Suppressive Effects of Geoje Raspberry (Rubus tozawae Nakai ex J.Y. Yang) on Post-Menopausal Osteoporosis via Its Osteogenic Activity on Osteoblast Differentiation
Abstract
1. Introduction
2. Materials and Methods
2.1. Plant Materials
2.2. Animal Experiment
2.3. Primary Cell Isolation
2.4. Micro-Computed Tomography (Micro-CT)
2.5. Hematoxylin–Eosin Staining (H&E), Immunohistochemistry (IHC), and Serum Parameters
2.6. Cell Culture
2.7. ALP Activity
2.8. Western Blotting and RT-PCR
2.9. Chemical Analysis and Isolation of Compounds
2.10. Statistical Analysis
3. Results
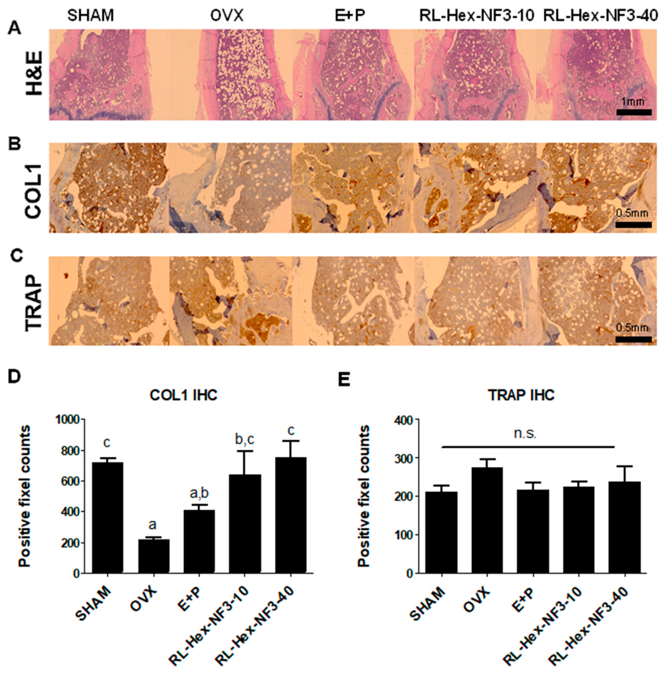
3.1. Oral Administration of RL-Hex-NF3 Prevents Osteoporotic Bone Loss in OVX Mice via Osteoblast Differentiation
3.2. RL Hexane Fraction Induces Osteoblastic Differentiation
3.3. Compounds 1–3 from RL-Hex-NF3 Increase Osteoblast Differentiation
4. Discussion
5. Conclusions
Supplementary Materials
Author Contributions
Funding
Institutional Review Board Statement
Informed Consent Statement
Data Availability Statement
Conflicts of Interest
References
- Bliuc, D.; Alarkawi, D.; Nguyen, T.V.; Eisman, J.A.; Center, J.R. Risk of subsequent fractures and mortality in elderly women and men with fragility fractures with and without osteoporotic bone density: The Dubbo Osteoporosis Epidemiology Study. J. Bone Miner. Res. 2015, 30, 637–646. [Google Scholar] [CrossRef] [PubMed]
- Lin, J.T.; Lane, J.M. Osteoporosis: A Review. Clin. Orthop. Relat. Res. 2004, 425, 126–134. [Google Scholar] [CrossRef]
- Van den Bergh, J.P.; van Geel, T.A.; Geusens, P.P. Osteoporosis, frailty and fracture: Implications for case finding and therapy. Nat. Rev. Rheumatol. 2012, 8, 163–172. [Google Scholar] [CrossRef] [PubMed]
- Kendler, D.L.; Cosman, F.; Stad, R.K.; Ferrari, S. Denosumab in the treatment of osteoporosis: 10 years later: A narrative review. Adv. Ther. 2022, 39, 58–74. [Google Scholar] [CrossRef]
- Skjødt, M.K.; Frost, M.; Abrahamsen, B. Side effects of drugs for osteoporosis and metastatic bone disease. Br. J. Clin. Pharmacol. 2019, 85, 1063–1071. [Google Scholar] [CrossRef]
- Martiniakova, M.; Babikova, M.; Omelka, R. Pharmacological agents and natural compounds: Available treatments for osteoporosis. J. Physiol. Pharmacol. 2020, 71, 307–320. [Google Scholar]
- Gao, Y.; Patil, S.; Jia, J. Development of molecular biology of osteoporosis. Int. J. Mol. Sci. 2021, 22, 8182. [Google Scholar] [CrossRef]
- Phimphilai, M.; Zhao, Z.; Boules, H.; Roca, H.; Franceschi, R.T. BMP signaling is required for RUNX2-dependent induction of the osteoblast phenotype. J. Bone Miner. Res. 2006, 21, 637–646. [Google Scholar] [CrossRef] [PubMed]
- Xiao, G.; Gopalakrishnan, R.; Jiang, D.; Reith, E.; Benson, M.D.; Franceschi, R.T. Bone morphogenetic proteins, extracellular matrix, and mitogen-activated protein kinase signaling pathways are required for osteoblast-specific gene expression and the differentiation of MC3T3-E1 cells. J. Bone Miner. Res. 2002, 17, 101–110. [Google Scholar] [CrossRef]
- Russell, R.G.G. Pharmacological diversity among drugs that inhibit bone resorption. Curr. Opin. Pharmacol. 2015, 22, 115–130. [Google Scholar] [CrossRef]
- Veis, D.J.; O’Brien, C.A. Osteoclasts, master sculptors of bone. Annu. Rev. Pathol. 2023, 18, 257–281. [Google Scholar] [CrossRef]
- Nakamura, M.; Aoyama, N.; Yamaguchi, S.; Sasano, Y. Expression of tartrate-resistant acid phosphatase and cathepsin K during osteoclast differentiation in developing mouse mandibles. Biomed. Res. 2021, 42, 13–21. [Google Scholar] [CrossRef] [PubMed]
- Meng, Q.; Manghwar, H.; Hu, W. Study of the supergenus Rubus L.: Edible, medicinal, and phylogenetic characterization. Plants 2022, 11, 1211. [Google Scholar] [CrossRef]
- Patel, A.V.; Rojas-Vera, J.; Dacke, C.G. Therapeutic constituents and actions of Rubus species. Curr. Med. Chem. 2004, 11, 1501–1512. [Google Scholar] [CrossRef]
- Gao, X.; Zhang, Z.; Wang, X.; Qian, J.; Hu, L.; Li, Z.; Li, W. Studies on the value, chemical composition, biological and pharmacological activities, and quality control of Rubus berries: A comprehensive review. J. Food Compos. Anal. 2023, 124, 105707. [Google Scholar] [CrossRef]
- Mullen, W.; McGinn, J.; Lean, M.E.; MacLean, M.R.; Gardner, P.; Duthie, G.G.; Yokota, T.; Crozier, A. Ellagitannins, flavonoids, and other phenolic compounds in red raspberries contribute to their antioxidant and vasorelaxant properties. J. Agric. Food Chem. 2002, 50, 5191–5196. [Google Scholar] [CrossRef] [PubMed]
- Park, Y.S.; Park, J.Y.; Kang, J.H.; Lee, W.H.; Yang, T.J. Diversity and authentication of Rubus accessions revealed by complete plastid genome and rDNA sequences. Mitochondrial DNA B Resour. 2021, 6, 1454–1459. [Google Scholar] [CrossRef]
- Cho, S.Y.; Kim, Y.; Hwang, H.; Kwon, Y.; Son, S.R.; Baek, J.G.; Park, I.; Kang, Y.J.; Rhee, H.; Kwon, H.C.; et al. Saponins derived from the Korean endemic plant Heloniopsis koreana inhibit diffuse-type gastric cancer cells. ACS Omega 2023, 8, 48019–48027. [Google Scholar] [CrossRef]
- Park, I.; Park, K.; Lee, H.S.; Hong, S.M.; Sriramulu, D.K.; Hwang, H.; Song, S.; Baek, J.G.; Kim, D.H.; Kim, S.Y.; et al. Ecdysteroids from the Korean endemic species, Ajuga spectabilis, with activities against glucocorticoid receptors and 11beta-hydroxysteroid dehydrogenase type 1. ACS Omega 2023, 8, 26191–26200. [Google Scholar] [CrossRef]
- Hong, S.; Cha, K.H.; Kwon, D.Y.; Son, Y.J.; Kim, S.M.; Choi, J.H.; Yoo, G.; Nho, C.W. Agastache rugosa ethanol extract suppresses bone loss by inducing osteoblast differentiation and altering the gut microbiota. Phytomedicine 2021, 84, 153517. [Google Scholar] [CrossRef]
- Bonnet, N.; Laroche, N.; Vico, L.; Dolleans, E.; Courteix, D.; Benhamou, C.L. Assessment of trabecular bone microarchitecture using two different X-ray microcomputed tomography techniques: A comparative study of the rat distal tibia using SkyScan and Scanco devices. Med. Phys. 2009, 36, 1286–1297. [Google Scholar] [CrossRef] [PubMed]
- Lobo-Echeverri, T.; Rivero-Cruz, J.F.; Su, B.N.; Chai, H.B.; Cordell, G.A.; Pezzuto, J.M.; Swanson, S.M.; Soejarto, D.D.; Kinghorn, A.D. The constituents of C. pallens leaves and twigs were collected from an experimental plot in southern Florida. J. Nat. Prod. 2005, 68, 577–580. [Google Scholar] [CrossRef] [PubMed]
- Tham, P.T.; Chinh, P.T.; Thang, D.X.; An, N.T.K.; Van Tuyen, N.; Anh, L.T.; Van Doan, V.; Yen, P.H.; Nhiem, N.X.; Van Kiem, P.; et al. New sesquiterpene and flavone arabinofuranoside derivative from the leaves of Fissistigma bicolor. Nat. Prod. Res. 2023, 37, 305–312. [Google Scholar] [CrossRef] [PubMed]
- Wang, R.; Ishaq, M.; Zhang, H.; Tu, G.; Yu, H.; Yan, S.; Xiao, X.; Ma, X.; Jin, H. Chemical constituents of Buxus sinica var. parvifolia. Chem. Nat. Comp. 2022, 58, 110–112. [Google Scholar] [CrossRef]
- Gregson, C.L.; Armstrong, D.J.; Bowden, J.; Cooper, C.; Edwards, J.; Gittoes, N.J.L.; Harvey, N.C.; Kanis, J.A.; Leyland, S.; Low, R.; et al. UK clinical guidelines for the prevention and treatment of osteoporosis. Arch. Osteoporos. 2022, 17, 58. [Google Scholar] [CrossRef]
- Drake, M.T.; Cremers, S.C. Bisphosphonate therapeutics for bone disease: Hard and soft data on osteoclast inhibition. Mol. Interv. 2010, 10, 141–152. [Google Scholar] [CrossRef]
- Tzavlaki, K.; Moustakas, A. TGF-beta signaling. Biomolecules 2020, 10, 487. [Google Scholar] [CrossRef]
- Chen, G.; Deng, C.; Li, Y.P. TGF-beta and BMP signaling in osteoblast differentiation and bone formation. Int. J. Biol Sci. 2012, 8, 272–288. [Google Scholar] [CrossRef]
- Liu, J.; Xiao, Q.; Xiao, J.; Niu, C.; Li, Y.; Zhang, X.; Zhou, Z.; Shu, G.; Yin, G. Wnt/beta-catenin signalling: Function, biological mechanisms, and therapeutic opportunities. Signal Transduct. Target. Ther. 2022, 7, 3. [Google Scholar] [CrossRef]
- Coster, A.D.; Thorne, C.A.; Wu, L.F.; Altschuler, S.J. Examination of crosstalk between transforming growth factor beta, bone morphogenetic proteins, and the Wnt pathway. J. Biol. Chem. 2017, 292, 244–250. [Google Scholar] [CrossRef]
- Viguet-Carrin, S.; Garnero, P.; Delmas, P.D. The role of collagen in bone strength. Osteoporos. Int. 2006, 17, 319–336. [Google Scholar] [CrossRef]
- Kim, M.H.; Lee, J.E.; Lee, J.S.; Yang, W.M. Improvement in osteoporosis following Lycium chinense administration in ovariectomized mice. J. Chin. Med. Assoc. 2017, 80, 222–226. [Google Scholar] [CrossRef] [PubMed]
- Berezovska, O.; Yildirim, G.; Budell, W.C.; Yagerman, S.; Pidhaynyy, B.; Bastien, C.; van der Meulen, M.C.H.; Dowd, T.L. Osteocalcin affects bone mineral and mechanical properties in female mice. Bone 2019, 128, 115031. [Google Scholar] [CrossRef] [PubMed]
- Baron, R.; Gori, F. Targeting WNT signaling in the treatment of osteoporosis. Curr. Opin. Pharmacol. 2018, 40, 134–141. [Google Scholar] [CrossRef] [PubMed]






| Gene | Forward (5′-3′) | Reverse (5′-3′) |
|---|---|---|
| Runx2 | TCCACAAGGACAGAGTCAGATTAC | TGGCTCAGATAGGAGGGGTA |
| ALP | GATCATTCCCACGTTTTCAC | TGCGGGCTTGTGGGACCTGC |
| Ocn | AGACTCCGGCGCTACCTT | CTCGTCACAAGCAGGGTTAAG |
| Gapdh | AAGAGGGATGCTGCCCTTAC | CCATTTTGTCTACGGGACGA |
Disclaimer/Publisher’s Note: The statements, opinions and data contained in all publications are solely those of the individual author(s) and contributor(s) and not of MDPI and/or the editor(s). MDPI and/or the editor(s) disclaim responsibility for any injury to people or property resulting from any ideas, methods, instructions or products referred to in the content. |
© 2024 by the authors. Licensee MDPI, Basel, Switzerland. This article is an open access article distributed under the terms and conditions of the Creative Commons Attribution (CC BY) license (https://creativecommons.org/licenses/by/4.0/).
Share and Cite
Hong, S.; Kwon, J.; Song, S.; Park, I.; Jung, D.S.; Saruul, E.; Nho, C.W.; Kwon, H.C.; Yoo, G. Suppressive Effects of Geoje Raspberry (Rubus tozawae Nakai ex J.Y. Yang) on Post-Menopausal Osteoporosis via Its Osteogenic Activity on Osteoblast Differentiation. Nutrients 2024, 16, 3856. https://doi.org/10.3390/nu16223856
Hong S, Kwon J, Song S, Park I, Jung DS, Saruul E, Nho CW, Kwon HC, Yoo G. Suppressive Effects of Geoje Raspberry (Rubus tozawae Nakai ex J.Y. Yang) on Post-Menopausal Osteoporosis via Its Osteogenic Activity on Osteoblast Differentiation. Nutrients. 2024; 16(22):3856. https://doi.org/10.3390/nu16223856
Chicago/Turabian StyleHong, Soyeon, Jaeyoung Kwon, Sungmin Song, InWha Park, Da Seul Jung, Erdenebileg Saruul, Chu Won Nho, Hak Cheol Kwon, and Gyhye Yoo. 2024. "Suppressive Effects of Geoje Raspberry (Rubus tozawae Nakai ex J.Y. Yang) on Post-Menopausal Osteoporosis via Its Osteogenic Activity on Osteoblast Differentiation" Nutrients 16, no. 22: 3856. https://doi.org/10.3390/nu16223856
APA StyleHong, S., Kwon, J., Song, S., Park, I., Jung, D. S., Saruul, E., Nho, C. W., Kwon, H. C., & Yoo, G. (2024). Suppressive Effects of Geoje Raspberry (Rubus tozawae Nakai ex J.Y. Yang) on Post-Menopausal Osteoporosis via Its Osteogenic Activity on Osteoblast Differentiation. Nutrients, 16(22), 3856. https://doi.org/10.3390/nu16223856

