Single-Stage Image-Guided Percutaneous Ablation with Thoracoscopic Resection for Multiple Pulmonary Lesions in a Hybrid Operating Room: A Retrospective Study
Simple Summary
Abstract
1. Introduction
2. Materials and Methods
2.1. Study Design and Patients
2.2. Anesthesia and Surgical Preparation
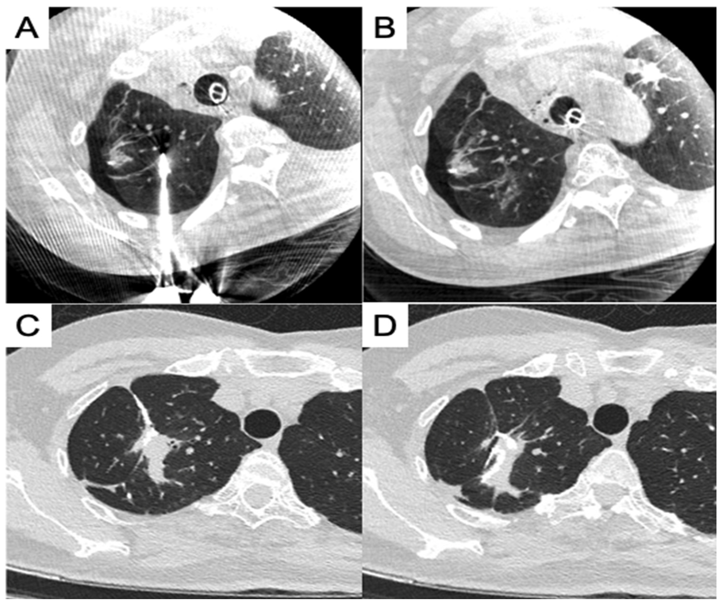
2.3. Image-Guided Lung Ablation
2.4. Image-Guided VATS
2.5. Postoperative Care
2.6. Data Collection
2.7. Statistical Analysis
3. Results
4. Discussion
5. Conclusions
Author Contributions
Funding
Institutional Review Board Statement
Informed Consent Statement
Data Availability Statement
Conflicts of Interest
References
- Schmid-Bindert, G.; Vogel-Claussen, J.; Gütz, S.; Fink, J.; Hoffmann, H.; Eichhorn, M.E.; Herth, F.J.F. Incidental pulmonary nodules—What do we know in 2022. Respiration 2022, 101, 1024–1034. [Google Scholar] [CrossRef]
- National Lung Screening Trial Research Team; Aberle, D.R.; Adams, A.M.; Berg, C.D.; Black, W.C.; Clapp, J.D.; Fagerstrom, R.M.; Gareen, I.F.; Gatsonis, C.; Marcus, P.M.; et al. Reduced lung-cancer mortality with low-dose computed tomographic screening. N. Engl. J. Med. 2011, 365, 395–409. [Google Scholar] [CrossRef]
- de Koning, H.J.; van der Aalst, C.M.; de Jong, P.A.; Scholten, E.T.; Nackaerts, K.; Heuvelmans, M.A.; Lammers, J.J.; Weenink, C.; Yousaf-Khan, U.; Horeweg, N.; et al. Reduced lung cancer mortality with volume CT screening in a randomized trial. N. Engl. J. Med. 2020, 382, 503–513. [Google Scholar] [CrossRef]
- Lin, M.W.; Chen, J.S. Image-guided techniques for localizing pulmonary nodules in thoracoscopic surgery. J. Thorac. Dis. 2016, 8, S749–S755. [Google Scholar] [CrossRef]
- Ettinger, D.S.; Wood, D.E.; Aisner, D.L.; Akerley, W.; Bauman, J.R.; Bharat, A.; Bruno, D.S.; Chang, J.Y.; Chirieac, L.R.; D’Amico, T.A.; et al. NCCN guidelines insights: Non-small cell lung cancer, Version 2.2021. J. Natl. Compr. Canc Netw. 2021, 19, 254–266. [Google Scholar] [CrossRef]
- Gould, M.K.; Donington, J.; Lynch, W.R.; Mazzone, P.J.; Midthun, D.E.; Naidich, D.P.; Wiener, R.S. Evaluation of individuals with pulmonary nodules: When is it lung cancer? Diagnosis and management of lung cancer, 3rd ed: American College of Chest Physicians evidence-based clinical practice guidelines. Chest 2013, 143, e93S–e120S. [Google Scholar] [CrossRef]
- Moyer, V.A.; U.S. Preventive Services Task Force. Screening for lung cancer: U.S. Preventive Services Task Force recommendation statement. Ann. Intern. Med. 2014, 160, 330–338. [Google Scholar] [CrossRef]
- MacMahon, H.; Naidich, D.P.; Goo, J.M.; Lee, K.S.; Leung, A.N.C.; Mayo, J.R.; Mehta, A.C.; Ohno, Y.; Powell, C.A.; Prokop, M.; et al. Guidelines for management of incidental pulmonary nodules detected on CT images: From the Fleischner Society 2017. Radiology 2017, 284, 228–243. [Google Scholar] [CrossRef]
- Postmus, P.E.; Kerr, K.M.; Oudkerk, M.; Senan, S.; Waller, D.A.; Vansteenkiste, J.; Escriu, C.; Peters, S.; ESMO Guidelines Committee. Early and locally advanced non-small-cell lung cancer (NSCLC): ESMO Clinical Practice Guidelines for diagnosis, treatment and follow-up. Ann. Oncol. 2017, 28, iv1–iv21. [Google Scholar] [CrossRef]
- Donahoe, L.L.; Nguyen, E.T.; Chung, T.B.; Kha, L.C.; Cypel, M.; Darling, G.E.; de Perrot, M.; Keshavjee, S.; Pierre, A.F.; Waddell, T.K.; et al. CT-guided microcoil VATS resection of lung nodules: A single-centre experience and review of the literature. J. Thorac. Dis. 2016, 8, 1986–1994. [Google Scholar] [CrossRef]
- Huang, Y.H.; Chen, K.C.; Chen, J.S. Ultrasound for intraoperative localization of lung nodules during thoracoscopic surgery. Ann. Transl. Med. 2019, 7, 37. [Google Scholar] [CrossRef]
- Ko, W.C.; Lee, Y.F.; Chen, Y.C.; Chien, N.; Huang, Y.S.; Tseng, Y.H.; Lee, J.M.; Hsu, H.H.; Chen, J.S.; Chang, Y.C. CT-guided percutaneous microwave ablation of pulmonary malignant tumors. J. Thorac. Dis. 2016, 8, S659–S665. [Google Scholar] [CrossRef]
- Bhatia, S.; Pereira, K.; Mohan, P.; Narayanan, G.; Wangpaichitr, M.; Savaraj, N. Radiofrequency ablation in primary non-small cell lung cancer: What a radiologist needs to know. Indian J. Radiol. Imaging 2016, 26, 81–91. [Google Scholar] [CrossRef]
- Wang, Y.; Song, S.; Huang, J. Clinical and pathological research status of multiple pulmonary nodules. J. Cancer Ther. 2023, 14, 170–181. [Google Scholar] [CrossRef]
- Chockalingam, A.; Konstantinidis, M.; Koo, B.; Moon, J.T.; Tran, A.; Nourouzpour, S.; Lawson, E.; Fox, K.; Habibollahi, P.; Odisio, B.; et al. Surgical resection, radiotherapy and percutaneous thermal ablation for treatment of stage 1 non-small cell lung cancer: Protocol for a systematic review and network meta-analysis. BMJ Open 2022, 12, e057638. [Google Scholar] [CrossRef]
- Palussiere, J.; Catena, V.; Buy, X. Percutaneous thermal ablation of lung tumors—Radiofrequency, microwave and cryotherapy: Where are we going? Diagn. Interv. Imaging 2017, 98, 619–625. [Google Scholar] [CrossRef]
- Li, G.; Xue, M.; Chen, W.; Yi, S. Efficacy and safety of radiofrequency ablation for lung cancers: A systematic review and meta-analysis. Eur. J. Radiol. 2018, 100, 92–98. [Google Scholar] [CrossRef]
- Healey, T.T.; March, B.T.; Baird, G.; Dupuy, D.E. Microwave ablation for lung neoplasms: A retrospective analysis of long-term results. J. Vasc. Interv. Radiol. 2017, 28, 206–211. [Google Scholar] [CrossRef]
- Knavel, E.M.; Brace, C.L. Tumor ablation: Common modalities and general practices. Tech. Vasc. Interv. Radiol. 2013, 16, 192–200. [Google Scholar] [CrossRef]
- Bailey, C.W.; Sydnor, M.K., Jr. Current state of tumor ablation therapies. Dig. Dis. Sci. 2019, 64, 951–958. [Google Scholar] [CrossRef]
- Alexander, E.S.; Dupuy, D.E. Lung cancer ablation: Technologies and techniques. Semin. Intervent Radiol. 2013, 30, 141–150. [Google Scholar] [CrossRef]
- Abtin, F.G.; Eradat, J.; Gutierrez, A.J.; Lee, C.; Fishbein, M.C.; Suh, R.D. Radiofrequency ablation of lung tumors: Imaging features of the postablation zone. Radiographics 2012, 32, 947–969. [Google Scholar] [CrossRef]
- Mouli, S.K.; Kurilova, I.; Sofocleous, C.T.; Lewandowski, R.J. The role of percutaneous image-guided thermal ablation for the treatment of pulmonary malignancies. AJR Am. J. Roentgenol. 2017, 209, 740–751. [Google Scholar] [CrossRef]
- Howington, J.A.; Blum, M.G.; Chang, A.C.; Balekian, A.A.; Murthy, S.C. Treatment of stage I and II non-small cell lung cancer: Diagnosis and management of lung cancer, 3rd ed: American College of Chest Physicians evidence-based clinical practice guidelines. Chest 2013, 143, e278S–e313S. [Google Scholar] [CrossRef]
- Genshaft, S.J.; Suh, R.D.; Abtin, F.; Baerlocher, M.O.; Dariushnia, S.R.; Devane, A.M.; Himes, E.; Lisberg, A.; Padia, S.; Patel, S.; et al. Society of Interventional Radiology Quality Improvement Standards on percutaneous ablation of non-small cell lung cancer and metastatic disease to the lungs. J. Vasc. Interv. Radiol. 2021, 32, e1–e10. [Google Scholar] [CrossRef]
- Venturini, M.; Cariati, M.; Marra, P.; Masala, S.; Pereira, P.L.; Carrafiello, G. CIRSE standards of practice on thermal ablation of primary and secondary lung tumours. Cardiovasc. Intervent Radiol. 2020, 43, 667–683. [Google Scholar] [CrossRef]
- Liu, H.; Song, Y. MDT is still important in the treatment of early-stage lung cancer. J. Thorac. Dis. 2018, 10, S3984–S3985. [Google Scholar] [CrossRef]
- Abbas, G.; Pennathur, A.; Landreneau, R.J.; Luketich, J.D. Radiofrequency and microwave ablation of lung tumors. J. Surg. Oncol. 2009, 100, 645–650. [Google Scholar] [CrossRef]
- Fan, W.; Li, X.; Zhang, L.; Jiang, H.; Zhang, J. Comparison of microwave ablation and multipolar radiofrequency ablation in vivo using two internally cooled probes. AJR Am. J. Roentgenol. 2012, 198, W46–W50. [Google Scholar] [CrossRef]
- Andreano, A.; Huang, Y.; Meloni, M.F.; Lee, F.T., Jr.; Brace, C. Microwaves create larger ablations than radiofrequency when controlled for power in ex vivo tissue. Med. Phys. 2010, 37, 2967–2973. [Google Scholar] [CrossRef]
- Crocetti, L.; Bozzi, E.; Faviana, P.; Cioni, D.; Della Pina, C.; Sbrana, A.; Fontanini, G.; Lencioni, R. Thermal ablation of lung tissue: In vivo experimental comparison of microwave and radiofrequency. Cardiovasc. Interv. Radiol. 2010, 33, 818–827. [Google Scholar] [CrossRef]
- Li, H.W.; Long, Y.J.; Yan, G.W.; Bhetuwal, A.; Zhuo, L.H.; Yao, H.C.; Zhang, J.; Zou, X.X.; Hu, P.X.; Yang, H.F.; et al. Microwave ablation vs. cryoablation for treatment of primary and metastatic pulmonary malignant tumors. Mol. Clin. Oncol. 2022, 16, 62. [Google Scholar] [CrossRef]
- Chaudhry, A.; Grechushkin, V.; Hoshmand, M.; Kim, C.W.; Pena, A.; Huston, B.; Chaya, Y.; Bilfinger, T.; Moore, W. Characteristic CT findings after percutaneous cryoablation treatment of malignant lung nodules. Medicine 2015, 94, e1672. [Google Scholar] [CrossRef]
- Liu, S.; Liang, B.; Li, Y.; Xu, J.; Qian, W.; Lin, M.; Xu, M.; Niu, L. CT-guided percutaneous cryoablation in patients with lung nodules mainly composed of ground-glass opacities. J. Vasc. Interv. Radiol. 2022, 33, 942–948. [Google Scholar] [CrossRef]
- Chang, L.K.; Yang, S.M.; Chien, N.; Chang, C.C.; Fang, H.Y.; Liu, M.C.; Wang, K.L.; Lin, W.C.; Lin, F.C.F.; Chuang, C.Y.; et al. 2024 multidisciplinary consensus on image-guided lung tumor ablation from the Taiwan Academy of Tumor Ablation. Thorac. Cancer 2024, 15, 1607–1613. [Google Scholar] [CrossRef]
- Murphy, M.C.; Wrobel, M.M.; Fisher, D.A.; Cahalane, A.M.; Fintelmann, F.J. Update on image-guided thermal lung ablation: Society guidelines, therapeutic alternatives, and Postablation imaging findings. Am. J. Roentgenol. 2022, 219, 471–485. [Google Scholar] [CrossRef]
- Ng, C.S.H.; Krimsky, W.S.; Yasufuku, K. The hybrid operating room in modern thoracic surgery. Front. Surg. 2021, 8, 725897. [Google Scholar] [CrossRef]
- Yang, S.M.; Chung, W.Y.; Ko, H.J.; Chen, L.C.; Chang, L.K.; Chang, H.C.; Kuo, S.W.; Ho, M.C. Single-stage augmented fluoroscopic bronchoscopy localization and thoracoscopic resection of small pulmonary nodules in a hybrid operating room. Eur. J. Cardiothorac. Surg. 2022, 63, ezac541. [Google Scholar] [CrossRef]
- Spenkelink, I.M.; Heidkamp, J.; Futterer, J.J.; Rovers, M.M. Image guided procedures in the hybrid operating room: A systematic scoping review. PLoS ONE 2022, 17, e0266341. [Google Scholar] [CrossRef]
- Harrison, O.J.; Sarvananthan, S.; Tamburrini, A.; Peebles, C.; Alzetani, A. Image-guided combined ablation and resection in thoracic surgery for the treatment of multiple pulmonary metastases: A preliminary case series. JTCVS Tech. 2021, 9, 156–162. [Google Scholar] [CrossRef]
- Chang, L.K.; Yang, S.M.; Chung, W.Y.; Chen, L.C.; Chang, H.C.; Ho, M.C.; Chang, Y.C.; Yu, C.J. Cone-beam computed tomography image-guided percutaneous microwave ablation for lung nodules in a hybrid operating room: An initial experience. Eur. Radiol. 2024, 34, 3309–3319. [Google Scholar] [CrossRef]
- Chan, P.S.; Chang, L.K.; Malwade, S.; Chung, W.Y.; Yang, S.M. Cone beam CT derived laser-guided percutaneous lung ablation: Minimizing needle-related complications under general anesthesia with lung separation. Acad. Radiol. 2024; in press. [Google Scholar] [CrossRef]
- Yang, S.M.; Malwade, S.; Chung, W.Y.; Wu, W.T.; Chen, L.C.; Chang, L.K.; Change, H.C.; Chan, P.S.; Kuo, S.W. Augmented fluoroscopy-guided dye localization for small pulmonary nodules in hybrid operating room: Intrathoracic stamping versus transbronchial marking. Int. J. Comput. Assist. Radiol. Surg. 2024, 1–11. [Google Scholar] [CrossRef]
- Yang, S.M.; Malwade, S.; Chung, W.Y.; Chen, L.C.; Chang, L.K.; Chang, H.C.; Chan, P.S.; Kuo, S.W. Nontraumatic intraoperative pulmonary nodule localization with laser guide stamping in a hybrid operating room. Updates Surg. 2024, 1–10. [Google Scholar] [CrossRef]
- Loverdos, K.; Fotiadis, A.; Kontogianni, C.; Iliopoulou, M.; Gaga, M. Lung nodules: A comprehensive review on current approach and management. Ann. Thorac. Med. 2019, 14, 226–238. [Google Scholar] [CrossRef]
- Gill, R.R.; Barlow, J.; Jaklitsch, M.T.; Schmidlin, E.J.; Hartigan, P.M.; Bueno, R. Image-guided video-assisted thoracoscopic resection (iVATS): Translation to clinical practice—Real-world experience. J. Surg. Oncol. 2020, 121, 1225–1232. [Google Scholar] [CrossRef]
- Owen, D.; Olivier, K.R.; Mayo, C.S.; Miller, R.C.; Nelson, K.; Bauer, H.; Brown, P.D.; Park, S.S.; Ma, D.J.; Garces, Y.I. Outcomes of stereotactic body radiotherapy (SBRT) treatment of multiple synchronous and recurrent lung nodules. Radiat. Oncol. 2015, 10, 43. [Google Scholar] [CrossRef]



| No. | Sex | Age (Years) | 1st Stage | Localization for VATS | 2nd Stage | ||||||||
|---|---|---|---|---|---|---|---|---|---|---|---|---|---|
| Location | Size | Depth | Procedure | Duration | Location | Size | Depth | Procedure | Duration | ||||
| 1 | F | 36 | LUL | 5.6 | 24.6 | MWA | 77 | Transbronchial | RUL | 1.1 | 0.5 | Wedge | 73 |
| 2 | F | 43 | RUL | 7.7 | 27.5 | Cryo | 60 | Transbronchial | RLL | 9.5 | 13.3 | Segmentectomy | 94 |
| 3 | F | 55 | RUL | 6.6 | 18.6 | MWA | 78 | Transbronchial | RUL | 5.8 | 9.4 | Wedge | 65 |
| 4 | F | 54 | RUL | 7.4 | 39.3 | MWA | 21 | Transthoracic | RML | 7.2 | 9.6 | Wedge | 58 |
| 5 | F | 68 | RLL | 15.6 | 61.3 | MWA | 57 | - | RLL | 14.2 | 6.0 | Wedge | 88 |
| 6 | F | 57 | RUL | 5.9 | 20.7 | MWA | 70 | Transthoracic | RUL | 7.3 | 4.2 | Wedge | 95 |
| 7 | M | 60 | RLL | 20.9 | 44.7 | Cryo | 49 | - | RML | 18.3 | 13.1 | Wedge | 89 |
| 8 | M | 42 | RUL | 6.7 | 30.5 | MWA | 71 | Transthoracic | RUL × 2 | 12.4/6.3 | 14.5/6.7 | Wedge × 2 | 127 |
| 9 | F | 68 | LUL | 6.2 | 21.9 | MWA | 47 | Transthoracic | LUL | 11.6 | 13.9 | Wedge | 75 |
| 10 | F | 58 | RUL | 7.4 | 39.3 | MWA | 24 | - | RUL | 14.8 | 15.5 | Wedge | 105 |
| 11 | F | 54 | RUL | 37.8 | 17.5 | MWA | 42 | - | RML | 8.2 | 4.0 | Wedge | 41 |
| 12 | F | 44 | LLL | 8.4 | 30.1 | MWA | 46 | Transthoracic | LLL | 6.0 | 3.6 | Wedge | 71 |
| 13 | F | 43 | RUL/RLL × 2 | 9.4 13.3/11.1 | 35.5 30.8/18.9 | MWA | 78 | Transthoracic | RLL | 9.4 | 12.2 | Wedge | 120 |
| 14 | F | 63 | RLL | 7.8 | 23.9 | MWA | 61 | Transthoracic | RUL | 5.3 | 3.1 | Wedge | 30 |
| 15 | F | 33 | LUL | 5.1 | 22.2 | MWA | 30 | Transthoracic | LLL × 2 | 8.4/5.8 | 4.4/11.1 | Wedge × 2 | 118 |
| 16 | M | 57 | RML | 10.3 | 25.2 | MWA | 18 | - | RUL | 36.6 | 9.8 | Lobectomy | 118 |
| 17 | F | 64 | LUL | 8.9 | 31.4 | MWA | 45 | - | LUL/LLL | 14.4/14.1 | 13.1/35.5 | Wedge/Segmentectomy | 172 |
| 18 | F | 43 | RUL | 8.1 | 52.1 | MWA | 68 | Transthoracic | RUL | 6.6 | 4.1 | Wedge | 38 |
| 19 | F | 65 | RUL | 8.1 | 3.4 | Wedge | 50 | Transthoracic | RUL | 4.8 | 27.6 | MWA | 88 |
| 20 | M | 52 | RUL | 10.4 | 40.4 | MWA | 38 | Transthoracic | RLL/RLL | 6.3/10.2 | 12.2/7.2 | Wedge/Segmentectomy | 170 |
| 21 | F | 66 | RUL | 13.3 | 19.2 | MWA | 31 | Transbronchial | LUL | 30.2 | 15.7 | Segmentectomy | 102 |
| 22 | F | 68 | RUL | 11.4 | 25.7 | MWA | 32 | Transbronchial | LLL | 40.8 | 12.8 | Segmentectomy | 110 |
| Median | 56 | 8.2 | 26.6 | 48 | 8.9 | 10.5 | 91.5 | ||||||
| IQR | 21 | 7.1–11.3 | 21.3–37.4 | 32–68 | 6.3–14.2 | 4.4–13.3 | 72–114 | ||||||
| No. | Fluoroscopy Duration (min) | Number of Dyna CT Scans | Total DAP (μGym2) | Total Ana Time | Global OR Time | Complications | LOS | Histology | Postoperative Follow-Up Interval (mo) | Evidence of Residual Disease or Recurrence | |
|---|---|---|---|---|---|---|---|---|---|---|---|
| Needle Biopsy | Resection | ||||||||||
| 1 | 2.7 | 14 | 12,449 | 210 | 220 | - | 1 | - | Adenocarcinoma | 27 | No |
| 2 | 2.8 | 7 | 17,436 | 222 | 232 | - | 2 | - | MIA | 26 | No |
| 3 | 4.7 | 8 | 32,943 | 223 | 229 | - | 1 | - | AIS | 22 | No |
| 4 | 1.9 | 6 | 6243 | 157 | 162 | - | 1 | - | AIS | 22 | No |
| 5 | 2.7 | 9 | 14,032 | 227 | 240 | - | 3 | AIS at least | Sclerosing pneumocytoma | 20 | No |
| 6 | 2.7 | 9 | 16,095 | 233 | 243 | - | 2 | Benign alveolar parenchyma | AIS | 19 | No |
| 7 | 1.2 | 6 | 5416.3 | 202 | 218 | 1 | - | Adenocarcinoma | 18 | No | |
| 8 | 5.1 | 9 | 32,305 | 205 | 214 | Hemothorax | 8 | - | AIS × 2 | 17 | No |
| 9 | 2.7 | 12 | 13,794 | 225 | 235 | - | 2 | - | Adenocarcinoma | 15 | No |
| 10 | 2.2 | 6 | 14,119 | 193 | 196 | - | 2 | - | Adenocarcinoma | 15 | No |
| 11 | 1.6 | 5 | 11,764 | 162 | 180 | - | 2 | - | Adenocarcinoma | 10 | |
| 12 | 1.6 | 9 | 8871.2 | 169 | 182 | - | 2 | AIS at least | AIS | 11 | No |
| 13 | 2.2 | 14 | 36,430 | 264 | 277 | Prolonged air leak | 6 | - | Metastatic colon cancer | 8 | |
| 14 | 3.2 | 12 | 7514.5 | 172 | 192 | - | 2 | Benign alveolar parenchyma | AIS | 10 | No |
| 15 | 2.9 | 10 | 17,422 | 196 | 210 | - | 2 | Adenocarcinoma | AIS/AAH | 9 | No |
| 16 | 1.7 | 9 | 30,818 | 242 | 253 | - | 2 | AIS at least | Adenocarcinoma | 6 | No |
| 17 | 1.2 | 8 | 22,704 | 296 | 302 | - | 2 | - | MIA/MIA | 5 | No |
| 18 | 1.2 | 9 | 11,878 | 162 | 185 | - | 1 | AAH | AIS | 4 | No |
| 19 | 1.6 | 10 | 17,482 | 216 | 226 | - | 3 | - | AIS | 3 | No |
| 20 | 1.8 | 8 | 13,042 | 281 | 291 | - | 2 | - | AIS/MIA | 3 | No |
| 21 | 3.3 | 8 | 5566.8 | 375 * | 380 * | - | 4 | - | Metastatic colon cancer | 1 | No |
| 22 | 5.2 | 9 | 22,354 | 240 | 249 | - | 3 | AIS at least | Adenocarcinoma | 1 | No |
| Median | 2.5 | 9 | 14,076 | 219 | 227 | 2 | 10.5 | ||||
| IQR | 1.6–2.9 | 8–10 | 11,764–22,354 | 193–240 | 196–249 | 2–3 | 5–19 | ||||
Disclaimer/Publisher’s Note: The statements, opinions and data contained in all publications are solely those of the individual author(s) and contributor(s) and not of MDPI and/or the editor(s). MDPI and/or the editor(s) disclaim responsibility for any injury to people or property resulting from any ideas, methods, instructions or products referred to in the content. |
© 2024 by the authors. Licensee MDPI, Basel, Switzerland. This article is an open access article distributed under the terms and conditions of the Creative Commons Attribution (CC BY) license (https://creativecommons.org/licenses/by/4.0/).
Share and Cite
Chang, L.-K.; Su, P.-K.; Chan, P.-S.; Malwade, S.; Chung, W.-Y.; Yang, S.-M. Single-Stage Image-Guided Percutaneous Ablation with Thoracoscopic Resection for Multiple Pulmonary Lesions in a Hybrid Operating Room: A Retrospective Study. Cancers 2024, 16, 3512. https://doi.org/10.3390/cancers16203512
Chang L-K, Su P-K, Chan P-S, Malwade S, Chung W-Y, Yang S-M. Single-Stage Image-Guided Percutaneous Ablation with Thoracoscopic Resection for Multiple Pulmonary Lesions in a Hybrid Operating Room: A Retrospective Study. Cancers. 2024; 16(20):3512. https://doi.org/10.3390/cancers16203512
Chicago/Turabian StyleChang, Ling-Kai, Po-Keng Su, Pak-Si Chan, Shwetambara Malwade, Wen-Yuan Chung, and Shun-Mao Yang. 2024. "Single-Stage Image-Guided Percutaneous Ablation with Thoracoscopic Resection for Multiple Pulmonary Lesions in a Hybrid Operating Room: A Retrospective Study" Cancers 16, no. 20: 3512. https://doi.org/10.3390/cancers16203512
APA StyleChang, L.-K., Su, P.-K., Chan, P.-S., Malwade, S., Chung, W.-Y., & Yang, S.-M. (2024). Single-Stage Image-Guided Percutaneous Ablation with Thoracoscopic Resection for Multiple Pulmonary Lesions in a Hybrid Operating Room: A Retrospective Study. Cancers, 16(20), 3512. https://doi.org/10.3390/cancers16203512

