Exploring the Outcome of Disappearance or Small Remnants of Colorectal Liver Metastases during First-Line Chemotherapy on Hepatobiliary Contrast-Enhanced and Diffusion-Weighted MR Imaging
Abstract
Simple Summary
Abstract
1. Introduction
2. Materials and Methods
2.1. Patients’ Population
- DLM in the case of vanished hepatic metastasis;
- Residual tiny liver metastases (RTLM) in the case of residual hepatic metastases ≤5 mm;
- Small residual liver metastases (SRLM) in the case of residual hepatic metastases >5 mm and ≤10 mm.
2.2. MR Imaging Protocol
2.3. Image Analysis
2.4. Statistical Analysis
3. Results
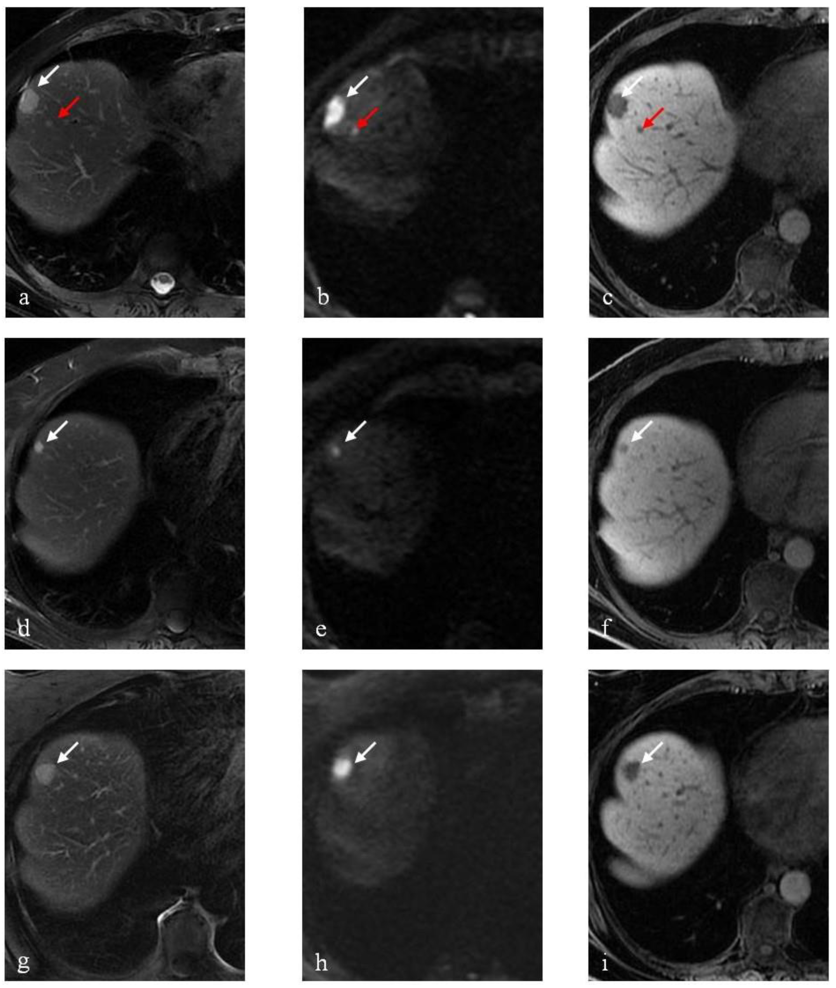
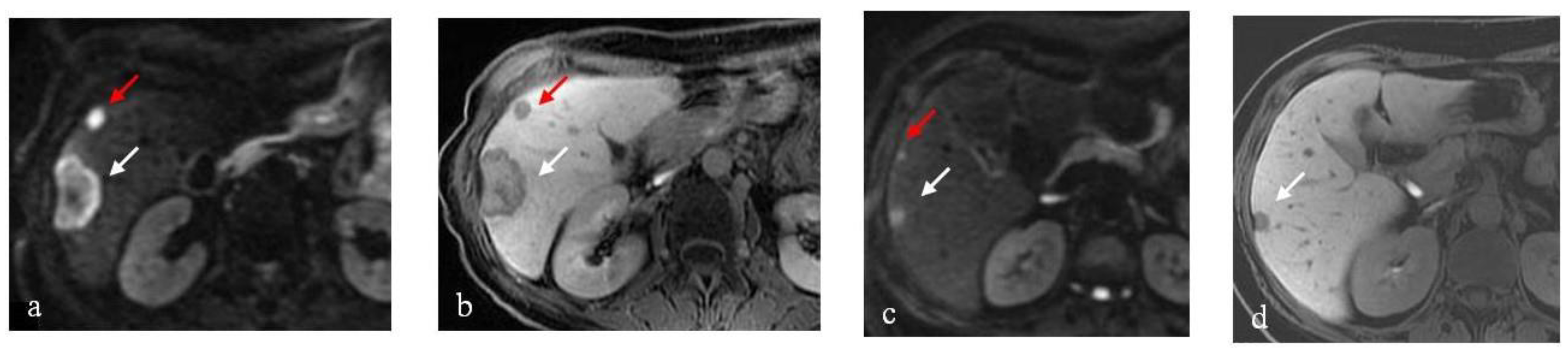
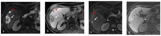
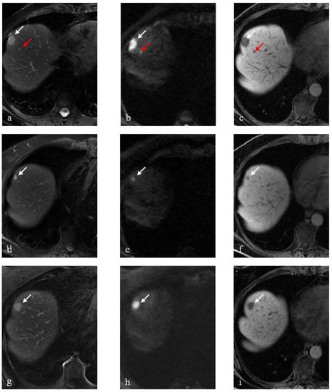
3.1. DLM Results
3.2. RTLM Results
3.3. SRLM Results
4. Discussion
5. Conclusions
Author Contributions
Funding
Institutional Review Board Statement
Informed Consent Statement
Data Availability Statement
Conflicts of Interest
References
- Jemal, A.; Bray, F.; Center, M.M.; Ferlay, J.; Ward, E.; Forman, D. Global Cancer Statistics. CA Cancer J. Clin. 2011, 61, 69–90. [Google Scholar] [CrossRef] [PubMed]
- Wong, S.H.; Yu, J. Gut Microbiota in Colorectal Cancer: Mechanisms of Action and Clinical Applications. Nat. Rev. Gastroenterol. Hepatol. 2019, 16, 690–704. [Google Scholar] [CrossRef]
- Alhinai, E.A.; Walton, G.E.; Commane, D.M. The Role of the Gut Microbiota in Colorectal Cancer Causation. Int. J. Mol. Sci. 2019, 20, 5295. [Google Scholar] [CrossRef] [PubMed]
- Feng, Q.; Liang, S.; Jia, H.; Stadlmayr, A.; Tang, L.; Lan, Z.; Zhang, D.; Xia, H.; Xu, X.; Jie, Z.; et al. Gut Microbiome Development along the Colorectal Adenoma-Carcinoma Sequence. Nat. Commun. 2015, 6, 6528. [Google Scholar] [CrossRef] [PubMed]
- Matos, A.P.; Velloni, F.; Ramalho, M.; AlObaidy, M.; Rajapaksha, A.; Semelka, R.C. Focal Liver Lesions: Practical Magnetic Resonance Imaging Approach. World J. Hepatol. 2015, 7, 1987. [Google Scholar] [CrossRef]
- Faivre, J.; Manfredi, S.; Bouvier, A.-M. Épidémiologie des métastases hépatiques des cancers colorectaux. Bull. Acad. Natl. Méd. 2003, 187, 815–823. [Google Scholar] [CrossRef]
- Zavadsky, K.E.; Lee, Y.T. Liver Metastases from Colorectal Carcinoma: Incidence, Resectability, and Survival Results. Am. Surg. 1994, 60, 929–933. [Google Scholar]
- Lau, W.Y.; Lai, E.C.H. Hepatic Resection for Colorectal Liver Metastases. Singapore Med. J. 2007, 48, 635–639. [Google Scholar]
- Cervantes, A.; Adam, R.; Roselló, S.; Arnold, D.; Normanno, N.; Taïeb, J.; Seligmann, J.; De Baere, T.; Osterlund, P.; Yoshino, T.; et al. Metastatic Colorectal Cancer: ESMO Clinical Practice Guideline for Diagnosis, Treatment and Follow-Up. Ann. Oncol. Off. J. Eur. Soc. Med. Oncol. 2023, 34, 10–32. [Google Scholar] [CrossRef]
- Kim, S.S.; Song, K.D.; Kim, Y.K.; Kim, H.C.; Huh, J.W.; Park, Y.S.; Park, J.O.; Kim, S.T. Disappearing or Residual Tiny (≤5 Mm) Colorectal Liver Metastases after Chemotherapy on Gadoxetic Acid-Enhanced Liver MRI and Diffusion-Weighted Imaging: Is Local Treatment Required? Eur. Radiol. 2017, 27, 3088–3096. [Google Scholar] [CrossRef]
- Chow, F.C.-L.; Chok, K.S.-H. Colorectal Liver Metastases: An Update on Multidisciplinary Approach. World J. Hepatol. 2019, 11, 150–172. [Google Scholar] [CrossRef]
- Germani, M.M.; Borelli, B.; Boraschi, P.; Antoniotti, C.; Ugolini, C.; Urbani, L.; Morelli, L.; Fontanini, G.; Masi, G.; Cremolini, C.; et al. The Management of Colorectal Liver Metastases Amenable of Surgical Resection: How to Shape Treatment Strategies According to Clinical, Radiological, Pathological and Molecular Features. Cancer Treat. Rev. 2022, 106, 102382. [Google Scholar] [CrossRef]
- Scharitzer, M.; Ba-Ssalamah, A.; Ringl, H.; Kölblinger, C.; Grünberger, T.; Weber, M.; Schima, W. Preoperative Evaluation of Colorectal Liver Metastases: Comparison between Gadoxetic Acid-Enhanced 3.0-T MRI and Contrast-Enhanced MDCT with Histopathological Correlation. Eur. Radiol. 2013, 23, 2187–2196. [Google Scholar] [CrossRef]
- Vreugdenburg, T.D.; Ma, N.; Duncan, J.K.; Riitano, D.; Cameron, A.L.; Maddern, G.J. Comparative Diagnostic Accuracy of Hepatocyte-Specific Gadoxetic Acid (Gd-EOB-DTPA) Enhanced MR Imaging and Contrast Enhanced CT for the Detection of Liver Metastases: A Systematic Review and Meta-Analysis. Int. J. Color. Dis. 2016, 31, 1739–1749. [Google Scholar] [CrossRef]
- Chung, W.-S.; Kim, M.-J.; Chung, Y.E.; Kim, Y.-E.; Park, M.-S.; Choi, J.-Y.; Kim, K.W. Comparison of Gadoxetic Acid-Enhanced Dynamic Imaging and Diffusion-Weighted Imaging for the Preoperative Evaluation of Colorectal Liver Metastases. J. Magn. Reson. Imaging JMRI 2011, 34, 345–353. [Google Scholar] [CrossRef]
- Asato, N.; Tsurusaki, M.; Sofue, K.; Hieda, Y.; Katsube, T.; Kitajima, K.; Murakami, T. Comparison of Gadoxetic Acid-Enhanced Dynamic MR Imaging and Contrast-Enhanced Computed Tomography for Preoperative Evaluation of Colorectal Liver Metastases. Jpn. J. Radiol. 2017, 35, 197–205. [Google Scholar] [CrossRef]
- Boraschi, P.; Donati, F.; Cervelli, R.; Pacciardi, F.; Tarantini, G.; Castagna, M.; Urbani, L.; Lencioni, R. Colorectal Liver Metastases: ADC as an Imaging Biomarker of Tumor Behavior and Therapeutic Response. Eur. J. Radiol. 2021, 137, 109609. [Google Scholar] [CrossRef]
- Moretto, R.; Borelli, B.; Boraschi, P.; Roffi, N.; Donati, F.; Antoniotti, C.; Della Pina, C.; Colombatto, P.; Balestri, R.; Signori, S.; et al. Impact of Baseline Gadoxetic Acid-Enhanced Liver Magnetic Resonance and Diffusion-Weighted Imaging in Resectable Colorectal Liver Metastases: A Prospective, Monocentric Study. Surg. Oncol. 2022, 44, 101836. [Google Scholar] [CrossRef]
- Aloysius, M.M.; Zaitoun, A.M.; Beckingham, I.J.; Neal, K.R.; Aithal, G.P.; Bessell, E.M.; Lobo, D.N. The Pathological Response to Neoadjuvant Chemotherapy with FOLFOX-4 for Colorectal Liver Metastases: A Comparative Study. Virchows Arch. Int. J. Pathol. 2007, 451, 943–948. [Google Scholar] [CrossRef]
- Andreou, A.; Kopetz, S.; Maru, D.M.; Chen, S.S.; Zimmitti, G.; Brouquet, A.; Shindoh, J.; Curley, S.A.; Garrett, C.; Overman, M.J.; et al. Adjuvant Chemotherapy with FOLFOX for Primary Colorectal Cancer Is Associated with Increased Somatic Gene Mutations and Inferior Survival in Patients Undergoing Hepatectomy for Metachronous Liver Metastases. Ann. Surg. 2012, 256, 642–650. [Google Scholar] [CrossRef]
- Auer, R.C.; White, R.R.; Kemeny, N.E.; Schwartz, L.H.; Shia, J.; Blumgart, L.H.; Dematteo, R.P.; Fong, Y.; Jarnagin, W.R.; D’Angelica, M.I. Predictors of a True Complete Response among Disappearing Liver Metastases from Colorectal Cancer after Chemotherapy. Cancer 2010, 116, 1502–1509. [Google Scholar] [CrossRef] [PubMed]
- Elias, D.; Goere, D.; Boige, V.; Kohneh-Sharhi, N.; Malka, D.; Tomasic, G.; Dromain, C.; Ducreux, M. Outcome of Posthepatectomy-Missing Colorectal Liver Metastases after Complete Response to Chemotherapy: Impact of Adjuvant Intra-Arterial Hepatic Oxaliplatin. Ann. Surg. Oncol. 2007, 14, 3188–3194. [Google Scholar] [CrossRef] [PubMed]
- Elias, D.; Youssef, O.; Sideris, L.; Dromain, C.; Baton, O.; Boige, V.; Ducreux, M. Evolution of Missing Colorectal Liver Metastases Following Inductive Chemotherapy and Hepatectomy. J. Surg. Oncol. 2004, 86, 4–9. [Google Scholar] [CrossRef] [PubMed]
- Tanaka, K.; Takakura, H.; Takeda, K.; Matsuo, K.; Nagano, Y.; Endo, I. Importance of Complete Pathologic Response to Prehepatectomy Chemotherapy in Treating Colorectal Cancer Metastases. Ann. Surg. 2009, 250, 935–942. [Google Scholar] [CrossRef] [PubMed]
- Tanaka, K.; Kumamoto, T.; Nojiri, K.; Takeda, K.; Ichikawa, Y.; Endo, I. Timing of Two-Stage Liver Resection during Chemotherapy for Otherwise Unresectable Colorectal Metastases. World J. Surg. 2012, 36, 1832–1841. [Google Scholar] [CrossRef]
- Benoist, S.; Brouquet, A.; Penna, C.; Julié, C.; El Hajjam, M.; Chagnon, S.; Mitry, E.; Rougier, P.; Nordlinger, B. Complete Response of Colorectal Liver Metastases after Chemotherapy: Does It Mean Cure? J. Clin. Oncol. Off. J. Am. Soc. Clin. Oncol. 2006, 24, 3939–3945. [Google Scholar] [CrossRef]
- Vilgrain, V.; Esvan, M.; Ronot, M.; Caumont-Prim, A.; Aubé, C.; Chatellier, G. A meta-analysis of diffusion-weighted and gadoxetic acid-enhanced MR imaging for the detection of liver metastases. Eur. Radiol. 2016, 26, 4595–4615. [Google Scholar] [CrossRef]
- Gaujoux, S.; Goéré, D.; Dumont, F.; Souadka, A.; Dromain, C.; Ducreux, M.; Elias, D. Complete Radiological Response of Colorectal Liver Metastases after Chemotherapy: What Can We Expect? Dig. Surg. 2011, 28, 114–120. [Google Scholar] [CrossRef]
- Kuhlmann, K.; van Hilst, J.; Fisher, S.; Poston, G. Management of Disappearing Colorectal Liver Metastases. Eur. J. Surg. Oncol. J. Eur. Soc. Surg. Oncol. Br. Assoc. Surg. Oncol. 2016, 42, 1798–1805. [Google Scholar] [CrossRef]
- Shin, N.-Y.; Kim, M.-J.; Lim, J.S.; Park, M.-S.; Chung, Y.-E.; Choi, J.-Y.; Kim, K.W.; Park, Y.-N. Accuracy of Gadoxetic Acid-Enhanced Magnetic Resonance Imaging for the Diagnosis of Sinusoidal Obstruction Syndrome in Patients with Chemotherapy-Treated Colorectal Liver Metastases. Eur. Radiol. 2012, 22, 864–871. [Google Scholar] [CrossRef]
- Tamandl, D.; Klinger, M.; Eipeldauer, S.; Herberger, B.; Kaczirek, K.; Gruenberger, B.; Gruenberger, T. Sinusoidal Obstruction Syndrome Impairs Long-Term Outcome of Colorectal Liver Metastases Treated with Resection after Neoadjuvant Chemotherapy. Ann. Surg. Oncol. 2011, 18, 421–430. [Google Scholar] [CrossRef]
- Owen, J.W.; Fowler, K.J.; Doyle, M.B.; Saad, N.E.; Linehan, D.C.; Chapman, W.C. Colorectal Liver Metastases: Disappearing Lesions in the Era of Eovist Hepatobiliary Magnetic Resonance Imaging. HPB 2016, 18, 296–303. [Google Scholar] [CrossRef]
- Beyer, L.P.; Wassermann, F.; Pregler, B.; Michalik, K.; Rennert, J.; Wiesinger, I.; Stroszczynski, C.; Wiggermann, P.; Jung, E.M. Characterization of Focal Liver Lesions using CEUS and MRI with Liver-Specific Contrast Media: Experience of a Single Radiologic Center. Ultraschall Med. 2017, 38, 619–625. [Google Scholar] [CrossRef]
- Koh, D.-M.; Collins, D.J.; Wallace, T.; Chau, I.; Riddell, A.M. Combining Diffusion-Weighted MRI with Gd-EOB-DTPA-Enhanced MRI Improves the Detection of Colorectal Liver Metastases. Br. J. Radiol. 2012, 85, 980–989. [Google Scholar] [CrossRef]
- Kim, Y.K.; Lee, M.W.; Lee, W.J.; Kim, S.H.; Rhim, H.; Lim, J.H.; Choi, D.; Kim, Y.; Jang, K.M.; Lee, S.J.; et al. Diagnostic Accuracy and Sensitivity of Diffusion-Weighted and of Gadoxetic Acid-Enhanced 3-T MR Imaging Alone or in Combination in the Detection of Small Liver Metastasis (≤1.5 Cm in Diameter). Investig. Radiol. 2012, 47, 159–166. [Google Scholar] [CrossRef]
- Gruenberger, B.; Scheithauer, W.; Punzengruber, R.; Zielinski, C.; Tamandl, D.; Gruenberger, T. Importance of Response to Neoadjuvant Chemotherapy in Potentially Curable Colorectal Cancer Liver Metastases. BMC Cancer 2008, 8, 120. [Google Scholar] [CrossRef]
- Dexiang, Z.; Li, R.; Ye, W.; Haifu, W.; Yunshi, Z.; Qinghai, Y.; Shenyong, Z.; Bo, X.; Li, L.; Xiangou, P.; et al. Outcome of Patients with Colorectal Liver Metastasis: Analysis of 1,613 Consecutive Cases. Ann. Surg. Oncol. 2012, 19, 2860–2868. [Google Scholar] [CrossRef]
- Macera, A.; Lario, C.; Petracchini, M.; Gallo, T.; Regge, D.; Floriani, I.; Ribero, D.; Capussotti, L.; Cirillo, S. Staging of Colorectal Liver Metastases after Preoperative Chemotherapy. Diffusion-Weighted Imaging in Combination with Gd-EOB-DTPA MRI Sequences Increases Sensitivity and Diagnostic Accuracy. Eur. Radiol. 2013, 23, 739–747. [Google Scholar] [CrossRef]





| Characteristics, N (%) | N Tot = 52 |
| Sex | |
| Male | 26 (50) |
| Female | 26 (50) |
| Age, years, median [range] | 59 (25–77) |
| ECOG PS | |
| 0 | 47 (90) |
| 1–2 | 5 (10) |
| Median number of liver lesion [range] | 4 (1–17) |
| Location of primary tumor | |
| Right colon | 9 (17) |
| Left colon or rectum | 43 (83) |
| Primary tumor resected | |
| Yes | 30 (58) |
| No | 22 (42) |
| Prior adjuvant therapy | |
| Yes | 8 (15) |
| No | 44 (85) |
| Time to metastasis | |
| Synchronous | 38 (73) |
| Metachronous | 14 (27) |
| Molecular status | |
| RAS/BRAF wild-type | 27 (52) |
| RAS mutated | 23 (44) |
| BRAF mutated | 1 (2) |
| Unknown | 1 (2) |
| MSI status | |
| MSS | 45 (86) |
| MSI high | 2 (4) |
| Unknown | 5 (10) |
| Treatment received | |
| Doublets | 8 (15) |
| Doublets + antiVEGF | 13 (25) |
| Doublets + antiEGFR | 15 (29) |
| Triplet + antiVEGF or antiEGFR | 16 (31) |
| Resected Colorectal Liver Metastases N=89 | |||
|---|---|---|---|
| DLM N = 4 | RTLM N = 48 | SRLM N = 37 | |
| pCR | 3 (75%) | 21 (44%) | 14 (38%) |
| No pCR | 1 (25%) | 27 (56%) | 23 (62%) |
Disclaimer/Publisher’s Note: The statements, opinions and data contained in all publications are solely those of the individual author(s) and contributor(s) and not of MDPI and/or the editor(s). MDPI and/or the editor(s) disclaim responsibility for any injury to people or property resulting from any ideas, methods, instructions or products referred to in the content. |
© 2023 by the authors. Licensee MDPI, Basel, Switzerland. This article is an open access article distributed under the terms and conditions of the Creative Commons Attribution (CC BY) license (https://creativecommons.org/licenses/by/4.0/).
Share and Cite
Boraschi, P.; Moretto, R.; Donati, F.; Borelli, B.; Mercogliano, G.; Giugliano, L.; Boccaccino, A.; Della Pina, M.C.; Colombatto, P.; Signori, S.; et al. Exploring the Outcome of Disappearance or Small Remnants of Colorectal Liver Metastases during First-Line Chemotherapy on Hepatobiliary Contrast-Enhanced and Diffusion-Weighted MR Imaging. Cancers 2023, 15, 2200. https://doi.org/10.3390/cancers15082200
Boraschi P, Moretto R, Donati F, Borelli B, Mercogliano G, Giugliano L, Boccaccino A, Della Pina MC, Colombatto P, Signori S, et al. Exploring the Outcome of Disappearance or Small Remnants of Colorectal Liver Metastases during First-Line Chemotherapy on Hepatobiliary Contrast-Enhanced and Diffusion-Weighted MR Imaging. Cancers. 2023; 15(8):2200. https://doi.org/10.3390/cancers15082200
Chicago/Turabian StyleBoraschi, Piero, Roberto Moretto, Francescamaria Donati, Beatrice Borelli, Giuseppe Mercogliano, Luigi Giugliano, Alessandra Boccaccino, Maria Clotilde Della Pina, Piero Colombatto, Stefano Signori, and et al. 2023. "Exploring the Outcome of Disappearance or Small Remnants of Colorectal Liver Metastases during First-Line Chemotherapy on Hepatobiliary Contrast-Enhanced and Diffusion-Weighted MR Imaging" Cancers 15, no. 8: 2200. https://doi.org/10.3390/cancers15082200
APA StyleBoraschi, P., Moretto, R., Donati, F., Borelli, B., Mercogliano, G., Giugliano, L., Boccaccino, A., Della Pina, M. C., Colombatto, P., Signori, S., Masi, G., Cremolini, C., & Urbani, L. (2023). Exploring the Outcome of Disappearance or Small Remnants of Colorectal Liver Metastases during First-Line Chemotherapy on Hepatobiliary Contrast-Enhanced and Diffusion-Weighted MR Imaging. Cancers, 15(8), 2200. https://doi.org/10.3390/cancers15082200

