Detection of Highly Poisonous Nerium oleander Using Quantitative Real-Time PCR with Specific Primers
Abstract
1. Introduction
2. Results
2.1. Establishment of the qPCR Assay for N. oleander Detection
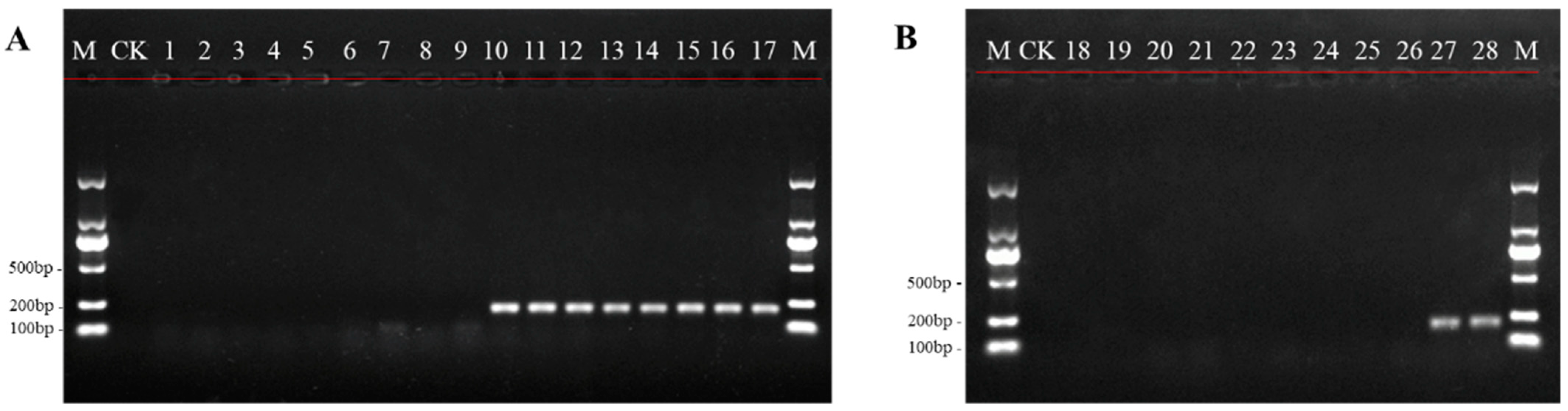
2.2. Application of the qPCR in SFS
3. Discussion
3.1. Significance of the Development of qPCR for N. oleander Detection
3.2. Detection of Oleander-Containing Materials with qPCR
4. Conclusions
5. Materials and Methods
5.1. Collection and Preparation of Materials
5.2. DNA Extraction
5.3. Design and Verification of N. oleander-Specific Primers
5.4. Sensitivity Test of qPCR
5.5. Oleander Detection in Simulated Forensic Samples
Supplementary Materials
Author Contributions
Funding
Institutional Review Board Statement
Informed Consent Statement
Data Availability Statement
Conflicts of Interest
References
- Mezzasalma, V.; Ganopoulos, I.; Galimberti, A.; Cornara, L.; Ferri, E.; Labra, M. Poisonous or non-poisonous plants? DNA-based tools and applications for accurate identification. Int. J. Legal Med. 2017, 131, 1–19. [Google Scholar] [CrossRef] [PubMed]
- Li, M.; Huang, D.; Zhou, Y.; Zhang, J.; Lin, X.; Chen, J. The legacy effects of PM depositon on Nerium Oleander L. Chemosphere 2021, 281, 130682. [Google Scholar] [CrossRef] [PubMed]
- Zhai, J.; Dong, X.; Yan, F.; Guo, H.; Yang, J. Oleandrin: A Systematic Review of its Natural Sources, Structural Properties, Detection Methods, Pharmacokinetics and Toxicology. Front. Pharmacol. 2022, 13, 822726. [Google Scholar] [CrossRef] [PubMed]
- Bandara, V.; Weinstein, S.A.; White, J.; Eddleston, M. A review of the natural history, toxinology, diagnosis and clinical management of Nerium oleander (common oleander) and Thevetia peruviana (yellow oleander) poisoning. Toxicon 2010, 56, 273–281. [Google Scholar] [CrossRef] [PubMed]
- Senthilkumaran, S.; Meenakshisundaram, R.; Michaels, A.D.; Thirumalaikolundusubramanian, P. Electrocardiographic changes during inhalational oleander toxicity. J. Electrocardiol. 2011, 44, 470–472. [Google Scholar] [CrossRef]
- Abdou, R.H.; Basha, W.A.; Khalil, W.F. Subacute Toxicity of Nerium oleander Ethanolic Extract in Mice. Toxicol. Res. 2019, 35, 233–239. [Google Scholar] [CrossRef]
- Pietsch, J.; Oertel, R.; Trautmann, S.; Schulz, K.; Kopp, B.; Dressler, J. A non-fatal oleander poisoning. Int. J. Legal Med. 2005, 119, 236–240. [Google Scholar] [CrossRef]
- Watson, W.A.; Litovitz, T.L.; Rodgers, G.C., Jr.; Klein-Schwartz, W.; Reid, N.; Youniss, J.; Flanagan, A.; Wruk, K.M. 2004 Annual report of the American Association of Poison Control Centers Toxic Exposure Surveillance System. Am. J. Emerg. Med. 2005, 23, 589–666. [Google Scholar] [CrossRef] [PubMed]
- Abhilash, K.P.; Murugan, S.; Rabbi, A.S.; Pradeeptha, S.; Pradeep, R.; Gunasekaran, K. Deliberate Self-poisoning due to Plant Toxins: Verdant Footprints of the Past into the Present. Indian J. Crit. Care Med. 2021, 25, 392–397. [Google Scholar] [CrossRef]
- Azzalini, E.; Bernini, M.; Vezzoli, S.; Antonietti, A.; Verzeletti, A. A fatal case of self-poisoning through the ingestion of oleander leaves. J. Forensic Leg. Med. 2019, 65, 133–136. [Google Scholar] [CrossRef]
- Carfora, A.; Petrella, R.; Borriello, R.; Aventaggiato, L.; Gagliano-Candela, R.; Campobasso, C.P. Fatal poisoning by ingestion of a self-prepared oleander leaf infusion. Forensic Sci. Med. Pathol. 2021, 17, 120–125. [Google Scholar] [CrossRef] [PubMed]
- Papi, L.; Luciani, A.B.; Forni, D.; Giusiani, M. Unexpected double lethal oleander poisoning. Am. J. Forensic Med. Pathol. 2012, 33, 93–97. [Google Scholar] [CrossRef] [PubMed]
- Barbosa, R.R.; Fontenele-Neto, J.D.; Soto-Blanco, B. Toxicity in goats caused by oleander (Nerium oleander). Res. Vet. Sci. 2008, 85, 279–281. [Google Scholar] [CrossRef] [PubMed]
- Omidi, A.; Razavizadeh, A.T.; Movassaghi, A.R.; Aslani, M.R. Experimental oleander (Nerium oleander) intoxication in broiler chickens (Gallus gallus). Hum. Exp. Toxicol. 2012, 31, 853–858. [Google Scholar] [CrossRef]
- Rubini, S.; Rossi, S.S.; Mestria, S.; Odoardi, S.; Chendi, S.; Poli, A.; Merialdi, G.; Andreoli, G.; Frisoni, P.; Gaudio, R.M.; et al. A Probable Fatal Case of Oleander (Nerium oleander) Poisoning on a Cattle Farm: A New Method of Detection and Quantification of the Oleandrin Toxin in Rumen. Toxins 2019, 11, 442. [Google Scholar] [CrossRef]
- Ada, S.E.; Al-Yahya, M.A.; Al-Farhan, A.H. Acute toxicity of various oral doses of dried Nerium oleander leaves in sheep. Am. J. Chin. Med. 2001, 29, 525–532. [Google Scholar]
- Ceci, L.; Girolami, F.; Capucchio, M.T.; Colombino, E.; Nebbia, C.; Gosetti, F.; Marengo, E.; Iarussi, F.; Carelli, G. Outbreak of Oleander (Nerium oleander) Poisoning in Dairy Cattle: Clinical and Food Safety Implications. Toxins 2020, 12, 471. [Google Scholar] [CrossRef]
- Farkhondeh, T.; Kianmehr, M.; Kazemi, T.; Samarghandian, S.; Khazdair, M.R. Toxicity effects of Nerium oleander, basic and clinical evidence: A comprehensive review. Hum. Exp. Toxicol. 2020, 39, 773–784. [Google Scholar] [CrossRef]
- Mohammadi, F.; Sharifisirchi, G.; Samsampour, D. Morphological, genetic and pigment diversity of Nerium indicum Mill in Iran. Cell. Mol. Biol. (Noisy-Le-Grand) 2017, 63, 64–70. [Google Scholar] [CrossRef]
- Bashir, K.; Sohail, A.; Ali, U.; Ullah, A.; Ul Haq, Z.; Gul, B.; Ullah, I.; Sunera; Asghar, M. Foliar micromorphology and its role in identification of the Apocynaceae taxa. Microsc. Res. Tech. 2020, 83, 755–766. [Google Scholar] [CrossRef]
- Zhai, J.X.; Yan, H.; Shen, M.; Shen, B.H.; Liu, W. Determination of Oleandrin in Blood and Liver Samples by LC-MS/MS. Fa Yi Xue Za Zhi 2018, 34, 585–589. [Google Scholar] [CrossRef] [PubMed]
- Gosetti, F.; Nebbia, C.; Ceci, L.; Carelli, G.; Marengo, E. UHPLC-MS/MS determination of oleandrin in blood and tissues of dairy cattle poisoned by oleander (Nerium oleander). Anal. Methods 2019, 11, 5562–5567. [Google Scholar] [CrossRef]
- Xu, X.; Ge, W.; Suryoprabowo, S.; Guo, X.; Zhu, J.; Liu, L.; Xu, C.; Kuang, H. Fluorescence-based immunochromatographic test strip for the detection of hyoscyamine. Analyst 2022, 147, 293–302. [Google Scholar] [CrossRef] [PubMed]
- Wang, G.; Bai, X.; Chen, X.; Ren, Y.; Han, J. Development of a Genus-Universal Nucleotide Signature for the Identification and Supervision of Ephedra-Containing Products. Molecules 2022, 27, 2342. [Google Scholar] [CrossRef] [PubMed]
- Yu, Z.; Xu, Q.; Xiao, C.; Li, H.; Wu, W.; Du, W.; Zhao, J.; Liu, H.; Wang, H.; Liu, C. SYBR Green real-time qPCR method: Diagnose drowning more rapidly and accurately. Forensic Sci. Int. 2021, 321, 110720. [Google Scholar] [CrossRef]
- Dorlass, E.G.; Monteiro, C.O.; Viana, A.O.; Soares, C.P.; Machado, R.R.G.; Thomazelli, L.M.; Araujo, D.B.; Leal, F.B.; Candido, E.D.; Telezynski, B.L.; et al. Lower cost alternatives for molecular diagnosis of COVID-19: Conventional RT-PCR and SYBR Green-based RT-qPCR. Braz. J. Microbiol. 2020, 51, 1117–1123. [Google Scholar] [CrossRef]
- Esbin, M.N.; Whitney, O.N.; Chong, S.; Maurer, A.; Darzacq, X.; Tjian, R. Overcoming the bottleneck to widespread testing: A rapid review of nucleic acid testing approaches for COVID-19 detection. RNA 2020, 26, 771–783. [Google Scholar] [CrossRef]
- Kim, W.J.; Yang, S.; Choi, G.; Park, I.; Noh, P.; Lee, A.Y.; Kim, H.S.; Moon, B.C. Establishment of conventional PCR and real-time PCR assays for accurate, rapid and quantitative authentication of four mistletoe species. Phytochemistry 2020, 176, 112400. [Google Scholar] [CrossRef]
- Al-Kahtani, H.A.; Ismail, E.A.; Asif Ahmed, M. Pork detection in binary meat mixtures and some commercial food products using conventional and real-time PCR techniques. Food Chem. 2017, 219, 54–60. [Google Scholar] [CrossRef]
- Lo, Y.T.; Shaw, P.C. Quantification of concentrated Chinese medicine granules by quantitative polymerase chain reaction. J Pharm. Biomed. Anal. 2017, 145, 661–665. [Google Scholar] [CrossRef]
- Mano, J.; Nishitsuji, Y.; Kikuchi, Y.; Fukudome, S.-I.; Hayashida, T.; Kawakami, H.; Kurimoto, Y.; Noguchi, A.; Kondo, K.; Teshima, R.; et al. Quantification of DNA fragmentation in processed foods using real-time PCR. Food Chem. 2017, 226, 149–155. [Google Scholar] [CrossRef] [PubMed]
- Kim, G.S.; Oh, S.H.; Jang, C.S. Development of molecular markers to distinguish between morphologically similar edible plants and poisonous plants using a real-time PCR assay. J. Sci. Food Agric. 2021, 101, 1030–1037. [Google Scholar] [CrossRef] [PubMed]
- Rodriguez-Lazaro, D.; Hernandez, M. Confirmation of isolates of Listeria by conventional and real-time PCR. Methods Mol. Biol. 2014, 1157, 31–38. [Google Scholar] [CrossRef] [PubMed]
- Hebert, P.D.; Cywinska, A.; Ball, S.L.; deWaard, J.R. Biological identifications through DNA barcodes. Proc. Biol. Sci. 2003, 270, 313–321. [Google Scholar] [CrossRef]
- Kim, W.J.; Yang, S.; Choi, G.; Park, I.; Noh, P.; Seo, C.S.; Moon, B.C. Development of conventional PCR and real-time PCR assays to discriminate the origins of Chinese pepper oil and herbal materials from Zanthoxylum. J. Sci. Food Agric. 2019, 99, 2021–2029. [Google Scholar] [CrossRef] [PubMed]
- Lv, Y.-N.; Yang, C.-Y.; Shi, L.-C.; Zhang, Z.-L.; Xu, A.-S.; Zhang, L.-X.; Li, X.-L.; Li, H.-T. Identification of medicinal plants within the Apocynaceae family using ITS2 and psbA-trnH barcodes. Chin. J. Nat. Med. 2020, 18, 594–605. [Google Scholar] [CrossRef]
- Sakurada, M.; Yoshioka, N.; Kuse, A.; Nakagawa, K.; Morichika, M.; Takahashi, M.; Kondo, T.; Asano, M.; Ueno, Y. Rapid identification of Gloriosa superba and Colchicum autumnale by melting curve analysis: Application to a suicide case involving massive ingestion of G. superba. Int. J. Legal Med. 2019, 133, 1065–1073. [Google Scholar] [CrossRef]
- Zhang, M.; Luo, L.; Dai, X.; He, Y.; Ma, J. Determination of oleandrin and adynerin in rat plasma by UPLC–MS/MS and their pharmacokinetic study. Arab. J. Chem. 2022, 15, 104369. [Google Scholar] [CrossRef]
- Liu, Y.; Wang, X.; Wang, L.; Chen, X.; Pang, X.; Han, J. A Nucleotide Signature for the Identification of American Ginseng and Its Products. Front. Plant Sci. 2016, 7, 319. [Google Scholar] [CrossRef]
- Wang, G.; Liu, Y.; Bai, X.; Cao, P.; Pang, X.; Han, J. Identification and poisoning diagnosis of Aconitum materials using a genus-specific nucleotide signature. Ecotoxicol. Environ. Saf. 2022, 237, 113539. [Google Scholar] [CrossRef]
- Howard, C.; Hill, E.; Kreuzer, M.; Mali, P.; Masiero, E.; Slater, A.; Sgamma, T. DNA Authentication of St John’s Wort (Hypericum perforatum L.) Commercial Products Targeting the ITS Region. Genes 2019, 10, 286. [Google Scholar] [CrossRef] [PubMed]
- Wang, X.-Y.; Zheng, S.-H.; Liu, Y.; Han, J.-P. ITS2, a Better DNA Barcode than ITS in Identification of Species in Artemisia L. Chin. Herb. Med. 2016, 8, 352–358. [Google Scholar] [CrossRef]
- Kumar, S.; Stecher, G.; Li, M.; Knyaz, C.; Tamura, K. MEGA X: Molecular Evolutionary Genetics Analysis across Computing Platforms. Mol. Biol. Evol. 2018, 35, 1547–1549. [Google Scholar] [CrossRef] [PubMed]



| Type | Oleander Content (w/w) | Boiling | Digestion | Detection |
|---|---|---|---|---|
| Animals | 100% | - | 37 °C, 4 h | √ |
| 50% | - | 37 °C, 4 h | √ | |
| 10% | - | 37 °C, 4 h | √ | |
| 1% | - | 37 °C, 4 h | √ | |
| 0.1% | - | 37 °C, 4 h | √ | |
| Humans | 100% | 100 °C, 30 min | 37 °C, 4 h | √ |
| 50% | 100 °C, 30 min | 37 °C, 4 h | √ | |
| 10% | 100 °C, 30 min | 37 °C, 4 h | √ | |
| 1% | 100 °C, 30 min | 37 °C, 4 h | √ | |
| 0.1% | 100 °C, 30 min | 37 °C, 4 h | √ |
| Sample No. | Voucher No. | Resource | GenBank Accession | Sequence Type |
|---|---|---|---|---|
| O1 | JZT2101 | Suqian, Jiangsu | OP658836 | ITS |
| O2 | JZT2102 | Suqian, Jiangsu | OP658837 | ITS |
| O3 | JZT2103 | Suqian, Jiangsu | OP658838 | ITS |
| O4 | JZT2104 | Muyang, Jiangsu | OP658839 | ITS |
| O5 | JZT2105 | Suqian, Jiangsu | OP658840 | ITS |
| O6 | JZT2106 | Haidian, Beijing | OP658841 | ITS |
| O7 | JZT2107 | Haikou, Hainan | OP658842 | ITS |
Publisher’s Note: MDPI stays neutral with regard to jurisdictional claims in published maps and institutional affiliations. |
© 2022 by the authors. Licensee MDPI, Basel, Switzerland. This article is an open access article distributed under the terms and conditions of the Creative Commons Attribution (CC BY) license (https://creativecommons.org/licenses/by/4.0/).
Share and Cite
Bai, X.; Wang, G.; Ren, Y.; Han, J. Detection of Highly Poisonous Nerium oleander Using Quantitative Real-Time PCR with Specific Primers. Toxins 2022, 14, 776. https://doi.org/10.3390/toxins14110776
Bai X, Wang G, Ren Y, Han J. Detection of Highly Poisonous Nerium oleander Using Quantitative Real-Time PCR with Specific Primers. Toxins. 2022; 14(11):776. https://doi.org/10.3390/toxins14110776
Chicago/Turabian StyleBai, Xuanjiao, Gang Wang, Ying Ren, and Jianping Han. 2022. "Detection of Highly Poisonous Nerium oleander Using Quantitative Real-Time PCR with Specific Primers" Toxins 14, no. 11: 776. https://doi.org/10.3390/toxins14110776
APA StyleBai, X., Wang, G., Ren, Y., & Han, J. (2022). Detection of Highly Poisonous Nerium oleander Using Quantitative Real-Time PCR with Specific Primers. Toxins, 14(11), 776. https://doi.org/10.3390/toxins14110776

