A 4-Year Retrospective Analysis of Salivary Gland Cytopathology Using the Milan System for Reporting Salivary Gland Cytology and Ancillary Studies
Abstract
:1. Introduction
2. Results
2.1. Classification of Salivary Gland Cytology Using the Milan System for Reporting Salivary Gland Cytopathology
2.2. Correlation of Cytological Results with Histology
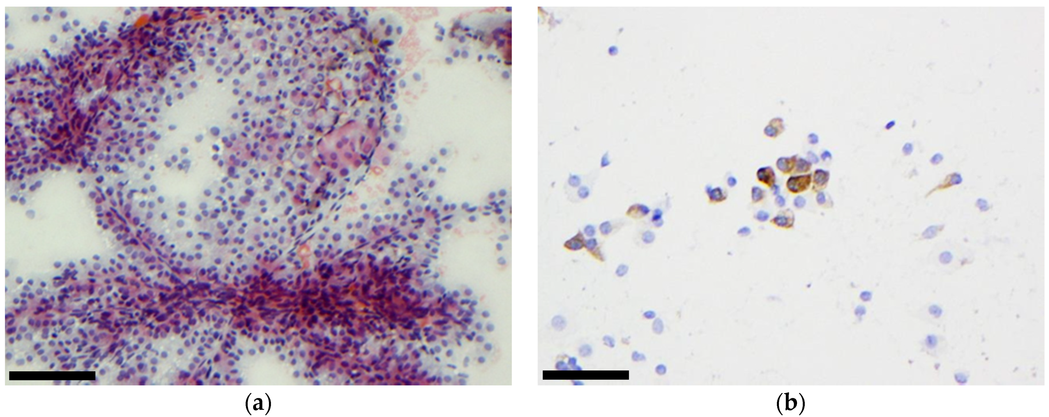
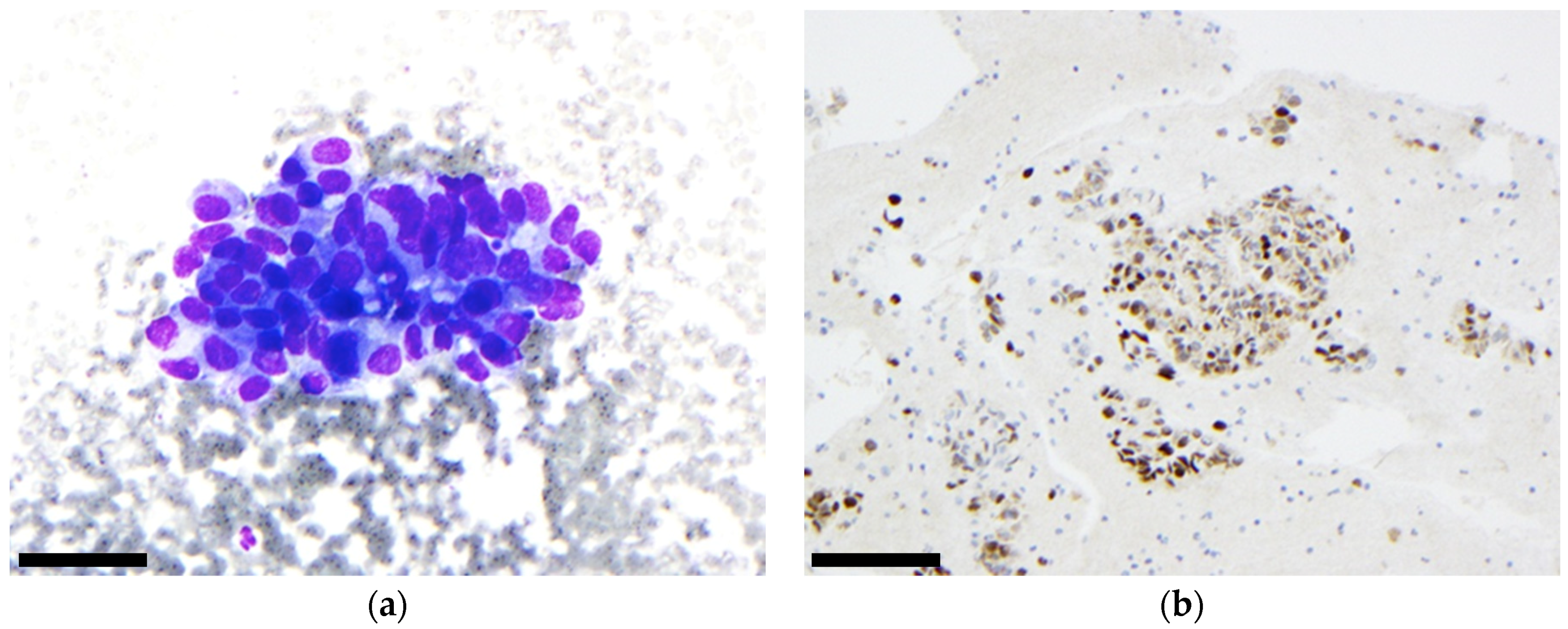
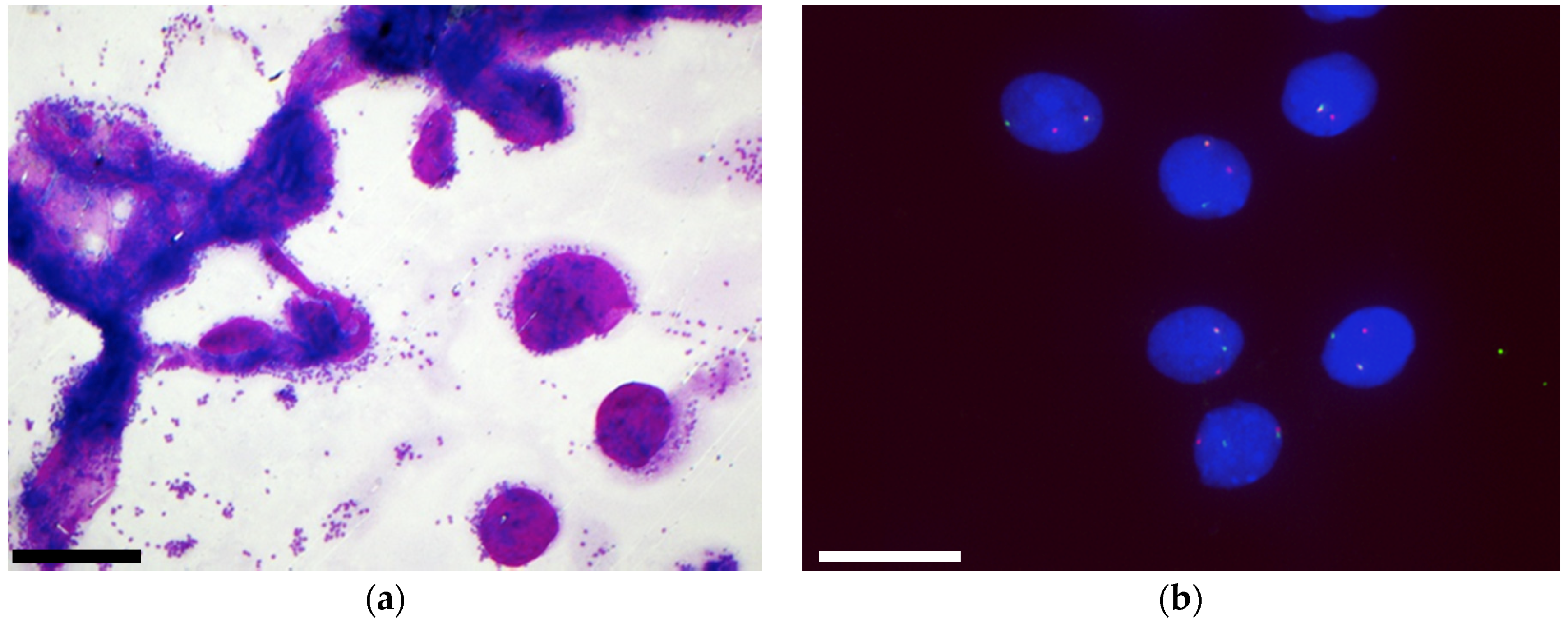
2.3. Ancillary Studies Help to Further Characterise Salivary Gland Tumours
3. Discussion
4. Materials and Methods
4.1. Cytological Samples
4.2. Cytological Classification
4.3. Immunocytochemistry
4.4. FISH
4.5. Histopathological Results Classification
5. Conclusions
Author Contributions
Funding
Acknowledgments
Conflicts of Interest
References
- El-Naggar, A.K.; Chan, J.K.; Grandis, J.R.; Takata, T.; Slootweg, P.J. WHO Classification of Tumors: Pathology and Genetics of Head and Neck Tumours; IARC Press: Lyon, France, 2017. [Google Scholar]
- Liu, C.C.; Jethwa, A.R.; Khariwala, S.S.; Johnson, J.; Shin, J.J. Sensitivity, Specificity, and Posttest Probability of Parotid Fine-Needle Aspiration: A Systematic Review and Meta-analysis. Otolaryngol. Neck Surg. 2016, 154, 9–23. [Google Scholar] [CrossRef]
- Faquin, W.; Rossi, E.; Baloch, Z.; Barkan, G.; Foschini, M.; Kurtycz, D.; Pusztaszeri, M.; Vielh, P. The Milan System for Reporting Salivary Gland Cytopathology; Springer Nature: Cham, Switzerland, 2018; p. 179. [Google Scholar]
- Park, W.; Bae, H.; Park, M.; Hwang, N.Y.; Sohn, I.; Cho, J.; Jeong, H. Risk of high-grade malignancy in parotid gland tumors as classified by the Milan System for Reporting Salivary Gland Cytopathology. J. Oral Pathol. Med. 2019, 48, 222–231. [Google Scholar] [CrossRef] [PubMed]
- Evrard, S.M.; Meilleroux, J.; Daniel, G.; Basset, C.; Lacoste-Collin, L.; Vergez, S.; Uro-Coste, E.; Courtade-Saidi, M. Use of fluorescent in-situ hybridisation in salivary gland cytology: A powerful diagnostic tool. Cytopathology 2017, 28, 312–320. [Google Scholar] [CrossRef] [PubMed]
- Chowsilpa, S.; An, D.; Lose, H.; Huang, X.; Nayar, R.; Maleki, Z. Risk of malignancy associated with cytomorphology subtypes in the salivary gland neoplasm of uncertain malignant potential (SUMP) category in the Milan System: A bi-institutional study. Cancer Cytopathol. 2019, 127, 377–389. [Google Scholar] [CrossRef] [PubMed]
- Rohilla, M.; Singh, P.; Rajwanshi, A.; Gupta, N.; Srinivasan, R.; Dey, P.; Vashishta, R.K. Three-year cytohistological correlation of salivary gland FNA cytology at a tertiary center with the application of the Milan system for risk stratification: Salivary Gland FNA: Milan System. Cancer Cytopathol. 2017, 125, 767–775. [Google Scholar] [CrossRef] [PubMed]
- Savant, D.; Jin, C.; Chau, K.; Hagan, T.; Chowdhury, M.; Koppenhafer, J.; Kercy, M.; Laser, A.; Gimenez, C.; Das, K. Risk stratification of salivary gland cytology utilizing the Milan system of classification. Diagn. Cytopathol. 2019, 47, 172–180. [Google Scholar] [CrossRef] [PubMed]
- Song, S.J.; Shafique, K.; Wong, L.Q.; LiVolsi, V.A.; Montone, K.T.; Baloch, Z. The utility of the Milan System as a risk stratification tool for salivary gland fine needle aspiration cytology specimens. Cytopathology 2019, 30, 91–98. [Google Scholar] [CrossRef] [PubMed]
- Viswanathan, K.; Sung, S.; Scognamiglio, T.; Yang, G.C.H.; Siddiqui, M.T.; Rao, R.A. The role of the Milan System for Reporting Salivary Gland Cytopathology: A 5-year institutional experience: Milan Classification System for Salivary Gland. Cancer Cytopathol. 2018, 126, 541–551. [Google Scholar] [CrossRef] [PubMed]
- Wei, S.; Layfield, L.J.; LiVolsi, V.A.; Montone, K.T.; Baloch, Z.W. Reporting of fine needle aspiration (FNA) specimens of salivary gland lesions: A comprehensive review: WEI et al. Diagn. Cytopathol. 2017, 45, 820–827. [Google Scholar] [CrossRef] [PubMed]
- Barats, R.; Evrard, S.; Collin, L.; Vergez, S.; Gellée, S.; Courtade-Saïdi, M. Ultrasound-guided fine-needle capillary cytology of parotid gland masses coupled with a rapid-on-site evaluation improves results. Morphologie 2018, 102, 25–30. [Google Scholar] [CrossRef] [PubMed]
- Wangsiricharoen, S.; Lekawanvijit, S.; Rangdaeng, S. Agreement between rapid on-site evaluation and the final cytological diagnosis of salivary gland specimens. Cytopathology 2017, 28, 321–328. [Google Scholar] [CrossRef] [PubMed]
- Tommola, E.; Tommola, S.; Porre, S.; Kholová, I. Salivary Gland FNA Diagnostics in a Real-Life Setting: One-Year-Experiences of the Implementation of the Milan System in a Tertiary Care Center. Cancers 2019, 11, 1589. [Google Scholar] [CrossRef] [PubMed]
- Choy, K.C.C.; Bundele, M.M.; Li, H.; Fu, E.W.; Rao, N.C.L.; Lim, M.Y. Risk stratification of fine-needle aspiration cytology of parotid neoplasms based on the Milan system—Experience from a tertiary center in Asia. Head Neck 2019, 41, 3125–3132. [Google Scholar] [CrossRef] [PubMed]
- Farahani, S.J.; Baloch, Z. Retrospective assessment of the effectiveness of the Milan system for reporting salivary gland cytology: A systematic review and meta-analysis of published literature. Diagn. Cytopathol. 2019, 47, 67–87. [Google Scholar] [CrossRef] [PubMed]
- Jo, V.Y.; Krane, J.F. Ancillary testing in salivary gland cytology: A practical guide: Ancillary Testing for Salivary Neoplasms. Cancer Cytopathol. 2018, 126, 627–642. [Google Scholar] [CrossRef] [PubMed]
- Lee, S.J.; Chung, K.Y.; Kwon, J.E.; Yoon, S.O.; Kim, S.K. Expression of EpCAM in adenoid cystic carcinoma. Pathology (Phila.) 2018, 50, 737–741. [Google Scholar] [CrossRef] [PubMed]
- Schmitt, A.C.; Griffith, C.C.; Cohen, C.; Siddiqui, M.T. LEF-1: Diagnostic utility in distinguishing basaloid neoplasms of the salivary gland. Diagn. Cytopathol. 2017, 45, 1078–1083. [Google Scholar] [CrossRef] [PubMed]
- Griffith, C.C.; Siddiqui, M.T.; Schmitt, A.C. Ancillary testing strategies in salivary gland aspiration cytology: A practical pattern-based approach: GRIFFITH et al. Diagn. Cytopathol. 2017, 45, 808–819. [Google Scholar] [CrossRef] [PubMed]
- Pastore, A.; Ciorba, A.; Soliani, M.; Laora, A.D.; Valpiani, G.; Bianchini, C.; Stomeo, F.; Merlo, R.; Pelucchi, S. Secondary malignant tumors of the parotid gland: Not a secondary problem! JBUON 2017, 22, 6. [Google Scholar]
- Wang, H.; Hoda, R.S.; Faquin, W.; Rossi, E.D.; Hotchandani, N.; Sun, T.; Pusztaszeri, M.; Bizzarro, T.; Bongiovanni, M.; Patel, V.; et al. FNA biopsy of secondary nonlymphomatous malignancies in salivary glands: A multi-institutional study of 184 cases: FNAB Secondary Salivary Gland Malignancy. Cancer Cytopathol. 2017, 125, 91–103. [Google Scholar] [CrossRef] [PubMed]





| Cytopathology | Histopathology | RON | ROM | ||||||||
|---|---|---|---|---|---|---|---|---|---|---|---|
| Milan System Category | Number of Cases (%) | Number of Cases per Category (%) | Not Performed | Non-Neoplastic | Benign Neoplasm | Malignant | RON (%) | RON per Category (%) | ROM (%) | ROM per Category (%) | |
| Non-Diagnostic (ND) | Pauci-cellular | 55 (16.8) | 84 (25.6) | 24 | 2 | 20 | 9 | 29/31 (93.5) | 38/47 (80.9) | 9/31 (29) | 16/47 (34) |
| Cystic content | 25 (7.6) | 13 | 3 | 6 | 3 | 9/12 (75) | 3/12 (25) | ||||
| Lymphocytes | 4 (1.2) | - | - | - | 4 | 4/4 (100) | 4/4 (100) | ||||
| Non-Neoplastic (NN) | Normal lymph node | 7 (2.1) | 27 (8.2) | 5 | 2 | - | - | 0/9 (0) | 1/9 (11.1) | 0/9 (0) | 0/9 (0) |
| Reactive lymph node/Inflammation | 12 (3.7) | 10 | 2 | - | - | 0/9 (0) | 0/9 (0) | ||||
| Lithiasis/sialadenitis | 1 (0.3) | 1 | - | - | - | 0/9 (0) | 0/9 (0) | ||||
| Cyst | 7 (2.1) | 2 | 4 | 1 | - | 1/9 (11.1) | 0/9 (0) | ||||
| Atypia of Undetermined Significance (AUS) | 4 (1.2) | 4 (1.2) | 2 | - | 2 | - | 2/2 (100) | 2/2 (100) | 0/2 (0) | 0/2 (0) | |
| Benign Neoplasm (BN) | Pleomorphic adenoma | 89 (27.1) | 145 (44.2) | 18 | - | 67 | 4 | 71/71 (100) | 105/105 (100) | 4/71 (5.63) | 4/105 (3.09) |
| Warthin’s tumour | 55 (16.8) | 21 | - | 34 | - | 34/34 (100) | 0/34 (0) | ||||
| Schwanomma | 1 (0.3) | 1 | - | - | - | - | - | ||||
| Salivary Gland Neoplasm of Uncertain Malignant Potential (SUMP) | Oncocytic | 7 (2.1) | 15 (4.6) | 3 | 2 | 1 | 1 | 2/4 (50) | 7/11 (63.6) | 1/4 (25) | 5/11 (45.5) |
| Unspecified | 8 (2.4) | 1 | 2 | 1 | 4 | 5/7 (71.4) | 4/7 (57.1) | ||||
| Suspicious for malignancy (SM) | Epithelial | 6 (1.8) | 16 (4.9) | 1 | 2 | 3 | 5/6 (83.3) | 13/16 (81.3) | 3/6 (50) | 11/16 (68.8) | |
| Lymphoma | 10 (3.1) | - | 2 | - | 8 | 8/10 (80) | 8/10 (80) | ||||
| Malignant (M) | Low-grade | 1 (0.3) | 37 (11.3) | - | - | - | 1 | 1/1 (100) | 26/26 (100) | 1/1 (100) | 26/26 (100) |
| High-grade | 23 (7) | 4 | - | - | 19 | 19/19 (100) | 19/19 (100) | ||||
| Metastasis | 13 (4) | 7 | - | - | 6 | 6/6 (100) | 6/6 (100) | ||||
| Total | 328 (100) | 328 (100) | 112 (34.2) | 18 (5.5) | 136 (41.5) | 62 (18.9) | - | ||||
| Cytopathology | Immunocytochemistry | FISH | |||||||||
|---|---|---|---|---|---|---|---|---|---|---|---|
| Milan System Category | Total Number of Cases | Total Number of Cases with ICC (%) | Did not Contribute to Diagnosis | Eliminated Metastasis of Secondary Tumours | Differentiated Benign/LG-M from HG-M | Provided the Diagnosis | Total Number of Cases with FISH (%) | Did not Contribute to Diagnosis | No Help (Negative) | Provided the Diagnosis | |
| Non-Diagnostic (ND) | Pauci-cellular | 55 | 2/55 (3.6%) | 1 (50%) | 1 (50%) | ||||||
| Cyst content | 25 | 3/25 (12%) | 1 (33.3%) | 1 (33.33%) | 1 (33.3%) | 1/25 (4%) | 1 (100%) | ||||
| Lymphocytes | 4 | 3/4 (75%) | 2 (66.7%) | 1 (33.3%) | |||||||
| Non-Neoplastic (NN) | Normal LN | 7 | 3/7 (42,9%) | 3 (100%) | |||||||
| Inflammation | 12 | 6/12 (50%) | 1 (16,7%) | 5 (83,3%) | |||||||
| Sialadenitis | 1 | 1/1 (100%) | 1 (100%) | ||||||||
| Cyst | 7 | 1/7 (14.3%) | 1 (100%) | ||||||||
| Atypia of undetermined significance (AUS) | 4 | 3/4 (75%) | 3 (100%) | 1/4 (25%) | 1 (100%) | ||||||
| Benign neoplasm (BN) | Pleomorphic adenoma | 89 | 12/89 (13.5%) | 2 (16.7%) | 9 (75%) | 1 (8.3%) | 32/89 (36%) | 7 (21.9%) | 14 (43.8%) | 11 (34.4%) | |
| Warthin’s tumour | 55 | 1/55 (1.8%) | 1 (100%) | 1/55 (1.82%) | 1 (100%) | ||||||
| Other | 1 | ||||||||||
| Salivary Gland Neoplasm of Uncertain Malignant Potential (SUMP) | Oncocytic | 7 | 3/7 (42.9%) | 2 (66.7%) | 1 (33.3%) | 3/7 (42.9%) | 1 (33.3%) | 2 (66.7%) | |||
| Undetermined | 8 | 2/8 (25%) | 1 (50%) | 1 (50%) | 3/8 (37.5%) | 1 (33.3%) | 1 (33.3%) | 1 (33.3%) | |||
| Suspicious for malignancy (SM) | Epithelial | 6 | 3/6 (50%) | 3 (100%) | 3/6 (50%) | 2 (66.7%) | 1 (33.3%) | ||||
| Lymphoma | 10 | 7/10 (70%) | 2 (28.6%) | 2 (28.6%) | 1 (14.3%) | 2 (28.6%) | |||||
| Malignant (M) | Low-grade | 1 | 1/1 (100%) | 1 (100%) | 1/1 (100%) | 1 (100%) | |||||
| High-grade | 23 | 17/23 (73.9%) | 3 (17.6%) | 2 (11.8%) | 6 (35.3%) | 6 (35.3%) | 2/23 (8.7%) | 2 (100%) | |||
| Metastasis | 13 | 8/13 (61.5%) | 2 (25%) | 1 (12.5%) | 5 (62.5%) | ||||||
| Total | 328 | 76/328 (23,2%) | 21/76 (27.6%) | 9/76 (11.8%) | 28/76 (36.8%) | 18/76 (23.7%) | 48/328 (14.6%) | 10/48 (20.8%) | 22/48 (45.8%) | 16/48 (33.3%) | |
| Patient | Medical History of Neoplasm | Milan System Category | Cytological Diagnosis | Immunochemistry | Histological Diagnosis | ||
|---|---|---|---|---|---|---|---|
| Antibody Used | Results | Justification | |||||
| 58 | None | ND | Cyst content | TTF1 | neg | eliminated metastasis of potential papillary thyroid carcinoma | Mucoepidermoid carcinoma ex PA |
| 85 | Tongue squamous cell carcinoma diagnosed 1 month before | NN | reactive lymph node | AE1/AE3 | neg | eliminated metastasis of the squamous cell carcinoma previously diagnosed | not performed |
| CD3 | pos | ||||||
| CD20 | pos | ||||||
| 86 | Metastatic lung adenocarcinoma diagnosed 3 month before | NN | normal lymph node | AE1/AE3 | neg | eliminated metastasis of the lung adenocarcinoma previously diagnosed | not performed |
| CD3 | pos | ||||||
| CD20 | pos | ||||||
| CK7 | neg | ||||||
| TTF1 | neg | ||||||
| 93 | None | NN | normal lymph node | CD3 | pos | eliminated metastasis of a carcinoma | not performed |
| CD20 | pos | ||||||
| CK7 | neg | ||||||
| 94 | Papillary thyroid carcinoma diagnosed in 1996 | NN | normal lymph node | TTF1 | neg | eliminated metastasis of the papillary thyroid carcinoma previously diagnosed | Normal lymph node |
| 284 | None | SM | lymphoma | AE1/AE3 | neg | eliminated metastasis of a carcinoma | Follicular lymphoma grade 1–2 |
| 285 | None | SM | lymphoma | AE1/AE3 | neg | eliminated metastasis of a carcinoma | DLBCL non-GC |
| 297 | None | M (HG) | undifferenciated carcinoma | TTF1 | neg | eliminated metastasis of a lung adenocarcinoma | salivary duct carcinoma |
| p63 | pos | ||||||
| 298 | None | M (HG) | undifferenciated carcinoma | TTF1 | neg | eliminated metastasis of a lung adenocarcinoma | salivary duct carcinoma |
| p63 | pos | ||||||
| Patient | Milan System Category | Cytological Diagnosis | Histological Diagnosis | Immunocytochemistry | FISH | ||||
|---|---|---|---|---|---|---|---|---|---|
| Antibody Used | Results | Contribution | Probe Used | Results | Contribution | ||||
| 116 | BN | PA | PA | Ki67 | 1% pos | Eliminated HG-M | PLAG1 | neg | No help |
| 117 | BN | PA | PA | Ki67 | 2% pos | Eliminated HG-M | PLAG1 | neg | No help |
| 118 | BN | PA | not performed | p63 | pos | provided the diagnosis | PLAG1 | pos | Provided the diagnosis |
| 119 | BN | PA | not performed | Ki67 | 2% pos | Eliminated HG-M | PLAG1 | pos | Provided the diagnosis |
| 120 | BN | PA | not performed | Ki67 | 1% pos | Eliminated HG-M | PLAG1 | pos | Provided the diagnosis |
| 121 | BN | PA | PA | Ki67 | 3% pos | Eliminated HG-M | PLAG1 | pos | Provided the diagnosis |
| 264 | SUMP | SUMP with Oncocytic features | Cellular PA with oncocytyc cells | Ki67 | 3% pos | Eliminated HG-M | PLAG1 | neg | No help |
| 293 | M (HG) | AdCC | AdCC | Ki67 | 10% pos | In favor of HG-M | MYB | pos | Provided the diagnosis |
| PLAG1 | neg | ||||||||
| 294 | M (HG) | AdCC | AdCC | p63 | pos | did not contribute to diagnosis | MYB | pos | Provided the diagnosis |
| 295 | M (LG) | SC | SC | MAM | 30% pos | provided the diagnosis | ETV6 | pos | Provided the diagnosis |
| 299 | M (HG) | ADK, NOS | metastasis of lung adeno-carcinoma | Ki67 | 20% pos | In favor of HG-M | ETV6 | neg | No help |
| Provider | Antigen Retrieval | Automate | Dilution | |
|---|---|---|---|---|
| CD3 | Roche | pH9 | Ventana, Roche | RTU |
| CD79a | Roche | pH9 | Ventana, Roche | RTU |
| CD15 | Roche | pH9 | Ventana, Roche | RTU |
| CD30 | Roche | pH9 | Ventana, Roche | RTU |
| CD45 | Roche | pH9 | Ventana, Roche | RTU |
| CD68-PGM1 | Clinisciences | No | Ventana, Roche | 1/100 |
| CD56 | Roche | pH9 | Ventana, Roche | RTU |
| AE1/AE3 | Agilent | No | Autostainer, Dako | RTU |
| p63 | Agilent | pH9 | Autostainer, Dako | 1/50 |
| p40 | Dako | pH6 | Autostainer, Dako | 1/200 |
| CK5/6 | Agilent | No | Autostainer, Dako | 1/100 |
| CK7 | Agilent | No | Autostainer, Dako | 1/400 |
| CK20 | Agilent | No | Autostainer, Dako | 1/200 |
| TTF1 | Agilent | pH6 | Autostainer, Dako | RTU |
| Chromogranin | Agilent | No | Autostainer, Dako | 1/100 |
| Synpatophysin | MM France | pH9 | Autostainer, Dako | RTU |
| Ki67 | Agilent | pH6 | Autostainer, Dako | 1/50 |
| Mammaglobin | Dako | No | Autostainer, Dako | RTU |
| Desmin | Agilent | No | Autostainer, Dako | 1/100 |
| Vimentin | Dako | No | Autostainer, Dako | RTU |
| Smooth Muscle Actin | Agilent | No | Autostainer, Dako | RTU |
| Androgen Receptor | Dako | pH9 | Autostainer, Dako | 1/200 |
| MelanA | Agilent | No | Autostainer, Dako | RTU |
| (1) |
© 2019 by the authors. Licensee MDPI, Basel, Switzerland. This article is an open access article distributed under the terms and conditions of the Creative Commons Attribution (CC BY) license (http://creativecommons.org/licenses/by/4.0/).
Share and Cite
Dubucs, C.; Basset, C.; D’Aure, D.; Courtade-Saïdi, M.; Evrard, S.M. A 4-Year Retrospective Analysis of Salivary Gland Cytopathology Using the Milan System for Reporting Salivary Gland Cytology and Ancillary Studies. Cancers 2019, 11, 1912. https://doi.org/10.3390/cancers11121912
Dubucs C, Basset C, D’Aure D, Courtade-Saïdi M, Evrard SM. A 4-Year Retrospective Analysis of Salivary Gland Cytopathology Using the Milan System for Reporting Salivary Gland Cytology and Ancillary Studies. Cancers. 2019; 11(12):1912. https://doi.org/10.3390/cancers11121912
Chicago/Turabian StyleDubucs, Charlotte, Céline Basset, Dominique D’Aure, Monique Courtade-Saïdi, and Solène M. Evrard. 2019. "A 4-Year Retrospective Analysis of Salivary Gland Cytopathology Using the Milan System for Reporting Salivary Gland Cytology and Ancillary Studies" Cancers 11, no. 12: 1912. https://doi.org/10.3390/cancers11121912
APA StyleDubucs, C., Basset, C., D’Aure, D., Courtade-Saïdi, M., & Evrard, S. M. (2019). A 4-Year Retrospective Analysis of Salivary Gland Cytopathology Using the Milan System for Reporting Salivary Gland Cytology and Ancillary Studies. Cancers, 11(12), 1912. https://doi.org/10.3390/cancers11121912

