Porcine Placental Extract Improves the Lipid Profile and Body Weight in a Post-Menopausal Rat Model Without Affecting Reproductive Tissues
Abstract
1. Introduction
2. Materials and Methods
2.1. Animals
2.2. Porcine Placental Extract and Animal Experiment Protocol
2.3. Biochemical Assay
2.4. Quantitative Real-Time Polymerase Chain Reaction
2.5. Histology
2.6. Statistical Analysis
3. Results
3.1. Effects of PPE on Body Weight and Food Intake
3.2. Effects of PPE on Visceral Fat Weight, Subcutaneous Fat Weight, and Size
3.3. Effects of PPE on Biochemical Parameters
3.4. Effects of Central and Peripheral Neuromodulators
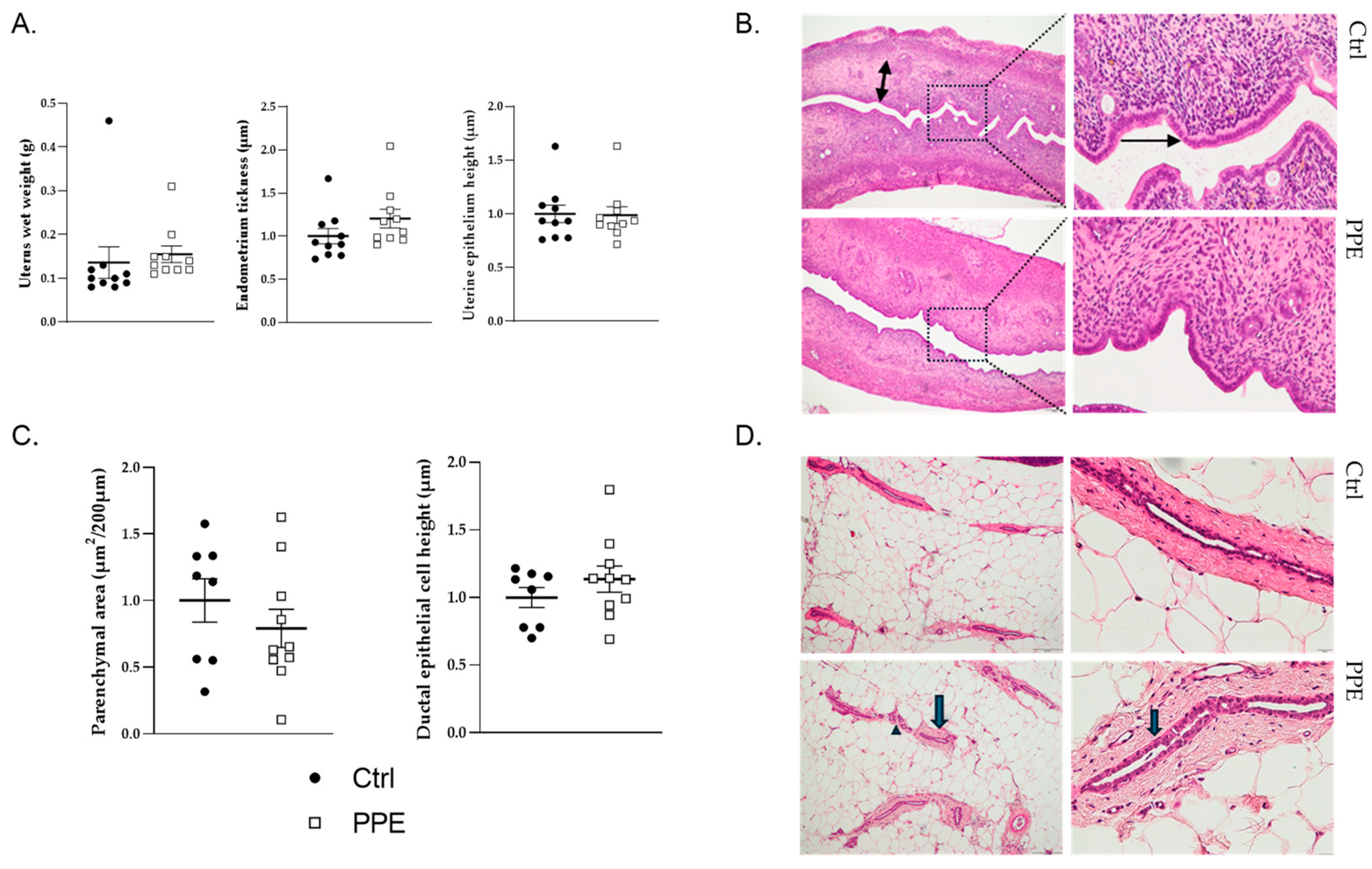
3.5. Effects of PPE on Uterine and Mammary Gland Tissue
4. Discussion
5. Conclusions
Author Contributions
Funding
Institutional Review Board Statement
Informed Consent Statement
Data Availability Statement
Conflicts of Interest
References
- Opoku, A.A.; Abushama, M.; Konje, J.C. Obesity and Menopause. Best Pract. Res. Clin. Obstet. Gynaecol. 2023, 88, 102348. [Google Scholar] [CrossRef] [PubMed]
- Monteleone, P.; Mascagni, G.; Giannini, A.; Genazzani, A.R.; Simoncini, T. Symptoms of Menopause—Global Prevalence, Physiology and Implications. Nat. Rev. Endocrinol. 2018, 14, 199–215. [Google Scholar] [CrossRef] [PubMed]
- Fang, Y.; Liu, F.; Zhang, X.; Chen, L.; Liu, Y.; Yang, L.; Zheng, X.; Liu, J.; Li, K.; Li, Z. Mapping Global Prevalence of Menopausal Symptoms among Middle-Aged Women: A Systematic Review and Meta-Analysis. BMC Public Health 2024, 24, 1767. [Google Scholar] [CrossRef]
- Flores-García, L.C.; Ventura-Gallegos, J.L.; Romero-Córdoba, S.L.; Hernández-Juárez, A.J.; Naranjo-Meneses, M.A.; García-García, E.; Méndez, J.P.; Cabrera-Quintero, A.J.; Ramírez-Ruíz, A.; Pedraza-Sánchez, S.; et al. Sera from Women with Different Metabolic and Menopause States Differentially Regulate Cell Viability and Akt Activation in a Breast Cancer In-Vitro Model. PLoS ONE 2022, 17, e0266073. [Google Scholar] [CrossRef]
- de Toledo, A.; Nomoto, K.; Hirano, E.; Tohda, C. Horse Placental Extract Enhances Neurogenesis in the Presence of Amyloid β. Nutrients 2021, 13, 1672. [Google Scholar] [CrossRef]
- Ou, Y.-J.; Lee, J.-I.; Huang, S.-P.; Chen, S.-C.; Geng, J.-H.; Su, C.-H. Association between Menopause, Postmenopausal Hormone Therapy and Metabolic Syndrome. J. Clin. Med. 2023, 12, 4435. [Google Scholar] [CrossRef]
- Sourla, A.; Martel, C.; Labrie, C.; Labrie, F. Almost Exclusive Androgenic Action of Dehydroepiandrosterone in the Rat Mammary Gland. Endocrinology 1998, 139, 753–764. [Google Scholar] [CrossRef]
- Ando, Y.; Odawara, E.; Sakai, H.; Sato, F.; Kamei, J. Placental Extract Suppresses Lipid Droplet Accumulation by Autophagy during the Differentiation of Adipose-Derived Mesenchymal Stromal/Stem Cells into Mature Adipocytes. BMC Res. Notes 2023, 16, 338. [Google Scholar] [CrossRef]
- Biswas, S.K.; Banerjee, S.; Baker, G.W.; Kuo, C.-Y.; Chowdhury, I. The Mammary Gland: Basic Structure and Molecular Signaling during Development. Int. J. Mol. Sci. 2022, 23, 3883. [Google Scholar] [CrossRef]
- Yamamoto, S.; Arakaki, R.; Noguchi, H.; Takeda, A.; Uchishiba, M.; Kamada, S.; Mineda, A.; Kon, M.; Kawakita, T.; Kinouchi, R.; et al. New Discoveries on the Interaction between Testosterone and Oxytocin in Male Rats—Testosterone-Mediated Effects of Oxytocin in the Prevention of Obesity. Physiol. Behav. 2023, 266, 114199. [Google Scholar] [CrossRef]
- Lee, Y.-K.; Chung, H.H.; Kang, S.-B. Efficacy and Safety of Human Placenta Extract in Alleviating Climacteric Symptoms: Prospective, Randomized, Double-Blind, Placebo-Controlled Trial. J. Obstet. Gynaecol. Res. 2009, 35, 1096–1101. [Google Scholar] [CrossRef] [PubMed]
- Hamoda, H.; Panay, N.; Pedder, H.; Arya, R.; Savvas, M. The British Menopause Society & Women’s Health Concern 2020 Recommendations on Hormone Replacement Therapy in Menopausal Women. Post Reprod. Health 2020, 26, 181–209. [Google Scholar] [CrossRef] [PubMed]
- Cardwell, C.R.; Ranger, T.A.; Labeit, A.M.; Coupland, C.A.C.; Hicks, B.; Hughes, C.; McMenamin, Ú.; Mei, X.W.; Murchie, P.; Hippisley-Cox, J. Hormone Replacement Therapy and Cancer Mortality in Women with 17 Site-Specific Cancers: A Cohort Study Using Linked Medical Records. Br. J. Cancer 2024, 131, 737–746. [Google Scholar] [CrossRef] [PubMed]
- Iwasa, T.; Matsuzaki, T.; Mayila, Y.; Yanagihara, R.; Yamamoto, Y.; Kawakita, T.; Kuwahara, A.; Irahara, M. Oxytocin Treatment Reduced Food Intake and Body Fat and Ameliorated Obesity in Ovariectomized Female Rats. Neuropeptides 2019, 75, 49–57. [Google Scholar] [CrossRef]
- Pogozhykh, O.; Prokopyuk, V.; Figueiredo, C.; Pogozhykh, D. Placenta and Placental Derivatives in Regenerative Therapies: Experimental Studies, History, and Prospects. Stem Cells Int. 2018, 2018, 4837930. [Google Scholar] [CrossRef]
- Erdenebayar, O.; Kato, T.; Kawakita, T.; Kasai, K.; Kadota, Y.; Yoshida, K.; Iwasa, T.; Irahara, M. Effects of Peripheral Oxytocin Administration on Body Weight, Food Intake, Adipocytes, and Biochemical Parameters in Peri- and Postmenopausal Female Rats. Endocr. J. 2021, 68, 7–16. [Google Scholar] [CrossRef]
- Tokui, T.; Kawakita, T.; Yanagihara, R.; Kamada, S.; Minato, S.; Takeda, A.; Imaizumi, J.; Yamamoto, Y.; Yoshida, K.; Kato, T.; et al. Effects of Gonadal Status and the Estrogen Milieu on Hypothalamic Oxytocin Gene Expression and Serum Oxytocin Levels in Female Rats. Horm. Behav. 2021, 133, 105005. [Google Scholar] [CrossRef]
- Percie du Sert, N.; Ahluwalia, A.; Alam, S.; Avey, M.T.; Baker, M.; Browne, W.J.; Clark, A.; Cuthill, I.C.; Dirnagl, U.; Emerson, M.; et al. Reporting Animal Research: Explanation and Elaboration for the ARRIVE Guidelines 2.0. PLoS Biol. 2020, 18, e3000411. [Google Scholar] [CrossRef]
- Kong, M.-H.; Lee, E.-J.; Lee, S.-Y.; Cho, S.-J.; Hong, Y.-S.; Park, S.-B. Effect of Human Placental Extract on Menopausal Symptoms, Fatigue, and Risk Factors for Cardiovascular Disease in Middle-Aged Korean Women. Menopause 2008, 15, 296–303. [Google Scholar] [CrossRef]
- Lee, J.Y.; Lee, C.; Yoon, S.-H.; Choi, H. Effect of Porcine Placental Extract on Menopausal Symptoms in Postmenopausal Women: A Prospective, Randomized, Double-Blind, Placebo-Controlled Trial. Taiwan. J. Obstet. Gynecol. 2020, 59, 675–681. [Google Scholar] [CrossRef]
- Han, N.-R.; Park, C.-L.; Kim, N.-R.; Kim, H.-Y.; Yoou, M.-S.; Nam, S.-Y.; Moon, P.-D.; Jeong, H.-J.; Kim, H.-M. Protective Effect of Porcine Placenta in a Menopausal Ovariectomized Mouse. Reproduction 2015, 150, 173–181. [Google Scholar] [CrossRef] [PubMed]
- Steiner, B.M.; Berry, D.C. The Regulation of Adipose Tissue Health by Estrogens. Front. Endocrinol. 2022, 13, 889923. [Google Scholar] [CrossRef] [PubMed]
- Lizcano, F.; Guzmán, G. Estrogen Deficiency and the Origin of Obesity during Menopause. BioMed Res. Int. 2014, 2014, 757461. [Google Scholar] [CrossRef]
- Giles, E.D.; Jindal, S.; Wellberg, E.A.; Schedin, T.; Anderson, S.M.; Thor, A.D.; Edwards, D.P.; MacLean, P.S.; Schedin, P. Metformin Inhibits Stromal Aromatase Expression and Tumor Progression in a Rodent Model of Postmenopausal Breast Cancer. Breast Cancer Res. 2018, 20, 50. [Google Scholar] [CrossRef]
- Nam, S.-Y.; Yoou, M.-S.; Kim, H.-M.; Jeong, H.-J. Efficacy of Proline in the Treatment of Menopause. Exp. Biol. Med. 2016, 241, 611–619. [Google Scholar] [CrossRef]
- Raczkiewicz, D.; Owoc, A.; Wierzbińska-Stępniak, A.; Bojar, I. Metabolic Syndrome in Peri-and Postmenopausal Women Performing Intellectual Work. Ann Agric Environ. Med. 2018, 25, 610–615. [Google Scholar] [CrossRef]
- Moris, J.M.; Heinold, C.; Blades, A.; Koh, Y. Nutrient-Based Appetite Regulation. J. Obes. Metab. Syndr. 2022, 31, 161–168. [Google Scholar] [CrossRef]
- Chen, Y.; Sood, S.; McIntire, K.; Roth, R.; Rabkin, R. Leucine-Stimulated mTOR Signaling Is Partly Attenuated in Skeletal Muscle of Chronically Uremic Rats. Am. J. Physiol.-Endocrinol. Metab. 2011, 301, E873–E881. [Google Scholar] [CrossRef]
- Koike, K.; Yamamoto, Y.; Suzuki, N.; Yamazaki, R.; Yoshikawa, C.; Takano, F.; Sugiura, K.; Inoue, M. Efficacy of Porcine Placental Extract on Shoulder Stiffness in Climacteric Women. Climacteric 2013, 16, 447–452. [Google Scholar] [CrossRef]



| Amino Acids (g) | Amount (g/100 g) | Amino Acids (g) | Amount (g/100 g) |
|---|---|---|---|
| Isoleucine (g) | 0.92 | Tryptophan (g) | 0.3 |
| Leucine (g) | 1.77 | Valine (g) | 1.11 |
| Lysine (g) | 1.27 | Arginine (g) | 1.47 |
| Methionine (g) | 0.43 | Histidine (g) | 0.62 |
| Cystine (g) | 0.36 | Alanine (g) | 1.19 |
| Phenylalanine (g) | 1.06 | Aspartic acid (g) | 2.12 |
| Tyrosine (g) | 0.74 | Proline (g) | 1.28 |
| Threonine (g) | 0.89 | Serine (g) | 1.1 |
| Ctrl (n = 10) | PPE (n = 10) | Reference | p-Value | |
|---|---|---|---|---|
| Total Cholesterol (mg/dL) | 102.9 ± 3.7 | 90.1 ± 3.2 | 81 ± 24 | 0.01 |
| Triglyceride (mg/dL) | 144.2 ± 15.8 | 97.3 ± 15.0 | 131.5 ± 76.5 | 0.04 |
| Glucose (mg/dL) | 111.9 ± 4.4 | 122.9 ± 5.2 | 202.5 ± 53.5 | 0.12 |
| HDL-C (mg/dL) | 42.9 ± 1.4 | 34.2 ± 0.8 | 33.5 ± 8.5 | 0.00 |
| LDL-C (mg/dL) | 9 ± 0.4 | 9.9 ± 0.5 | 10 ± 4 | 0.24 |
| Total Bilirubin (mg/dL) | 0.08 ± 0.0 | 0.068 ± 0.0 | 0.04 ± 0.01 | 0.04 |
| Total Protein (g/dL) | 6.8 ± 0.1 | 6.52 ± 0.0 | 5.9 ± 0.4 | 0.06 |
| Creatinine (mg/dL) | 0.307 ± 0.0 | 0.338 ± 0.0 | 0.2 ± 0.05 | 0.02 |
| BUN (mg/dL) | 21.87 ± 0.7 | 20.96 ± 0.8 | 20.3 ± 6.1 | 0.43 |
| AST (IU/L) | 180.3 ± 14.2 | 192.9 ± 12.6 | 130 ± 36 | 0.51 |
| ALT (IU/L) | 42.4 ± 1.7 | 35.5 ± 1.6 | 49 ± 15 | 0.00 |
| Oxytocin (pg/mL) | 21.2 ± 2.4 | 16.7 ± 1.5 | - | 0.14 |
| Leptin (ng/mL) | 6.8 ± 0.4 | 6.6 ± 0.6 | - | 0.74 |
Disclaimer/Publisher’s Note: The statements, opinions and data contained in all publications are solely those of the individual author(s) and contributor(s) and not of MDPI and/or the editor(s). MDPI and/or the editor(s) disclaim responsibility for any injury to people or property resulting from any ideas, methods, instructions or products referred to in the content. |
© 2025 by the authors. Licensee MDPI, Basel, Switzerland. This article is an open access article distributed under the terms and conditions of the Creative Commons Attribution (CC BY) license (https://creativecommons.org/licenses/by/4.0/).
Share and Cite
Purevdorj, T.; Arata, M.; Nii, M.; Yamamoto, S.; Noguchi, H.; Takeda, A.; Aoki, H.; Inui, H.; Kagawa, T.; Kinouchi, R.; et al. Porcine Placental Extract Improves the Lipid Profile and Body Weight in a Post-Menopausal Rat Model Without Affecting Reproductive Tissues. Nutrients 2025, 17, 984. https://doi.org/10.3390/nu17060984
Purevdorj T, Arata M, Nii M, Yamamoto S, Noguchi H, Takeda A, Aoki H, Inui H, Kagawa T, Kinouchi R, et al. Porcine Placental Extract Improves the Lipid Profile and Body Weight in a Post-Menopausal Rat Model Without Affecting Reproductive Tissues. Nutrients. 2025; 17(6):984. https://doi.org/10.3390/nu17060984
Chicago/Turabian StylePurevdorj, Tugsjargal, Moeka Arata, Mari Nii, Shota Yamamoto, Hiroki Noguchi, Asuka Takeda, Hidenori Aoki, Hiroaki Inui, Tomohiro Kagawa, Riyo Kinouchi, and et al. 2025. "Porcine Placental Extract Improves the Lipid Profile and Body Weight in a Post-Menopausal Rat Model Without Affecting Reproductive Tissues" Nutrients 17, no. 6: 984. https://doi.org/10.3390/nu17060984
APA StylePurevdorj, T., Arata, M., Nii, M., Yamamoto, S., Noguchi, H., Takeda, A., Aoki, H., Inui, H., Kagawa, T., Kinouchi, R., Yamamoto, Y., Yoshida, K., & Iwasa, T. (2025). Porcine Placental Extract Improves the Lipid Profile and Body Weight in a Post-Menopausal Rat Model Without Affecting Reproductive Tissues. Nutrients, 17(6), 984. https://doi.org/10.3390/nu17060984

