Lycopene Promotes Osteogenesis and Reduces Adipogenesis through Regulating FoxO1/PPARγ Signaling in Ovariectomized Rats and Bone Marrow Mesenchymal Stem Cells
Abstract
1. Introduction
2. Materials and Methods
2.1. Materials
2.2. BMSCs Culture
2.3. Cell Viability Assay
2.4. Intracellular ROS Examination
2.5. Alizarin Red S Staining
2.6. Oil Red O (ORO) Staining
2.7. Induction of Osteoporotic Models and LYC Administration
2.8. Serum and Bone Marrow Biomarkers Analysis
2.9. μ-CT Scanning
2.10. Bone Biomechanical Strength Assay
2.11. Fourier Transform Infrared Spectroscopy (FTIR) Assay
2.12. Hematoxylin & Eosin (H&E) and Safranin O-Fast Green Staining
2.13. Immunohistochemistry (IHC) Staining
2.14. Western Blot Assay
2.15. Statistical Analysis
3. Results
3.1. LYC Preserves Bone Micro-Architecture, Strength, Material Properties in OVX Rats
3.2. LYC Inhibits Oxidative Stress in OVX Rats and in BMSCs
3.3. LYC Improves Lipid Metabolism in OVX Rats and BMSCs
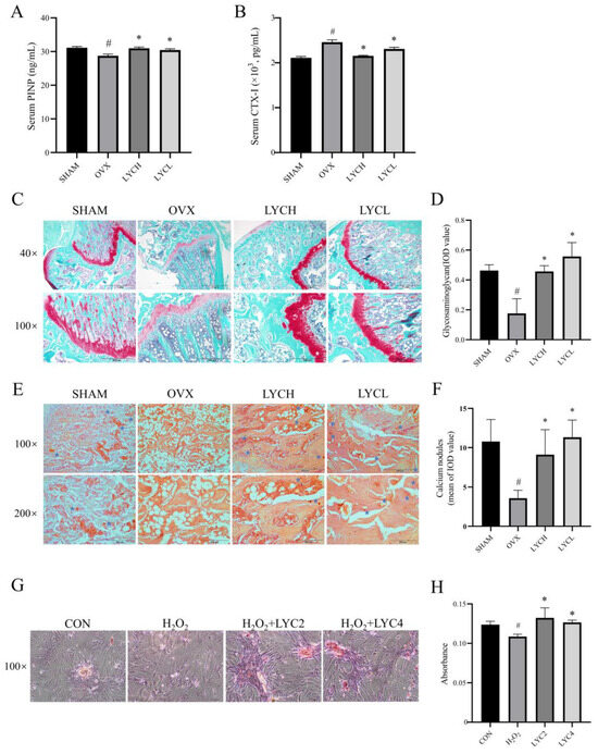
3.4. LYC Promotes Osteogenesis in OVX Rats and in BMSCs
3.5. LYC Increases FoxO1, Runx2, and OCN Expressions, and Inhibits PPARγ and C/EBPα Expressions in the Femurs and Tibias of OVX Rats and BMSCs
4. Discussion
5. Conclusions
Author Contributions
Funding
Institutional Review Board Statement
Informed Consent Statement
Data Availability Statement
Conflicts of Interest
Abbreviations
| BMSCs | Bone marrow mesenchymal stem cells |
| BMD | Bone mineral density |
| BS/TV | Bone surface/total volume |
| BV/TV | Bone volume/total volume |
| C/EBPα | CCAAT/enhancer binding proteins α |
| Conn.D | Connectivity density |
| CTX-1 | C-terminal cross-linked telopeptide of type I collagen |
| EV | Estradiol valerate |
| FoxO1 | Forkhead Box Protein O1 |
| GAGs | Glycosaminoglycans |
| HDL | High-density lipoprotein |
| H&E | Hematoxylin & Eosin |
| LDL | Low-density lipoprotein |
| LYC | Lycopene |
| MDA | Malondialdehyde |
| OCN | Osteocalcin |
| ORO | Oil Red O |
| OVX | Ovariectomized |
| PINP | N-terminal propeptide of type1 procollagen |
| PPARγ | Peroxisome Proliferator Activated Receptor γ |
| ROS | Reactive oxygen species |
| Runx2 | Runt-related transcription factor 2 |
| SMI | Structure Model Index |
| SOD | Superoxide dismutase |
| TAGs | Triacylglycerols |
| T-AOC | Total antioxidant capacity |
| Tb.N | Trabecular number |
| Tb.Sp | Trabecular separation |
| Tb.Th | Trabecular thickness |
| TC | Total cholesterol |
References
- Costa-Rodrigues, J.; Fernandes, M.H.; Pinho, O.; Monteiro, P.R.R. Modulation of Human Osteoclastogenesis and Osteoblastogenesis by Lycopene. J. Nutr. Biochem. 2018, 57, 26–34. [Google Scholar] [CrossRef]
- Grabowska, M.; Wawrzyniak, D.; Rolle, K.; Chomczyński, P.; Oziewicz, S.; Jurga, S.; Barciszewski, J. Let Food Be Your Medicine: Nutraceutical Properties of Lycopene. Food Funct. 2019, 10, 3090–3102. [Google Scholar] [CrossRef]
- Terao, J. Revisiting Carotenoids as Dietary Antioxidants for Human Health and Disease Prevention. Food Funct. 2023, 14, 7799–7824. [Google Scholar] [CrossRef] [PubMed]
- Ozkan, G.; Günal-Köroğlu, D.; Karadag, A.; Capanoglu, E.; Cardoso, S.M.; Al-Omari, B.; Calina, D.; Sharifi-Rad, J.; Cho, W.C. A Mechanistic Updated Overview on Lycopene as Potential Anticancer Agent. Biomed. Pharmacother. 2023, 161, 114428. [Google Scholar] [CrossRef] [PubMed]
- Kulawik, A.; Cielecka-Piontek, J.; Zalewski, P. The Importance of Antioxidant Activity for the Health-Promoting Effect of Lycopene. Nutrients 2023, 15, 3821. [Google Scholar] [CrossRef] [PubMed]
- Abir, M.H.; Mahamud, A.G.M.S.U.; Tonny, S.H.; Anu, M.S.; Hossain, K.H.S.; Protic, I.A.; Khan, M.S.U.; Baroi, A.; Moni, A.; Uddin, M.J. Pharmacological Potentials of Lycopene against Aging and Aging-Related Disorders: A Review. Food Sci. Nutr. 2023, 11, 5701–5735. [Google Scholar] [CrossRef] [PubMed]
- Saini, R.K.; Prasad, P.; Lokesh, V.; Shang, X.; Shin, J.; Keum, Y.-S.; Lee, J.-H. Carotenoids: Dietary Sources, Extraction, Encapsulation, Bioavailability, and Health Benefits-A Review of Recent Advancements. Antioxidants 2022, 11, 795. [Google Scholar] [CrossRef] [PubMed]
- Marcucci, G.; Domazetovic, V.; Nediani, C.; Ruzzolini, J.; Favre, C.; Brandi, M.L. Oxidative Stress and Natural Antioxidants in Osteoporosis: Novel Preventive and Therapeutic Approaches. Antioxidants 2023, 12, 373. [Google Scholar] [CrossRef] [PubMed]
- Walallawita, U.S.; Wolber, F.M.; Ziv-Gal, A.; Kruger, M.C.; Heyes, J.A. Potential Role of Lycopene in the Prevention of Postmenopausal Bone Loss: Evidence from Molecular to Clinical Studies. Int. J. Mol. Sci. 2020, 21, 7119. [Google Scholar] [CrossRef]
- Black, D.M.; Rosen, C.J. Clinical Practice. Postmenopausal Osteoporosis. N. Engl. J. Med. 2016, 374, 254–262. [Google Scholar] [CrossRef]
- Ensrud, K.E.; Crandall, C.J. Osteoporosis. Ann. Intern. Med. 2017, 167, ITC17–ITC32. [Google Scholar] [CrossRef]
- Salari, N.; Ghasemi, H.; Mohammadi, L.; Behzadi, M.H.; Rabieenia, E.; Shohaimi, S.; Mohammadi, M. The Global Prevalence of Osteoporosis in the World: A Comprehensive Systematic Review and Meta-Analysis. J. Orthop. Surg. Res. 2021, 16, 609. [Google Scholar] [CrossRef]
- Salari, N.; Darvishi, N.; Bartina, Y.; Larti, M.; Kiaei, A.; Hemmati, M.; Shohaimi, S.; Mohammadi, M. Global Prevalence of Osteoporosis among the World Older Adults: A Comprehensive Systematic Review and Meta-Analysis. J. Orthop. Surg. Res. 2021, 16, 669. [Google Scholar] [CrossRef]
- Lu, J.; Hu, D.; Ma, C.; Shuai, B. Advances in Our Understanding of the Mechanism of Action of Drugs (Including Traditional Chinese Medicines) for the Intervention and Treatment of Osteoporosis. Front. Pharmacol. 2022, 13, 938447. [Google Scholar] [CrossRef]
- Xiong, Y.; Zhang, Y.; Zhou, F.; Liu, Y.; Yi, Z.; Gong, P.; Wu, Y. FOXO1 Differentially Regulates Bone Formation in Young and Aged Mice. Cell Signal 2022, 99, 110438. [Google Scholar] [CrossRef]
- Jiang, Y.; Luo, W.; Zhou, F.; Gong, P.; Xiong, Y. The Role of FOXO1-Mediated Autophagy in the Regulation of Bone Formation. Cell Cycle 2023, 22, 829–840. [Google Scholar] [CrossRef]
- Ohzono, H.; Hu, Y.; Nagira, K.; Kanaya, H.; Okubo, N.; Olmer, M.; Gotoh, M.; Kurakazu, I.; Akasaki, Y.; Kawata, M.; et al. Targeting FoxO Transcription Factors with HDAC Inhibitors for the Treatment of Osteoarthritis. Ann. Rheum. Dis. 2023, 82, 262–271. [Google Scholar] [CrossRef]
- Peng, S.; Li, W.; Hou, N.; Huang, N. A Review of FoxO1-Regulated Metabolic Diseases and Related Drug Discoveries. Cells 2020, 9, 184. [Google Scholar] [CrossRef]
- Ma, X.; Su, P.; Yin, C.; Lin, X.; Wang, X.; Gao, Y.; Patil, S.; War, A.R.; Qadir, A.; Tian, Y.; et al. The Roles of FoxO Transcription Factors in Regulation of Bone Cells Function. Int. J. Mol. Sci. 2020, 21, 692. [Google Scholar] [CrossRef] [PubMed]
- Li, Y.; Jin, D.; Xie, W.; Wen, L.; Chen, W.; Xu, J.; Ding, J.; Ren, D. PPAR-γ and Wnt Regulate the Differentiation of MSCs into Adipocytes and Osteoblasts Respectively. Curr. Stem Cell Res. Ther. 2018, 13, 185–192. [Google Scholar] [CrossRef] [PubMed]
- Almeida, M.; Ambrogini, E.; Han, L.; Manolagas, S.C.; Jilka, R.L. Increased Lipid Oxidation Causes Oxidative Stress, Increased Peroxisome Proliferator-Activated Receptor-Gamma Expression, and Diminished pro-Osteogenic Wnt Signaling in the Skeleton. J. Biol. Chem. 2009, 284, 27438–27448. [Google Scholar] [CrossRef]
- Kim, M.; Kim, C.; Choi, Y.S.; Kim, M.; Park, C.; Suh, Y. Age-Related Alterations in Mesenchymal Stem Cells Related to Shift in Differentiation from Osteogenic to Adipogenic Potential: Implication to Age-Associated Bone Diseases and Defects. Mech. Ageing Dev. 2012, 133, 215–225. [Google Scholar] [CrossRef]
- Xia, B.; Zhu, R.; Zhang, H.; Chen, B.; Liu, Y.; Dai, X.; Ye, Z.; Zhao, D.; Mo, F.; Gao, S.; et al. Lycopene Improves Bone Quality and Regulates AGE/RAGE/NF-кB Signaling Pathway in High-Fat Diet-Induced Obese Mice. Oxid. Med. Cell. Longev. 2022, 2022, 3697067. [Google Scholar] [CrossRef]
- Wang, J.; Suo, Y.; Zhang, J.; Zou, Q.; Tan, X.; Yuan, T.; Liu, Z.; Liu, X. Lycopene Supplementation Attenuates Western Diet-Induced Body Weight Gain through Increasing the Expressions of Thermogenic/Mitochondrial Functional Genes and Improving Insulin Resistance in the Adipose Tissue of Obese Mice. J. Nutr. Biochem. 2019, 69, 63–72. [Google Scholar] [CrossRef]
- Yang, Z.; Zhang, Z.; Penniston, K.L.; Binkley, N.; Tanumihardjo, S.A. Serum Carotenoid Concentrations in Postmenopausal Women from the United States with and without Osteoporosis. Int. J. Vitam. Nutr. Res. 2008, 78, 105–111. [Google Scholar] [CrossRef]
- Shen, C.-L.; von Bergen, V.; Chyu, M.-C.; Jenkins, M.R.; Mo, H.; Chen, C.-H.; Kwun, I.-S. Fruits and Dietary Phytochemicals in Bone Protection. Nutr. Res. 2012, 32, 897–910. [Google Scholar] [CrossRef]
- Rao, L.G.; Mackinnon, E.S.; Josse, R.G.; Murray, T.M.; Strauss, A.; Rao, A.V. Lycopene Consumption Decreases Oxidative Stress and Bone Resorption Markers in Postmenopausal Women. Osteoporos. Int. 2007, 18, 109–115. [Google Scholar] [CrossRef]
- Li, Y.; He, Y.; Chen, G.; Huang, Z.; Yi, C.; Zhang, X.; Deng, F.; Yu, D. Selenomethionine Protects Oxidative-Stress-Damaged Bone-Marrow-Derived Mesenchymal Stem Cells via an Antioxidant Effect and the PTEN/PI3K/AKT Pathway. Exp. Cell Res. 2021, 408, 112864. [Google Scholar] [CrossRef]
- Yang, W.; Li, H.Y.; Wu, Y.F.; Mi, R.J.; Liu, W.Z.; Shen, X.; Lu, Y.X.; Jiang, Y.H.; Ma, M.J.; Shen, H.Y. ac4C Acetylation of RUNX2 Catalyzed by NAT10 Spurs Osteogenesis of BMSCs and Prevents Ovariectomy-Induced Bone Loss. Mol. Ther. Nucleic Acids 2021, 26, 135–147. [Google Scholar] [CrossRef]
- Hu, Y.; Xiong, Y.; Zha, K.; Tao, R.; Chen, L.; Xue, H.; Yan, C.; Lin, Z.; Endo, Y.; Cao, F.; et al. Melatonin Promotes BMSCs Osteoblastic Differentiation and Relieves Inflammation by Suppressing the NF-κB Pathways. Stem Cells Int. 2023, 2023, 7638842. [Google Scholar] [CrossRef]
- Liu, S.; Yang, D.; Yu, L.; Aluo, Z.; Zhang, Z.; Qi, Y.; Li, Y.; Song, Z.; Xu, G.; Zhou, L. Effects of Lycopene on Skeletal Muscle-Fiber Type and High-Fat Diet-Induced Oxidative Stress. J. Nutr. Biochem. 2021, 87, 108523. [Google Scholar] [CrossRef] [PubMed]
- Zhou, M.; Guo, J.; Li, S.; Li, A.; Fang, Z.; Zhao, M.; Zhang, M.; Wang, X. Effect of Peroxiredoxin 1 on the Regulation of Trophoblast Function by Affecting Autophagy and Oxidative Stress in Preeclampsia. J. Assist. Reprod. Genet. 2023, 40, 1573–1587. [Google Scholar] [CrossRef] [PubMed]
- Guo, Y.; Wang, L.; Ma, R.; Mu, Q.; Yu, N.; Zhang, Y.; Tang, Y.; Li, Y.; Jiang, G.; Zhao, D.; et al. JiangTang XiaoKe Granule Attenuates Cathepsin K Expression and Improves IGF-1 Expression in the Bone of High Fat Diet Induced KK-Ay Diabetic Mice. Life Sci. 2016, 148, 24–30. [Google Scholar] [CrossRef] [PubMed]
- Chen, B.; Wang, L.; Li, L.; Zhu, R.; Liu, H.; Liu, C.; Ma, R.; Jia, Q.; Zhao, D.; Niu, J.; et al. Fructus Ligustri Lucidi in Osteoporosis: A Review of Its Pharmacology, Phytochemistry, Pharmacokinetics and Safety. Molecules 2017, 22, 1469. [Google Scholar] [CrossRef]
- Olfer’ev, A.M.; Il’ina, M.V.; Berzak, N.V.; Stetsenko, A.V.; Olfer’ev, M.A.; Chudakova, I.A.; Kapitanov, A.B.; Shamarin, V.M. Effect of lycopene on blood lipoproteids in women with type 2 diabetes mellitus in postmenopause. Vopr. Pitan. 2004, 73, 19–23. [Google Scholar] [PubMed]
- Li, L.; Chen, B.; Zhu, R.; Li, R.; Tian, Y.; Liu, C.; Jia, Q.; Wang, L.; Tang, J.; Zhao, D.; et al. Fructus Ligustri Lucidi Preserves Bone Quality through the Regulation of Gut Microbiota Diversity, Oxidative Stress, TMAO and Sirt6 Levels in Aging Mice. Aging 2019, 11, 9348–9368. [Google Scholar] [CrossRef]
- Chen, B.; Wei, J.; Zhu, R.; Zhang, H.; Xia, B.; Liu, Y.; Dai, X.; Ye, Z.; Tian, Y.; Li, R.; et al. Fructus Ligustri Lucidi Aqueous Extract Promotes Calcium Balance and Short-Chain Fatty Acids Production in Ovariectomized Rats. J. Ethnopharmacol. 2021, 279, 114348. [Google Scholar] [CrossRef] [PubMed]
- Ou-Yang, H.; Paschalis, E.P.; Mayo, W.E.; Boskey, A.L.; Mendelsohn, R. Infrared Microscopic Imaging of Bone: Spatial Distribution of CO32−. J. Bone Miner. Res. 2001, 16, 893–900. [Google Scholar] [CrossRef] [PubMed]
- Taylor, E.A.; Lloyd, A.A.; Salazar-Lara, C.; Donnelly, E. Raman and Fourier Transform Infrared (FT-IR) Mineral to Matrix Ratios Correlate with Physical Chemical Properties of Model Compounds and Native Bone Tissue. Appl. Spectrosc. 2017, 71, 2404–2410. [Google Scholar] [CrossRef]
- Zhu, C.-T.; Li, T.; Zhang, P.; Zou, M.; Guo, Q.; Qu, X.-W. Beneficial Effects of Low-Level Laser Irradiation on Senile Osteoporosis in Rats. Eur. Rev. Med. Pharmacol. Sci. 2017, 21, 5230–5238. [Google Scholar] [CrossRef]
- Khan, U.M.; Sevindik, M.; Zarrabi, A.; Nami, M.; Ozdemir, B.; Kaplan, D.N.; Selamoglu, Z.; Hasan, M.; Kumar, M.; Alshehri, M.M.; et al. Lycopene: Food Sources, Biological Activities, and Human Health Benefits. Oxid. Med. Cell. Longev. 2021, 2021, 2713511. [Google Scholar] [CrossRef] [PubMed]
- Williams, C.; Sapra, A. Osteoporosis Markers. In StatPearls; StatPearls Publishing: Treasure Island, FL, USA, 2024. [Google Scholar]
- Zhu, H.; Wang, M.; Zhao, C.; Li, R.; Yang, J.; Pei, G.; Ye, T.; Zuo, X.; Liu, L.; Chong Lee Shin, O.L.; et al. GAG and Collagen II Attenuate Glucocorticoid-Induced Osteoporosis by Regulating NF-κB and MAPK Signaling. Am. J. Transl. Res. 2018, 10, 1762–1772. [Google Scholar] [PubMed]
- Iantomasi, T.; Romagnoli, C.; Palmini, G.; Donati, S.; Falsetti, I.; Miglietta, F.; Aurilia, C.; Marini, F.; Giusti, F.; Brandi, M.L. Oxidative Stress and Inflammation in Osteoporosis: Molecular Mechanisms Involved and the Relationship with microRNAs. Int. J. Mol. Sci. 2023, 24, 3772. [Google Scholar] [CrossRef] [PubMed]
- Lin, T.; Zhang, Z.; Wu, J.; Jiang, H.; Wang, C.; Ma, J.; Yin, Y.; Wang, S.; Gao, R.; Zhou, X. A ROS/GAS5/SIRT1 Reinforcing Feedback Promotes Oxidative Stress-Induced Adipogenesis in Bone Marrow-Derived Mesenchymal Stem Cells during Osteoporosis. Int. Immunopharmacol. 2023, 114, 109560. [Google Scholar] [CrossRef] [PubMed]
- Wang, Y.-F.; Chang, Y.-Y.; Zhang, X.-M.; Gao, M.-T.; Zhang, Q.-L.; Li, X.; Zhang, L.; Yao, W.-F. Salidroside Protects against Osteoporosis in Ovariectomized Rats by Inhibiting Oxidative Stress and Promoting Osteogenesis via Nrf2 Activation. Phytomedicine 2022, 99, 154020. [Google Scholar] [CrossRef] [PubMed]
- Lee, G.-H.; Hoang, T.-H.; Lee, H.-Y.; Lim, Y.-J.; Kim, J.-H.; Jung, S.-J.; Chae, S.-W.; Rashid, M.M.U.; Chae, H.-J.; Yoon, S.-J. Ramie Leaf Extract Alleviates Bone Loss in Ovariectomized Rats-The Involvement of ROS and Its Associated Signalings. Nutrients 2023, 15, 745. [Google Scholar] [CrossRef] [PubMed]
- Zhang, J.; Liu, S.; He, Z.; Liu, H.; Liu, Y.; Hu, P.; Li, Z.; Xu, J.; Luo, E. Adiponectin Overexpression Promotes Fracture Healing through Regulating the Osteogenesis and Adipogenesis Balance in Osteoporotic Mice. J. Bone Miner. Metab. 2023, 41, 457–469. [Google Scholar] [CrossRef]
- Zhu, R.; Wei, J.; Liu, H.; Liu, C.; Wang, L.; Chen, B.; Li, L.; Jia, Q.; Tian, Y.; Li, R.; et al. Lycopene Attenuates Body Weight Gain through Induction of Browning via Regulation of Peroxisome Proliferator-Activated Receptor γ in High-Fat Diet-Induced Obese Mice. J. Nutr. Biochem. 2020, 78, 108335. [Google Scholar] [CrossRef]
- Ardawi, M.-S.M.; Badawoud, M.H.; Hassan, S.M.; Rouzi, A.A.; Ardawi, J.M.S.; AlNosani, N.M.; Qari, M.H.; Mousa, S.A. Lycopene Treatment against Loss of Bone Mass, Microarchitecture and Strength in Relation to Regulatory Mechanisms in a Postmenopausal Osteoporosis Model. Bone 2016, 83, 127–140. [Google Scholar] [CrossRef]
- Tsartsalis, A.N.; Dokos, C.; Kaiafa, G.D.; Tsartsalis, D.N.; Kattamis, A.; Hatzitolios, A.I.; Savopoulos, C.G. Statins, Bone Formation and Osteoporosis: Hope or Hype? Hormones 2012, 11, 126–139. [Google Scholar] [CrossRef]
- Yoshida, T.; Takahashi, K.; Yamatani, H.; Takata, K.; Kurachi, H. Impact of Surgical Menopause on Lipid and Bone Metabolism. Climacteric 2011, 14, 445–452. [Google Scholar] [CrossRef] [PubMed]
- Polyzos, S.A.; Anastasilakis, A.D.; Efstathiadou, Z.A.; Yavropoulou, M.P.; Makras, P. Postmenopausal Osteoporosis Coexisting with Other Metabolic Diseases: Treatment Considerations. Maturitas 2021, 147, 19–25. [Google Scholar] [CrossRef] [PubMed]
- Ricardo, V.; de Sousa, L.G.; Regalo, I.H.; Pitol, D.L.; Bombonato-Prado, K.F.; Regalo, S.C.H.; Siessere, S. Lycopene Enhances Bone Neoformation in Calvaria Bone Defects of Ovariectomized Rats. Braz. Dent. J. 2023, 34, 50–56. [Google Scholar] [CrossRef] [PubMed]
- Semeghini, M.S.; Scalize, P.H.; Coelho, M.C.; Fernandes, R.R.; Pitol, D.L.; Tavares, M.S.; de Sousa, L.G.; Coppi, A.A.; Siessere, S.; Bombonato-Prado, K.F. Lycopene Prevents Bone Loss in Ovariectomized Rats and Increases the Number of Osteocytes and Osteoblasts. J. Anat. 2022, 241, 729–740. [Google Scholar] [CrossRef]
- Oliveira, G.R.; Vargas-Sanchez, P.K.; Fernandes, R.R.; Ricoldi, M.S.T.; Semeghini, M.S.; Pitol, D.L.; de Sousa, L.G.; Siessere, S.; Bombonato-Prado, K.F. Lycopene Influences Osteoblast Functional Activity and Prevents Femur Bone Loss in Female Rats Submitted to an Experimental Model of Osteoporosis. J. Bone Miner. Metab. 2019, 37, 658–667. [Google Scholar] [CrossRef] [PubMed]
- Russo, C.; Ferro, Y.; Maurotti, S.; Salvati, M.A.; Mazza, E.; Pujia, R.; Terracciano, R.; Maggisano, G.; Mare, R.; Giannini, S.; et al. Lycopene and Bone: An in Vitro Investigation and a Pilot Prospective Clinical Study. J. Transl. Med. 2020, 18, 43. [Google Scholar] [CrossRef] [PubMed]
- Ardawi, M.S.M.; Badawoud, M.H.; Hassan, S.M.; Ardawi, A.M.S.; Rouzi, A.A.; Qari, M.H.; Mousa, S.A. Lycopene Nanoparticles Promotes Osteoblastogenesis and Inhibits Adipogenesis of Rat Bone Marrow Mesenchymal Stem Cells. Eur. Rev. Med. Pharmacol. Sci. 2021, 25, 6894–6907. [Google Scholar] [CrossRef] [PubMed]
- Iimura, Y.; Agata, U.; Takeda, S.; Kobayashi, Y.; Yoshida, S.; Ezawa, I.; Omi, N. The Protective Effect of Lycopene Intake on Bone Loss in Ovariectomized Rats. J. Bone Miner. Metab. 2015, 33, 270–278. [Google Scholar] [CrossRef] [PubMed]
- Mackinnon, E.S.; Rao, A.V.; Josse, R.G.; Rao, L.G. Supplementation with the Antioxidant Lycopene Significantly Decreases Oxidative Stress Parameters and the Bone Resorption Marker N-Telopeptide of Type I Collagen in Postmenopausal Women. Osteoporos. Int. 2011, 22, 1091–1101. [Google Scholar] [CrossRef]
- Zhu, S.-Y.; Li, X.-N.; Zhao, Y.; Dai, X.-Y.; Guo, J.-Y.; Li, J.-L. Lycopene Ameliorate Atrazine-Induced Oxidative Damage in the B Cell Zone via Targeting the miR-27a-3p/Foxo1 Axis. J. Agric. Food Chem. 2022, 70, 12502–12512. [Google Scholar] [CrossRef]
- Zhu, S.-Y.; Li, C.-X.; Tong, Y.-X.; Xu, Y.-R.; Wang, Z.-Y.; Li, J.-L. IL-6/STAT3/Foxo1 Axis as a Target of Lycopene Ameliorates the Atrazine-Induced Thymic Mitophagy and Pyroptosis Cross-Talk. Food Funct. 2022, 13, 8871–8879. [Google Scholar] [CrossRef] [PubMed]
- Albrahim, T. Lycopene Modulates Oxidative Stress and Inflammation in Hypercholesterolemic Rats. Pharmaceuticals 2022, 15, 1420. [Google Scholar] [CrossRef] [PubMed]
- Cao, C.; Sun, S.; Li, J.; Song, C.; Meng, Q.; Shi, B.; Shan, A. Lycopene Modulates Lipid Metabolism in Rats and Their Offspring under a High-Fat Diet. Food Funct. 2021, 12, 8960–8975. [Google Scholar] [CrossRef] [PubMed]
- Liao, L.; Su, X.; Yang, X.; Hu, C.; Li, B.; Lv, Y.; Shuai, Y.; Jing, H.; Deng, Z.; Jin, Y. TNF-α Inhibits FoxO1 by Upregulating miR-705 to Aggravate Oxidative Damage in Bone Marrow-Derived Mesenchymal Stem Cells during Osteoporosis. Stem Cells 2016, 34, 1054–1067. [Google Scholar] [CrossRef] [PubMed]
- Zhang, Y.; Xiong, Y.; Zhou, J.; Xin, N.; Zhu, Z.; Wu, Y. FoxO1 Expression in Osteoblasts Modulates Bone Formation through Resistance to Oxidative Stress in Mice. Biochem. Biophys. Res. Commun. 2018, 503, 1401–1408. [Google Scholar] [CrossRef]
- Chen, J.; Lu, Y.; Tian, M.; Huang, Q. Molecular Mechanisms of FOXO1 in Adipocyte Differentiation. J. Mol. Endocrinol. 2019, 62, R239–R253. [Google Scholar] [CrossRef]
- Kousteni, S. FoxO1, the Transcriptional Chief of Staff of Energy Metabolism. Bone 2012, 50, 437–443. [Google Scholar] [CrossRef] [PubMed]
- Engelmann, N.J.; Clinton, S.K.; Erdman, J.W. Nutritional Aspects of Phytoene and Phytofluene, Carotenoid Precursors to Lycopene. Adv. Nutr. 2011, 2, 51–61. [Google Scholar] [CrossRef]
- Liu, F.; Liang, X.; Yan, J.; Zhao, S.; Li, S.; Liu, X.; Ngai, T.; McClements, D.J. Tailoring the Properties of Double-Crosslinked Emulsion Gels Using Structural Design Principles: Physical Characteristics, Stability, and Delivery of Lycopene. Biomaterials 2022, 280, 121265. [Google Scholar] [CrossRef]
- Xiao, H.-H.; Zhu, Y.-X.; Lu, L.; Zhou, L.-P.; Poon, C.C.-W.; Chan, C.-O.; Wang, L.-J.; Cao, S.; Yu, W.-X.; Wong, K.-Y.; et al. The Lignan-Rich Fraction from Sambucus Williamsii Hance Exerts Bone Protective Effects via Altering Circulating Serotonin and Gut Microbiota in Rats. Nutrients 2022, 14, 4718. [Google Scholar] [CrossRef]
- Jiang, Y.; Luo, W.; Wang, B.; Wang, X.; Gong, P.; Xiong, Y. Resveratrol Promotes Osteogenesis via Activating SIRT1/FoxO1 Pathway in Osteoporosis Mice. Life Sci. 2020, 246, 117422. [Google Scholar] [CrossRef] [PubMed]
- Chen, P.; Hu, B.; Xie, L.-Q.; Jiang, T.-J.; Xia, Z.-Y.; Peng, H. Scara3 Regulates Bone Marrow Mesenchymal Stem Cell Fate Switch between Osteoblasts and Adipocytes by Promoting Foxo1. Cell Prolif. 2021, 54, e13095. [Google Scholar] [CrossRef] [PubMed]






Disclaimer/Publisher’s Note: The statements, opinions and data contained in all publications are solely those of the individual author(s) and contributor(s) and not of MDPI and/or the editor(s). MDPI and/or the editor(s) disclaim responsibility for any injury to people or property resulting from any ideas, methods, instructions or products referred to in the content. |
© 2024 by the authors. Licensee MDPI, Basel, Switzerland. This article is an open access article distributed under the terms and conditions of the Creative Commons Attribution (CC BY) license (https://creativecommons.org/licenses/by/4.0/).
Share and Cite
Xia, B.; Dai, X.; Shi, H.; Yin, J.; Xu, T.; Liu, T.; Yue, G.; Guo, H.; Liang, R.; Liu, Y.; et al. Lycopene Promotes Osteogenesis and Reduces Adipogenesis through Regulating FoxO1/PPARγ Signaling in Ovariectomized Rats and Bone Marrow Mesenchymal Stem Cells. Nutrients 2024, 16, 1443. https://doi.org/10.3390/nu16101443
Xia B, Dai X, Shi H, Yin J, Xu T, Liu T, Yue G, Guo H, Liang R, Liu Y, et al. Lycopene Promotes Osteogenesis and Reduces Adipogenesis through Regulating FoxO1/PPARγ Signaling in Ovariectomized Rats and Bone Marrow Mesenchymal Stem Cells. Nutrients. 2024; 16(10):1443. https://doi.org/10.3390/nu16101443
Chicago/Turabian StyleXia, Bingke, Xuan Dai, Hanfen Shi, Jiyuan Yin, Tianshu Xu, Tianyuan Liu, Gaiyue Yue, Haochen Guo, Ruiqiong Liang, Yage Liu, and et al. 2024. "Lycopene Promotes Osteogenesis and Reduces Adipogenesis through Regulating FoxO1/PPARγ Signaling in Ovariectomized Rats and Bone Marrow Mesenchymal Stem Cells" Nutrients 16, no. 10: 1443. https://doi.org/10.3390/nu16101443
APA StyleXia, B., Dai, X., Shi, H., Yin, J., Xu, T., Liu, T., Yue, G., Guo, H., Liang, R., Liu, Y., Gao, J., Wang, X., Chen, X., Tang, J., Wang, L., Zhu, R., & Zhang, D. (2024). Lycopene Promotes Osteogenesis and Reduces Adipogenesis through Regulating FoxO1/PPARγ Signaling in Ovariectomized Rats and Bone Marrow Mesenchymal Stem Cells. Nutrients, 16(10), 1443. https://doi.org/10.3390/nu16101443

