Ultrastaging Using Ex Vivo Sentinel Lymph Node Mapping and One-Step Nucleic Acid Amplification (OSNA) in Gastric Cancer: Experiences of a European Center
Abstract
Simple Summary
Abstract
1. Introduction
2. Materials and Methods
2.1. Study Cohort
2.2. Specimen Preparation and Ex Vivo SLN Mapping
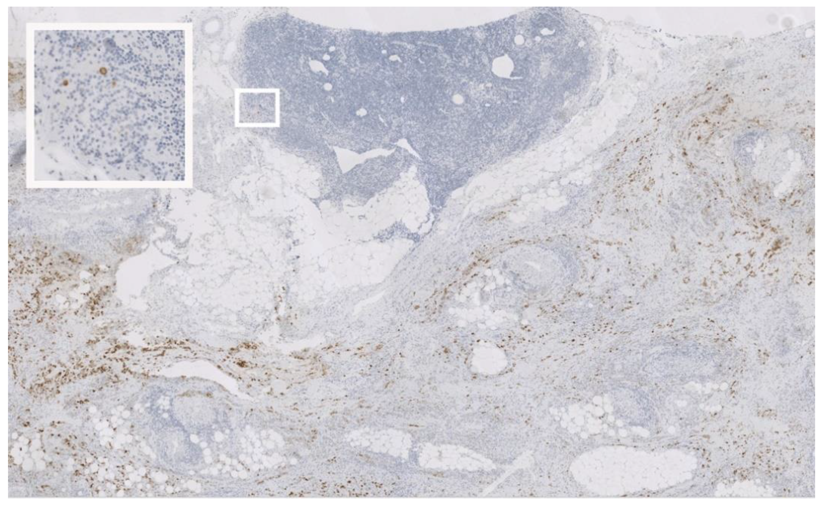
2.3. Immunohistochemistry
2.4. OSNA
2.5. Statistics
3. Results
3.1. LN Retrieval
3.2. SLN Mapping
3.3. OSNA LN Evaluation
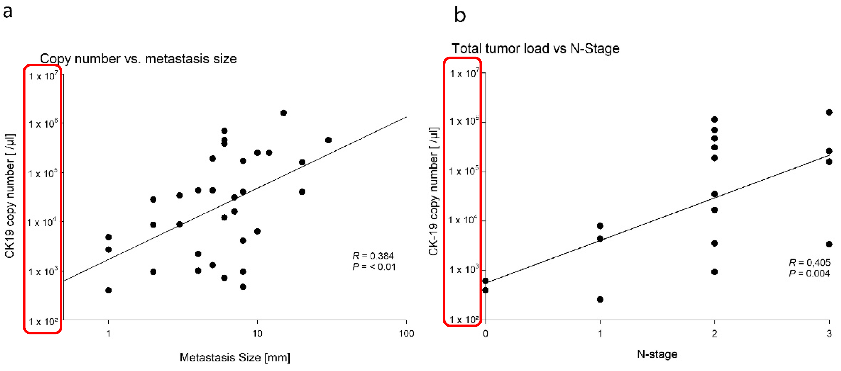
3.4. OSNA Upstaged Cases
4. Discussion
5. Conclusions
Author Contributions
Funding
Institutional Review Board Statement
Informed Consent Statement
Data Availability Statement
Acknowledgments
Conflicts of Interest
References
- Bray, F.; Ferlay, J.; Soerjomataram, I.; Siegel, R.L.; Torre, L.A.; Jemal, A. Global cancer statistics 2018: GLOBOCAN estimates of incidence and mortality worldwide for 36 cancers in 185 countries. CA Cancer J. Clin. 2018, 68, 394–424. [Google Scholar] [CrossRef] [PubMed]
- Gonzalez, R.S.; Messing, S.; Tu, X.; McMahon, L.A.; Whitney-Miller, C.L. Immunohistochemistry as a surrogate for molecular subtyping of gastric adenocarcinoma. Hum. Pathol. 2016, 56, 16–21. [Google Scholar] [CrossRef]
- The Cancer Genome Atlas Research Network Comprehensive molecular characterization of gastric adenocarcinoma. Nat. Cell Biol. 2014, 513, 202–209. [CrossRef]
- Petrillo, A.; Smyth, E.C. Biomarkers for Precision Treatment in Gastric Cancer. Visc. Med. 2020, 36, 364–372. [Google Scholar] [CrossRef]
- Coburn, N.G. Lymph nodes and gastric cancer. J. Surg. Oncol. 2009, 99, 199–206. [Google Scholar] [CrossRef]
- Ott, K.; Blank, S.; Ruspi, L.; Bauer, M.; Sisic, L.; Schmidt, T. Prognostic impact of nodal status and therapeutic implications. Transl. Gastroenterol. Hepatol. 2017, 2, 15. [Google Scholar] [CrossRef]
- Songun, I.; Putter, H.; Kranenbarg, E.M.-K.; Sasako, M.; van de Velde, C.J. Surgical treatment of gastric cancer: 15-year follow-up results of the randomised nationwide Dutch D1D2 trial. Lancet Oncol. 2010, 11, 439–449. [Google Scholar] [CrossRef]
- Symeonidis, D.; Tepetes, K. Techniques and Current Role of Sentinel Lymph Node (SLN) Concept in Gastric Cancer Surgery. Front. Surg. 2019, 5. [Google Scholar] [CrossRef]
- Friedel, D.; Zhang, X.; Stavropoulos, S.N. Burgeoning study of sentinel-node analysis on management of early gastric cancer after endoscopic submucosal dissection. World J. Gastrointest. Endosc. 2020, 12, 119–127. [Google Scholar] [CrossRef]
- Miyashiro, I.; The Gastric Cancer Surgical Study Group (GCSSG) in the Japan Clinical Oncology Group (JCOG); Hiratsuka, M.; Sasako, M.; Sano, T.; Mizusawa, J.; Nakamura, K.; Nashimoto, A.; Tsuburaya, A.; Fukushima, N. High false-negative proportion of intraoperative histological examination as a serious problem for clinical application of sentinel node biopsy for early gastric cancer: Final results of the Japan Clinical Oncology Group multicenter trial JCOG0302. Gastric Cancer 2013, 17, 316–323. [Google Scholar] [CrossRef]
- Zeng, Y.-J.; Zhang, C.-D.; Dai, D.-Q. Impact of lymph node micrometastasis on gastric carcinoma prognosis: A meta-analysis. World J. Gastroenterol. 2015, 21, 1628–1635. [Google Scholar] [CrossRef]
- Sloothaak, D.; Sahami, S.; van der Zaag-Loonen, H.; van der Zaag, E.; Tanis, P.; Bemelman, W.; Buskens, C. The prognostic value of micrometastases and isolated tumour cells in histologically negative lymph nodes of patients with colorectal cancer: A systematic review and meta-analysis. Eur. J. Surg. Oncol. (EJSO) 2014, 40, 263–269. [Google Scholar] [CrossRef] [PubMed]
- Tamaki, Y. One-step nucleic acid amplification (OSNA): Where do we go with it? Int. J. Clin. Oncol. 2016, 22, 3–10. [Google Scholar] [CrossRef] [PubMed]
- Shi, F.; Liang, Z.; Zhang, Q.; Wang, C.; Liu, X. The performance of one-step nucleic acid amplification assay for intraoperative detection of sentinel lymph node macrometastasis in breast cancer: An updated meta-analysis. Breast 2018, 39, 39–45. [Google Scholar] [CrossRef]
- Del Carmen, S.; Gatius, S.; Franch-Arcas, G.; Baena, J.A.; Gonzalez, O.; Zafon, C.; Cuevas, D.; Valls, J.; Pérez, A.; Martinez, M.; et al. Concordance study between one-step nucleic acid amplification and morphologic techniques to detect lymph node metastasis in papillary carcinoma of the thyroid. Hum. Pathol. 2016, 48, 132–141. [Google Scholar] [CrossRef]
- Goda, H.; Nakashiro, K.-I.; Oka, R.; Tanaka, H.; Wakisaka, H.; Hato, N.; Hyodo, M.; Hamakawa, H. One-step nucleic acid amplification for detecting lymph node metastasis of head and neck squamous cell carcinoma. Oral Oncol. 2012, 48, 958–963. [Google Scholar] [CrossRef]
- Inoue, M.; Hiyama, K.; Nakabayashi, K.; Morii, E.; Minami, M.; Sawabata, N.; Shintani, Y.; Nakagiri, T.; Susaki, Y.; Maeda, J.; et al. An accurate and rapid detection of lymph node metastasis in non-small cell lung cancer patients based on one-step nucleic acid amplification assay. Lung Cancer 2012, 78, 212–218. [Google Scholar] [CrossRef]
- Nagai, T.; Niikura, H.; Okamoto, S.; Nakabayashi, K.; Matoda, M.; Utsunomiya, H.; Nagase, S.; Watanabe, M.; Takeshima, N.; Yaegashi, N. A New Diagnostic Method for Rapid Detection of Lymph Node Metastases Using a One-Step Nucleic Acid Amplification (OSNA) Assay in Endometrial Cancer. Ann. Surg. Oncol. 2014, 22, 980–986. [Google Scholar] [CrossRef] [PubMed]
- Winter, A.; Engels, S.; Goos, P.; Süykers, M.-C.; Henke, R.-P.; Gerullis, H.; Wawroschek, F. Detection of CK19 mRNA Using One-step Nucleic Acid Amplification (OSNA) in Prostate Cancer: Preliminary Results. J. Cancer 2018, 9, 4611–4617. [Google Scholar] [CrossRef] [PubMed]
- Yamamoto, H.; Tomita, N.; Inomata, M.; Furuhata, T.; Miyake, Y.; Noura, S.; Kato, T.; Murata, K.; Hayashi, S.; Igarashi, S.; et al. OSNA-Assisted Molecular Staging in Colorectal Cancer: A Prospective Multicenter Trial in Japan. Ann. Surg. Oncol. 2016, 23, 391–396. [Google Scholar] [CrossRef]
- Itabashi, M.; Yamamoto, H.; Tomita, N.; Inomata, M.; Murata, K.; Hayashi, S.; Miyake, Y.; Igarashi, S.; Kato, T.; Noura, S.; et al. Lymph Node Positivity in One-Step Nucleic Acid Amplification is a Prognostic Factor for Postoperative Cancer Recurrence in Patients with Stage II Colorectal Cancer: A Prospective, Multicenter Study. Ann. Surg. Oncol. 2020, 27, 1077–1083. [Google Scholar] [CrossRef]
- Kumagai, K.; Yamamoto, N.; Miyashiro, I.; Tomita, Y.; Katai, H.; Kushima, R.; Tsuda, H.; Kitagawa, Y.; Takeuchi, H.; Mukai, M.; et al. Multicenter study evaluating the clinical performance of the OSNA assay for the molecular detection of lymph node metastases in gastric cancer patients. Gastric Cancer 2014, 17, 273–280. [Google Scholar] [CrossRef] [PubMed]
- Shimada, A.; Takeuchi, H.; Nishi, T.; Mayanagi, S.; Fukuda, K.; Suda, K.; Nakamura, R.; Wada, N.; Kawakubo, H.; Nakahara, T.; et al. Utility of the one-step nucleic acid amplification assay in sentinel node mapping for early gastric cancer patients. Gastric Cancer 2019, 23, 418–425. [Google Scholar] [CrossRef]
- Yaguchi, Y.; Sugasawa, H.; Tsujimoto, H.; Takata, H.; Nakabayashi, K.; Ichikura, T.; Ono, S.; Hiraki, S.; Sakamoto, N.; Horio, T.; et al. One-Step Nucleic Acid Amplification (OSNA) for the Application of Sentinel Node Concept in Gastric Cancer. Ann. Surg. Oncol. 2011, 18, 2289–2296. [Google Scholar] [CrossRef] [PubMed]
- Shoji, Y.; Kumagai, K.; Kamiya, S.; Ida, S.; Nunobe, S.; Ohashi, M.; Yoshimizu, S.; Horiuchi, Y.; Yoshio, T.; Ishiyama, A.; et al. Prospective feasibility study for single-tracer sentinel node mapping by ICG (indocyanine green) fluorescence and OSNA (one-step nucleic acid amplification) assay in laparoscopic gastric cancer surgery. Gastric Cancer 2019, 22, 873–880. [Google Scholar] [CrossRef] [PubMed]
- Van Der Zaag, E.S.; Bouma, W.H.; Tanis, P.J.; Ubbink, D.T.; Bemelman, W.A.; Buskens, C.J. Systematic Review of Sentinel Lymph Node Mapping Procedure in Colorectal Cancer. Ann. Surg. Oncol. 2012, 19, 3449–3459. [Google Scholar] [CrossRef] [PubMed]
- Märkl, B.; Moldovan, A.I.; Jähnig, H.; Cacchi, C.; Spatz, H.; Anthuber, M.; Oruzio, D.V.; Kretsinger, H.; Arnholdt, H.M. Combination of Ex Vivo Sentinel Lymph Node Mapping and Methylene Blue-Assisted Lymph Node Dissection in Gastric Cancer: A Prospective and Randomized Study. Ann. Surg. Oncol. 2011, 18, 1860–1868. [Google Scholar] [CrossRef]
- Notomi, T.; Mori, Y.; Tomita, N.; Kanda, H. Loop-mediated isothermal amplification (LAMP): Principle, features, and future prospects. J. Microbiol. 2015, 53, 1–5. [Google Scholar] [CrossRef]
- Pouw, J.J.; Grootendorst, M.R.; Klaase, J.M.; Van Baarlen, J.; Haken, B.T. Ex vivosentinel lymph node mapping in colorectal cancer using a magnetic nanoparticle tracer to improve staging accuracy: A pilot study. Color. Dis. 2016, 18, 1147–1153. [Google Scholar] [CrossRef]
- Rakislova, N.; Montironi, C.; Aldecoa, I.; Fernandez, E.; Bombi, J.A.; Jimeno, M.; Balaguer, F.; Pellise, M.; Castells, A.; Cuatrecasas, M. Lymph node pooling: A feasible and efficient method of lymph node molecular staging in colorectal carcinoma. J. Transl. Med. 2017, 15, 1–10. [Google Scholar] [CrossRef]
- Peg, V.; Espinosa-Bravo, M.; Vieites, B.; Vilardell, F.; Antúnez, J.R.; De Salas, M.S.; Delgado-Sánchez, J.J.; Pinto, W.; Gozalbo, F.; Petit, A.; et al. Intraoperative molecular analysis of total tumor load in sentinel lymph node: A new predictor of axillary status in early breast cancer patients. Breast Cancer Res. Treat. 2013, 139, 87–93. [Google Scholar] [CrossRef] [PubMed]




| Parameter | Number (%) |
|---|---|
| N | 41 |
| Mean Age [years] | 65 ± 13 |
| Age < 50 years | 6 (15%) |
| Gender [m:f] | 1:0.41 |
| pT0 | 6 (15%) |
| pT1 | 10 (24%) |
| pT2 | 4 (10%) |
| pT3 | 19 (46%) |
| pT4 | 2 (5%) |
| pN+ | 18 (44%) |
| Mean LN count | 26 ± 8 |
| L1 | 11 (27%) |
| V1 | 3 (7%) |
| c/pM1 | 8 (20%) |
| UICC stage IA | 7 (17%) |
| UICC stage IB | 3 (7%) |
| UICC stage IIA | 5 (12%) |
| UICC stage IIB | 7 (17%) |
| UICC stage IIIA | 4 (10%) |
| UICC stage IIIB | 1 (2%) |
| UICC stage IV | 8 (20%) |
| Intestinal Typ Lauren | 24 (59%) |
| Diffuse Typ Lauren | 6 (15%) |
| Mixed Typ Lauren | 8 (20%) |
| G1/2 * | 16 (39%) |
| G3 * | 23 (56%) |
| Neoadjuvant therapy | 21 (51%) |
| Author | Year | LNs | Cases | SN | T-Stages | Sensitivity | Specificity | Concordance | PPV | NPV | Study Objective |
|---|---|---|---|---|---|---|---|---|---|---|---|
| Yaguchi et al. [24] | 2011 | 162 | 32 | No | T1-T4 | 88.9 | 96.6 | 94.4 | 90.9 | 95.8 | Evaluate optimal mRNA marker for OSNA and its efficacy in a clinical setting |
| Kumagai et al. [22] | 2012 | 394 | 61 | No | T1-T4 | 83.3 | 95.9 | 94.2 | 76.3 | 97.3 | Multicenter study to evaluate OSNA in detecting metastases |
| Shimada et al. [23] | 2019 | 439 | 43 | Yes | T1 * | 63.6 ** | 98.8 ** | 97.0 ** | 73.7 ** | 98.1 ** | Comparison of OSNA in the setting of SN in early cancer |
| Shoji et al. [25] | 2019 | 48 | 20 | Yes | T1 | NA | NA | NA | NA | NA | Evaluate in the setting of SN mapping by single-tracer imaging |
| Märkl et al. [27] | 2020 | 334 | 41 | Yes *** | T1-T4 | 68.6/85.4 # | 93.3/93.5 # | 89.5/92.4 # | 64.8/66.0 # | 94.3/93.5 # | Ultrastaging |
| Parameter | Formula | % |
|---|---|---|
| Detection rate (%) | 73 | |
| Sensitivity (%) | 58 | |
| False negative rate (%) | 100%-sensitivity | 42 |
| Accuracy (%) | 58 |
Publisher’s Note: MDPI stays neutral with regard to jurisdictional claims in published maps and institutional affiliations. |
© 2021 by the authors. Licensee MDPI, Basel, Switzerland. This article is an open access article distributed under the terms and conditions of the Creative Commons Attribution (CC BY) license (https://creativecommons.org/licenses/by/4.0/).
Share and Cite
Märkl, B.; Grosser, B.; Bauer, K.; Vlasenko, D.; Schenkirsch, G.; Probst, A.; Kriening, B. Ultrastaging Using Ex Vivo Sentinel Lymph Node Mapping and One-Step Nucleic Acid Amplification (OSNA) in Gastric Cancer: Experiences of a European Center. Cancers 2021, 13, 2683. https://doi.org/10.3390/cancers13112683
Märkl B, Grosser B, Bauer K, Vlasenko D, Schenkirsch G, Probst A, Kriening B. Ultrastaging Using Ex Vivo Sentinel Lymph Node Mapping and One-Step Nucleic Acid Amplification (OSNA) in Gastric Cancer: Experiences of a European Center. Cancers. 2021; 13(11):2683. https://doi.org/10.3390/cancers13112683
Chicago/Turabian StyleMärkl, Bruno, Bianca Grosser, Kerstin Bauer, Dmytro Vlasenko, Gerhard Schenkirsch, Andreas Probst, and Bernadette Kriening. 2021. "Ultrastaging Using Ex Vivo Sentinel Lymph Node Mapping and One-Step Nucleic Acid Amplification (OSNA) in Gastric Cancer: Experiences of a European Center" Cancers 13, no. 11: 2683. https://doi.org/10.3390/cancers13112683
APA StyleMärkl, B., Grosser, B., Bauer, K., Vlasenko, D., Schenkirsch, G., Probst, A., & Kriening, B. (2021). Ultrastaging Using Ex Vivo Sentinel Lymph Node Mapping and One-Step Nucleic Acid Amplification (OSNA) in Gastric Cancer: Experiences of a European Center. Cancers, 13(11), 2683. https://doi.org/10.3390/cancers13112683

