Spirulina (Arthrospira platensis) Improved Nonalcoholic Fatty Liver Disease Characteristics and Microbiota and Did Not Affect Organ Fibrosis Induced by a Fructose-Enriched Diet in Wistar Male Rats
Abstract
1. Introduction
2. Methods and Materials
2.1. Experimental Design and Animals
2.2. Diets and Blood Collection
2.3. Preparation of Spirulina (A. platensis)
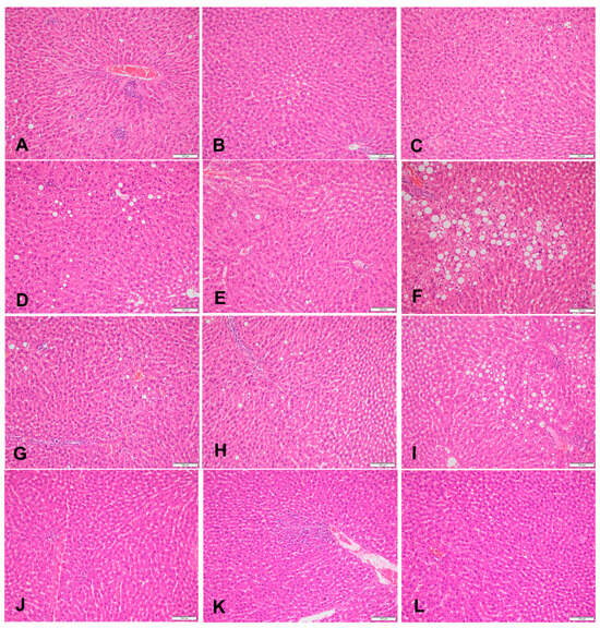
2.4. Sample Preparation, Histological Examination of the Liver, Kidney, and Pancreas; and Liver and Kidney Lipid Determination
2.5. Liver and Kidney Lipid Extraction
2.6. Serum Chemistry
2.7. Fecal Microbiome Analyses
2.8. Ethical Considerations
2.9. Statistical Analyses
3. Results
3.1. Body Weight (g), Energy Intake (kJ/Week), Amount of Food Consumed (g/Rat/Week), and Organ Weights (g)
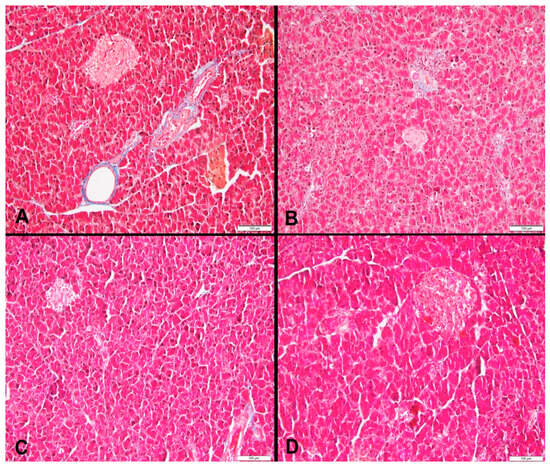
3.2. Liver Histopathology
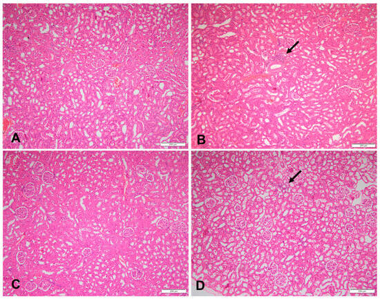
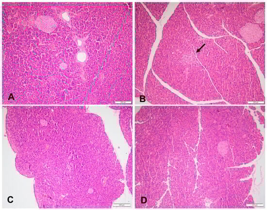
3.3. Histopathology of the Kidneys and Pancreas
3.4. Serum Chemistry
3.5. Gut Microbiota Diversity and Composition
4. Discussion
5. Conclusions
Author Contributions
Funding
Institutional Review Board Statement
Informed Consent Statement
Data Availability Statement
Acknowledgments
Conflicts of Interest
Abbreviations
| ALT | alanine aminotransferase |
| ARRP | Animal Research Review Panel |
| AST | aspartate aminotransferase |
| CT | control |
| DNL | de novo lipogenesis |
| GI | glycemic index |
| GNC | general nutrition care |
| HFr | high-fructose diet |
| HCC | hepatocellular carcinoma |
| H&E | hematoxylin and eosin |
| HFr-S5 | high-fructose 5% spirulina |
| HFr-S10 | high-fructose 10% spirulina |
| IL-6 | interleukine-6 |
| IM | intestinal microbiota |
| IR | insulin resistance |
| MASH | metabolic dysfunction–associated steatohepatitis |
| MASLD | metabolic dysfunction–associated steatotic liver disease |
| NAFLD | nonalcoholic fatty liver disease |
| NASH | nonalcoholic steatohepatitis |
| NEFA | nonesterified fatty acid |
| OTU | operational taxonomic unit |
| ROS | reactive oxygen species |
| SCFA | short-chain fatty acids |
| SD | standard deviation |
| T2DM | type 2 diabetes mellitus |
| TEI | total energy intake |
| TG | triglycerides |
| TNF-α | tumor necrosis factor |
| USA | United States of America |
| VLDL | very low-density lipoprotein |
References
- Yu, J.; Marsh, S.; Hu, J.; Feng, W.; Wu, C. The Pathogenesis of Nonalcoholic Fatty Liver Disease: Interplay between Diet, Gut Microbiota, and Genetic Background. Gastroenterol. Res. Pract. 2016, 2016, 2862173. [Google Scholar] [CrossRef] [PubMed]
- Kitade, H.; Chen, G.; Ni, Y.; Ota, T. Nonalcoholic Fatty Liver Disease and Insulin Resistance: New Insights and Potential New Treatments. Nutrients 2017, 9, 387. [Google Scholar] [CrossRef]
- Lackner, C. Nonalcoholic Fatty Liver Disease. In Practical Hepatic Pathology: A Diagnostic Approach; Saxena, R., Ed.; Content Repository Only: Philadelphia, PA, USA, 2018; pp. 167–187. [Google Scholar]
- Pappachan, J.M.; Babu, S.; Krishnan, B.; Ravindran, N.C. Non-alcoholic Fatty Liver Disease: A Clinical Update. J. Clin. Transl. Hepatol. 2017, 5, 384–393. [Google Scholar] [CrossRef] [PubMed]
- Doulberis, M.; Kotronis, G.; Gialamprinou, D.; Kountouras, J.; Katsinelos, P. Non-alcoholic fatty liver disease: An update with special focus on the role of gut microbiota. Metabolism 2017, 71, 182–197. [Google Scholar] [CrossRef] [PubMed]
- Polyzos, S.A.; Kountouras, J.; Mantzoros, C.S. Adipose tissue, obesity and non-alcoholic fatty liver disease. Minerva Endocrinol. 2017, 42, 92–108. [Google Scholar] [CrossRef] [PubMed]
- Rinella, M.E.; Lazarus, J.V.; Ratziu, V.; Francque, S.M.; Sanyal, A.J.; Kanwal, F.; Romero, D.; Abdelmalek, M.F.; Anstee, Q.M.; Arab, J.P.; et al. A multisociety Delphi consensus statement on new fatty liver disease nomenclature. Hepatology 2023, 78, 1966–1986. [Google Scholar] [CrossRef] [PubMed]
- Byrne, C.D.; Targher, G. NAFLD: A multisystem disease. J. Hepatol. 2015, 62, 47–64. [Google Scholar] [CrossRef] [PubMed]
- Reccia, I.; Kumar, J.; Akladios, C.; Virdis, F.; Pai, M.; Habib, N.; Spalding, D. Non-alcoholic fatty liver disease: A sign of systemic disease. Metabolism 2017, 72, 94–108. [Google Scholar] [CrossRef] [PubMed]
- Aron-Wisnewsky, J.; Gaborit, B.; Dutour, A.; Clement, K. Gut microbiota and non-alcoholic fatty liver disease: New insights. Clin. Microbiol. Infect. 2013, 19, 338–348. [Google Scholar] [CrossRef]
- Kolodziejczyk, A.A.; Zheng, D.; Shibolet, O.; Elinav, E. The role of the microbiome in NAFLD and NASH. EMBO Mol. Med. 2019, 11, e9302. [Google Scholar] [CrossRef]
- Freidoony, L.; Kong, I.D. Practical approaches to the nutritional management of nonalcoholic fatty liver disease. Integr. Med. Res. 2014, 3, 192–197. [Google Scholar] [CrossRef] [PubMed]
- Fakhoury-Sayegh, N.; Trak-Smayra, V.; Sayegh, R.; Haidar, F.; Obeid, O.; Asmar, S.; Khazzaka, A. Fructose threshold for inducing organ damage in a rat model of nonalcoholic fatty liver disease. Nutr. Res. 2019, 62, 101–112. [Google Scholar] [CrossRef] [PubMed]
- Liu, J.-P.; Zou, W.-L.; Chen, S.-J.; Wei, H.-Y.; Yin, Y.-N.; Zou, Y.-Y.; Lu, F.-G. Effects of different diets on intestinal microbiota and nonalcoholic fatty liver disease development. World J. Gastroenterol. 2016, 22, 7353–7364. [Google Scholar] [CrossRef] [PubMed]
- El-Sheekh, M.M.; Hamad, S.M.; Gomaa, M. Protective effects of Spirulina on the liver function and hyperlipidemia of rats and human. Braz. Arch. Biol. Technol. 2014, 57, 77–86. [Google Scholar] [CrossRef]
- Finamore, A.; Palmery, M.; Bensehaila, S.; Peluso, I. Antioxidant, Immunomodulating, and Microbial-Modulating Activities of the Sustainable and Ecofriendly Spirulina. Oxidative Med. Cell. Longev. 2017, 2017, 3247528. [Google Scholar] [CrossRef]
- Agrawal, R.; Soni, K.; Tomar, J.S.; Saxena, S. Review: Hepatoprotective activity of Spirulina species. Int. J. Sci. Eng. Res. 2013, 10, 1093–1101, ISSN: 2229-5518. [Google Scholar]
- Fujimoto, M.; Tsuneyama, K.; Fujimoto, T.; Selmi, C.; Gershwin, M.E.; Shimada, Y. Spirulina improves non-alcoholic steatohepatitis, visceral fat macrophage aggregation, and serum leptin in a mouse model of metabolic syndrome. Dig. Liver Dis. 2012, 44, 767–774. [Google Scholar] [CrossRef] [PubMed]
- Mazokopakis, E.E.; Papadomanolaki, M.G.; Fousteris, A.A.; Kotsiris, D.A.; Lampadakis, I.M.; Ganotakis, E.S. The hepatoprotective and hypolipidemic effects of Spirulina (Arthrospira platensis) supplementation in a Cretan population with non-alcoholic fatty liver disease: A prospective pilot study. Ann. Gastroenterol. Q. Publ. Hell. Soc. Gas-Troenterol. 2014, 27, 387. [Google Scholar] [CrossRef]
- Mazloomi, S.M.; Samadi, M.; Davarpanah, H.; Babajafari, S.; Clark, C.C.T.; Ghaemfar, Z.; Rezaiyan, M.; Mosallanezhad, A.; Shafiee, M.; Rostami, H. The effect of Spirulina sauce, as a functional food, on cardiometabolic risk factors, oxidative stress biomarkers, glycemic profile, and liver enzymes in nonalcoholic fatty liver disease patients: A randomized double-blinded clinical trial. Food Sci. Nutr. 2022, 10, 317–328. [Google Scholar] [CrossRef]
- Ferreira-Hermosillo, A.; Torres-Duran, P.V.; Juarez-Oropeza, M.A. Hepatoprotective effects of Spirulina maxima in patients with non-alcoholic fatty liver disease: A case series. J. Med. Case Rep. 2010, 4, 103. [Google Scholar] [CrossRef]
- Li, T.-T.; Huang, Z.-R.; Jia, R.-B.; Lv, X.-C.; Zhao, C.; Liu, B. Spirulina platensis polysaccharides attenuate lipid and carbohydrate metabolism disorder in high-sucrose and high-fat diet-fed rats in association with intestinal microbiota. Food Res. Int. 2021, 147, 110530. [Google Scholar] [CrossRef] [PubMed]
- Hu, J.; Li, Y.; Pakpour, S.; Wang, S.; Pan, Z.; Liu, J.; Wei, Q.; She, J.; Cang, H.; Zhang, R.X. Dose Effects of Orally Administered Spirulina Suspension on Colonic Microbiota in Healthy Mice. Front. Cell. Infect. Microbiol. 2019, 9, 243. [Google Scholar] [CrossRef] [PubMed]
- Animal Research Review Panel (AU). Guideline 20: Guidelines for the Housing of Rats in Scientific Institutions; Animal Research Review Panel: Sydney, Australia, 2004. [Google Scholar]
- Fakhoury-Sayegh, N.; Trak-Smayra, V.; Khazzaka, A.; Esseily, F.; Obeid, O.; Lahoud-Zouein, M.; Younes, H. Characteristics of nonalcoholic fatty liver disease induced in wistar rats following four different diets. Nutr. Res. Pract. 2015, 9, 350–357. [Google Scholar] [CrossRef] [PubMed]
- Reeves, P.G.; Nielsen, F.H.; Fahey, G.C., Jr. AIN-93 Purified Diets for Laboratory Rodents: Final Report of the American Institute of Nutrition Ad Hoc Writing Committee on the Reformulation of the AIN-76A Rodent Diet. J. Nutr. 1993, 123, 1939–1951. [Google Scholar] [CrossRef] [PubMed]
- Luna, L.G. Manual of Histologic Staining Methods of the Armed Forces Institute of Pathology, 3rd ed.; McGraw-Hill: New York, NY, USA, 1968; pp. 140–141. [Google Scholar]
- Kleiner, D.E.; Brunt, E.M.; Van Natta, M.; Behling, C.; Contos, M.J.; Cummings, O.W.; Ferrell, L.D.; Liu, Y.-C.; Torbenson, M.S.; Unalp-Arida, A.; et al. Design and validation of a histological scoring system for nonalcoholic fatty liver disease. Hepatology 2005, 41, 1313–1321. [Google Scholar] [CrossRef] [PubMed]
- AOCS Approved Procedure Am 5-04. Rapid Determination of Oil/Fat Utilizing High Temperature Solvent Extraction. Available online: https://Metodo_AOCS_Am_5-04-libre.pdf (accessed on 13 April 2024).
- Determination of Total Lipid Using Non-Chlorinated Solvents. Analyst (RSC Publishing). Available online: http://pubs.rsc.org/en/content/articlelanding/1999/an/a905904k/unauth#!divAbstract (accessed on 26 January 2018).
- Hakkak, R.; Korourian, S.; Foley, S.L.; Erickson, B.D. Assessment of gut microbiota populations in lean and obese Zucker rats. PLoS ONE 2017, 12, e0181451. [Google Scholar] [CrossRef] [PubMed]
- Escudié, F.; Auer, L.; Bernard, M.; Mariadassou, M.; Cauquil, L.; Vidal, K.; Maman, S.; Hernandez-Raquet, G.; Combes, S.; Pascal, G. FROGS: Find, Rapidly, OTUs with Galaxy Solution. Bioinformatics 2018, 34, 1287–1294. [Google Scholar] [CrossRef] [PubMed]
- Gouy, M.; Guindon, S.; Gascuel, O. SeaView Version 4: A Multiplatform Graphical User Interface for Sequence Alignment and Phylogenetic Tree Building. Mol. Biol. Evol. 2010, 27, 221–224. [Google Scholar] [CrossRef]
- Guindon, S.; Dufayard, J.-F.; Lefort, V.; Anisimova, M.; Hordijk, W.; Gascuel, O. New Algorithms and Methods to Estimate Maximum-Likelihood Phylogenies: Assessing the Performance of PhyML 3.0. Syst. Biol. 2010, 59, 307–321. [Google Scholar] [CrossRef]
- Landrivon, G.; Delahaye, F.; Belbenoit-Avich, P.M. Réseau D’épidémiologie Clinique International Francophone. La Recherche Clinique: De L’idée à la Publication; Masson: Paris, France, 1995. [Google Scholar]
- Sellmann, C.; Priebs, J.; Landmann, M.; Degen, C.; Engstler, A.J.; Jin, C.J.; Gärttner, S.; Spruss, A.; Huber, O.; Bergheim, I. Diets rich in fructose, fat or fructose and fat alter intestinal barrier function and lead to the development of nonalcoholic fatty liver disease over time. J. Nutr. Biochem. 2015, 26, 1183–1192. [Google Scholar] [CrossRef]
- Sandeva, G. Nonalcoholic Fatty Liver Disease in Wistar rats after fructose consumption ultrasound, biochemical and histological changes. Cadastre Series. Ann. Univ. Craiova-Agric. Mont. 2015, 45, 240–247. [Google Scholar]
- Mamikutty, N.; Thent, Z.C.; Suhaimi, F.H. Fructose-Drinking Water Induced Nonalcoholic Fatty Liver Disease and Ultrastructural Alteration of Hepatocyte Mitochondria in Male Wistar Rat. BioMed Res. Int. 2015, 2015, 895961. [Google Scholar] [CrossRef] [PubMed]
- Lowette, K.; Roosen, L.; Tack, J.; Berghe, P.V. Effects of High-Fructose Diets on Central Appetite Signaling and Cognitive Function. Front. Nutr. 2015, 2, 5. [Google Scholar] [CrossRef] [PubMed]
- Payant, M.A.; Chee, M.J. Neural mechanisms underlying the role of fructose in overfeeding. Neurosci. Biobehav. Rev. 2021, 128, 346–357. [Google Scholar] [CrossRef]
- Hozayen, W.G.; Mahmoud, A.M.; Soliman, H.A.; Mostafa, S.R. Spirulina versicolor improves insulin sensitivity and attenuates hyperglycemia-mediated oxidative stress in fructose-fed rats. J. Intercult. Ethnopharmacol. 2016, 5, 57–64. [Google Scholar] [CrossRef] [PubMed]
- Liu, L.; Wang, S.; Yao, L.; Li, J.-X.; Ma, P.; Jiang, L.-R.; Ke, D.-Z.; Pan, Y.-Q.; Wang, J.-W. Long-term fructose consumption prolongs hepatic stearoyl-CoA desaturase 1 activity independent of upstream regulation in rats. Biochem. Biophys. Res. Commun. 2016, 479, 643–648. [Google Scholar] [CrossRef] [PubMed]
- Choi, Y.; Abdelmegeed, M.A.; Song, B.-J. Diet high in fructose promotes liver steatosis and hepatocyte apoptosis in C57BL/6J female mice: Role of disturbed lipid homeostasis and increased oxidative stress. Food Chem. Toxicol. 2017, 103, 111–121. [Google Scholar] [CrossRef] [PubMed]
- de Castro, U.G.M.; dos Santos, R.A.S.A.S.; Silva, M.E.; de Lima, W.G.; Campagnole-Santos, M.J.; Alzamora, A.C. Age-dependent effect of high-fructose and high-fat diets on lipid metabolism and lipid accumulation in liver and kidney of rats. Lipids Health Dis. 2013, 12, 136. [Google Scholar] [CrossRef] [PubMed]
- Softic, S.; Cohen, D.E.; Kahn, C.R. Role of Dietary Fructose and Hepatic De Novo Lipogenesis in Fatty Liver Disease. Dig. Dis. Sci. 2016, 61, 1282–1293. [Google Scholar] [CrossRef]
- Pak, W.; Takayama, F.; Mine, M.; Nakamoto, K.; Kodo, Y.; Mankura, M.; Egashira, T.; Kawasaki, H.; Mori, A. Anti-oxidative and anti-inflammatory effects of spirulina on rat model of non-alcoholic steatohepatitis. J. Clin. Biochem. Nutr. 2012, 51, 227–234. [Google Scholar] [CrossRef]
- Jarouliya, U.; Zacharia, A.; Keservani, R.K.; Prasad, G.B. Spirulina maxima and its effect on antioxidant activity in fructose induced oxidative stress with histopathological observations. Acta Fac. Pharm. Univ. Comen. 2015, 62, 13–19. [Google Scholar] [CrossRef][Green Version]
- Jarouliya, U.; Anish, Z.J.; Kumar, P.; Bisen, P.; Prasad, G. Alleviation of metabolic abnormalities induced by excessive fructose administration in Wistar rats by Spirulina maxima. Indian J. Med. Res. 2012, 135, 422–428. [Google Scholar] [PubMed]
- Polyzos, S.A.; Mantzoros, C.S. Nonalcoholic fatty future disease. Metabolism 2016, 65, 1007–1016. [Google Scholar] [CrossRef] [PubMed]
- Di Nicolantonio, J.J.; Bhutani, J.; O’Keefe, J.H. Added sugars drive chronic kidney disease and its consequences: A comprehensive review. J. Insul. Resist. 2016, 1, 6. [Google Scholar] [CrossRef]
- Fan, C.-Y.; Wang, M.-X.; Ge, C.-X.; Wang, X.; Li, J.-M.; Kong, L.-D. Betaine supplementation protects against high-fructose-induced renal injury in rats. J. Nutr. Biochem. 2014, 25, 353–362. [Google Scholar] [CrossRef] [PubMed]
- Bashandy, S.A.; Amin, M.M.; Morsy, F.A. Spirulina platensis, reduced liver and kidney injuries induced by Sodium arsenite. Int. J. PharmTech Res. 2017, 11, 35–48. [Google Scholar] [CrossRef]
- Ismail, S.A. Ameliorative potential of Spirulina Platensis against lead acetate induced immuno-suppression and kidney apoptosis in rats. Ann. Clin. Pathol. 2017, 5, 1120. [Google Scholar]
- Aissaoui, O.; Amiali, M.; Bouzid, N.; Belkacemi, K.; Bitam, A. Effect of Spirulina platensis ingestion on the abnormal biochemical and oxidative stress parameters in the pancreas and liver of alloxan-induced diabetic rats. Pharm. Biol. 2017, 55, 1304–1312. [Google Scholar] [CrossRef]
- Chu, W.-L.; Lim, Y.-W.; Radhakrishnan, A.K.; Lim, P.-E. Protective effect of aqueous extract from Spirulina platensis against cell death induced by free radicals. BMC Complement. Altern. Med. 2010, 10, 53. [Google Scholar] [CrossRef] [PubMed]
- Li, X.-L.; Xu, G.; Chen, T.; Wong, Y.-S.; Zhao, H.-L.; Fan, R.-R.; Gu, X.-M.; Tong, P.C.; Chan, J.C. Phycocyanin protects INS-1E pancreatic beta cells against human islet amyloid polypeptide-induced apoptosis through attenuating oxidative stress and modulating JNK and p38 mitogen-activated protein kinase pathways. Int. J. Biochem. Cell Biol. 2009, 41, 1526–1535. [Google Scholar] [CrossRef]
- Targher, G.; Rossi, A.P.; Zamboni, G.A.; Fantin, F.; Antonioli, A.; Corzato, F.; Bambace, C.; Mucelli, R.P.; Zamboni, M. Pancreatic fat accumulation and its relationship with liver fat content and other fat depots in obese individuals. J. Endocrinol. Investig. 2012, 35, 748–753. [Google Scholar] [CrossRef] [PubMed]
- Roncal-Jimenez, C.A.; Lanaspa, M.A.; Rivard, C.J.; Nakagawa, T.; Sanchez-Lozada, L.G.; Jalal, D.; Andres-Hernando, A.; Tanabe, K.; Madero, M.; Li, N.; et al. Sucrose induces fatty liver and pancreatic inflammation in male breeder rats independent of excess energy intake. Metabolism 2011, 60, 1259–1270. [Google Scholar] [CrossRef] [PubMed]
- Pokrywczynska, M.; Flisinski, M.; Jundzill, A.; Krzyzanowska, S.M.; Brymora, A.; Deptula, A.; Bodnar, M.; Kloskowski, T.M.; Stefanska, A.; Marszalek, A.; et al. Impact of Fructose Diet and Renal Failure on the Function of Pancreatic Islets. Pancreas 2014, 43, 801–808. [Google Scholar] [CrossRef] [PubMed]
- Zhang, D.-M.; Jiao, R.-Q.; Kong, L.-D. High Dietary Fructose: Direct or Indirect Dangerous Factors Disturbing Tissue and Organ Functions. Nutrients 2017, 9, 335. [Google Scholar] [CrossRef]
- Ter Horst, K.W.; Serlie, M.J. Fructose Consumption, Lipogenesis, and Non-Alcoholic Fatty Liver Disease. Nutrients 2017, 9, 981. [Google Scholar] [CrossRef] [PubMed]
- Lieber, C.S.; A Leo, M.; Mak, K.M.; Xu, Y.; Cao, Q.; Ren, C.; Ponomarenko, A.; DeCarli, L.M. Model of nonalcoholic steatohepatitis. Am. J. Clin. Nutr. 2004, 79, 502–509. [Google Scholar] [CrossRef] [PubMed]
- Kawasaki, T.; Igarashi, K.; Koeda, T.; Sugimoto, K.; Nakagawa, K.; Hayashi, S.; Yamaji, R.; Inui, H.; Fukusato, T.; Yamanouchi, T. Rats Fed Fructose-Enriched Diets Have Characteristics of Nonalcoholic Hepatic Steatosis. J. Nutr. 2009, 139, 2067–2071. [Google Scholar] [CrossRef] [PubMed]
- Ferrere, G.; Leroux, A.; Wrzosek, L.; Puchois, V.; Gaudin, F.; Ciocan, D.; Renoud, M.-L.; Naveau, S.; Perlemuter, G.; Cassard, A.-M. Activation of Kupffer Cells Is Associated with a Specific Dysbiosis Induced by Fructose or High Fat Diet in Mice. PLoS ONE 2016, 11, e0146177. [Google Scholar] [CrossRef] [PubMed]
- Yigit, F.; Gurel-Gurevin, E.; Isbilen-Basok, B.; Esener, O.; Bilal, T.; Keser, O.; Altiner, A.; Yilmazer, N.; Ikitimur-Armutak, E. Protective effect of Spirulina platensis against cell damage and apoptosis in hepatic tissue caused by high fat diet. Biotech. Histochem. 2016, 91, 182–194. [Google Scholar] [CrossRef]
- Crescenzo, R.; Mazzoli, A.; Di Luccia, B.; Bianco, F.; Cancelliere, R.; Cigliano, L.; Liverini, G.; Baccigalupi, L.; Iossa, S. Dietary fructose causes defective insulin signalling and ceramide accumulation in the liver that can be reversed by gut microbiota modulation. Food Nutr. Res. 2017, 61, 1331657. [Google Scholar] [CrossRef]
- Iwata, K.; Inayama, T.; Kato, T. Effects of Spirulina platensis on plasma lipoprotein lipase activity in fructose-induced hyperlipidemic rats. J. Nutr. Sci. Vitaminol. 1990, 36, 165–171. [Google Scholar] [CrossRef]
- Alwahsh, S.M.; Gebhardt, R. Dietary fructose as a risk factor for non-alcoholic fatty liver disease (NAFLD). Arch. Toxicol. 2017, 91, 1545–1563. [Google Scholar] [CrossRef] [PubMed]
- Lau, J.K.C.; Zhang, X.; Yu, J. Animal models of non-alcoholic fatty liver disease: Current perspectives and recent advances. J. Pathol. 2017, 241, 36–44. [Google Scholar] [CrossRef] [PubMed]
- Buzzetti, E.; Pinzani, M.; Tsochatzis, E.A. The multiple-hit pathogenesis of non-alcoholic fatty liver disease (NAFLD). Metabolism 2016, 65, 1038–1048. [Google Scholar] [CrossRef] [PubMed]
- Jeffery, I.B.; O’Toole, P.W. Diet-Microbiota Interactions and Their Implications for Healthy Living. Nutrients 2013, 5, 234–252. [Google Scholar] [CrossRef] [PubMed]
- Turnbaugh, P.J.; Ley, R.E.; Mahowald, M.A.; Magrini, V.; Mardis, E.R.; Gordon, J.I. An Obesity-Associated Gut Microbiome with Increased Capacity for Energy Harvest. Nature 2006, 444, 1027–1031. [Google Scholar] [CrossRef]
- Chandrarathna, H.; Liyanage, T.; Edirisinghe, S.; Dananjaya, S.; Thulshan, E.; Nikapitiya, C.; Oh, C.; Kang, D.-H.; De Zoysa, M. Marine Microalgae, Spirulina maxima-Derived Modified Pectin and Modified Pectin Nanoparticles Modulate the Gut Microbiota and Trigger Immune Responses in Mice. Mar. Drugs 2020, 18, 175. [Google Scholar] [CrossRef] [PubMed]
- Kulshreshtha, A.; Jarouliya, U.; Bhadauriya, P.; Prasad, G.B.; Bisen, P.S. Spirulina in health care management. Curr. Pharm. Biotechnol. 2008, 9, 400–405. [Google Scholar] [CrossRef] [PubMed]
- Yu, T.; Wang, Y.; Chen, X.; Xiong, W.; Tang, Y.; Lin, L. Spirulina platensis alleviates chronic inflammation with modulation of gut microbiota and intestinal permeability in rats fed a high-fat diet. J. Cell. Mol. Med. 2020, 24, 8603–8613. [Google Scholar] [CrossRef] [PubMed]
- Li, J.; Xu, X.; Cai, X.; Weng, Y.; Wang, Y.; Shen, Q.; Shi, X. Oxidative Medicine and Cellular Longevity; Hindaw: London, UK, 2019. [Google Scholar]
- Wiredu Ocansey, D.K.; Hang, S.; Yuan, X.; Qian, H.; Zhou, M.; Valerie Olovo, C.; Zhang, X.; Mao, F. The diagnostic and prognostic potential of gut bacteria in inflammatory bowel disease. Gut Microbes 2023, 15, 2176118. [Google Scholar] [CrossRef]
- Lemale, J. La modification du microbiote intestinal a-t-elle un avenir dans la prise en charge de l’obésité? Rev. Générales Microbiote 2015. Available online: https://www.realites-pediatriques.com/wp-content/uploads/sites/3/2016/04/RP_190_RG_Lemale.pdf (accessed on 30 January 2015).














| Ingredients | CT Diet 17% Fat, 20% Proteins, 62% Carbohydrates | HFr Diet 20% Fat, 20% Proteins, 60% Carbohydrates (40% Fructose) | HFr-S5 Diet 20% Fat, 20% Proteins, 60% Carbohydrates (40% Fructose), Spirulina 5% of the Total Weight | HFr-S10 Diet 20% Fat, 20% Proteins, 60% Carbohydrates (40% Fructose), Spirulina 10% of the Total Weight | ||||
|---|---|---|---|---|---|---|---|---|
| (g) | (kJ) (3) | (g) | (kJ) | (g) | (kJ) | (g) | (kJ) | |
| Casein | 200 | 2995.7 | 200 | 2995.7 | 200 | 2995.7 | 200 | 2995.7 |
| DL-methionine | 2 | 33.5 | 2 | 33.5 | 2 | 33.5 | 2 | 33.5 |
| Corn starch | 530 | 7986.9 | 92.5 | 1393.9 | 92.5 | 1393.9 | 92.5 | 1393.9 |
| Sucrose | 100 | 1590.7 | 119.8 | 1905.6 | 119.8 | 1905.6 | 119.8 | 1905.6 |
| Fructose | 0 | 0 | 400 | 6362.7 | 400 | 6362.7 | 400 | 6362.7 |
| Cellulose, BW (1) | 50 | 0 | 50 | 0 | 50 | 0 | 50 | 0 |
| Mineral mix (2) | 35 | 129 | 35 | 129 | 35 | 129 | 35 | 129 |
| Soybean oil | 70 | 2636 | 70 | 2636 | 70 | 2636 | 70 | 2636 |
| Butter | 0 | 0 | 19 | 636.3 | 19 | 636.3 | 19 | 636.3 |
| Vitamin mixture (2) | 10 | 162 | 10 | 162 | 10 | 162 | 10 | 162 |
| Choline Bitartrate | 2 | 0 | 2 | 0 | 2 | 0 | 2 | 0 |
| Total | 999 | 15,534 | 1000 | 16,255 | 1000 | 16,255 | 1000 | 16,255 |
| Spirulina | 0 | 0 | 50 | 100 | ||||
| CT Group | HFr Group | HFr-S5 Group | HFr-S10 Group | |
|---|---|---|---|---|
| Rats body weight (g) | ||||
| Week 1 | 209.5 ± 0.03 NS | 216.4 ± 0.09 | 235.1 ± 0.04 | 219.2 ± 0.06 |
| Week 18 | 405.3 ± 0.03 § | 414.1 ± 0.09 § | 425.7 ± 0.04 § | 408.9 ± 0.03 § |
| Energy intake (kJ/week) | ||||
| Week 2 | 1980.1 ± 0.05 NS | 1884.9 ± 0.07 | 2025.8 ± 0.07 | 1884.1 ± 0.09 |
| Week 18 | 1951.2 ± 0.05 NS | 2078.2 ± 0.05 § | 1816.3 ± 0.06 | 1778.6 ± 0.05 |
| Approximate amount consumed (g/week) | ||||
| Week 2 | 126.7 ± 0.05 NS | 115.2 ± 0.07 | 123.8 ± 0.07 | 115.2 ± 0.09 |
| Week 18 | 124.8 ± 0.05 | 127.0 ± 0.05 § | 111.0 ± 0.06 | 108.7 ± 0.05 |
| Weight gain (g) | ||||
| Week 18–Week 1 | 195.3 ± 26.6 NS | 196.6 ± 37.6 | 191.45 ± 37.11 | 188.79 ± 26.19 |
| Liver weight (g) | ||||
| Week 18 | 9.5 ± 0.03 b | 10.8 ± 0.04 a | 10.0 ± 0.05 | 9.7 ± 0.03 |
| Liver (g)/100 g of body weight | ||||
| Week 18 | 2.3 ± 0.1 NS | 2.6 ± 0.2 | 2.1 ± 0.7 | 2.1 ± 0.7 |
| Kidney weight (g) | ||||
| Week 18 | 1.5 ± 0.05 NS | 1.6 ± 0.08 | 1.5 ± 0.06 | 1.5 ± 0.02 |
| Epididymal fat weight (g) | ||||
| Week 18 | 7.1 ± 0.14 NS | 7.2 ± 0.21 | 6.8 ± 0.20 | 5.8 ± 0.10 |
| Pancreas weight (g) | ||||
| Week 18 | 0.9 ± 0.30 NS | 0.8 ± 0.30 | 0.7 ± 0.10 | 0.6 ± 0.10 |
| Liver lipid weight (mg) | ||||
| Week 18 | 41.44 ± 0.14 | 50.11 ± 0.19 c | 32.42 ± 0.21 | 28.47 ± 0.13 b |
| Renal lipid weight (mg) | ||||
| Week 18 | 69.44 ± 0.20 NS | 57.0 ± 0.32 | 71.8 ± 0.33 | 45.2 ± 0.31 |
| CT Group | HFr Group | HFr-S5 Group | HFr-S10 Group | |
|---|---|---|---|---|
| Steatosis (%) (1) | 8.75 ± 0.10 NS | 10.67 ± 0.24 | 10.51 ± 0.16 | 1.33 ± 0.13 |
| Microvesicular (2) | ||||
| None | 4 | 3 | 2 | 6 |
| + | 5 | 3 | 7 | 4 |
| ++ | 1 | 4 | 1 | 0 |
| Macrovacuolar (2) | ||||
| None | 4 | 4 | 4 | 7 |
| + | 6 | 4 | 5 | 3 |
| ++ | 0 | 2 | 1 | 0 |
| Necroinflammation (3) | ||||
| 0 | 5 | 2 | 3 | 5 |
| 1 | 5 | 8 | 6 | 4 |
| 2 | 0 | 0 | 1 | 1 |
| Portal fibrosis (3) | ||||
| 0 | 10 | 9 | 8 | 9 |
| 1 | 0 | 1 | 2 | 1 |
| 2 | 0 | 0 | 0 | 0 |
| Perisinusoidal fibrosis (3) | ||||
| 0 | 9 | 9 | 9 | 8 |
| 1 | 1 | 1 | 1 | 2 |
| 2 | 0 | 0 | 0 | 0 |
| CT Group | HFr Group | HFr-S5 Group | HFr-S10 Group | |
|---|---|---|---|---|
| Renal inflammation (1) | ||||
| 0 | 6 | 4 | 9 | 3 |
| 1 | 4 | 6 | 1 | 6 |
| 2 | 0 | 0 | 0 | 1 |
| Glomerulosclerosis (1) | ||||
| 0 | 10 | 10 | 10 | 10 |
| 1 | 0 | 0 | 0 | 0 |
| 2 | 0 | 0 | 0 | 0 |
| Interstitial renal fibrosis (1) | ||||
| 0 | 7 | 7 | 7 | 5 |
| 1 | 3 | 3 | 3 | 5 |
| 2 | 0 | 0 | 0 | 0 |
| Pancreatic inflammation (1) | ||||
| 0 | 9 | 6 | 9 | 8 |
| 1 | 1 | 4 | 1 | 2 |
| 2 | 0 | 0 | 0 | 0 |
| Pancreatic tissue fibrosis (1) | ||||
| 0 | 7 | 2 | 8 | 5 |
| 1 | 3 | 8 | 2 | 5 |
| 2 | 0 | 0 | 0 | 0 |
| Anomaly of the islets of Langerhans (2) | ||||
| 0 | 10 | 10 | 10 | 10 |
| 1 | 0 | 0 | 0 | 0 |
| CT Group | HFr Group | HFr-S5 Group | HFr-S10 Group | |
|---|---|---|---|---|
| Glucose (mmol/L) | ||||
| Week 1 | 7.77 ± 0.14 NS | 6.83 ± 0.11 | 6.11 ± 0.20 | 6.09 ± 0.18 |
| Week 18 | 5.19 ± 0.05 §bcd | 8.59 ± 0.07 a | 7.23 ± 0.11 a | 7.36 ± 0.12 a |
| Triglycerides (mmol/L) | ||||
| Week 1 | 0.46 ± 0.11 NS | 0.46 ± 0.10 | 0.59 ± 0.13 | 0.62 ± 0.16 |
| Week 18 | 0.62 ± 0.10 §b | 0.94 ± 0.13 §acd | 0.62 ± 0.08 b | 0.62 ± 0.08 b |
| Insulin (pmol/L) | ||||
| Week 1 | 28.46 ± 0.28 NS | 46.74 ± 0.35 | 31.88 ± 0.30 | 39.91 ± 0.41 |
| Week 18 | 31.10 ± 0.18 NS | 39.19 ± 0.38 | 25.6 ± 0.19 | 33.26 ± 0.11 |
| TNF-α (pg/mL) | ||||
| Week 1 | 28.24 ± 0.15 d | 26.74 ± 0.05 d | 29.65 ± 0.10 | 39.79 ± 0.12 ab |
| Week 18 | 27.70 ± 0.12 NS | 30.30 ± 0.13 | 28.40 ± 0.15 | 27.08 ± 0.14 § |
| IL-6 (pg/mL) | ||||
| Week 1 | 30.61 ± 0.14 c | 31.17 ± 0.09 | 43.16 ± 0.09 a | 41.10 ± 0.11 |
| Week 18 | 33.09 ± 0.17 NS | 33.54 ± 0.15 | 38.99 ± 0.09 | 40.84 ± 0.16 |
| Adiponectin (ng/mL) | ||||
| Week 1 | 11.59 ± 0.05 NS | 11.81 ± 0.06 | 11.52 ± 0.06 | 11.37 ± 0.06 |
| Week 18 | 10.88 ± 0.06 §NS | 10.61 ± 0.09 § | 11.21 ± 0.08 | 11.10 ± 0.08 |
| ALT (UI/L) | ||||
| Week 1 | 26.53 ± 0.08 NS | 24.09 ± 0.15 | 21.45 ± 0.07 | 18.44 ± 0.18 |
| Week 18 | 21.25 ± 0.14 NS | 19.50 ± 0.08 | 19.18 ± 0.14 | 24.57 ± 0.11 |
| AST (UI/L) | ||||
| Week 1 | 28.18 ± 0.05 bd | 22.26 ± 0.08 a | 23.39 ± 0.11 | 21.21 ± 0.07 a |
| Week 18 | 26.99 ± 0.11 NS | 25.21 ± 0.17 | 26.44 ± 0.14 | 21.81 ± 0.24 |
| Creatinine (μmol/L) | ||||
| Week 18 | 81.94 ± 0.08 b | 52.29 ± 0.11 a | 62.65 ± 0.13 | 62.63 ± 0.07 |
| Urea (mmol/L) | ||||
| Week 1 | 13.66 ± 0.09 NS | 15.08 ± 0.08 | 13.55 ± 0.06 | 17.4 ± 0.12 |
| Week 18 | 12.64 ± 0.12 NS | 12.32 ± 0.12 | 12.07 ± 0.11 | 12.49 ± 0.09 § |
Disclaimer/Publisher’s Note: The statements, opinions and data contained in all publications are solely those of the individual author(s) and contributor(s) and not of MDPI and/or the editor(s). MDPI and/or the editor(s) disclaim responsibility for any injury to people or property resulting from any ideas, methods, instructions or products referred to in the content. |
© 2024 by the authors. Licensee MDPI, Basel, Switzerland. This article is an open access article distributed under the terms and conditions of the Creative Commons Attribution (CC BY) license (https://creativecommons.org/licenses/by/4.0/).
Share and Cite
Fakhoury-Sayegh, N.; Hamdan, A.; Lebbos, S.; Itani, T.; Trak-Smayra, V.; Khazzaka, A.; Dagher-Hamalian, C.; Sayegh, L.N.; Mallah, M.; Obeid, O.; et al. Spirulina (Arthrospira platensis) Improved Nonalcoholic Fatty Liver Disease Characteristics and Microbiota and Did Not Affect Organ Fibrosis Induced by a Fructose-Enriched Diet in Wistar Male Rats. Nutrients 2024, 16, 1701. https://doi.org/10.3390/nu16111701
Fakhoury-Sayegh N, Hamdan A, Lebbos S, Itani T, Trak-Smayra V, Khazzaka A, Dagher-Hamalian C, Sayegh LN, Mallah M, Obeid O, et al. Spirulina (Arthrospira platensis) Improved Nonalcoholic Fatty Liver Disease Characteristics and Microbiota and Did Not Affect Organ Fibrosis Induced by a Fructose-Enriched Diet in Wistar Male Rats. Nutrients. 2024; 16(11):1701. https://doi.org/10.3390/nu16111701
Chicago/Turabian StyleFakhoury-Sayegh, Nicole, Aya Hamdan, Sarah Lebbos, Tarek Itani, Viviane Trak-Smayra, Aline Khazzaka, Carole Dagher-Hamalian, Lea Nicole Sayegh, May Mallah, Omar Obeid, and et al. 2024. "Spirulina (Arthrospira platensis) Improved Nonalcoholic Fatty Liver Disease Characteristics and Microbiota and Did Not Affect Organ Fibrosis Induced by a Fructose-Enriched Diet in Wistar Male Rats" Nutrients 16, no. 11: 1701. https://doi.org/10.3390/nu16111701
APA StyleFakhoury-Sayegh, N., Hamdan, A., Lebbos, S., Itani, T., Trak-Smayra, V., Khazzaka, A., Dagher-Hamalian, C., Sayegh, L. N., Mallah, M., Obeid, O., & Sayegh, R. (2024). Spirulina (Arthrospira platensis) Improved Nonalcoholic Fatty Liver Disease Characteristics and Microbiota and Did Not Affect Organ Fibrosis Induced by a Fructose-Enriched Diet in Wistar Male Rats. Nutrients, 16(11), 1701. https://doi.org/10.3390/nu16111701

