia on outcome in patients with esophageal resection following neoadjuvant chemotherapy for esophageal cancer. Eur. J. Surg. Oncol. 2017, 43, 478–484. [Google Scholar] [CrossRef] [PubMed]
- Grün, J.; Elfinger, L.; Le, H.; Weiß, C.; Otto, M.; Reißfelder, C.; Blank, S. The Influence of Pretherapeutic and Preoperative Sarcopenia on Short-Term Outcome after Esophagectomy. Cancers 2020, 12, 3409. [Google Scholar] [CrossRef] [PubMed]
- Miki, Y.; Nishi, S.; Tamura, T.; Imai, T.; Nambara, M.; Fukuoka, T.; Yoshii, M.; Toyokawa, T.; Lee, S.; Fujii, H.; et al. Protocol of a pilot randomized clinical trial to evaluate nutritional support and rehabilitation on prevention of skeletal muscle mass loss during neoadjuvant chemotherapy in patients with esophageal cancer. PLoS ONE 2024, 19, e0302003. [Google Scholar] [CrossRef]
- Prado, C.M.; Baracos, V.E.; McCargar, L.J.; Mourtzakis, M.; Mulder, K.E.; Reiman, T.; Butts, C.A.; Scarfe, A.G.; Sawyer, M.B. Body composition as an independent determinant of 5-fluorouracil-based chemotherapy toxicity. Clin. Cancer Res. 2007, 13, 3264–3268. [Google Scholar] [CrossRef]
- Morelli, C.; Formica, V.; Bossi, P.; Rofei, M.; Guerriero, S.; Riondino, S.; Argirò, R.; Pucci, N.; Cenci, T.; Savino, L.; et al. Untailored vs. Gender- and Body-Mass-Index-Tailored Skeletal Muscle Mass Index (SMI) to Assess Sarcopenia in Advanced Head and Neck Squamous Cell Carcinoma (HNSCC). Cancers 2023, 15, 4716. [Google Scholar] [CrossRef]
- Marano, L.; Carbone, L.; Poto, G.E.; Gambelli, M.; Nguefack Noudem, L.L.; Grassi, G.; Manasci, F.; Curreri, G.; Giuliani, A.; Piagnerelli, R.; et al. Handgrip strength predicts length of hospital stay in an abdominal surgical setting: The role of frailty beyond age. Aging Clin. Exp. Res. 2022, 34, 811–817. [Google Scholar] [CrossRef]
- Wang, S.; Wang, M.; Jiang, L.; Zhao, X. Low skeletal muscle quality extracted from CT is associated with poor outcomes in severe acute pancreatitis patients. Eur. J. Radiol. 2024, 170, 111215. [Google Scholar] [CrossRef]
- van der Werf, A.; Dekker, I.M.; Meijerink, M.R.; Wierdsma, N.J.; de van der Schueren, M.A.E.; Langius, J.A.E. Skeletal muscle analyses: Agreement between non-contrast and contrast CT scan measurements of skeletal muscle area and mean muscle attenuation. Clin. Physiol. Funct. Imaging 2018, 38, 366–372. [Google Scholar] [CrossRef]
- Boutin, R.D.; Kaptuch, J.M.; Bateni, C.P.; Chalfant, J.S.; Yao, L.; Boutin, R.D.; Kaptuch, J.M.; Bateni, C.P.; Chalfant, J.S.; Yao, L. Influence of IV Contrast Administration on CT Measures of Muscle and Bone Attenuation: Implications for Sarcopenia and Osteoporosis Evaluation. Am. J. Roentgenol. 2016, 207, 1046–1054. [Google Scholar] [CrossRef]
- Singh, S.; Taneja, S.; Roy, A.; Rathi, S.; De, A.; Verma, N.; Premkumar, M.; Duseja, A.; Dhiman, R.K.; Singh, V. Simple bedside tests of muscle strength and function correlate with computed tomography-skeletal muscle index for assessment of sarcopenia in cirrhosis. Indian J. Gastroenterol. 2023, 42, 379–387. [Google Scholar] [CrossRef] [PubMed]
- Zhu, J.; Tao, T.; Zhang, G.; Dai, S. Predictive factors for intrathoracic anastomotic leakage and postoperative mortality after esophageal cancer resection. BMC Surg. 2024, 24, 260. [Google Scholar] [CrossRef] [PubMed]
- van Kooten, R.T.; Voeten, D.M.; Steyerberg, E.W.; Hartgrink, H.H.; van Berge Henegouwen, M.I.; van Hillegersberg, R.; Tollenaar, R.A.E.M.; Wouters, M.W.J.M. Patient-Related Prognostic Factors for Anastomotic Leakage, Major Complications, and Short-Term Mortality Following Esophagectomy for Cancer: A Systematic Review and Meta-Analyses. Ann. Surg. Oncol. 2022, 29, 1358–1373. [Google Scholar] [CrossRef] [PubMed]
- Underwood, P.W.; Cron, D.C.; Terjimanian, M.N.; Wang, S.C.; Englesbe, M.J.; Waits, S.A. Sarcopenia and failure to rescue following liver transplantation. Clin. Transplant. 2015, 29, 1076–1080. [Google Scholar] [CrossRef]
- Pecorelli, N.; Capretti, G.; Sandini, M.; Damascelli, A.; Cristel, G.; De Cobelli, F.; Gianotti, L.; Zerbi, A.; Braga, M. Impact of Sarcopenic Obesity on Failure to Rescue from Major Complications Following Pancreaticoduodenectomy for Cancer: Results from a Multicenter Study. Ann. Surg. Oncol. 2018, 25, 308–317. [Google Scholar] [CrossRef]
- Abdelsattar, Z.M.; Habermann, E.; Borah, B.J.; Moriarty, J.P.; Rojas, R.L.; Blackmon, S.H. Understanding Failure to Rescue After Esophagectomy in the United States. Ann. Thorac. Surg. 2020, 109, 865–871. [Google Scholar] [CrossRef]
- Yunrong, T.; Jin, W.W.; Mahendran, H.A.; Koon, Y.B.; Jahit, S.; Kamaruddin, M.A.; Anuar, N.; Daud, N.A.M. Pre-operative psoas muscle index, a surrogate for sarcopenia; as a predictor of post-esophagectomy complications. Dis. Esophagus 2024, 37, doad072. [Google Scholar] [CrossRef]




| Features | Total N = 111 | Sarcopenia N = 70 | No Sarcopenia N = 41 | p-Value |
|---|---|---|---|---|
| Age, Median (min–max) [years] | 65 (35–88) | 67 (35–88) | 63 (38–82) | 0.068 a |
| Sex, N (%) | 0.150 c | |||
| Male | 98 (88.3) | 64 (91.4) | 34 (82.9) | |
| Female | 13 (11.7) | 6 (8.6) | 7 (17.1) | |
| ASA classification, N (%) | 0.570 b | |||
| ASA 1 | 3 (2.7) | 1 (1.4) | 2 (4.9) | |
| ASA 2 | 54 (48.6) | 33 (47.1) | 21 (51.2) | |
| ASA 3 | 53 (47.7) | 35 (50.0) | 18 (43.9) | |
| ASA 4 | 1 (0.9) | 1 (1.4) | 0 (0.0) | |
| CCI ≥ 5 | 15 (13.5) | 12 (17.1) | 3 (7.3) | 0.118 c |
| BMI, M ± SD [kg/m2] | 26.7 ± 5.1 | 25.6 ± 5.1 | 28.5 ± 4.5 | <0.001 a |
| Smoking, N (%) | 34 (30.6) | 22 (31.4) | 12 (29.3) | 0.493 c |
| Pathology | 0.247 c | |||
| Adenocarcinoma | 89 (80.2) | 58 (82.9) | 31 (75.6) | |
| Other | 22 (19.8) | 12 (17.1) | 10 (24.4) | |
| Preoperative treatment | 0.462 c | |||
| FLOT | 69 (62.2) | 46 (65.7) | 23 (56.1) | |
| CROSS | 29 (26.1) | 15 (21.4) | 14 (34.1) | |
| None | 11 (9.9) | 8 (11.4) | 3 (7.3) | |
| Other | 2 (1.8) | 1 (1.4) | 1 (2.4) | |
| Anastomosis | 0.555 c | |||
| End-to-side | 57 (51.4) | 34 (48.6) | 23 (56.1) | |
| Side-to-side | 54 (48.6) | 36 (51.4) | 18 (43.9) | |
| pTNM stage | ||||
| pT * | 0.788 b | |||
| pT0 | 11 (9.9) | 7 (10.0) | 4 (9.8) | |
| pT1 | 17 (15.3) | 10 (14.3) | 7 (17.1) | |
| pT2 | 18 (16.2) | 10 (14.3) | 8 (19.5) | |
| pT3 | 57 (51.4) | 37 (52.9) | 20 (48.9) | |
| pT4 | 6 (5.4) | 5 (7.1) | 1 (2.4) | |
| pN * | 0.417 b | |||
| pN0 | 55 (49.5) | 31 (44.3) | 24 (58.5) | |
| pN1 | 26 (23.4) | 17 (24.3) | 9 (22.0) | |
| pN2 | 20 (18.0) | 15 (21.4) | 5 (12.2) | |
| pN3 | 8 (7.2) | 6 (8.6) | 2 (4.9) | |
| R0 resection | 106 (95.5) | 67 (95.7) | 39 (95.1) | 0.538 c |
| Number of resected lymph nodes | 35.6 ± 13.3 | 35 ± 14.1 | 36.5 ± 11.9 | 0.614 a |
| Length of surgery [min] | 401.3 ± 77.7 | 405.3 ± 85.5 | 394.5 ± 62.7 | 0.564 a |
| VFA (cm2) | 191.9 ± 119.0 | 174.0 ± 115.2 | 222.4 ± 120.5 | 0.034 a |
| SFA (cm2) | 193.5 ± 110.1 | 177.5 ± 104.4 | 220.7 ± 115.5 | 0.037 a |
| TAMA (cm2/m2) | 152.8 ± 29.5 | 140.9 ± 22.0 | 173.0 ± 30.0 | <0.001 a |
| VFA/TAMA | 1.2 ± 0.7 | 1.2 ± 0.8 | 1.3 ± 0.7 | 0.494 a |
| VFA/SFA | 1.1 ± 0.6 | 1.1 ± 0.7 | 1.1 ± 0.6 | 0.505 a |
| Features | Total N = 111 | Sarcopenia N = 70 (64 Male; 6 Female) | No Sarcopenia N = 41 (34 Male; 7 Female) | p-Value |
|---|---|---|---|---|
| Postoperative complications according to DC | 0.839 a | |||
| Grade 0 | 47 (42.3) | 31 (44.3) | 16 (39.0) | |
| Grade 1 | 0 (0.0) | 0 (0.0) | 0 (0.0) | |
| Grade 2 | 30 (27.0) | 17 (24.3) | 13 (31.7) | |
| Grade 3 | 21 (18.9) | 13 (18.6) | 8 (19.5) | |
| Grade 4 | 6 (5.4) | 4 (5.7) | 2 (4.9) | |
| Grade 5 | 7 (6.3) | 5 (7.1) | 2 (4.9) | |
| Major complication DC ≥ 3b | 28 (25.2) | 18 (25.7) | 10 (24.4) | 0.532 b |
| 30-day mortality | 2 (1.8) | 2 (2.9) | 0 (0.0) | 0.530 b |
| Failure-to-rescue rate | 10.9 | 12.8 | 8.0 | 0.695 b |
| Anastomotic leakage | 14 (12.6) | 9 (12.9) | 5 (12.2) | 0.584 b |
| Endoscopic vacuum treatment | 13 (11.7) | 8 (11.4) | 5 (12.2) | 0.565 b |
| Pneumonia | 34 (30.6) | 21 (30.0) | 13 (31.7) | 0.507 b |
| Length of stay (mean ± SD), days | 20.6 ± 13.4 | 21.0 ± 13.5 | 19.9 ± 13.3 | 0.474 c |
| Postoperative Complication | ||||||
|---|---|---|---|---|---|---|
| Male | Female | |||||
| Pneumonia | Yes (N = 31) | No (N = 67) | p-value | Yes (N = 3) | No (N = 10) | p-value |
| SMI | 47.406 ± 8.368 | 49.966 ± 6.367 | 0.113 | 38.619 ± 4.473 | 39.647 ± 7.826 | 0.866 |
| VFA (cm2) | 206.096 ± 129.445 | 200.843 ± 115.175 | 0.870 | 112.930 ± 46.321 | 111.442 ± 94.544 | 0.866 |
| SFA (cm2) | 188.101 ± 113.591 | 191.358 ± 106.999 | 0.888 | 180.983 ± 87.683 | 227.951 ± 134.487 | 0.866 |
| TAMA (cm2/m2) | 151.725 ± 28.538 | 162.291 ± 22.308 | 0.051 | 101.437 ± 14.965 | 107.639 ± 20.541 | 0.612 |
| VFA/TAMA | 1.382 ± 0.934 | 1.223 ± 0.667 | 0.574 | 1.159 ± 0.620 | 1.022 ± 0.785 | 0.866 |
| VFA/SFA | 1.159 ± 0.761 | 1.133 ± 0.587 | 0.734 | 0.697 ± 0.270 | 0.470 ± 0.327 | 0.237 |
| Anastomotic leakage | Yes (N = 9) | No (N = 89) | p-value | Yes (N = 5) | No (N = 8) | p-value |
| SMI | 45.996 ± 8.448 | 49.476 ± 6.946 | 0.129 | 38.971 ± 5.496 | 39.684 ± 8.205 | 0.770 |
| VFA (cm2) | 234.494 ± 154.608 | 199.270 ± 115.670 | 0.442 | 132.256 ± 92.715 | 98.991 ± 81.902 | 0.558 |
| SFA (cm2) | 181.114 ± 119.156 | 191.260 ± 108.109 | 0.917 | 175.432 ± 73.180 | 243.163 ± 145.264 | 0.661 |
| TAMA (cm2) | 148.346 ± 28.814 | 160.021 ± 24.282 | 0.186 | 104.484 ± 17.455 | 107.285 ± 21.014 | 0.661 |
| VFA/TAMA | 1.579 ± 1.172 | 1.242 ± 0.708 | 0.428 | 1.229 ± 0.746 | 0.944 ± 0.745 | 0.661 |
| VFA/SFA | 1.291 ± 0.773 | 1.126 ± 0.632 | 0.526 | 0.749 ± 0.367 | 0.381 ± 0.197 | 0.143 |
| Anastomotic Leakage | |||
|---|---|---|---|
| Adenocarcinoma (N = 89) | Yes (N = 5) | No (N = 84) | p-value |
| SMI | 46.469 ± 9.507 | 48.304 ± 7.900 | 0.510 |
| BMI | 27.278 ± 2.382 | 26.890 ± 5.148 | 0.510 |
| Other malignancies (N = 22) | N = 9 | N = 13 | p-value |
| SMI | 41.830 ± 7.243 | 51.021 ± 3.769 | 0.003 |
| BMI | 23.759 ± 5.984 | 27.009 ± 4.285 | 0.096 |
Disclaimer/Publisher’s Note: The statements, opinions and data contained in all publications are solely those of the individual author(s) and contributor(s) and not of MDPI and/or the editor(s). MDPI and/or the editor(s) disclaim responsibility for any injury to people or property resulting from any ideas, methods, instructions or products referred to in the content. |
© 2024 by the authors. Licensee MDPI, Basel, Switzerland. This article is an open access article distributed under the terms and conditions of the Creative Commons Attribution (CC BY) license (https://creativecommons.org/licenses/by/4.0/).
Share and Cite
Herzberg, J.; Strate, T.; Passlack, L.; Guraya, S.Y.; Honarpisheh, H. Effect of Preoperative Body Composition on Postoperative Anastomotic Leakage in Oncological Ivor Lewis Esophagectomy—A Retrospective Cohort Study. Cancers 2024, 16, 4217. https://doi.org/10.3390/cancers16244217
Herzberg J, Strate T, Passlack L, Guraya SY, Honarpisheh H. Effect of Preoperative Body Composition on Postoperative Anastomotic Leakage in Oncological Ivor Lewis Esophagectomy—A Retrospective Cohort Study. Cancers. 2024; 16(24):4217. https://doi.org/10.3390/cancers16244217
Chicago/Turabian StyleHerzberg, Jonas, Tim Strate, Leon Passlack, Salman Yousuf Guraya, and Human Honarpisheh. 2024. "Effect of Preoperative Body Composition on Postoperative Anastomotic Leakage in Oncological Ivor Lewis Esophagectomy—A Retrospective Cohort Study" Cancers 16, no. 24: 4217. https://doi.org/10.3390/cancers16244217
APA StyleHerzberg, J., Strate, T., Passlack, L., Guraya, S. Y., & Honarpisheh, H. (2024). Effect of Preoperative Body Composition on Postoperative Anastomotic Leakage in Oncological Ivor Lewis Esophagectomy—A Retrospective Cohort Study. Cancers, 16(24), 4217. https://doi.org/10.3390/cancers16244217

