Extraction of Soluble Dietary Fiber from Sunflower Receptacles (Helianthus annuus L.) and Its Alleviating Effect on Constipation in Mice
Abstract
1. Introduction
2. Materials and Methods
2.1. Materials
2.2. Samples and Sample Preparation
2.3. SDF Extraction
2.3.1. Citric Acid Extraction
2.3.2. Hot-Water Extraction
2.3.3. Enzymatic Extraction
2.4. Optimization of SDF Extraction Process
2.4.1. Mono-Factor Experiments
2.4.2. Response Surface Experiments
2.4.3. Extraction Yield
2.5. Analysis of Physicochemical Property
2.5.1. Measurement of Water-Holding Capacity (WHC)
2.5.2. Measurement of Oil-Holding Capacity (OHC)
2.5.3. Measurement of Swelling Capacity (SC)
2.6. Structural Characterization of Sunflower Receptacles’ Soluble Dietary Fiber
2.6.1. Scanning Electron Microscopy (SEM) Analysis
2.6.2. Fourier Transform Infrared (FT-IR) Spectroscopy Analysis
2.6.3. X-Ray Diffraction (XRD) Analysis
2.7. Animal Experiment
2.7.1. Animals and Their Experiments
2.7.2. Constipation Model Induced by Loperamide Hydrochloride
2.7.3. Evaluation of Defecation Function of Constipated Mice
2.7.4. Small Intestine Propulsion Test
2.7.5. Histopathology
2.8. Statistical Analysis
3. Results
3.1. Optimization of SDF Extraction Process from Sunflower Receptacles
3.2. Physicochemical Properties of SDF from Sunflower Receptacles
3.3. Structural Analysis
3.4. Growth of Mice
3.5. The Effect of Sunflower Receptacles ASDF on Mice Defecation
3.6. The Effect of Sunflower Receptacles ASDF on Intestinal Propulsion of Mice
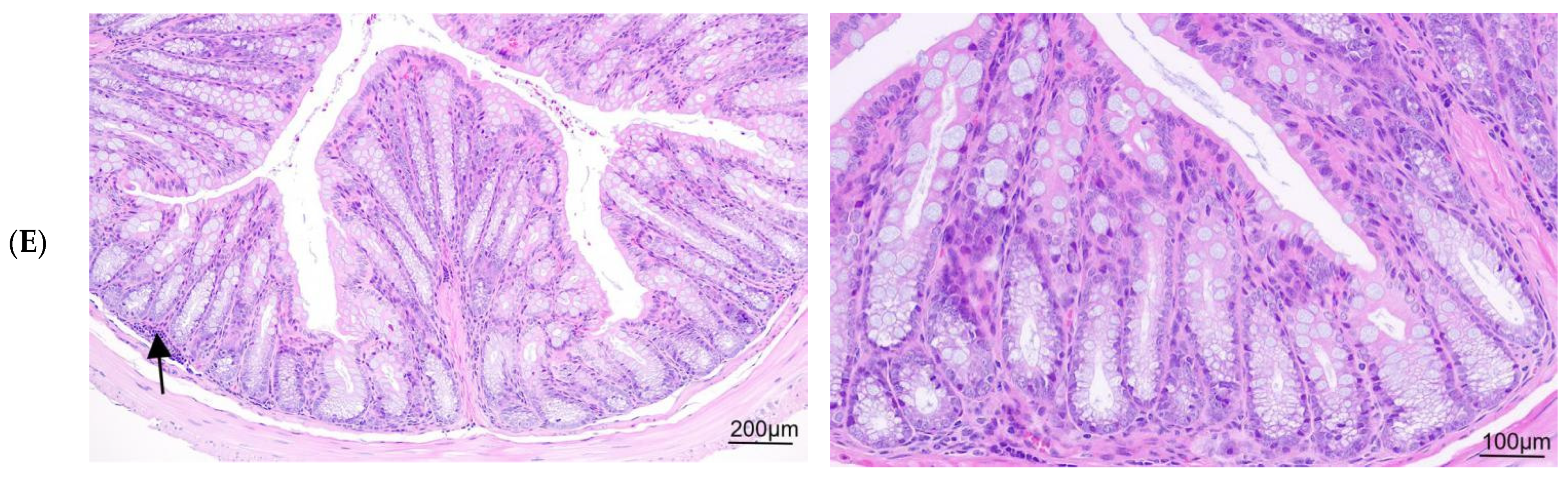
3.7. Analysis of H&E Staining Results of Colon
4. Discussion
5. Conclusions
Supplementary Materials
Author Contributions
Funding
Institutional Review Board Statement
Informed Consent Statement
Data Availability Statement
Conflicts of Interest
References
- Adeleke, B.S.; Babalola, O.O. Oilseed crop sunflower (Helianthus annuus) as a source of food: Nutritional and health benefits. Food Sci. Nutr. 2020, 8, 4666–4684. [Google Scholar] [CrossRef] [PubMed]
- Kaur, R.; Ghoshal, G. Sunflower protein isolates-composition, extraction and functional properties. Adv. Colloid. Interface Sci. 2022, 306, 102725. [Google Scholar] [CrossRef]
- de Oliveira Filho, J.G.; Egea, M.B. Sunflower seed byproduct and its fractions for food application: An attempt to improve the sustainability of the oil process. J. Food Sci. 2021, 86, 1497–1510. [Google Scholar] [CrossRef]
- Dai, H.; Lv, S.; Qiao, Z.; Wang, K.; Zhou, X.; Bao, C.; Zhang, S.; Fu, X.; Li, W. The Active Components of Sunflower (Helianthus annuus L.) Calathide and the Effects on Urate Nephropathy Based on COX-2/PGE2 Signaling Pathway and the Urate Transporter URAT1, ABCG2, and GLUT9. Front. Nutr. 2021, 8, 769555. [Google Scholar] [CrossRef] [PubMed]
- Osman, N.S.; Sapawe, N.; Sapuan, M.A.; Fozi, M.F.; Azman, M.H.; Fazry, A.H.; Zainudin, M.Z.; Hanafi, M.F. Sunflower shell waste as an alternative animal feed. Mater. Today Proc. 2018, 5, 21905–21910. [Google Scholar] [CrossRef]
- Popovic, D.D.; Filipovic, B. Constipation and colonoscopy. World J. Gastrointest. Endosc. 2024, 16, 244–249. [Google Scholar] [CrossRef] [PubMed]
- Scott, S.M.; Simrén, M.; Farmer, A.D.; Dinning, P.G.; Carrington, E.V.; Benninga, M.A.; Burgell, R.E.; Dimidi, E.; Fikree, A.; Ford, A.C.; et al. Chronic constipation in adults: Contemporary perspectives and clinical challenges. 1: Epidemiology, diagnosis, clinical associations, pathophysiology and investigation. Neurogastroenterol. Motil. 2021, 33, e14050. [Google Scholar] [CrossRef]
- Ahajumobi, N.E.; Oparaocha, T.E.; Eteike, P.; Sanni, O.F. Effect of Water Intake on Constipation and Bowel Movement. Asian J. Med. Health 2022, 20, 1–10. [Google Scholar] [CrossRef]
- Diaz, S.; Bittar, K.; Hashmi, M.F.; Mendez, M.D. Constipation. In StatPearls; StatPearls Publishing Copyright © 2024; StatPearls Publishing LLC.: Treasure Island, FL, USA, 2024. [Google Scholar]
- Zhou, P.; Wang, X.; Sun, M.; Yan, S. Effects of natural products on functional constipation: Analysis of active ingredient and mechanism. Naunyn-Schmiedeberg’s Arch. Pharmacol. 2024, 397, 2083–2103. [Google Scholar] [CrossRef]
- Hay, T.; Bellomo, R.; Rechnitzer, T.; See, E.; Ali Abdelhamid, Y.; Deane, A.M. Constipation, diarrhea, and prophylactic laxative bowel regimens in the critically ill: A systematic review and meta-analysis. J. Crit. Care 2019, 52, 242–250. [Google Scholar] [CrossRef]
- Chang, L.; Chey, W.D.; Imdad, A.; Almario, C.V.; Bharucha, A.E.; Diem, S.; Greer, K.B.; Hanson, B.; Harris, L.A.; Ko, C.; et al. American Gastroenterological Association-American College of Gastroenterology Clinical Practice Guideline: Pharmacological Management of Chronic Idiopathic Constipation. Gastroenterology 2023, 164, 1086–1106. [Google Scholar] [CrossRef] [PubMed]
- Frazier, A.L.; Ryan, C.T.; Rockett, H.; Willett, W.C.; Colditz, G.A. Adolescent diet and risk of breast cancer. Breast Cancer Res. 2003, 5, R59–R64. [Google Scholar] [CrossRef] [PubMed]
- Timm, M.; Offringa, L.C.; Van Klinken, B.J.; Slavin, J. Beyond Insoluble Dietary Fiber: Bioactive Compounds in Plant Foods. Nutrients 2023, 15, 4138. [Google Scholar] [CrossRef] [PubMed]
- Yao, F.; Ma, J.; Cui, Y.; Huang, C.; Lu, R.; Hu, F.; Zhu, X.; Qin, P. Dietary intake of total vegetable, fruit, cereal, soluble and insoluble fiber and risk of all-cause, cardiovascular, and cancer mortality: Systematic review and dose-response meta-analysis of prospective cohort studies. Front. Nutr. 2023, 10, 1153165. [Google Scholar] [CrossRef] [PubMed]
- Arayici, M.E.; Mert-Ozupek, N.; Yalcin, F.; Basbinar, Y.; Ellidokuz, H. Soluble and Insoluble Dietary Fiber Consumption and Colorectal Cancer Risk: A Systematic Review and Meta-Analysis. Nutr. Cancer 2022, 74, 2412–2425. [Google Scholar] [CrossRef]
- Bader Ul Ain, H.; Saeed, F.; Ahmed, A.; Asif Khan, M.; Niaz, B.; Tufail, T. Improving the physicochemical properties of partially enhanced soluble dietary fiber through innovative techniques: A coherent review. J. Food Process. Preserv. 2019, 43, e13917. [Google Scholar] [CrossRef]
- Dai, F.J.; Chau, C.F. Classification and regulatory perspectives of dietary fiber. J. Food Drug Anal. 2017, 25, 37–42. [Google Scholar] [CrossRef]
- Fuller, S.; Beck, E.; Salman, H.; Tapsell, L. New Horizons for the Study of Dietary Fiber and Health: A Review. Plant Foods Hum. Nutr. 2016, 71, 1–12. [Google Scholar] [CrossRef]
- Guan, Z.W.; Yu, E.Z.; Feng, Q. Soluble Dietary Fiber, One of the Most Important Nutrients for the Gut Microbiota. Molecules 2021, 26, 6802. [Google Scholar] [CrossRef]
- Thompson, H.J. The Dietary Guidelines for Americans (2020–2025): Pulses, Dietary Fiber, and Chronic Disease Risk-A Call for Clarity and Action. Nutrients 2021, 13, 4034. [Google Scholar] [CrossRef]
- Phillips, J.A. Dietary Guidelines for Americans, 2020–2025. Workplace Health Saf. 2021, 69, 395. [Google Scholar] [CrossRef] [PubMed]
- Dahl, W.J.; Stewart, M.L. Position of the Academy of Nutrition and Dietetics: Health Implications of Dietary Fiber. J. Acad. Nutr. Diet. 2015, 115, 1861–1870. [Google Scholar] [CrossRef] [PubMed]
- Romano, C.; Pallio, S.; Cucinotta, U.; Accorsi, P.; Dipasquale, V. Fibers in pediatric functional gastrointestinal disorders. Practical considerations from clinical cases. Expert. Rev. Gastroenterol. Hepatol. 2021, 15, 583–587. [Google Scholar] [CrossRef] [PubMed]
- Ferjančič, B.; Skrt, M.; Korošec, M.; Bertoncelj, J. Comparative analysis of dietary fibre determination by AOAC 991.43 and AOAC 2011.25 for frequently consumed foods in Slovenia. Food Chem. 2022, 397, 133753. [Google Scholar] [CrossRef]
- Zhang, W.; Zeng, G.; Pan, Y.; Chen, W.; Huang, W.; Chen, H.; Li, Y. Properties of soluble dietary fiber-polysaccharide from papaya peel obtained through alkaline or ultrasound-assisted alkaline extraction. Carbohydr. Polym. 2017, 172, 102–112. [Google Scholar] [CrossRef]
- Wang, L.; Xu, H.; Yuan, F.; Fan, R.; Gao, Y. Preparation and physicochemical properties of soluble dietary fiber from orange peel assisted by steam explosion and dilute acid soaking. Food Chem. 2015, 185, 90–98. [Google Scholar] [CrossRef]
- Kakino, M.; Izuta, H.; Ito, T.; Tsuruma, K.; Araki, Y.; Shimazawa, M.; Oyama, M.; Iinuma, M.; Hara, H. Agarwood induced laxative effects via acetylcholine receptors on loperamide-induced constipation in mice. Biosci. Biotechnol. Biochem. 2010, 74, 1550–1555. [Google Scholar] [CrossRef]
- Ye, S.; Shah, B.R.; Li, J.; Liang, H.; Zhan, F.; Geng, F.; Li, B. A critical review on interplay between dietary fibers and gut microbiota. Trends Food Sci. Technol. 2022, 124, 237–249. [Google Scholar] [CrossRef]
- He, C.-A.; Qi, J.-R.; Liao, J.-S.; Song, Y.-T.; Wu, C.-L. Excellent hydration properties and oil holding capacity of citrus fiber: Effects of component variation and microstructure. Food Hydrocoll. 2023, 144, 108988. [Google Scholar] [CrossRef]
- Li, Y.; Niu, L.; Guo, Q.; Shi, L.; Deng, X.; Liu, X.; Xiao, C. Effects of fermentation with lactic bacteria on the structural characteristics and physicochemical and functional properties of soluble dietary fiber from prosomillet bran. LWT 2022, 154, 112609. [Google Scholar] [CrossRef]
- Xiong, M.; Feng, M.; Chen, Y.; Li, S.; Fang, Z.; Wang, L.; Lin, D.; Zhang, Q.; Liu, Y.; Luo, Y.; et al. Comparison on structure, properties and functions of pomegranate peel soluble dietary fiber extracted by different methods. Food Chem. X 2023, 19, 100827. [Google Scholar] [CrossRef] [PubMed]
- Djordjević, M.; Šereš, Z.; Maravić, N.; Šćiban, M.; Šoronja-Simović, D.; Djordjević, M. Modified sugar beet pulp and cellulose-based adsorbents as molasses quality enhancers: Assessing the treatment conditions. LWT 2021, 150, 111988. [Google Scholar] [CrossRef]
- Wang, K.; Li, M.; Wang, Y.; Liu, Z.; Ni, Y. Effects of extraction methods on the structural characteristics and functional properties of dietary fiber extracted from kiwifruit (Actinidia deliciosa). Food Hydrocoll. 2021, 110, 106162. [Google Scholar] [CrossRef]
- Djordjević, M.; Ambrus, R.; Maravić, N.; Vidović, S.; Šoronja-Simović, D.; Petrović, J.; Šereš, Z. Impact of Short-Time Micronization on Structural and Thermal Properties of Sugar Beet Fibre and Inulin. Food Technol. Biotechnol. 2022, 60, 543–555. [Google Scholar] [CrossRef]
- Wang, S.; Fang, Y.; Xu, Y.; Zhu, B.; Piao, J.; Zhu, L.; Yao, L.; Liu, K.; Wang, S.; Zhang, Q.; et al. The effects of different extraction methods on physicochemical, functional and physiological properties of soluble and insoluble dietary fiber from Rubus chingiiHu. fruits. J. Funct. Foods 2022, 93, 105081. [Google Scholar] [CrossRef]
- Ortiz Ortega, E.; Hosseinian, H.; Rosales López, M.J.; Rodríguez Vera, A.; Hosseini, S. Characterization Techniques for Chemical and Structural Analyses. In Material Characterization Techniques and Applications; Ortiz Ortega, E., Hosseinian, H., Aguilar Meza, I.B., Rosales López, M.J., Rodríguez Vera, A., Hosseini, S., Eds.; Springer: Singapore, 2022; pp. 93–152. [Google Scholar] [CrossRef]
- Han, X.; Ma, Y.; Ding, S.; Fang, J.; Liu, G. Regulation of dietary fiber on intestinal microorganisms and its effects on animal health. Anim. Nutr. 2023, 14, 356–369. [Google Scholar] [CrossRef] [PubMed]
- Zheng, Z.; Deng, W.; Li, Y.; Song, H.; Chen, S. Extraction, physiological function and application of soluble dietary fiber from edible fungi: A review. Food Sci. Technol. 2022, 42, e35422. [Google Scholar] [CrossRef]
- Tian, Y.; Wu, T.; Sheng, Y.; Li, L.; Wang, C. Effects of cavitation-jet technology combined with enzyme treatment on the structure properties and functional properties of OKARA insoluble dietary fiber. Food Chem. 2023, 423, 136286. [Google Scholar] [CrossRef]
- Xu, K.; Sun, Q.; Shi, Z.; Zou, Y.; Jiang, X.; Wang, Y.; Chong, F.; Song, C. A Dose-Response Meta-Analysis of Dietary Fiber Intake and Breast Cancer Risk. Asia Pac. J. Public Health 2022, 34, 331–337. [Google Scholar] [CrossRef]
- Cheng, W.; Sun, Y.J.; Fan, M.C.; Li, Y.; Wang, L.; Qian, H.F. Wheat bran, as the resource of dietary fiber: A review. Crit. Rev. Food Sci. Nutr. 2022, 62, 7269–7281. [Google Scholar] [CrossRef]
- Qiao, C.-C.; Zeng, F.-K.; Wu, N.-N.; Tan, B. Functional, physicochemical and structural properties of soluble dietary fiber from rice bran with extrusion cooking treatment. Food Hydrocoll. 2021, 121, 107057. [Google Scholar] [CrossRef]
- Zhong, J.; Xie, H.; Wang, Y.; Xiong, H.; Zhao, Q. Nanofibrillated cellulose derived from rice bran, wheat bran, okara as novel dietary fibers: Structural, physicochemical, and functional properties. Int. J. Biol. Macromol. 2024, 273, 132902. [Google Scholar] [CrossRef] [PubMed]
- Fidriyanto, R.; Singh, B.P.; Manju, K.M.; Widyastuti, Y.; Goel, G. Multivariate analysis of structural and functional properties of fibres from apple pomace using different extraction methods. Food Prod. Process. Nutr. 2023, 5, 6. [Google Scholar] [CrossRef]
- Yu, C.; Ahmadi, S.; Shen, S.; Wu, D.; Xiao, H.; Ding, T.; Liu, D.; Ye, X.; Chen, S. Structure and fermentation characteristics of five polysaccharides sequentially extracted from sugar beet pulp by different methods. Food Hydrocoll. 2022, 126, 107462. [Google Scholar] [CrossRef]
- Ul Ain, H.B.; Saeed, F.; Khan, M.A.; Niaz, B.; Khan, S.G.; Anjum, F.M.; Tufail, T.; Hussain, S. Comparative study of chemical treatments in combination with extrusion for the partial conversion of wheat and sorghum insoluble fiber into soluble. Food Sci. Nutr. 2019, 7, 2059–2067. [Google Scholar] [CrossRef]
- Gao, Y.; Guo, M.; Wang, D.; Zhao, D.; Wang, M. Advances in extraction, purification, structural characteristics and biological activities of hemicelluloses: A review. Int. J. Biol. Macromol. 2023, 225, 467–483. [Google Scholar] [CrossRef]
- Gan, J.; Huang, Z.; Yu, Q.; Peng, G.; Chen, Y.; Xie, J.; Nie, S.; Xie, M. Microwave assisted extraction with three modifications on structural and functional properties of soluble dietary fibers from grapefruit peel. Food Hydrocoll. 2020, 101, 105549. [Google Scholar] [CrossRef]
- Yan, J.-K.; Wu, L.-X.; Cai, W.-D.; Xiao, G.-S.; Duan, Y.; Zhang, H. Subcritical water extraction-based methods affect the physicochemical and functional properties of soluble dietary fibers from wheat bran. Food Chem. 2019, 298, 124987. [Google Scholar] [CrossRef]
- Ma, R.; Chen, J.-N.; Zhou, X.-J.; Lin, H.; Gao, Q.; Peng, X.; Tanokura, M.; Xue, Y.-L. Effect of chemical and enzymatic modifications on the structural and physicochemical properties of dietary fiber from purple turnip (Brassica rapa L.). LWT 2021, 145, 111313. [Google Scholar] [CrossRef]
- Wang, Y.Y.; He, B.; Zhang, L.W.; Zhu, R.W.; Huang, L. Physicochemical properties of superfine grinding-microwave modified artichoke soluble dietary fiber and their alleviation of alcoholic fatty liver in mice. Front. Nutr. 2023, 10, 1253963. [Google Scholar] [CrossRef]
- Mudgil, D.; Barak, S. Composition, properties and health benefits of indigestible carbohydrate polymers as dietary fiber: A review. Int. J. Biol. Macromol. 2013, 61, 1–6. [Google Scholar] [CrossRef] [PubMed]
- Włodarczyk, J.; Waśniewska, A.; Fichna, J.; Dziki, A.; Dziki, Ł.; Włodarczyk, M. Current Overview on Clinical Management of Chronic Constipation. J. Clin. Med. 2021, 10, 1738. [Google Scholar] [CrossRef] [PubMed]
- Rijnaarts, I.; de Roos, N.M.; Wang, T.J.; Zoetendal, E.G.; Top, J.; Timmer, M.; Hogenelst, K.; Bouwman, E.P.; Witteman, B.; de Wit, N. A high-fibre personalised dietary advice given via a web tool reduces constipation complaints in adults. J. Nutr. Sci. 2022, 11, e31. [Google Scholar] [CrossRef] [PubMed]
- Wu, L.; Tang, C.; Chen, L.; Zhao, J. Modified dietary fiber from soybean dregs by fermentation alleviated constipation in mice. Food Chem. X 2023, 19, 100810. [Google Scholar] [CrossRef]
- Shi, J.C.; Xiang, L.; Lam, Y.Y.; Ning, Z.W.; Liu, J.; Li, Y.Q.; Zhou, Y.J.; Zhai, L.X.; Lin, C.Y.; Zhu, L.; et al. A Novel Multiple-Network Analysis Integrating Metabolomics and Pharmacology for Mechanism Study of Medicine: A Case Study of CDD-2101 Against Constipation. J. Anal. Test. 2024. [Google Scholar] [CrossRef]






Disclaimer/Publisher’s Note: The statements, opinions and data contained in all publications are solely those of the individual author(s) and contributor(s) and not of MDPI and/or the editor(s). MDPI and/or the editor(s) disclaim responsibility for any injury to people or property resulting from any ideas, methods, instructions or products referred to in the content. |
© 2024 by the authors. Licensee MDPI, Basel, Switzerland. This article is an open access article distributed under the terms and conditions of the Creative Commons Attribution (CC BY) license (https://creativecommons.org/licenses/by/4.0/).
Share and Cite
Zhu, S.; Yan, M.; Feng, Y.; Yin, J.; Jiang, S.; Guan, Y.; Gao, B. Extraction of Soluble Dietary Fiber from Sunflower Receptacles (Helianthus annuus L.) and Its Alleviating Effect on Constipation in Mice. Nutrients 2024, 16, 3650. https://doi.org/10.3390/nu16213650
Zhu S, Yan M, Feng Y, Yin J, Jiang S, Guan Y, Gao B. Extraction of Soluble Dietary Fiber from Sunflower Receptacles (Helianthus annuus L.) and Its Alleviating Effect on Constipation in Mice. Nutrients. 2024; 16(21):3650. https://doi.org/10.3390/nu16213650
Chicago/Turabian StyleZhu, Shengying, Min Yan, Yanjing Feng, Jiayi Yin, Siyu Jiang, Yulong Guan, and Bo Gao. 2024. "Extraction of Soluble Dietary Fiber from Sunflower Receptacles (Helianthus annuus L.) and Its Alleviating Effect on Constipation in Mice" Nutrients 16, no. 21: 3650. https://doi.org/10.3390/nu16213650
APA StyleZhu, S., Yan, M., Feng, Y., Yin, J., Jiang, S., Guan, Y., & Gao, B. (2024). Extraction of Soluble Dietary Fiber from Sunflower Receptacles (Helianthus annuus L.) and Its Alleviating Effect on Constipation in Mice. Nutrients, 16(21), 3650. https://doi.org/10.3390/nu16213650

