CT-Based Radiomics Analysis to Predict Malignancy in Patients with Intraductal Papillary Mucinous Neoplasm (IPMN) of the Pancreas
Simple Summary
Abstract
1. Introduction
2. Materials and Methods
2.1. Patients
2.2. Training Cohort and External Validation Test Cohort
2.3. Surgical Indications
2.4. CECT Protocols
2.5. Histopathological Data
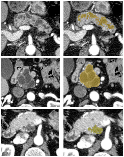
2.6. Segmentation
2.7. Radiomics Feature Extraction Methodology
2.8. Statistical Analysis and Machine Learning Modeling
2.8.1. Univariate Analysis
2.8.2. Unsupervised Clustering
2.8.3. Multivariate Modeling
3. Results
3.1. Study Population
3.2. Univariate Analysis
3.3. Unsupervised Clustering
3.4. Multivariate Analysis
3.4.1. Whole Population
3.4.2. Subgroup of BD-IPMNs
4. Discussion
5. Conclusions
Supplementary Materials
Author Contributions
Funding
Acknowledgments
Conflicts of Interest
References
- Laffan, T.A.; Horton, K.M.; Klein, A.P.; Berlanstein, B.; Siegelman, S.S.; Kawamoto, S.; Johnson, P.T.; Fishman, E.K.; Hruban, R.H. Prevalence of Unsuspected Pancreatic Cysts on MDCT. AJR Am. J. Roentgenol. 2008, 191, 802–807. [Google Scholar] [CrossRef]
- Lee, K.S.; Sekhar, A.; Rofsky, N.M.; Pedrosa, I. Prevalence of Incidental Pancreatic Cysts in the Adult Population on MR Imaging. Am. J. Gastroenterol. 2010, 105, 2079–2084. [Google Scholar] [CrossRef]
- Yamaguchi, K.; Kanemitsu, S.; Hatori, T.; Maguchi, H.; Shimizu, Y.; Tada, M.; Nakagohri, T.; Hanada, K.; Osanai, M.; Noda, Y.; et al. Pancreatic ductal adenocarcinoma derived from IPMN and pancreatic ductal adenocarcinoma concomitant with IPMN. Pancreas 2011, 40, 571–580. [Google Scholar] [CrossRef]
- Kanno, A.; Satoh, K.; Hirota, M.; Hamada, S.; Umino, J.; Itoh, H.; Masamune, A.; Asakura, T.; Shimosegawa, T. Prediction of invasive carcinoma in branch type intraductal papillary mucinous neoplasms of the pancreas. J. Gastroenterol. 2010, 45, 952–959. [Google Scholar] [CrossRef]
- Sahora, K.; Crippa, S.; Zamboni, G.; Ferrone, C.; Warshaw, A.L.; Lillemoe, K.; Mino-Kenudson, M.; Falconi, M.; Fernandez-del Castillo, C. Intraductal papillary mucinous neoplasms of the pancreas with concurrent pancreatic and periampullary neoplasms. Eur. J. Surg. Oncol. 2016, 42, 197–204. [Google Scholar] [CrossRef]
- Ideno, N.; Ohtsuka, T.; Kono, H.; Fujiwara, K.; Oda, Y.; Aishima, S.; Ito, T.; Ishigami, K.; Tokunaga, S.; Ohuchida, K.; et al. Intraductal papillary mucinous neoplasms of the pancreas with distinct pancreatic ductal adenocarcinomas are frequently of gastric subtype. Ann. Surg. 2013, 258, 141–151. [Google Scholar] [CrossRef]
- Bosman, F.T.; Carneiro, F.; Hruban, R.H.; Theise, N.D. WHO classification of tumours of the digestive system. WHO Classif. Tumours Dig. Syst. 2010, 76, 182–188. [Google Scholar]
- Basturk, O.; Hong, S.-M.; Wood, L.D.; Adsay, N.V.; Albores-Saavedra, J.; Biankin, A.V.; Brosens, L.A.A.; Fukushima, N.; Goggins, M.; Hruban, R.H.; et al. A Revised Classification System and Recommendations from the Baltimore Consensus Meeting for Neoplastic Precursor Lesions in the Pancreas. Am. J. Surg. Pathol. 2015, 39, 1730–1741. [Google Scholar] [CrossRef] [PubMed]
- Scheiman, J.M.; Hwang, J.H.; Moayyedi, P. American gastroenterological association technical review on the diagnosis and management of asymptomatic neoplastic pancreatic cysts. Gastroenterology 2015, 148, 824–848.e22. [Google Scholar] [CrossRef]
- Hines, O.J.; Reber, H.A. Pancreatic surgery. Curr. Opin. Gastroenterol. 2008, 24, 603–611. [Google Scholar] [CrossRef] [PubMed]
- Kang, C.M.; Lee, J.H. Pathophysiology after pancreaticoduodenectomy. World J. Gastroenterol. 2015, 21, 5794–5804. [Google Scholar] [CrossRef]
- Maeda, H.; Hanazaki, K. Pancreatogenic diabetes after pancreatic resection. Pancreatology 2011, 11, 268–276. [Google Scholar] [CrossRef]
- European Study Group on Cystic Tumours of the Pancreas European evidence-based guidelines on pancreatic cystic neoplasms. Gut 2018, 67, 789–804. [CrossRef]
- Tanaka, M.; Fernández-del Castillo, C.; Adsay, V.; Chari, S.; Falconi, M.; Jang, J.-Y.; Kimura, W.; Levy, P.; Pitman, M.B.; Schmidt, C.M.; et al. International consensus guidelines 2012 for the management of IPMN and MCN of the pancreas. Pancreatology 2012, 12, 183–197. [Google Scholar] [CrossRef]
- Tanaka, M.; Fernández-Del Castillo, C.; Kamisawa, T.; Jang, J.Y.; Levy, P.; Ohtsuka, T.; Salvia, R.; Shimizu, Y.; Tada, M.; Wolfgang, C.L. Revisions of international consensus Fukuoka guidelines for the management of IPMN of the pancreas. Pancreatology 2017, 17, 738–753. [Google Scholar] [CrossRef]
- Sharib, J.M.; Fonseca, A.L.; Swords, D.S.; Jaradeh, K.; Bracci, P.M.; Firpo, M.A.; Hatcher, S.; Scaife, C.L.; Wang, H.; Kim, G.E.; et al. Surgical overtreatment of pancreatic intraductal papillary mucinous neoplasms: Do the 2017 International Consensus Guidelines improve clinical decision making? Surgery 2018, 164, 1178–1184. [Google Scholar] [CrossRef]
- Hasan, A.; Visrodia, K.; Farrell, J.J.; Gonda, T.A. Overview and comparison of guidelines for management of pancreatic cystic neoplasms. World J. Gastroenterol. 2019, 25, 4405–4413. [Google Scholar] [CrossRef]
- Wilson, G.C.; Maithel, S.K.; Bentrem, D.; Abbott, D.E.; Weber, S.; Cho, C.; Martin, R.C.G.; Scoggins, C.R.; Kim, H.J.; Merchant, N.B.; et al. Are the Current Guidelines for the Surgical Management of Intraductal Papillary Mucinous Neoplasms of the Pancreas Adequate? A Multi-Institutional Study. J. Am. Coll. Surg. 2017, 224, 461–469. [Google Scholar] [CrossRef]
- Del Chiaro, M.; Verbeke, C.; Salvia, R.; Klöppel, G.; Werner, J.; McKay, C.; Friess, H.; Manfredi, R.; Van Cutsem, E.; Löhr, M.; et al. European experts consensus statement on cystic tumours of the pancreas. Dig. Liver Dis. 2013, 45, 703–711. [Google Scholar] [CrossRef]
- Vege, S.S.; Ziring, B.; Jain, R.; Moayyedi, P.; Adams, M.A.; Dorn, S.D.; Dudley-Brown, S.L.; Flamm, S.L.; Gellad, Z.F.; Gruss, C.B.; et al. American Gastroenterological Association Institute Guideline on the Diagnosis and Management of Asymptomatic Neoplastic Pancreatic Cysts. Gastroenterology 2015, 148, 819–822. [Google Scholar] [CrossRef]
- Lekkerkerker, S.J.; Besselink, M.G.; Busch, O.R.; Verheij, J.; Engelbrecht, M.R.; Rauws, E.A.; Fockens, P.; van Hooft, J.E. Comparing 3 guidelines on the management of surgically removed pancreatic cysts with regard to pathological outcome. Gastrointest. Endosc. 2017, 85, 1025–1031. [Google Scholar] [CrossRef] [PubMed]
- Gillies, R.J.; Kinahan, P.E.; Hricak, H. Radiomics: Images Are More than Pictures, They Are Data. Radiology 2016, 278, 563–577. [Google Scholar] [CrossRef] [PubMed]
- Lambin, P.; Leijenaar, R.T.H.; Deist, T.M.; Peerlings, J.; de Jong, E.E.C.; van Timmeren, J.; Sanduleanu, S.; Larue, R.T.H.M.; Even, A.J.G.; Jochems, A.; et al. Radiomics: The bridge between medical imaging and personalized medicine. Nat. Rev. Clin. Oncol. 2017, 14, 749–762. [Google Scholar] [CrossRef] [PubMed]
- Gatenby, R.A.; Grove, O.; Gillies, R.J. Quantitative imaging in cancer evolution and ecology. Radiology 2013, 269, 8–15. [Google Scholar] [CrossRef]
- Aerts, H.J.W.L.; Velazquez, E.R.; Leijenaar, R.T.H.; Parmar, C.; Grossmann, P.; Carvalho, S.; Cavalho, S.; Bussink, J.; Monshouwer, R.; Haibe-Kains, B.; et al. Decoding tumour phenotype by noninvasive imaging using a quantitative radiomics approach. Nat. Commun. 2014, 5, 4006. [Google Scholar] [CrossRef]
- Polk, S.L.; Choi, J.W.; McGettigan, M.J.; Rose, T.; Ahmed, A.; Kim, J.; Jiang, K.; Balagurunathan, Y.; Qi, J.; Farah, P.T.; et al. Multiphase computed tomography radiomics of pancreatic intraductal papillary mucinous neoplasms to predict malignancy. World J. Gastroenterol. 2020, 26, 3458–3471. [Google Scholar] [CrossRef]
- Permuth, J.B.; Choi, J.; Balarunathan, Y.; Kim, J.; Chen, D.-T.; Chen, L.; Orcutt, S.; Doepker, M.P.; Gage, K.; Zhang, G.; et al. Combining radiomic features with a miRNA classifier may improve prediction of malignant pathology for pancreatic intraductal papillary mucinous neoplasms. Oncotarget 2016, 7, 85785–85797. [Google Scholar] [CrossRef]
- Harrington, K.A.; Williams, T.L.; Lawrence, S.A.; Chakraborty, J.; Al Efishat, M.A.; Attiyeh, M.A.; Askan, G.; Chou, Y.; Pulvirenti, A.; McIntyre, C.A.; et al. Multimodal radiomics and cyst fluid inflammatory markers model to predict preoperative risk in intraductal papillary mucinous neoplasms. J. Med. Imaging (Bellingham) 2020, 7, 031507. [Google Scholar] [CrossRef]
- Hoffman, D.H.; Ream, J.M.; Hajdu, C.H.; Rosenkrantz, A.B. Utility of whole-lesion ADC histogram metrics for assessing the malignant potential of pancreatic intraductal papillary mucinous neoplasms (IPMNs). Abdom. Radiol. (NY) 2017, 42, 1222–1228. [Google Scholar] [CrossRef]
- Chakraborty, J.; Midya, A.; Gazit, L.; Attiyeh, M.; Langdon-Embry, L.; Allen, P.J.; Do, R.K.G.; Simpson, A.L. CT radiomics to predict high-risk intraductal papillary mucinous neoplasms of the pancreas. Med. Phys. 2018, 45, 5019–5029. [Google Scholar] [CrossRef]
- Attiyeh, M.A.; Chakraborty, J.; Gazit, L.; Langdon-Embry, L.; Gonen, M.; Balachandran, V.P.; D’Angelica, M.I.; DeMatteo, R.P.; Jarnagin, W.R.; Kingham, T.P.; et al. Preoperative risk prediction for intraductal papillary mucinous neoplasms by quantitative CT image analysis. HPB Oxf. 2019, 21, 212–218. [Google Scholar] [CrossRef]
- Hanania, A.N.; Bantis, L.E.; Feng, Z.; Wang, H.; Tamm, E.P.; Katz, M.H.; Maitra, A.; Koay, E.J. Quantitative imaging to evaluate malignant potential of IPMNs. Oncotarget 2016, 7, 85776–85784. [Google Scholar] [CrossRef]
- Nagtegaal, I.D.; Odze, R.D.; Klimstra, D.; Paradis, V.; Rugge, M.; Schirmacher, P.; Washington, K.M.; Carneiro, F.; Cree, I.A. The 2019 WHO classification of tumours of the digestive system. Histopathology 2020, 76, 182–188. [Google Scholar] [CrossRef] [PubMed]
- MedSeg—Free Medical Segmentation Online. Available online: https://www.medseg.ai/ (accessed on 13 September 2020).
- Keogan, M.T.; McDermott, V.G.; Paulson, E.K.; Sheafor, D.H.; Frederick, M.G.; de Long, D.M.; Nelson, R.C. Pancreatic malignancy: Effect of dual-phase helical CT in tumor detection and vascular opacification. Radiology 1997, 205, 513–518. [Google Scholar] [CrossRef]
- Boland, G.W.; O’Malley, M.E.; Saez, M.; Fernandez-del-Castillo, C.; Warshaw, A.L.; Mueller, P.R. Pancreatic-phase versus portal vein-phase helical CT of the pancreas: Optimal temporal window for evaluation of pancreatic adenocarcinoma. Am. J. Roentgenol. 1999, 172, 605–608. [Google Scholar] [CrossRef] [PubMed]
- Wagner, M.; Vullierme, M.P.; Rebours, V.; Ronot, M.; Ruszniewski, P.; Vilgrain, V. Cystic form of paraduodenal pancreatitis (cystic dystrophy in heterotopic pancreas (CDHP)): A potential link with minor papilla abnormalities? A study in a large series. Eur. Radiol. 2016, 26, 199–205. [Google Scholar] [CrossRef]
- Fletcher, J.G.; Wiersema, M.J.; Farrell, M.A.; Fidler, J.L.; Burgart, L.J.; Koyama, T.; Johnson, C.D.; Stephens, D.H.; Ward, E.M.; Harmsen, W.S. Pancreatic Malignancy: Value of Arterial, Pancreatic, and Hepatic Phase Imaging with Multi–Detector Row CT. Radiology 2003, 229, 81–90. [Google Scholar] [CrossRef]
- van Griethuysen, J.J.M.; Fedorov, A.; Parmar, C.; Hosny, A.; Aucoin, N.; Narayan, V.; Beets-Tan, R.G.H.; Fillion-Robin, J.-C.; Pieper, S.; Aerts, H.J.W.L. Computational Radiomics System to Decode the Radiographic Phenotype. Cancer Res. 2017, 77, e104–e107. [Google Scholar] [CrossRef] [PubMed]
- Radiomics/Pyradiomics. Available online: https://github.com/Radiomics/pyradiomics (accessed on 13 September 2020).
- Zwanenburg, A.; Leger, S.; Vallières, M.; Löck, S. Image biomarker standardisation initiative. Radiology 2020, 295, 328–338. [Google Scholar] [CrossRef]
- Leijenaar, R.T.H.; Nalbantov, G.; Carvalho, S.; van Elmpt, W.J.C.; Troost, E.G.C.; Boellaard, R.; Aerts, H.J.W.L.; Gillies, R.J.; Lambin, P. The effect of SUV discretization in quantitative FDG-PET Radiomics: The need for standardized methodology in tumor texture analysis. Sci. Rep. 2015, 5, 11075. [Google Scholar] [CrossRef]
- Wickham, H. ggplot2: Elegant Graphics for Data Analysis; Springer: Berlin/Heidelberg, Germany, 2016; ISBN 978-3-319-24277-4. [Google Scholar]
- R: The R Project for Statistical Computing. Available online: https://www.r-project.org/ (accessed on 13 September 2020).
- A Short Introduction to the Caret Package. Available online: https://cran.r-project.org/web/packages/caret/vignettes/caret.html (accessed on 13 September 2020).
- Robin, X.; Turck, N.; Hainard, A.; Tiberti, N.; Lisacek, F.; Sanchez, J.-C.; Müller, M. pROC: An open-source package for R and S+ to analyze and compare ROC curves. BMC Bioinform. 2011, 12, 77. [Google Scholar] [CrossRef] [PubMed]
- GGPUBR: “ggplot2” Based Publication Ready Plots Version 0.4.0 from CRAN. Available online: https://CRAN.R-project.org/package=ggpubr (accessed on 13 September 2020).
- Pheatmap: Pretty Heatmaps Version 1.0.12 from CRAN. Available online: https://rdrr.io/cran/pheatmap/ (accessed on 13 September 2020).
- Galili, T. dendextend: An R package for visualizing, adjusting and comparing trees of hierarchical clustering. Bioinformatics 2015, 31, 3718–3720. [Google Scholar] [CrossRef] [PubMed]
- RStudio Open Source & Professional Software for Data Science Teams. Available online: https://rstudio.com/ (accessed on 13 September 2020).
- Wu, J.; Wang, Y.; Li, Z.; Miao, H. Accuracy of Fukuoka and American Gastroenterological Association Guidelines for Predicting Advanced Neoplasia in Pancreatic Cyst Neoplasm: A Meta-Analysis. Ann. Surg. Oncol. 2019, 26, 4522–4536. [Google Scholar] [CrossRef] [PubMed]
- Lee, J.E.; Choi, S.-Y.; Min, J.H.; Yi, B.H.; Lee, M.H.; Kim, S.S.; Hwang, J.A.; Kim, J.H. Determining Malignant Potential of Intraductal Papillary Mucinous Neoplasm of the Pancreas: CT versus MRI by Using Revised 2017 International Consensus Guidelines. Radiology 2019, 293, 134–143. [Google Scholar] [CrossRef]
- Jung, W.; Park, T.; Kim, Y.; Park, H.; Han, Y.; He, J.; Wolfgang, C.L.; Blair, A.; Rashid, M.F.; Kluger, M.D.; et al. Validation of a nomogram to predict the risk of cancer in patients with intraductal papillary mucinous neoplasm and main duct dilatation of 10 mm or less. Br. J. Surg. 2019, 106, 1829–1836. [Google Scholar] [CrossRef] [PubMed]
- Campbell, N.M.; Katz, S.S.; Escalon, J.G.; Do, R.K. Imaging patterns of intraductal papillary mucinous neoplasms of the pancreas: An illustrated discussion of the International Consensus Guidelines for the Management of IPMN. Abdom. Imaging 2015, 40, 663–677. [Google Scholar] [CrossRef] [PubMed]
- Kim, K.; Park, S.; Pyo, J.; Yoon, S.H.; Byun, J.H.; Lee, M.-S.; Krajewski, K.; Ramaiya, N. Imaging features to distinguish malignant and benign branch-duct type intraductal papillary mucinous neoplasms of the pancreas: A meta-analysis. Ann. Surg. 2014, 259, 72–81. [Google Scholar] [CrossRef]
- Seufferlein, T.; Ettrich, T.J. Treatment of pancreatic cancer—neoadjuvant treatment in resectable pancreatic cancer (PDAC). Transl. Gastroenterol. Hepatol. 2019, 4, 21. [Google Scholar] [CrossRef]
- Park, J.E.; Park, S.Y.; Kim, H.J.; Kim, H.S. Reproducibility and Generalizability in Radiomics Modeling: Possible Strategies in Radiologic and Statistical Perspectives. Korean J. Radiol. 2019, 20, 1124–1137. [Google Scholar] [CrossRef]
- Sainani, N.I.; Saokar, A.; Deshpande, V.; Fernández-del Castillo, C.; Hahn, P.; Sahani, D.V. Comparative performance of MDCT and MRI with MR cholangiopancreatography in characterizing small pancreatic cysts. AJR Am. J. Roentgenol. 2009, 193, 722–731. [Google Scholar] [CrossRef]
- Visser, B.C.; Yeh, B.M.; Qayyum, A.; Way, L.W.; McCulloch, C.E.; Coakley, F.V. Characterization of Cystic Pancreatic Masses: Relative Accuracy of CT and MRI. Am. J. Roentgenol. 2007, 189, 648–656. [Google Scholar] [CrossRef] [PubMed]
- Choi, S.-Y.; Kim, J.H.; Yu, M.H.; Eun, H.W.; Lee, H.K.; Han, J.K. Diagnostic performance and imaging features for predicting the malignant potential of intraductal papillary mucinous neoplasm of the pancreas: A comparison of EUS, contrast-enhanced CT and MRI. Abdom. Radiol. (NY) 2017, 42, 1449–1458. [Google Scholar] [CrossRef] [PubMed]
- Kang, H.-J.; Lee, J.M.; Joo, I.; Hur, B.Y.; Jeon, J.H.; Jang, J.-Y.; Lee, K.; Ryu, J.K.; Han, J.K.; Choi, B.I. Assessment of Malignant Potential in Intraductal Papillary Mucinous Neoplasms of the Pancreas: Comparison between Multidetector CT and MR Imaging with MR Cholangiopancreatography. Radiology 2015, 279, 128–139. [Google Scholar] [CrossRef]
- Parmar, C.; Velazquez, E.R.; Leijenaar, R.; Jermoumi, M.; Carvalho, S.; Mak, R.H.; Mitra, S.; Shankar, B.U.; Kikinis, R.; Haibe-Kains, B.; et al. Robust Radiomics Feature Quantification Using Semiautomatic Volumetric Segmentation. PLoS ONE 2014, 9, e102107. [Google Scholar] [CrossRef]





| Study Cohort | ||
|---|---|---|
| Discovery CT750 HD Lightspeed | Discovery Lightspeed VCT | |
| Number of patients | 62 | 222 |
| Number of channels | 64 | 64 |
| Tube current | Modulated tube current | Modulated tube current |
| Tube voltage | 120 kV | 120 kV |
| Gantry rotation time | 0.5 s | 0.5 s |
| Helical pitch | 0.60–1.10 | 0.60–1.10 |
| Reconstruction algorithm | FBP (Filtered Back Projection) | FBP (Filtered Back Projection) |
| Slice thickness | 0.625–2.5 mm | 0.625–2.5 mm |
| Slice interval | 1.5–2 mm | 1.5–2 mm |
| Matrix size | 512 × 512 | 512 × 512 |
| Kernel | B20f | B20f |
| Pancreatic phase | ||
| Pitch | 0.98 | 0.98 |
| Delay after injection | 45 s | 45 s |
| Portal phase | ||
| Pitch | 0.98 | 0.98 |
| Delay after injection | 80 s | 80 s |
| Contrast agent | 350 mg/mL (non-ionic) | 350 mg/mL (non-ionic) |
| Volume | 2 mL/kg | 2 mL/kg |
| Rate | 3 mL/s | 3 mL/s |
| Training Cohort (296) | External Validation Cohort (112) | p | |||
|---|---|---|---|---|---|
| Category | Benign (136) (46%) | Malignant (160) (54%) | Benign (45) (40%) | Malignant (67) (60%) | 0.30 |
| Age (mean, range) | 61.8 (30–81) | 65.2 (41–82) | 60.5 (38–77) | 66.0 (36–84) | 0.47 |
| Gender | 0.79 | ||||
| Male | 57 (42%) | 95 (59%) | 23 (51%) | 35 (52%) | |
| Female | 79 (58%) | 65 (41%) | 22 (49%) | 32 (48%) | |
| Surgical indications | |||||
| Clinical features | |||||
| Jaundice | 0 (0%) | 10 (6%) | 1 (2%) | 7 (10%) | 0.10 |
| Acute pancreatitis | 52 (38%) | 28 (18%) | 14 (31%) | 9 (13%) | 0.18 |
| Laboratory tests | |||||
| CA 19.9 ≥ 37 UI/mL | 3 (2%) | 5 (3%) | 0 (0%) | 4 (6%) | 0.64 |
| Radiological features | |||||
| WF/HRS | 63 (46%) | 103 (64%) | 26 (58%) | 53 (79%) | 0.008 |
| Others 1 | 73 (54%) | 101 (63%) | 30 (67%) | 41 (61%) | 0.39 |
| CECT phase | 2.0 × 10−6 | ||||
| Pancreatic phase | 118 (87%) | 144 (90%) | 33 (73%) | 44 (66%) | |
| Portal phase | 18 (13%) | 16 (10%) | 12 (27%) | 23 (34%) | |
| Days between CECT and surgical resection (mean, range) | 57.4 (1–180) | 51.0 (1–163) | 98.3 (5–180) | 72.8 (12–161) | 6.0 × 10−8 |
| Type of surgery | 0.09 | ||||
| Duodeno-pancreatectomy | 62 (46%) | 98 (61%) | 15 (33%) | 38 (57%) | |
| Left pancreatectomy | 30 (22%) | 38 (24%) | 13 (29%) | 22 (33%) | |
| Other | 44 (32%) | 24 (15%) | 17 (38%) | 7 (10%) | |
| Anatomical classification | 0.52 | ||||
| Main-Duct IPMN | 3 (2%) | 9 (6%) | 1 (2%) | 3 (4%) | |
| Branch-Duct IPMN | 73 (54%) | 31 (19%) | 19 (42%) | 14 (21%) | |
| Mixed-Type IPMN | 60 (44%) | 120 (75%) | 25 (56%) | 50 (75%) | |
| Grade dysplasia | Low grade (136) | High grade (92) Invasive (68) | Low grade (45) | High grade (36) Invasive (31) | 0.58 |
| Phenotype classification (from 2012) | 0.50 | ||||
| Gastric | 44 (32%) | 37 (23%) | 16 (36%) | 19 (28%) | |
| Intestinal | 25 (18%) | 50 (31%) | 6 (13%) | 22 (33%) | |
| Pancreatobiliary | 1 (1%) | 10 (6%) | 1 (2%) | 3 (4%) | |
| Oncocytic | 0 | 1 (1%) | 0 (0%) | 2 (3%) | |
| Lymphadenopathy on specimen | 0 | 29 (18%) | 0 (0%) | 10 (15%) | 0.79 |
| Features | Training Cohort | External Validation Cohort | |||||||
|---|---|---|---|---|---|---|---|---|---|
| p-Value adj. | AUC | Cut-Off | Accuracy | Sensitivity | Specificity | Accuracy | Sensitivity | Specificity | |
| First-order Energy | <0.001 | 0.751 | 19,284,480.500 | 0.693 | 0.652 | 0.744 | 0.577 | 0.479 | 0.702 |
| First-order Total Energy | <0.001 | 0.750 | 24,105,600.625 | 0.690 | 0.646 | 0.744 | 0.615 | 0.466 | 0.807 |
| GLDM Small Dependence Low Gray Level Emphasis | <0.001 | 0.747 | 0.002 | 0.711 | 0.753 | 0.659 | 0.538 | 0.411 | 0.702 |
| GLSZM Small Area Low
Gray Level Emphasis | <0.001 | 0.742 | 0.002 | 0.711 | 0.785 | 0.620 | 0.538 | 0.438 | 0.667 |
| GLRLM Short Run Low Gray Level Emphasis | <0.001 | 0.740 | 0.002 | 0.700 | 0.734 | 0.659 | 0.500 | 0.356 | 0.684 |
| GLRLM Low Gray Level Run Emphasis | <0.001 | 0.739 | 0.002 | 0.704 | 0.734 | 0.667 | 0.508 | 0.370 | 0.684 |
| GLSZM Low Gray Level Zone Emphasis | <0.001 | 0.739 | 0.003 | 0.711 | 0.804 | 0.597 | 0.531 | 0.438 | 0.649 |
| GLDM Low Gray Level Emphasis | <0.001 | 0.738 | 0.002 | 0.704 | 0.734 | 0.667 | 0.508 | 0.370 | 0.684 |
| GLRLM Long Run Low Gray Level Emphasis | <0.001 | 0.733 | 0.003 | 0.697 | 0.766 | 0.612 | 0.523 | 0.425 | 0.649 |
| GLCM Idmn | <0.001 | 0.730 | 0.974 | 0.693 | 0.696 | 0.690 | 0.500 | 0.562 | 0.421 |
| GLCM Idn | <0.001 | 0.728 | 0.891 | 0.686 | 0.671 | 0.705 | 0.500 | 0.548 | 0.439 |
| Radiomics Only | Radiomics + Surgical Indication Variables | |||
|---|---|---|---|---|
| CV Mean (95% CI) | External Validation | CV Mean (95% CI) | External Validation | |
| AUC | 0.84 (0.79–0.88) | 0.71 | 0.83 (0.78–0.87) | 0.75 |
| Acc | 0.78 (0.77–0.80) | 0.64 | 0.76 (0.75–0.77) | 0.67 |
| Se | 0.82 (0.81–0.83) | 0.69 | 0.80 (0.79–0.81) | 0.69 |
| Spe | 0.74 (0.71–0.77) | 0.57 | 0.72 (0.69–0.74) | 0.65 |
| PPV | 0.80 (0.78–0.82) | 0.68 | 0.78 (0.77–0.80) | 0.72 |
| NPV | 0.77 (0.75–0.78) | 0.58 | 0.75 (0.74–0.76) | 0.61 |
| MCC | 0.56 (0.53–0.59) | 0.27 | 0.52 (0.50–0.54) | 0.34 |
| Radiomics Only | Radiomics + Surgical Indication Variables | |||
|---|---|---|---|---|
| CV Mean [(95% CI) | External Validation | CV Mean (95% CI) | External Validation | |
| AUC | 0.73 (0.62–0.83) | 0.55 | 0.73 (0.63–0.84) | 0.57 |
| Acc | 0.68 (0.61–0.74) | 0.59 | 0.65 (0.59–0.71) | 0.59 |
| Se | 0.65 (0.57–0.73) | 0.36 | 0.72 (0.64–0.79) | 0.50 |
| Spe | 0.69 (0.62–0.76) | 0.72 | 0.63 (0.57–0.69) | 0.64 |
| PPV | 0.54 (0.44–0.63) | 0.42 | 0.48 (0.40–0.55) | 0.44 |
| NPV | 0.81 (0.76–0.85) | 0.67 | 0.83 (0.78–0.88) | 0.70 |
| MCC | 0.34 (0.21–0.48) | 0.08 | 0.33 (0.20–0.45) | 0.14 |
Publisher’s Note: MDPI stays neutral with regard to jurisdictional claims in published maps and institutional affiliations. |
© 2020 by the authors. Licensee MDPI, Basel, Switzerland. This article is an open access article distributed under the terms and conditions of the Creative Commons Attribution (CC BY) license (http://creativecommons.org/licenses/by/4.0/).
Share and Cite
Tobaly, D.; Santinha, J.; Sartoris, R.; Dioguardi Burgio, M.; Matos, C.; Cros, J.; Couvelard, A.; Rebours, V.; Sauvanet, A.; Ronot, M.; et al. CT-Based Radiomics Analysis to Predict Malignancy in Patients with Intraductal Papillary Mucinous Neoplasm (IPMN) of the Pancreas. Cancers 2020, 12, 3089. https://doi.org/10.3390/cancers12113089
Tobaly D, Santinha J, Sartoris R, Dioguardi Burgio M, Matos C, Cros J, Couvelard A, Rebours V, Sauvanet A, Ronot M, et al. CT-Based Radiomics Analysis to Predict Malignancy in Patients with Intraductal Papillary Mucinous Neoplasm (IPMN) of the Pancreas. Cancers. 2020; 12(11):3089. https://doi.org/10.3390/cancers12113089
Chicago/Turabian StyleTobaly, David, Joao Santinha, Riccardo Sartoris, Marco Dioguardi Burgio, Celso Matos, Jérôme Cros, Anne Couvelard, Vinciane Rebours, Alain Sauvanet, Maxime Ronot, and et al. 2020. "CT-Based Radiomics Analysis to Predict Malignancy in Patients with Intraductal Papillary Mucinous Neoplasm (IPMN) of the Pancreas" Cancers 12, no. 11: 3089. https://doi.org/10.3390/cancers12113089
APA StyleTobaly, D., Santinha, J., Sartoris, R., Dioguardi Burgio, M., Matos, C., Cros, J., Couvelard, A., Rebours, V., Sauvanet, A., Ronot, M., Papanikolaou, N., & Vilgrain, V. (2020). CT-Based Radiomics Analysis to Predict Malignancy in Patients with Intraductal Papillary Mucinous Neoplasm (IPMN) of the Pancreas. Cancers, 12(11), 3089. https://doi.org/10.3390/cancers12113089

