Visceral Adiposity as a Significant Predictor of Sunitinib-Induced Dose-Limiting Toxicities and Survival in Patients with Metastatic Clear Cell Renal Cell Carcinoma
Abstract
Simple Summary
Abstract
1. Introduction
2. Results
2.1. Patient Characteristics
2.2. Sunitinib Toxicity
2.3. Survival Analysis
3. Discussion
4. Materials and Methods
4.1. Patients and Ethics
4.2. Study Design
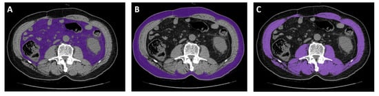
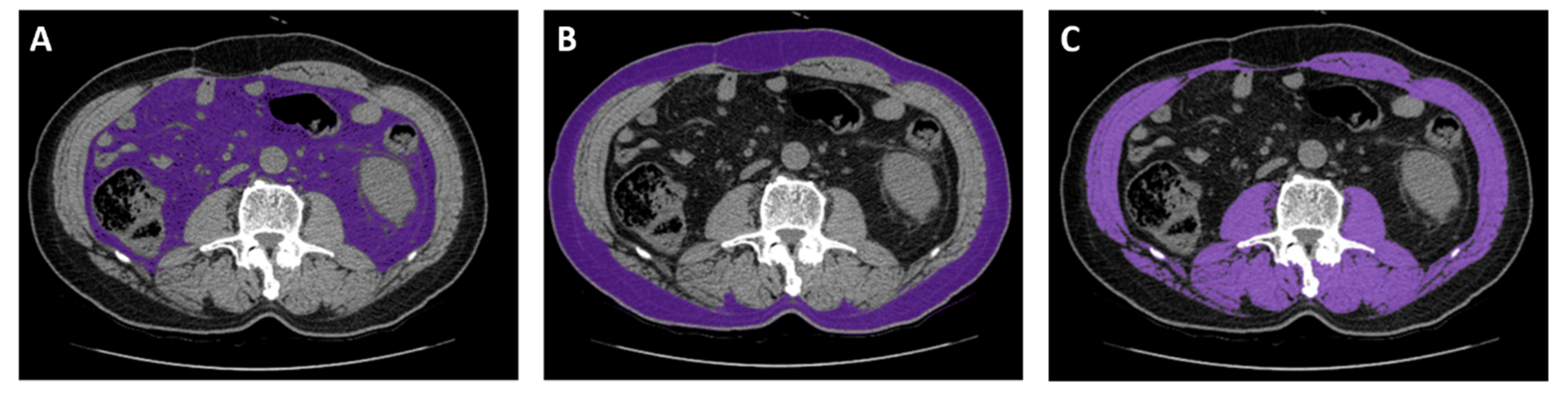
4.3. Anthropometry and Body Composition
4.4. Image Analysis
4.5. Statistical Analyses
5. Conclusions
Author Contributions
Funding
Conflicts of Interest
References
- Siegel, R.L.; Mph, K.D.M.; Jemal, A. Cancer statistics, 2018. CA Cancer J. Clin. 2018, 68, 7–30. [Google Scholar] [CrossRef]
- Motzer, R.J.; Bander, N.H.; Nanus, D.M. Renal-Cell Carcinoma. N. Engl. J. Med. 1996, 335, 865–875. [Google Scholar] [CrossRef] [PubMed]
- Gupta, K.; Miller, J.D.; Li, J.Z.; Russell, M.W.; Charbonneau, C. Epidemiologic and socioeconomic burden of metastatic renal cell carcinoma (mRCC): A literature review. Cancer Treat. Rev. 2008, 34, 193–205. [Google Scholar] [CrossRef]
- Motzer, R.J.; Hutson, T.E.; Tomczak, P.; Michaelson, M.D.; Bukowski, R.M.; Rixe, O.; Oudard, S.; Negrier, S.; Szczylik, C.; Kim, S.T.; et al. Sunitinib versus Interferon Alfa in Metastatic Renal-Cell Carcinoma. N. Engl. J. Med. 2007, 356, 115–124. [Google Scholar] [CrossRef] [PubMed]
- Motzer, R.J.; Hutson, T.E.; Tomczak, P.; Michaelson, M.D.; Bukowski, R.M.; Oudard, S.; Negrier, S.; Szczylik, C.; Pili, R.; Bjarnason, G.A.; et al. Overall Survival and Updated Results for Sunitinib Compared With Interferon Alfa in Patients With Metastatic Renal Cell Carcinoma. J. Clin. Oncol. 2009, 27, 3584–3590. [Google Scholar] [CrossRef]
- Cushen, S.J.; Power, D.G.; Teo, M.Y.; MacEneaney, P.; Maher, M.M.; McDermott, R.; O’Sullivan, K.; Ryan, A.M. Body Composition by Computed Tomography as a Predictor of Toxicity in Patients With Renal Cell Carcinoma Treated With Sunitinib. Am. J. Clin. Oncol. 2017, 40, 47–52. [Google Scholar] [CrossRef]
- Sugiyama, M.; Fujita, K.-I.; Murayama, N.; Akiyama, Y.; Yamazaki, H.; Sasaki, Y. Sorafenib and Sunitinib, Two Anticancer Drugs, Inhibit CYP3A4-Mediated and Activate CY3A5-Mediated Midazolam 1′-Hydroxylation. Drug Metab. Dispos. 2011, 39, 757–762. [Google Scholar] [CrossRef]
- García-Donas, J.; Esteban, E.; Leandro-García, L.J.; Castellano, D.E.; González-Del-Alba, A.; Climent, M.Á.; Arranz, J.Á.; Gallardo, E.; Puente, J.; Bellmunt, J.; et al. Single nucleotide polymorphism associations with response and toxic effects in patients with advanced renal-cell carcinoma treated with first-line sunitinib: A multicentre, observational, prospective study. Lancet Oncol. 2011, 12, 1143–1150. [Google Scholar] [CrossRef]
- Mir, O.; Mir, O.; Peyromaure, M.; Tlemsani, C.; Giroux, J.; Boudourouquette, P.; Ropert, S.; Delongchamps, N.B.; Zerbib, M.; Goldwasser, F. Sarcopenia and body mass index predict sunitinib-induced early dose-limiting toxicities in renal cancer patients. Br. J. Cancer 2013, 108, 1034–1041. [Google Scholar] [CrossRef]
- Antoun, S.; Baracos, V.E.; Birdsell, L.; Escudier, B.; Sawyer, M.B. Low body mass index and sarcopenia associated with dose-limiting toxicity of sorafenib in patients with renal cell carcinoma. Ann. Oncol. 2010, 21, 1594–1598. [Google Scholar] [CrossRef]
- Ishihara, H.; Kondo, T.; Omae, K.; Takagi, T.; Iizuka, J.; Kobayashi, H.; Tanabe, K. Sarcopenia and the Modified Glasgow Prognostic Score are Significant Predictors of Survival Among Patients with Metastatic Renal Cell Carcinoma Who are Receiving First-Line Sunitinib Treatment. Target. Oncol. 2016, 11, 605–617. [Google Scholar] [CrossRef]
- Vrieling, A.; Kampman, E.; Knijnenburg, N.C.; Mulders, P.; Sedelaar, J.M.; Baracos, V.; Kiemeney, L.A. Body Composition in Relation to Clinical Outcomes in Renal Cell Cancer: A Systematic Review and Meta-analysis. Eur. Urol. Focus 2018, 4, 420–434. [Google Scholar] [CrossRef]
- Shiwaku, K.; Anuurad, E.; Enkhmaa, B.; Kitajima, K.; Yamane, Y. Appropriate BMI for Asian populations. Lancet 2004, 363, 1077. [Google Scholar] [CrossRef]
- Anuurad, E.; Shiwaku, K.; Nogi, A.; Kitajima, K.; Enkhmaa, B.; Shimono, K.; Yamane, Y. The New BMI Criteria for Asians by the Regional Office for the Western Pacific Region of WHO are Suitable for Screening of Overweight to Prevent Metabolic Syndrome in Elder Japanese Workers. J. Occup. Health 2003, 45, 335–343. [Google Scholar] [CrossRef]
- Taguchi, S.; Nakagawa, T.; Fukuhara, H. Inconsistencies in currently used definitions of sarcopenia in oncology. Ann. Oncol. 2020, 31, 318–319. [Google Scholar] [CrossRef]
- Meyerhardt, J.A.; Tepper, J.; Niedzwiecki, D.; Hollis, D.R.; Mccollum, A.D.; Brady, D.; O’Connell, M.J.; Mayer, R.J.; Cummings, B.J.; Willett, C.G.; et al. Impact of Body Mass Index on Outcomes and Treatment-Related Toxicity in Patients With Stage II and III Rectal Cancer: Findings From Intergroup Trial 0114. J. Clin. Oncol. 2004, 22, 648–657. [Google Scholar] [CrossRef]
- Esfahani, A.; Ghoreishi, Z.; Miran, M.A.; Sanaat, Z.; Ostadrahimi, A.; Ziaei, J.E.; Nahand, M.G.; Jafarabadi, M.A.; Sorusheh, Y.; Esmaili, H.; et al. Nutritional assessment of patients with acute leukemia during induction chemotherapy: Association with hospital outcomes. Leuk. Lymphoma 2013, 55, 1743–1750. [Google Scholar] [CrossRef]
- Bergström, A.; Hsieh, C.-C.; Lindblad, P.; Lu, C.-M.; Cook, N.R.; Wolk, A. Obesity and renal cell cancer—A quantitative review. Br. J. Cancer 2001, 85, 984–990. [Google Scholar] [CrossRef]
- Park, Y.H.; Lee, J.K.; Kim, K.M.; Kook, H.R.; Lee, H.; Kim, K.B.; Lee, S.; Byun, S.-S.; Lee, S.E. Visceral Obesity in Predicting Oncologic Outcomes of Localized Renal Cell Carcinoma. J. Urol. 2014, 192, 1043–1049. [Google Scholar] [CrossRef]
- Goodman, V.L.; Rock, E.P.; Dagher, R.; Ramchandani, R.P.; Abraham, S.; Gobburu, J.V.; Booth, B.P.; Verbois, S.L.; Morse, D.E.; Liang, C.Y.; et al. Approval Summary: Sunitinib for the Treatment of Imatinib Refractory or Intolerant Gastrointestinal Stromal Tumors and Advanced Renal Cell Carcinoma. Clin. Cancer Res. 2007, 13, 1367–1373. [Google Scholar] [CrossRef]
- Kim, D.; Kim, Y.J.; Yang, J.I.; Park, M.; Yoon, J.-H.; Lee, H.S. T1012 Visceral Adipose Tissue Area as a Strong and Independent Risk Factor of Elevated Liver Enzyme. Gastroenterology 2009, 136, A-846. [Google Scholar] [CrossRef]
- Schäffler, A.; Schölmerich, J.; Büchler, C. Mechanisms of Disease: Adipocytokines and visceral adipose tissue—Emerging role in nonalcoholic fatty liver disease. Nat. Clin. Pr. Gastroenterol. Hepatol. 2005, 2, 273–280. [Google Scholar] [CrossRef]
- Jamwal, R.; De La Monte, S.M.; Ogasawara, K.; Adusumalli, S.; Barlock, B.B.; Akhlaghi, F. Nonalcoholic Fatty Liver Disease and Diabetes Are Associated with Decreased CYP3A4 Protein Expression and Activity in Human Liver. Mol. Pharm. 2018, 15, 2621–2632. [Google Scholar] [CrossRef]
- Naya, Y.; Zenbutsu, S.; Araki, K.; Nakamura, K.; Kobayashi, M.; Kamijima, S.; Imamoto, T.; Nihei, N.; Suzuki, H.; Ichikawa, T.; et al. Influence of Visceral Obesity on Oncologic Outcome in Patients with Renal Cell Carcinoma. Urol. Int. 2010, 85, 30–36. [Google Scholar] [CrossRef]
- Kaneko, G.; Miyajima, A.; Yuge, K.; Yazawa, S.; Mizuno, R.; Kikuchi, E.; Jinzaki, M.; Oya, M. Visceral obesity is associated with better recurrence-free survival after curative surgery for Japanese patients with localized clear cell renal cell carcinoma. Jpn. J. Clin. Oncol. 2014, 45, 210–216. [Google Scholar] [CrossRef]
- Lee, H.W.; Jeong, B.C.; Seo, S.I.; Jeon, S.S.; Lee, H.M.; Choi, H.Y.; Jeon, H.G. Prognostic significance of visceral obesity in patients with advanced renal cell carcinoma undergoing nephrectomy. Int. J. Urol. 2015, 22, 455–461. [Google Scholar] [CrossRef]
- Mano, R.; Hakimi, A.A.; Zabor, E.C.; Bury, M.A.; Donati, O.F.; Karlo, C.A.; Bazzi, W.M.; Barnes, H.F.; Russo, P. Association between visceral and subcutaneous adiposity and clinicopathological outcomes in non-metastatic clear cell renal cell carcinoma. Can. Urol. Assoc. J. 2014, 8, E675–E680. [Google Scholar] [CrossRef]
- Doyle, S.L.; Donohoe, C.L.; Lysaght, J.; Reynolds, J.V. Visceral obesity, metabolic syndrome, insulin resistance and cancer. Proc. Nutr. Soc. 2012, 71, 181–189. [Google Scholar] [CrossRef]
- Ibrahim, M.M. Subcutaneous and visceral adipose tissue: Structural and functional differences. Obes. Rev. 2010, 11, 11–18. [Google Scholar] [CrossRef]
- Pinthus, J.H.; Kleinmann, N.; Tisdale, B.; Chatterjee, S.; Lu, J.-P.; Gillis, A.; Hamlet, T.; Singh, G.; Farrokhyar, F.; Kapoor, A. Lower Plasma Adiponectin Levels Are Associated with Larger Tumor Size and Metastasis in Clear-Cell Carcinoma of the Kidney. Eur. Urol. 2008, 54, 866–874. [Google Scholar] [CrossRef]
- Turer, A.T.; Khera, A.; Ayers, C.R.; Turer, C.B.; Grundy, S.M.; Vega, G.L.; Scherer, P.E. Adipose tissue mass and location affect circulating adiponectin levels. Diabetology 2011, 54, 2515–2524. [Google Scholar] [CrossRef]
- Barrios, C.H.; Hernández-Barajas, D.; Brown, M.P.; Lee, S.-H.; Fein, L.; Liu, J.-H.; Hariharan, S.; Martell, B.A.; Yuan, J.; Bello, A.; et al. Phase II trial of continuous once-daily dosing of sunitinib as first-line treatment in patients with metastatic renal cell carcinoma. Cancer 2011, 118, 1252–1259. [Google Scholar] [CrossRef]
- Izzedine, H.; Ederhy, S.; Goldwasser, F.; Soria, J.C.; Milano, G.; Cohen, A.; Khayat, D.; Spano, J.P. Management of hypertension in angiogenesis inhibitor-treated patients. Ann. Oncol. 2009, 20, 807–815. [Google Scholar] [CrossRef]
- Prado, C.M.M.; Baracos, V.E.; McCargar, L.J.; Reiman, T.; Mourtzakis, M.; Tonkin, K.; Mackey, J.R.; Koski, S.; Pituskin, E.; Sawyer, M.B. Sarcopenia as a Determinant of Chemotherapy Toxicity and Time to Tumor Progression in Metastatic Breast Cancer Patients Receiving Capecitabine Treatment. Clin. Cancer Res. 2009, 15, 2920–2926. [Google Scholar] [CrossRef]
- Wold Health Organization. WHO expert consultation, Appropriate body-mass index for Asian populations and its implications for policy and intervention strategies. Lancet 2004, 363, 157–163. [Google Scholar] [CrossRef]
- Heymsfield, S.B.; Wang, Z.; Baumgartner, R.N.; Ross, R. Human Body Composition: Advances in Models and Methods. Annu. Rev. Nutr. 1997, 17, 527–558. [Google Scholar] [CrossRef]
- Mitsiopoulos, N.; Baumgartner, R.N.; Heymsfield, S.B.; Lyons, W.; Gallagher, D.; Ross, R. Cadaver validation of skeletal muscle measurement by magnetic resonance imaging and computerized tomography. J. Appl. Physiol. 1998, 85, 115–122. [Google Scholar] [CrossRef]
- Mourtzakis, M.; Prado, C.M.M.; Lieffers, J.R.; Reiman, T.; McCargar, L.J.; Baracos, V.E. A practical and precise approach to quantification of body composition in cancer patients using computed tomography images acquired during routine care. Appl. Physiol. Nutr. Metab. 2008, 33, 997–1006. [Google Scholar] [CrossRef]




| Characteristics | Male (n = 251) | Female (n = 60) | Total (n = 311) | p |
|---|---|---|---|---|
| Age, median (range) * (y) | 62.0 (56.0–71.0) | 64.0 (59.0–73.8) | 63.0 (57.0–72.0) | 0.134 |
| Weight, median (range) * (kg) | 69.0 (61.8–75.7) | 56.5 (50.6–60.8) | 66.8 (58.0–74.7) | <0.001 |
| BMI, median (range) * (kg/m2) | 23.7 (21.8–25.8) | 22.9 (21.6–25.2) | 23.5 (21.8–25.7) | 0.260 |
| Underweight (BMI < 18.5) | 7 (2.8%) | 4(6.7%) | 11 (3.5%) | 0.112 |
| Normal weight (18.5 ≤ BMI ≤ 24.9) | 158 (62.9%) | 41 (68.3%) | 199 (64.0%) | |
| Overweight (25 ≤ BMI ≤ 29.9) | 77 (30.7%) | 11 (18.3%) | 88 (28.3%) | |
| Obese (30 ≤ BMI) | 9 (3.6%) | 4 (6.7%) | 13 (4.2%) | |
| ECOG PS, n (%) | ||||
| 0–1 | 239 (95.2%) | 56 (93.3%) | 295 (94.9%) | 0.522 |
| ≥2 | 12 (4.8%) | 4 (6.7%) | 16 (5.1%) | |
| Number of metastatic sites, n (%) | ||||
| 1 | 106 (42.2%) | 23 (38.3%) | 129 (41.5%) | 0.589 |
| 2 | 78 (31.1%) | 24 (40.0%) | 102 (32.8%) | |
| 3 | 49 (19.5%) | 11 (18.3%) | 60 (19.3%) | |
| ≥4 | 18 (7.2%) | 2 (3.3%) | 20 (6.4%) | |
| Metastatic sites, n (%) | ||||
| Lung | 194 (40.6%) | 39 (34.5%) | 233 (39.4%) | 0.800 |
| Liver | 44 (11.5%) | 11 (48.7%) | 55 (9.3%) | |
| Bone | 70 (14.6%) | 19 (16.8%) | 89 (15.1%) | |
| Brain | 15 (3.1%) | 3 (2.7%) | 18 (3.0%) | |
| Others | 155 (32.4%) | 41 (36.3%) | 196 (33.2%) | |
| Early DLT, n (%) | ||||
| Present | 73 (29.1%) | 28 (46.7%) | 101 (32.5%) | 0.009 |
| Absent | 178 (70.9%) | 32 (53.3%) | 210 (67.5%) | |
| L3 Area, median (range) * (cm2) | ||||
| SAT | 98.5 (71.6–129.7) | 150.2 (123.4–177.6) | 110.9 (75.5–145.9) | <0.001 |
| VAT | 105.4 (56.0–150.7) | 69.8 (43.7–115.2) | 95.4 (51.1–146.4) | 0.009 |
| SM | 145.1 (130.7–160.9) | 98.2 (90.0–106.2) | 139.6 (114.2–155.3) | <0.001 |
| L3 Index, median (range) * (cm2/m2) | ||||
| SATI | 34.5 (24.1–46.2) | 62.5 (48.6–72.0) | 38.1 (26.0–55.2) | <0.001 |
| VATI | 36.1 (18.6–52.1) | 30.0 (17.9–46.5) | 34.3 (18.5–51.7) | 0.381 |
| SMI | 50.5 (45.4–55.1) | 40.6 (36.9–43.9) | 48.2 (42.2–54.1) | <0.001 |
| No. ISUP grade, n (%) | ||||
| Low grade (1–2) | 52 (20.7%) | 20 (33.3%) | 72 (23.2%) | 0.037 |
| High grade (3–4) | 199 (79.3%) | 40 (66.7%) | 234 (76.8%) |
| Patients with Early DLT | Patients without Early DLT | p | |
|---|---|---|---|
| (n = 101) | (n = 210) | ||
| Age (y) | 65.2 (11.8) | 62.8 (9.7) | NS |
| Weight (kg) | 67.3 (11.9) | 67.1 (12.0) | NS |
| BMI (kg/m2) | 24.2 (3.3) | 23.6 (3.3) | NS |
| ECOG PS, n (%) | |||
| 0–1 | 94 (93.1%) | 201 (95.7%) | NS |
| ≥2 | 7 (6.9%) | 9 (4.3%) | |
| L3 Area (cm2) | |||
| SAT | 133.3 (71.2) | 109.9 (59.2) | 0.002 |
| VAT | 122.8 (85.8) | 95.6 (61.2) | 0.001 |
| SM | 133.6 (32.7) | 138.2 (28.6) | NS |
| L3 Index (cm2/m2) | |||
| SATI | 49.0 (28.3) | 39.4 (22.4) | 0.001 |
| VATI | 44.1 (29.1) | 33.6 (21.1) | <0.001 |
| SMI | 47.7 (9.1) | 48.6 (8.0) | NS |
| No. of toxicities | 3.5 (1.6) | 1.7 (1.6) | <0.001 |
| Low Visceral Adipose Tissue Index | High Visceral Adipose Tissue Index | p | |
|---|---|---|---|
| (n = 155) | (n = 156) | ||
| Early DLT, n (%) | |||
| Present | 37 (23.9%) | 64 (41.0%) | 0.001 |
| Absent | 118 (76.1%) | 92 (59.0%) | |
| No. of toxicities, mean (SD) | 1.5 (1.3) | 3.1 (1.9) | <0.001 |
Publisher’s Note: MDPI stays neutral with regard to jurisdictional claims in published maps and institutional affiliations. |
© 2020 by the authors. Licensee MDPI, Basel, Switzerland. This article is an open access article distributed under the terms and conditions of the Creative Commons Attribution (CC BY) license (http://creativecommons.org/licenses/by/4.0/).
Share and Cite
Park, J.S.; Koo, K.C.; Chung, D.Y.; Kim, S.I.; Kim, J.; Oh, C.K.; Kim, T.N.; Kang, S.K.; Park, J.W.; Yoon, Y.E.; et al. Visceral Adiposity as a Significant Predictor of Sunitinib-Induced Dose-Limiting Toxicities and Survival in Patients with Metastatic Clear Cell Renal Cell Carcinoma. Cancers 2020, 12, 3602. https://doi.org/10.3390/cancers12123602
Park JS, Koo KC, Chung DY, Kim SI, Kim J, Oh CK, Kim TN, Kang SK, Park JW, Yoon YE, et al. Visceral Adiposity as a Significant Predictor of Sunitinib-Induced Dose-Limiting Toxicities and Survival in Patients with Metastatic Clear Cell Renal Cell Carcinoma. Cancers. 2020; 12(12):3602. https://doi.org/10.3390/cancers12123602
Chicago/Turabian StylePark, Jee Soo, Kyo Chul Koo, Doo Yong Chung, Sun Il Kim, Jeongho Kim, Cheol Kyu Oh, Tae Nam Kim, Sung Ku Kang, Jae Won Park, Young Eun Yoon, and et al. 2020. "Visceral Adiposity as a Significant Predictor of Sunitinib-Induced Dose-Limiting Toxicities and Survival in Patients with Metastatic Clear Cell Renal Cell Carcinoma" Cancers 12, no. 12: 3602. https://doi.org/10.3390/cancers12123602
APA StylePark, J. S., Koo, K. C., Chung, D. Y., Kim, S. I., Kim, J., Oh, C. K., Kim, T. N., Kang, S. K., Park, J. W., Yoon, Y. E., Park, S. Y., Rha, K. H., & Ham, W. S. (2020). Visceral Adiposity as a Significant Predictor of Sunitinib-Induced Dose-Limiting Toxicities and Survival in Patients with Metastatic Clear Cell Renal Cell Carcinoma. Cancers, 12(12), 3602. https://doi.org/10.3390/cancers12123602

