p53/TP53 Status Assessment in Gastroesophageal Adenocarcinoma
Simple Summary
Abstract
1. Introduction
2. Materials and Methods
2.1. Patients
2.2. Immunohistochemistry
2.3. DNA Extraction
2.4. Droplet Digital PCR (ddPCR)
2.5. DNA Sequencing by Next Generation Sequencing (NGS)
2.6. Statistics
3. Results
3.1. Clinicopathological Characteristics of Patients
3.1.1. Retrospective Cohort
3.1.2. Prospective Cohort
3.2. p53/TP53 Status Assessment by Droplet Digital PCR (ddPCR) in FFPE Samples
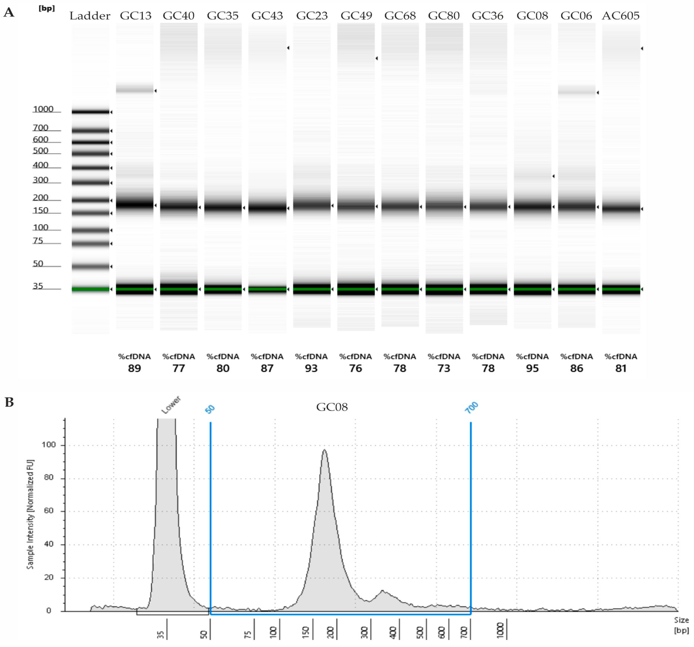
3.3. TP53 Status Assessment by ddPCR in Cell-Free DNA (cfDNA) from the Prospective Cohort
3.4. Evaluation of TP53 Status by Next-Generation Sequencing (NGS) in FFPE Samples
4. Discussion
5. Conclusions
Author Contributions
Funding
Institutional Review Board Statement
Informed Consent Statement
Data Availability Statement
Conflicts of Interest
Appendix A
| Sample | IHC (%) | ddPCR FFPE-DNA * | NGS FFPE-DNA | ddPCR/NGS Combined Data | ||||
|---|---|---|---|---|---|---|---|---|
| Sequence Change | Exon | VAF | Varsome Prediction | |||||
| 1 | GR001 | 0 | Del | c.104del/p.Leu35CysfsTer9 | 4/11 | 0.1917 | Pathogenic | Del/disruptive |
| 2 | GR004 | 0 | Not-del | c.637C>T/p.Arg213Ter | 6/11 | 0.1918 | Pathogenic | Not-del/disruptive |
| c.524G>A/p.Arg175His | 5/11 | 0.0143 | Pathogenic | |||||
| 3 | GR008 | 0 | Del | c.158G>A/p.Trp53Ter | 4/11 | 0.4982 | Pathogenic | Del/disruptive |
| 4 | GR016 | 0 | Del | c.830del/p.Cys277PhefsTer68 | 8/11 | 0.0769 | Likely pathogenic | Del/disruptive |
| 5 | GR022 | 0 | Del | c.916C>T/p.Arg306Ter | 8/11 | 0.4483 | Pathogenic | Del/disruptive |
| 6 | GR028 | 0 | Del | c.159G>A/p.Trp53Ter | 4/11 | 0.3838 | Pathogenic | Del/disruptive |
| c.161dup/p.Thr55HisfsTer2 | 4/11 | 0.3810 | Likely pathogenic | |||||
| 7 | GR034 | 0 | Del | c.949C>T/p.Gln317Ter | 9/11 | 0.2632 | Pathogenic | Del/disruptive |
| c.587G>A/p.Arg196Gln | 6/11 | 0.0121 | Pathogenic | |||||
| 8 | GR050 | 0 | Del | c.724_731del/p.Cys242ArgfsTer19 | 7/11 | 0.3852 | Likely pathogenic | Del/disruptive |
| 9 | GR062 | 0 | Not-del | wt | - | - | - | Not-del/wt |
| 10 | G016 | 0 | Del | c.637C>T/p.Arg213Ter | 6/11 | 0.2537 | Pathogenic | Del/disruptive |
| 11 | G036 | 0 | Del | wt | - | - | - | Del/wt |
| 12 | G069 | 0 | Del | c.326del/p.Phe109SerfsTer14 | 4/11 | 0.3125 | Likely pathogenic | Del/disruptive |
| c.532C>G/p.His178Asp | 5/11 | 0.0455 | Pathogenic | |||||
| c.476C>G/p.Ala159Gly | 5/11 | 0.0455 | Pathogenic | |||||
| 13 | GR010 | 1 | Del | wt | - | - | - | Del/wt |
| 14 | GR049 | 2 | Del | wt | - | - | - | Del/wt |
| 15 | G043 | 2 | Not-del | wt | - | - | - | Not-del/wt |
| 1 | G048 | 5 | Not-del | wt | - | - | - | Not-del/wt |
| 2 | G049 | 5 | Del | c.1040C>G/p.Ala347Gly | 10/11 | 0.0909 | VUS | Del/IF |
| 3 | GR061 | 10 | Not-del | c.799C>T/p.Arg267Trp | 8/11 | 0.1754 | Pathogenic | Not-del/IF |
| 4 | G070 | 10 | Del | c.706T>C/p.Tyr236His | 7/11 | 0.1111 | Pathogenic | Del/IF |
| c.542G>A/p.Arg181His | 5/11 | 0.1000 | Pathogenic | |||||
| 5 | GR029 | 15 | Del | c.1146del/p.Lys382AsnfsTer40 | 11/11 | 0.2198 | Pathogenic | Del/disruptive |
| 6 | G077 | 15 | Del | wt | - | - | - | Del/wt |
| 7 | GR033 | 20 | Not-del | wt | - | - | - | Not-del/wt |
| 8 | G020 | 20 | Del | wt | - | - | - | Del/wt |
| 9 | G039 N5 | 20 | Not-del | c.902del/p.Pro301GlnfsTer44 | 8/11 | 0.0135 | Pathogenic | Not-del/disruptive |
| 10 | G068 | 20 | Del | c.524G>A/p.Arg175His | 5/11 | 0.4552 | Pathogenic | Del/IF |
| 11 | G021 | 25 | Not-del | wt | - | - | - | Not-del/wt |
| 12 | G074 | 25 | Not-del | wt | - | - | - | Not-del/wt |
| 13 | G075 | 30 | Not-del | c.652_654dup/p.Val218dup | 6/11 | 0.0476 | Pathogenic | Not-del/IF |
| 14 | GR002 | 40 | Not-del | c.856G>A/p.Glu286Lys | 8/11 | 0.1479 | Pathogenic | Not-del/IF |
| c.772G>T/p.Glu258Ter | 7/11 | 0.0118 | Pathogenic | |||||
| c.400T>C/p.Phe134Leu | 5/11 | 0.0784 | Pathogenic | |||||
| 15 | GR043 | 60 | Del | c.713G>A/p.Cys238Tyr | 7/11 | 0.0633 | Pathogenic | Del/IF |
| 1 | A564 | 75 | Del | c.326T>G/p.Phe109Cys | 4/11 | 0.6904 | Pathogenic | Del/IF |
| 2 | G002 | 75 | Not-del | c.818G>A/p.Arg273His | 8/11 | 0.2280 | Pathogenic | Not-del/IF |
| 3 | G064 | 75 | Del | c.1024C>G/p.Arg342Gly | 10/11 | 0.7143 | VUS | Del/IF |
| c.380C>T/p.Ser127Phe | 5/11 | 0.4000 | Pathogenic | |||||
| c.310del/p.Gln104ArgfsTer19 | 4/11 | 0.0417 | Pathogenic | |||||
| 4 | G045 | 75 | Not-del | c.524G>A/p.Arg175His | 5/11 | 0.4444 | Pathogenic | Not-del/IF |
| c.482C>G/p.Ala161Gly | 5/11 | 0.1000 | Likely pathogenic | |||||
| c.532C>T/p.His178Tyr | 5/11 | 0.0909 | Pathogenic | |||||
| 5 | G072 | 75 | Del | c.455C>T/p.Pro152Leu | 5/11 | 0.0580 | Pathogenic | Del/IF |
| 6 | A577 | 80 | Del | c.451C>T/p.Pro151Ser | 5/11 | 0.6603 | Pathogenic | Del/IF |
| 7 | A573 | 80 | Del | c.703_705del/p.Asn235del | 7/11 | 0.1329 | Pathogenic | Del/IF |
| 8 | G024 | 85 | Del | c.770T>A/p.Leu257Gln | 7/11 | 0.5581 | Pathogenic | Del/IF |
| c.950A>G/p.Gln317Arg | 9/11 | 0.0321 | VUS | |||||
| 9 | GR037 | 90 | Del | c.623A>T/p.Asp208Val | 6/11 | 0.4687 | Likely pathogenic | Del/IF |
| 10 | GR054 | 90 | Del | c.700T>G/p.Tyr234Asp | 7/11 | 0.7577 | Pathogenic | Del/IF |
| 11 | GR075 | 90 | Del | c.524G>A/p.Arg175His | 5/11 | 0.1948 | Pathogenic | Del/IF |
| 12 | G013 | 90 | Not-del | c.809T>C/p.Phe270Ser | 8/11 | 0.6015 | Pathogenic | Not-del/IF |
| 13 | G025 | 90 | Del | c.817C>T/p.Arg273Cys | 8/11 | 0.0900 | Pathogenic | Del/IF |
| 14 | G039 N10 | 90 | Del | c.733G>A/p.Gly245Ser | 7/11 | 0.5567 | Pathogenic | Del/IF |
| 15 | G042 | 90 | Del | c.808T>G/p.Phe270Val | 8/11 | 0.6376 | Pathogenic | Del/IF |
| 16 | G050 | 90 | Not-del | c.528C>G/p.Cys176Trp | 5/11 | 0.1842 | Pathogenic | Not-del/IF |
| 17 | G054 | 90 | Del | c.638G>T/p.Arg213Leu | 6/11 | 0.5130 | Pathogenic | Del/IF |
| 18 | GR084 | 95 | Not-del | c.722C>T/p.Ser241Phe | 7/11 | 0.4765 | Pathogenic | Not-del/IF |
| 19 | GR063 | 98 | Del | c.818G>A/p.Arg273His | 8/11 | 0.2513 | Pathogenic | Del/IF |
| 20 | GR078 | 98 | Del | c.638G>A/p.Arg213Gln | 6/11 | 0.3137 | Pathogenic | Del/IF |
| 21 | GR086 | 98 | Not-del | c.742C>T/p.Arg248Trp | 7/11 | 0.4335 | Pathogenic | Not-del/IF |


References
- Sung, H.; Ferlay, J.; Siegel, R.L.; Laversanne, M.; Soerjomataram, I.; Jemal, A.; Bray, F. Global Cancer Statistics 2020: GLOBOCAN Estimates of Incidence and Mortality Worldwide for 36 Cancers in 185 Countries. CA. Cancer J. Clin. 2021, 71, 209–249. [Google Scholar] [CrossRef]
- National Cancer Institute Surveillance, Epidemiology and End Results Program. Available online: https://seer.cancer.gov/ (accessed on 30 March 2023).
- Bass, A.J.; Thorsson, V.; Shmulevich, I.; Reynolds, S.M.; Miller, M.; Bernard, B.; Hinoue, T.; Laird, P.W.; Curtis, C.; Shen, H.; et al. Comprehensive molecular characterization of gastric adenocarcinoma. Nature 2014, 513, 202–209. [Google Scholar] [CrossRef]
- Bang, Y.-J.; Van Cutsem, E.; Feyereislova, A.; Chung, H.C.; Shen, L.; Sawaki, A.; Lordick, F.; Ohtsu, A.; Omuro, Y.; Satoh, T.; et al. Trastuzumab in combination with chemotherapy versus chemotherapy alone for treatment of HER2-positive advanced gastric or gastro-oesophageal junction cancer (ToGA): A phase 3, open-label, randomised controlled trial. Lancet 2010, 376, 687–697. [Google Scholar] [CrossRef]
- Tanner, M.; Hollmén, M.; Junttila, T.T.; Kapanen, A.I.; Tommola, S.; Soini, Y.; Helin, H.; Salo, J.; Joensuu, H.; Sihvo, E.; et al. Amplification of HER-2 in gastric carcinoma: Association with Topoisomerase IIα gene amplification, intestinal type, poor prognosis and sensitivity to trastuzumab. Ann. Oncol. 2005, 16, 273–278. [Google Scholar] [CrossRef] [PubMed]
- Gravalos, C.; Jimeno, A. HER2 in gastric cancer: A new prognostic factor and a novel therapeutic target. Ann. Oncol. 2008, 19, 1523–1529. [Google Scholar] [CrossRef] [PubMed]
- Kim, J.; Bowlby, R.; Mungall, A.J.; Robertson, A.G.; Odze, R.D.; Cherniack, A.D.; Shih, J.; Pedamallu, C.S.; Cibulskis, C.; Dunford, A.; et al. Integrated genomic characterization of oesophageal carcinoma. Nature 2017, 541, 169–175. [Google Scholar] [CrossRef]
- Sohn, B.H.; Hwang, J.E.; Jang, H.J.; Lee, H.S.; Oh, S.C.; Shim, J.J.; Lee, K.W.; Kim, E.H.; Yim, S.Y.; Lee, S.H.; et al. Clinical significance of four molecular subtypes of gastric cancer identified by The Cancer Genome Atlas project. Clin. Cancer Res. 2017, 23, 4441–4449. [Google Scholar] [CrossRef]
- Blanchet, A.; Bourgmayer, A.; Kurtz, J.-E.; Mellitzer, G.; Gaiddon, C.; Bourdon, J.-C. cancers Isoforms of the p53 Family and Gastric Cancer: A Ménage à Trois for an Unfinished Affair. Cancers 2021, 13, 916. [Google Scholar] [CrossRef]
- Kastenhuber, E.R.; Lowe, S.W. Putting p53 in Context. Cell 2017, 170, 1062–1078. [Google Scholar] [CrossRef]
- Liu, Y.; Chen, C.; Xu, Z.; Scuoppo, C.; Rillahan, C.D.; Gao, J.; Spitzer, B.; Bosbach, B.; Kastenhuber, E.R.; Baslan, T.; et al. Deletions linked to TP53 loss drive cancer through p53-independent mechanisms. Nature 2016, 531, 471–475. [Google Scholar] [CrossRef]
- Ando, K.; Oki, E.; Saeki, H.; Yan, Z.; Tsuda, Y.; Hidaka, G.; Kasagi, Y.; Otsu, H.; Kawano, H.; Kitao, H.; et al. Discrimination of p53 immunohistochemistry-positive tumors by its staining pattern in gastric cancer. Cancer Med. 2015, 4, 75–83. [Google Scholar] [CrossRef]
- Hwang, H.J.; Nam, S.K.; Park, H.; Park, Y.; Koh, J.; Na, H.Y.; Kwak, Y.; Kim, W.H.; Lee, H.S. Prediction of TP53 mutations by p53 immunohistochemistry and their prognostic significance in gastric cancer. J. Pathol. Transl. Med. 2020, 54, 378–386. [Google Scholar] [CrossRef] [PubMed]
- Kim, K.W.; Kim, N.; Choi, Y.; Kim, W.S.; Yoon, H.; Shin, C.M.; Park, Y.S.; Lee, D.H.; Park, Y.S.; Ahn, S.H.; et al. Different effects of p53 protein overexpression on the survival of gastric cancer patients according to Lauren histologic classification: A retrospective study. Gastric Cancer 2021, 24, 844–857. [Google Scholar] [CrossRef]
- Fernandez-Pol, S.; Ma, L.; Ohgami, R.S.; Arber, D.A. Immunohistochemistry for p53 is a useful tool to identify cases of acute myeloid leukemia with myelodysplasia-related changes that are TP53 mutated, have complex karyotype, and have poor prognosis. Mod. Pathol. 2017, 30, 382–392. [Google Scholar] [CrossRef]
- Guedes, L.B.; Almutairi, F.; Haffner, M.C.; Rajoria, G.; Liu, Z.; Klimek, S.; Zoino, R.; Yousefi, K.; Sharma, R.; De Marzo, A.M.; et al. Personalized Medicine and Imaging Analytic, Preanalytic, and Clinical Validation of p53 IHC for Detection of TP53 Missense Mutation in Prostate Cancer. Clin. Cancer Res. 2017, 23, 4693–4703. [Google Scholar] [CrossRef] [PubMed]
- Pardo, F.S.; Hsu, D.W.; Zeheb, R.; Efird, J.T.; Okunieff, P.G.; Malkin, D.M. Mutant, wild type, or overall p53 expression: Freedom from clinical progression in tumours of astrocytic lineage. Br. J. Cancer 2004, 91, 1678–1686. [Google Scholar] [CrossRef] [PubMed]
- Takami, H.; Yoshida, A.; Fukushima, S.; Arita, H.; Matsushita, Y.; Nakamura, T.; Ohno, M.; Miyakita, Y.; Shibui, S.; Narita, Y.; et al. Revisiting TP53 mutations and immunohistochemistry—A comparative study in 157 diffuse gliomas. Brain Pathol. 2015, 25, 256–265. [Google Scholar] [CrossRef] [PubMed]
- Wang, L.; Yu, X.; Li, J.; Zhang, Z.; Hou, J.; Li, F. Prognostic significance of p53 expression in patients with esophageal cancer: A meta-analysis. BMC Cancer 2016, 16, 373. [Google Scholar] [CrossRef] [PubMed]
- Hodgson, A.; Xu, B.; Downes, M.R. p53 immunohistochemistry in high-grade urothelial carcinoma of the bladder is prognostically significant. Histopathology 2017, 71, 296–304. [Google Scholar] [CrossRef]
- Kelsey, K.T.; Hirao, T.; Schned, A.; Hirao, S.; Devi-Ashok, T.; Nelson, H.H.; Andrew, A.; Karagas, M.R. A population-based study of immunohistochemical detection of p53 alteration in bladder cancer. Br. J. Cancer 2004, 90, 1572–1576. [Google Scholar] [CrossRef] [PubMed]
- Gonzalez, R.S.; Messing, S.; Tu, X.; McMahon, L.A.; Whitney-Miller, C.L. Immunohistochemistry as a surrogate for molecular subtyping of gastric adenocarcinoma. Hum. Pathol. 2016, 56, 16–21. [Google Scholar] [CrossRef]
- Schoop, I.; Maleki, S.S.; Behrens, H.M.; Krüger, S.; Haag, J.; Röcken, C. p53 immunostaining cannot be used to predict TP53 mutations in gastric cancer: Results from a large Central European cohort. Hum. Pathol. 2020, 105, 53–66. [Google Scholar] [CrossRef] [PubMed]
- Yemelyanova, A.; Vang, R.; Kshirsagar, M.; Lu, D.; Marks, M.A.; Shih, I.M.; Kurman, R.J. Immunohistochemical staining patterns of p53 can serve as a surrogate marker for TP53 mutations in ovarian carcinoma: An immunohistochemical and nucleotide sequencing analysis. Mod. Pathol. 2011, 24, 1248–1253. [Google Scholar] [CrossRef] [PubMed]
- Daun, T.; Nienhold, R.; Paasinen-Sohns, A.; Frank, A.; Sachs, M.; Zlobec, I.; Cathomas, G. Combined Simplified Molecular Classification of Gastric Adenocarcinoma, Enhanced by Lymph Node Status: An Integrative Approach. Cancers 2021, 13, 3722. [Google Scholar] [CrossRef]
- Mota, A.; Triviño, J.C.; Rojo-Sebastian, A.; Martínez-Ramírez, Á.; Chiva, L.; González-Martín, A.; Garcia, J.F.; Garcia-Sanz, P.; Moreno-Bueno, G. Intra-tumor heterogeneity in TP53 null High Grade Serous Ovarian Carcinoma progression. BMC Cancer 2015, 15, 940. [Google Scholar] [CrossRef]
- Sung, Y.-N.; Kim, D.; Kim, J. Clinicopathologic features of metastatic small cell carcinoma of the prostate to the liver: A series of four cases. Diagn. Pathol. 2021, 17, 92. [Google Scholar] [CrossRef]
- Sangoi, A.R.; Chan, E.; Abdulfatah, E.; Stohr, B.A.; Nguyen, J.; Trpkov, K.; Siadat, F.; Hirsch, M.; Falzarano, S.; Udager, A.M.; et al. p53 null phenotype is a “positive result” in urothelial carcinoma in situ. Mod. Pathol. 2022, 35, 1287–1292. [Google Scholar] [CrossRef] [PubMed]
- Boldrin, E.; Piano, M.A.; Alfieri, R.; Mazza, M.; Vassallo, L.; Scapinello, A.; Pilati, P.; Curtarello, M. MSI Analysis in Solid and Liquid Biopsies of Gastroesophageal Adenocarcinoma Patients: A Molecular Approach. Int. J. Mol. Sci. 2021, 22, 47244. [Google Scholar] [CrossRef]
- Boldrin, E.; Mazza, M.; Piano, M.A.; Alfieri, R.; Montagner, I.M.; Magni, G.; Scaini, M.C.; Vassallo, L.; Rosato, A.; Pilati, P.; et al. Putative Clinical Potential of ERBB2 Amplification Assessment by ddPCR in FFPE-DNA and cfDNA of Gastroesophageal Adenocarcinoma Patients. Cancers 2022, 14, 2180. [Google Scholar] [CrossRef]
- Huggett, J.F.; Foy, C.A.; Benes, V.; Emslie, K.; Garson, J.A.; Haynes, R.; Hellemans, J.; Kubista, M.; Mueller, R.D.; Nolan, T.; et al. The Digital MIQE Guidelines: Minimum Information for Publication of Quantitative Digital PCR Experiments. Clin. Chem. 2013, 59, 892–902. [Google Scholar] [CrossRef]
- Kim, K.M.; Ahn, A.R.; Park, H.S.; Jang, K.Y.; Moon, W.S.; Kang, M.J.; Ha, G.W.; Lee, M.R.; Chung, M.J. Clinical significance of p53 protein expression and TP53 variation status in colorectal cancer. BMC Cancer 2022, 22, 788. [Google Scholar] [CrossRef]
- Köbel, M.; Kang, E.Y. The many uses of p53 immunohistochemistry in gynecological pathology: Proceedings of the ISGyP companion society session at the 2020 USCAP annual9 meeting. Int. J. Gynecol. Pathol. 2021, 40, 32–40. [Google Scholar] [CrossRef] [PubMed]
- Gudikote, J.P.; Cascone, T.; Poteete, A.; Sitthideatphaiboon, P.; Wu, Q.; Morikawa, N.; Zhang, F.; Peng, S.; Tong, P.; Li, L.; et al. Inhibition of nonsense-mediated decay rescues p53β/γ isoform expression and activates the p53 pathway in MDM2-overexpressing and select p53-mutant cancers. J. Biol. Chem. 2021, 297, 101163. [Google Scholar] [CrossRef]
- Lukashchuk, N.; Vousden, K.H. Ubiquitination and Degradation of Mutant p53. Mol. Cell. Biol. 2007, 27, 8284–8295. [Google Scholar] [CrossRef] [PubMed]
- Khayat, A.S.; Guimarães, A.C.; Calcagno, D.Q.; Seabra, A.D.; Lima, E.M.; Leal, M.F.; Faria, M.H.; Rabenhorst, S.H.; Assumpção, P.P.; Demachki, S.; et al. Interrelationship between TP53 gene deletion, protein expression and chromosome 17 aneusomy in gastric adenocarcinoma. BMC Gastroenterol. 2009, 9, 55. [Google Scholar] [CrossRef]
- Pectasides, E.; Stachler, M.D.; Derks, S.; Liu, Y.; Maron, S.; Islam, M.; Alpert, L.; Kwak, H.; Kindler, H.; Polite, B.; et al. Genomic Heterogeneity as a Barrier to Precision Medicine in Gastroesophageal Adenocarcinoma. Cancer Discov. 2018, 8, 37–48. [Google Scholar] [CrossRef]
- Chae, Y.K.; Davis, A.A.; Carneiro, B.A.; Chandra, S.; Mohindra, N.; Kalyan, A.; Kaplan, J.; Matsangou, M.; Pai, S.; Costa, R.; et al. Concordance between genomic alterations assessed by next-generation sequencing in tumor tissue or circulating cell-free DNA. Oncotarget 2016, 7, 65364–65373. [Google Scholar] [CrossRef]
- Derks, S.; de Klerk, L.K.; Xu, X.; Fleitas, T.; Liu, K.X.; Liu, Y.; Dietlein, F.; Margolis, C.; Chiaravalli, A.M.; Da Silva, A.C.; et al. Characterizing diversity in the tumor-immune microenvironment of distinct subclasses of gastroesophageal adenocarcinomas. Ann. Oncol. Off. J. Eur. Soc. Med. Oncol. 2020, 31, 1011–1020. [Google Scholar] [CrossRef] [PubMed]
- Zhu, G.; Pan, C.; Bei, J.X.; Li, B.; Liang, C.; Xu, Y.; Fu, X. Mutant p53 in Cancer Progression and Targeted Therapies. Front. Oncol. 2020, 10, 595187. [Google Scholar] [CrossRef]






| Retrospective Cohort | |
|---|---|
| Patients | Total |
| N (%) 83 (100) | |
| Age | |
| Median (Q1; Q3) | 76 (68; 81) |
| Range | 44–97 |
| Gender | |
| Male | 50 (60.2) |
| Female | 33 (39.8) |
| TNM stage * | |
| I/II | 34 (41) |
| III/IV | 49 (59) |
| IHC Typing | |
| EBV+ | 3 (3.6) |
| MSI # | 15 (18.1) |
| CIN # | 28 (33.7) |
| GS | 38 (45.8) |
| Prospective Cohort | |
|---|---|
| Patients | Total |
| N (%) 60 (100) | |
| Age | |
| Median (Q1; Q3) | 69 (58.5; 76.5) |
| Range | (34–96) |
| Gender | |
| Male | 41 (68.3) |
| Female | 19 (31.7) |
| pTNM stage | |
| I/II | 26 (43.3) |
| III/IV | 34 (56.7) |
| IHC Typing * | |
| EBV+ | 0 (0) |
| MSI | 6 (9.5) |
| CIN | 24 (38.1) |
| GS | 33 (52.4) |
| IHC | Total | |||
|---|---|---|---|---|
| Intermediate (3–69%) | Low and High (≤2% and ≥70%) | |||
| ddPCR | Del | 15 (45.5%) | 37 (74%) | 52 (62.7%) |
| Not-del | 18 (54.5%) | 13 (26%) | 31 (37.3%) | |
| Total | 33 | 50 | 83 | |
| IHC | Total | |||
|---|---|---|---|---|
| Intermediate (3–69%) | Low and High (≤2% and ≥70%) | |||
| ddPCR | Del | 29 (47.5%) | 62 (72.9%) | 91 (62.3%) |
| Not-del | 32 (52.5%) | 23 (27.1%) | 55 (37.7%) | |
| Total | 61 | 85 | 146 | |
Disclaimer/Publisher’s Note: The statements, opinions and data contained in all publications are solely those of the individual author(s) and contributor(s) and not of MDPI and/or the editor(s). MDPI and/or the editor(s) disclaim responsibility for any injury to people or property resulting from any ideas, methods, instructions or products referred to in the content. |
© 2023 by the authors. Licensee MDPI, Basel, Switzerland. This article is an open access article distributed under the terms and conditions of the Creative Commons Attribution (CC BY) license (https://creativecommons.org/licenses/by/4.0/).
Share and Cite
Boldrin, E.; Piano, M.A.; Bernaudo, F.; Alfieri, R.; Biasin, M.R.; Montagner, I.M.; Volpato, A.; Mattara, G.; Lamacchia, F.; Magni, G.; et al. p53/TP53 Status Assessment in Gastroesophageal Adenocarcinoma. Cancers 2023, 15, 2783. https://doi.org/10.3390/cancers15102783
Boldrin E, Piano MA, Bernaudo F, Alfieri R, Biasin MR, Montagner IM, Volpato A, Mattara G, Lamacchia F, Magni G, et al. p53/TP53 Status Assessment in Gastroesophageal Adenocarcinoma. Cancers. 2023; 15(10):2783. https://doi.org/10.3390/cancers15102783
Chicago/Turabian StyleBoldrin, Elisa, Maria Assunta Piano, Francesco Bernaudo, Rita Alfieri, Maria Raffaella Biasin, Isabella Monia Montagner, Alice Volpato, Genny Mattara, Francesco Lamacchia, Giovanna Magni, and et al. 2023. "p53/TP53 Status Assessment in Gastroesophageal Adenocarcinoma" Cancers 15, no. 10: 2783. https://doi.org/10.3390/cancers15102783
APA StyleBoldrin, E., Piano, M. A., Bernaudo, F., Alfieri, R., Biasin, M. R., Montagner, I. M., Volpato, A., Mattara, G., Lamacchia, F., Magni, G., Rosato, A., Scapinello, A., Pilati, P., & Curtarello, M. (2023). p53/TP53 Status Assessment in Gastroesophageal Adenocarcinoma. Cancers, 15(10), 2783. https://doi.org/10.3390/cancers15102783

