Quantitative Imaging Biomarkers of the Whole Liver Tumor Burden Improve Survival Prediction in Metastatic Pancreatic Cancer
Abstract
:Simple Summary
Abstract
1. Introduction
2. Materials and Methods
2.1. Patient Cohort
2.2. Imaging Studies
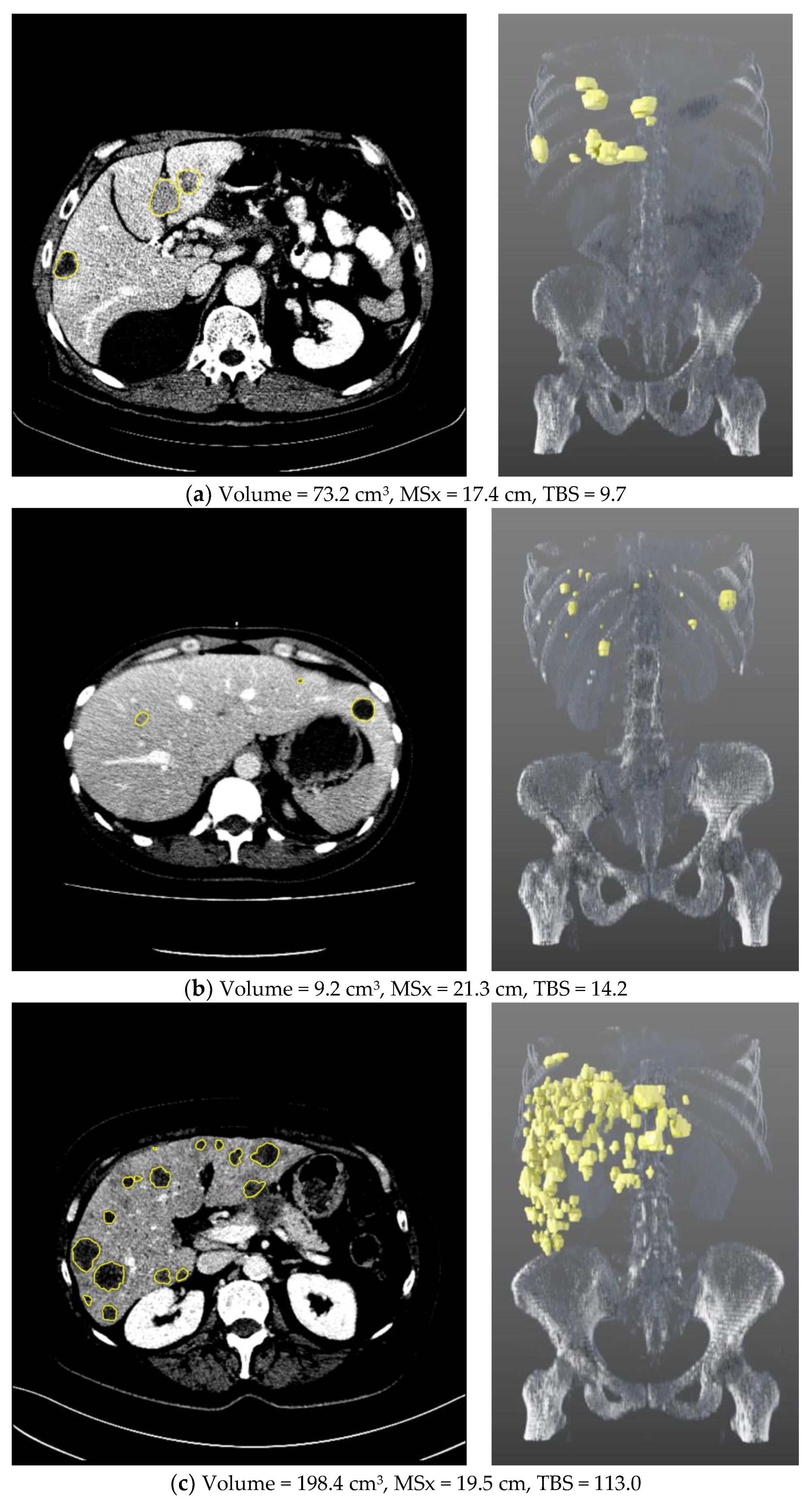
2.3. WLTB Segmentations and QIBs
2.4. Clinical Baseline Models
- Baseline log(CRP), where the natural logarithm is applied to the continuous value of CRP in mg/dl
- Baseline log(bilirubin), analogously
- ECOG 0-1 vs. two at the time of diagnosis of metastatic PC
- Baseline CA19-9 ≥1000 U/mL vs. <1000 U/mL
- Baseline CRP ≥5 mg/L vs. <5 mg/L
- Again, a CPH model is fitted and evaluated by the C-index.
2.5. Statistical Analysis
3. Results
3.1. Demographic Data
3.2. WLTB Segmentations
3.3. Survival Models
4. Discussion
5. Conclusions
Author Contributions
Funding
Institutional Review Board Statement
Informed Consent Statement
Data Availability Statement
Acknowledgments
Conflicts of Interest
References
- Quante, A.S.; Ming, C.; Rottmann, M.; Engel, J.; Boeck, S.; Heinemann, V.; Westphalen, C.B.; Strauch, K. Projections of cancer incidence and cancer-related deaths in Germany by 2020 and 2030. Cancer Med. 2016, 5, 2649–2656. [Google Scholar] [CrossRef]
- Jemal, A.; Bray, F.; Center, M.M.; Ferlay, J.; Ward, E.; Forman, D. Global cancer statistics. CA Cancer J. Clin. 2011, 61, 69–90. [Google Scholar] [CrossRef] [Green Version]
- Siegel, R.L.; Miller, K.D.; Jemal, A. Cancer statistics, 2018. CA Cancer J. Clin. 2018, 68, 7–30. [Google Scholar] [CrossRef]
- Martinez-Useros, J.; Garcia-Foncillas, J. Can molecular biomarkers change the paradigm of pancreatic cancer prognosis? Biomed. Res. Int. 2016, 2016, 4873089. [Google Scholar] [CrossRef] [Green Version]
- Haas, M.; Heinemann, V.; Kullmann, F.; Laubender, R.P.; Klose, C.; Bruns, C.J.; Boeck, S. Prognostic value of CA 19-9, CEA, CRP, LDH and bilirubin levels in locally advanced and metastatic pancreatic cancer: Results from a multicenter, pooled analysis of patients receiving palliative chemotherapy. J. Cancer Res. Clin. Oncol. 2013, 139, 681–689. [Google Scholar] [CrossRef]
- Xue, P.; Zhu, L.; Wan, Z.; Huang, W.; Li, N.; Chen, D.; Hu, J.; Yang, H.; Wang, L. A prognostic index model to predict the clinical outcomes for advanced pancreatic cancer patients following palliative chemotherapy. J. Cancer Res. Clin. Oncol. 2015, 141, 1653–1660. [Google Scholar] [CrossRef] [Green Version]
- Saad, E.D.; Machado, M.C.; Wajsbrot, D.; Abramoff, R.; Hoff, P.M.; Tabacof, J.; Gansl, R.C. Pretreatment CA 19-9 level as a prognostic factor in patients with advanced pancreatic can-cer treated with gemcitabine. Int. J. Gastrointest. Cancer 2002, 32, 35–41. [Google Scholar] [CrossRef]
- Reni, M.; Cereda, S.; Balzano, G.; Passoni, P.; Rognone, A.; Fugazza, C.; Mazza, E.; Zerbi, A.; Di Carlo, V.; Villa, E. Carbohydrate antigen 19-9 change during chemotherapy for advanced pancreatic adenocarcinoma. Cancer 2009, 115, 2630–2639. [Google Scholar] [CrossRef]
- Wang, D.-S.; Luo, H.-Y.; Qiu, M.-Z.; Wang, Z.-Q.; Zhang, D.-S.; Wang, F.-H.; Li, Y.-H.; Xu, R.-H. Comparison of the prognostic values of various inflammation based factors in patients with pancreatic cancer. Med. Oncol. 2012, 29, 3092–3100. [Google Scholar] [CrossRef]
- Tas, F.; Aykan, F.; Alici, S.; Kaytan, E.; Aydiner, A.; Topuz, E. Prognostic factors in pancreatic carcinoma: Serum LDH levels predict survival in metastatic disease. Am. J. Clin. Oncol. 2001, 24, 547–550. [Google Scholar] [CrossRef]
- Tas, F.; Sen, F.; Odabas, H.; Kılıc, L.; Keskın, S.; Yıldız, I. Performance status of patients is the major prognostic factor at all stages of pancreatic cancer. Int. J. Clin. Oncol. 2013, 18, 839–846. [Google Scholar] [CrossRef] [PubMed]
- Hamada, T.; Nakai, Y.; Yasunaga, H.; Isayama, H.; Matsui, H.; Takahara, N.; Sasaki, T.; Takagi, K.; Watanabe, T.; Yagioka, H.; et al. Prognostic nomogram for nonresectable pancreatic cancer treated with gemcitabine-based chemotherapy. Br. J. Cancer 2014, 110, 1943–1949. [Google Scholar] [CrossRef] [Green Version]
- Yi, J.H.; Lee, J.; Park, S.H.; Lee, K.T.; Lee, J.K.; Lee, K.H.; Park, J.O. A prognostic model to predict clinical outcomes with first-line gemcitabine-based chemotherapy in advanced pancreatic cancer. Oncology 2011, 80, 175–180. [Google Scholar] [CrossRef] [PubMed]
- Maréchal, R.; Demols, A.; Gay, F.; De Maertelaere, V.; Arvanitaki, M.; Hendlisz, A.; Van Laethem, J. Prognostic Factors and Prognostic Index for Chemonaïve and Gemcitabine-Refractory Patients with Advanced Pancreatic Cancer. Oncology 2007, 73, 41–51. [Google Scholar] [CrossRef] [PubMed]
- Eilaghi, A.; Baig, S.; Zhang, Y.; Zhang, J.; Karanicolas, P.; Gallinger, S.; Khalvati, F.; Haider, M.A. CT texture features are associated with overall survival in pancreatic ductal adenocarcinoma—A quantitative analysis. BMC Med. Imaging 2017, 17, 1–7. [Google Scholar] [CrossRef]
- Cheng, S.H.; Cheng, Y.J.; Jin, Z.Y.; Xue, H.D. Unresectable pancreatic ductal adenocarcinoma: Role of CT quantitative imaging biomarkers for predict-ing outcomes of patients treated with chemotherapy. Eur. J. Radiol. 2019, 113, 188–197. [Google Scholar] [CrossRef]
- Attiyeh, M.A.; Chakraborty, J.; Doussot, A.; Ba, L.L.-E.; Mainarich, S.; Gönen, M.; Balachandran, V.P.; D’Angelica, M.I.; DeMatteo, R.P.; Jarnagin, W.R.; et al. Survival Prediction in Pancreatic Ductal Adenocarcinoma by Quantitative Computed Tomography Image Analysis. Ann. Surg. Oncol. 2018, 25, 1034–1042. [Google Scholar] [CrossRef]
- Chakraborty, J.; Langdon-Embry, L.; Cunanan, K.M.; Escalon, J.G.; Allen, P.J.; Lowery, M.; O’Reilly, E.M.; Gönen, M.; Do, R.G.; Simpson, A.L. Preliminary study of tumor heterogeneity in imaging predicts two year survival in pancreatic cancer patients. PLoS ONE 2017, 12, e0188022. [Google Scholar] [CrossRef]
- Parr, E.; Du, Q.; Zhang, C.; Lin, C.; Kamal, A.; McAlister, J.; Liang, X.; Bavitz, K.; Rux, G.; Hollingsworth, M.; et al. Radiomics-Based Outcome Prediction for Pancreatic Cancer Following Stereotactic Body Radiotherapy. Cancers 2020, 12, 1051. [Google Scholar] [CrossRef]
- Parmar, C.; Rios Velazquez, E.; Leijenaar, R.; Jermoumi, M.; Carvalho, S.; Mak, R.H.; Aerts, H.J. Robust Radiomics feature quantification using semiautomatic volumetric segmentation. PLoS ONE 2014, 15, e102107. [Google Scholar] [CrossRef]
- Aerts, H.J.; Velazquez, E.R.; Leijenaar, R.T.; Parmar, C.; Grossmann, P.; Carvalho, S.; Lambin, P. Decoding tumour phenotype by noninvasive imaging using a quantitative radiomics ap-proach. Nat. Commun. 2014, 5, 4006. [Google Scholar] [CrossRef]
- Sahu, S.; Schernthaner, R.; Ardon, R.; Chapiro, J.; Zhao, Y.; Sohn, J.H.; Fleckenstein, F.N.; Lin, M.; Geschwind, J.-F.; Duran, R. Imaging Biomarkers of Tumor Response in Neuroendocrine Liver Metastases Treated with Transarterial Chemoembolization: Can Enhancing Tumor Burden of the Whole Liver Help Predict Patient Survival? Radiology 2017, 283, 883–894. [Google Scholar] [CrossRef]
- Fleckenstein, F.N.; Schernthaner, R.E.; Duran, R.; Sohn, J.H.; Sahu, S.; Zhao, Y.; Chapiro, J. 3D quan- titative tumour burden analysis in patients with hepatocellular carcinoma before TACE: Comparing single-lesion vs. multi-lesion im- aging biomarkers as predictors of patient survival. Eur. Radiol. 2016, 26, 3243–3252. [Google Scholar] [CrossRef] [PubMed] [Green Version]
- Sasaki, K.; Morioka, D.; Conci, S.; Margonis, G.A.; Sawada, Y.; Ruzzenente, A.; Pawlik, T.M. The tumor burden score: A new “metro-ticket” prognostic tool for colorectal liver metastases based on tumor size and number of tumors. Ann. Surg. 2018, 267, 132–141. [Google Scholar] [CrossRef] [PubMed]
- Sasaki, K.; Margonis, G.A.; Andreatos, N.; Zhang, X.F.; Buettner, S.; Wang, J.; Pawlik, T.M. The prognostic utility of the “tumor burden score” based on preoperative radio- graphic features of colorectal liver metastases. J. Surg. Oncol. 2017, 116, 515–523. [Google Scholar] [CrossRef]
- Mühlberg, A.; Holch, J.W.; Heinemann, V.; Huber, T.; Moltz, J.; Maurus, S.; Jäger, N.; Liu, L.; Froelich, M.F.; Katzmann, A.; et al. The relevance of CT-based geometric and radiomics analysis of whole liver tumor burden to predict survival of patients with metastatic colorectal cancer. Eur. Radiol. 2021, 31, 834–846. [Google Scholar] [CrossRef]
- Chlebus, G.; Schenk, A.; Moltz, J.H.; Van Ginneken, B.; Hahn, H.K.; Meine, H. Automatic liver tumor segmentation in CT with fully convolutional neural networks and object-based postprocessing. Sci. Rep. 2018, 8, 1–7. [Google Scholar] [CrossRef]
- Ritter, F.; Boskamp, T.; Homeyer, A.; Laue, H.; Schwier, M.; Link, F.; Peitgen, H.O. Medical image analysis: A visual approach. IEEE Pulse 2011, 2, 60–70. [Google Scholar] [CrossRef]
- Overhoff, D.; Kohlmann, P.; Frydrychowicz, A.; Gatidis, S.; Loewe, C.; Moltz, J. The International Radiomics Platform—An Initiative of the German and Austrian Radio-logical Societies—First Application Examples. Rofo 2021, 193, 276–288. [Google Scholar] [PubMed]
- Van Griethuysen, J.J.; Fedorov, A.; Parmar, C.; Hosny, A.; Aucoin, N.; Narayan, V.; Aerts, H.J. Computational radiomics system to decode the radiographic phenotype. Cancer Res. 2017, 77, 104–107. [Google Scholar] [CrossRef] [Green Version]
- Parmar, C.; Leijenaar, R.T.H.; Grossmann, P.; Velazquez, E.R.; Bussink, J.; Rietveld, D.; Rietbergen, M.M.; Haibe-Kains, B.; Lambin, P.; Aerts, H.J. Radiomic feature clusters and Prognostic Signatures specific for Lung and Head & Neck cancer. Sci. Rep. 2015, 5, srep11044. [Google Scholar] [CrossRef]
- Coroller, T.P.; Grossmann, P.; Hou, Y.; Velazquez, E.R.; Leijenaar, R.T.; Hermann, G.; Lambin, P.; Haibe-Kains, B.; Mak, R.H.; Aerts, H.J. CT-based radiomic signature predicts distant metastasis in lung adenocarcinoma. Radiother. Oncol. 2015, 114, 345–350. [Google Scholar] [CrossRef]
- Zwanenburg, A.; Vallières, M.; Abdalah, M.A.; Aerts, H.J.W.L.; Andrearczyk, V.; Apte, A.; Ashrafinia, S.; Bakas, S.; Beukinga, R.J.; Boellaard, R.; et al. The Image Biomarker Standardization Initiative: Standardized Quantitative Radiomics for High-Throughput Image-based Phenotyping. Radiology 2020, 295, 328–338. [Google Scholar] [CrossRef] [PubMed] [Green Version]
- Oken, M.M.; Creech, R.H.; Tormey, D.C.; Horton, J.; Davis, T.E.; McFadden, E.T.; Carbone, P.P. Toxicity and response criteria of the Eastern Cooperative Oncology Group. Am. J. Clin. Oncol. 1982, 5, 649–656. [Google Scholar] [CrossRef]
- Nagtegaal, I.D.; Odze, R.D.; Klimstra, D.; Paradis, V.; Rugge, M.; Schirmacher, P.; Cree, I.A. WHO Classification of Tumours Editorial Board. The 2019 WHO classification of tumours of the digestive system. Histopathology 2020, 76, 182–188. [Google Scholar] [CrossRef] [Green Version]
- Leijenaar, R.T.; Carvalho, S.; Hoebers, F.J.; Aerts, H.J.; Van Elmpt, W.J.; Huang, S.H.; Lambin, P. External validation of a prognostic CT-based radiomic signature in oropharyngeal squa-mous cell carcinoma. Acta Oncol. 2015, 54, 1423–1429. [Google Scholar] [CrossRef] [Green Version]
- Leger, S.; Zwanenburg, A.; Pilz, K.; Lohaus, F.; Linge, A.; Zöphel, K.; Richter, C. A comparative study of machine learning methods for time-to-event survival data for ra-diomics risk modelling. Sci. Rep. 2017, 7, 13206. [Google Scholar] [CrossRef] [PubMed]
- Vallières, M.; Kay-Rivest, E.; Perrin, L.J.; Liem, X.; Furstoss, C.; Aerts, H.J.W.L.; Khaouam, N.; Nguyen-Tan, P.F.; Wang, C.-S.; Sultanem, K.; et al. Radiomics strategies for risk assessment of tumour failure in head-and-neck cancer. Sci. Rep. 2017, 7, 1–14. [Google Scholar] [CrossRef] [Green Version]
- Zhao, L.; Gong, J.; Xi, Y.; Xu, M.; Li, C.; Kang, X.; Yin, Y.; Qin, W.; Yin, H.; Shi, M. MRI-based radiomics nomogram may predict the response to induction chemotherapy and survival in locally advanced nasopharyngeal carcinoma. Eur. Radiol. 2020, 30, 537–546. [Google Scholar] [CrossRef] [PubMed]
- Ingrisch, M.; Schneider, M.J.; Nörenberg, D.; de Figueiredo, G.N.; Maier-Hein, K.; Suchorska, B.; Ertl-Wagner, B. Radiomic analysis reveals prognostic information in T1-weighted baseline magnetic resonance imaging in patients with glioblastoma. Investig. Radiol. 2017, 52, 360–366. [Google Scholar] [CrossRef] [PubMed]
- Bagante, F.; Spolverato, G.; Merath, K.; Weiss, M.; Alexandrescu, S.; Marques, H.P.; Aldrighetti, L.; Maithel, S.K.; Pulitano, C.; Bauer, T.W.; et al. Intrahepatic cholangiocarcinoma tumor burden: A classification and regression tree model to define prognostic groups after resection. Surgery 2019, 166, 983–990. [Google Scholar] [CrossRef] [PubMed]
- Moris, D.; Shaw, B.I.; McElroy, L.; Barbas, A.S. Using Hepatocellular Carcinoma Tumor Burden Score to Stratify Prognosis after Liver Trans-plantation. Cancers 2020, 12, 3372. [Google Scholar] [CrossRef] [PubMed]
- Dong, D.-H.; Zhang, X.-F.; Lopez-Aguiar, A.G.; Poultsides, G.; Makris, E.; Rocha, F.; Kanji, Z.; Weber, S.; Fisher, A.; Fields, R.; et al. Tumor burden score predicts tumor recurrence of non-functional pancreatic neuroendocrine tumors after curative resection. HPB 2020, 22, 1149–1157. [Google Scholar] [CrossRef] [PubMed]






| Characteristic | Value | |
|---|---|---|
| No. of patients | 75 | |
| age (y) | 64 (41–83) | |
| sex | male | 50 (66.7%) |
| female | 25 (33.3%) | |
| primary tumor location | head | 26 (34.7%) |
| body | 15 (20.0%) | |
| tail | 13 (17.3%) | |
| ns | 21 (28.0%) | |
| tumor grading | G1 | 1 (1.3%) |
| G2 | 12 (16.0%) | |
| G3 | 59 (78.7%) | |
| G4 | 3 (4.0%) | |
| T stage | T1 | 1 (1.3%) |
| T2 | 9 (12.0%) | |
| T3 | 46 (61.3%) | |
| T4 | 19 (25.3%) | |
| N stage | N0 | 19 (25.3%) |
| N1 | 55 (73.3%) | |
| N2 | 1 (1.3%) | |
| CA 19-9 (U/mL) | 463 (0–422,000) | |
| CEA (ng/mL) | 6.3 (0.2–1697.0) | |
| CRP (mg/dL) | 1.0 (0.0–18.2) | |
| LDH (U/L) | 226 (128–937) | |
| bilirubin (mg/dL) | 0.6 (0.3–39.8) | |
| ECOG | 0 | 33 (44.0%) |
| 1 | 38 (50.7%) | |
| 2 | 3 (4.0%) | |
| 3 | 1 (1.3%) | |
| overall survival (d) | 304 | |
| whole liver tumor burden volume (cm3) | 9.3 (0.3–2832.5) | |
| affected liver lobes | left | 61 (81.3%) |
| right | 67 (89.3%) | |
| both | 53 (70.7%) | |
| Parameter | HR [CI] | p |
|---|---|---|
| attenuation (HU) | 1.00 (0.98–1.01) | 0.632 |
| volume (cm3) | 1.00 (1.00–1.00) | 0.127 * |
| relative volume (%) | 0.99 (0.96–1.02) | 0.428 |
| TBS | 1.02 (1.01–1.03) | 0.002 * |
| bilobar disease | 2.25 (1.31–3.84) | 0.002 * |
| energy | 1.00 (1.00–1.00) | 0.196 * |
| compactness | 0.09 (0.02–0.44) | 0.002 * |
| GLRLM nonuniformity | 1.00 (1.00–1.00) | 0.203 |
| wavelet nonuniformity | 1.00 (1.00–1.00) | 0.283 |
| MSx (cm) | 1.03 (1.00–1.07) | 0.083 * |
| MSy (cm) | 1.04 (1.00–1.08) | 0.081 * |
| MSz (cm) | 1.05 (1.01–1.10) | 0.018 * |
| SA/V (1/cm) | 1.03 (0.92–1.14) | 0.618 |
| Parameter | Baseline Model (Haas et al. [5]) | Extended Model 1 | ||||
|---|---|---|---|---|---|---|
| HR (CI) | p | C-Index | HR (CI) | p | C-Index | |
| ECOG 0 vs. 1–3 | 1.59 (0.98–2.57) | 0.06 | 0.614 | 1.49 (0.91–2.42) | 0.11 | 0.736 (p = 0.0003 *) |
| log(CRP) | 1.00 (0.97–1.03) | 0.99 | 0.99 (0.96–1.02) | 0.35 | ||
| log(Bilirubin) | 1.18 (0.98–2.57) | 0.13 | 1.16 (0.93–1.45) | 0.20 | ||
| volume [cm3] | 1.00 (1.00–1.00) | 0.06 | ||||
| TBS | 1.01 (1.00–1.03) | 0.04 * | ||||
| bilobar disease | 2.02 (1.09–3.75) | 0.03 * | ||||
| energy | 1.00 (1.00–1.00) | 0.10 | ||||
| Parameter | Baseline Model (Xue et al. [6]) | Extended Model 2 | ||||
| HR (CI) | p | C-Index | HR (CI) | p | C-Index | |
| ECOG 0–1 vs. 2 | 3.75 (1.27–11.14) | 0.02 * | 0.621 | 2.79 (0.94–8.30) | 0.07 | 0.699 (p = 0.003 *) |
| CA19-9 ≥ 1000 [U/mL] | 1.58 (0.98–2.55) | 0.06 | 1.01 (0.57–1.77) | 0.98 | ||
| CRP ≥ 5 [mg/dl] | 1.53 (0.77–3.06) | 0.23 | 1.52 (0.76–3.05) | 0.24 | ||
| volume [cm3] | 1.00 (1.00–1.00) | 0.22 | ||||
| TBS | 1.02 (1.00–1.03) | 0.03 * | ||||
| bilobar disease | 1.86 (1.02–3.37) | 0.04 * | ||||
Publisher’s Note: MDPI stays neutral with regard to jurisdictional claims in published maps and institutional affiliations. |
© 2021 by the authors. Licensee MDPI, Basel, Switzerland. This article is an open access article distributed under the terms and conditions of the Creative Commons Attribution (CC BY) license (https://creativecommons.org/licenses/by/4.0/).
Share and Cite
Gebauer, L.; Moltz, J.H.; Mühlberg, A.; Holch, J.W.; Huber, T.; Enke, J.; Jäger, N.; Haas, M.; Kruger, S.; Boeck, S.; et al. Quantitative Imaging Biomarkers of the Whole Liver Tumor Burden Improve Survival Prediction in Metastatic Pancreatic Cancer. Cancers 2021, 13, 5732. https://doi.org/10.3390/cancers13225732
Gebauer L, Moltz JH, Mühlberg A, Holch JW, Huber T, Enke J, Jäger N, Haas M, Kruger S, Boeck S, et al. Quantitative Imaging Biomarkers of the Whole Liver Tumor Burden Improve Survival Prediction in Metastatic Pancreatic Cancer. Cancers. 2021; 13(22):5732. https://doi.org/10.3390/cancers13225732
Chicago/Turabian StyleGebauer, Leonie, Jan H. Moltz, Alexander Mühlberg, Julian W. Holch, Thomas Huber, Johanna Enke, Nils Jäger, Michael Haas, Stephan Kruger, Stefan Boeck, and et al. 2021. "Quantitative Imaging Biomarkers of the Whole Liver Tumor Burden Improve Survival Prediction in Metastatic Pancreatic Cancer" Cancers 13, no. 22: 5732. https://doi.org/10.3390/cancers13225732
APA StyleGebauer, L., Moltz, J. H., Mühlberg, A., Holch, J. W., Huber, T., Enke, J., Jäger, N., Haas, M., Kruger, S., Boeck, S., Sühling, M., Katzmann, A., Hahn, H., Kunz, W. G., Heinemann, V., Nörenberg, D., & Maurus, S. (2021). Quantitative Imaging Biomarkers of the Whole Liver Tumor Burden Improve Survival Prediction in Metastatic Pancreatic Cancer. Cancers, 13(22), 5732. https://doi.org/10.3390/cancers13225732

