Rare Primary Malignant Bone Sarcomas
Simple Summary
Abstract
1. Introduction
2. Relevance
3. Clinically Relevant Aspects
4. Diagnostic Procedures
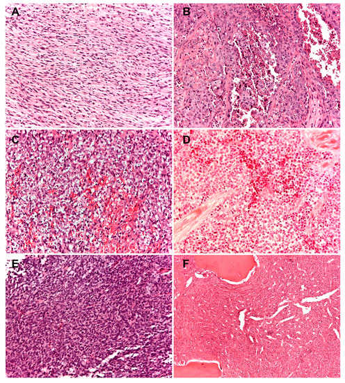
4.1. Spindle Cell Sarcomas
4.2. Round Cell Sarcomas
4.3. Vascular Tumors
5. Staging
6. Treatment Recommendations
6.1. Spindle Cell Sarcomas
6.2. Round Cell Sarcomas
6.3. Vascular Tumors
7. Current Research
8. Conclusions
Author Contributions
Funding
Acknowledgments
Conflicts of Interest
References
- SEER Cancer Statistics Factsheets: Bone and Joint Cancer; National Cancer Institute: Bethesda, MD, USA, 2016. Available online: http://seer.cancer.gov/statfacts/html/bones.html (accessed on 22 April 2016).
- Dunham, W.K.; Wilborn, W.H. Malignant fibrous histiocytoma of bone: Report of two casesand review of the literature. J. Bone Joint Surg. 1979, 61, 939–942. [Google Scholar] [CrossRef] [PubMed]
- Bovée, J.V.M.G. Molecular Pathology of Bone Tumors: What Have We Learned and How Does It Affect Daily Practice? Surg. Pathol. Clin. 2017, 10, xiii–xiv. [Google Scholar] [CrossRef] [PubMed]
- Sbaraglia, M.; Righi, A.; Gambarotti, M.; Vanel, D.; Picci, P.; Dei Tos, A.P. Soft Tissue Tumors Rarely Presenting Primary in Bone; Diagnostic Pitfalls. Surg. Pathol. Clin. 2017, 10, 705–730. [Google Scholar] [CrossRef]
- Romeo, S.; Boveé, J.V.; Kroon, H.M.; Tirabosco, R.; Natali, C.; Zanatta, L.; Sciot, R.; Mertens, F.; Athanasou, N.; Alberghini, M.; et al. Malignant fibrous histiocytoma and fibrosarcoma of bone: A re-assessment in the light of currently employed morphological, immunohistochemical and molecular approaches. Virchows Arch. 2012, 461, 561–570. [Google Scholar] [CrossRef] [PubMed]
- Mertens, F.; Romeo, S.; Bovee, J.V.M.G.; Tirabosco, R.; Athanasou, N.; Alberghini, M.; Hogendoorn, P.C.; Dei Tos, A.P.; Sciot, R.; Domanski, H.A.; et al. Reclassification and subtyping of so-called malignant fibrous histiocytoma of bone: Comparison with cytogenetic features. Clin. Sarc. Res. 2011, 1, 10. [Google Scholar] [CrossRef] [PubMed]
- Dei Tos, A.P.; Righi, A.; Gambarotti, M.; Vanel, D.; Ferrari, C.; Benini, S.; Ferrari, S.; Picci, P. Reappraisal of primary spindle/pleomorphic sarcomas of bone. Mod. Pathol. 2014, 27 (Suppl. 2), 15A. [Google Scholar]
- Verbeke, S.L.; Fletcher, C.D.; Alberghini, M.; Daugaard, S.; Flanagan, A.M.; Parratt, T.; Kroon, H.M.; Hogendoorn, P.C.; Bovée, J.V. A reappraisal of hemangiopericytoma of bone; analysis of cases reclassified as synovial sarcoma and solitary fibrous tumor of bone. Am. J. Surg. Pathol. 2010, 34, 777–783. [Google Scholar] [CrossRef]
- Satayasoontorn, K.; Righi, A.; Gambarotti, M.; Merlino, B.; Brunocilla, E.; Vanel, D. Meningeal hemangiopericytoma only diagnosed at the time of late bone metastasis. Skeletal Radiol. 2014, 43, 1543–1549. [Google Scholar] [CrossRef]
- Dei Tos, A.P.; Czerniak, B.; Inwards, C.Y. Fibrosarcoma of Bone. In WHO Classification of Tumours of Soft Tissue and Bone, 5th ed.; IARC Press: Lyon, France, 2020; pp. 424–425. [Google Scholar]
- Meis-Kindblom, J.M.; Kindblom, L.G.; Enzinger, F.M. Sclerosing epithelioid fibrosarcoma. A variant of fibrosarcoma simulating carcinoma. Am. J. Surg. Pathol. 1995, 19, 979–993. [Google Scholar] [CrossRef]
- Wojcik, J.B.; Bellizzi, A.M.; Dal Cin, P.; Bredella, M.A.; Fletcher, C.D.; Hornicek, F.J.; Deshpande, V.; Hornick, J.L.; Nielsen, G.P. Primary sclerosing epithelioid fibrosarcoma of bone: Analysis of a series. Am. J. Surg. Pathol. 2014, 38, 1538–1544. [Google Scholar] [CrossRef]
- Myers, J.L.; Arocho, J.; Bernreuter, W.; Dunham, W.; Mazur, M.T. Leiomyosarcoma of bone. A clinicopathologic, immunohistochemical and ultrastructural study of five cases. Cancer 1991, 67, 1051–1056. [Google Scholar] [CrossRef]
- Mori, T.; Nakayama, R.; Endo, M.; Hiraga, H.; Tomita, M.; Fukase, N.; Kobayashi, E.; Kawai, A.; Ueda, T.; Morioka, H. Forty-eight cases of leiomyosarcoma of bone in Japan: A multicenter study from the Japanese musculoskeletal oncology group. J. Surg. Oncol. 2016, 114, 495–500. [Google Scholar] [CrossRef] [PubMed]
- McCarthy, E.F.; Antonescu, C.R. Leiomyosarcoma of Bone. In WHO Classification of Tumours of Soft Tissue and Bone, 5th ed.; IARC Press: Lyon, France, 2020; pp. 478–479. [Google Scholar]
- Antonescu, C.R.; Erlandson, R.A.; Huvos, A.G. Primary leiomyosarcoma of bone: A clinicopathologic, immunohistochemical, and ultrastructural study of 33 patients and a literature review. Am. J. Surg. Pathol. 1997, 21, 1281–1294. [Google Scholar] [CrossRef] [PubMed]
- Liu, W.; Zhang, S.; Liu, J.; Shao, Z. Intraosseous Malignant Peripheral Nerve Sheath Tumor of 2 Consecutive Lumbar Vertebrae: A Case Report and Literature Review. World Neurosurg. 2019, 130, 459–466. [Google Scholar] [CrossRef] [PubMed]
- Sugawara, M.; Kobayashi, E.; Asano, N.; Yoshida, A.; Kawai, A. Malignant Peripheral Nerve Sheath Tumor of the Femur: A Rare Diagnosis Supported by Complete Immunohistochemical Loss of H3K27me3. Int. J. Surg. Pathol. 2017, 25, 629–634. [Google Scholar] [CrossRef] [PubMed]
- Muthusamy, S.; Conway, S.A.; Pitcher, J.D.; Temple, H.T. Primary Intraosseous Malignant Peripheral Nerve Sheath Tumor of the Medial Cuneiform: A Case Report and Review of the Literature. J. Foot Ankle Surg. 2017, 56, 129–134. [Google Scholar] [CrossRef]
- Zulkarnaen, M.; Pan, K.; Shanmugam, P.; Ibrahim, Z.A.; Chan, W.H. Intraosseous synovial sarcoma of the proximal femur: Case report. Malays Orthop. J. 2012, 6, 49–52. [Google Scholar] [CrossRef]
- Kim, K.W.; Park, S.Y.; Won, K.Y.; Jin, W.; Kim, S.M.; Park, J.S.; Ryu, K.N. Synovial sarcoma of primary bone origin arising from the cervical spine. Skeletal Radiol. 2013, 42, 303–308. [Google Scholar] [CrossRef] [PubMed]
- Rekhi, B.; Joshi, S.; Panchwagh, Y.; Gulia, A.; Borges, A.; Bajpai, J.; Jambehekar, N.A.; Pant, V.; Mandholkar, M.; Byregowda, S.; et al. Clinicopatholoigc features of fine unusual cases of intraosseous myoepithelial carcinomas, mimicking conventional primary bone tumors, including EWSR1 rearrangement in one case. APMIS 2016, 124, 278–290. [Google Scholar] [CrossRef] [PubMed]
- Kurzawa, P.; Kattapuram, S.; Hornicek, J.H.; Antonescu, C.R.; Rosenberg, A.E.; Nielsen, G.P. Primary myoepithelioma of bone. Am. J. Surg. Pathol. 2013, 37, 960–968. [Google Scholar] [CrossRef]
- Puls, F.; Arbajian, E.; Magnusson, L.; Douis, H.; Kindblom, L.G.; Mertens, F. Myoepithelioma of bone with a novel FUSPOU 5F1 fusion gene. Histopathology 2014, 65, 917–922. [Google Scholar] [CrossRef] [PubMed]
- Inwards, C.Y.; Czerniak, B.; Dei Tos, A.P. Undifferentiated Pleomorphic Sarcoma. In WHO Classification of Tumours of Soft Tissue and Bone, 5th ed.; IARC Press: Lyon, France, 2020; pp. 480–482. [Google Scholar]
- Flanagan, A.M.; Larousserie, F.; O’Donnell, P.G.; Yoshida, A. Giant cell tumour of bone. In WHO Classification of Tumours of Soft Tissue and Bone, 5th ed.; IARC Press: Lyon, France, 2020; pp. 440–446. [Google Scholar]
- Inwards, C.Y.; Bloem, J.L.; Hogendoorn, P.C.W. Dedifferentiated Chondrosarcoma. In WHO Classification of Tumours of Soft Tissue and Bone, 5th ed.; IARC Press: Lyon, France, 2020; pp. 388–390. [Google Scholar]
- Kayser, D.; Walton, Z.; Bruner, E.; Chapin, R.W. Myxofibrosarcoma: First report of myxofibrosarcoma of bone arising at a bone infarct. Skelet. Radiol. 2017, 46, 1143–1147. [Google Scholar] [CrossRef] [PubMed]
- Le Loarer, F.; Pissaloux, D.; Coindre, J.M.; Tirode, F.; Vince, D.R. Update on Families of Round Cell Sarcomas Other Than Classical Ewing Sarcomas. Surg. Pathol. Clin. 2017, 10, 587–620. [Google Scholar] [CrossRef] [PubMed]
- Bridge, J.A. Undifferentiated Small Round Cell Sarcomas of Bone and Soft Tissue. In WHO Classification of Tumours of Soft Tissue and Bone, 5th ed.; IARC Press: Lyon, France, 2020; pp. 321–336. [Google Scholar]
- Sbaraglia, M.; Righi, A.; Gambarotti, M.; Dei Tos, A.P. Ewing sarcoma and Ewing-like tumors. Virchows Arch. 2020, 476, 109–119. [Google Scholar] [CrossRef] [PubMed]
- Gambarotti, M.; Benini, S.; Gamberi, G.; Cocchi, S.; Palmerini, E.; Sbaraglia, M.; Donati, D.; Picci, P.; Vanel, D.; Ferrari, S.; et al. CIC-DUX4 fusion-positive round-cell sarcomas of soft tissue and bone: A single-institution morphological and molecular analysis of seven cases. Histopathology 2016, 69, 624–634. [Google Scholar] [CrossRef]
- Ludwig, K.; Alaggio, R.; Zin, A.; Peron, M.; Guzzardo, V.; Benini, S.; Righi, A.; Gambarotti, M. BCOR-CCNB3 Undifferentiated Sarcoma-Does Immunohistochemistry Help in the Identification? Pediatr. Dev. Pathol. 2017, 20, 321–329. [Google Scholar] [CrossRef]
- Machado, I.; Navarro, L.; Pellin, A.; Navarro, S.; Agaimy, A.; Tardío, J.C.; Karseladze, A.; Petrov, S.; Scotlandi, K.; Picci, P.; et al. Defining Ewing and Ewing-like small round cell tumors (SRCT): The need for molecular techniques in their categorization and differential diagnosis. A study of 200 cases. Ann. Diagn. Pathol. 2016, 22, 25–32. [Google Scholar] [CrossRef] [PubMed]
- Nielsen, G.P.; Bovee, J.V.M.G. Angiosarcoma of Bone. In WHO Classification of Tumours of Soft Tissue and Bone, 5th ed.; IARC Press: Lyon, France, 2020; pp. 434–436. [Google Scholar]
- Bovee, J.V.M.G.; Antonescu, C.R.; Rosenber. Epithelioid Haemangioendothelioma of Bone. In WHO Classification of Tumours of Soft Tissue and Bone, 5th ed.; IARC Press: Lyon, France, 2020; pp. 431–433. [Google Scholar]
- Antonescu, C.R.; Le Loarer, F.; Mosquera, J.-M.; Sboner, A.; Zhang, L.; Chen, C.-L.; Chen, H.-W.; Pathan, N.; Krausz, T.; Dickson, B.C.; et al. Novel YAP1-TFE3 fusion defines a distinct subset of epithelioid hemangioendothelioma. Gene Chromosome Cancer 2013, 52, 775–784. [Google Scholar] [CrossRef]
- Antonescu, C.R.; Chen, H.W.; Zhang, L.; Sung, Y.S.; Panicek, D.; Agaram, N.P.; Dickson, B.C.; Krausz, T.; Fletcher, C.D. ZFP36-FOSB fusion defines a subset of epithelioid hemangioma with atypical features. Genes Chromosomes Cancer 2014, 53, 951–959. [Google Scholar] [CrossRef]
- Righi, A.; Gambarotti, M.; Picci, P.; Dei Tos, A.P.; Vanel, D. Primary pseudomyogenic haemangioendothelioma of bone: Report of two cases. Skelet. Radiol. 2015, 44, 727–731. [Google Scholar] [CrossRef]
- Inyang, A.; Mertens, F.; Puls, F.; Sumathi, V.; Inwards, C.; Folpe, A.; Lee, C.H.; Zhang, Y.; Symmans, P.; Rubin, B.; et al. Primary Pseudomyogenic Hemangioendothelioma of Bone. Am. J. Surg. Pathol. 2016, 40, 587–598. [Google Scholar] [CrossRef] [PubMed]
- Huang, S.C.; Zhang, L.; Sung, Y.S.; Chen, C.L.; Kao, Y.C.; Agaram, N.P.; Singer, S.; Tap, W.D.; D’Angelo, S.; Antonescu, C.R. Recurrent CIC Gene Abnormalities in Angiosarcomas: A Molecular Study of 120 Cases With Concurrent Investigation of PLCG1, KDR, MYC, and FLT4 Gene Alterations. Am. J. Surg. Pathol. 2016, 40, 645–655. [Google Scholar] [CrossRef] [PubMed]
- Hung, Y.P.; Fletcher, C.D.; Hornick, J.L. FOSB is a Useful Diagnostic Marker for Pseudomyogenic Hemangioendothelioma. Am. J. Surg. Pathol. 2017, 41, 596–606. [Google Scholar] [CrossRef] [PubMed]
- Errani, C.; Zhang, L.; Sung, Y.S.; Hajdu, M.; Singer, S.; Maki, R.G.; Healey, J.H.; Antonescu, C.R. A novel WWTR1-CAMTA1 gene fusion is a consistent abnormality in epithelioid hemangioendothelioma of different anatomic sites. Genes Chromosom Cancer 2011, 50, 644–653. [Google Scholar] [CrossRef]
- Van IJzendoorn, D.G.; de Jong, D.; Romagosa, C.; Picci, P.; Benassi, M.S.; Gambarotti, M.; Daugaard, S.; van de Sande, M.; Szuhai, K.; Bovée, J.V. Fusion events lead to truncation of FOS in epithelioid hemangioma of bone. Genes Chromosomes Cancer 2015, 54, 565–574. [Google Scholar] [CrossRef]
- Flucke, U.; Vogels, R.J.; de Saint Aubain Somerhausen, N.; Creytens, D.H.; Riedl, R.G.; van Gorp, J.M.; Milne, A.N.; Huysentruyt, C.J.; Verdijk, M.A.; van Asseldonk, M.M.; et al. Epithelioid Hemangioendothelioma: Clinicopathologic, immunhistochemical, and molecular genetic analysis of 39 cases. Diagn Pathol 2014, 9, 131. [Google Scholar] [CrossRef]
- Righi, A.; Sbaraglia, M.; Gambarotti, M.; Gibertoni, D.; Rovira, M.P.; Benini, S.; Errani, C.; Brenca, M.; Maestro, R.; Dei Tos, A.P. Primary Vascular Tumors of Bone: A Monoinstitutional Morphologic and Molecular Analysis of 427 Cases with Emphasis on Epithelioid Variants. Am. J. Surg. Pathol. 2020, 44, 1192–1203. [Google Scholar] [CrossRef]
- Heck RKJr Peabody, T.D.; Simon, M.A. Staging of primary malignancies of bone. CA Cancer J. Clin. 2006, 56, 366–375. [Google Scholar] [CrossRef]
- Völker, T.; Denecke, T.; Steffen, I.; Misch, D.; Schönberger, S.; Plotkin, M.; Ruf, J.; Furth, C.; Stöver, B.; Hautzel, H.; et al. Positron emission tomography for staging of pediatric sarcoma patients: Results of a prospective multicenter trial. J. Clin. Oncol. 2007, 25, 5435–5441. [Google Scholar] [CrossRef]
- Palmerini, E.; Colangeli, M.; Nanni, C.; Fanti, S.; Marchesi, E.; Paioli, A.; Picci, P.; Cambioli, S.; Donati, D.; Cevolani, L.; et al. The role of FDG PET/CT in patients treated with neoadjuvant chemotherapy for localized bone sarcomas. Eur. J. Nucl. Med. Mol. Imaging 2017, 44, 215–223. [Google Scholar] [CrossRef]
- Barnett, J.R.; Gikas, P.; Gerrand, C.; Briggs, T.W.; Saifuddin, A. The sensitivity, specificity, and diagnostic accuracy of whole-bone MRI for identifying skip metastases in appendicular osteosarcoma and Ewing sarcoma. Skelet. Radiol. 2020, 49, 913–919. [Google Scholar] [CrossRef] [PubMed]
- Malawer, M.M.; Link, P.; Donaldson, S.S. Sarcomas of Bone. In Cancer Principles and Practice of Oncology; DeVita, V.T., Jr., Hellman, S., Rosenberg, S.A., Eds.; Lippincott-Raven: Philadelphia, PA, USA, 1997; pp. 1789–1852. [Google Scholar]
- Picci, P.; Bacci, G.; Ferrari, S.; Mercuri, M. Neoadjuvant chemotherapy in malignant fibrous histiocytoma of bone and in osteosarcoma located in the extremities: Analogies and differences between the two tumors. Ann. Oncol. 1997, 8, 1107–1115. [Google Scholar] [CrossRef] [PubMed]
- Hall, P.R.K.S.; Bertulli, R.; Bielack, S.S.; Comandone, A.; Egerer, G.; Hansmeier, A.; Palmerini, E.; Smeland, S.; Ferrari, S. EURO-B.O.S.S.: Outcome in rare non-osteosarcoma bone sarcoma. Ann. Oncol. 2019, 30 (Suppl. 5), v683–v709. [Google Scholar]
- European Study in Bone Sarcoma Patients Over 40 Years (EUROBOSS). Available online: https://clinicaltrials.gov/ct2/show/NCT02986503 (accessed on 20 October 2020).
- Palmerini, E.; Picci, P.; Dei Tos, A.P.; Gambarotti, M.; Staals, E.; Paioli, A.; Righi, A.; Ferrari, S. Bone Synovial Sarcoma: A Retrospective Analysis of 25 Patients from A Single Institute. Cancer 2009, 115, 2988–2998. [Google Scholar] [CrossRef] [PubMed]
- Olson, N.J.; Linos, K. Dedifferentiated Solitary Fibrous Tumor: A Concise Review. Arch. Pathol. Lab. Med. 2018, 142, 761–766. [Google Scholar] [CrossRef]
- Jia, C.; Crim, J.; Evenski, A.; Layfield, L.J. Solitary fibrous tumor of bone developing lung metastases on long-term follow-up. Skelet. Radiol. 2020, 49, 1865–1871. [Google Scholar] [CrossRef]
- Suarez-Zamora, D.A.; Rodriguez-Urrego, P.A.; Soto-Montoya, C.; Rivero-Rapalino, O.; Palau-Lazaro, M.A. Malignant solitary fibrous tumor of the humerus: A case report of an extremely rare primary bone tumor. Int. J. Surg. Pathol. 2018, 26, 772–776. [Google Scholar] [CrossRef]
- Bouyer, B.; Guedj, N.; Lonjon, G.; Guigui, P. Reccurent solitary fibrous tumor ofthe thoracic spine. A case-report and literature review. Orthop. Traumatol. Surg. Res. 2012, 98, 850–853. [Google Scholar] [CrossRef]
- Antonescu, C.R.; Owosho, A.A.; Zhang, L.; Chen, S.; Deniz, K.; Huryn, J.M.; Kao, Y.C.; Huang, S.C.; Singer, S.; Tap, W.; et al. Sarcomas With CIC-rearrangements Are a Distinct Pathologic Entity with Aggressive Outcome: A Clinicopathologic and Molecular Study of 115 Cases. Am. J. Surg. Pathol. 2017, 41, 941–949. [Google Scholar] [CrossRef]
- Palmerini, E.; Gambarotti, M.; Ratan, R.; DuBois, S.; Nathenson, M.J.; Italiano, A.; de Alava, E.; Jones, R.L.; Provenzano, S.; Grignani, G.; et al. Graceful project: A global collaboration on CIC-DUX4, BCOR-CCNB3, high-grade undifferentiated round cell sarcoma (URCS). In Proceedings of the CTOS Annual Meeting 2019, Tokyo, Japan, 13–16 November 2019. [Google Scholar]
- Rosenberg, A.; Agulnik, M. Epithelioid Hemangioendothelioma: Update on Diagnosis and Treatment. Curr. Treat. Options Oncol. 2018, 19, 19. [Google Scholar] [CrossRef]
- Boriani, S.; Cecchinato, R.; Righi, A.; Bandiera, S.; Dei Tos, A.P.; Ghermandi, R.; Gasbarrini, A. Primary vascular bone tumors in the spine: A challenge for pathologists and spine oncology surgeons. Eur. Spine J. 2019, 28, 1502–1511. [Google Scholar] [CrossRef]
- Mark, R.J.; Poen, J.C.; Tran, L.M.; Fu, Y.S.; Juillard, G.F. Angiosarcoma. A report of 67 patients and a review of the literature. Cancer 1996, 77, 2400–2406. [Google Scholar] [CrossRef]
- Abraham, J.A.; Hornicek, F.J.; Kaufman, A.M.; Harmon, D.C.; Springfield, D.S.; Raskin, K.A.; Mankin, H.J.; Kirsch, D.G.; Rosenberg, A.E.; Nielsen, G.P.; et al. Treatment and outcome of 82 patients with angiosarcoma. Ann. Surg. Oncol. 2007, 14, 1953–1967. [Google Scholar] [CrossRef] [PubMed]
- Pülhorn, H.; Elliot, T.; Clark, J.; Gonzalvo, A. Case report: Angiosarcoma of the cervical spine. J. Clin. Neurosci. 2017, 45, 129–131. [Google Scholar] [CrossRef] [PubMed]
- Bernstock, J.D.; Shafaat, O.; Hardigan, A.; Fox, B.M.; Moore, L.S.; Chagoya, G.; Elsayed, G.; Gessler, F.; Ilyas, A.; Yamashita, D.; et al. Angiosarcoma of the Temporal Bone: Case Report and Review of the Literature. World Neurosurg. 2019, 130, 351–357. [Google Scholar] [CrossRef] [PubMed]
- Palmerini, E.; Leithner, A.; Windhager, R.; Gosheger, G.; Boye, K.; Laitinen, M.; Hardes, J.; Traub, F.; Jutte, P.; Willegger, M.; et al. Angiosarcoma of bone: A retrospective study of the European Musculoskeletal Oncology Society (EMSOS). Sci. Rep. 2020, 10, 10853. [Google Scholar] [CrossRef]
- Okimoto, R.A.; Wu, W.; Nanjo, S.; Olivas, V.; Lin, Y.K.; Ponce, R.K.; Oyama, R.; Kondo, T.; Bivona, T.G. CIC-DUX4 oncoprotein drives sarcoma metastasis and tumorigenesis via distinct regulatory programs. J. Clin. Investig. 2019, 129, 3401–3406. [Google Scholar] [CrossRef]
- Garralda, E.; Paz, K.; López-Casas, P.P.; Jones, S.; Katz, A.; Kann, L.M.; López-Rios, F.; Sarno, F.; Al-Shahrour, F.; Vasquez, D.; et al. Integrated next-generation sequencing and avatar mouse models for personalized cancer treatment. Clin. Cancer Res. 2014, 20, 2476–2484. [Google Scholar] [CrossRef]
- Nanni, P.; Landuzzi, L.; Manara, M.C.; Righi, A.; Nicoletti, G.; Cristalli, C.; Pasello, M.; Parra, A.; Carrabotta, M.; Ferracin, M.; et al. Bone sarcoma patient-derived xenografts are faithful and stable preclinical models for molecular and therapeutic investigations. Sci. Rep. 2019, 9, 12174. [Google Scholar] [CrossRef]
- Oyama, R.; Takahashi, M.; Kito, F.; Sakumoto, M.; Shiozawa, K.; Qiao, Z.; Yoshida, A.; Endo, M.; Kawai, A.; Kondo, T. Establishment and characterization of patient-derived xenograft and its cell line of primary leiomyosarcoma of bone. In Vitro Cell Dev. Biol. Anim. 2018, 54, 458–467. [Google Scholar] [CrossRef]
- Martin-Broto, J.; Stacchiotti, S.; Lopez-Pousa, A.; Redondo, A.; Bernabeu, D.; de Alava, E.; Casali, P.G.; Italiano, A.; Gutierrez, A.; Moura, D.S.; et al. Pazopanib for treatment of advanced malignant and dedifferentiated solitary fibrous tumour: A multicentre, single-arm, phase 2 trial. Lancet Oncol. 2019, 20, 134–144. [Google Scholar] [CrossRef]
- Davis, L.E.; Bolejack, V.; Ryan, C.W.; Ganjoo, K.N.; Loggers, E.T.; Chawla, S.; Agulnik, M.; Livingston, M.B.; Reed, D.; Keedy, V.; et al. Randomized Double-Blind Phase II Study of Regorafenib in Patients With Metastatic Osteosarcoma. J. Clin. Oncol. 2019, 37, 1424–1431. [Google Scholar] [CrossRef]
- Duffaud, F.; Mir, O.; Boudou-Rouquette, P.; Piperno-Neumann, S.; Penel, N.; Bompas, E.; Delcambre, C.; Kalbacher, E.; Italiano, A.; Collard, O.; et al. Efficacy and safety of regorafenib in adult patients with metastatic osteosarcoma: A non-comparative, randomised, double-blind, placebo-controlled, phase 2 study. Lancet Oncol. 2019, 20, 120–133. [Google Scholar] [CrossRef]
- Grignani, G.; Palmerini, E.; Ferraresi, V.; D’Ambrosio, L.; Bertulli, R.; Asaftei, S.D.; Tamburini, A.; Pignochino, Y.; Sangiolo, D.; Marchesi, E.; et al. Sorafenib and everolimus for patients with unresectable high-grade osteosarcoma progressing after standard treatment: A non-randomised phase 2 clinical trial. Lancet Oncol. 2015, 16, 98–107. [Google Scholar] [CrossRef]
- Gaspar, N.; Sirvent, J.B.; Venkatramani, R.; Longhi, A.; Lervat, C.; Casanova, M.; Aerts, I.; Bielack, S.S.; Entz-Werle, N.; Strauss, S.; et al. Phase I combination dose-finding/phase II expansion cohorts of lenvatinib + etoposide + ifosfamide in patients (pts) aged 2 to ≤ 25 years with relapsed/refractory (r/r) osteosarcoma. Ann. Oncol. 2019, 30, v688. [Google Scholar] [CrossRef]
- Xiu, J.Y.; Zhu, B.R.; Wang, Y.D.; Sun, X. The efficacy and safety of Apatinib mesylate in the treatment of metastatic osteosarcoma patients who progressed after standard therapy and the VEGFR2 gene polymorphism analysis. Int. J. Clin. Oncol. 2020, 25, 1195–1205. [Google Scholar]
- Longhi, A.; Paioli, A.; Palmerini, E.; Cesari, M.; Abate, M.E.; Setola, E.; Spinnato, P.; Donati, D.; Hompland, I.; Boye, K. Pazopanib in relapsed osteosarcoma patients: Report on 15 cases. Acta Oncol. 2019, 58, 124–128. [Google Scholar] [CrossRef]


Publisher’s Note: MDPI stays neutral with regard to jurisdictional claims in published maps and institutional affiliations. |
© 2020 by the authors. Licensee MDPI, Basel, Switzerland. This article is an open access article distributed under the terms and conditions of the Creative Commons Attribution (CC BY) license (http://creativecommons.org/licenses/by/4.0/).
Share and Cite
Palmerini, E.; Righi, A.; Staals, E.L. Rare Primary Malignant Bone Sarcomas. Cancers 2020, 12, 3092. https://doi.org/10.3390/cancers12113092
Palmerini E, Righi A, Staals EL. Rare Primary Malignant Bone Sarcomas. Cancers. 2020; 12(11):3092. https://doi.org/10.3390/cancers12113092
Chicago/Turabian StylePalmerini, Emanuela, Alberto Righi, and Eric L. Staals. 2020. "Rare Primary Malignant Bone Sarcomas" Cancers 12, no. 11: 3092. https://doi.org/10.3390/cancers12113092
APA StylePalmerini, E., Righi, A., & Staals, E. L. (2020). Rare Primary Malignant Bone Sarcomas. Cancers, 12(11), 3092. https://doi.org/10.3390/cancers12113092

