Ginsenosides and Polysaccharides from Ginseng Co-Fermented with Multi-Enzyme-Coupling Probiotics Improve In Vivo Immunomodulatory Effects
Abstract
1. Introduction
2. Materials and Methods
2.1. Micro-Organisms and Materials
2.2. Pretreatment of Ginseng
2.3. Selection of Strains
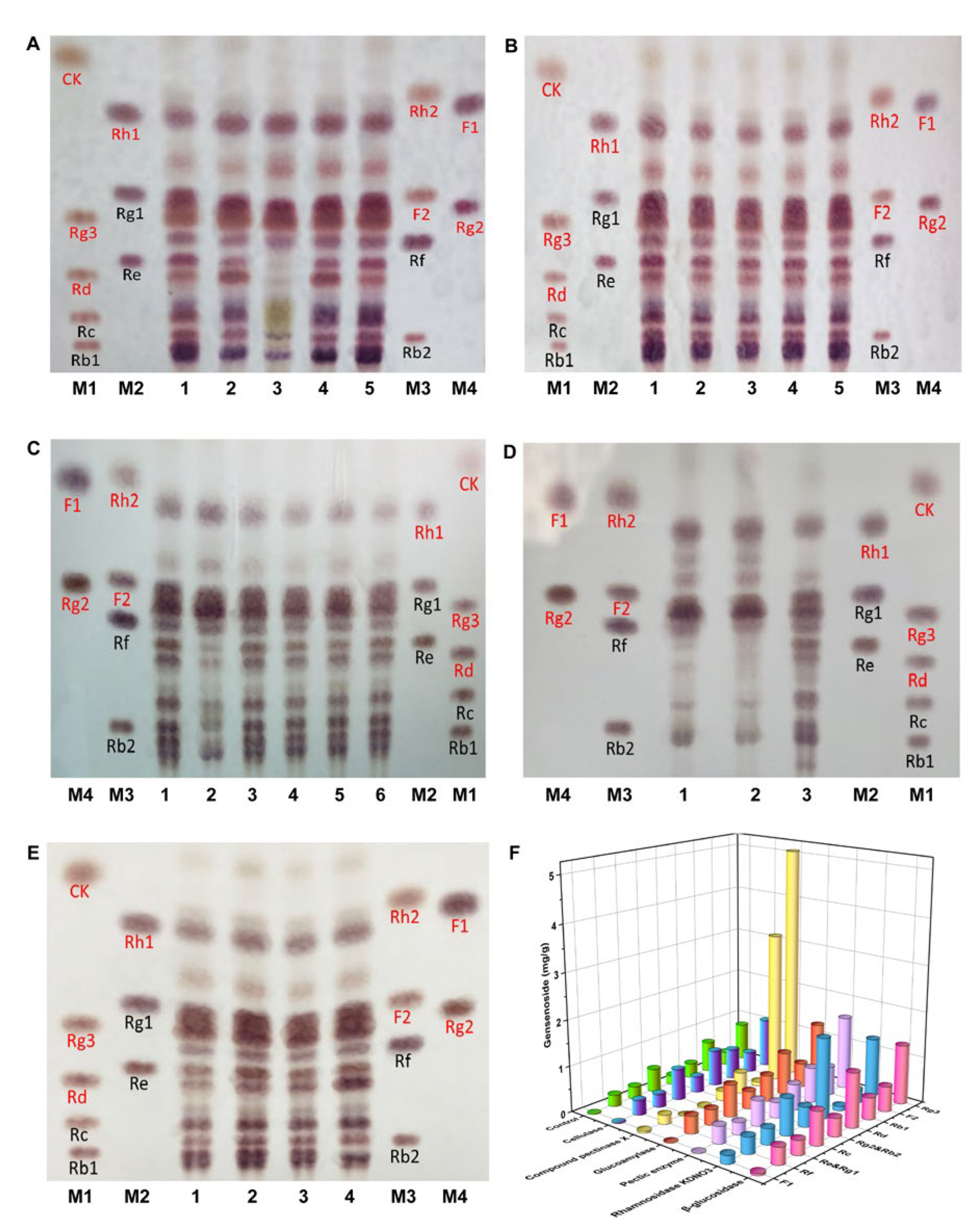
2.4. Selection of Enzyme Agents
2.5. TLC and HPLC Analysis Method
2.6. Bradford Analysis Method
2.7. Orthogonal Test and Validation Tests
2.8. Co-Fermentation using Multi-Enzyme-Coupling Probiotics
2.9. Animal Studies
2.10. Evaluation of the Immunomodulatory Effect
2.11. Analysis of Intestinal Flora
2.12. Data Processing
3. Results and Discussion
3.1. Selection of Strain and Enzyme Agents
3.2. Orthogonal Experiment
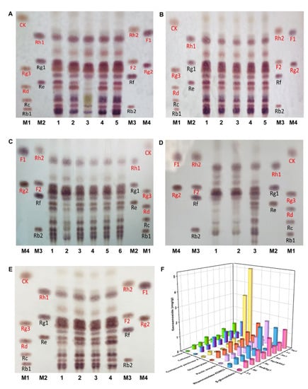
3.3. Ginseng Co-Fermentation using Multi-Enzyme-Coupling Probiotics
3.4. Immunomodulatory Effects In Vivo
4. Conclusions
Supplementary Materials
Author Contributions
Funding
Institutional Review Board Statement
Informed Consent Statement
Data Availability Statement
Conflicts of Interest
References
- Singh, P.; Kim, Y.J.; Wang, C.; Mathiyalagan, R.; Yang, D.C. The development of a green approach for the biosynthesis of silver and gold nanoparticles by using Panax ginseng root extract, and their biological applications. Artif. Cells Nanomed. Biotechnol. 2016, 44, 1150–1157. [Google Scholar] [CrossRef] [PubMed]
- Fan, Z.; Xiao, S.; Hu, H.; Zhang, P.; Chao, J.; Guo, S.; Hou, D.; Xu, J. Endophytic bacterial and fungal community compositions in different organs of ginseng (Panax ginseng). Arch. Microbiol. 2022, 204, 208. [Google Scholar] [CrossRef] [PubMed]
- Jin, Y.; Cui, R.; Zhao, L.; Fan, J.; Li, B. Mechanisms of Panax ginseng action as an antidepressant. Cell Prolif. 2019, 52, e12696. [Google Scholar] [CrossRef] [PubMed]
- Zheng, M.; Xin, Y.; Li, Y.; Xu, F.; Xi, X.; Guo, H.; Cui, X.; Cao, H.; Zhang, X.; Han, C. Ginsenosides: A Potential Neuroprotective Agent. Biomed. Res. Int. 2018, 2018, 8174345. [Google Scholar] [CrossRef] [PubMed]
- Ratan, Z.A.; Haidere, M.F.; Hong, Y.H.; Park, S.H.; Lee, J.O.; Lee, J.; Cho, J.Y. Pharmacological potential of ginseng and its major component ginsenosides. J. Ginseng. Res. 2021, 45, 199–210. [Google Scholar] [CrossRef]
- Wang, H.; Zhang, S.; Zhai, L.; Sun, L.; Zhao, D.; Wang, Z.; Li, X. Ginsenoside extract from ginseng extends lifespan and health span in Caenorhabditis elegans. Food Funct. 2021, 12, 6793–6808. [Google Scholar] [CrossRef]
- Chen, Y.Y.; Liu, Q.P.; An, P.; Jia, M.; Luan, X.; Tang, J.Y.; Zhang, H. Ginsenoside Rd: A promising natural neuroprotective agent. Phytomedicine 2022, 95, 153883. [Google Scholar] [CrossRef]
- Bae, E.A.; Han, M.J.; Choo, M.K.; Park, S.Y.; Kim, D.H. Metabolism of 20(S)- and 20(R)-ginsenoside Rg3 by human intestinal bacteria and its relation to in vitro biological activities. Biol. Pharm. Bull. 2002, 25, 58–63. [Google Scholar] [CrossRef]
- Zheng, M.M.; Xu, F.X.; Li, Y.J.; Xi, X.Z.; Cui, X.W.; Han, C.C.; Zhang, X.L. Study on Transformation of Ginsenosides in Different Methods. Biomed. Res. Int. 2017, 2017, 8601027. [Google Scholar] [CrossRef]
- Park, C.S.; Yoo, M.H.; Noh, K.H.; Oh, D.K. Biotransformation of ginsenosides by hydrolyzing the sugar moieties of ginsenosides using microbial glycosidases. Appl. Microbiol. Biotechnol. 2010, 87, 9–19. [Google Scholar] [CrossRef]
- Piao, X.M.; Huo, Y.; Kang, J.P.; Mathiyalagan, R.; Zhang, H.; Yang, D.U.; Kim, M.; Yang, D.C.; Kang, S.C.; Wang, Y.P. Diversity of Ginsenoside Profiles Produced by Various Processing Technologies. Molecules 2020, 25, 4390. [Google Scholar] [CrossRef] [PubMed]
- Wang, N.; Wang, X.; He, M.; Zheng, W.; Qi, D.; Zhang, Y.; Han, C.C. Ginseng polysaccharides: A potential neuroprotective agent. J. Ginseng. Res. 2021, 45, 211–217. [Google Scholar] [CrossRef] [PubMed]
- Li, B.; Zhang, N.; Feng, Q.; Li, H.; Wang, D.; Ma, L.; Liu, S.; Chen, C.; Wu, W.; Jiao, L. The core structure characterization and of ginseng neutral polysaccharide with the immune-enhancing activity. Int. J. Biol. Macromol. 2019, 123, 713–722. [Google Scholar] [CrossRef]
- Sun, L.; Wu, D.; Ning, X.; Yang, G.; Lin, Z.; Tian, M.; Zhou, Y. alpha-Amylase-assisted extraction of polysaccharides from Panax ginseng. Int. J. Biol. Macromol. 2015, 75, 152–157. [Google Scholar] [CrossRef] [PubMed]
- Huang, J.; Liu, D.; Wang, Y.; Liu, L.; Li, J.; Yuan, J.; Jiang, Z.; Jiang, Z.; Hsiao, W.W.; Liu, H.; et al. Ginseng polysaccharides alter the gut microbiota and kynurenine/tryptophan ratio, potentiating the antitumour effect of antiprogrammed cell death 1/programmed cell death ligand 1 (anti-PD-1/PD-L1) immunotherapy. Gut 2022, 71, 734–745. [Google Scholar] [CrossRef]
- Margolis, K.G.; Gershon, M.D.; Bogunovic, M. Cellular Organization of Neuroimmune Interactions in the Gastrointestinal Tract. Trends Immunol. 2016, 37, 487–501. [Google Scholar] [CrossRef] [PubMed]
- Zhou, B.; Yuan, Y.; Zhang, S.; Guo, C.; Li, X.; Li, G.; Xiong, W.; Zeng, Z. Intestinal Flora and Disease Mutually Shape the Regional Immune System in the Intestinal Tract. Front. Immunol. 2020, 11, 575. [Google Scholar] [CrossRef] [PubMed]
- Kim, S.K.; Guevarra, R.B.; Kim, Y.T.; Kwon, J.; Kim, H.; Cho, J.H.; Kim, H.B.; Lee, J.H. Role of Probiotics in Human Gut Microbiome-Associated Diseases. J. Microbiol. Biotechnol. 2019, 29, 1335–1340. [Google Scholar] [CrossRef]
- Li, K.L.; Wang, B.Z.; Li, Z.P.; Li, Y.L.; Liang, J.J. Alterations of intestinal flora and the effects of probiotics in children with recurrent respiratory tract infection. World J. Pediatr. 2019, 15, 255–261. [Google Scholar] [CrossRef]
- La Fata, G.; Weber, P.; Mohajeri, M.H. Probiotics and the Gut Immune System: Indirect Regulation. Probiotics Antimicrob. Proteins 2018, 10, 11–21. [Google Scholar] [CrossRef]
- Li, Y.; Mehta, R.; Messing, J. A new high-throughput assay for determining soluble sugar in sorghum internode-extracted juice. Planta 2018, 248, 785–793. [Google Scholar] [CrossRef] [PubMed]
- Prasertsung, I.; Chutinate, P.; Watthanaphanit, A.; Saito, N.; Damrongsakkul, S. Conversion of cellulose into reducing sugar by solution plasma process (SPP). Carbohydr. Polym. 2017, 172, 230–236. [Google Scholar] [CrossRef] [PubMed]
- Kielkopf, C.L.; Bauer, W.; Urbatsch, I.L. Bradford Assay for Determining Protein Concentration. Cold Spring Harb. Protoc. 2020, 2020, 102269. [Google Scholar] [CrossRef]
- Chu, Q.; Zhang, Y.; Chen, W.; Jia, R.; Yu, X.; Wang, Y.; Li, Y.; Liu, Y.; Ye, X.; Yu, L.; et al. Apios americana Medik flowers polysaccharide (AFP) alleviate Cyclophosphamide-induced immunosuppression in ICR mice. Int. J. Biol. Macromol. 2020, 144, 829–836. [Google Scholar] [CrossRef] [PubMed]
- Li, W.; Hu, X.; Wang, S.; Jiao, Z.; Sun, T.; Liu, T.; Song, K. Characterization and anti-tumor bioactivity of astragalus polysaccharides by immunomodulation. Int. J. Biol. Macromol. 2020, 145, 985–997. [Google Scholar] [CrossRef] [PubMed]
- Owens, J.A.; Saeedi, B.J.; Naudin, C.R.; Hunter-Chang, S.; Barbian, M.E.; Eboka, R.U.; Askew, L.; Darby, T.M.; Robinson, B.S.; Jones, R.M. Lactobacillus rhamnosus GG Orchestrates an Antitumor Immune Response. Cell. Mol. Gastroenterol. Hepatol. 2021, 12, 1311–1327. [Google Scholar] [CrossRef] [PubMed]
- Ashraf, R.; Shah, N.P. Immune system stimulation by probiotic microorganisms. Crit. Rev. Food Sci. Nutr. 2014, 54, 938–956. [Google Scholar] [CrossRef]
- Jiang, Z.; Li, W.; Su, W.; Wen, C.; Gong, T.; Zhang, Y.; Wang, Y.; Jin, M.; Lu, Z. Protective Effects of Bacillus amyloliquefaciens 40 Against Clostridium perfringens Infection in Mice. Front. Nutr. 2021, 8, 733591. [Google Scholar] [CrossRef]
- Song, Y.R.; Sung, S.K.; Jang, M.; Lim, T.G.; Cho, C.W.; Han, C.J.; Hong, H.D. Enzyme-assisted extraction, chemical characteristics, and immunostimulatory activity of polysaccharides from Korean ginseng (Panax ginseng Meyer). Int. J. Biol. Macromol. 2018, 116, 1089–1097. [Google Scholar] [CrossRef]
- Zhang, Z.; Liu, L.; Tang, H.; Jiao, W.; Zeng, S.; Xu, Y.; Zhang, Q.; Sun, Z.; Mukherjee, A.; Zhang, X.; et al. Immunosuppressive effect of the gut microbiome altered by high-dose tacrolimus in mice. Am. J. Transplant. 2018, 18, 1646–1656. [Google Scholar] [CrossRef]






| No. | Cellulase (A) | Compound Pectinase X (B) | Flavor Protease (C) | Lactobacillus rhamnosus (CFU/mL) |
|---|---|---|---|---|
| 1 | 1 | 1 | 1 | 9.1 × 107 |
| 2 | 1 | 2 | 2 | 8.2 × 107 |
| 3 | 1 | 3 | 3 | 5.5 × 107 |
| 4 | 2 | 1 | 2 | 1.1 × 108 |
| 5 | 2 | 2 | 3 | 8.3 × 107 |
| 6 | 2 | 3 | 1 | 7.4 × 107 |
| 7 | 3 | 1 | 3 | 1.3 × 107 |
| 8 | 3 | 2 | 1 | 1.1 × 107 |
| 9 | 3 | 3 | 2 | 9.6 × 106 |
| K1 | 7.9 × 107 | 7.2 × 107 | 5.9 × 107 | |
| K2 | 9.0 × 107 | 5.9 × 107 | 6.8 × 107 | |
| K3 | 1.1 × 107 | 4.6 × 107 | 5.1 × 107 | |
| R | 7.8 × 107 | 2.6 × 107 | 1.7 × 107 | |
| optimal level | A2 | B1 | C2 | |
| major factor | A > B > C | |||
| optimal formula | A2B1C2 | |||
| No. | Cellulase (A) | Compound Pectinase X (B) | Flavor Protease (C) | Bacillus amyloliquefaciens (CFU/mL) |
|---|---|---|---|---|
| 1 | 1 | 1 | 1 | 2.7 × 106 |
| 2 | 1 | 2 | 2 | 1.1 × 108 |
| 3 | 1 | 3 | 3 | 4.3 × 107 |
| 4 | 2 | 1 | 2 | 3.8 × 106 |
| 5 | 2 | 2 | 3 | 1.4 × 108 |
| 6 | 2 | 3 | 1 | 5.3 × 107 |
| 7 | 3 | 1 | 3 | 1.5 × 106 |
| 8 | 3 | 2 | 1 | 1.4 × 108 |
| 9 | 3 | 3 | 2 | 3.9 × 107 |
| K1 | 5.1 × 107 | 2.6 × 106 | 6.5 × 107 | |
| K2 | 6.5 × 107 | 1.3 × 108 | 5.0 × 107 | |
| K3 | 6.0 × 107 | 4.5 × 107 | 6.1 × 107 | |
| R | 1.4 × 107 | 1.3 × 108 | 1.5 × 107 | |
| optimal level | A2 | B2 | C1 | |
| major factor | B > C > A | |||
| optimal formula | A2B2C1 | |||
Disclaimer/Publisher’s Note: The statements, opinions and data contained in all publications are solely those of the individual author(s) and contributor(s) and not of MDPI and/or the editor(s). MDPI and/or the editor(s) disclaim responsibility for any injury to people or property resulting from any ideas, methods, instructions or products referred to in the content. |
© 2023 by the authors. Licensee MDPI, Basel, Switzerland. This article is an open access article distributed under the terms and conditions of the Creative Commons Attribution (CC BY) license (https://creativecommons.org/licenses/by/4.0/).
Share and Cite
Bai, S.; Zhang, G.; Han, Y.; Ma, J.; Bai, B.; Gao, J.; Zhang, Z. Ginsenosides and Polysaccharides from Ginseng Co-Fermented with Multi-Enzyme-Coupling Probiotics Improve In Vivo Immunomodulatory Effects. Nutrients 2023, 15, 2434. https://doi.org/10.3390/nu15112434
Bai S, Zhang G, Han Y, Ma J, Bai B, Gao J, Zhang Z. Ginsenosides and Polysaccharides from Ginseng Co-Fermented with Multi-Enzyme-Coupling Probiotics Improve In Vivo Immunomodulatory Effects. Nutrients. 2023; 15(11):2434. https://doi.org/10.3390/nu15112434
Chicago/Turabian StyleBai, Shaowei, Guangyun Zhang, Yaqin Han, Jianwei Ma, Bing Bai, Jingjie Gao, and Zuoming Zhang. 2023. "Ginsenosides and Polysaccharides from Ginseng Co-Fermented with Multi-Enzyme-Coupling Probiotics Improve In Vivo Immunomodulatory Effects" Nutrients 15, no. 11: 2434. https://doi.org/10.3390/nu15112434
APA StyleBai, S., Zhang, G., Han, Y., Ma, J., Bai, B., Gao, J., & Zhang, Z. (2023). Ginsenosides and Polysaccharides from Ginseng Co-Fermented with Multi-Enzyme-Coupling Probiotics Improve In Vivo Immunomodulatory Effects. Nutrients, 15(11), 2434. https://doi.org/10.3390/nu15112434

