Treatment of Pineal Region Rosette-Forming Glioneuronal Tumors (RGNT)
Abstract
Simple Summary
Abstract
1. Introduction
2. Material and Methods
2.1. Patients’ Cohort and Data Analysis
2.2. Systematic Review, Search Strategy, and Acquisition of the RGNT Cohort Data
3. Results
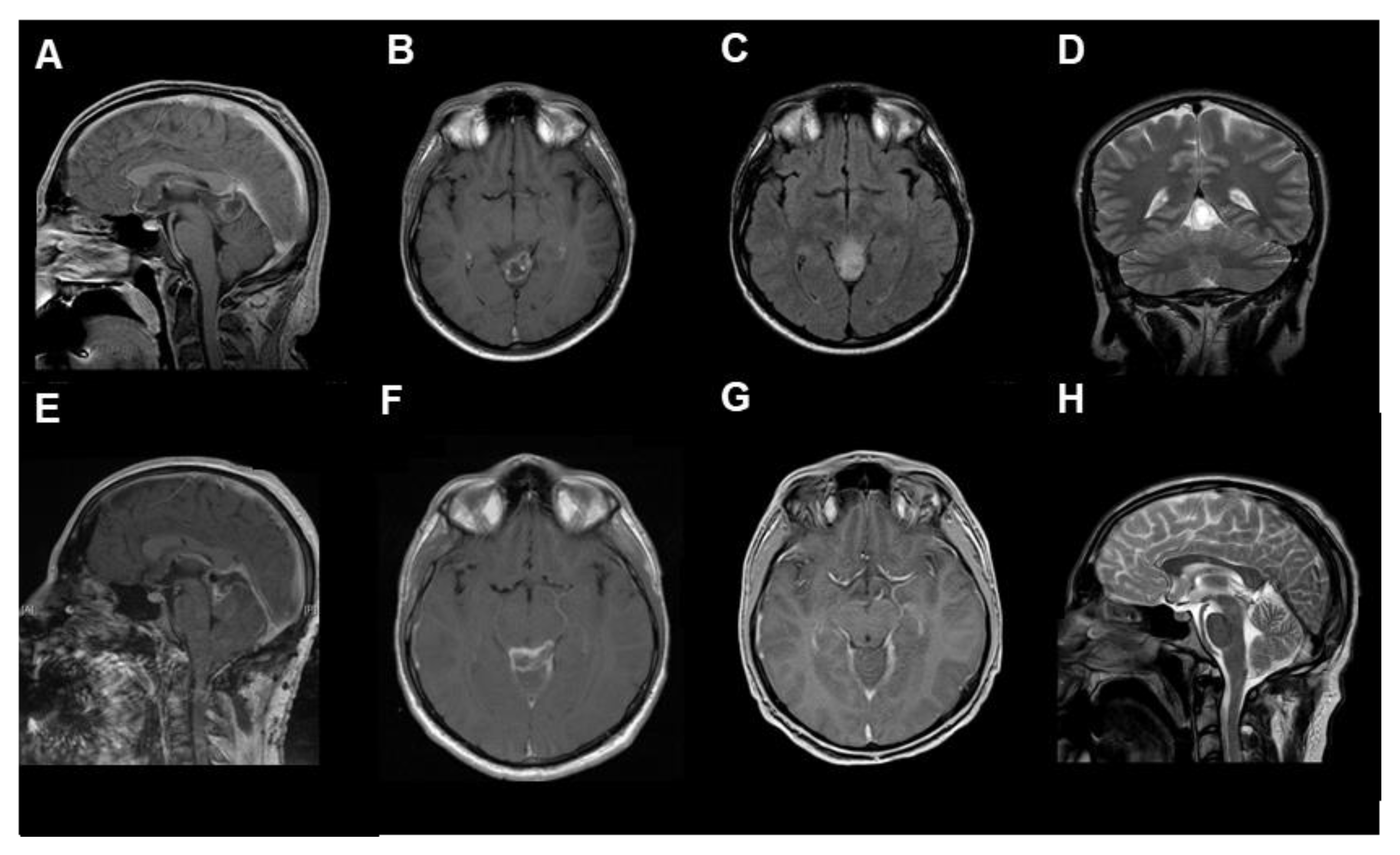
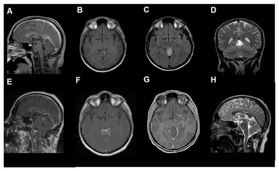
3.1. Case Summary
- Case 1:
- Case 2:
- Case 3:
- Case 4:
- Case 5:
3.2. Systematic Review of the Literature
4. Discussion
5. Conclusions
Supplementary Materials
Author Contributions
Funding
Institutional Review Board Statement
Informed Consent Statement
Data Availability Statement
Conflicts of Interest
Abbreviations
| CNS | central nervous system |
| CT | computed tomography |
| DNET | dysembryoblastic neuroepithelial tumor |
| FET | F18-Fluorethyltyrosin |
| GTR | gross total resection |
| MRI | magnetic resonance imaging |
| PGNT | papillary glioneuronal tumors |
| PET | positron emission tomography |
| RGNT | rosette-forming glioneuronal tumors |
| WHO | World Health Organization |
References
- Konovalov, A.N.; Pitskhelauri, D.I. Principles of treatment of the pineal region tumors. Surg. Neurol. 2003, 59, 250–268. [Google Scholar] [CrossRef]
- Edwards, M.S.; Hudgins, R.J.; Wilson, C.B.; Levin, V.A.; Wara, W.M. Pineal region tumors in children. J. Neurosurg. 1988, 68, 689–697. [Google Scholar] [CrossRef] [PubMed]
- Louis, D.N.; Perry, A.; Reifenberger, G.; von Deimling, A.; Figarella-Branger, D.; Cavenee, W.K.; Ohgaki, H.; Wiestler, O.D.; Kleihues, P.; Ellison, D.W. The 2016 World Health Organization Classification of Tumors of the Central Nervous System: A summary. Acta Neuropathol. 2016, 131, 803–820. [Google Scholar] [CrossRef] [PubMed]
- Franceschi, E.; Frappaz, D.; Ruda, R.; Hau, P.; Preusser, M.; Houillier, C.; Lombardi, G.; Asioli, S.; Dehais, C.; Bielle, F.; et al. Rare Primary Central Nervous System Tumors in Adults: An Overview. Front. Oncol. 2020, 10, 996. [Google Scholar] [CrossRef] [PubMed]
- Kuchelmeister, K.; Demirel, T.; Schlorer, E.; Bergmann, M.; Gullotta, F. Dysembryoplastic neuroepithelial tumour of the cerebellum. Acta Neuropathol. 1995, 89, 385–390. [Google Scholar] [CrossRef]
- Komori, T.; Scheithauer, B.W.; Anthony, D.C.; Rosenblum, M.K.; McLendon, R.E.; Scott, R.M.; Okazaki, H.; Kobayashi, M. Papillary glioneuronal tumor: A new variant of mixed neuronal-glial neoplasm. Am. J. Surg. Pathol. 1998, 22, 1171–1183. [Google Scholar] [CrossRef]
- Komori, T.; Scheithauer, B.W.; Hirose, T. A rosette-forming glioneuronal tumor of the fourth ventricle: Infratentorial form of dysembryoplastic neuroepithelial tumor? Am. J. Surg. Pathol. 2002, 26, 582–591. [Google Scholar] [CrossRef]
- Yang, C.; Fang, J.; Li, G.; Li, S.; Ha, T.; Wang, J.; Yang, B.; Yang, J.; Xu, Y. Histopathological, molecular, clinical and radiological characterization of rosette-forming glioneuronal tumor in the central nervous system. Oncotarget 2017, 8, 109175–109190. [Google Scholar] [CrossRef]
- Chiba, K.; Aihara, Y.; Eguchi, S.; Tanaka, M.; Komori, T.; Okada, Y. Rosette-forming glioneuronal tumor of the fourth ventricle with neurocytoma component. Childs Nerv. Syst. 2014, 30, 351–356. [Google Scholar] [CrossRef]
- Medhi, G.; Prasad, C.; Saini, J.; Pendharkar, H.; Bhat, M.D.; Pandey, P.; Muthane, Y. Imaging features of rosette-forming glioneuronal tumours (RGNTs): A Series of seven cases. Eur. Radiol. 2016, 26, 262–270. [Google Scholar] [CrossRef]
- Louis, D.N.; Ohgaki, H.; Wiestler, O.D.; Cavenee, W.K.; Burger, P.C.; Jouvet, A.; Scheithauer, B.W.; Kleihues, P. The 2007 WHO classification of tumours of the central nervous system. Acta Neuropathol. 2007, 114, 97–109. [Google Scholar] [CrossRef] [PubMed]
- Rosenblum, M.K. The 2007 WHO Classification of Nervous System Tumors: Newly recognized members of the mixed glioneuronal group. Brain Pathol. 2007, 17, 308–313. [Google Scholar] [CrossRef] [PubMed]
- Louis, D.N.; Perry, A.; Wesseling, P.; Brat, D.J.; Cree, I.A.; Figarella-Branger, D.; Hawkins, C.; Ng, H.K.; Pfister, S.M.; Reifenberger, G.; et al. The 2021 WHO Classification of Tumors of the Central Nervous System: A summary. Neuro Oncol. 2021, 23, 1231–1251. [Google Scholar] [CrossRef] [PubMed]
- Ghosal, N.; Furtado, S.V.; Hegde, A.S. Rosette forming glioneuronal tumor pineal gland and tectum: An intraoperative diagnosis on smear preparation. Diagn. Cytopathol. 2010, 38, 590–593. [Google Scholar] [CrossRef]
- Frydenberg, E.; Laherty, R.; Rodriguez, M.; Ow-Yang, M.; Steel, T. A rosette-forming glioneuronal tumour of the pineal gland. J. Clin. Neurosci. 2010, 17, 1326–1328. [Google Scholar] [CrossRef]
- Xu, J.; Yang, Y.; Liu, Y.; Wei, M.; Ren, J.; Chang, Y.; Huan, Y.; Yin, H.; Xue, Y. Rosette-forming glioneuronal tumor in the pineal gland and the third ventricle: A case with radiological and clinical implications. Quant. Imaging Med. Surg. 2012, 2, 227–231. [Google Scholar]
- Sieg, E.P.; Payne, R.; Langan, S.; Specht, C.S. Case Report: A Rosette-forming Glioneuronal Tumor in the Tectal Plate in a Patient with Neurofibromatosis Type I. Cureus 2016, 8, e857. [Google Scholar] [CrossRef]
- Muhammad, S.; Hafez, A.; Karppinen, A.; Niemela, M. Surgical treatment of a rare rosette-forming glioneuronal tumor in the pineal region. Surg. Neurol. Int. 2020, 11, 68. [Google Scholar] [CrossRef]
- Lin, C.C.; Mansukhani, M.M.; Bruce, J.N.; Canoll, P.; Zanazzi, G. Rosette-Forming Glioneuronal Tumor in the Pineal Region: A Series of 6 Cases and Literature Review. J. Neuropathol. Exp. Neurol. 2021, 80, 933–943. [Google Scholar] [CrossRef]
- Marhold, F.; Preusser, M.; Dietrich, W.; Prayer, D.; Czech, T. Clinicoradiological features of rosette-forming glioneuronal tumor (RGNT) of the fourth ventricle: Report of four cases and literature review. J. Neurooncol. 2008, 90, 301–308. [Google Scholar] [CrossRef]
- Solis, O.E.; Mehta, R.I.; Lai, A.; Mehta, R.I.; Farchoukh, L.O.; Green, R.M.; Cheng, J.C.; Natarajan, S.; Vinters, H.V.; Cloughesy, T.; et al. Rosette-forming glioneuronal tumor: A pineal region case with IDH1 and IDH2 mutation analyses and literature review of 43 cases. J. Neurooncol. 2011, 102, 477–484. [Google Scholar] [CrossRef] [PubMed]
- Maiti, T.K.; Arimappamagan, A.; Mahadevan, A.; Yasha, T.C.; Pandey, P.; Santosh, V. Rare pathologies in the posterior third ventricular region in children: Case series and review. Pediatr. Neurosurg. 2015, 50, 42–47. [Google Scholar] [CrossRef] [PubMed]
- Abecassis, I.J.; Hanak, B.; Barber, J.; Mortazavi, M.; Ellenbogen, R.G. A Single-Institution Experience with Pineal Region Tumors: 50 Tumors Over 1 Decade. Oper. Neurosurg. (Hagerstown) 2017, 13, 566–575. [Google Scholar] [CrossRef] [PubMed]
- Moher, D.; Liberati, A.; Tetzlaff, J.; Altman, D.G.; Group, P. Preferred reporting items for systematic reviews and meta-analyses: The PRISMA statement. J. Clin. Epidemiol. 2009, 62, 1006–1012. [Google Scholar] [CrossRef]
- Bruce, J.N.; Ogden, A.T. Surgical strategies for treating patients with pineal region tumors. J. Neurooncol. 2004, 69, 221–236. [Google Scholar] [CrossRef]
- Beuriat, P.A.; Tauziede-Espariat, A.; Pages, M.; Varlet, P.; Di Rocco, F. Rosette-forming glioneuronal tumor outside the fourth ventricle: A case-based update. Childs Nerv. Syst. 2016, 32, 65–68. [Google Scholar] [CrossRef]
- Garcia Cabezas, S.; Serrano Blanch, R.; Sanchez-Sanchez, R.; Palacios Eito, A. Rosette-forming glioneuronal tumour (RGNT) of the fourth ventricle: A highly aggressive case. Brain Tumor Pathol. 2015, 32, 124–130. [Google Scholar] [CrossRef]




| ID | Sex | Age (Years) | Medical History/Main Symptoms | TV or VP | STR | GTR | Complication | Last Follow-Up | Ref. | Year |
|---|---|---|---|---|---|---|---|---|---|---|
| 1 | m | 20 | Headache, anisocoria, dysarthria, ataxia | - | x | n.a. | 21 months, no recurrence | Marhold et al. [20] | 2008 | |
| 2 | m | 22 | headache, third nerve palsy | - | x | no | n.a. | Ghosal et al. [14] | 2010 | |
| 3 | m | 29 | headache | - | x | n.a. | n.a. | Frydenberg et al. [15] | 2010 | |
| 4 | m | 39 | headache, diplopia | - | x | VI left cranial nerves palsy, dysmetria | 42 months, no recurrence | Xu et al. [16] | 2012 | |
| 5 | f | 41 | headache | VP, TV | x | no | n.a. | Sieg et al. [17] | 2016 | |
| 6 | f | 38 | Headache, diplopia, seizure | - | x | n.a. | residual tumor, 36 months | Medhi et al. [10] | 2016 | |
| 7 | n.a. | 25.9 * | headache | - | n.a. | n.a. | no | n.a. | Yang et al. [8] | 2017 |
| 8 | n.a. | 25.9 * | headache | - | n.a. | n.a. | no | n.a. | Yang et al. [8] | 2017 |
| 9 | m | 22 | headache, diplopia | TV | x | no | n.a. | Muhammad et al. [18] | 2020 | |
| 10 | f | 30 | Headache | VP | x | n.a. | 62 months, no recurrence | Lin et al. [19] | 2021 | |
| 11 | f | 40 | Headache, diplopia | x | n.a. | Died 20.5 years later | Lin et al. [19] | 2021 | ||
| 12 | f | 23 | Seizure, headache, apasia | VP | x | n.a. | 15 months no recurrence | Lin et al. [19] | 2021 | |
| 13 | f | 42 | Ataxia | TV | x | n.a. | 14 months no recurrence | Lin et al. [19] | 2021 | |
| 14 | m | 18 | headache | TV | x | n.a. | 12 months no recurrence | Lin et al. [19] | 2021 | |
| 15 | m | 23 | headache | - | x | no | 15 months no recurrence | current case 1 | 2022 | |
| 16 | m | 48 | epileptic seizure, gaze palsy | TV | x | persistent vertical gaze palsy | 24 months, no recurrence | current case 2 | 2022 | |
| 17 | m | 27 | epileptic seizure | - | x | no | no | current case 3 | 2022 | |
| 18 | m | 20 | headache | VP | x | no | 15 months, no recurrence | current case 4 | 2022 | |
| 19 | f | 44# | seizure | VP | biopsy | no | 9 months, no recurrence | current case 5 | 2022 |
Publisher’s Note: MDPI stays neutral with regard to jurisdictional claims in published maps and institutional affiliations. |
© 2022 by the authors. Licensee MDPI, Basel, Switzerland. This article is an open access article distributed under the terms and conditions of the Creative Commons Attribution (CC BY) license (https://creativecommons.org/licenses/by/4.0/).
Share and Cite
Michel, A.; Dinger, T.F.; Jabbarli, R.; Dammann, P.; Uerschels, A.-K.; Oppong, M.D.; Özkan, N.; Junker, A.; Sure, U.; Wrede, K.H. Treatment of Pineal Region Rosette-Forming Glioneuronal Tumors (RGNT). Cancers 2022, 14, 4634. https://doi.org/10.3390/cancers14194634
Michel A, Dinger TF, Jabbarli R, Dammann P, Uerschels A-K, Oppong MD, Özkan N, Junker A, Sure U, Wrede KH. Treatment of Pineal Region Rosette-Forming Glioneuronal Tumors (RGNT). Cancers. 2022; 14(19):4634. https://doi.org/10.3390/cancers14194634
Chicago/Turabian StyleMichel, Anna, Thiemo Florin Dinger, Ramazan Jabbarli, Philipp Dammann, Anne-Kathrin Uerschels, Marvin Darkwah Oppong, Neriman Özkan, Andreas Junker, Ulrich Sure, and Karsten Henning Wrede. 2022. "Treatment of Pineal Region Rosette-Forming Glioneuronal Tumors (RGNT)" Cancers 14, no. 19: 4634. https://doi.org/10.3390/cancers14194634
APA StyleMichel, A., Dinger, T. F., Jabbarli, R., Dammann, P., Uerschels, A.-K., Oppong, M. D., Özkan, N., Junker, A., Sure, U., & Wrede, K. H. (2022). Treatment of Pineal Region Rosette-Forming Glioneuronal Tumors (RGNT). Cancers, 14(19), 4634. https://doi.org/10.3390/cancers14194634

