Prospective Validation of the ROL System in Substaging pT1 High-Grade Urothelial Carcinoma: Results from a Mono-Institutional Confirmatory Analysis in BCG Treated Patients
Abstract
Simple Summary
Abstract
1. Introduction
2. Materials and Methods
2.1. Patients
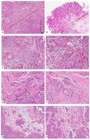
2.2. Pathological Evaluation and Substage Attribution
2.3. Statistical Analysis
3. Results
4. Discussion
5. Conclusions
Author Contributions
Funding
Institutional Review Board Statement
Informed Consent Statement
Data Availability Statement
Acknowledgments
Conflicts of Interest
References
- Malavaud, B. T1G3 bladder tumours: The case for radical cystectomy. Eur. Urol. 2004, 45, 406–410. [Google Scholar] [CrossRef] [PubMed]
- Contieri, R.; Hurle, R.; Paciotti, M.; Casale, P.; Saita, A.; Porpiglia, F.; Fiori, C.; Barone, B.; Crocetto, F.; Lucarelli, G.; et al. Accuracy of the European Association of Urology (EAU) NMIBC 2021 scoring model in predicting progression in a large cohort of HG T1 NMIBC patients treated with BCG. Minerva Urol. Nephrol. 2022; Epub ahead of print. [Google Scholar] [CrossRef] [PubMed]
- De Carlo, C.; Valeri, M.; Corbitt, D.N.; Cieri, M.; Colombo, P. Non-muscle invasive bladder cancer biomarkers beyond morphology. Front. Oncol. 2022, 12, 947446. [Google Scholar] [CrossRef] [PubMed]
- Kamat, A.M.; Flaig, T.W.; Grossman, H.B.; Konety, B.; Lamm, D.; O’Donnell, M.A.; Uchio, E.; Efstathiou, J.A.; Taylor, J.A., 3rd. Expert consensus document: Consensus statement on best practice management regarding the use of intravesical immunotherapy with BCG for bladder cancer. Nat. Rev. Urol. 2015, 12, 225–235. [Google Scholar] [CrossRef] [PubMed]
- Pellucchi, F.; Freschi, M.; Moschini, M.; Rocchini, L.; Maccagnano, C.; Nazareno, S.; Bergamaschi, F.; Montorsi, F.; Colombo, R. Oncological predictive value of the 2004 World Health Organisation grading classification in primary T1 non-muscle-invasive bladder cancer. A step forward or back? BJU Int. 2015, 115, 267–273. [Google Scholar] [CrossRef] [PubMed]
- Martin-Doyle, W.; Leow, J.J.; Orsola, A.; Chang, S.L.; Bellmunt, J. Improving selection criteria for early cystectomy in high-grade T1 bladder cancer: A meta-analysis of 15,215 patients. J. Clin. Oncol. 2015, 33, 643–650. [Google Scholar] [CrossRef]
- Soria, F.; Dutto, D.; Gontero, P. Clinical and biological markers for risk-stratification of T1 high-grade non-muscle invasive bladder cancer. Curr. Opin. Urol. 2022, 32, 517–5228. [Google Scholar] [CrossRef]
- Mariappan, P.; Fineron, P.; O’Donnell, M.; Gailer, R.M.; Watson, D.J.; Smith, G.; Grigor, K.M. Combining two grading systems: The clinical validity and inter-observer variability of the 1973 and 2004 WHO bladder cancer classification systems assessed in a UK cohort with 15 years of prospective follow-up. World J. Urol. 2021, 39, 425–431. [Google Scholar] [CrossRef]
- Martini, A.; Afferi, L.; Zamboni, S.; Schultz, J.G.; Lonati, C.; Mattei, A.; Karnes, R.J.; Soligo, M.; Stabile, A.; Di Trapani, E.; et al. Oncologic Surveillance for Variant Histology Bladder Cancer after Radical Cystectomy. J. Urol. 2021, 206, 885–893. [Google Scholar] [CrossRef]
- Lonati, C.; Baumeister, P.; Afferi, L.; Mari, A.; Minervini, A.; Krajewski, W.; Azizi, S.; Hendricksen, K.; Martini, A.; Necchi, A.; et al. European Association of Urology Young Academic Urologists (EAU-YAU): Urothelial Carcinoma Working Group. Survival Outcomes After Immediate Radical Cystectomy Versus Conservative Management with Bacillus Calmette-Guérin Among T1 High-grade Micropapillary Bladder Cancer Patients: Results from a Multicentre Collaboration. Eur. Urol. Focus. 2022, 8, 1270–1277. [Google Scholar]
- Park, J.; Song, C.; Hong, J.H.; Park, B.H.; Cho, Y.M.; Kim, C.S.; Ahn, H. Prognostic significance of non-papillary tumor morphology as a predictor of cancer progression and survival in patients with primary T1G3 bladder cancer. World J. Urol. 2009, 27, 277–283. [Google Scholar] [CrossRef] [PubMed]
- Tilki, D.; Shariat, S.F.; Lotan, Y.; Rink, M.; Karakiewicz, P.I.; Schoenberg, M.P.; Lerner, S.P.; Sonpavde, G.; Sagalowsky, A.I.; Gupta, A. Lymphovascular invasion is independently associated with bladder cancer recurrence and survival in patients with final stage T1 disease and negative lymph nodes after radical cystectomy. BJU Int. 2013, 111, 1215–1221. [Google Scholar] [CrossRef]
- Yafi, F.A.; Aprikian, A.G.; Chin, J.L.; Fradet, Y.; Izawa, J.; Estey, E.; Fairey, A.; Rendon, R.; Cagiannos, I.; Lacombe, L.; et al. Impact of concomitant carcinoma in situ on upstaging and outcome following radical cystectomy for bladder cancer. World J. Urol. 2014, 32, 1295–1301. [Google Scholar] [CrossRef] [PubMed]
- Chade, D.C.; Shariat, S.F.; Adamy, A.; Bochner, B.H.; Donat, S.M.; Herr, H.W.; Dalbagni, G. Clinical outcome of primary versus secondary bladder carcinoma in situ. J. Urol. 2010, 184, 464–469. [Google Scholar] [CrossRef]
- Sylvester, R.J.; Rodríguez, O.; Hernández, V.; Turturica, D.; Bauerová, L.; Bruins, H.M.; Bründl, J.; van der Kwast, T.H.; Brisuda, A.; Rubio-Briones, J.; et al. European Association of Urology (EAU) Prognostic Factor Risk Groups for Non-muscle-invasive Bladder Cancer (NMIBC) Incorporating the WHO 2004/2016 and WHO 1973 Classification Systems for Grade: An Update from the EAU NMIBC Guidelines Panel. Eur. Urol. 2021, 79, 480–488. [Google Scholar] [CrossRef]
- Babjuk, M.; Burger, M.; Capoun, O.; Cohen, D.; Compérat, E.M.; Dominguez Escrig, J.L.; Gontero, P.; Liedberg, F.; Masson-Lecomte, A.; Mostafid, A.H.; et al. European Association of Urology Guidelines on Non-muscle-invasive Bladder Cancer (Ta, T1, and Carcinoma in Situ). Eur. Urol. 2022, 81, 75–94. [Google Scholar] [CrossRef] [PubMed]
- WHO Classification of Tumours Editorial Board. Urinary and male genital tumours. In WHO Classification of Tumours Series, 5th ed.; International Agency for Research on Cancer: Lyon, France, 2022; Volume 8. [Google Scholar]
- Orsola, A.; Trias, I.; Raventós, C.X.; Español, I.; Cecchini, L.; Búcar, S.; Salinas, D.; Orsola, I. Initial high-grade T1 urothelial cell carcinoma: Feasibility and prognostic significance of lamina propria invasion microstaging (T1a/b/c) in BCG-treated and BCG-non-treated patients. Eur. Urol. 2005, 48, 231–238, discussion 238. [Google Scholar] [CrossRef] [PubMed]
- Van der Aa, M.N.; van Leenders, G.J.; Steyerberg, E.W.; van Rhijn, B.W.; Jöbsis, A.C.; Zwarthoff, E.C.; van der Kwast, T.H. A new system for substaging pT1 papillary bladder cancer: A prognostic evaluation. Hum. Pathol. 2005, 36, 981–986. [Google Scholar] [CrossRef] [PubMed]
- Paner, G.P.; Ro, J.Y.; Wojcik, E.M.; Venkataraman, G.; Datta, M.W.; Amin, M.B. Further characterization of the muscle layers and lamina propria of the urinary bladder by systematic histologic mapping: Implications for pathologic staging of invasive urothelial carcinoma. Am. J. Surg. Pathol. 2007, 31, 1420–1429. [Google Scholar] [CrossRef]
- Van Rhijn, B.W.; van der Kwast, T.H.; Alkhateeb, S.S.; Fleshner, N.E.; van Leenders, G.J.; Bostrom, P.J.; van der Aa, M.N.; Kakiashvili, D.M.; Bangma, C.H. A new and highly prognostic system to discern T1 bladder cancer substage. Eur. Urol. 2012, 61, 378–384. [Google Scholar] [CrossRef]
- Bertz, S.; Denzinger, S.; Otto, W.; Wieland, W.F.; Stoehr, R.; Hofstaedter, F.; Hartmann, A. Substaging by estimating the size of invasive tumour can improve risk stratification in pT1 urothelial bladder cancer-evaluation of a large hospital-based single-centre series. Histopathology 2011, 59, 722–732. [Google Scholar] [CrossRef]
- Cheng, B.L.; Neumann, R.M.; Weaver, A.L.; Spotts, B.E.; Bostwick, D.G. Predicting cancer progression in patients with stage T1 bladder carcinoma. J. Clin. Oncol. 1999, 17, 3182–3187. [Google Scholar] [CrossRef] [PubMed]
- Chang, W.C.; Chang, Y.H.; Pan, C.C. Prognostic significance in substaging of T1 urinary bladder urothelial carcinoma on transurethral resection. Am. J. Surg. Pathol. 2012, 36, 454–461. [Google Scholar] [CrossRef]
- Brimo, F.; Wu, C.; Zeizafoun, N.; Tanguay, S.; Aprikian, A.; Mansure, J.J.; Kassouf, W. Prognostic factors in T1 bladder urothelial carcinoma: The value of recording millimetric depth of invasion, diameter of invasive carcinoma, and muscularis mucosa invasion. Hum. Pathol. 2013, 44, 95–102.26. [Google Scholar] [CrossRef]
- Paner, G.P.; Montironi, R.; Amin, M.B. Challenges in Pathologic Staging of Bladder Cancer: Proposals for fresh approaches of assessing pathologic stage in light of recent studies and observations pertaining to bladder histoanatomic variances. Adv. Anat. Pathol. 2017, 24, 113–127. [Google Scholar] [CrossRef] [PubMed]
- Compérat, E.; Amin, M.B.; Berney, D.M.; Cree, I.; Menon, S.; Moch, H.; Netto, G.J.; Rao, V.; Raspollini, M.R. What’s new in WHO fifth edition—Urinary tract. Histopathology 2022, 81, 439–446. [Google Scholar] [CrossRef]
- Patriarca, C.; Hurle, R.; Moschini, M.; Freschi, M.; Colombo, P.; Colecchia, M.; Ferrari, L.; Guazzoni, G.; Conti, A.; Conti, G.; et al. Usefulness of pT1 substaging in papillary urothelial bladder carcinoma. Diagn. Pathol. 2016, 20, 6. [Google Scholar] [CrossRef] [PubMed]
- Colombo, R.; Hurle, R.; Moschini, M.; Freschi, M.; Colombo, P.; Colecchia, M.; Ferrari, L.; Lucianò, R.; Conti, G.; Magnani, T.; et al. Feasibility and Clinical Roles of Different Substaging Systems at First and Second Transurethral Resection in Patients with T1 High-Grade Bladder Cancer. Eur. Urol. Focus. 2018, 4, 87–93. [Google Scholar] [CrossRef] [PubMed]
- Van Der Meijden, A.; Sylvester, R.; Collette, L.; Bono, A.; Ten Kate, F. The role and impact of pathology review on stage and grade assessment of stages Ta and T1 bladder tumors: A combined analysis of 5 European Organization for Research and Treatment of Cancer trials. J. Urol. 2000, 164, 1533–1537. [Google Scholar] [CrossRef]
- Bol, M.G.; Baak, J.P.; Buhr-Wildhagen, S.; Kruse, A.J.; Kjellevold, K.H.; Janssen, E.A.; Mestad, O.; Øgreid, P. Reproducibility and prognostic variability of grade and lamina propria invasion in stages Ta, T1 urothelial carcinoma of the bladder. J. Urol. 2003, 169, 1291–1294. [Google Scholar] [CrossRef]
- Compérat, E.; Egevad, L.; Lopez-Beltran, A.; Camparo, P.; Algaba, F.; Amin, M.; Epstein, J.I.; Hamberg, H.; Hulsbergen-van de Kaa, C.; Kristiansen, G.; et al. An interobserver reproducibility study on invasiveness of bladder cancer using virtual microscopy and heatmaps. Histopathology 2013, 63, 756–766. [Google Scholar] [CrossRef] [PubMed]
- Raspollini, M.R.; Montironi, R.; Mazzucchelli, R.; Cimadamore, A.; Cheng, L.; Lopez-Beltran, A. pT1 high-grade bladder cancer: Histologic criteria, pitfalls in the assessment of invasion, and substaging. Virchows Archiv. 2020, 477, 3–16. [Google Scholar] [CrossRef] [PubMed]
- Budina, A.; Farahani, S.J.; Lal, P.; Nayak, A. Subcategorization of T1 bladder cancer on biopsy and transurethral resection specimens for predicting progression. Arch. Pathol. Lab. Med. 2022, 146, 1131–1139. [Google Scholar] [CrossRef]
- De Jong, F.C.; Hoedemaeker, R.F.; Kvikstad, V.; Mensink, J.T.M.; de Jong, J.J.; Boevé, E.R.; van der Schoot, D.K.E.; Zwarthoff, E.C.; Boormans, J.L.; Zuiverloon, T.C.M. T1 Substaging of Nonmuscle Invasive Bladder Cancer is Associated with bacillus Calmette-Guérin Failure and Improves Patient Stratification at Diagnosis. J. Urol. 2021, 205, 701–708. [Google Scholar] [CrossRef]
- Valeri, M.; Contieri, R.; Fasulo, V.; Cieri, M.; Elefante, G.; De Carlo, C.; Bressan, A.; Saitta, C.; Gobbo, A.; Avolio, P.P.; et al. A novel pT1 substaging system for high-grade urothelial bladder carcinoma: A prospective mono-institutional confirmatory progression risk analysis. Virchows Archiv. 2022, 481 (Suppl. S1), S20–S21. [Google Scholar]
- Hurle, R.; Casale, P.; Lazzeri, M.; Paciotti, M.; Saita, A.; Colombo, P.; Morenghi, E.; Oswald, D.; Colleselli, D.; Mitterberger, M.; et al. En bloc re-resection of high-risk NMIBC after en bloc resection: Results of a multicenter observational study. World J. Urol. 2020, 38, 703–708. [Google Scholar] [CrossRef] [PubMed]
- De Carlo, C.; Valeri, M.; Rudini, N.; Zucali, P.A.; Cieri, M.; Elefante, G.M.; D’antonio, F.; Hurle, R.; Giordano, L.; Bressan, A.; et al. Intratumoral Switch of Molecular Phenotype and Overall Survival in Muscle Invasive Bladder Cancer. Cancers 2022, 14, 3256. [Google Scholar] [CrossRef]



| Variable | Patients (n = 222) | |
|---|---|---|
| Age, y | Median (IQR) | 74 (67–80) |
| Gender, n (%) | Male | 164 (73.8) |
| Female | 58 (26.2) | |
| Smoking status | Never/Former | 128 (57.6) |
| Active | 94 (42.4) | |
| BMI | Median (IQR) | 26.1 (23.4–28.7) |
| Multifocality, n (%) | No | 153 (68.3) |
| Yes | 69 (31.7) | |
| Tumor size, n (%) | <3 cm | 152 (68.3) |
| >3 cm | 70 (31.7) | |
| Histology, n (%) | Pure transitional | 189 (85) |
| Divergent differentiation | 33 (15) | |
| Associated CIS, n (%) | No | 191 (86) |
| Yes | 31 (14) | |
| LVI, n (%) | No | 204 (91.9) |
| Yes | 18 (8.1) | |
| Necrosis, n (%) | No | 148 (66.7) |
| Yes | 74 (33.3) | |
| LP invasion, n (%) | Single focus | 77 (34.7) |
| Multiple foci | 145 (65.3) | |
| ROL1 (n = 91) | ROL2 (n = 131) | p-Value * | ||
|---|---|---|---|---|
| Age, median (IQR) | 75 (71–82) | 73 (64.5–79) | 0.08 | |
| Gender, n (%) | Male | 66 (72.5) | 98 (74.8) | 0.70 |
| Female | 25 (27.5) | 33 (25.2) | ||
| Smoking status | Never/Former | 54 (59.3) | 74 (56.5) | 0.67 |
| Active | 37 (40.7) | 57 (43.5) | ||
| BMI, median (IQR) | 25.4 (22.6–28.7) | 26.2 (23.7–28.5) | 0.71 | |
| Recurrent tumor, n (%) | No | 66 (72.6) | 109 (83.2) | 0.06 |
| Yes | 25 (27.4) | 22 (16.8) | ||
| Multifocality, n (%) | No | 63 (69.3) | 90 (68.7) | 0.98 |
| Yes | 28 (30.7) | 41 (31.3) | ||
| Tumor size, n (%) | <3 cm | 62 (68.1) | 90 (68.7) | 0.92 |
| >3 cm | 29 (31.9) | 41 (31.3) | ||
| Concomitant CIS, n (%) | No | 78 (85.7) | 113 (86.3) | 0.91 |
| Yes | 13 (14.3) | 18 (13.7) | ||
| LVI | No | 89 (97.8) | 115 (87.7) | <0.01 |
| Yes | 2 (2.2) | 16 (12.3) | ||
| Necrosis | No | 69 (75.8) | 79 (60.3) | 0.01 |
| Yes | 22 (24.2) | 52 (39.7) | ||
| Lamina Propria invasion | Single focus | 59 (64.8) | 18 (13.7) | <0.01 |
| Multiple foci | 32 (35.2) | 113 (86.3) | ||
| Second resection | No | 25 (27.5) | 53 (40.4) | 0.10 |
| Yes | 66 (72.5) | 78 (59.6) | ||
| Recurrence | No | 64 (70.3) | 77 (58.8) | 0.78 |
| Yes | 27 (29.7) | 54 (41.2) | ||
| Univariate | Multivariate | |||||
|---|---|---|---|---|---|---|
| Variable | HR | CI 95% | p-Value | HR | CI 95% | p-Value |
| ROL (1, 2) | 3.53 | 1.56–7.99 | <0.01 | 2.88 | 1.24–6.66 | 0.01 |
| LVI (No, Yes) | 3.55 | 1.69–7.46 | <0.01 | 2.76 | 1.27–6.02 | 0.01 |
| Number of tumors (Single, multiple) | 1.53 | 0.80–2.92 | 0.19 | 1.71 | 0.89–3.30 | 0.11 |
| Tumor dimension (<3 cm, >3 cm) | 2.20 | 1.17–4.12 | 0.01 | 1.77 | 0.92–3.41 | 0.09 |
| Concomitant CIS (No, Yes) | 0.46 | 0.14–1.51 | 0.21 | 0.60 | 0.18–1.98 | 0.40 |
| Necrosis (No, Yes) | 1.93 | 1.04–3.60 | 0.04 | 1.32 | 0.68–2.57 | 0.42 |
Disclaimer/Publisher’s Note: The statements, opinions and data contained in all publications are solely those of the individual author(s) and contributor(s) and not of MDPI and/or the editor(s). MDPI and/or the editor(s) disclaim responsibility for any injury to people or property resulting from any ideas, methods, instructions or products referred to in the content. |
© 2023 by the authors. Licensee MDPI, Basel, Switzerland. This article is an open access article distributed under the terms and conditions of the Creative Commons Attribution (CC BY) license (https://creativecommons.org/licenses/by/4.0/).
Share and Cite
Valeri, M.; Contieri, R.; Fasulo, V.; Iuzzolino, M.; Cieri, M.; Elefante, G.M.; De Carlo, C.; Bressan, A.; Saitta, C.; Gobbo, A.; et al. Prospective Validation of the ROL System in Substaging pT1 High-Grade Urothelial Carcinoma: Results from a Mono-Institutional Confirmatory Analysis in BCG Treated Patients. Cancers 2023, 15, 934. https://doi.org/10.3390/cancers15030934
Valeri M, Contieri R, Fasulo V, Iuzzolino M, Cieri M, Elefante GM, De Carlo C, Bressan A, Saitta C, Gobbo A, et al. Prospective Validation of the ROL System in Substaging pT1 High-Grade Urothelial Carcinoma: Results from a Mono-Institutional Confirmatory Analysis in BCG Treated Patients. Cancers. 2023; 15(3):934. https://doi.org/10.3390/cancers15030934
Chicago/Turabian StyleValeri, Marina, Roberto Contieri, Vittorio Fasulo, Martina Iuzzolino, Miriam Cieri, Grazia M. Elefante, Camilla De Carlo, Alessandra Bressan, Cesare Saitta, Andrea Gobbo, and et al. 2023. "Prospective Validation of the ROL System in Substaging pT1 High-Grade Urothelial Carcinoma: Results from a Mono-Institutional Confirmatory Analysis in BCG Treated Patients" Cancers 15, no. 3: 934. https://doi.org/10.3390/cancers15030934
APA StyleValeri, M., Contieri, R., Fasulo, V., Iuzzolino, M., Cieri, M., Elefante, G. M., De Carlo, C., Bressan, A., Saitta, C., Gobbo, A., Avolio, P. P., Dacrema, V., Lazzeri, M., Taverna, G., Terracciano, L. M., Hurle, R., & Colombo, P. (2023). Prospective Validation of the ROL System in Substaging pT1 High-Grade Urothelial Carcinoma: Results from a Mono-Institutional Confirmatory Analysis in BCG Treated Patients. Cancers, 15(3), 934. https://doi.org/10.3390/cancers15030934

