Rapid Anti-tTG-IgA Screening Test for Early Diagnosis of Celiac Disease in Pediatric Populations
Abstract
1. Introduction
2. Materials and Methods
2.1. Study Design and Volunteers
2.2. Gluten Consumption Habits
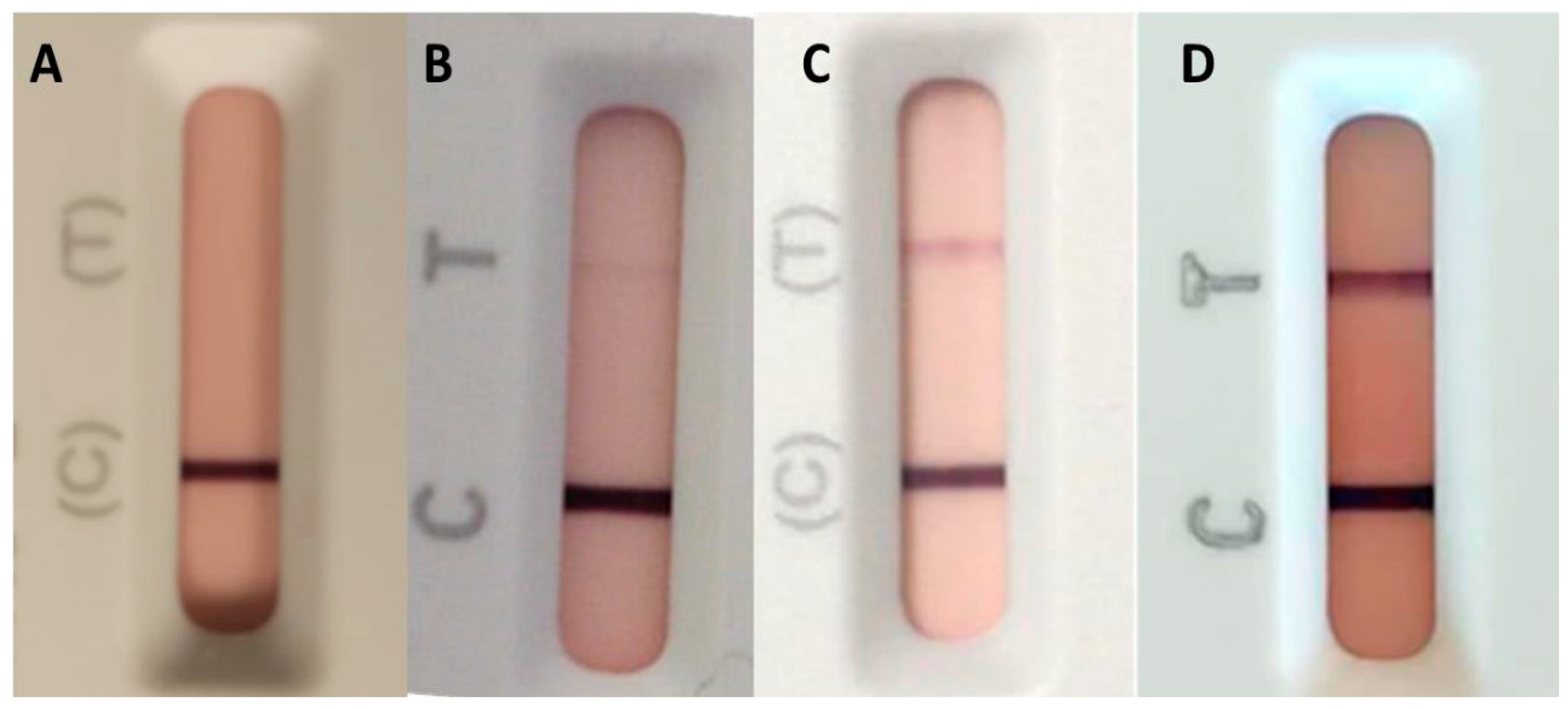
2.3. Anti-tTG-IgA LFIA in Whole Blood
2.4. Pediatric Determination
2.5. Monitoring the Evolution of HR-QoL and Symptoms
2.6. Statistics
3. Results
3.1. Subjects
3.2. Clinical Evaluation
3.3. Gluten Consumption Habits
3.4. Anti-tTG-IgA Determination in Blood
3.5. Celiac Disease Diagnosis
3.6. Evolution of the HR-QoL and Symptoms
4. Discussion
Author Contributions
Funding
Institutional Review Board Statement
Informed Consent Statement
Data Availability Statement
Conflicts of Interest
References
- Ludvigsson, J.F.; Leffler, D.A.; Bai, J.C.; Biagi, F.; Fasano, A.; Green, P.H.R.; Hadjivassiliou, M.; Kaukinen, K.; Kelly, C.P.; Leonard, J.N.; et al. The Oslo definitions for coeliac disease and related terms. Gut 2013, 62, 43–52. [Google Scholar] [CrossRef]
- Lindfors, K.; Ciacci, C.; Kurppa, K.; Lundin, K.E.A.; Makharia, G.K.; Mearin, M.L.; Murray, J.A.; Verdu, E.F.; Kaukinen, K. Coeliac disease. Nat. Rev. Dis. Prim. 2015, 5, 3. [Google Scholar] [CrossRef] [PubMed]
- Cichewicz, A.B.; Mearns, E.S.; Taylor, A.; Boulanger, T.; Gerber, M.; Leffler, D.A.; Drahos, J.; Sanders, D.S.; Thomas Craig, K.J.; Lebwohl, B. Diagnosis and Treatment Patterns in Celiac Disease. Dig. Dis. Sci. 2019, 64, 2095–2106. [Google Scholar] [CrossRef]
- Whitburn, J.; Rao, S.R.; Paul, S.P.; Sandhu, B.K. Diagnosis of celiac disease is being missed in over 80% of children particularly in those from socioeconomically deprived backgrounds. Eur. J. Pediatr. 2021, 180, 1941–1946. [Google Scholar] [CrossRef]
- Riznik, P.; De Leo, L.; Dolinsek, J.; Gyimesi, J.; Klemenak, M.; Koletzko, B.; Koletzko, S.; Korponay-Szabó, I.R.; Krencnik, T.; Not, T.; et al. Diagnostic Delays in Children with Coeliac Disease in the Central European Region. J. Pediatr. Gastroenterol. Nutr. 2019, 69, 443–448. [Google Scholar] [CrossRef]
- Ravikumara, M.; Nootigattu, V.K.T.; Sandhu, B.K. Ninety Percent of Celiac Disease Is Being Missed. J. Pediatr. Gastroenterol. Nutr. 2007, 45, 497–499. [Google Scholar] [CrossRef]
- Singh, P.; Arora, A.; Strand, T.A.; Leffler, D.A.; Catassi, C.; Green, P.H.; Kelly, C.P.; Ahuja, V.; Makharia, G.K. Global Prevalence of Celiac Disease: Systematic Review and Meta-analysis. Clin. Gastroenterol. Hepatol. 2018, 16, 823–836.e2. [Google Scholar] [CrossRef]
- Fuchs, V.; Kurppa, K.; Huhtala, H.; Mäki, M.; Kekkonen, L.; Kaukinen, K. Delayed celiac disease diagnosis predisposes to reduced quality of life and incremental use of health care services and medicines: A prospective nationwide study. United Eur. Gastroenterol. J. 2018, 6, 567–575. [Google Scholar] [CrossRef]
- Kvamme, J.-M.; Sørbye, S.; Florholmen, J.; Halstensen, T.S. Population-based screening for celiac disease reveals that the majority of patients are undiagnosed and improve on a gluten-free diet. Sci. Rep. 2022, 12, 12647. [Google Scholar] [CrossRef]
- Jansson-Knodell, C.L.; Hujoel, I.A.; West, C.P.; Taneja, V.; Prokop, L.J.; Rubio-Tapia, A.; Murray, J.A. Sex Difference in Celiac Disease in Undiagnosed Populations: A Systematic Review and Meta-analysis. Clin. Gastroenterol. Hepatol. 2019, 17, 1954–1968.e13. [Google Scholar] [CrossRef]
- Choung, R.S.; Unalp-Arida, A.; Ruhl, C.E.; Brantner, T.L.; Everhart, J.E.; Murray, J.A. Less Hidden Celiac Disease but Increased Gluten Avoidance Without a Diagnosis in the USA: Findings from the National Health and Nutrition Examination Surveys from 2009 to 2014. Mayo Clin. Proc. 2016, 92, 30–38. [Google Scholar] [CrossRef]
- Collin, P.; Vilppula, A.; Luostarinen, L.; Holmes, G.K.T.; Kaukinen, K. Review article: Coeliac disease in later life must not be missed. Aliment. Pharmacol. Ther. 2018, 47, 563–572. [Google Scholar] [CrossRef]
- Lebwohl, B.; Rubio-Tapia, A. Epidemiology, Presentation, and Diagnosis of Celiac Disease. Gastroenterology 2021, 160, 63–75. [Google Scholar] [CrossRef]
- Husby, S.; Koletzko, S.; Korponay-Szabó, I.; Kurppa, K.; Mearin, M.L.; Ribes-Koninckx, C.; Shamir, R.; Troncone, R.; Auricchio, R.; Castillejo, G.; et al. European Society Paediatric Gastroenterology, Hepatology and Nutrition Guidelines for Diagnosing Coeliac Disease 2020. J. Pediatr. Gastroenterol. Nutr. 2020, 70, 141–156. [Google Scholar] [CrossRef]
- Al-Toma, A.; Volta, U.; Auricchio, R.; Castillejo, G.; Sanders, D.S.; Cellier, C.; Mulder, C.J.; Lundin, K.E.A. European Society for the Study of Coeliac Disease (ESsCD) guideline for coeliac disease and other gluten-related disorders. United Eur. Gastroenterol. J. 2019, 7, 583–613. [Google Scholar] [CrossRef]
- Badizadegan, K.; Vanlandingham, D.M.; Hampton, W.; Thompson, K.M. Value of biopsy in a cohort of children with high-titer celiac serologies: Observation of dynamic policy differences between Europe and North America. BMC Health Serv. Res. 2020, 20, 962. [Google Scholar] [CrossRef]
- Riznik, P.; Balogh, M.; Bódi, P.; De Leo, L.; Dolinsek, J.; Guthy, I.; Gyimesi, J.; Horváth, Á.; Kis, I.; Klemenak, M.; et al. The Use of Biopsy and “No-Biopsy” Approach for Diagnosing Paediatric Coeliac Disease in the Central European Region. Gastroenterol. Res. Pract. 2019, 2019, 9370397. [Google Scholar] [CrossRef]
- Anderson, R.P. Review article: Diagnosis of coeliac disease: A perspective on current and future approaches. Aliment. Pharmacol. Ther. 2022, 56, S18–S37. [Google Scholar] [CrossRef]
- Caio, G.; Volta, U.; Sapone, A.; Leffler, D.A.; De Giorgio, R.; Catassi, C.; Fasano, A. Celiac disease: A comprehensive current review. BMC Med. 2019, 17, 142. [Google Scholar] [CrossRef] [PubMed]
- Elwenspoek, M.M.C.; Jackson, J.; O’Donnell, R.; Sinobas, A.; Dawson, S.; Everitt, H.; Gillett, P.; Hay, A.D.; Lane, D.L.; Mallett, S.; et al. The accuracy of diagnostic indicators for coeliac disease: A systematic review and meta-analysis. PLoS ONE 2021, 16, e0258501. [Google Scholar] [CrossRef] [PubMed]
- Kivelä, L.; Kurppa, K. Screening for coeliac disease in children. Acta Paediatr. 2018, 107, 1879–1887. [Google Scholar] [CrossRef]
- Viljamaa, M.; Collin, P.; Huhtala, H.; Sievänen, H.; Mäki, M.; Kaukinen, K. Is coeliac disease screening in risk groups justified? A fourteen-year follow-up with special focus on compliance and quality of life. Aliment. Pharmacol. Ther. 2005, 22, 317–324. [Google Scholar] [CrossRef]
- Wilson, J.; Jungner, G. Principles and Practice of Screening for Disease; World Health Organization: Geneva, Switzerland, 1968; Volume 65, pp. 281–393. [Google Scholar]
- Singh, P.; Arora, S.; Lal, S.; Strand, T.A.; Makharia, G.K. Risk of Celiac Disease in the First- and Second-Degree Relatives of Patients with Celiac Disease: A Systematic Review and Meta-Analysis. Am. J. Gastroenterol. 2015, 110, 1539–1548. [Google Scholar] [CrossRef]
- Almallouhi, E.; King, K.S.; Patel, B.; Wi, C.; Juhn, Y.J.; Murray, J.A.; Absah, I. Increasing Incidence and Altered Presentation in a Population-based Study of Pediatric Celiac Disease in North America. J. Pediatr. Gastroenterol. Nutr. 2017, 65, 432–437. [Google Scholar] [CrossRef]
- Fasano, A.; Evans, K. Head to Head: Should we screen for coeliac disease? BMJ Br. Med. J. 2009, 339, 998–999. [Google Scholar] [CrossRef]
- Aggarwal, S.; Lebwohl, B.; Green, P.H.R. Screening for celiac disease in average-risk and high-risk populations. Ther. Adv. Gastroenterol. 2012, 5, 37–47. [Google Scholar] [CrossRef]
- Rubio–Tapia, A.; Kyle, R.A.; Kaplan, E.L.; Johnson, D.R.; Page, W.; Erdtmann, F.; Brantner, T.L.; Kim, W.R.; Phelps, T.K.; Lahr, B.D.; et al. Increased Prevalence and Mortality in Undiagnosed Celiac Disease. Gastroenterology 2009, 137, 88–93. [Google Scholar] [CrossRef]
- Mariné, M.; Farre, C.; Alsina, M.; Vilar, P.; Cortijo, M.; Salas, A.; Fernández-Bañares, F.; Rosinach, M.; Santaolalla, R.; Loras, C.; et al. The prevalence of coeliac disease is significantly higher in children compared with adults. Aliment. Pharmacol. Ther. 2011, 33, 477–486. [Google Scholar] [CrossRef]
- King, J.A.; Jeong, J.; Underwood, F.E.; Quan, J.; Panaccione, N.; Windsor, J.W.; Coward, S.; Debruyn, J.; Ronksley, P.E.; Shaheen, A.-A.; et al. Incidence of Celiac Disease Is Increasing Over Time: A Systematic Review and Meta-analysis. Am. J. Gastroenterol. 2020, 115, 507–525. [Google Scholar] [CrossRef]
- Högberg, L.; Grodzinsky, E.; Stenhammar, L. Better Dietary Compliance in Patients with Coeliac Disease Diagnosed in Early Childhood. Scand. J. Gastroenterol. 2003, 38, 751–754. [Google Scholar] [CrossRef] [PubMed]
- Szakács, Z.; Mátrai, P.; Hegyi, P.; Szabó, I.; Vincze, Á.; Balaskó, M.; Mosdósi, B.; Sarlós, P.; Simon, M.; Márta, K.; et al. Younger age at diagnosis predisposes to mucosal recovery in celiac disease on a gluten-free diet: A meta-analysis. PLoS ONE 2017, 12, e0187526. [Google Scholar] [CrossRef] [PubMed]
- Gasbarrini, A.; Torre, E.S.; Trivellini, C.; De Carolis, S.; Caruso, A.; Gasbarrini, G. Recurrent spontaneous abortion and intrauterine fetal growth retardation as symptoms of coeliac disease. Lancet 2000, 356, 399–400. [Google Scholar] [CrossRef] [PubMed]
- Tio, M.; Cox, M.R.; Eslick, G.D. Meta-analysis: Coeliac disease and the risk of all-cause mortality, any malignancy and lymphoid malignancy. Aliment. Pharmacol. Ther. 2012, 35, 540–551. [Google Scholar] [CrossRef]
- Ukkola, A.; Kurppa, K.; Collin, P.; Huhtala, H.; Forma, L.; Kekkonen, L.; Mäki, M.; Kaukinen, K. Use of health care services and pharmaceutical agents in coeliac disease: A prospective nationwide study. BMC Gastroenterol. 2012, 12, 136. [Google Scholar] [CrossRef]
- Mattila, E.; Kurppa, K.; Ukkola, A.; Collin, P.; Huhtala, H.; Forma, L.; Lähdeaho, M.-L.; Kekkonen, L.; Mäki, M.; Kaukinen, K. Burden of Illness and Use of Health Care Services Before and After Celiac Disease Diagnosis in Children. J. Pediatr. Gastroenterol. Nutr. 2013, 57, 53–56. [Google Scholar] [CrossRef]
- Long, K.H.; Rubio-Tapia, A.; Wagie, A.E.; Iii, L.J.M.; Lahr, B.D.; Van Dyke, C.T.; Murray, J.A. The economics of coeliac disease: A population-based study. Aliment. Pharmacol. Ther. 2010, 32, 261–269. [Google Scholar] [CrossRef]
- Norström, F.; Lindholm, L.; Sandström, O.; Nordyke, K.; Ivarsson, A. Delay to celiac disease diagnosis and its implications for health-related quality of life. BMC Gastroenterol. 2011, 11, 118. [Google Scholar] [CrossRef]
- Vilppula, A.; Kaukinen, K.; Luostarinen, L.; Krekelä, I.; Patrikainen, H.; Valve, R.; Luostarinen, M.; Laurila, K.; Mäki, M.; Collin, P. Clinical benefit of gluten-free diet in screen-detected older celiac disease patients. BMC Gastroenterol. 2011, 11, 136. [Google Scholar] [CrossRef]
- EuroQol Research Foundation. EQ-5D-Y User Guide—How to Apply, Score, and Present Results from the EQ-5D-Y Version; EuroQol Research Foundation: Rotterdam, The Netherlands, 2020; pp. 1–38. [Google Scholar]
- Gusi, N.; Perez-Sousa, M.A.; Gozalo-Delgado, M.; Olivares, P.R. Validez y fiabilidad de la versión proxy del EQ-5D-Y en español. An. Pediatr. 2014, 81, 212–219. [Google Scholar] [CrossRef]
- Bogaert, L.; Cauchie, M.; Van Hoovels, L.; Vermeersch, P.; Fierz, W.; De Hertogh, G.; Hoffman, I.; Bossuyt, X. Optimization of serologic diagnosis of celiac disease in the pediatric setting. Autoimmun. Rev. 2020, 19, 102513. [Google Scholar] [CrossRef]
- Singh, P.; Wadhwa, N.; Chaturvedi, M.K.; Bhatia, V.; Saini, S.; Tandon, N.; Makharia, G.K.; Maki, M.; Not, T.; Phillips, A.; et al. Validation of point-of-care testing for coeliac disease in children in a tertiary hospital in north India. Arch. Dis. Child. 2014, 99, 1004–1008. [Google Scholar] [CrossRef]
- Mooney, P.D.; Wong, S.H.; Johnston, A.J.; Kurien, M.; Avgerinos, A.; Sanders, D.S. Increased Detection of Celiac Disease with Measurement of Deamidated Gliadin Peptide Antibody Before Endoscopy. Clin. Gastroenterol. Hepatol. 2015, 13, 1278–1284.e1. [Google Scholar] [CrossRef][Green Version]
- Mašić, M.; Musil, V.; Petričević Vidović, T.; Sičaja, E.; Hojsak, I.; Jadrešin, O.; Kolaček, S.; Mišak, Z. Point-of-Care Screening for Coeliac Disease in Schoolchildren Reveals Higher Disease Prevalence in Croatia. Healthcare 2023, 11, 64. [Google Scholar] [CrossRef]
- Esteve, M.; Rosinach, M.; Llordés, M.; Calpe, J.; Montserrat, G.; Pujals, M.; Cela, A.; Carrasco, A.; Ibarra, M.; Ruiz-Ramirez, P.; et al. Case-finding in primary care for coeliac disease: Accuracy and cost-effectiveness of a rapid point-of-care test. United Eur. Gastroenterol. J. 2018, 6, 855–865. [Google Scholar] [CrossRef]
- Korponay-Szabó, I.R.; Szabados, K.; Pusztai, J.; Uhrin, K.; Ludmány, É.; Nemes, É.; Kaukinen, K.; Kapitány, A.; Koskinen, L.; Sipka, S.; et al. Population screening for coeliac disease in primary care by district nurses using a rapid antibody test: Diagnostic accuracy and feasibility study. BMJ 2007, 335, 1244–1247. [Google Scholar] [CrossRef]
- Kurppa, K.; Paavola, A.; Collin, P.; Sievänen, H.; Laurila, K.; Huhtala, H.; Saavalainen, P.; Mäki, M.; Kaukinen, K. Benefits of a Gluten-Free Diet for Asymptomatic Patients with Serologic Markers of Celiac Disease. Gastroenterology 2014, 147, 610–617.e1. [Google Scholar] [CrossRef]



| Volunteer | Onset of the Presence of Symptoms and Signs and Kinship with Celiac Disease Sufferers | ||||||||
|---|---|---|---|---|---|---|---|---|---|
| Sex | Age | Iron-Deficiency Anemia | Abdominal Pain | Diarrhoea or Chronic Constipation | Dermatitis Herpetiformis | Growth Stagnation | Irritability/Headache | Neuropathy | Celiac Disease Family |
| Male | 4 | n/a | n/a | n/a | n/a | n/a | n/a | n/a | Mother |
| Male | 7 | n/a | n/a | n/a | n/a | n/a | n/a | n/a | No |
| Male | 10 | n/a | >5 years | >5 years | n/a | n/a | n/a | >3 months 1 | No |
| Male | 11 | n/a | n/a | n/a | n/a | n/a | n/a | n/a | Mother 2 |
| Male | 13 | n/a | n/a | n/a | n/a | n/a | n/a | n/a | Sister 2 |
| Female | 2 | unknown 3 | 1–5 years | >3 months | n/a | 1–5 years | n/a | n/a | No |
| Female | 3 | unknown 3 | 1–5 years | n/a | n/a | 1–5 years | n/a | n/a | No |
| Female | 7 | unknown 3 | n/a | n/a | n/a | n/a | n/a | n/a | Brother 2 |
| Female | 9 | n/a | n/a | n/a | n/a | n/a | n/a | n/a | No |
| Female | 11 | n/a | Unknown 3 | >5 years | >5 years 1 | 1–5 years | >5 years | n/a | No |
| Female | 14 | n/a | n/a | n/a | n/a | n/a | n/a | n/a | No |
| Ratio of CD-diagnosed symptomatic volunteers | 3/5 | 4/5 | 3/5 | 1/5 | 3/5 | 1/5 | 1/5 | n/a | |
| Ratio of CD-diagnosed volunteers | 3/11 | 4/11 | 3/11 | 1/11 | 3/11 | 1/11 | 1/11 | 4/11 | |
| Total | CD-FDR 1, Risk, and Symptomatic | Other Risk Factors | CD-FDR 1 | Symptomatic | Non-CD-FDR 2, Non-Risk, and Asymptomatic | ||
|---|---|---|---|---|---|---|---|
| Prevalence | n | 11/576 | 0/20 | 0/3 | 1/53 | 4/151 | 6/387 |
| % | 1.91% (95%CI: 1.08–2.74%) | 0% | 0% | 1.89% (95%CI: 0.00–4.95%) | 2.65% (95%CI: 0.67–4.63%) | 1.55% (95%CI: 0.62–2.49%) | |
| PPV 3 (ratio) | All | 11/12 | n/a | n/a | 1/1 | 4/4 | 6/8 |
| Saturated test line | 10/10 | n/a | n/a | 1/1 | 3/3 | 6/6 | |
| PPV 3 (%) | All | 91.67% (95%CI: 71.86–100%) | n/a | n/a | 100% (95% CI: 50.00–100%) | 100% (95% CI: 87.50–100%) | 75.00% (95% CI: 38.74–100%) |
| Saturated test line | 100% (95%IC: 95.45–100%) | n/a | n/a | 100% (95% CI: 50.00–100%) | 100% (95% CI: 83.33–100%) | 100% (95% CI: 91.67–100%) | |
| Probability of diagnosis following the ESPGHAN 4 criteria | n/a | High | Medium-High | Medium-High | Medium-High | Low | |
Disclaimer/Publisher’s Note: The statements, opinions and data contained in all publications are solely those of the individual author(s) and contributor(s) and not of MDPI and/or the editor(s). MDPI and/or the editor(s) disclaim responsibility for any injury to people or property resulting from any ideas, methods, instructions or products referred to in the content. |
© 2023 by the authors. Licensee MDPI, Basel, Switzerland. This article is an open access article distributed under the terms and conditions of the Creative Commons Attribution (CC BY) license (https://creativecommons.org/licenses/by/4.0/).
Share and Cite
Mendia, I.; Segura, V.; Ruiz-Carnicer, Á.; Coto, L.; Negrete, M.; Long, J.C.D.; Reyes, J.; Amil, B.; Salamanca, I.; Comino, I.; et al. Rapid Anti-tTG-IgA Screening Test for Early Diagnosis of Celiac Disease in Pediatric Populations. Nutrients 2023, 15, 4926. https://doi.org/10.3390/nu15234926
Mendia I, Segura V, Ruiz-Carnicer Á, Coto L, Negrete M, Long JCD, Reyes J, Amil B, Salamanca I, Comino I, et al. Rapid Anti-tTG-IgA Screening Test for Early Diagnosis of Celiac Disease in Pediatric Populations. Nutrients. 2023; 15(23):4926. https://doi.org/10.3390/nu15234926
Chicago/Turabian StyleMendia, Irati, Verónica Segura, Ángela Ruiz-Carnicer, Laura Coto, María Negrete, Joshua C. D. Long, Joaquin Reyes, Benito Amil, Ignacio Salamanca, Isabel Comino, and et al. 2023. "Rapid Anti-tTG-IgA Screening Test for Early Diagnosis of Celiac Disease in Pediatric Populations" Nutrients 15, no. 23: 4926. https://doi.org/10.3390/nu15234926
APA StyleMendia, I., Segura, V., Ruiz-Carnicer, Á., Coto, L., Negrete, M., Long, J. C. D., Reyes, J., Amil, B., Salamanca, I., Comino, I., Cebolla, Á., & Sousa, C. (2023). Rapid Anti-tTG-IgA Screening Test for Early Diagnosis of Celiac Disease in Pediatric Populations. Nutrients, 15(23), 4926. https://doi.org/10.3390/nu15234926

