Multiparametric Sonographic Imaging of Thyroid Lesions: Chances of B-Mode, Elastography and CEUS in Relation to Preoperative Histopathology
Abstract
:Simple Summary
Abstract
1. Introduction
2. Materials and Methods
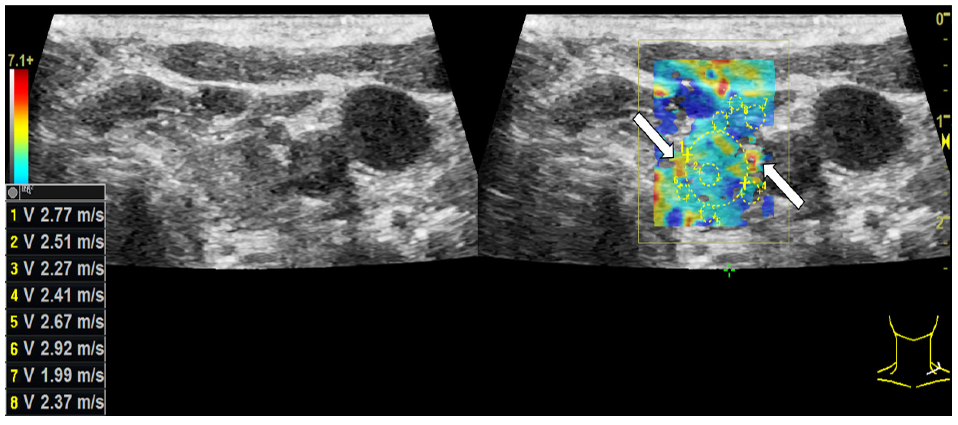
2.1. B-Mode and Elastography Examination Technique
2.2. CEUS Examination Technique
2.3. Statistical Analysis
3. Results
3.1. B-Mode Findings
3.2. Shear-Wave Elastography
3.3. Contrast-Enhanced Ultrasound (CEUS) Findings
3.3.1. Wash-In Dynamics
3.3.2. (In-)Homogeneous Wash-In and Wash-Out
3.3.3. Time-Intensity-Curve (TIC) Analysis
3.4. Diagnostic Accuracy, Diagnostic Odds Ratio, Sensitivity, Specificity, Positive and Negative Predictive Value
4. Discussion
5. Conclusions
Author Contributions
Funding
Institutional Review Board Statement
Informed Consent Statement
Data Availability Statement
Conflicts of Interest
References
- Gianì, F.; Masto, R.; Trovato, M.A.; Malandrino, P.; Russo, M.; Pellegriti, G.; Vigneri, P.; Vigneri, R. Heavy Metals in the Environment and Thyroid Cancer. Cancers 2021, 13, 4052. [Google Scholar] [CrossRef] [PubMed]
- Suzuki, K.; Saenko, V.; Yamashita, S.; Mitsutake, N. Radiation-Induced Thyroid Cancers: Overview of Molecular Signatures. Cancers 2019, 11, 1290. [Google Scholar] [CrossRef]
- Russ, G.; Bonnema, S.J.; Erdogan, M.F.; Durante, C.; Ngu, R.; Leenhardt, L. European Thyroid Association Guidelines for Ultrasound Malignancy Risk Stratification of Thyroid Nodules in Adults: The EU-TIRADS. Eur. Thyroid J. 2017, 6, 225–237. [Google Scholar] [CrossRef] [PubMed]
- Huang, Y.; Hong, Y.; Xu, W.; Song, K.; Huang, P. Contrast-Enhanced Ultrasound Improves the Accuracy of the ACR TI-RADS in the Diagnosis of Thyroid Nodules Located in the Isthmus. Ultraschall Med. 2021. [Google Scholar] [CrossRef] [PubMed]
- Karges, W.; Brabant, G. Schilddrüsenkarzinom—Klinik und Diagnostik. Onkologe 2010, 16, 657–665. [Google Scholar] [CrossRef]
- Brandenstein, M.; Wiesinger, I.; Jung, F.; Stroszczynski, C.; Jung, E.M. High-performance sonographical multimodal imaging of non cystic thyroid lesions: Chances of the preoperative diagnostics in relation to histopathology. Clin. Hemorheol. Microcirc. 2021, 79, 27–38. [Google Scholar] [CrossRef] [PubMed]
- Zhang, J.; Zhang, X.; Meng, Y.; Chen, Y. Contrast-enhanced ultrasound for the differential diagnosis of thyroid nodules: An updated meta-analysis with comprehensive heterogeneity analysis. PLoS ONE 2020, 15, e0231775. [Google Scholar] [CrossRef]
- Ma, X.; Zhang, B.; Ling, W.; Liu, R.; Jia, H.; Zhu, F.; Wang, M.; Liu, H.; Huang, J.; Liu, L. Contrast-enhanced sonography for the identification of benign and malignant thyroid nodules: Systematic review and meta-analysis. J. Clin. Ultrasound. 2016, 44, 199–209. [Google Scholar] [CrossRef]
- Sidhu, P.S.; Cantisani, V.; Dietrich, C.F.; Gilja, O.H.; Saftoiu, A.; Bartels, E.; Bertolotto, M.; Calliada, F.; Clevert, D.A.; Cosgrove, D.; et al. The EFSUMB Guidelines and Recommendations for the Clinical Practice of Contrast-Enhanced Ultrasound (CEUS) in Non-Hepatic Applications: Update 2017. Ultraschall Med. 2018, 39, e2–e44. [Google Scholar] [CrossRef]
- Radzina, M.; Ratniece, M.; Putrins, D.S.; Saule, L.; Cantisani, V. Performance of Contrast-Enhanced Ultrasound in Thyroid Nodules: Review of Current State and Future Perspectives. Cancers 2021, 13, 5469. [Google Scholar] [CrossRef]
- Seifert, P.; Schenke, S.; Zimny, M.; Stahl, A.; Grunert, M.; Klemenz, B.; Freesmeyer, M.; Kreissl, M.C.; Herrmann, K.; Görges, R. Diagnostic Performance of Kwak, EU, ACR, and Korean TIRADS as Well as ATA Guidelines for the Ultrasound Risk Stratification of Non-Autonomously Functioning Thyroid Nodules in a Region with Long History of Iodine Deficiency: A German Multicenter Trial. Cancers 2021, 13, 4467. [Google Scholar] [CrossRef] [PubMed]
- Seminati, D.; Capitoli, G.; Leni, D.; Fior, D.; Vacirca, F.; Di Bella, C.; Galimberti, S.; L’Imperio, V.; Pagni, F. Use of Diagnostic Criteria from ACR and EU-TIRADS Systems to Improve the Performance of Cytology in Thyroid Nodule Triage. Cancers 2021, 13, 5439. [Google Scholar] [CrossRef]
- Lyshchik, A.; Dietrich, C.F.; Sidhu, P.S.; Wilson, S.R. Specialty Imaging Fundamentals of CEUS; Elsevier: Philadelphia, PA, USA, 2019; pp. 9–15. [Google Scholar]
- Zhang, W.B.; Li, J.J.; Chen, X.Y.; He, B.L.; Shen, R.H.; Liu, H.; Chen, J.; He, X.F. SWE combined with ACR TI-RADS categories for malignancy risk stratification of thyroid nodules with indeterminate FNA cytology. Clin. Hemorheol. Microcirc. 2020, 76, 381–390. [Google Scholar] [CrossRef]
- Shimura, H.; Matsumoto, Y.; Murakami, T.; Fukunari, N.; Kitaoka, M.; Suzuki, S. Diagnostic Strategies for Thyroid Nodules Based on Ultrasonographic Findings in Japan. Cancers 2021, 13, 4629. [Google Scholar] [CrossRef] [PubMed]
- Bojunga, J.; Herrmann, E.; Meyer, G.; Weber, S.; Zeuzem, S.; Friedrich-Rust, M. Real-time elastography for the differentiation of benign and malignant thyroid nodules: A meta-analysis. Thyroid 2010, 20, 1145–1150. [Google Scholar] [CrossRef]
- Russ, G.; Royer, B.; Bigorgne, C.; Rouxel, A.; Bienvenu-Perrard, M.; Leenhardt, L. Prospective evaluation of thyroid imaging reporting and data system on 4550 nodules with and without elastography. Eur. J. Endocrinol. 2013, 168, 649–655. [Google Scholar] [CrossRef]
- Dong, F.J.; Li, M.; Jiao, Y.; Xu, J.F.; Xiong, Y.; Zhang, L.; Luo, H.; Ding, Z.M. Acoustic Radiation Force Impulse imaging for detecting thyroid nodules: A systematic review and pooled meta-analysis. Med. Ultrason. 2015, 17, 192–199. [Google Scholar] [CrossRef]
- Swan, K.Z.; Nielsen, V.E.; Bonnema, S.J. Evaluation of thyroid nodules by shear wave elastography: A review of current knowledge. J. Endocrinol. Investig. 2021, 44, 2043–2056. [Google Scholar] [CrossRef]
- Sun, B.; Lang, L.; Zhu, X.; Jiang, F.; Hong, Y.; He, L. Accuracy of contrast-enhanced ultrasound in the identification of thyroid nodules: A meta-analysis. Int. J. Clin. Exp. Med. 2015, 8, 12882–12889. [Google Scholar]
- Wu, Q.; Wang, Y.; Li, Y.; Hu, B.; He, Z.Y. Diagnostic value of contrast-enhanced ultrasound in solid thyroid nodules with and without enhancement. Endocrine 2016, 53, 480–488. [Google Scholar] [CrossRef] [PubMed]
- Zhang, B.; Jiang, Y.X.; Liu, J.B.; Yang, M.; Dai, Q.; Zhu, Q.L.; Gao, P. Utility of contrast-enhanced ultrasound for evaluation of thyroid nodules. Thyroid 2010, 20, 51–57. [Google Scholar] [CrossRef] [PubMed]
- Wiesinger, I.; Kroiss, E.; Zausig, N.; Hornung, M.; Zeman, F.; Stroszczynski, C.; Jung, E.M. Analysis of arterial dynamic micro-vascularization with contrast-enhanced ultrasound (CEUS) in thyroid lesions using external perfusion software: First results. Clin. Hemorheol. Microcirc. 2016, 64, 747–755. [Google Scholar] [CrossRef] [PubMed]
- Wiesinger, I.; Jung, F.; Jung, E.M. Contrast-enhanced ultrasound (CEUS) and perfusion imaging using VueBox®. Clin. Hemorheol. Microcirc. 2021, 78, 29–40. [Google Scholar] [CrossRef] [PubMed]
- Sorrenti, S.; Dolcetti, V.; Fresilli, D.; Del Gaudio, G.; Pacini, P.; Huang, P.; Camponovo, C.; Leoncini, A.; D’Andrea, V.; Pironi, D.; et al. The Role of CEUS in the Evaluation of Thyroid Cancer: From Diagnosis to Local Staging. J. Clin. Med. 2021, 10, 4559. [Google Scholar] [CrossRef]
- Fresilli, D.; David, E.; Pacini, P.; Del Gaudio, G.; Dolcetti, V.; Lucarelli, G.T.; Di Leo, N.; Bellini, M.I.; D’Andrea, V.; Sorrenti, S.; et al. Thyroid Nodule Characterization: How to Assess the Malignancy Risk. Update of the Literature. Diagnostics 2021, 11, 1374. [Google Scholar] [CrossRef]






| Contrast Agent Expansion Dynamics (In a Thyroid Nodule Compared to Healthy Thyroid Tissue) | Colour | Number |
|---|---|---|
| Very late | Blue/Purple/Black | 0 |
| Late | Green | 1 |
| Slightly late | Yellow | 2 |
| Simultaneously | Orange | 3 |
| Fast | Red | 4 |
| B-Mode Findings | Benign | Malignant |
|---|---|---|
| blurry edge demarcation | 36.3% | 75% |
| microcalcifications | 13.7% | 60% |
| inhomogeneous sonomorphological structure | 46.1% | 80% |
| Shear-Wave Elastography Measurements | Benign (n ± STD) | Benign (%) | Malignant (n ± STD) | Malignant (%) |
|---|---|---|---|---|
| center [m/s] | 3.50 ± 1.0 | 160.34% | 4.60 ± 1.3 | 226.56% |
| margin [m/s] | 3.49 ± 0.7 | 160.39% | 4.22 ± 1.1 | 207.74% |
| surrounding tissue [m/s] | 2.18 ± 0.8 | 100.00% | 2.03 ± 0.7 | 100.00% |
| center [kPa] | 41.16 ± 25.5 | 260.3% | 69.80 ± 44.8 | 499.61% |
| margin [kPa] | 40.19 ± 14.8 | 254.15% | 60.09 ± 25.1 | 430.16% |
| surrounding tissue [kPa] | 15.81 ± 12.5 | 100.00% | 13.97 ± 6.6 | 100.00% |
| CEUS Findings | Benign | Malignant |
|---|---|---|
| inhomogeneous wash-in | 28.4% | 75% |
| partial/complete wash-out | 37.9% | 85% |
| TIC Analysis Mean | Benign (n ± STD) | Benign (%) | Malignant (n ± STD) | Malignant (%) |
|---|---|---|---|---|
| TTP [s] center | 19.7 ± 10.8 | 91.0% | 13.2 ± 6.5 | 89.0% |
| TTP [s] margin | 19.9 ± 8.7 | 91.8% | 13.9 ± 6.5 | 93.7% |
| TTP [s] surrounding tissue | 21.7 ± 15.1 | 100.0% | 14.8 ± 7.6 | 100.0% |
| Examination Technique | Diagnostic Accuracy (%) | Diagnostic Odds Ratio | Sens. (%) | Spec. (%) | |
|---|---|---|---|---|---|
| B-mode | blurry edge demarcation | 83.6 | 2.5 | 75.0 | 63.7 |
| microcaclifications | 83.6 | 9.4 | 60.0 | 86.3 | |
| inhomogeneous sonomorphological structure | 83.6 | 4.7 | 80.0 | 53.9 | |
| marginal hypoechogenicity | 83.6 | 11.8 | 95.0 | 46.1 | |
| central hypoechogenicity | 83.6 | 5.5 | 90.0 | 41.2 | |
| Shear-wave elasto-graphy | marginal cut-off: 4.0 m/s | 90.0 | 3.5 | 75.0 | 81.4 |
| central cut-off: 3.9 m/s | 88.4 | 2.3 | 75.0 | 70.1 | |
| marginal cut-off: 50.7 kPa | 90.8 | 1.1 | 75.0 | 75.3 | |
| central cut-off: 46.9 kPa | 89.2 | 1.0 | 75.0 | 72.2 | |
| CEUS | fast marginal wash-in | 88.7 | 21.3 | 50.0 | 96.9 |
| fast central wash-in | 82.6 | 0.9 | 20.0 | 96.8 | |
| inhomogeneous wash-in | 82.6 | 7.2 | 34.9 | 93.1 | |
| partial/complete wash-out | 82.6 | 3.4 | 66.7 | 95.2 | |
| CEUS: TIC | marginal TTP cut-off: 13.1 s | 78.5 | 1.1 | 57.9 | 81.1 |
| central TTP cut-off: 13.5 s | 78.5 | 1.1 | 78.9 | 73.0 | |
Publisher’s Note: MDPI stays neutral with regard to jurisdictional claims in published maps and institutional affiliations. |
© 2022 by the authors. Licensee MDPI, Basel, Switzerland. This article is an open access article distributed under the terms and conditions of the Creative Commons Attribution (CC BY) license (https://creativecommons.org/licenses/by/4.0/).
Share and Cite
Brandenstein, M.; Wiesinger, I.; Künzel, J.; Hornung, M.; Stroszczynski, C.; Jung, E.-M. Multiparametric Sonographic Imaging of Thyroid Lesions: Chances of B-Mode, Elastography and CEUS in Relation to Preoperative Histopathology. Cancers 2022, 14, 4745. https://doi.org/10.3390/cancers14194745
Brandenstein M, Wiesinger I, Künzel J, Hornung M, Stroszczynski C, Jung E-M. Multiparametric Sonographic Imaging of Thyroid Lesions: Chances of B-Mode, Elastography and CEUS in Relation to Preoperative Histopathology. Cancers. 2022; 14(19):4745. https://doi.org/10.3390/cancers14194745
Chicago/Turabian StyleBrandenstein, Moritz, Isabel Wiesinger, Julian Künzel, Matthias Hornung, Christian Stroszczynski, and Ernst-Michael Jung. 2022. "Multiparametric Sonographic Imaging of Thyroid Lesions: Chances of B-Mode, Elastography and CEUS in Relation to Preoperative Histopathology" Cancers 14, no. 19: 4745. https://doi.org/10.3390/cancers14194745
APA StyleBrandenstein, M., Wiesinger, I., Künzel, J., Hornung, M., Stroszczynski, C., & Jung, E.-M. (2022). Multiparametric Sonographic Imaging of Thyroid Lesions: Chances of B-Mode, Elastography and CEUS in Relation to Preoperative Histopathology. Cancers, 14(19), 4745. https://doi.org/10.3390/cancers14194745

