Abstract
Background: Sarcopenia is a muscle disease that occur across a lifetime. It is commonly described in the aging population but can occur earlier in life in patients with cancer. Previous studies demonstrated sarcopenia is highly prevalent in patients with gastroenteropancreatic neuroendocrine tumours (GEP-NETs). In solid organ cancers, such as colorectal or pancreatic cancer, the presence of sarcopenia is associated with surgical complications. It is unknown if sarcopenia in patients with GEP-NETs is a risk factor for surgical complications. Methods: A multicentre retrospective study was performed in patients with a recently diagnosed GEP-NET and surgery to the primary tumour. CT scans were analysed for body composition analyses to assess for the presence of sarcopenia. Data regarding surgical procedures and complications were collected. Any major surgical complication was considered as Clavien–Dindo score ≥ 3. Results: This study included 180 patients, with 83 being male (46%) with a median age of 62 years (IQR 54–69). Most patients (n = 138, 77%) had a small intestinal NET, while 36 patients (20%) had pancreatic NETs. Sarcopenia was present in 109 patients (61%). In 43 patients (24%), surgical complications were recorded, and 21 complications (49%) were considered as major. Any type of surgical complication was not statistically different between patients without sarcopenia (n = 17, 24%) and with sarcopenia (n = 26, 24%)—a p-value of 0.36. This was the same for major complications; between patients without sarcopenia (n = 5, 24%) and with sarcopenia (n = 16, 76%)—a p-value of 0.18. Conclusions: Sarcopenia is highly prevalent in patients with a recently diagnosed GEP-NET, but this is not associated with major surgical complications. Future studies should include pathophysiological mechanisms that could be used to identify the causes of sarcopenia, its effect on quality of life and other oncological outcomes.
1. Introduction
Neuroendocrine neoplasms are a group of uncommon cancers that can be subdivided into well-differentiated neuroendocrine tumours (NETs) and poorly differentiated neuroendocrine carcinomas (NECs). NET and NEC cancers should be seen as different cancers due to their different treatment options and prognoses. NETs can be classified based on the mitotic count and/or the Ki-67 index into grade 1 (G1, mitotic count less than 2/2 mm2 and Ki-67 less than 3%), grade 2 (G2, mitotic rate 2–20/2 mm2 and Ki-67:3–20%) or grade 3 (G3, mitotic rate greater than 20/2 mm2 and Ki-67 index greater than 20%) []. NETs originate from enterochromaffin cells and are predominantly located within the pulmonary or gastroenteropancreatic (GEP) tract, with the small intestine and pancreas being the most prevalent sites []. GEP-NETs may secrete hormones that enter systemic circulation, leading to clinical symptoms; such tumours are classified as functional NETs [].
Due to their localization within the GEP tract, NETs can cause nonspecific symptoms such as abdominal pain, diarrhoea and weight loss [,]. These nonspecific symptoms can lead to a delay in diagnosing a GEP-NET, with some studies reporting up to 50% of patients having symptoms for 2–5 years prior to being diagnosed [,]. Due to these symptoms and the prolonged period before a diagnosis is made, patients are at risk of malnutrition.
There are many different types of nutrition disorders, including malnutrition, underweight, sarcopenia and cachexia []. Sarcopenia refers to adverse changes in muscle mass and muscle function that occur over a lifetime. While it is frequently observed in older adults, it can also manifest earlier in life, particularly in patients with cancer []. A recent publication from our group revealed that 75% of patients with GEP-NETs receiving treatment with somatostatin analogues (SSAs) meet the Global Leadership Initiative on Malnutrition (GLIM) criteria for malnutrition []. Furthermore, approximately 70% of these patients had sarcopenia [].
There are multiple techniques that can be used for diagnosing sarcopenia, but the golden standard is considered body composition analysis using computer tomography (CT) or magnetic resonance imaging (MRI) scan images []. Body composition analysis can also be used to analyse a person’s fat mass and to diagnose adipopenia, which pertains fat mass depletion []. It can also be utilised for the diagnosis of myosteatosis, which encompasses fat infiltration into the muscle and is considered a marker for muscle quality [].
Studies examining gastrointestinal cancers, such as colorectal and pancreatic cancer, have demonstrated that the presence of sarcopenia is associated with an increased risk of postoperative surgical complications [,,,,,]. Two recent studies have reported sarcopenia to be present in 67–87% of patients with a NEN [,]. However, none of the studies investigated if there is an association between sarcopenia and postoperative complications in patients with GEP-NETs.
The aim of this study is to assess the presence of sarcopenia in a cohort of patients with recently diagnosed GEP-NETs with surgical resection for their primary tumour. Secondly, we explore if sarcopenia is associated with surgical complications.
2. Materials and Methods
2.1. Study Design and Study Population
A multi-centre retrospective study was performed in three hospitals, Netherlands Cancer Institute (NKI), Amsterdam, The Netherlands; the Arden NET Centre (ANC), Coventry, United Kingdom; and King’s College Hospital (KCH), London, the United Kingdom, which are all European Neuroendocrine Tumour Society (ENETS) centres of excellence. Eligible patients were identified from local prospectively maintained NET databases from each hospital.
Inclusion criteria: Adults (≥18 year) diagnosed with any grade or stage GEP-NETs in the period from 2006 to 2018 with a (low-dose) CT scan of the abdomen within 3 months of surgical resection of the primary tumour. The initial CT scan was performed either at a local hospital or at one of the participating centres where a NET was suspected. The NET diagnosis was confirmed via a histopathological examination. Weight, height and body mass index (BMI) were available.
Exclusion criteria: no availability of a CT scan of the abdomen at diagnosis, previous transplantation of liver or kidney, another form of any other solid-organ cancer within 1 year of diagnosis of GEP-NET, and ascites or spinal metal implants present.
There is an overlap of 102/114 patients with stage IV disease who were also included in a previous publication regarding the association of sarcopenia at diagnosis of a stage IV GEP-NET with overall survival []. However, the current study has a different research question and aim; therefore, the authors felt that the patients were suitable to be included.
2.2. Objectives
The primary objective was to describe the percentage of sarcopenia in patients with GEP-NETs and surgical resection of the primary NET. The secondary objective was to explore sarcopenia as a risk factor for postoperative complications.
2.3. Data Collection
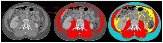
The following data were collected: baseline demographic characteristics, height, weight and BMI. The WHO 2019 classification was used for the histological confirmation of grading and staging of the GEP-NET []. There are 4 categories of weight based on BMI: <18.50 kg/m2 is underweight, 18.51–24.99 kg/m2 is normal weight, 25.00–29.99 kg/m2 is overweight and >30 kg/m2 is obese []. Primary tumours were categorised as located in the small intestine (including duodenum), pancreas or other. For staging, the Tumor Node Metastasis (TNM) system was used, originating from the Union for International Cancer Control (UICC), 8th edition (2016). The American Society of Anaesthesiologists Classification (ASA) was used for vitality []. Surgical procedures were categorised to the small intestine (including all surgery to the colon), pancreas and other. The Clavien–Dindo classification for surgical complications was used [], and a score of ≥3 was considered as a major surgical complication and considered as clinically relevant. Surgical complications were categorised into infectious (chest infection/pneumonia, skin infection, urinary tract infection, abscess), ileus (including gastropareses), anastomosis-related (leakage, stenosis) and other. Surgical complications within 30 days following surgery were included. For body composition analysis, a CT scan suggesting the presence of a NET was analysed using a single slice at lumbar level L3. Previous research has suggested that this area corresponds well with entire body muscle and fat mass [,]. The body composition analyses were performed using Slice-O-Matic software (5.0 Rev-8, Tomovision, Milletta, Magog, QC, Canada). The muscle and fat areas were identified and marked with a colour-coded label. These colour-coded labels were based on Hounsfield units (HU) for muscle, −29 HU to +150 HU; for subcutaneous adipose tissue, −150 HU to −50 HU; and for visceral adipose tissue, −190 HU to −30 HU. Figure 1 provides an example of body composition analysis. Sarcopenia was present if the skeletal muscle index was <53 cm2/m2 if BMI > 25 kg2/m2 or <43 cm2/m2 if BMI < 25 kg2/m2 for males and <41 cm2/m2 for females [,]. Myosteatosis was present if the muscle attenuation was <33 HU if BMI > 25 or <41 if BMI < 25 for both males and females []. The subcutaneous and visceral adipose tissue areas were added together to obtain the total adipose tissue area (TAT); adipopenia was present if males had TAT < 364 cm2 and females had TAT < 318 cm2 [].

Figure 1.
Example body composition analysis. The left image displays a cross-sectional view at the lumbar level L3, the middle image indicates muscle mass tagged in red, and the right image shows subcutaneous adipose tissue tagged in blue and visceral adipose tissue tagged in yellow.
2.4. Statistical Analysis
For statistical analysis, SPSS version 29 (IBM, New York, NY, USA) was used. Continuous data were displayed as a median with an interquartile range and categorical data as a number with a percentage. The Mann–Whitney U test and chi-squared test were performed to describe differences between groups. To explore the association between any surgical complications and major surgical complications and sex, age, ASA classification, primary location, tumour stage and presence of sarcopenia, univariate logistic regression analyses were performed. Factors significant in the univariate analysis were included in the multivariate logistic regression analysis. A p-value of <0.05 was considered significant.
3. Results
3.1. Primary Outcome
This research identified 180 patients with a resected primary tumour and a CT scan available within 3 months prior to surgical intervention. A total of 83 male patients (46%) with a median age of 62 years (IQR 54–69) were included. Most patients (n = 138, 77%) had a small intestinal NET, and 116 patients (64%) had stage IV disease. Table 1 provides an overview of baseline characteristics. Within the subgroup of patients with a pancreatic primary NET, a total of 23 patients (64%) had a Whipple procedure or pylorus-preserving pancreaticoduodenectomy (PPPD), and 13 patients (36%) had a distal pancreatectomy.

Table 1.
Baseline characteristics and (*) differences between patients with and without sarcopenia. IQR, interquartile range; G1, grade 1; G2, grade 2; G3, grade 3.
Body composition analysis revealed the presence of sarcopenia in 109 patients (61%), adipopenia in 101 patients (56%) and myosteatosis in 77 patients (43%). Sarcopenia is most often present in patients who are underweight n = 6 (75%) or with normal weight n = 50 (69%) (Table 2).

Table 2.
Details of surgical complications.
Patients with sarcopenia are significantly older (p-value, 0.04), median age of 63 years (IQR 55–73), compared to patients without sarcopenia, median age of 61 years (IQR 52–67). Patients with sarcopenia have a significantly (p-value, 0.005) more advanced disease (stage IV n = 79, 68%) versus patients without sarcopenia (stage IV n = 37, 32%). In patients with a small intestinal NET, sarcopenia was present in 90 patients (65%), compared to patients with a pancreas NET, in whom 17 had sarcopenia (47%)—a p-value of 0.06. Patients with carcinoid syndrome show a trend towards more frequently sarcopenia with a p-value 0.06.
3.2. Secondary Outcome—Surgical Complications
There were postoperative complications recorded in 43 patients (24%); details are displayed in Table 2. There were no statistically significant differences in sex, age, staging or grading between patients without surgical complications and those with complications. In patients with a pancreatic NET, n = 14 (39%) developed postoperative complications, of which n = 5 (36%) had a major complication. Regarding patients who had small bowel surgery, n = 28 (30%) had a surgical complication, of which n = 15 (54%) had a severe one. The presence of sarcopenia (p-value, 0.73), myosteatosis (p-value, 0.35) or adipopenia (p-value, 0.53) was not significantly different between patients without or with surgical complications.
In univariate analysis, no risk factors (including sarcopenia) could be identified to have a relationship with the presence of major surgical complications, as demonstrated in Table 3. Correcting for age and sex, sarcopenia is not a risk factor for major surgical complications according to multivariate analysis (Table 3).

Table 3.
Univariate and multivariate analysis risk factors for major surgical complications.
4. Discussion
This study describes sarcopenia as being present in 61% of patients with a newly diagnosed GEP-NET and having surgical resection from their primary tumour. No association was found between sarcopenia and major surgical complications.
The prevalence of sarcopenia at 61% at the diagnosis of a GEP-NET has been described in other publications in patients with GEP-NETs. However, there are differences when comparing our findings to other studies, such as Chan et al., who only included 49 patients with a progressive NET and reported a presence of sarcopenia in 67% of them []. Moreover, the study from Herrera et al. included 104 patients with newly diagnosed GEP-NET, with the prevalence of sarcopenia being 87% []. A study from our group regarding patients with metastatic GEP-NETs showed that sarcopenia was present in 69% of them []. Studies regarding patients with a recently diagnosed colorectal carcinoma or pancreatic carcinoma showed that the presence of sarcopenia varies ranges from 12 to 60% and from 24 to 78%, respectively. This wide variance in the presence of sarcopenia could be explained by the different cut-offs that these studies used. For example, the study by van Rijssen et al. did not correct for the BMI, while our study and other studies did [,,,]. The high presence of sarcopenia in our study could be explained by the period of symptoms preceding the diagnosis of a NET. Gastrointestinal symptoms may lead to a reduced nutritional intake. A NET itself can result in a systemic inflammatory response and cytokine release, which influences the developing sarcopenia [,,,]. As 64% of the patients in this study had stage IV disease, the disease burden was high, which could have contributed to cytokine release, thus driving sarcopenia.
The median BMI of patients in this study was 25.5. However, in patients who were overweight or obese, sarcopenia was present in 62% and 43% of them, respectively. This has been described in other publications when assessing patients with solid organ cancer in their pancreases or colons [,,,,]. The current criteria for sarcopenia include BMI as a diagnostic criterium for male patients only; when the male patient has a BMI above 25 kg/m2 sarcopenia is present when the skeletal muscle index is below 53 cm2/m2, while when the BMI is below 25 kg/m2 sarcopenia is present when the skeletal muscle index is below 43 cm2/m2. For female patients, there is no BMI-related diagnostic criterium for the skeletal muscle index. Therefore, there could be a risk of missing female patients with obesity and sarcopenia, as a higher BMI in male patients has a low skeletal muscle index cut-off. Furthermore, it is important to note that the prevalence of obesity is rising within the general population; therefore, assessing people’s nutritional status solely based on the body mass index (BMI) is insufficient [] and will risk missing the diagnosis of sarcopenia, especially in women. The current data suggest that BMI alone is not enough to measure a patient’s nutritional status and should include weight loss and sarcopenia [].
In this study, the overall complication rate following surgery was 24%, and the major complication rate was 12%. For patients who had pancreas surgery, the complication rate was 39% and the major complication rate 14%. Comparing the complications for the patients who underwent a pancreatic surgical intervention with patients in a systematic review and meta-analysis, the complication rate was reported to be 14–58%. However, no difference in the severity of complications was reported []. Interestingly, when comparing pancreas surgery for a NET, it has a lower reported complication rate compared to surgery for a pancreatic adenocarcinoma. In a study from the United Kingdom by Sandini et al., an overall complication rate of 66% was reported for patients undergoing surgery for a pancreatic adenocarcinoma, with the major complication rate being 34–47% []. However, in the study by Sandini et al., all patients underwent a pancreatoduodenectomy; on the other hand, in the systematic review and meta-analysis, there was a mix of patients who had an enucleation of a pancreatic tumour, distal pancreatectomy, central pancreatectomy or pancreatoduodenectomy [,]. The lower complication rate observed in the current study may be attributed to the limited number of patients undergoing pancreatic surgery, which constituted 20% of the study cohort, in contrast to small intestinal surgery, which accounted for 70% of the population. The complication rate for patients who underwent surgery to the small intestine was 30%, and the major complication rate was 11%. A recent published systematic review and meta-analysis regarding complications following surgery for small intestine NETs reported a complication rate of 15% and a major complication rate of 9%, which is in line with our findings []. This low risk of complications could be an explanation for the lack of association with sarcopenia in patients with small intestinal NETs. Another explanation for the relatively low severe complication rate of 12% could be the surgical centre, as all patients underwent surgery in ENETS Centers of Excellence.
In the current study, sarcopenia was not a risk factor for major surgical complications. The aforementioned systematic reviews and meta-analyses regarding pancreatic or small intestinal surgery for NETs did not include body composition analysis [,]. The only comparable studies regarding sarcopenia and patients with NETs did not account for surgical complications [,]. Our findings are discrepant in comparison to studies that investigated colorectal and pancreatic adenocarcinomas. There are studies that studied colorectal cancer and sarcopenia that reported more frequent surgical complications or major complications [,]. In contrast, some studies reported no increased risk []. Another study investigating colorectal cancer reported myosteatosis to be significantly associated with complications []. Two studies focusing on sarcopenia in patients with pancreatic cancer could not correlate this factor with (major) surgical complications. One of these studies found adipopenia to be a risk factor for surgical complications in a univariate analysis, but this could not be confirmed in multivariate analysis []. Intriguingly, the other study found myosteatosis to be a risk factor for surgical complications in uni- and multivariate analyses []. All the mentioned studies, including this study, are retrospective studies with a high prevalence of sarcopenia and variable rates of surgical complications. A prospective study including all patients that underwent surgery for a NET might help to elucidate the role of sarcopenia in relationship to surgical complications.
In the current study, 64% of patients had metastases from their NETs and had to undergo surgical removal of their primary tumour, which was located in the small bowel in most of the patients. Several studies on the removal of the primary tumour in patients with metastatic small intestinal located NETs have reported conflicting results. There are studies that demonstrate a survival benefit when removing the primary small intestinal tumour, but there are also studies that failed to demonstrate this in patients who did not display any symptoms [,,]. A recent study that included patients with asymptomatic metastatic small bowel NETs showed that resection of the primary tumour is an independent risk factor for disease-specific mortality but not for overall survival []. Cases of metastases concerning resection of the primary pancreas tumour lack evidence [].
Myosteatosis was prevalent in 43% of our patients, which is in line with findings of Chan et al., wherein it was present in 71% of their patients. The difference in the presence of myosteatosis could be explained due to the different patients included in the studies, as Chan et al.’s study, where all patients had progressive disease. It could be hypothesized that progressive disease results in an ongoing systemic inflammatory response, cytokine release, decrease in muscle mass and increase in intermuscular fat measured in patients with myosteatosis [].
This study has several limitations, with the primary one being its retrospective design. It could be said that surgical complications have not been reported clearly in patient records or could be missed as some patients might have went to their local hospital with postoperative complications and not to the study centre. On the other hand, our primary outcome was the association between major complications, for which management nearly always encompasses surgery in the hospital. A correlation with weight loss and gastrointestinal symptoms is missing. Other parameters for the diagnosis of sarcopenia, such as handgrip strength and physical performance, are lacking.
Future research should focus on pathophysiological mechanisms that could be used to identify the causes of sarcopenia. Once established, the role of sarcopenia and its effects on quality of life and other oncological outcomes should be investigated [,].
5. Conclusions
Patients with a newly diagnosed GEP-NET scheduled for surgical resection of the primary tumour have a high prevalence of sarcopenia. However, sarcopenia is not a risk factor for the occurrence of major surgical complications.
Author Contributions
Conceptualization, D.S.V.M.C. and R.S.; methodology, D.S.V.M.C., M.E.v.L., P.S., K.M., K.K., A.d.H. and R.S.; software, D.S.V.M.C. and M.E.v.L.; validation, M.E.v.L. and R.S.; formal analysis, D.S.V.M.C. and M.E.v.L.; investigation, D.S.V.M.C. and G.G.; resources, M.O.W.; data curation, D.S.V.M.C. and M.E.v.L.; writing—original draft preparation, D.S.V.M.C.; writing—review and editing, M.E.v.L., M.E.T.T., P.S., K.M., K.K., A.d.H., M.O.W., G.G. and R.S.; supervision, M.E.v.L. and R.S. All authors have read and agreed to the published version of the manuscript.
Funding
This research received no external funding.
Institutional Review Board Statement
The study was conducted in accordance with the Declaration of Helsinki and approved by the Institutional Review Board of the Netherlands Cancer Institute (IRBd19-065, 2 June 2019) and the HRA in the United Kingdom (IRAS number 246990, 24 September 2018).
Informed Consent Statement
Patient consent was waived due to the retrospective nature of this study and the anonymized use of data.
Data Availability Statement
All data generated during this study are included in this article. Further enquiries can be directed to the corresponding author.
Conflicts of Interest
The authors declare no conflicts of interest.
References
- Nagtegaal, I.D.; Odze, R.D.; Klimstra, D.; Paradis, V.; Rugge, M.; Schirmacher, P.; Washington, K.M.; Carneiro, F.; Cree, I.A. The 2019 WHO Classification of Tumours of the Digestive System. Histopathology 2020, 76, 182–188. [Google Scholar] [CrossRef] [PubMed]
- Genus, T.S.E.; Bouvier, C.; Wong, K.F.; Srirajaskanthan, R.; Rous, B.A.; Talbot, D.C.; Valle, J.W.; Khan, M.; Pearce, N.; Elshafie, M.; et al. Impact of Neuroendocrine Morphology on Cancer Outcomes and Stage at Diagnosis: A UK Nationwide Cohort Study 2013–2015. Br. J. Cancer 2019, 121, 966–972. [Google Scholar] [CrossRef] [PubMed]
- Fottner, C.; Ferrata, M.; Weber, M.M. Hormone Secreting Gastro-Entero-Pancreatic Neuroendocrine Neoplasias (GEP-NEN): When to Consider, How to Diagnose? Rev. Endocr. Metab. Disord. 2017, 18, 393–410. [Google Scholar] [CrossRef] [PubMed]
- Sagar, V.M.; Cooper, S.C.; Johnson, J.; Shetty, S.; Shah, T. Gastrointestinal Manifestations of Neuroendocrine Tumours: Their Investigation and Management. Postgrad. Med. J. 2017, 93, 494–497. [Google Scholar] [CrossRef] [PubMed]
- Laing, E.; Kiss, N.; Michael, M.; Krishnasamy, M. Nutritional Complications and the Management of Patients with Gastroenteropancreatic Neuroendocrine Tumors. Neuroendocrinology 2020, 110, 430–441. [Google Scholar] [CrossRef]
- Basuroy, R.; Bouvier, C.; Ramage, J.K.; Sissons, M.; Kent, A.; Srirajaskanthan, R. Presenting Symptoms and Delay in Diagnosis of Gastrointestinal and Pancreatic Neuroendocrine Tumours. Neuroendocrinology 2018, 107, 42–49. [Google Scholar] [CrossRef]
- Wolin, E.M.; Leyden, J.; Goldstein, G.; Kolarova, T.; Hollander, R.; Warner, R.R.P. Patient-Reported Experience of Diagnosis, Management, and Burden of Neuroendocrine Tumors: Results from a Large Patient Survey in the United States. Pancreas 2017, 46, 639–647. [Google Scholar] [CrossRef]
- Cederholm, T.; Bosaeus, I.; Barazzoni, R.; Bauer, J.; Van Gossum, A.; Klek, S.; Muscaritoli, M.; Nyulasi, I.; Ockenga, J.; Schneider, S.M.; et al. Diagnostic Criteria for Malnutrition—An ESPEN Consensus Statement. Clin. Nutr. 2015, 34, 335–340. [Google Scholar] [CrossRef]
- Cruz-Jentoft, A.J.; Bahat, G.; Bauer, J.; Boirie, Y.; Bruyère, O.; Cederholm, T.; Cooper, C.; Landi, F.; Rolland, Y.; Sayer, A.A.; et al. Sarcopenia: Revised European Consensus on Definition and Diagnosis. Age Ageing 2019, 48, 16–31. [Google Scholar] [CrossRef]
- Cederholm, T.; Jensen, G.L.; Correia, M.; Gonzalez, M.C.; Fukushima, R.; Higashiguchi, T.; Baptista, G.; Barazzoni, R.; Blaauw, R.; Coats, A.; et al. GLIM Criteria for the Diagnosis of Malnutrition—A Consensus Report from the Global Clinical Nutrition Community. Clin. Nutr. 2019, 38, 1–9. [Google Scholar] [CrossRef]
- Clement, D.S.V.M.; van Leerdam, M.E.; Tesselaar, M.E.T.; Cananea, E.; Martin, W.; Weickert, M.O.; Sarker, D.; Ramage, J.K.; Srirajaskanthan, R. The Global Leadership into Malnutrition Criteria Reveals a High Percentage of Malnutrition Which Influences Overall Survival in Patients with Gastroenteropancreatic Neuroendocrine Tumours. J. Neuroendocrinol. 2024, 36, 1–13. [Google Scholar] [CrossRef] [PubMed]
- Kim, E.Y.; Lee, H.Y.; Cho, E.K.; Jeong, Y.M.; Kim, J.H. Prognostic Significance of Cachexia Score Assessed by CT in Male Patients with Small Cell Lung Cancer. Eur. J. Cancer Care 2017, 27, e12695. [Google Scholar] [CrossRef] [PubMed]
- Miljkovic, I.; Zmuda, J.M. Epidemiology of Myosteatosis. Curr. Opin. Clin. Nutr. Metab. Care 2010, 13, 260–264. [Google Scholar] [CrossRef] [PubMed]
- Nakanishi, R.; Oki, E.; Sasaki, S.; Hirose, K.; Jogo, T.; Edahiro, K.; Korehisa, S.; Taniguchi, D.; Kudo, K.; Kurashige, J.; et al. Sarcopenia Is an Independent Predictor of Complications after Colorectal Cancer Surgery. Surg. Today 2018, 48, 151–157. [Google Scholar] [CrossRef] [PubMed]
- Hanaoka, M.; Yasuno, M.; Ishiguro, M.; Yamauchi, S.; Kikuchi, A.; Tokura, M.; Ishikawa, T.; Nakatani, E.; Uetake, H. Morphologic Change of the Psoas Muscle as a Surrogate Marker of Sarcopenia and Predictor of Complications after Colorectal Cancer Surgery. Int. J. Color. Dis. 2017, 32, 847–856. [Google Scholar] [CrossRef] [PubMed]
- Sandini, M.; Bernasconi, D.P.; Fior, D.; Molinelli, M.; Ippolito, D.; Nespoli, L.; Caccialanza, R.; Gianotti, L. A High Visceral Adipose Tissue-to-Skeletal Muscle Ratio as a Determinant of Major Complications after Pancreatoduodenectomy for Cancer. Nutrition 2016, 2, 1231–1237. [Google Scholar] [CrossRef]
- Boer, B.C.; de Graaff, F.; Brusse-Keizer, M.; Bouman, D.E.; Slump, C.H.; Slee-Valentijn, M.; Klaase, J.M. Skeletal Muscle Mass and Quality as Risk Factors for Postoperative Outcome after Open Colon Resection for Cancer. Int. J. Color. Dis. 2016, 31, 1117–1124. [Google Scholar] [CrossRef]
- Huang, D.D.; Cai, H.Y.; Wang, W.B.; Song, H.N.; Luo, X.; Dong, W.X.; Dong, Q.T.; Chen, X.L.; Yan, J.Y. Measurement of Muscle Quantity/Quality Has Additional Predictive Value for Postoperative Complications and Long-Term Survival after Gastrectomy for Gastric Cancer in Patients with Probable Sarcopenia as Defined by the New EWGSOP2 Consensus: Analysis From. Nutrition 2021, 86, 111156. [Google Scholar] [CrossRef]
- Joglekar, S.; Asghar, A.; Mott, S.L.; Johnson, B.E.; Button, A.M.; Clark, E.; Mezhir, J.J. Sarcopenia Is an Independent Predictor of Complications Following Pancreatectomy for Adenocarcinoma. J. Surg. Oncol. 2015, 111, 771–775. [Google Scholar] [CrossRef]
- Herrera-Martínez, Y.; Teomiro, C.A.; Idougourram, S.L.; Puertas, M.J.M.; Continente, A.C.; Blanch, R.S.; Castaño, J.P.; Moreno, M.Á.G.; Gahete, M.D.; Luque, R.M.; et al. Sarcopenia and Ghrelin System in the Clinical Outcome and Prognosis of Gastroenteropancreatic Neuroendocrine Neoplasms. Cancers 2022, 14, 111. [Google Scholar] [CrossRef]
- Chan, D.L.; Clarke, S.J.; Engel, A.; Diakos, C.I.; Pavlakis, N.; Roach, P.J.; Bailey, D.L.; Bauer, J.; Findlay, M. Computed Tomography (CT)-Defined Sarcopenia and Myosteatosis Are Prevalent in Patients with Neuroendocrine Neoplasms (NENs) Treated with Peptide Receptor Radionuclide Therapy (PRRT). Eur. J. Clin. Nutr. 2022, 76, 143–149. [Google Scholar] [CrossRef] [PubMed]
- Clement, D.S.V.M.; va Leerdam, M.E.; de Jong, S.; Weickert, M.O.; Ramage, J.K.; Tesselaar, M.E.T.; Srirajaskanthan, R. Prevalence of Sarcopenia and Impact on Survival in Patients with Metastatic Gastroenteropancreatic Neuroendocrine Tumours. Cancers 2023, 15, 782. [Google Scholar] [CrossRef] [PubMed]
- Martin, L.; Birdsell, L.; MacDonald, N.; Reiman, T.; Clandinin, M.T.; McCargar, L.J.; Murphy, R.; Ghosh, S.; Sawyer, M.B.; Baracos, V.E. Cancer Cachexia in the Age of Obesity: Skeletal Muscle Depletion Is a Powerful Prognostic Factor, Independent of Body Mass Index. J. Clin. Oncol. 2013, 31, 1539–1547. [Google Scholar] [CrossRef] [PubMed]
- ASA Classification. Available online: https://www.asahq.org/standards-and-guidelines/asa-physical-status-classification-system (accessed on 28 October 2024).
- Dindo, D.; Demartines, N.; Clavien, P.A. Classification of Surgical Complications: A New Proposal with Evaluation in a Cohort of 6336 Patients and Results of a Survey. Ann. Surg. 2004, 240, 205–213. [Google Scholar] [CrossRef] [PubMed]
- Shen, W. Total Body Skeletal Muscle and Adipose Tissue Volumes: Estimation from a Single Abdominal Cross-Sectional Image. J. Appl. Physiol. 2004, 97, 2333–2338. [Google Scholar] [CrossRef]
- Mourtzakis, M.; Prado, C.M.M.; Lieffers, J.R.; Reiman, T.; Mccargar, L.J.; Baracos, V.E. A Practical and Precise Approach to Quantification of Body Composition in Cancer Patients Using Computed Tomography Images Acquired during Routine Care. Appl. Physiol. Nutr. Metab. 2008, 33, 997–1006. [Google Scholar] [CrossRef]
- Doyle, S.L.; Bennett, A.M.; Donohoe, C.L.; Mongan, A.M.; Howard, J.M.; Lithander, F.E.; Pidgeon, G.P.; Reynolds, J.V.; Lysaght, J. Establishing Computed Tomography-Defined Visceral Fat Area Thresholds for Use in Obesity-Related Cancer Research. Nutr. Res. 2013, 33, 171–179. [Google Scholar] [CrossRef]
- Huang, D.D.; Wang, S.L.; Zhuang, C.L.; Zheng, B.S.; Lu, J.X.; Chen, F.F.; Zhou, C.J.; Shen, X.; Yu, Z. Sarcopenia, as Defined by Low Muscle Mass, Strength and Physical Performance, Predicts Complications after Surgery for Colorectal Cancer. Color. Dis. 2015, 17, O256–O264. [Google Scholar] [CrossRef]
- Van Rijssen, L.B.; van Huijgevoort, N.C.M.; Coelen, R.J.S.; Tol, J.A.; Haverkort, E.B.; Nio, C.Y.; Busch, O.R.; Besselink, M.G. Skeletal Muscle Quality Is Associated with Worse Survival After Pancreatoduodenectomy for Periampullary, Nonpancreatic Cancer. Ann. Surg. Oncol. 2017, 24, 272–280. [Google Scholar] [CrossRef]
- Tan, B.H.L.; Birdsell, L.A.; Martin, L.; Baracos, V.E.; Fearon, K.C.H. Sarcopenia in an Overweight or Obese Patient Is an Adverse Prognostic Factor in Pancreatic Cancer. Clin. Cancer Res. 2009, 15, 6973–6979. [Google Scholar] [CrossRef]
- Dalal, S.; Hui, D.; Bidaut, L.; Lem, K.; Del Fabbro, E.; Crane, C.; Reyes-Gibby, C.C.; Bedi, D.; Bruera, E. Relationships among Body Mass Index, Longitudinal Body Composition Alterations, and Survival in Patients with Locally Advanced Pancreatic Cancer Receiving Chemoradiation: A Pilot Study. J. Pain Symptom Manag. 2012, 44, 181–191. [Google Scholar] [CrossRef] [PubMed]
- Sui, K.; Okabayshi, T.; Iwata, J.; Morita, S.; Sumiyoshi, T.; Iiyama, T.; Shimada, Y. Correlation between the Skeletal Muscle Index and Surgical Outcomes of Pancreaticoduodenectomy. Surg. Today 2018, 48, 545–551. [Google Scholar] [CrossRef] [PubMed]
- Pędziwiatr, M.; Pisarska, M.; Major, P.; Grochowska, A.; Matłok, M.; Przęczek, K.; Stefura, T.; Budzyński, A.; Kłęk, S. Laparoscopic Colorectal Cancer Surgery Combined with Enhanced Recovery after Surgery Protocol (ERAS) Reduces the Negative Impact of Sarcopenia on Short-Term Outcomes. Eur. J. Surg. Oncol. 2016, 42, 779–787. [Google Scholar] [CrossRef] [PubMed]
- NHS. NHS Prevalence Obesity in the UK. Available online: https://digital.nhs.uk/data-and-information/publications/statistical/statistics-on-obesity-physical-activity-and-diet/england-2020 (accessed on 28 October 2024).
- Jilesen, A.P.J.; Van Eijck, C.H.J.; In’t Hof, K.H.; Van Dieren, S.; Gouma, D.J.; Van Dijkum, E.J.M.N. Postoperative Complications, In-Hospital Mortality and 5-Year Survival after Surgical Resection for Patients with a Pancreatic Neuroendocrine Tumor: A Systematic Review. World J. Surg. 2016, 40, 729–748. [Google Scholar] [CrossRef] [PubMed]
- Kaçmaz, E.; Chen, J.W.; Tanis, P.J.; Nieveen van Dijkum, E.J.M.; Engelsman, A.F. Postoperative Morbidity and Mortality after Surgical Resection of Small Bowel Neuroendocrine Neoplasms: A Systematic Review and Meta-Analysis. J. Neuroendocrinol. 2021, 33, e13008. [Google Scholar] [CrossRef]
- Ahmed, A.; Turner, G.; King, B.; Jones, L.; Culliford, D.; McCance, D.; Ardill, J.; Johnston, B.T.; Poston, G.; Rees, M.; et al. Midgut Neuroendocrine Tumours with Liver Metastases: Results of the UKINETS Study. Endocr.-Relat. Cancer 2009, 16, 885–894. [Google Scholar] [CrossRef]
- Daskalakis, K.; Karakatsanis, A.; Hessman, O.; Stuart, H.C.; Welin, S.; Tiensuu Janson, E.; Öberg, K.; Hellman, P.; Norlén, O.; Stålberg, P. Association of a Prophylactic Surgical Approach to Stage IV Small Intestinal Neuroendocrine Tumors With Survival. JAMA Oncol. 2018, 4, 183–189. [Google Scholar] [CrossRef]
- Partelli, S.; Bartsch, D.K.; Capdevila, J.; Chen, J.; Knigge, U.; Niederle, B.; Nieveen van Dijkum, E.J.M.; Pape, U.-F.; Pascher, A.; Ramage, J.; et al. ENETS Consensus Guidelines for the Standards of Care in Neuroendocrine Tumours: Surgery for Small Intestinal and Pancreatic Neuroendocrine Tumours. Neuroendocrinology 2017, 105, 255–265. [Google Scholar] [CrossRef]
- Levy, S.; Arthur, J.D.; Banks, M.; Kok, N.F.M.; Fenwick, S.W.; Diaz-Nieto, R.; van Leerdam, M.E.; Cuthbertson, D.J.; Valk, G.D.; Kuhlmann, K.F.D.; et al. Primary Tumor Resection Is Associated with Improved Disease-Specific Mortality in Patients with Stage IV Small Intestinal Neuroendocrine Tumors (NETs): A Comparison of Upfront Surgical Resection Versus a Watch and Wait Strategy in Two Specialist NET Cente. Ann. Surg. Oncol. 2022, 12, 7822–7832. [Google Scholar] [CrossRef]
- Niederle, B.; Pape, U.-F.; Costa, F.; Gross, D.; Kelestimur, F.; Knigge, U.; Öberg, K.; Pavel, M.; Perren, A.; Toumpanakis, C.; et al. ENETS Consensus Guidelines Update for Neuroendocrine Neoplasms of the Jejunum and Ileum. Neuroendocrinology 2016, 103, 125–138. [Google Scholar] [CrossRef]
- Nipp, R.D.; Fuchs, G.; El-Jawahri, A.; Mario, J.; Troschel, F.M.; Greer, J.A.; Gallagher, E.R.; Jackson, V.A.; Kambadakone, A.; Hong, T.S.; et al. Sarcopenia Is Associated with Quality of Life and Depression in Patients with Advanced Cancer. Oncologist 2017, 23, 97–104. [Google Scholar] [CrossRef] [PubMed]
- Zou, H.-B.; Yan, X.-L.; Dong, W.-X.; Yu, D.-Y.; Zhang, F.-M.; Zhou, L.-P.; Shen, Z.-L.; Cai, G.-J.; Zhuang, C.-L.; Yu, Z. Sarcopenia Is a Predictive Factor of Poor Quality of Life and Prognosis in Patients after Radical Gastrectomy. Eur. J. Surg. Oncol. 2021, 47, 1976–1984. [Google Scholar] [CrossRef] [PubMed]
Disclaimer/Publisher’s Note: The statements, opinions and data contained in all publications are solely those of the individual author(s) and contributor(s) and not of MDPI and/or the editor(s). MDPI and/or the editor(s) disclaim responsibility for any injury to people or property resulting from any ideas, methods, instructions or products referred to in the content. |
© 2024 by the authors. Licensee MDPI, Basel, Switzerland. This article is an open access article distributed under the terms and conditions of the Creative Commons Attribution (CC BY) license (https://creativecommons.org/licenses/by/4.0/).