Interventional Effect of Donkey Bone Collagen Peptide Iron Chelate on Cyclophosphamide Induced Immunosuppressive Mice
Abstract
1. Introduction
2. Materials and Methods
2.1. Materials and Reagents
2.2. Preparation of the DPI
2.3. Animals and Treatments
2.4. Determination of Whole Blood Hemogram Indexes
2.5. Histopathological Examination
2.6. Determination of Splenic Lymphocyte Proliferation Ability
2.7. Determination of Cytokines in Serum
2.8. Real-Time Quantitative PCR
2.9. Untargeted Metabolomics Analysis for Plasma Based on UPLC–MS/MS
2.10. Statistical Analysis
3. Results
3.1. The Impact of DPI on Body Weight and Organ Index
3.2. The Effect of DPI on Peripheral Blood Count
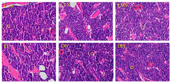
3.3. The Effect of DPI on the Pathology of Bone Marrow Tissue
3.4. The Effect of DPI on the Proliferation Activity of Splenic Lymphocytes
3.5. The Regulatory Effect of DPI on the Apoptosis Pathway of Thymic Tissue Cells
3.6. The Effect of DPI on Serum Cytokine Levels
3.7. Metabolic Regulation of DPI on Immunocompromised Mice
3.7.1. Multivariate Statistical Analysis
3.7.2. Screening and Identification of Plasma Differential Metabolites
3.7.3. The Effect of DPI on Purine Metabolism Pathway in Immunocompromised Mice
3.7.4. The Effect of DPI on the JAK/STAT Signaling Pathway in Immunocompromised Mice
4. Discussion
5. Conclusions
Supplementary Materials
Author Contributions
Funding
Institutional Review Board Statement
Data Availability Statement
Conflicts of Interest
References
- Borgoni, S.; Kudryashova, K.S.; Burka, K.; de Magalhães, J.P. Targeting immune dysfunction in aging. Ageing Res. Rev. 2021, 70, 101410. [Google Scholar] [CrossRef] [PubMed]
- Gong, Y.; Wu, J.; Li, S.T. Immuno-enhancement effects of Lycium ruthenicum Murr. polysaccharide on cyclophosphamide-induced immunosuppression in mice. Int. J. Clin. Exp. Pathol. 2015, 8, 20631–20637. [Google Scholar]
- Peter, J.G.; Chapel, H. Immunoglobulin replacement therapy for primary immunodeficiencies. Immunotherapy 2014, 6, 853–869. [Google Scholar] [CrossRef] [PubMed]
- Survase, S.A.; Kagliwal, L.D.; Annapure, U.S.; Singhal, R.S. Cyclosporin A—A review on fermentative production, downstream processing and pharmacological applications. Biotechnol. Adv. 2011, 29, 418–435. [Google Scholar] [CrossRef]
- Kim, J.; Lee, H.; You, S. Dried Ginger Extract Restores the T Helper Type 1/T Helper Type 2 Balance and Antibody Production in Cyclophosphamide-Induced Immunocompromised Mice after Flu Vaccination. Nutrients 2022, 14, 1984. [Google Scholar] [CrossRef]
- Liu, Z.D.; Zhang, J.C.; Zhao, Q.; Wen, A.M.; Li, L.; Zhang, Y. The regulating effect of Tibet Opuntia ficus-indica (Linn.) Mill. polysaccharides on the intestinal flora of cyclophosphamide-induced immunocompromised mice. Int. J. Biol. Macromol. 2022, 207, 570–579. [Google Scholar] [CrossRef]
- Yu, J.H.; Cong, L.X.; Wang, C.M.; Li, H.; Zhang, C.Y.; Guan, X.G.; Liu, P.; Xie, Y.; Chen, J.G.; Sun, J.H. Immunomodulatory effect of Schisandra polysaccharides in cyclophosphamide-induced immunocompromised mice. Exp. Ther. Med. 2018, 15, 4755–4762. [Google Scholar] [CrossRef]
- Wang, J.; Hou, H.W.; Li, Y.; Tang, W.; Gao, D.D.; Liu, Z.M.; Gao, X.Q.; Zhao, F.Y.; Sun, F.; Tan, H.N.; et al. Isolation, purification, and antiosteoporosis activity of donkey bone collagen from discarded bone and its antioxidant peptides. Heliyon 2024, 10, e23531. [Google Scholar] [CrossRef]
- Banerjee, P.; Shanthi, C. Cryptic Peptides from Collagen: A Critical Review. Protein Pept. Lett. 2016, 23, 664–672. [Google Scholar] [CrossRef]
- Gao, S.; Hong, H.; Zhang, C.Y.; Wang, K.; Zhang, B.H.; Han, Q.A.; Liu, H.G.; Luo, Y.K. Immunomodulatory effects of collagen hydrolysates from yak (Bos grunniens) bone on cyclophosphamide-induced immunosuppression in BALB/c mice (Article). J. Funct. Foods 2019, 60, 103420. [Google Scholar] [CrossRef]
- Cheng, X.R.; Guan, L.J.; Muskat, M.N.; Cao, C.C.; Guan, B. Effects of Ejiao peptide-iron chelates on intestinal inflammation and gut microbiota in iron deficiency anemic mice. Food Funct. 2021, 12, 10887–10902. [Google Scholar] [CrossRef]
- Mao, J.M.; Chen, Y.Y.; Song, J.; Zhang, Y.; Wang, J.X.; Li, X.; Fan, L.P.; Cheng, X.R. Optimization of Enzymatic Hydrolysis Conditions and Micromorphology of Bone Collagen Peptides from Donkey with Iron Chelating Ability. Sci. Technol. Cereals Oils Foods 2022, 30, 188–196. [Google Scholar]
- Gao, X.; Qu, H.; Gao, Z.L.; Zeng, D.Y.; Wang, J.P.; Baranenko, D.; Li, Y.Z.; Lu, W.H. Protective effects of Ulva pertusa polysaccharide and polysaccharide-iron (III) complex on cyclophosphamide induced immunosuppression in mice. Int. J. Biol. Macromol. 2019, 133, 911–919. [Google Scholar] [CrossRef]
- Wu, H.Z.; Yang, F.; Cui, S.Y.; Qin, Y.F.; Liu, J.W.; Zhang, Y.X. Hematopoietic Effect of Fractions from the Enzyme-Digested colla corii asini on Mice with 5-Fluorouracil Induced Anemia. Am. J. Chin. Med. 2007, 35, 853–866. [Google Scholar] [CrossRef] [PubMed]
- Cheng, X.R.; Chen, Y.Y.; Cao, C.C.; Ma, J.H.; Zhang, C.X.; Zhao, Z.W.; Wu, Q.; Li, Y.Y.; Muskat, M.N.; Wu, G.Q. Ejiao peptide-iron chelates regulate the metabolism of iron deficiency anemia mice and improve the bioavailability of iron. Food Biosci. 2023, 54, 102835. [Google Scholar] [CrossRef]
- Liu, B.T.; Sun, L.P.; Zhuang, Y.L. Protective effects of tilapia (Oreochromis niloticus) skin gelatin hydrolysates on osteoporosis rats induced by retinoic acid. Food Sci. Hum. Wellness 2022, 11, 1500–1507. [Google Scholar] [CrossRef]
- He, H.; Qiao, Y.; Zhang, Z.Y.; Wu, Z.L.; Liu, D.; Liao, Z.P.; Yin, D.; He, M. Dual action of vitamin C in iron supplement therapeutics for iron deficiency anemia: Prevention of liver damage induced by iron overload. Food Funct. 2018, 9, 5390–5401. [Google Scholar] [CrossRef] [PubMed]
- Cheng, D.; Wan, Z.D.; Zhang, X.Y.; Li, J.; Li, H.; Wang, C.L. Dietary Chlorella vulgaris Ameliorates Altered Immunomodulatory Functions in Cyclophosphamide-Induced Immunosuppressive Mice. Nutrients 2017, 9, 708. [Google Scholar] [CrossRef]
- Qi, S.A.; Wu, Q.; Chen, Z.P.; Zhang, W.; Zhou, Y.C.; Mao, K.N.; Li, J.; Li, Y.Y.; Chen, J.; Huang, Y.G.; et al. High-resolution metabolomic biomarkers for lung cancer diagnosis and prognosis. Sci. Rep. 2021, 11, 11805. [Google Scholar] [CrossRef]
- Xia, J.; Wishart, D.S. Web-based inference of biological patterns, functions and pathways from metabolomic data using MetaboAnalyst. Nat. Protoc. 2011, 6, 743–760. [Google Scholar] [CrossRef] [PubMed]
- Im, S.A.; Kim, K.H.; Kim, H.S.; Lee, K.H.; Shin, E.; Do, S.G.; Jo, T.H.; Park, Y.I.; Lee, C.K. Processed Aloe vera gel ameliorates cyclophosphamide-induced immunotoxicity. Int. J. Mol. Sci. 2014, 15, 19342–19354. [Google Scholar] [CrossRef]
- Wiklund, S.; Johansson, E.; Sjostrom, L.; Mellerowicz, E.J.; Edlund, U.; Shockcor, J.P.; Gottfries, J.; Moritz, T.; Trygg, J. Visualization of GC/TOF-MS-based metabolomics data for identification of biochemically interesting compounds using OPLS class models. Anal. Chem. 2008, 80, 115–122. [Google Scholar] [CrossRef] [PubMed]
- Zhou, G.Y.; Fan, Y.M.; Liu, C.Y.; Liao, F. Effect of Donkey Bone Collagen Peptide on Improving Osteoporosis in Rats. Sci. Technol. Food Ind. 2021, 42, 336–343. [Google Scholar]
- Watanabe-Kamiyama, M.; Shimizu, M.; Kamiyama, S.; Taguchi, Y.; Sone, H.; Morimatsu, F.; Shirakawa, H.; Furukawa, Y.; Komai, M. Absorption and Effectiveness of Orally Administered Low Molecular Weight Collagen Hydrolysate in Rats. J. Agric. Food Chem. 2010, 58, 835–841. [Google Scholar] [CrossRef] [PubMed]
- Maestri, E.; Marmiroli, M.; Marmiroli, N. Bioactive peptides in plant-derived foodstuffs. J. Proteom. 2016, 147, 140–155. [Google Scholar] [CrossRef] [PubMed]
- Cao, C.C.; Guan, L.J.; Tu, P.H.; Cai, P.L.; Cheng, X.R. Structural characterization of Colla Corii Asini(Ejiao) peptide-iron chelates with potential hematopoietic effect. Food Ferment. Ind. 2021, 47, 28–34. [Google Scholar]
- Cui, H.X.; Li, T.; Wang, L.P.; Su, Y.; Xian, C.J. Dioscorea bulbifera polysaccharide and cyclophosphamide combination enhances anti-cervical cancer effect and attenuates immunosuppression and oxidative stress in mice. Sci. Rep. 2016, 6, 19185. [Google Scholar] [CrossRef]
- Deng, H.; Yang, H.; Zhang, Z.; He, Z.C. Immune restorative effect of YPF-P on immunosuppressive mice influenced by cyclophosphamid. Chin. J. Vet. Sci. 2014, 34, 288–292. [Google Scholar]
- Kocahan, S.; Dogan, Z.; Erdemli, E.; Taskin, E. Protective Effect of Quercetin against Oxidative Stressinduced Toxicity Associated With Doxorubicin and Cyclophosphamide in Rat Kidney and Liver Tissue. Iran. J. Kidney Dis. 2017, 11, 124–131. [Google Scholar]
- Nombela-Arrieta, C.; Manz, M.G. Quantification and three-dimensional microanatomical organization of the bone marrow. Blood Adv. 2017, 1, 407–416. [Google Scholar] [CrossRef]
- Schirrmacher, V. Bone Marrow: The Central Immune System. Immuno 2023, 3, 289–329. [Google Scholar] [CrossRef]
- Zhang, Y.; Ye, T.T.; Hong, Z.P.; Gong, S.Q.; Zhou, X.S.; Liu, H.B.; Qian, J.; Qu, H.B. Pharmacological and transcriptome profiling analyses of Fufang E’jiao Jiang during chemotherapy-induced myelosuppression in mice. J. Ethnopharmacol. 2019, 238, 111869. [Google Scholar] [CrossRef] [PubMed]
- Yu, F.M.; He, K.; Dong, X.Z.; Zhang, Z.W.; Wang, F.L.; Tang, Y.P.; Chen, Y.; Ding, G.F. Immunomodulatory activity of low molecular-weight peptides from Nibea japonica skin in cyclophosphamide-induced immunosuppressed mice (Article). J. Funct. Foods 2020, 68, 103888. [Google Scholar] [CrossRef]
- Han, L.R.; Lei, H.N.; Tian, Z.W.; Wang, X.; Cheng, D.; Wang, C.L. The immunomodulatory activity and mechanism of docosahexenoic acid (DHA) on immunosuppressive mice models. Food Funct. 2018, 9, 3254–3263. [Google Scholar] [CrossRef] [PubMed]
- Potel, J.; Brock, N. The influence of anticarcinogenic substances on immunologic reactions. 2. The influence of N,N-bis-(2-chlorethyl)-N’,O-propylenephosphoric acid ester diamide on antibody formation. Arzneim-Forsch. 1965, 15, 659–666. [Google Scholar]
- Zhu, L.L.; Fan, L.D.; Hu, M.H.; Ma, F.L.; Qi, J. Hematopoietic effect of small molecular fraction of Polygoni multiflori Radix Praeparata in cyclophosphamide-induced anemia mice. Chin. J. Nat. Med. 2019, 17, 535–544. [Google Scholar] [CrossRef] [PubMed]
- Zerdes, I.; Matikas, A.; Foukakis, T. The interplay between eosinophils and T cells in breast cancer immunotherapy. Mol. Oncol. 2023, 17, 545–547. [Google Scholar] [CrossRef]
- Singh, K.P.; Gupta, R.K.; Shau, H.; Ray, P.K. Effect of ASTA-Z 7575 (INN maphosphamide) on human lymphokine-activated killer cell induction. Immunopharmacol. Immunotoxicol. 1993, 15, 525–538. [Google Scholar] [CrossRef]
- Zdrojewicz, Z.; Pachura, E.; Pachura, P. The Thymus: A Forgotten, But Very Important Organ. Adv. Clin. Exp. Med. 2016, 25, 369–375. [Google Scholar] [CrossRef]
- Hengartner, M.O. The biochemistry of apoptosis. Nature 2000, 407, 770–776. [Google Scholar] [CrossRef]
- Asadi, M.; Taghizadeh, S.; Kaviani, E.; Vakili, O.; Taheri-Anganeh, M.; Tahamtan, M.; Savardashtaki, A. Caspase-3: Structure, function, and biotechnological aspects. Biotechnol. Appl. Biochem. 2022, 69, 1633–1645. [Google Scholar] [CrossRef] [PubMed]
- Li, P.; Zhou, L.B.; Zhao, T.; Liu, X.X.; Zhang, P.C.; Liu, Y.; Zheng, X.G.; Li, Q. Caspase-9: Structure, mechanisms and clinical application. Oncotarget 2017, 8, 23996–24008. [Google Scholar] [CrossRef] [PubMed]
- Motyl, T. Regulation of apoptosis: Involvement of bcl-2-related proteins. Reprod. Nutr. Dev. 1999, 39, 49–59. [Google Scholar] [CrossRef]
- Korkmaz, A.; Topal, T.; Oter, S. Pathophysiological aspects of cyclophosphamide and ifosfamide induced hemorrhagic cystitis; implication of reactive oxygen and nitrogen species as well as PARP activation. Cell Biol. Toxicol. 2008, 23, 303–312. [Google Scholar] [CrossRef] [PubMed]
- Liu, T.F.; Han, Y.W.; Zhou, T.; Zhang, R.H.; Chen, H.; Chen, S.L.; Zhao, H.Y. Mechanisms of ROS-induced mitochondria-dependent apoptosis underlying liquid storage of goat spermatozoa. Aging 2019, 11, 7880–7898. [Google Scholar] [CrossRef] [PubMed]
- Kang, J.X.; Liu, Y.H.; Zhang, Y.Y.; Zhou, Z.K. Inhibition of Colon Cancer Cell Line HCT116 by Total Saponins from Ganoderma lucidum. J. Food Sci. Biotechnol. 2023, 42, 90–97. [Google Scholar]
- Pestka, J.J.; Zhou, H.-R.; Moon, Y.; Chung, Y.J. Cellular and molecular mechanisms for immune modulation by deoxynivalenol and other trichothecenes: Unraveling a paradox. Toxicol. Lett. 2004, 153, 61–73. [Google Scholar] [CrossRef] [PubMed]
- Mudgal, J.; Mudgal, P.P.; Kinra, M.; Raval, R. Immunomodulatory role of chitosan-based nanoparticles and oligosaccharides in cyclophosphamide-treated mice. Scand. J. Immunol. 2019, 89, e12749. [Google Scholar] [CrossRef] [PubMed]
- Xu, M.; He, R.R.; Zhai, Y.J.; Abe, K.; Kurihara, H. Effects of Carnosine on Cyclophosphamide-Induced Hematopoietic Suppression in Mice. Am. J. Chin. Med. 2014, 42, 131–142. [Google Scholar] [CrossRef]
- Devon, M.K.; Meghan, K.G.; Jennifer, R.M. Brevenal, a Marine Natural Product, is Anti-Inflammatory and an Immunomodulator of Macrophage and Lung Epithelial Cells. Mar. Drugs 2019, 17, 184. [Google Scholar] [CrossRef]
- Guo, B.D.; Dong, W.T.; Huo, J.H.; Sun, G.D.; Qin, Z.W.; Liu, X.D.; Zhang, B.H.; Wang, W.M. Integrated Metabolomics and Network Pharmacology Analysis Immunomodulatory Mechanisms of Qifenggubiao Granules. Front. Pharmacol. 2022, 13, 828175. [Google Scholar] [CrossRef] [PubMed]
- Jha, A.K.; Huang, S.C.-C.; Sergushichev, A.; Lampropoulou, V.; Ivanova, Y.; Loginicheva, E.; Chmielewski, K.; Stewart, K.M.; Ashall, J.; Everts, B.; et al. Network Integration of Parallel Metabolic and Transcriptional Data Reveals Metabolic Modules that Regulate Macrophage Polarization. Immunity 2015, 42, 419–430. [Google Scholar] [CrossRef]
- Ward, D.M.; Cloonan, S.M. Mitochondrial Iron in Human Health and Disease. Annu. Rev. Physiol. 2019, 81, 453–482. [Google Scholar] [CrossRef] [PubMed]
- Wu, G.; Bazer, F.; Burghardt, R.; Johnson, G.; Kim, S.; Knabe, D.; Li, P.; Li, X.; McKnight, J.; Satterfield, M.; et al. Proline and hydroxyproline metabolism: Implications for animal and human nutrition. Amino Acids 2011, 40, 1053–1063. [Google Scholar] [CrossRef] [PubMed]
- Franco, R.; Pacheco, R.; Gatell, J.M.; Gallart, T.; Lluis, C. Enzymatic and extraenzymatic role of adenosine deaminase 1 in T-cell-dendritic cell contacts and in alterations of the immune function. Crit. Rev. Immunol. 2007, 27, 495–509. [Google Scholar] [CrossRef] [PubMed]
- Dong, R.P.; Kameoka, J.; Hegen, M.; Tanaka, T.; Xu, Y.Y.; Schlossman, S.F.; Morimoto, C. Characterization of adenosine deaminase binding to human CD26 on T cells and its biologic role in immune response. J. Immunol. 1996, 156, 1349–1355. [Google Scholar] [CrossRef] [PubMed]
- Townsend, M.H.; Freitas, C.M.T.; Larsen, D.; Piccolo, S.R.; Weber, K.S.; Robison, R.A.; O’Neill, K.L. Hypoxanthine Guanine Phosphoribosyltransferase expression is negatively correlated with immune activity through its regulation of purine synthesis. Immunobiology 2020, 225, 151931. [Google Scholar] [CrossRef]
- Young, G.H.; Lin, J.T.; Cheng, Y.F.; Ho, C.F.; Kuok, Q.Y.; Hsu, R.C.; Liao, W.R.; Chen, C.C.; Chen, H.M. Modulation of adenine phosphoribosyltransferase-mediated salvage pathway to accelerate diabetic wound healing. FASEB J. 2021, 35, e21296. [Google Scholar] [CrossRef]
- Reddy, D.; Kumavath, R.; Ghosh, P.; Barh, D. Lanatoside C Induces G2/M Cell Cycle Arrest and Suppresses Cancer Cell Growth by Attenuating MAPK, Wnt, JAK-STAT, and PI3K/AKT/mTOR Signaling Pathways. Biomolecules 2019, 9, 792. [Google Scholar] [CrossRef]
- Yasukawa, H.; Sasaki, A.; Yoshimura, A. Negative regulation of cytokine signaling pathways. Annu. Rev. Immunol. 2000, 18, 143–164. [Google Scholar] [CrossRef]
- Hu, Q.; Bian, Q.H.; Rong, D.C.; Wang, L.Y.; Song, J.N.; Huang, H.S.; Zeng, J.; Mei, J.; Wang, P.Y. JAK/STAT pathway: Extracellular signals, diseases, immunity, and therapeutic regimens. Front. Bioeng. Biotechnol. 2023, 11, 1110765. [Google Scholar] [CrossRef] [PubMed]












| Gene | Forward Primer (5′-3′) | Reverse Primer (5′-3′) |
|---|---|---|
| β-actin | GGCTGTATTCCCCTCCATCG | CCAGTTGGTAACAATGCCAT |
| ADA | CCCAGACACCCGCATTCAAC | CGATGCCTCTCTTCTTGCCAAA |
| HGPRT | TCAGTCAACGGGGGACATAAA | GGGGCTGTACTGCTTAACCAG |
| APRT | CCCTCTTGAAAGACCCGGAC | TCCAGAGAATAGGAGGCTGAC |
| PRPS | ATGCCTAACATCGTGCTCTTC | GATCTCGACACTGGTCTCCTG |
| Caspase-9 | TCCTGGTACATCGAGACCTTG | AAGTCCCTTTCGCAGAAACAG |
| Caspase-3 | ATGGAGAACAACAAAACCTCAGT | TTGCTCCCATGTATGGTCTTTAC |
| Bcl-2 | ATGCCTTTGTGGAACTATATGGC | GGTATGCACCCAGAGTGATGC |
| AKT-1 | ATGAACGACGTAGCCATTGTG | TTGTAGCCAATAAAGGTGCCAT |
| JAK2 | CTTGTGGTATTACGCCTGTGT | TGCCTGGTTGACTCGTCTATG |
| STAT3 | CAATACCATTGACCTGCCGAT | GAGCGACTCAAACTGCCCT |
| SOCS1 | CTGCGGCTTCTATTGGGGAC | AAAAGGCAGTCGAAGGTCTCG |
| Group | WBCs (109/L) | RBCs (109/L) | PLT (109/L) |
|---|---|---|---|
| CON | 8.4075 ± 1.93 a | 11.4060 ± 0.24 a | 754.6000 ± 39.50 |
| CTX | 3.3240 ± 0.80 b | 10.4440 ± 0.51 b | 703.8000 ± 127.95 |
| LMS | 3.2180 ± 0.28 b | 10.1200 ± 0.60 b | 682.2000 ± 31.01 |
| FE | 4.1350 ± 0.74 b | 10.3800 ± 0.84 b | 711.0000 ± 73.62 |
| DP | 3.4625 ± 0.26 b | 10.3560 ± 0.20 b | 764.8000 ± 62.19 |
| DPI | 3.7440 ± 0.50 b | 9.9300 ± 0.69 b | 702.2000 ± 60.52 |
| Group | Pathway | p Value | Impact |
|---|---|---|---|
| FE vs. CTX | Glycine, serine, and threonine metabolism | 0.0194 | 0.28464 |
| Tricarboxylic acid (TCA) cycle | 0.0069 | 0.09637 | |
| Dicarboxylic acid metabolism | 0.0010 | 0.12963 | |
| DP vs. CTX | Purine metabolism | 0.0242 | 0.0416 |
| Pantothenic acid and coenzyme A biosynthesis | 0.0135 | 0.013501 | |
| Pyrimidine metabolism | 0.0477 | 0.13221 | |
| DPI vs. CTX | Purine metabolism | 0.0197 | 0.0416 |
Disclaimer/Publisher’s Note: The statements, opinions and data contained in all publications are solely those of the individual author(s) and contributor(s) and not of MDPI and/or the editor(s). MDPI and/or the editor(s) disclaim responsibility for any injury to people or property resulting from any ideas, methods, instructions or products referred to in the content. |
© 2024 by the authors. Licensee MDPI, Basel, Switzerland. This article is an open access article distributed under the terms and conditions of the Creative Commons Attribution (CC BY) license (https://creativecommons.org/licenses/by/4.0/).
Share and Cite
Cheng, X.-R.; Zhao, Z.-W.; Chen, Y.-Y.; Song, J.; Ma, J.-H.; Zhang, C.-X.; Amadou, I.; Lu, N.-Y.; Tang, X.; Guan, B. Interventional Effect of Donkey Bone Collagen Peptide Iron Chelate on Cyclophosphamide Induced Immunosuppressive Mice. Nutrients 2024, 16, 2413. https://doi.org/10.3390/nu16152413
Cheng X-R, Zhao Z-W, Chen Y-Y, Song J, Ma J-H, Zhang C-X, Amadou I, Lu N-Y, Tang X, Guan B. Interventional Effect of Donkey Bone Collagen Peptide Iron Chelate on Cyclophosphamide Induced Immunosuppressive Mice. Nutrients. 2024; 16(15):2413. https://doi.org/10.3390/nu16152413
Chicago/Turabian StyleCheng, Xiang-Rong, Zi-Wei Zhao, Yu-Yao Chen, Jie Song, Jia-Hui Ma, Chen-Xi Zhang, Issoufou Amadou, Nai-Yan Lu, Xue Tang, and Bin Guan. 2024. "Interventional Effect of Donkey Bone Collagen Peptide Iron Chelate on Cyclophosphamide Induced Immunosuppressive Mice" Nutrients 16, no. 15: 2413. https://doi.org/10.3390/nu16152413
APA StyleCheng, X.-R., Zhao, Z.-W., Chen, Y.-Y., Song, J., Ma, J.-H., Zhang, C.-X., Amadou, I., Lu, N.-Y., Tang, X., & Guan, B. (2024). Interventional Effect of Donkey Bone Collagen Peptide Iron Chelate on Cyclophosphamide Induced Immunosuppressive Mice. Nutrients, 16(15), 2413. https://doi.org/10.3390/nu16152413

