Characteristics of PTEN Mutation in Thyroid Tumours: A Retrospective Chart Review
Abstract
Simple Summary
Abstract
1. Introduction
2. Materials and Methods
2.1. Study Design
2.2. Patient Population
2.3. Tumour Analysis
2.4. Statistical Analysis
3. Results
3.1. Baseline Characteristics
3.2. Cytology
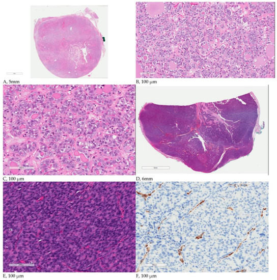
3.3. Tumour Characteristics
4. Discussion
5. Conclusions
Author Contributions
Funding
Institutional Review Board Statement
Informed Consent Statement
Data Availability Statement
Conflicts of Interest
References
- Topstad, D.; Dickinson, J.A. Thyroid cancer incidence in Canada: A national cancer registry analysis. CMAJ Open 2017, 5, E612–E616. [Google Scholar] [CrossRef] [PubMed]
- Baloch, Z.W.; Asa, S.L.; Barletta, J.A.; Ghossein, R.A.; Juhlin, C.C.; Jung, C.K.; LiVolsi, V.A.; Papotti, M.G.; Sobrinho-Simões, M.; Tallini, G.; et al. Overview of the 2022 WHO Classification of Thyroid Neoplasms. Endocr. Pathol. 2022, 33, 27–63. [Google Scholar] [CrossRef] [PubMed]
- Rajab, M.; Payne, R.J.; Forest, V.-I.; Pusztaszeri, M. Molecular Testing for Thyroid Nodules: The Experience at McGill University Teaching Hospitals in Canada. Cancers 2022, 14, 4140. [Google Scholar] [CrossRef] [PubMed]
- Cancer Genome Atlas Research Network. Integrated Genomic Characterization of Papillary Thyroid Carcinoma. Cell 2014, 159, 676–690. [Google Scholar] [CrossRef] [PubMed]
- Milella, M.; Falcone, I.; Conciatori, F.; Cesta Incani, U.; Del Curatolo, A.; Inzerilli, N.; Nuzzo, C.M.; Vaccaro, V.; Vari, S.; Cognetti, F.; et al. PTEN: Multiple Functions in Human Malignant Tumors. Front. Oncol. 2015, 5, 24. [Google Scholar] [CrossRef]
- Ngeow, J.; Eng, C. PTEN in Hereditary and Sporadic Cancer. Cold Spring Harb. Perspect. Med. 2019, 10, a036087. [Google Scholar] [CrossRef]
- Yehia, L.; Keel, E.; Eng, C. The Clinical Spectrum of PTEN Mutations. Annu. Rev. Med. 2020, 71, 103–116. [Google Scholar] [CrossRef]
- Hopkins, B.D.; Hodakoski, C.; Barrows, D.; Mense, S.M.; Parsons, R.E. PTEN function: The long and the short of it. Trends Biochem. Sci. 2014, 39, 183–190. [Google Scholar] [CrossRef]
- Yehia, L.; Eng, C. PTEN Hamartoma Tumor Syndrome. In GeneReviews® [Internet]; 29 November 2001 [Updated 11 February 202]; Adam, M.P., Everman, D.B., Mirzaa, G.M., Eds.; University of Washington: Seattle, WA, USA, 2001; pp. 1993–2023. [Google Scholar]
- Yehia, L.; Ngeow, J.; Eng, C. PTEN-opathies: From biological insights to evidence-based precision medicine. J. Clin. Investig. 2019, 129, 452–464. [Google Scholar] [CrossRef]
- Pilarski, R. PTEN Hamartoma Tumor Syndrome: A Clinical Overview. Cancers 2019, 11, 844. [Google Scholar] [CrossRef]
- Nagy, R.; Ganapathi, S.; Comeras, I.; Peterson, C.; Orloff, M.; Porter, K.; Eng, C.; Ringel, M.D.; Kloos, R.T. Frequency of Germline PTEN Mutations in Differentiated Thyroid Cancer. Thyroid 2011, 21, 505–510. [Google Scholar] [CrossRef] [PubMed]
- Jonker, L.; Lebbink, C.; Jongmans, M.; Nievelstein, R.; Merks, J.; van Dijkum, E.N.; Links, T.; Hoogerbrugge, N.; van Trotsenburg, A.; van Santen, H. Recommendations on Surveillance for Differentiated Thyroid Carcinoma in Children with PTEN Hamartoma Tumor Syndrome. Eur. Thyroid. J. 2020, 9, 234–242. [Google Scholar] [CrossRef] [PubMed]
- Holzheimer, R.G.; Mannick, J.A. Surgical Treatment: Evidence-Based and Problem-Oriented; Zuckschwerdt: Munich, Germany, 2001. [Google Scholar]
- Vaisman, F.; Corbo, R.; Vaisman, M. Thyroid Carcinoma in Children and Adolescents—Systematic Review of the Literature. J. Thyroid. Res. 2011, 2011, 1–7. [Google Scholar] [CrossRef]
- Tuli, G.; Munarin, J.; Mussa, A.; Carli, D.; Gastaldi, R.; Borgia, P.; Vigone, M.C.; Abbate, M.; Ferrero, G.B.; De Sanctis, L. “Thyroid nodular disease and PTEN mutation in a multicentre series of children with PTEN hamartoma tumor syndrome (PHTS)”. Endocrine 2021, 74, 632–637. [Google Scholar] [CrossRef] [PubMed]
- Tan, M.-H.; Mester, J.L.; Ngeow, J.; Rybicki, L.A.; Orloff, M.S.; Eng, C. Lifetime Cancer Risks in Individuals with Germline PTEN Mutations. Clin. Cancer Res. 2012, 18, 400–407. [Google Scholar] [CrossRef]
- Nikiforov, Y.E.; Nikiforova, M.N. Molecular genetics and diagnosis of thyroid cancer. Nat. Rev. Endocrinol. 2011, 7, 569–580. [Google Scholar] [CrossRef]
- Quaytman, J.A.; Nikiforov, Y.E.; Nikiforova, M.N.; Morariu, E. Clinicopathologic features of thyroid nodules with PTEN mutations on preoperative testing. Endocr. Relat. Cancer 2022, 29, 513–520. [Google Scholar] [CrossRef]
- Sadow, P.M.; Dias-Santagata, R.; Zheng, Z.; Lin, D.T.; Le, L.P.; Nucera, C. Identification of insertions in PTEN and TP53 in anaplastic thyroid carcinoma with angiogenic brain metastasis. Endocr. Relat. Cancer 2015, 22, L23–L28. [Google Scholar] [CrossRef]
- Xu, B.; Ghossein, R. Poorly differentiated thyroid carcinoma. Semin. Diagn. Pathol. 2020, 37, 243–247. [Google Scholar] [CrossRef]
- Macerola, E.; Poma, A.; Vignali, P.; Basolo, A.; Ugolini, C.; Torregrossa, L.; Santini, F.; Basolo, F. Molecular Genetics of Follicular-Derived Thyroid Cancer. Cancers 2021, 13, 1139. [Google Scholar] [CrossRef]
- Brandler, T.C.; Liu, C.Z.; Cho, M.; Zhou, F.; Cangiarella, J.; Yee-Chang, M.; Shi, Y.; Simsir, A.; Sun, W. Does Noninvasive Follicular Thyroid Neoplasm With Papillary-Like Nuclear Features (NIFTP) Have a Unique Molecular Profile? Am. J. Clin. Pathol. 2018, 150, 451–460. [Google Scholar] [CrossRef] [PubMed]
- Romei, C.; Tacito, A.; Molinaro, E.; Piaggi, P.; Cappagli, V.; Pieruzzi, L.; Matrone, A.; Viola, D.; Agate, L.; Torregrossa, L.; et al. Clinical, pathological and genetic features of anaplastic and poorly differentiated thyroid cancer: A single institute experience. Oncol. Lett. 2018, 15, 9174–9182. [Google Scholar] [CrossRef] [PubMed]
- Fusco, N.; Sajjadi, E.; Venetis, K.; Gaudioso, G.; Lopez, G.; Corti, C.; Rocco, E.G.; Criscitiello, C.; Malapelle, U.; Invernizzi, M. PTEN Alterations and Their Role in Cancer Management: Are We Making Headway on Precision Medicine? Genes 2020, 11, 719. [Google Scholar] [CrossRef] [PubMed]
- Krasner, J.R.; Alyouha, N.; Pusztaszeri, M.; Forest, V.-I.; Hier, M.P.; Avior, G.; Payne, R.J. Molecular mutations as a possible factor for determining extent of thyroid surgery. J. Otolaryngol.—Head Neck Surg. 2019, 48, 1–7. [Google Scholar] [CrossRef]
- Tessler, F.N.; Middleton, W.D.; Grant, E.G.; Hoang, J.K.; Berland, L.L.; Teefey, S.A.; Cronan, J.J.; Beland, M.D.; Desser, T.S.; Frates, M.C.; et al. ACR Thyroid Imaging, Reporting and Data System (TI-RADS): White Paper of the ACR TI-RADS Committee. J. Am. Coll. Radiol. 2017, 14, 587–595. [Google Scholar] [CrossRef]
- Chen, T.; Gilfix, B.M.; Rivera, J.A.; Sadeghi, N.; Richardson, K.; Hier, M.P.; Forest, V.-I.; Fishman, D.; Caglar, D.; Pusztaszeri, M.; et al. The Role of the ThyroSeq v3 Molecular Test in the Surgical Management of Thyroid Nodules in the Canadian Public Health Care Setting. Thyroid 2020, 30, 1280–1287. [Google Scholar] [CrossRef] [PubMed]
- Haugen, B.R.; Alexander, E.K.; Bible, K.C.; Doherty, G.M.; Mandel, S.J.; Nikiforov, Y.E.; Pacini, F.; Randolph, G.W.; Sawka, A.M.; Schlumberger, M.; et al. 2015 American Thyroid Association Management Guidelines for Adult Patients with Thyroid Nodules and Differentiated Thyroid Cancer: The American Thyroid Association Guidelines Task Force on Thyroid Nodules and Differentiated Thyroid Cancer. Thyroid 2016, 26, 1–133. [Google Scholar] [CrossRef]
- Cibas, E.S.; Ali, S.Z. The 2017 Bethesda System for Reporting Thyroid Cytopathology. J. Am. Soc. Cytopathol. 2017, 6, 217–222. [Google Scholar] [CrossRef]
- Lloyd, R.V.; Osamura, R.Y.; Klöppel, G.; Rosai, J. (Eds.) WHO Classification of Tumours of Endocrine Organs, 4th ed.; IARC: Lyon, France, 2017.
- Rustad, C.F.; Bjørnslett, M.; Heimdal, K.R.; Mæhle, L.; Apold, J.; Møller, P. Germline PTEN mutations are rare and highly penetrant. Hered. Cancer Clin. Pr. 2006, 4, 177–185. [Google Scholar] [CrossRef]
- Bhattacharya, A.; Bense, R.D.; Urzúa-Traslaviña, C.G.; de Vries, E.G.E.; van Vugt, M.A.T.M.; Fehrmann, R.S.N. Transcriptional effects of copy number alterations in a large set of human cancers. Nat. Commun. 2020, 11, 1–12. [Google Scholar] [CrossRef]
- Rajab, M.; Bandargal, S.; Pusztaszeri, M.P.; Forest, V.-I.; Alohali, S.; da Silva, S.D.; Tamilia, M.; Payne, R.J. Coexisting Molecular Alterations Increase the Risk of Malignancy in Thyroid Nodules with Copy Number Alterations. Cancers 2022, 14, 6149. [Google Scholar] [CrossRef] [PubMed]
- Pairawan, S.; Hess, K.R.; Janku, F.; Sanchez, N.S.; Shaw, K.R.M.; Eng, C.; Damodaran, S.; Javle, M.; Kaseb, A.O.; Hong, D.S.; et al. Cell-free Circulating Tumor DNA Variant Allele Frequency Associates with Survival in Metastatic Cancer. Clin. Cancer Res. 2020, 26, 1924–1931. [Google Scholar] [CrossRef] [PubMed]
- Heald, B.; Burke, C.A.; Kalady, M.; Eng, C. ACG Guidelines on Management of PTEN-Hamartoma Tumor Syndrome: Does the Evidence Support so Much so Young? Am. J. Gastroenterol. 2015, 110, 1733–1734. [Google Scholar] [CrossRef] [PubMed]
- Plamper, M.; Gohlke, B.; Woelfle, J. PTEN hamartoma tumor syndrome in childhood and adolescence—A comprehensive review and presentation of the German pediatric guideline. Mol. Cell. Pediatr. 2022, 9, 1–12. [Google Scholar] [CrossRef]
- Beg, S.; Siraj, A.K.; Jehan, Z.; Prabakaran, S.; Alsobhi, S.S.; Al-Dawish, M.; Aldayel, F.; Alkuraya, K.S. PTEN loss is associated with follicular variant of Middle Eastern papillary thyroid carcinoma. Br. J. Cancer 2015, 112, 1938–1943. [Google Scholar] [CrossRef]
- DiMarco, A.N.; Wong, M.S.; Jayasekara, J.; Cole-Clark, D.; Aniss, A.; Glover, A.; Delbridge, L.W.; Sywak, M.S.; Sidhu, S.B. Risk of needing completion thyroidectomy for low-risk papillary thyroid cancers treated by lobectomy. BJS Open 2018, 3, 299–304. [Google Scholar] [CrossRef]
- Dhir, M.; McCoy, K.L.; Ohori, N.P.; Adkisson, C.D.; LeBeau, S.O.; Carty, S.E.; Yip, L. Correct extent of thyroidectomy is poorly predicted preoperatively by the guidelines of the American Thyroid Association for low and intermediate risk thyroid cancers. Surgery 2018, 163, 81–87. [Google Scholar] [CrossRef] [PubMed]
- Kluijfhout, W.P.; Pasternak, J.D.; Lim, J.; Kwon, J.S.; Vriens, M.R.; Clark, O.H.; Shen, W.T.; Gosnell, J.E.; Suh, I.; Duh, Q.-Y. Frequency of High-Risk Characteristics Requiring Total Thyroidectomy for 1–4 cm Well-Differentiated Thyroid Cancer. Thyroid 2016, 26, 820–824. [Google Scholar] [CrossRef]
- Craig, S.J.; Bysice, A.M.; Nakoneshny, S.C.; Pasieka, J.L.; Chandarana, S.P. The Identification of Intraoperative Risk Factors Can Reduce, but Not Exclude, the Need for Completion Thyroidectomy in Low-Risk Papillary Thyroid Cancer Patients. Thyroid 2020, 30, 222–228. [Google Scholar] [CrossRef]
- Al-Qurayshi, Z.; Nilubol, N.; Tufano, R.P.; Kandil, E. Wolf in Sheep’s Clothing: Papillary Thyroid Microcarcinoma in the US. J. Am. Coll. Surg. 2020, 230, 484–491. [Google Scholar] [CrossRef]


| Case | Sex | Age (Yr) | Cytologic Diagnosis (Bethesda Score) | Histopathologic Diagnosis | Nodule Size (cm) | AF (%) | Presence of CNAs? | Aggressive Feature |
|---|---|---|---|---|---|---|---|---|
| 1 | F | 77 | IV | FA | 1.5 | 17 | No | - |
| 2 | F | 68 | IV | FA | 1.8 | 22 | No | - |
| 3 | F | 45 | III | FA | 0.8 | 14 | No | - |
| 4 | F | 69 | III | FA | 1 | 17 | No | - |
| 5 | F | 39 | III | MG | - | 25 | No | - |
| 6 * | F | 28 | III | FA | 2.3 | - | - | - |
| 7 | F | 43 | III | FA | 1.6 | 15 | No | |
| 8 * | F | 45 | III | NIFTP | 1.5 | - | - | - |
| 9 | F | 54 | III | NIFTP | 2 | 37 | Yes | - |
| 10 | M | 62 | VI | NIFTP | 1.8 | 36 | No | - |
| 11 | F | 69 | V | SVPTC | 3.6 | 45 | Yes | - |
| 12 | F | 29 | IV | FVPTC | 4.3 | 70 | Yes | 5–10% component of PDTC |
| 13 | F | 58 | IV | EMIFTC | 2.7 | 17 | No | - |
| 14 | M | 55 | V | PDTC | 3 | 91 | Yes | PDTC with lymph- vascular invasion |
| 15 | F | 75 | III | FVPTC | 2 | 17 | Yes | - |
| 16 | F | 73 | IV | EMIFTC | 2 | 11 | No | - |
Disclaimer/Publisher’s Note: The statements, opinions and data contained in all publications are solely those of the individual author(s) and contributor(s) and not of MDPI and/or the editor(s). MDPI and/or the editor(s) disclaim responsibility for any injury to people or property resulting from any ideas, methods, instructions or products referred to in the content. |
© 2023 by the authors. Licensee MDPI, Basel, Switzerland. This article is an open access article distributed under the terms and conditions of the Creative Commons Attribution (CC BY) license (https://creativecommons.org/licenses/by/4.0/).
Share and Cite
Bandargal, S.; Rajab, M.; Forest, V.-I.; Pusztaszeri, M.P.; Hier, M.P.; da Silva, S.D.; Payne, R.J. Characteristics of PTEN Mutation in Thyroid Tumours: A Retrospective Chart Review. Cancers 2023, 15, 1575. https://doi.org/10.3390/cancers15051575
Bandargal S, Rajab M, Forest V-I, Pusztaszeri MP, Hier MP, da Silva SD, Payne RJ. Characteristics of PTEN Mutation in Thyroid Tumours: A Retrospective Chart Review. Cancers. 2023; 15(5):1575. https://doi.org/10.3390/cancers15051575
Chicago/Turabian StyleBandargal, Saruchi, Mohannad Rajab, Véronique-Isabelle Forest, Marc Philippe Pusztaszeri, Michael P. Hier, Sabrina Daniela da Silva, and Richard J. Payne. 2023. "Characteristics of PTEN Mutation in Thyroid Tumours: A Retrospective Chart Review" Cancers 15, no. 5: 1575. https://doi.org/10.3390/cancers15051575
APA StyleBandargal, S., Rajab, M., Forest, V.-I., Pusztaszeri, M. P., Hier, M. P., da Silva, S. D., & Payne, R. J. (2023). Characteristics of PTEN Mutation in Thyroid Tumours: A Retrospective Chart Review. Cancers, 15(5), 1575. https://doi.org/10.3390/cancers15051575

