ESC, ALK, HOT and LOT: Three Letter Acronyms of Emerging Renal Entities Knocking on the Door of the WHO Classification
Abstract
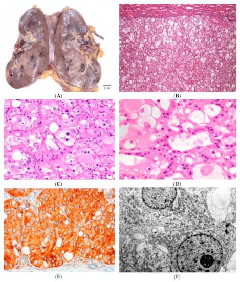
1. Eosinophilic Solid and Cystic Renal Cell Carcinoma (ESC RCC)
1.1. Clinical Features
1.2. Pathological Features
1.2.1. Gross Features
1.2.2. Microscopic Features
1.2.3. Immunohistochemical and Molecular Features
1.3. Differential Diagnosis
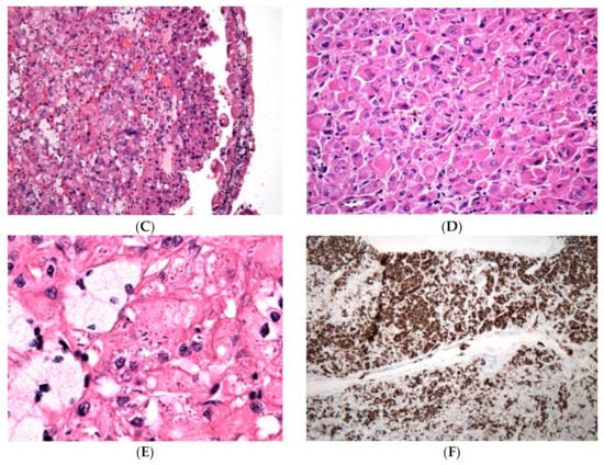
2. ALK Rearrangement-Associated RCC (ALK-RCC)
2.1. Clinical Features
2.2. Pathological Features
2.2.1. Gross Features
2.2.2. Microscopic Features
2.2.3. Immunohistochemistry, Electron Microscopy and Molecular Features
2.3. Differential Diagnosis
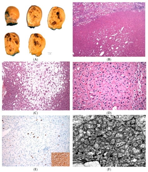
3. High-Grade Oncocytic Tumor (HOT) of Kidney
3.1. Clinical Features
3.2. Pathological Features
3.2.1. Gross Features
3.2.2. Microscopic Features
3.2.3. Immunohistochemical Features, Electron Microscopy and Molecular Findings
3.3. Differential Diagnosis
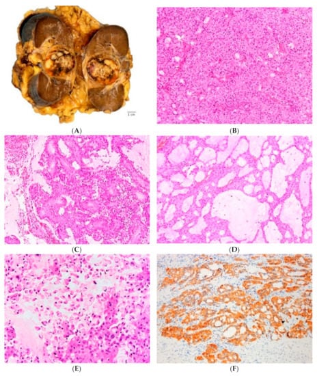
4. Low-Grade Oncocytic Tumor (LOT) of Kidney
4.1. Clinical Features
4.2. Pathological Features
4.2.1. Gross Features
4.2.2. Microscopic Features
4.2.3. Immunohistochemical Features, Electron Microscopy, Molecular Features
4.3. Differential Diagnosis
5. Conclusions
Funding
Conflicts of Interest
References
- Trpkov, K.; Hes, O.; Bonert, M.; Lopez, J.I.; Bonsib, S.M.; Nesi, G.; Comperat, E.; Sibony, M.; Berney, D.M.; Martinek, P.; et al. Eosinophilic, solid, and cystic renal cell carcinoma: Clinicopathologic study of 16 unique, sporadic neoplasms occurring in women. Am. J. Surg. Pathol. 2016, 40, 60–71. [Google Scholar] [CrossRef] [PubMed]
- Trpkov, K.; Abou-Ouf, H.; Hes, O.; Lopez, J.I.; Nesi, G.; Comperat, E.; Sibony, M.; Osunkoya, A.O.; Zhou, M.; Gokden, N.; et al. Eosinophilic solid and cystic renal cell carcinoma (ESC RCC): Further morphologic and molecular characterization of ESC RCC as a distinct entity. Am. J. Surg. Pathol. 2017, 41, 1299–1308. [Google Scholar] [CrossRef] [PubMed]
- Trpkov, K.; Hes, O. New and emerging renal entities: A perspective post-WHO 2016 classification. Histopathology 2019, 74, 31–59. [Google Scholar] [CrossRef] [PubMed]
- Moch, H.; Humphrey, P.A.; Ulbright, T.M.; Reuter, V.E. WHO Classification of Tumours of the Urinary System and Male Genital Organs, 4th ed.; International Agency for Research on Cancer: Lyon, France, 2016. [Google Scholar]
- Guo, J.; Tretiakova, M.S.; Troxell, M.L.; Osunkoya, A.O.; Fadare, O.; Sangoi, A.R.; Shen, S.S.; Lopez-Beltran, A.; Mehra, R.; Heider, A.; et al. Tuberous sclerosis-associated renal cell carcinoma: A clinicopathologic study of 57 separate carcinomas in 18 patients. Am. J. Surg. Pathol. 2014, 38, 1457–1467. [Google Scholar] [CrossRef] [PubMed]
- Park, J.H.; Lee, C.; Chang, M.S.; Kim, K.; Choi, S.; Lee, H.; Lee, H.S.; Moon, K.C. Molecular characterization and putative pathogenic pathways of tuberous sclerosis complex-associated renal cell carcinoma. Transl. Oncol. 2018, 11, 962–970. [Google Scholar] [CrossRef] [PubMed]
- McKenney, J.K.; Przybycin, C.; Trpkov, K.; Magi-Galluzzi, C. Eosinophilic solid and cystic (ESC) renal cell carcinomas have metastatic potential. Histopathology 2018, 42. [Google Scholar] [CrossRef]
- Tretiakova, M.S. Eosinophilic solid and cystic renal cell carcinoma mimicking epithelioid angiomyolipoma: Series of 4 primary tumors and 2 metastases. Hum. Pathol. 2018, 80, 65–75. [Google Scholar] [CrossRef]
- Parilla, M.; Kadri, S.; Patil, S.A.; Ritterhouse, L.; Segal, J.; Henriksen, K.J.; Antic, T. Are sporadic eosinophilic solid and cystic renal cell carcinomas characterized by somatic tuberous sclerosis gene mutations? Am. J. Surg. Pathol. 2018, 42, 911–917. [Google Scholar] [CrossRef]
- Palsgrove, D.N.; Li, Y.; Pratilas, C.A.; Lin, M.T.; Pallavajjalla, A.; Gocke, C.; De Marzo, A.M.; Matoso, A.; Netto, G.J.; Epstein, J.I.; et al. Eosinophilic solid and cystic (ESC) renal cell carcinomas harbor tsc mutations: Molecular analysis supports an expanding clinicopathologic spectrum. Am. J. Surg. Pathol. 2018, 42, 1166–1181. [Google Scholar] [CrossRef]
- Fenelon, S.S.; Santos, J.; Faraj, S.F.; Mattedi, R.L.; Trpkov, K.; Nahas, W.C.; Garcia, M.R.T.; Viana, P.C.C. Eosinophilic solid and cystic renal cell carcinoma: Imaging features of a novel neoplasm. Urology 2018, 114, e9–e10. [Google Scholar] [CrossRef]
- Li, Y.; Reuter, V.E.; Matoso, A.; Netto, G.J.; Epstein, J.I.; Argani, P. Re-evaluation of 33 ‘unclassified’ eosinophilic renal cell carcinomas in young patients. Histopathology 2018, 72, 588–600. [Google Scholar] [CrossRef] [PubMed]
- Mehra, R.; Vats, P.; Cao, X.; Su, F.; Lee, N.D.; Lonigro, R.; Premkumar, K.; Trpkov, K.; McKenney, J.K.; Dhanasekaran, S.M.; et al. Somatic Bi-allelic loss of TSC Genes in eosinophilic solid and cystic renal cell carcinoma. Eur. Urol. 2018, 74, 483–486. [Google Scholar] [CrossRef] [PubMed]
- Pulford, K.; Lamant, L.; Morris, S.; Butler, L.; Wood, K.M.; Stroud, D.; Delsol, G.; Mason, D. Detection of anaplastic lymphoma kinase (ALK) and nucleolar protein nucleophosmin (NPM)-ALK proteins in normal and neoplastic cells with the monoclonal antibody ALK1. Blood 1997, 89, 1394–1404. [Google Scholar] [CrossRef] [PubMed]
- Mano, H. ALKoma: A cancer subtype with a shared target. Cancer Discov. 2012, 2, 495–502. [Google Scholar] [CrossRef]
- Kusano, H.; Togashi, Y.; Akiba, J.; Moriya, F.; Baba, K.; Matsuzaki, N.; Yuba, Y.; Shiraishi, Y.; Kanamaru, H.; Kuroda, N.; et al. Two cases of renal cell carcinoma harboring a novel STRN-ALK fusion gene. Am. J. Surg. Pathol. 2016, 40, 761–769. [Google Scholar] [CrossRef]
- Bodokh, Y.; Ambrosetti, D.; Kubiniek, V.; Tibi, B.; Durand, M.; Amiel, J.; Pertuit, M.; Barlier, A.; Pedeutour, F. ALK-TPM3 rearrangement in adult renal cell carcinoma: Report of a new case showing loss of chromosome 3 and literature review. Cancer Genet. 2018, 221, 31–37. [Google Scholar] [CrossRef]
- Yu, W.; Wang, Y.; Jiang, Y.; Zhang, W.; Li, Y. Genetic analysis and clinicopathological features of ALK-rearranged renal cell carcinoma in a large series of resected Chinese renal cell carcinoma patients and literature review. Histopathology 2017, 71, 53–62. [Google Scholar] [CrossRef]
- Smith, N.E.; Deyrup, A.T.; Marino-Enriquez, A.; Fletcher, J.A.; Bridge, J.A.; Illei, P.B.; Netto, G.J.; Argani, P. VCL-ALK renal cell carcinoma in children with sickle-cell trait: The eighth sickle-cell nephropathy? Am. J. Surg. Pathol. 2014, 38, 858–863. [Google Scholar] [CrossRef]
- Thorner, P.S.; Shago, M.; Marrano, P.; Shaikh, F.; Somers, G.R. TFE3-positive renal cell carcinomas are not always Xp11 translocation carcinomas: Report of a case with a TPM3-ALK translocation. Pathol. Res. Pract. 2016, 212, 937–942. [Google Scholar] [CrossRef]
- Cajaiba, M.M.; Jennings, L.J.; Rohan, S.M.; Perez-Atayde, A.R.; Marino-Enriquez, A.; Fletcher, J.A.; Geller, J.I.; Leuer, K.M.; Bridge, J.A.; Perlman, E.J. ALK-rearranged renal cell carcinomas in children. Genes Chromosomes Cancer 2016, 55, 442–451. [Google Scholar] [CrossRef]
- Cajaiba, M.M.; Jennings, L.J.; George, D.; Perlman, E.J. Expanding the spectrum of ALK-rearranged renal cell carcinomas in children: Identification of a novel HOOK1-ALK fusion transcript. Genes Chromosomes Cancer 2016, 55, 814–817. [Google Scholar] [CrossRef] [PubMed]
- Sugawara, E.; Togashi, Y.; Kuroda, N.; Sakata, S.; Hatano, S.; Asaka, R.; Yuasa, T.; Yonese, J.; Kitagawa, M.; Mano, H.; et al. Identification of anaplastic lymphoma kinase fusions in renal cancer: Large-scale immunohistochemical screening by the intercalated antibody-enhanced polymer method. Cancer 2012, 118, 4427–4436. [Google Scholar] [CrossRef] [PubMed]
- Sukov, W.R.; Hodge, J.C.; Lohse, C.M.; Akre, M.K.; Leibovich, B.C.; Thompson, R.H.; Cheville, J.C. ALK alterations in adult renal cell carcinoma: Frequency, clinicopathologic features and outcome in a large series of consecutively treated patients. Mod. Pathol. 2012, 25, 1516–1525. [Google Scholar] [CrossRef] [PubMed]
- Oyama, Y.; Nishida, H.; Kusaba, T.; Kadowaki, H.; Arakane, M.; Daa, T.; Watanabe, D.; Akita, Y.; Sato, F.; Mimata, H.; et al. A case of anaplastic lymphoma kinase-positive renal cell carcinoma coincident with Hodgkin lymphoma. Pathol. Int. 2017, 67, 626–631. [Google Scholar] [CrossRef] [PubMed]
- Jeanneau, M.; Gregoire, V.; Desplechain, C.; Escande, F.; Tica, D.P.; Aubert, S.; Leroy, X. ALK rearrangements-associated renal cell carcinoma (RCC) with unique pathological features in an adult. Pathol. Res. Pract. 2016, 212, 1064–1066. [Google Scholar] [CrossRef] [PubMed]
- Marino-Enriquez, A.; Ou, W.B.; Weldon, C.B.; Fletcher, J.A.; Perez-Atayde, A.R. ALK rearrangement in sickle cell trait-associated renal medullary carcinoma. Genes Chromosomes Cancer 2011, 50, 146–153. [Google Scholar] [CrossRef]
- Debelenko, L.V.; Raimondi, S.C.; Daw, N.; Shivakumar, B.R.; Huang, D.; Nelson, M.; Bridge, J.A. Renal cell carcinoma with novel VCL-ALK fusion: New representative of ALK-associated tumor spectrum. Mod. Pathol. 2011, 24, 430–442. [Google Scholar] [CrossRef]
- Lee, C.; Park, J.W.; Suh, J.H.; Nam, K.H.; Moon, K.C. ALK-positive renal cell carcinoma in a large series of consecutively resected korean renal cell carcinoma patients. Korean J. Pathol. 2013, 47, 452–457. [Google Scholar] [CrossRef]
- Yang, J.; Dong, L.; Du, H.; Li, X.B.; Liang, Y.X.; Liu, G.R. ALK-TPM3 rearrangement in adult renal cell carcinoma: A case report and literature review. Diagn. Pathol. 2019, 14, 112. [Google Scholar] [CrossRef]
- Wang, X.T.; Fang, R.; Ye, S.B.; Zhang, R.S.; Li, R.; Wang, X.; Ji, R.H.; Lu, Z.F.; Ma, H.H.; Zhou, X.J.; et al. Targeted next-generation sequencing revealed distinct clinicopathologic and molecular features of VCL-ALK RCC: A unique case from an older patient without clinical evidence of sickle cell trait. Pathol. Res. Pract. 2019, 215, 152651. [Google Scholar] [CrossRef]
- Pal, S.K.; Bergerot, P.; Dizman, N.; Bergerot, C.; Adashek, J.; Madison, R.; Chung, J.H.; Ali, S.M.; Jones, J.O.; Salgia, R. Responses to alectinib in ALK-rearranged papillary renal cell carcinoma. Eur. Urol. 2018, 74, 124–128. [Google Scholar] [CrossRef] [PubMed]
- Gorczynski, A.; Czapiewski, P.; Korwat, A.; Budynko, L.; Prelowska, M.; Okon, K.; Biernat, W. ALK-rearranged renal cell carcinomas in Polish population. Pathol. Res. Pract. 2019, 215, 152669. [Google Scholar] [CrossRef] [PubMed]
- Kuroda, N.; Liu, Y.; Tretiakova, M.; Ulamec, M.; Takeuchi, K.; Przybycin, C.; Maggi-Galuzzi, C.; Agaimy, A.; Yilmaz, A.; Trpkov, K.; et al. Clinicopathological study of seven cases of ALK-postitive renal tumor identification of new fusion partners including CLIP1 and KIF5B genes. Mod. Pathol. 2019, 32, 885. [Google Scholar]
- He, H.; Trpkov, K.; Martinek, P.; Isikci, O.T.; Maggi-Galuzzi, C.; Alaghehbandan, R.; Gill, A.J.; Tretiakova, M.; Lopez, J.I.; Williamson, S.R.; et al. “High-grade oncocytic renal tumor”: Morphologic, immunohistochemical, and molecular genetic study of 14 cases. Virchows Arch. 2018, 473, 725–738. [Google Scholar] [CrossRef] [PubMed]
- Chen, Y.; Mirsadraei, L.; Jayakumaran, G.; Al-Ahmadie, H.; Fine, S.; Gopalan, A.; Sirintrapun, S.J.; Tickoo, S.; Reuter, V. Somatic mutations of TSC2 or MTOR characterize a morphologically distinct subset of sporadic renal cell carcinoma with eosinophilic and vacuolated cytoplasm. Am. J. Surg. Pathol. 2019, 43, 121–131. [Google Scholar] [CrossRef] [PubMed]
- Trpkov, K.; Bonert, M.; Gao, Y.; Kapoor, A.; He, H.; Yilmaz, A.; Gill, A.J.; Williamson, S.R.; Comperat, E.; Tretiakova, M.; et al. High-grade oncocytic tumour (HOT) of kidney in a patient with tuberous sclerosis complex. Histopathology 2019, 75, 440–442. [Google Scholar] [CrossRef]
- Williamson, S.R.; Gadde, R.; Trpkov, K.; Hirsch, M.S.; Srigley, J.R.; Reuter, V.E.; Cheng, L.; Kunju, L.P.; Barod, R.; Rogers, C.G.; et al. Diagnostic criteria for oncocytic renal neoplasms: A survey of urologic pathologists. Hum. Pathol. 2017, 63, 149–156. [Google Scholar] [CrossRef]
- Petersson, F.; Gatalica, Z.; Grossmann, P.; Perez Montiel, M.D.; Alvarado Cabrero, I.; Bulimbasic, S.; Swatek, A.; Straka, L.; Tichy, T.; Hora, M.; et al. Sporadic hybrid oncocytic/chromophobe tumor of the kidney: A clinicopathologic, histomorphologic, immunohistochemical, ultrastructural, and molecular cytogenetic study of 14 cases. Virchows Arch. 2010, 456, 355–365. [Google Scholar] [CrossRef]
- Delongchamps, N.B.; Galmiche, L.; Eiss, D.; Rouach, Y.; Vogt, B.; Timsit, M.O.; Vieillefond, A.; Mejean, A. Hybrid tumour ‘oncocytoma-chromophobe renal cell carcinoma’ of the kidney: A report of seven sporadic cases. BJUI Int. 2009, 103, 1381–1384. [Google Scholar] [CrossRef]
- Mai, K.T.; Dhamanaskar, P.; Belanger, E.; Stinson, W.A. Hybrid chromophobe renal cell neoplasm. Pathol. Res. Pract. 2005, 201, 385–389. [Google Scholar] [CrossRef]
- Hes, O.; Petersson, F.; Kuroda, N.; Hora, M.; Michal, M. Renal hybrid oncocytic/chromophobe tumors–A review. Histol. Histopathol. 2013, 28, 1257–1264. [Google Scholar] [PubMed]
- Trpkov, K.; Yilmaz, A.; Uzer, D.; Dishongh, K.M.; Quick, C.M.; Bismar, T.A.; Gokden, N. Renal oncocytoma revisited: A clinicopathological study of 109 cases with emphasis on problematic diagnostic features. Histopathology 2010, 57, 893–906. [Google Scholar] [CrossRef] [PubMed]
- Trpkov, K.; Williamson, S.R.; Gao, Y.; Martinek, P.; Cheng, L.; Sangoi, A.R.; Yilmaz, A.; Wang, C.; San Miguel Fraile, P.; Perez Montiel, D.M.; et al. Low-grade oncocytic tumor of kidney (CD117 negative, cytokeratin 7 positive): A distinct entity? Histopathology 2019, 75, 174–184. [Google Scholar] [CrossRef]
- Davis, C.F.; Ricketts, C.J.; Wang, M.; Yang, L.; Cherniack, A.D.; Shen, H.; Buhay, C.; Kang, H.; Kim, S.C.; Fahey, C.C.; et al. The somatic genomic landscape of chromophobe renal cell carcinoma. Cancer Cell 2014, 26, 319–330. [Google Scholar] [CrossRef]
- Ohashi, R.; Schraml, P.; Angori, S.; Batavia, A.; Rupp, N.; Ohe, C.; Otsuki, Y.; Kawasaki, T.; Kobayashi, H.; Kobayashi, K.; et al. Classic chromophobe renal cell carcinoma incur a larger number of chromosomal losses than seen in the eosinophilic subtype. Cancers 2019, 11, 1492. [Google Scholar] [CrossRef] [PubMed]
- Paner, G.; Amin, M.; Moch, H.; Storke, L.S. Chromophobe renal cell carcinoma. In WHO Classification of Tumours of the Urinary System and Male Genital Organs; Moch, H., Ulbright, T.M., Reuter, V.E., Eds.; International Agency for Research on Cancer: Lyon, France, 2016; pp. 27–28. [Google Scholar]





| Emerging Renal Tumor | Clinical Features | Morphology | Immunohistochemistry | Molecular Features | Prognosis |
|---|---|---|---|---|---|
| Eosinophilic solid and cystic RCC (ESC RCC) | Mostly females and solitary tumors, ~10% in TSC patients | Solid and cystic growth, often scattered histiocytes and lymphocytes, voluminous eosinophilic cells, cytoplasmic coarse granularity (stippling) | CK20+ either focal or diffuse (note: 10%–15% CK20-), CK7-, CD117- | Somatic bi-allelic loss or mutation of TSC1 and TSC2 | Typically good, but rare cases documented with adverse prognosis |
| Anaplastic lymphoma kinase rearrangement-associated RCC (ALK-RCC) | Adults (younger middle age or older); children or adolescent with the sickle cell trait | Variable and admixed morphologies in adults, often mucinous background present; renal medullary carcinoma-like morphology in children | ALK1+, remaining IHC nonspecific; rare cases in children TFE3+ (but without translocation by FISH) | ALK rearrangement with various fusion partners: VCL, TPM3, EML4, STRN, HOOK1, CLIP1 and KIF5 B | ~1/3 adverse prognosis (metastatic disease at presentation) |
| High-grade oncocytic tumor (HOT) | Wide age range, female/male = 4/1; can occur rarely in TSC patients; typically smaller tumors | Solid growth, oncocytic/eosinophilic cells, prominent cytoplasmic vacuoles round to oval nuclei, often very large nucleoli | Cathepsin K+, CD10+, CD117+, CK7- (only rare scattered cells +) | Limited data: non-overlapping mutations in either TSC1, or TSC2, or MTOR genes; by aCGH loss of 19 p or chr. 1 | Indolent tumors (limited follow-up) |
| Low-grade oncocytic tumor (LOT) | Older patients, solitary and non-syndromic tumors, small size | Solid growth with sharp transition to edematous areas with loose cell arrangement; low-grade oncocytic cells, round to oval nuclei and frequent perinuclear halos | CD117- (rarely very weak+), CK7+ | Limited data: by aCGH deletions at 19p13.3, 1 p36.33 and 19q13; also disomic status in some | Indolent tumors (limited follow up) |
| Diagnosis | Key Distinguishing Features | Immunohistochemistry |
|---|---|---|
| Eosinophilic, solid and cystic RCC (ESC RCC) | Great majority females, solid and cystic growth, cytoplasmic stippling, lacks perinuclear halos | CK20+ (diffuse or focal; rarely CK20-), CK7-, CD117- |
| Anaplastic lymphoma kinase rearrangement-associated RCC (ALK RCC) | Variable and mixed morphology in adults, often mucinous background. Renal medullary carcinoma-like morphology in children | ALK1+, rare TFE3+ (FISH-) |
| High-grade oncocytic tumor (HOT) | Solid growth, voluminous oncocytic cells with high grade nuclei, large cytoplasmic vacuoles | CD117+, CK7- (only scattered cells CK7+), Cathepsin K+, CD10+ |
| Low-grade oncocytic tumor(LOT) | Solid growth with gradual transition to trabecular areas; sharply delineated edematous stromal areas with loose and irregular cell arrangement | CD117-, CK7+ (diffuse) |
| Oncocytoma | Solid growth at the periphery, can show tubulocystic growth, central ‘archipelaginous’ areas, cells lack perinuclear halos | CD117+, CK7- (usually only scattered cells CK7+) |
| Chromophobe RCC, eosinophilic | Solid growth, loose stromal areas absent, cells with more prominent membranes, irregular (‘raisinoid’) nuclei, perinuclear halos | CD117+, CK7+ |
| Clear cell RCC, eosinophilic | At least focal clear cell areas, delicate vasculature in the background | CA9+, CD117- |
| Papillary RCC, oncocytic/solid | Papillary growth (at least focally) | AMACR+, CK7+, CD10+ |
| Epithelioid angiomyolipoma | Epithelioid cells, may be pleomorphic, lacks perinuclear halos | PAX8-, Cathepsin K+, HMB45+, AE1/AE3- |
| SDH-deficient RCC | Low-grade oncocytic cells with at least focal flocculent (fluffy) cytoplasm and inclusions; lacks perinuclear halos | CD117-, SDHB-, AE1/AE3- (often) |
© 2020 by the authors. Licensee MDPI, Basel, Switzerland. This article is an open access article distributed under the terms and conditions of the Creative Commons Attribution (CC BY) license (http://creativecommons.org/licenses/by/4.0/).
Share and Cite
Siadat, F.; Trpkov, K. ESC, ALK, HOT and LOT: Three Letter Acronyms of Emerging Renal Entities Knocking on the Door of the WHO Classification. Cancers 2020, 12, 168. https://doi.org/10.3390/cancers12010168
Siadat F, Trpkov K. ESC, ALK, HOT and LOT: Three Letter Acronyms of Emerging Renal Entities Knocking on the Door of the WHO Classification. Cancers. 2020; 12(1):168. https://doi.org/10.3390/cancers12010168
Chicago/Turabian StyleSiadat, Farshid, and Kiril Trpkov. 2020. "ESC, ALK, HOT and LOT: Three Letter Acronyms of Emerging Renal Entities Knocking on the Door of the WHO Classification" Cancers 12, no. 1: 168. https://doi.org/10.3390/cancers12010168
APA StyleSiadat, F., & Trpkov, K. (2020). ESC, ALK, HOT and LOT: Three Letter Acronyms of Emerging Renal Entities Knocking on the Door of the WHO Classification. Cancers, 12(1), 168. https://doi.org/10.3390/cancers12010168

