The Efficacy of PD-1/PD-L1 Inhibitors in Patients with Liver Metastasis of Non-Small Cell Lung Cancer: A Real-World Study
Abstract
:Simple Summary
Abstract
1. Introduction
2. Materials and Methods
2.1. Patients
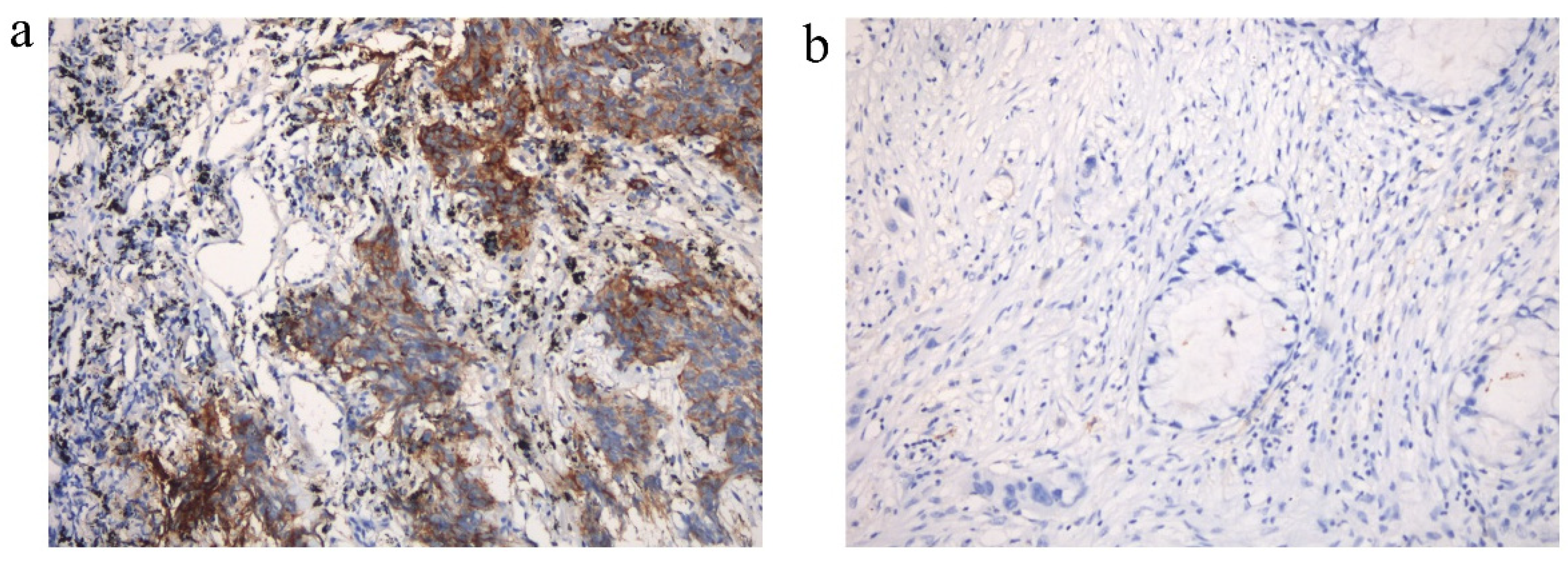
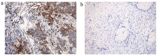
2.2. Immunohistochemistry (IHC)
2.3. Statistical Analyses
3. Results
3.1. Patient Characteristics
3.2. Efficacy of PD-1/PD-L1 Inhibitors
3.3. Exploratory Analysis of the Expression of Tumor Immune Microenvironment-Related Markers
3.4. Correlation Analysis between Biomarkers of Tumor Immune Microenvironment and Efficacy
3.5. Prognostic Analysis of Patients with Liver Metastases
4. Discussion
5. Conclusions
Author Contributions
Funding
Institutional Review Board Statement
Informed Consent Statement
Data Availability Statement
Acknowledgments
Conflicts of Interest
Appendix A



Appendix B
| ICI + Anti-Angiogenesis | Non-Anti-Angiogenesis | |
|---|---|---|
| CR, n (%) | 0 | 0 |
| PR, n (%) | 0 | 11 (35.5%) |
| SD, n (%) | 3 (100.0%) | 13 (41.9%) |
| PD, n (%) | 0 | 7 (22.6%) |
| ORR, n (%) | 0 | 11 (35.5%) |
| DCR, n (%) | 3 (100.0%) | 24 (77.4%) |
| ICI + Anti-Angiogenesis | Non-Anti-Angiogenesis | |
|---|---|---|
| CR, n (%) | 0 | 0 |
| PR, n (%) | 0 | 5 (27.8%) |
| SD, n (%) | 6 (66.7%) | 8 (44.4%) |
| PD, n (%) | 3 (33.3%) | 5 (27.8%) |
| ORR, n (%) | 0 | 5 (27.8%) |
| DCR, n (%) | 6 (66.7%) | 13 (72.2%) |
References
- Riihimaki, M.; Hemminki, A.; Fallah, M.; Thomsen, H.; Sundquist, K.; Sundquist, J.; Hemminki, K. Metastatic sites and survival in lung cancer. Lung Cancer 2014, 86, 78–84. [Google Scholar] [CrossRef] [PubMed]
- Quint, L.E.; Tummala, S.; Brisson, L.J.; Francis, I.R.; Krupnick, A.S.; Kazerooni, E.A.; Iannettoni, M.D.; Whyte, R.I.; Orringer, M.B. Distribution of distant metastases from newly diagnosed non-small cell lung cancer. Ann. Thorac. Surg. 1996, 62, 246–250. [Google Scholar] [CrossRef]
- Gadgeel, S.; Rodriguez-Abreu, D.; Speranza, G.; Esteban, E.; Felip, E.; Domine, M.; Hui, R.; Hochmair, M.J.; Clingan, P.; Powell, S.F.; et al. Updated Analysis From KEYNOTE-189: Pembrolizumab or Placebo Plus Pemetrexed and Platinum for Previously Untreated Metastatic Nonsquamous Non-Small-Cell Lung Cancer. J. Clin. Oncol. 2020, 38, 1505–1517. [Google Scholar] [CrossRef] [PubMed]
- Vokes, E.E.; Ready, N.; Felip, E.; Horn, L.; Burgio, M.A.; Antonia, S.J.; Aren Frontera, O.; Gettinger, S.; Holgado, E.; Spigel, D.; et al. Nivolumab versus docetaxel in previously treated advanced non-small-cell lung cancer (CheckMate 017 and CheckMate 057): 3-year update and outcomes in patients with liver metastases. Ann. Oncol. 2018, 29, 959–965. [Google Scholar] [CrossRef]
- Nogami, N.; Barlesi, F.; Socinski, M.A.; Reck, M.; Thomas, C.A.; Cappuzzo, F.; Mok, T.S.K.; Finley, G.; Aerts, J.G.; Orlandi, F.; et al. IMpower150 Final Exploratory Analyses for Atezolizumab Plus Bevacizumab and Chemotherapy in Key NSCLC Patient Subgroups With EGFR Mutations or Metastases in the Liver or Brain. J. Thorac. Oncol. 2022, 17, 309–323. [Google Scholar] [CrossRef] [PubMed]
- Hoang, T.; Xu, R.; Schiller, J.H.; Bonomi, P.; Johnson, D.H. Clinical model to predict survival in chemonaive patients with advanced non-small-cell lung cancer treated with third-generation chemotherapy regimens based on eastern cooperative oncology group data. J. Clin. Oncol. 2005, 23, 175–183. [Google Scholar] [CrossRef]
- Hoang, T.; Dahlberg, S.E.; Sandler, A.B.; Brahmer, J.R.; Schiller, J.H.; Johnson, D.H. Prognostic models to predict survival in non-small-cell lung cancer patients treated with first-line paclitaxel and carboplatin with or without bevacizumab. J. Thorac. Oncol. 2012, 7, 1361–1368. [Google Scholar] [CrossRef]
- Mariamidze, E.; Mezquita, L. ESMO20 YO for YO: Highlights on metastatic NSCLC-Keynote 024 update. ESMO Open 2021, 6, 100022. [Google Scholar] [CrossRef]
- Garassino, M.C.; Gadgeel, S.; Esteban, E.; Felip, E.; Speranza, G.; Domine, M.; Hochmair, M.J.; Powell, S.; Cheng, S.Y.; Bischoff, H.G.; et al. Patient-reported outcomes following pembrolizumab or placebo plus pemetrexed and platinum in patients with previously untreated, metastatic, non-squamous non-small-cell lung cancer (KEYNOTE-189): A multicentre, double-blind, randomised, placebo-controlled, phase 3 trial. Lancet Oncol. 2020, 21, 387–397. [Google Scholar]
- Yu, J.; Green, M.D.; Li, S.; Sun, Y.; Journey, S.N.; Choi, J.E.; Rizvi, S.M.; Qin, A.; Waninger, J.J.; Lang, X.; et al. Liver metastasis restrains immunotherapy efficacy via macrophage-mediated T cell elimination. Nat. Med. 2021, 27, 152–164. [Google Scholar] [CrossRef]
- Choi, M.G.; Choi, C.M.; Lee, D.H.; Kim, S.W.; Yoon, S.; Kim, W.S.; Ji, W.; Lee, J.C. Different prognostic implications of hepatic metastasis according to front-line treatment in non-small cell lung cancer: A real-world retrospective study. Transl. Lung Cancer Res. 2021, 10, 2551–2561. [Google Scholar] [CrossRef]
- Qin, B.D.; Jiao, X.D.; Liu, J.; Liu, K.; He, X.; Wu, Y.; Ling, Y.; Duan, X.P.; Qin, W.X.; Wang, Z.; et al. The effect of liver metastasis on efficacy of immunotherapy plus chemotherapy in advanced lung cancer. Crit. Rev. Oncol. Hemat. 2020, 147, 102893. [Google Scholar] [CrossRef]
- Tumeh, P.C.; Hellmann, M.D.; Hamid, O.; Tsai, K.K.; Loo, K.L.; Gubens, M.A.; Rosenblum, M.; Harview, C.L.; Taube, J.M.; Handley, N.; et al. Liver Metastasis and Treatment Outcome with Anti-PD-1 Monoclonal Antibody in Patients with Melanoma and NSCLC. Cancer Immunol. Res. 2017, 5, 417–424. [Google Scholar] [CrossRef]
- Tournoy, K.G.; Thomeer, M.; Germonpre, P.; Derijcke, S.; De Pauw, R.; Galdermans, D.; Govaert, K.; Govaerts, E.; Schildermans, R.; Declercq, I.; et al. Does nivolumab for progressed metastatic lung cancer fulfill its promises? An efficacy and safety analysis in 20 general hospitals. Lung Cancer 2018, 115, 49–55. [Google Scholar] [CrossRef]
- Kitadai, R.; Okuma, Y.; Hakozaki, T.; Hosomi, Y. The efficacy of immune checkpoint inhibitors in advanced non-small-cell lung cancer with liver metastases. J. Cancer Res. Clin. 2020, 146, 777–785. [Google Scholar] [CrossRef]
- Mencoboni, M.; Ceppi, M.; Bruzzone, M.; Taveggia, P.; Cavo, A.; Scordamaglia, F.; Gualco, M.; Filiberti, R.A. Effectiveness and Safety of Immune Checkpoint Inhibitors for Patients with Advanced Non Small-Cell Lung Cancer in Real-World: Review and Meta-Analysis. Cancers 2021, 13, 1388. [Google Scholar] [CrossRef]
- Eisenhauer, E.; Therasse, P.; Bogaerts, J.; Schwartz, L.; Sargent, D.; Ford, R.; Dancey, J.; Arbuck, S.; Gwyther, S.; Mooney, M.; et al. New response evaluation criteria in solid tumours: Revised RECIST guideline (version 1.1). Eur. J. Cancer 2009, 45, 228–247. [Google Scholar] [CrossRef]
- Lee, J.C.; Green, M.D.; Huppert, L.A.; Chow, C.; Pierce, R.H.; Daud, A.I. The Liver-Immunity Nexus and Cancer Immunotherapy. Clin. Cancer Res. 2022, 28, 5–12. [Google Scholar] [CrossRef]
- Tsilimigras, D.I.; Brodt, P.; Clavien, P.A.; Muschel, R.J.; D’Angelica, M.I.; Endo, I.; Parks, R.W.; Doyle, M.; de Santibanes, E.; Pawlik, T.M. Liver metastases. Nat. Rev. Dis. Primers 2021, 7, 27. [Google Scholar] [CrossRef]
- Limmer, A.; Ohl, J.; Kurts, C.; Ljunggren, H.G.; Reiss, Y.; Groettrup, M.; Momburg, F.; Arnold, B.; Knolle, P.A. Efficient presentation of exogenous antigen by liver endothelial cells to CD8+ T cells results in antigen-specific T-cell tolerance. Nat. Med. 2000, 6, 1348–1354. [Google Scholar] [CrossRef]
- Lee, J.; Mehdizadeh, S.; Smith, J.; Young, A.; Mufazalov, I.; Mowery, C.; Daud, A.; Bluestone, J. Regulatory T cell control of systemic immunity and immunotherapy response in liver metastasis. Sci. Immunol. 2020, 5, eaba0759. [Google Scholar] [CrossRef] [PubMed]
- Garassino, M.C.; Gadgeel, S.; Esteban, E.; Felip, E.; Speranza, G.; Flávia De Angelis, M.D.; Clingan, P.; Hochmair, M.J.; Powell, S.F.; Cheng, S.Y.-S.; et al. CT043-Outcomes among patients (pts) with metastatic nonsquamous NSCLC with liver metastases or brain metastases treated with pembrolizumab (pembro) plus pemetrexed-platinum: Results from the KEYNOTE-189 study. Am. Assoc. Cancer Res. AACR 2019, 79, CT043. [Google Scholar] [CrossRef]
- Sridhar, S.; Paz-Ares, L.; Liu, H.; Shen, K.; Morehouse, C.; Rizvi, N.; Segal, N.H.; Jin, X.; Zheng, Y.; Narwal, R.; et al. Prognostic Significance of Liver Metastasis in Durvalumab-Treated Lung Cancer Patients. Clin. Lung Cancer 2019, 20, e601–e608. [Google Scholar] [CrossRef] [PubMed]
- Funazo, T.; Nomizo, T.; Kim, Y.H. Liver Metastasis Is Associated with Poor Progression-Free Survival in Patients with Non-Small Cell Lung Cancer Treated with Nivolumab. J. Thorac. Oncol. 2017, 12, e140–e141. [Google Scholar] [CrossRef] [PubMed]
- Castanon, E.; Rolfo, C.; Vinal, D.; Lopez, I.; Fusco, J.P.; Santisteban, M.; Martin, P.; Zubiri, L.; Echeveste, J.I.; Gil-Bazo, I. Impact of epidermal growth factor receptor (EGFR) activating mutations and their targeted treatment in the prognosis of stage IV non-small cell lung cancer (NSCLC) patients harboring liver metastasis. J. Transl. Med. 2015, 13, 257. [Google Scholar] [CrossRef] [PubMed]
- Tamura, T.; Kurishima, K.; Nakazawa, K.; Kagohashi, K.; Ishikawa, H.; Satoh, H.; Hizawa, N. Specific organ metastases and survival in metastatic non-small-cell lung cancer. Mol. Clin. Oncol. 2015, 3, 217–221. [Google Scholar] [CrossRef]
- Osorio, J.; Arbour, K.; Le, D.; Durham, J.; Plodkowski, A.; Halpenny, D.; Ginsberg, M.; Sawan, P.; Crompton, J.; Yu, H.; et al. Lesion-Level Response Dynamics to Programmed Cell Death Protein (PD-1) Blockade. J. Clin. Oncol. 2019, 37, 3546–3555. [Google Scholar] [CrossRef]
- Topalian, S.L.; Drake, C.G.; Pardoll, D.M. Immune checkpoint blockade: A common denominator approach to cancer therapy. Cancer Cell 2015, 27, 450–461. [Google Scholar] [CrossRef]
- Niemeijer, A.N.; Sahba, S.; Smit, E.F.; Lissenberg-Witte, B.I.; de Langen, A.J.; Thunnissen, E. Association of tumour and stroma PD-1, PD-L1, CD3, CD4 and CD8 expression with DCB and OS to nivolumab treatment in NSCLC patients pre-treated with chemotherapy. Br. J. Cancer 2020, 123, 392–402. [Google Scholar] [CrossRef]
- Hashemi, S.; Fransen, M.F.; Niemeijer, A.; Ben Taleb, N.; Houda, I.; Veltman, J.; Becker-Commissaris, A.; Daniels, H.; Crombag, L.; Radonic, T.; et al. Surprising impact of stromal TIL’s on immunotherapy efficacy in a real-world lung cancer study. Lung Cancer 2021, 153, 81–89. [Google Scholar] [CrossRef]
- Brahmer, J.; Drake, C.; Wollner, I.; Powderly, J.; Picus, J.; Sharfman, W.; Stankevich, E.; Pons, A.; Salay, T.; McMiller, T.; et al. Phase I study of single-agent anti-programmed death-1 (MDX-1106) in refractory solid tumors: Safety, clinical activity, pharmacodynamics, and immunologic correlates. J. Clin. Oncol. 2010, 28, 3167–3175. [Google Scholar] [CrossRef]
- Hellmann, M.D.; Ciuleanu, T.E.; Pluzanski, A.; Lee, J.S.; Otterson, G.A.; Audigier-Valette, C.; Minenza, E.; Linardou, H.; Burgers, S.; Salman, P.; et al. Nivolumab plus Ipilimumab in Lung Cancer with a High Tumor Mutational Burden. N. Engl. J. Med. 2018, 378, 2093–2104. [Google Scholar] [CrossRef]
- Gandara, D.; Paul, S.; Kowanetz, M.; Schleifman, E.; Zou, W.; Li, Y.; Rittmeyer, A.; Fehrenbacher, L.; Otto, G.; Malboeuf, C.; et al. Blood-based tumor mutational burden as a predictor of clinical benefit in non-small-cell lung cancer patients treated with atezolizumab. Nat. Med. 2018, 24, 1441–1448. [Google Scholar] [CrossRef]
- Yarchoan, M.; Albacker, L.; Hopkins, A.; Montesion, M.; Murugesan, K.; Vithayathil, T.; Zaidi, N.; Azad, N.; Laheru, D.; Frampton, G.; et al. PD-L1 expression and tumor mutational burden are independent biomarkers in most cancers. JCI Insight 2019, 4, e126908. [Google Scholar] [CrossRef] [PubMed]
- Ramjiawan, R.; Griffioen, A.; Duda, D. Anti-angiogenesis for cancer revisited: Is there a role for combinations with immunotherapy? Angiogenesis 2017, 20, 185–204. [Google Scholar] [CrossRef]
- Hegde, P.; Wallin, J.; Mancao, C. Predictive markers of anti-VEGF and emerging role of angiogenesis inhibitors as immunotherapeutics. Semin. Cancer Biol. 2018, 52, 117–124. [Google Scholar] [CrossRef] [PubMed]
- Garcia, J.; Hurwitz, H.; Sandler, A.; Miles, D.; Coleman, R.; Deurloo, R.; Chinot, O. Bevacizumab (Avastin®) in cancer treatment: A review of 15 years of clinical experience and future outlook. Cancer Treat. Rev. 2020, 86, 102017. [Google Scholar] [CrossRef] [PubMed]
- Lopes-Coelho, F.; Martins, F.; Pereira, S.; Serpa, J. Anti-Angiogenic Therapy: Current Challenges and Future Perspectives. Int. J. Mol. Sci. 2021, 22, 3765. [Google Scholar] [CrossRef] [PubMed]
- Inai, T.; Mancuso, M.; Hashizume, H.; Baffert, F.; Haskell, A.; Baluk, P.; Hu-Lowe, D.D.; Shalinsky, D.R.; Thurston, G.; Yancopoulos, G.D.; et al. Inhibition of vascular endothelial growth factor (VEGF) signaling in cancer causes loss of endothelial fenestrations, regression of tumor vessels, and appearance of basement membrane ghosts. Am. J. Pathol. 2004, 165, 35–52. [Google Scholar] [CrossRef]
- Wong, W.B.; Wu, N.; Yang, E.; Davies, J.; Chae, Y.K. Real-World Clinical and Economic Outcomes and the Role of Bevacizumab in Patients With Non–Small-Cell Lung Cancer With Liver Metastases. J. Oncol. Pract. 2019, 15, e878–e887. [Google Scholar] [CrossRef]
- Izzo, F.; Granata, V.; Grassi, R.; Fusco, R.; Palaia, R.; Delrio, P.; Carrafiello, G.; Azoulay, D.; Petrillo, A.; Curley, S.A. Radiofrequency Ablation and Microwave Ablation in Liver Tumors: An Update. Oncologist 2019, 24, e990–e1005. [Google Scholar] [CrossRef] [PubMed] [Green Version]
- Minami, Y.; Nishida, N.; Kudo, M. Radiofrequency ablation of liver metastasis: Potential impact on immune checkpoint inhibitor therapy. Eur. Radiol. 2019, 29, 5045–5051. [Google Scholar] [CrossRef] [PubMed]
- Reck, M.; Mok, T.S.K.; Nishio, M.; Jotte, R.M.; Cappuzzo, F.; Orlandi, F.; Stroyakovskiy, D.; Nogami, N.; Rodríguez-Abreu, D.; Moro-Sibilot, D.; et al. Atezolizumab plus bevacizumab and chemotherapy in non-small-cell lung cancer (IMpower150): Key subgroup analyses of patients with EGFR mutations or baseline liver metastases in a randomised, open-label phase 3 trial. Lancet Respir. Med. 2019, 7, 387–401. [Google Scholar] [CrossRef]


| Total (n = 648) | Liver Metastasis (n = 61) | No Live Metastasis (n = 587) | p-Value | |
|---|---|---|---|---|
| Median age (range), years | 63 (32–81) | 63 (34–76) | 63 (32–81) | |
| <65 | 378 (58.3) | 36 (59.0) | 342 (58.3) | 0.909 |
| ≥65 | 270 (41.6) | 25 (41.0) | 245 (41.7) | |
| Gender, n (%) | ||||
| Male | 538 (83.0) | 55 (90.2) | 483 (82.3) | 0.119 |
| Female | 110 (17.0) | 6 (9.8) | 104 (17.7) | |
| ECOG PS, n (%) | ||||
| 0–1 | 599 (92.4) | 53 (86.9) | 546 (93.0) | 0.085 |
| 2 | 49 (7.6) | 8 (13.1) | 41 (7.0) | |
| Smoking status, n (%) | ||||
| Never | 179 (27.6) | 11 (18.0) | 168 (28.6) | 0.078 |
| Current or former | 469 (72.4) | 50 (82.0) | 419 (71.4) | |
| Histology, n (%) | ||||
| Adenocarcinoma | 329 (50.8) | 27 (44.3) | 300 (51.1) | 0.868 |
| Squamous | 270 (44.7) | 29 (47.5) | 243 (41.4) | |
| Others | 49 (7.6) | 5 (8.2) | 44 (7.5) | |
| PD-L1 TPS, n (%) | ||||
| Unknow | 458 (70.7) | 13 (21.3) | 445 (75.8) | |
| Know | 190 (29.3) | 48 (78.7) | 142 (24.2) | |
| Negative | 56 (29.5) | 21 (43.8) | 35 (24.6) | 0.012 |
| Positive | 134 (70.5) | 27 (56.3) | 107 (75.4) | |
| Brain metastases, n (%) | ||||
| Yes | 91 (14.0) | 7 (11.5) | 84 (14.3) | 0.544 |
| No | 557 (86.0) | 54 (88.5) | 503 (85.7) | |
| Lines of ICI therapy, n (%) | ||||
| 1 | 316 (48.8) | 34 (55.7) | 282 (48.0) | 0.252 |
| ≥2 | 332 (51.2) | 27 (44.3) | 305 (52.0) | |
| ICI treatment regimen, n (%) | ||||
| ICI monotherapy | 250 (38.6) | 21 (34.4) | 229 (39.0) | 0.484 |
| ICI combined therapy | 398 (61.4) | 40 (65.6) | 358 (61.0) |
| (a) | ||
| Liver Metastasis (n = 61) | Non-Liver Metastasis (n = 587) | |
| CR, n (%) | 0 (0) | 2 (0.3) |
| PR, n (%) | 18 (29.5) | 208 (35.4) |
| SD, n (%) | 26 (42.6) | 270 (46.0) |
| PD, n (%) | 17 (27.9) | 107 (18.2) |
| ORR, n (%) | 18 (29.5) | 210 (35.8) |
| DCR, n (%) | 44 (72.1) | 480 (81.8) |
| (b) | ||
| Liver lesions | Non-Liver Lesions | |
| CR, n (%) | 0 (0) | 0 (0) |
| PR, n (%) | 16 (26.2) | 24 (39.3) |
| SD, n (%) | 30 (49.2) | 30 (49.2) |
| PD, n (%) | 15 (24.6) | 7 (11.5) |
| ORR, n (%) | 16 (26.2) | 24 (39.3) |
| DCR, n (%) | 46 (75.4) | 54 (88.5) |
| Liver Lesions | Non-Liver Lesions | p-Value | |
|---|---|---|---|
| PD-L1 | |||
| Negative | 4 (40.0) | 17 (44.7) | 0.788 |
| Positive | 6 (60.0) | 21 (55.3) | |
| CD4 | |||
| Negative | 3 (30.0) | 5 (15.6) | 0.312 |
| Positive | 7 (70.0) | 27 (84.4) | |
| CD8 | |||
| Negative | 3 (30.0) | 2 (6.3) | 0.043 |
| Positive | 7 (70.0) | 30 (93.8) | |
| CD68 | |||
| Negative | 1 (10.0) | 7 (21.9) | 0.404 |
| Positive | 9 (90.0) | 25 (78.1) |
| (a) | ||||||
| Factor | Univariate Analysis | Multivariate Analysis | ||||
| HR | 95% CI | p-Value | HR | 95% CI | p-Value | |
| Age (≥65; <65) | 1.24 | 0.70–2.19 | 0.455 | |||
| Gender (female; male) | 1.04 | 0.37–2.91 | 0.935 | |||
| ECOG PS (2; 0–1) | 0.63 | 0.26–1.49 | 0.289 | |||
| Smoking status (current or former; never) | 1.17 | 0.54–2.50 | 0.695 | |||
| Histology | ||||||
| Adenocarcinoma | ||||||
| Squamous | 0.67 | 0.37–1.20 | 0.175 | |||
| Others | 1.17 | 0.47–2.91 | 0.742 | |||
| PD-L1 TPS (positive; negative) | 0.45 | 0.24–0.86 | 0.015 | 0.39 | 0.20–0.76 | 0.006 |
| CD8 (positive; negative) | 0.77 | 0.29–2.01 | 0.595 | |||
| Brain metastases (Yes; No) | 2.18 | 0.97–4.93 | 0.061 | 2.86 | 1.04–7.84 | 0.041 |
| Treatment line (≥ 2; 1) | 1.10 | 0.64–1.91 | 0.731 | |||
| Treatment regimen (ICI combined therapy; ICIs monotherapy) | 0.78 | 0.44–1.37 | 0.384 | |||
| (b) | ||||||
| Factor | Univariate Analysis | |||||
| HR | 95% CI | p-Value | ||||
| Age (≥65; <65) | 1.38 | 0.69–2.74 | 0.359 | |||
| Gender (female; male) | 0.75 | 0.23–2.50 | 0.643 | |||
| ECOG PS (2; 0–1) | 1.16 | 0.44–3.01 | 0.768 | |||
| Smoking status (current or former; never) | 1.08 | 0.42–2.82 | 0.871 | |||
| Histology | ||||||
| Adenocarcinoma | ||||||
| Squamous | 0.56 | 0.28–1.15 | 0.113 | |||
| Others | 0.54 | 0.12–2.39 | 0.416 | |||
| PD-L1 TPS (positive; negative) | 0.80 | 0.36–1.76 | 0.579 | |||
| CD8 (positive; negative) | 1.79 | 0.42–7.75 | 0.434 | |||
| Brain metastases (Yes; No) | 1.81 | 0.70–4.71 | 0.223 | |||
| Treatment line (≥2; 1) | 0.84 | 0.42–1.67 | 0.614 | |||
| Treatment regimen (ICI combined therapy; ICIs monotherapy) | 0.69 | 0.34–1.39 | 0.295 | |||
Publisher’s Note: MDPI stays neutral with regard to jurisdictional claims in published maps and institutional affiliations. |
© 2022 by the authors. Licensee MDPI, Basel, Switzerland. This article is an open access article distributed under the terms and conditions of the Creative Commons Attribution (CC BY) license (https://creativecommons.org/licenses/by/4.0/).
Share and Cite
Xie, M.; Li, N.; Xu, X.; Xu, Y.; Li, H.; Zhu, L.; Sheng, J.; Zhou, Z.; Fan, Y. The Efficacy of PD-1/PD-L1 Inhibitors in Patients with Liver Metastasis of Non-Small Cell Lung Cancer: A Real-World Study. Cancers 2022, 14, 4333. https://doi.org/10.3390/cancers14174333
Xie M, Li N, Xu X, Xu Y, Li H, Zhu L, Sheng J, Zhou Z, Fan Y. The Efficacy of PD-1/PD-L1 Inhibitors in Patients with Liver Metastasis of Non-Small Cell Lung Cancer: A Real-World Study. Cancers. 2022; 14(17):4333. https://doi.org/10.3390/cancers14174333
Chicago/Turabian StyleXie, Mingying, Na Li, Xiaoling Xu, Yanjun Xu, Hui Li, Liang Zhu, Jiamin Sheng, Zichao Zhou, and Yun Fan. 2022. "The Efficacy of PD-1/PD-L1 Inhibitors in Patients with Liver Metastasis of Non-Small Cell Lung Cancer: A Real-World Study" Cancers 14, no. 17: 4333. https://doi.org/10.3390/cancers14174333
APA StyleXie, M., Li, N., Xu, X., Xu, Y., Li, H., Zhu, L., Sheng, J., Zhou, Z., & Fan, Y. (2022). The Efficacy of PD-1/PD-L1 Inhibitors in Patients with Liver Metastasis of Non-Small Cell Lung Cancer: A Real-World Study. Cancers, 14(17), 4333. https://doi.org/10.3390/cancers14174333

