A Novel Supplement Consisting of Rice, Silkworm Pupae and a Mixture of Ginger and Holy Basil Improves Post-Stroke Cognitive Impairment
Abstract
1. Introduction
2. Materials and Methods
2.1. Preparation of the Rice Polymer Loaded with Silkworm Pupae Hydrolysate and the Combined Extract of Ginger and Holy Basil (JP1)
2.2. Experimental Animals and Protocol
2.3. Permanent Occlusion of the Right Middle Cerebral Artery (MCAO)
2.4. Behavioral Assessments
2.4.1. Morris Water Maze Test
2.4.2. Novel Object Recognition Test
2.4.3. Locomotor Activity
2.5. Assessment of Oxidative Stress Status
2.6. Western Blot Assessments
2.7. Assessment of AChE Activity
2.8. Determination of Corticosterone Level
2.9. Determination and Enumeration of Lactobacillus spp. and Bifidobacterium spp.
2.10. Histological Study
2.11. Statistical Analysis
3. Results
3.1. Effect of JP1 on Memory
3.1.1. Effect of JP1 on Spatial Memory
3.1.2. Effect of JP1 on Non-Spatial Memory
3.2. Changes in Neuron Density in the Prefrontal Cortex and Hippocampus
Changes in Neuron Density in the Hippocampus
3.3. Change in Corticosterone Levels
3.4. Acetylcholinesterase (AChE) Activity Changes in the Brain
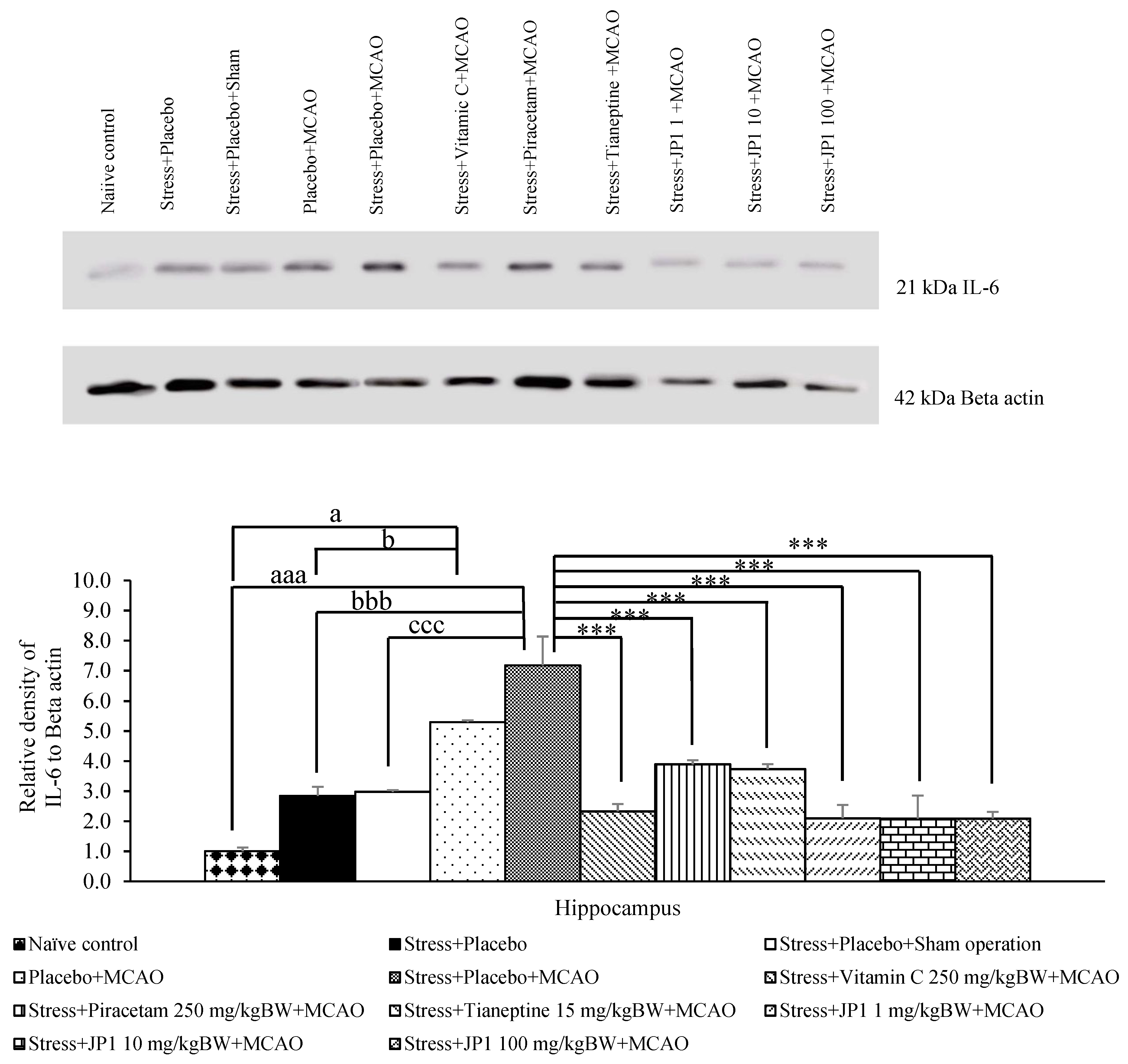
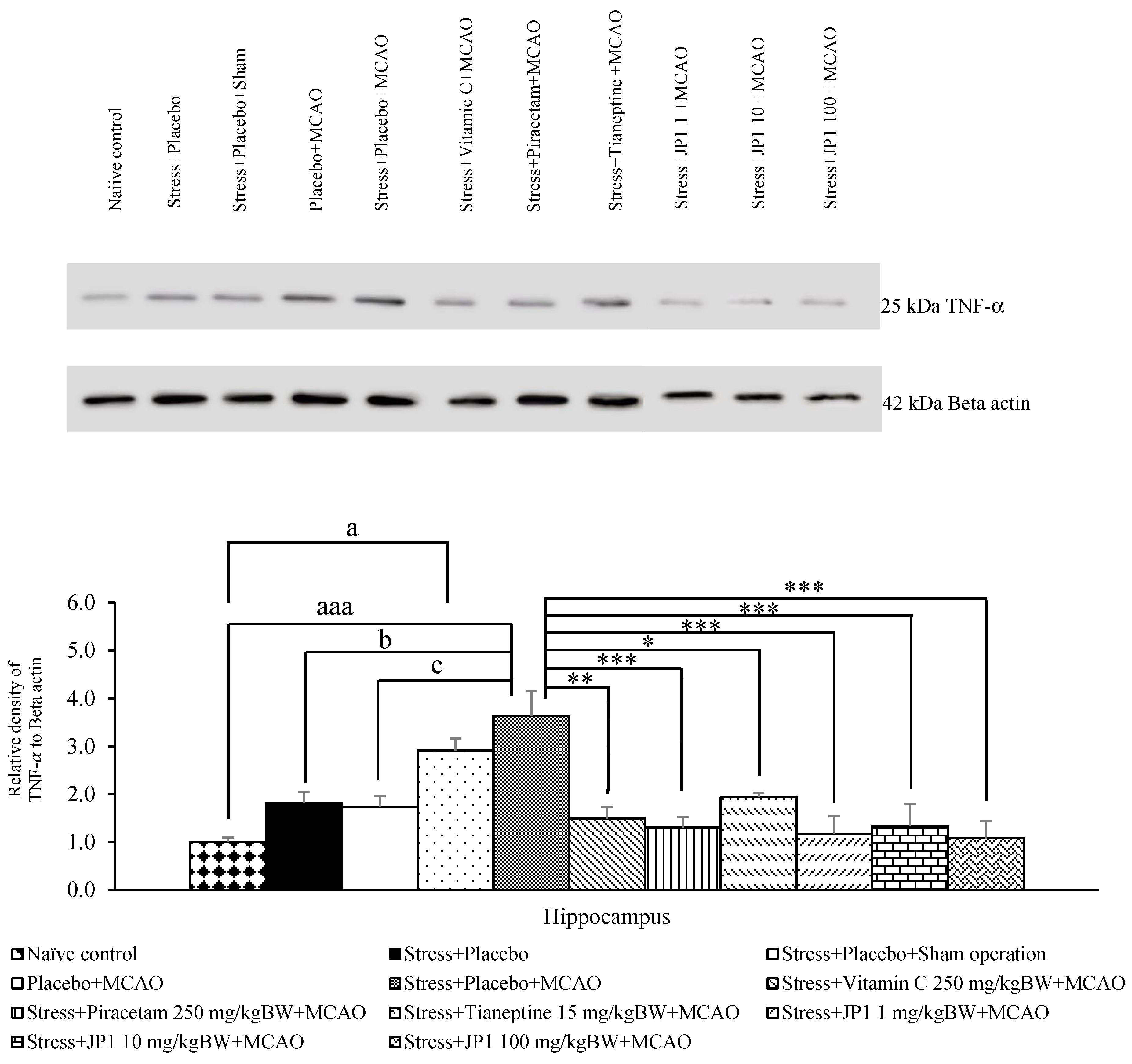
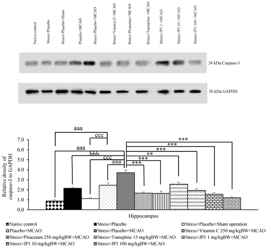
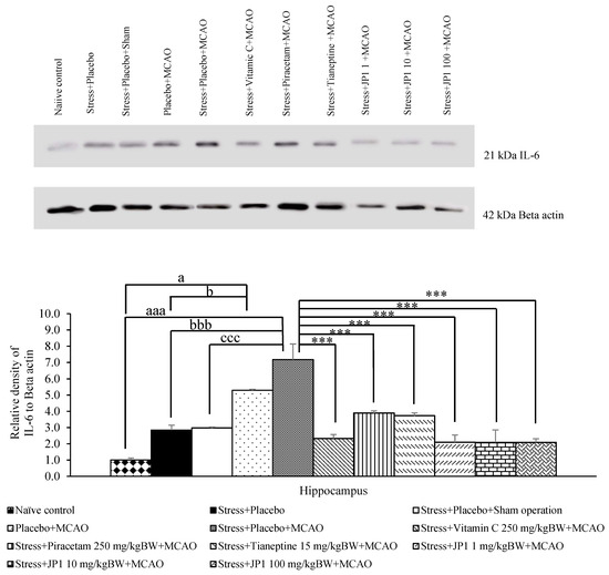
3.5. Alterations of Inflammatory and Apoptosis Mediators
3.6. Effect on Erk Signaling Pathway
3.7. Changes in Oxidative Stress Markers in the Hippocampus
3.8. Changes in the Amount of Lactobacillus spp. and Bifidobacterium spp. in the Feces of Various Treated Rats
4. Discussion
5. Conclusions
Supplementary Materials
Author Contributions
Funding
Institutional Review Board Statement
Informed Consent Statement
Data Availability Statement
Conflicts of Interest
References
- El Husseini, N.; Katzan, I.L.; Rost, N.S.; Blake, M.L.; Byun, E.; Pendlebury, S.T.; Aparicio, H.J.; Marquine, M.J.; Gottesman, R.F.; Smith, E.E.; et al. Cognitive Impairment After Ischemic and Hemorrhagic Stroke: A Scientific Statement from the American Heart Association/American Stroke Association. Stroke 2023, 54, e272–e291. [Google Scholar] [CrossRef] [PubMed]
- Guo, X.; Phan, C.; Batarseh, S.; Wei, M.; Dye, J. Risk factors and predictive markers of post-stroke cognitive decline—A mini review. Front. Aging Neurosci. 2024, 16, 1359792. [Google Scholar] [CrossRef] [PubMed]
- Mysiw, W.J.; Beegan, J.G.; Gatens, P.F. Prospetive cognitive assessment of stroke patients before inpatient rehabilitation. Am. J. Phys. Med. Rehabil. 1989, 68, 168–171. [Google Scholar] [CrossRef] [PubMed]
- Harikarnpukdee, C. The prevalence of cognitive impairment in post-stroke patients in Kalasin hospital and associated factors for cognitive impairment in post-stroke patients. J. Dis. Health Risk DPC.3 2018, 12, 1–10. [Google Scholar]
- Pu, L.; Wang, L.; Zhang, R.; Zhao, T.; Jiang, Y.; Han, L. Projected Global Trends in Ischemic Stroke Incidence, Deaths and Disability-Adjusted Life Years From 2020 to 2030. Stroke 2023, 54, 1330–1339. [Google Scholar] [CrossRef]
- Nochaiwong, S.; Ruengorn, C.; Thavorn, K.; Hutton, B.; Awiphan, R.; Phosuya, C.; Ruanta, Y.; Wongpakaran, N.; Wongpakaran, T. Global prevalence of mental health issues among the general population during the coronavirus disease-2019 pandemic: A systematic review and meta-analysis. Sci. Rep. 2021, 11, 10173. [Google Scholar] [CrossRef]
- González-Fernández, M.; Ottenstein, L.; Atanelov, L.; Christian, A.B. Dysphagia after Stroke: An Overview. Curr. Phys. Med. Rehabil. Rep. 2013, 1, 187–196. [Google Scholar] [CrossRef]
- Harnett, A.; Byrne, S.; O’Connor, J.; Lyons, D.; Sahm, L.J. Adult Patients with Difficulty Swallowing Oral Dosage Forms: A Systematic Review of the Quantitative Literature. Pharmacy 2023, 11, 167. [Google Scholar] [CrossRef]
- Yafout, M.; Elhorr, H.; Ousaid, A.; El Otmani, I.S.; Khayati, Y. Orodispersible Films as a Solution to Drug Acceptability Issues: A Short Review. Asian J. Res. Med. Pharm. Sci. 2021, 10, 36–41. [Google Scholar] [CrossRef]
- Dey, P.; Maiti, S. Orodispersible tablets: A new trend in drug delivery. J. Nat. Sci. Biol. Med. 2010, 1, 2–5. [Google Scholar] [CrossRef]
- Gouhie, F.A.; Barbosa, K.O.; Cruz, A.B.R.; Wellichan, M.M.; Zampolli, T.M. Cognitive effects of piracetam in adults with memory impairment: A systematic review and meta-analysis. Clin. Neurol. Neurosurg. 2024, 243, 108358. [Google Scholar] [CrossRef] [PubMed]
- Stockbridge, M.D.; Keser, Z. Supporting Post-Stroke Language and Cognition with Pharmacotherapy: Tools for Each Phase of Care. Curr. Neurol. Neurosci. Rep. 2023, 23, 335–343. [Google Scholar] [CrossRef] [PubMed]
- Nisar, B.; Sultan, A.; Rubab, S.L. Comparison of Medicinally Important Natural Products versus Synthetic Drugs-A Short Commentary. Nat. Prod. Chem. Res. 2017, 6, 2. [Google Scholar] [CrossRef]
- Park, M.K.; Lee, S.J.; Choi, E.; Lee, S.; Lee, J. The Effect of Branched Chain Amino Acid Supplementation on Stroke-Related Sarcopenia. Front. Neurol. 2022, 13, 744945. [Google Scholar] [CrossRef] [PubMed]
- Zhou, Y.; Zhou, S.; Duan, H.; Wang, J.; Yan, W. Silkworm Pupae: A Functional Food with Health Benefits for Humans. Foods 2022, 11, 1594. [Google Scholar] [CrossRef]
- Palla, A.H.; Amin, F.; Fatima, B.; Shafiq, A.; Rehman, N.U.; Haq, I.U.; Gilani, A.U. Systematic Review of Polyherbal Combinations Used in Metabolic Syndrome. Front. Pharmacol. 2021, 12, 752926. [Google Scholar] [CrossRef]
- Chang, Y.B.; Kim, H.; Lee, S.K.; Kim, H.J.; Jeong, A.H.; Suh, H.J.; Ahn, Y. Characteristics and Absorption Rate of Whey Protein Hydrolysates Prepared Using Flavourzyme after Treatment with Alcalase and Protamex. Molecules 2023, 28, 7969. [Google Scholar] [CrossRef]
- Jacob, S.; Boddu, S.H.S.; Bhandare, R.; Ahmad, S.S.; Nair, A.B. Orodispersible Films: Current Innovations and Emerging Trends. Pharmaceutics 2023, 15, 2753. [Google Scholar] [CrossRef]
- Wattanathorn, J.; Tong-Un, T.; Thukham-Mee, W.; Paholpak, P.; Rangseekhajee, P. A Randomized, Double-Blind, Placebo-Controlled Study of an Anthocyanin-Rich Functional Ingredient on Cognitive Function and Eye Dryness in Late Adulthood Volunteers: Roles of Epigenetic and Gut Microbiome Modulations. Nutrients 2023, 15, 3499. [Google Scholar] [CrossRef]
- Thongwong, P.; Wattanathorn, J.; Thukhammee, W.; Tiamkao, S. The potential role of the novel orodispersible film from rice polymer loaded with silkworm pupae hydrolysate and the combined extract of holy basil and ginger for the management of stroke with stress. Biomaterials 2023, 299, 122175. [Google Scholar] [CrossRef]
- Cohen, P.A.; Zakharevich, I.; Gerona, R. Presence of Piracetam in Cognitive Enhancement Dietary Supplements. JAMA Intern. Med. 2020, 180, 458–459. [Google Scholar] [CrossRef] [PubMed]
- Zhang, X.; Yuan, M.; Yang, S.; Chen, X.; Wu, J.; Wen, M.; Yan, K.; Bi, X. Enriched environment improves post-stroke cognitive impairment and inhibits neuroinflammation and oxidative stress by activating Nrf2-ARE pathway. Int. J. Neurosci. 2021, 131, 641–649. [Google Scholar] [CrossRef]
- Mao, Q.Q.; Xu, X.Y.; Cao, S.Y.; Gan, R.Y.; Corke, H.; Beta, T.; Li, H.B. Bioactive Compounds and Bioactivities of Ginger (Zingiber officinale Roscoe). Foods 2019, 8, 185. [Google Scholar] [CrossRef] [PubMed]
- Crichton, M.; Marshall, S.; Marx, W.; Isenring, E.; Vázquez-Campos, X.; Dawson, S.L.; Lohning, A. Effect of Ginger Root Powder on Gastrointestinal Bacteria Composition, Gastrointestinal Symptoms, Mental Health, Fatigue, and Quality of Life: A Double-Blind Placebo-Controlled Trial. J. Nutr. 2023, 153, 3193–3206. [Google Scholar] [CrossRef] [PubMed]
- Preston, A.R.; Eichenbaum, H. Interplay of hippocampus and prefrontal cortex in memory. Curr. Biol. 2013, 23, R764–R773. [Google Scholar] [CrossRef]
- McLaughlin, K.J.; Gomez, J.L.; Baran, S.E.; Conrad, C.D. The effects of chronic stress on hippocampal morphology and function: An evaluation of chronic restraint paradigms. Brain Res. 2007, 1161, 56–64. [Google Scholar] [CrossRef]
- Ulya, T.; Ardianto, C.; Anggreini, P.; Budiatin, A.S.; Setyawan, D.; Khotib, J. Quercetin promotes behavioral recovery and biomolecular changes of melanocortin-4 receptor in mice with ischemic stroke. J. Basic Clin. Physiol. Pharmacol. 2021, 32, 349–355. [Google Scholar] [CrossRef]
- Li, W.; Liu, H.; Jiang, H.; Wang, C.; Guo, Y.; Sun, Y.; Zhao, X.; Xiong, X.; Zhang, X.; Zhang, K.; et al. (S)-Oxiracetam is the Active Ingredient in Oxiracetam that Alleviates the Cognitive Impairment Induced by Chronic Cerebral Hypoperfusion in Rats. Sci. Rep. 2017, 7, 10052. [Google Scholar] [CrossRef]
- Zoladz, P.R.; Park, C.R.; Muñoz, C.; Fleshner, M.; Diamond, D.M. Tianeptine: An antidepressant with memory-protective properties. Curr. Neuropharmacol. 2008, 6, 311–321. [Google Scholar] [CrossRef]
- Madrigal, J.L.; Olivenza, R.; Moro, M.A.; Lizasoain, I.; Lorenzo, P.; Rodrigo, J.; Leza, J.C. Glutathione depletion, lipid peroxidation and mitochondrial dysfunction are induced by chronic stress in rat brain. Neuropsychopharmacology 2001, 24, 420–429. [Google Scholar] [CrossRef]
- Sakhri, F.Z.; Adachi, N.; Zerizer, S.; Ohashi, Y.; Ikemoto, H.; Tsukada, M.; Kabouche, Z.; Hisamitsu, T.; Sunagawa, M. Behavioral and neurological improvement by Cydonia oblonga fruit extract in chronic immobilization stress rats. Phytother Res. 2021, 35, 2074–2084. [Google Scholar] [CrossRef] [PubMed]
- Jin, J.; Maren, S. Prefrontal-Hippocampal Interactions in Memory and Emotion. Front. Syst. Neurosci. 2015, 9, 170. [Google Scholar] [CrossRef] [PubMed]
- Bashir, H.; Ahmad Bhat, S.; Majid, S.; Hamid, R.; Koul, R.K.; Rehman, M.U.; Din, I.; Ahmad Bhat, J.; Qadir, J.; Masood, A. Role of inflammatory mediators (TNF-α, IL-6, CRP), biochemical and hematological parameters in type 2 diabetes mellitus patients of Kashmir, India. Med. J. Islam Repub. Iran 2020, 34, 5. [Google Scholar] [CrossRef] [PubMed]
- Porter, A.; Jänicke, R. Emerging roles of caspase-3 in apoptosis. Cell Death Differ. 1999, 6, 99–104. [Google Scholar] [CrossRef] [PubMed]
- Peng, S.; Zhang, Y.; Zhang, J.; Wang, H.; Ren, B. ERK in learning and memory: A review of recent research. Int. J. Mol. Sci. 2010, 11, 222–232. [Google Scholar] [CrossRef]
- Wattanathorn, J.; Jittiwat, J.; Tongun, T.; Muchimapura, S.; Ingkaninan, K. Zingiber officinale Mitigates Brain Damage and Improves Memory Impairment in Focal Cerebral Ischemic Rat. Evid. Based Complement. Alternat. Med. 2011, 2011, 429505. [Google Scholar] [CrossRef]
- D’Hooge, R.; De Deyn, P.P. Applications of the Morris water maze in the study of learning and memory. Brain Res. Rev. 2001, 6, 60–90. [Google Scholar] [CrossRef]
- Antunes, M.; Biala, G. The novel object recognition memory: Neurobiology, test procedure, and its modifications. Cogn. Process. 2012, 13, 93–110. [Google Scholar] [CrossRef]
- Kirisattayakul, W.; Wattanathorn, J.; Iamsaard, S.; Jittiwat, J.; Suriharn, B.; Lertrat, K. Neuroprotective and memory-enhancing effect of the combined extract of purple waxy corn cob and pandan in ovariectomized rats. Oxid. Med. Cell. Longev. 2017, 2017, 5187102. [Google Scholar] [CrossRef]
- García-Díaz, D.F.; Campion, J.; Milagro, F.I.; Lomba, A.; Marzo, F.; Martínez, J.A. Chronic mild stress induces variations in locomotive behavior and metabolic rates in high fat fed rats. J. Physiol. Biochem. 2007, 63, 337–346. [Google Scholar] [CrossRef] [PubMed]
- Kirisattayakul, W.; Wattanathorn, J.; Tong-Un, T.; Muchimapura, S.; Wannanon, P. Moringa oleifera Lam mitigates oxidative damage and brain infarct volume in focal cerebral ischemia. Am. J. Appl. Sci. 2012, 9, 1457–1463. [Google Scholar]
- Ohnon, W.; Wattanathorn, J.; Thukham-Mee, W.; Muchimapura, S.; Wannanon, P.; Tong-Un, T. The Combined Extract of Black Sticky Rice and Dill Improves Poststroke Cognitive Impairment in Metabolic Syndrome Condition. Oxid. Med. Cell. Longev. 2019, 2019, 9089035. [Google Scholar] [CrossRef] [PubMed]
- Wattanathorn, J.; Palachai, N.; Thukham-Mee, W.; Muchimapura, S. Memory-Enhancing Effect of a Phytosome Containing the Combined Extract of Mulberry Fruit and Ginger in an Animal Model of Ischemic Stroke with Metabolic Syndrome. Oxid. Med. Cell. Longev. 2020, 2020, 3096826. [Google Scholar] [CrossRef] [PubMed]
- Elmann, G.L.; Courtney, K.D.; Andres, V., Jr.; d Featherstone, R.M. A new and rapid colorimetric determination of acetylcholinesterase activity. Biochem. Pharmacol. 1961, 7, 88–95. [Google Scholar] [CrossRef]
- Süle, J.; Kõrösi, T.; Hucker, A.; Varga, L. Evaluation of culture media for selective enumeration of bifidobacteria and lactic acid bacteria. Braz. J. Microbiol. 2014, 45, 1023–1030. [Google Scholar] [CrossRef]
- Servatius, R.J.; Salameh, G.; Coyle, K.M.; Paré, W.P. Restraint Stress. In Encyclopedia of Stress, 2nd ed.; Fink, G., Ed.; Academic Press: New York, NY, USA, 2007; pp. 389–390. [Google Scholar]
- Moujalled, D.; Strasser, A.; Liddell, J.R. Molecular mechanisms of cell death in neurological diseases. Cell Death Differ. 2021, 28, 2029–2204. [Google Scholar] [CrossRef] [PubMed]
- Chen, Z.R.; Huang, J.B.; Yang, S.L.; Hong, F.F. Role of cholinergic signaling in Alzheimer’s disease. Molecules 2022, 27, 1816. [Google Scholar] [CrossRef] [PubMed]
- Haam, J.; Yakel, J.L. Cholinergic modulation of the hippocampal region and memory function. J. Neurochem. 2017, 142 (Suppl. 2), 111–121. [Google Scholar] [CrossRef]
- Li, M.; Long, C.; Yang, L. Hippocampal-prefrontal circuit and disrupted functional connectivity in psychiatric and neurodegenerative disorders. BioMed Res. Int. 2015, 2015, 810548. [Google Scholar] [CrossRef]
- Feng, S.; Yang, M.; Liu, S.; He, Y.; Deng, S.; Gong, Y. Oxidative stress as a bridge between age and stroke: A narrative review. J. Intensive Med. 2023, 3, 313–319. [Google Scholar] [CrossRef]
- Gao, X.J.; Xie, G.N.; Liu, L.; Fu, Z.J.; Zhang, Z.W.; Teng, L.Z. Sesamol attenuates oxidative stress, apoptosis and inflammation in focal cerebral ischemia/reperfusion injury. Exp. Ther. Med. 2017, 14, 841–847. [Google Scholar] [CrossRef] [PubMed]
- Schanbacher, C.; Bieber, M.; Reinders, Y.; Cherpokova, D.; Teichert, C.; Nieswandt, B.; Sickmann, A.; Kleinschnitz, C.; Langhauser, F.; Lorenz, K. ERK1/2 Activity Is Critical for the Outcome of Ischemic Stroke. Int. J. Mol. Sci. 2022, 23, 706. [Google Scholar] [CrossRef] [PubMed]
- Jin, R.; Liu, L.; Zhang, S.; Nanda, A.; Li, G. Role of Inflammation and Its Mediators in Acute Ischemic Stroke. J. Cardiovasc. Trans. Res. 2013, 6, 834–851. [Google Scholar] [CrossRef]
- Biswas, S.K. Does the Interdependence between Oxidative Stress and Inflammation Explain the Antioxidant Paradox? Oxid. Med. Cell. Longev. 2016, 2016, 5698931. [Google Scholar] [CrossRef] [PubMed]
- Mahmoudvand, H.; Sheibani, V.; Keshavarz, H.; Shojaee, S.; Esmaeelpour, K.; Ziaali, N. Acetylcholinesterase Inhibitor Improves Learning and Memory Impairment Induced by Toxoplasma gondii Infection. Iran J. Parasitol. 2016, 11, 177–185. [Google Scholar]
- Atharim Nik Azm, S.; Djazayeri, A.; Safa, M.; Azami, K.; Ahmadvand, B.; Sabbaghziarani, F.; Sharifzadeh, M.; Vafa, M. Lactobacilli and bifidobacteria ameliorate memory and learning deficits and oxidative stress in β-amyloid (1-42) injected rats. Appl. Physiol. Nutr. Metab. 2018, 43, 718–726. [Google Scholar] [CrossRef]
- Liu, Y.H.; Zhao, Y.; Zhu, D.; Wang, X.; Yang, Y. 1,8-cineole and ginger extract (Zingiber officinale Rosc) as stress mitigator for transportation of largemouth bass (Micropterus salmoides L.). Aquaculture 2022, 561, 738622. [Google Scholar] [CrossRef]














| Contents of Amino Acids | Concentration (mg/g Sample) |
|---|---|
| Essential amino acids (EAAs) | |
| Threonine | 0.78 |
| Methionine | 0.87 |
| Phenylalanine | 1.12 |
| Histidine | 0.51 |
| Lysine | 2.83 |
| Valine | 0.88 |
| Isoleucine | 0.55 |
| Leucine | 1.57 |
| Total EAAs | 9.11 |
| Non-essential amino acids (NEAAs) | |
| Serine | 0.94 |
| Glycine | 14.67 |
| Glutamic acid | 9.48 |
| Proline | 11.79 |
| Cysteine | 0.15 |
| Alanine | 5.75 |
| Tyrosine | 0.17 |
| Arginine | 5.93 |
| Aspatic acid | 3.53 |
| Thyptophan | 0.12 |
| Total NEAAs | 52.53 |
| Groups | Interventions | Descriptions |
|---|---|---|
| Group I | Naïve control group | Rats in this group were not subjected to any interventions. |
| Group II | Stress + placebo | All rats were subjected to placebo (the rice polymer film without silkworm pupae-derived protein hydrolysate and the herbal functional ingredients derived from ginger and holy basil) and induced immobilization stress by exposing them to a 6 h immobilization stress to disturb memory performance [26]. This group was used to determine the effect of stress and placebo treatment on memory. |
| Group III | Stress + placebo + sham operation | Rats were subjected to the same condition as mentioned in group II and received a sham operation by exposing the right middle cerebral artery without any occlusion. This group was designed to determine the effect of placebo and sham operation on memory in stress-exposed rats. |
| Group IV | Placebo + MCAO | Rats were subjected to a placebo treatment (without stress exposure) for 14 days before and 21 days after the operation to occlude the right middle cerebral artery (MCAO). This group was designed to determine the effect of placebo on memory in non-stress-exposed rats that were subjected to MCAO. |
| Group V | Stress + Placebo + MCAO | Rats were subjected to the conditions as mentioned for group III but they received MCAO instead of the sham operation. This group was designed to determine the effect of placebo on memory in stress-exposed rats that were subjected to MCAO. |
| Group VI | Stress + Vitamin C + MCAO | Rats in this group were subjected to the same conditions as mentioned for group V but vitamin C at a dose of 250 mg/kg BW was administered instead of placebo. This group was designed to determine the effect of vitamin C, a well-known antioxidant, on memory in stress-exposed rats that were subjected to MCAO. |
| Group VII | Stress + Piracetam + MCAO | Rats were subjected to the same conditions as mentioned for group VI but piracetam at a dose of 250 mg/kg BW was administered instead of vitamin C. This group was designed to determine the effect of piracetam, one of the standard neuroprotective drugs that can improve post-stroke cognitive impairment with vascular origin [27], on memory in stress-exposed rats subjected to MCAO. |
| Group VIII | Stress + Tianeptine +MCAO | The same conditions as mentioned for group VI were introduced, and tianeptine (15 mg/kg BW), a well-recognized antidepressant that blocks stress-induced alterations of neuronal morphology, synaptic plasticity, and memory loss induced by stress [28], was administered for 14 days before and 21 days after MCAO. This group was designed to determine the effect of tianeptine, a memory enhancer in stress-exposed rats via the glutamate pathway [29], in stress-exposed rats that received MCAO. |
| Group IX- Group XI | Stress + JP1 + MCAO | Rats in the mentioned groups were subjected to an intervention with JP1 at doses of 1, 10, and 100 mg/kg BW, respectively, for 14 days before and 21 days after Rt. MCAO. This group was designed to determine the effect of JP1 at the dosage range mentioned on memory in stress-exposed rats that received MCAO. |
| Groups | Hippocampus | |||
|---|---|---|---|---|
| MDA Level (ng/mg·Protein) | SOD Activity (units/mg·Protein) | CAT Activity (units/mg·Protein) | GSH-Px Activity (units/mg·Protein) | |
| Naïve control | 0.0112 ± 0.001 ###,*** | 50.59 ± 8.85 | 50.13 ± 5.87 ##,** | 4.27 ± 0.38 |
| Stress + Placebo | 0.0198 ± 0.002 | 41.49 ± 1.12 | 24.75 ± 2.44 | 3.12 ± 0.42 |
| Stress + Placebo + Sham operation | 0.0186 ± 0.001 | 34.16 ± 3.49 | 25.88 ± 1.91 | 3.88 ± 0.48 |
| Placebo + MCAO | 0.0235 ± 0.001 aaa | 43.26 ± 3.16 | 26.3 ± 2.44 aa | 3.2 ± 0.38 |
| Stress + Placebo + MCAO | 0.0273 ± 0.001 aaa | 34.33 ± 1.22 | 25.98 ± 1.58 aa | 3.10 ± 0.37 |
| Stress + Vitamin C 250 mg/kg BW + MCAO | 0.0117 ± 0.001 ##,*** | 48.13 ± 6.32 | 50.01 ± 3.60 ** | 4.06 ± 0.40 |
| Stress + Piracetam 250 mg/kg BW + MCAO | 0.0136 ± 0.002 #,*** | 44.97 ± 4.47 | 49.09 ± 7.25 ** | 3.65 ± 0.40 |
| Stress + Tianeptine 15 mg/kg BW + MCAO | 0.0144 ± 0.003 #,*** | 42.24 ± 7.75 | 28.22 ± 2.44 | 3.54 ± 0.08 |
| Stress + JP1 1 mg/kg BW + MCAO | 0.0151 ± 0.001 *** | 37.98 ± 3.19 | 40.29 ± 4.64 | 3.27 ± 0.26 |
| Stress + JP1 10 mg/kg BW + MCAO | 0.0141 ± 0.002 #,*** | 39.78 ± 4.43 | 48.02 ± 6.24 * | 3.27 ± 0.29 |
| Stress + JP1 100 mg/kg BW + MCAO | 0.0128 ± 0.002 ##, *** | 39.23 ± 1.22 | 48.34 ± 5.18 * | 3.75 ± 0.26 |
Disclaimer/Publisher’s Note: The statements, opinions and data contained in all publications are solely those of the individual author(s) and contributor(s) and not of MDPI and/or the editor(s). MDPI and/or the editor(s) disclaim responsibility for any injury to people or property resulting from any ideas, methods, instructions or products referred to in the content. |
© 2024 by the authors. Licensee MDPI, Basel, Switzerland. This article is an open access article distributed under the terms and conditions of the Creative Commons Attribution (CC BY) license (https://creativecommons.org/licenses/by/4.0/).
Share and Cite
Thongwong, P.; Wattanathorn, J.; Thukham-mee, W. A Novel Supplement Consisting of Rice, Silkworm Pupae and a Mixture of Ginger and Holy Basil Improves Post-Stroke Cognitive Impairment. Nutrients 2024, 16, 4144. https://doi.org/10.3390/nu16234144
Thongwong P, Wattanathorn J, Thukham-mee W. A Novel Supplement Consisting of Rice, Silkworm Pupae and a Mixture of Ginger and Holy Basil Improves Post-Stroke Cognitive Impairment. Nutrients. 2024; 16(23):4144. https://doi.org/10.3390/nu16234144
Chicago/Turabian StyleThongwong, Putthiwat, Jintanaporn Wattanathorn, and Wipawee Thukham-mee. 2024. "A Novel Supplement Consisting of Rice, Silkworm Pupae and a Mixture of Ginger and Holy Basil Improves Post-Stroke Cognitive Impairment" Nutrients 16, no. 23: 4144. https://doi.org/10.3390/nu16234144
APA StyleThongwong, P., Wattanathorn, J., & Thukham-mee, W. (2024). A Novel Supplement Consisting of Rice, Silkworm Pupae and a Mixture of Ginger and Holy Basil Improves Post-Stroke Cognitive Impairment. Nutrients, 16(23), 4144. https://doi.org/10.3390/nu16234144

