The Synergistic Protective Effect of γ-Oryzanol (OZ) and N-Acetylcysteine (NAC) against Experimentally Induced NAFLD in Rats Entails Hypoglycemic, Antioxidant, and PPARα Stimulatory Effects
Abstract
1. Introduction
2. Materials and Methods
2.1. Animals
2.2. Drugs and Experimental Diets
2.3. Experimental Design
2.4. Dose Selection
2.5. Oral Glucose Tolerance Test (OGTT)
2.6. Blood and Tissue Sampling
2.7. Biochemical Analysis in the Serum
2.8. Biochemical Analysis of Lipids of All Fractions
2.9. Biochemical Analysis in the Liver Homogenates
2.10. Real-Time PCR
2.11. Histopathological Evaluation
2.12. Statistical Analysis
3. Results
3.1. Changes in Calorie Intake, Fat Deposits, and Body Weights
3.2. Changes in Fasting Glucose, Insulin, and Glucose Tolerance
3.3. Changes in SBP and Serum Parameters
3.4. Changes in Serum, Hepatic, and Stool Lipid Profile
3.5. Changes in Hepatic Antioxidant and Inflammatory Markers
3.6. Changes in mRNA Levels of PPARα and CPT-1
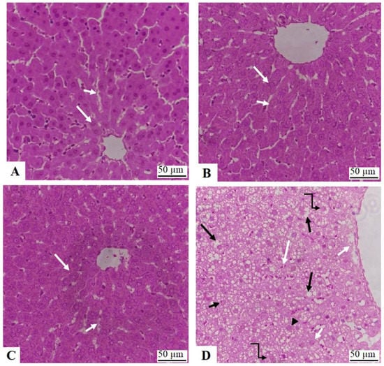
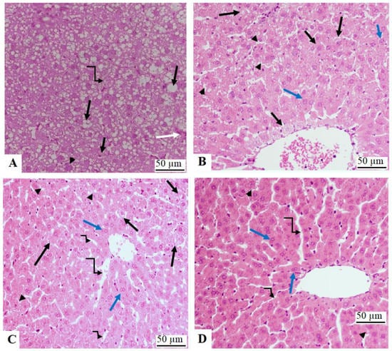
3.7. Histopathological Studies
4. Discussion
5. Conclusions
6. Limitations of the Study
Author Contributions
Funding
Institutional Review Board Statement
Informed Consent Statement
Data Availability Statement
Acknowledgments
Conflicts of Interest
References
- Recena Aydos, L.; Aparecida do Amaral, L.; Serafim de Souza, R.; Jacobowski, A.C.; Freitas dos Santos, E.; Rodrigues Macedo, M.L. Nonalcoholic fatty liver disease induced by high-fat diet in C57bl/6 models. Nutrients 2019, 11, 3067. [Google Scholar] [CrossRef] [PubMed]
- Nikolova, I.; Tencheva, J.; Voinikov, J.; Petkova, V.; Benbasat, N.; Danchev, N. Metamizole: A review profile of a well-known “forgotten” drug. Part I: Pharmaceutical and nonclinical profile. Biotechnol. Biotechnol. Equip. 2012, 26, 3329–3337. [Google Scholar] [CrossRef]
- Hong, T.; Chen, Y.; Li, X.; Lu, Y. The role and mechanism of oxidative stress and nuclear receptors in the development of NAFLD. Oxid. Med. Cell. Longev. 2021, 2021, 6889533. [Google Scholar] [CrossRef] [PubMed]
- Buzzetti, E.; Pinzani, M.; Tsochatzis, E.A. The multiple-hit pathogenesis of non-alcoholic fatty liver disease (NAFLD). Metabolism 2016, 65, 1038–1048. [Google Scholar] [CrossRef]
- Arroyave-Ospina, J.C.; Wu, Z.; Geng, Y.; Moshage, H. Role of oxidative stress in the pathogenesis of non-alcoholic fatty liver disease: Implications for prevention and therapy. Antioxidants 2021, 10, 174. [Google Scholar] [CrossRef]
- Donnelly, K.L.; Smith, C.I.; Schwarzenberg, S.J.; Jessurun, J.; Boldt, M.D.; Parks, E.J. Sources of fatty acids stored in liver and secreted via lipoproteins in patients with nonalcoholic fatty liver disease. J. Clin. Investig. 2005, 115, 1343–1351. [Google Scholar] [CrossRef]
- Friedman, S. Neuschwander-Tetri BA Rinella M, Sanyal AJ: Mechanisms of NAFLD development and therapeutic strategies. Nat. Med. 2018, 24, 908–909. [Google Scholar] [CrossRef]
- Peiseler, M.; Tacke, F. Inflammatory mechanisms underlying nonalcoholic steatohepatitis and the transition to hepatocellular carcinoma. Cancers 2021, 13, 730. [Google Scholar] [CrossRef]
- Lee, G.; Kim, Y.Y.; Jang, H.; Han, J.S.; Nahmgoong, H.; Park, Y.J.; Han, S.M.; Cho, C.; Lim, S.; Noh, J.-R. SREBP1c-PARP1 axis tunes anti-senescence activity of adipocytes and ameliorates metabolic imbalance in obesity. Cell Metab. 2022, 34, 702–718.e5. [Google Scholar] [CrossRef]
- Patsouris, D.; Reddy, J.K.; Müller, M.; Kersten, S. Peroxisome proliferator-activated receptor α mediates the effects of high-fat diet on hepatic gene expression. Endocrinology 2006, 147, 1508–1516. [Google Scholar] [CrossRef]
- Régnier, M.; Polizzi, A.; Smati, S.; Lukowicz, C.; Fougerat, A.; Lippi, Y.; Fouché, E.; Lasserre, F.; Naylies, C.; Bétoulières, C. Hepatocyte-specific deletion of Pparα promotes NAFLD in the context of obesity. Sci. Rep. 2020, 10, 6489. [Google Scholar] [CrossRef] [PubMed]
- Yoon, M. The role of PPARα in lipid metabolism and obesity: Focusing on the effects of estrogen on PPARα actions. Pharmacol. Res. 2009, 60, 151–159. [Google Scholar] [CrossRef] [PubMed]
- Montagner, A.; Polizzi, A.; Fouché, E.; Ducheix, S.; Lippi, Y.; Lasserre, F.; Barquissau, V.; Régnier, M.; Lukowicz, C.; Benhamed, F. Liver PPARα is crucial for whole-body fatty acid homeostasis and is protective against NAFLD. Gut 2016, 65, 1202–1214. [Google Scholar] [CrossRef] [PubMed]
- Li, T.T.; Tan, T.B.; Hou, H.Q.; Zhao, X.Y. Changes in peroxisome proliferator-activated receptor alpha target gene expression in peripheral blood mononuclear cells associated with non-alcoholic fatty liver disease. Lipids Health Dis. 2018, 17, 256. [Google Scholar] [CrossRef] [PubMed]
- Liss, K.H.; Finck, B.N. PPARs and nonalcoholic fatty liver disease. Biochimie 2017, 136, 65–74. [Google Scholar] [CrossRef]
- Neuschwander-Tetri, B.A.; Brunt, E.M.; Wehmeier, K.R.; Oliver, D.; Bacon, B.R. Improved nonalcoholic steatohepatitis after 48 weeks of treatment with the PPAR-γ ligand rosiglitazone. Hepatology 2003, 38, 1008–1017. [Google Scholar] [CrossRef]
- Stienstra, R.; Mandard, S.; Patsouris, D.; Maass, C.; Kersten, S.; Muller, M. Peroxisome proliferator-activated receptor α protects against obesity-induced hepatic inflammation. Endocrinology 2007, 148, 2753–2763. [Google Scholar] [CrossRef]
- Ratziu, V.; Giral, P.; Jacqueminet, S.; Charlotte, F.; Hartemann–Heurtier, A.; Serfaty, L.; Podevin, P.; Lacorte, J.M.; Bernhardt, C.; Bruckert, E. Rosiglitazone for nonalcoholic steatohepatitis: One-year results of the randomized placebo-controlled Fatty Liver Improvement with Rosiglitazone Therapy (FLIRT) Trial. Gastroenterology 2008, 135, 100–110. [Google Scholar] [CrossRef]
- Ratziu, V.; Charlotte, F.; Bernhardt, C.; Giral, P.; Halbron, M.; LeNaour, G.; Hartmann-Heurtier, A.; Bruckert, E.; Poynard, T.; Group, L.S. Long-term efficacy of rosiglitazone in nonalcoholic steatohepatitis: Results of the fatty liver improvement by rosiglitazone therapy (FLIRT 2) extension trial. Hepatology 2010, 51, 445–453. [Google Scholar] [CrossRef]
- Gao, Q.; Jia, Y.; Yang, G.; Zhang, X.; Boddu, P.C.; Petersen, B.; Narsingam, S.; Zhu, Y.-J.; Thimmapaya, B.; Kanwar, Y.S. PPARα-deficient ob/ob obese mice become more obese and manifest severe hepatic steatosis due to decreased fatty acid oxidation. Am. J. Pathol. 2015, 185, 1396–1408. [Google Scholar] [CrossRef]
- Doumas, M.; Imprialos, K.; Dimakopoulou, A.; Stavropoulos, K.; Binas, A.; Athyros, V.G. The role of statins in the management of nonalcoholic fatty liver disease. Curr. Pharm. Des. 2018, 24, 4587–4592. [Google Scholar] [CrossRef] [PubMed]
- Pastori, D.; Pani, A.; Di Rocco, A.; Menichelli, D.; Gazzaniga, G.; Farcomeni, A.; D’Erasmo, L.; Angelico, F.; Del Ben, M.; Baratta, F. Statin liver safety in non-alcoholic fatty liver disease: A systematic review and metanalysis. Br. J. Clin. Pharmacol. 2022, 88, 441–451. [Google Scholar] [CrossRef] [PubMed]
- Van De Wier, B.; Koek, G.H.; Bast, A.; Haenen, G.R. The potential of flavonoids in the treatment of non-alcoholic fatty liver disease. Crit. Rev. Food Sci. Nutr. 2017, 57, 834–855. [Google Scholar] [CrossRef] [PubMed]
- Tan, P.; Jin, L.; Qin, X.; He, B. Natural flavonoids: Potential therapeutic strategies for non-alcoholic fatty liver disease. Front. Pharmacol. 2022, 13, 1005312. [Google Scholar] [CrossRef]
- Chen, G.; Ni, Y.; Nagata, N.; Xu, L.; Ota, T. Micronutrient antioxidants and nonalcoholic fatty liver disease. Int. J. Mol. Sci. 2016, 17, 1379. [Google Scholar] [CrossRef]
- Ezhilarasan, D.; Lakshmi, T. A Molecular Insight into the Role of Antioxidants in Nonalcoholic Fatty Liver Diseases. Oxid. Med. Cell. Longev. 2022, 2022, 9233650. [Google Scholar] [CrossRef]
- Sapwarobol, S.; Saphyakhajorn, W.; Astina, J. Biological Functions and Activities of Rice Bran as a Functional Ingredient: A Review. Nutr. Metab. Insights 2021, 14, 11786388211058559. [Google Scholar] [CrossRef]
- Kang, M.Y.; Kim, S.M.; Rico, C.W.; Lee, S.-C. Hypolipidemic and antioxidative effects of rice bran and phytic acid in high fat-fed mice. Food Sci. Biotechnol. 2012, 21, 123–128. [Google Scholar] [CrossRef]
- Justo, M.L.; Rodriguez–Rodriguez, R.; Claro, C.M.; Alvarez de Sotomayor, M.; Parrado, J.; Herrera, M.D. Water-soluble rice bran enzymatic extract attenuates dyslipidemia, hypertension and insulin resistance in obese Zucker rats. Eur. J. Nutr. 2013, 52, 789–797. [Google Scholar] [CrossRef]
- Abd El-Wahab, H.M.; Mohamed, M.A.; El Sayed, H.H.; Bauomy, A.E. Modulatory effects of rice bran and its oil on lipid metabolism in insulin resistance rats. J. Food Biochem. 2017, 41, e12318. [Google Scholar] [CrossRef]
- Qureshi, A.A.; Sami, S.A.; Khan, F.A. Effects of stabilized rice bran, its soluble and fiber fractions on blood glucose levels and serum lipid parameters in humans with diabetes mellitus Types I and II. J. Nutr. Biochem. 2002, 13, 175–187. [Google Scholar] [CrossRef] [PubMed]
- Tazakori, Z.; Zare, M.; Iranparvar, A.M.; Mehrabi, Y.E. Effect of rice bran on blood glucose and serum lipid parameters in type II diabetic patient. Iran. J. Endocrinol. Metab. 2006, 8, 169–174. [Google Scholar]
- Devarajan, S.; Chatterjee, B.; Urata, H.; Zhang, B.; Ali, A.; Singh, R.; Ganapathy, S. A blend of sesame and rice bran oils lowers hyperglycemia and improves the lipids. Am. J. Med. 2016, 129, 731–739. [Google Scholar] [CrossRef] [PubMed]
- Butsat, S.; Siriamornpun, S. Antioxidant capacities and phenolic compounds of the husk, bran and endosperm of Thai rice. Food Chem. 2010, 119, 606–613. [Google Scholar] [CrossRef]
- Rungratanawanich, W.; Abate, G.; Serafini, M.; Guarienti, M.; Catanzaro, M.; Marziano, M.; Memo, M.; Lanni, C.; Uberti, D. Characterization of the antioxidant effects of γ-Oryzanol: Involvement of the Nrf2 pathway. Oxid. Med. Cell. Longev. 2018, 2018, 2987249. [Google Scholar] [CrossRef]
- Masuzaki, H.; Kozuka, C.; Okamoto, S.; Yonamine, M.; Tanaka, H.; Shimabukuro, M. Brown rice-specific γ-Oryzanol as a promising prophylactic avenue to protect against diabetes mellitus and obesity in humans. J. Diabetes Investig. 2019, 10, 18–25. [Google Scholar] [CrossRef]
- Kobayashi, E.; Ito, J.; Shimizu, N.; Kokumai, T.; Kato, S.; Sawada, K.; Hashimoto, H.; Eitsuka, T.; Miyazawa, T.; Nakagawa, K. Evaluation of γ-Oryzanol accumulation and lipid metabolism in the body of mice following long-term administration of γ-Oryzanol. Nutrients 2019, 11, 104. [Google Scholar] [CrossRef]
- Wang, D.; Wei, Y.; Pagliassotti, M.J. Saturated fatty acids promote endoplasmic reticulum stress and liver injury in rats with hepatic steatosis. Endocrinology 2006, 147, 943–951. [Google Scholar] [CrossRef]
- Francisqueti, F.V.; Minatel, I.O.; Ferron, A.J.T.; Bazan, S.G.Z.; Silva, V.d.S.; Garcia, J.L.; De Campos, D.H.S.; Ferreira, A.L.; Moreto, F.; Cicogna, A.C. Effect of gamma-Oryzanol as therapeutic agent to prevent cardiorenal metabolic syndrome in animals submitted to high sugar-fat diet. Nutrients 2017, 9, 1299. [Google Scholar] [CrossRef]
- Wang, O.; Liu, J.; Cheng, Q.; Guo, X.; Wang, Y.; Zhao, L.; Zhou, F.; Ji, B. Effects of ferulic acid and γ-Oryzanol on high-fat and high-fructose diet-induced metabolic syndrome in rats. PLoS ONE 2015, 10, e0118135. [Google Scholar] [CrossRef]
- Thong-Ngam, D.; Samuhasaneeto, S.; Kulaputana, O.; Klaikeaw, N. N-acetylcysteine attenuates oxidative stress and liver pathology in rats with non-alcoholic steatohepatitis. World J. Gastroenterol. WJG 2007, 13, 5127. [Google Scholar] [CrossRef] [PubMed]
- Ghezzi, D.; Baruffini, E.; Haack, T.B.; Invernizzi, F.; Melchionda, L.; Dallabona, C.; Strom, T.M.; Parini, R.; Burlina, A.B.; Meitinger, T. Mutations of the mitochondrial-tRNA modifier MTO1 cause hypertrophic cardiomyopathy and lactic acidosis. Am. J. Hum. Genet. 2012, 90, 1079–1087. [Google Scholar] [CrossRef]
- Marques-Rocha, J.L.; Samblas, M.; Milagro, F.I.; Bressan, J.; Martínez, J.A.; Marti, A. Noncoding RNAs, cytokines, and inflammation-related diseases. FASEB J. 2015, 29, 3595–3611. [Google Scholar] [CrossRef] [PubMed]
- Folch, J.; Lees, M.; Sloane Stanley, G.H. A simple method for the isolation and purification of total lipids from animal tissues. J. Biol. Chem. 1957, 226, 497–509. [Google Scholar] [CrossRef] [PubMed]
- Yahya, M.A.; Alshammari, G.M.; Osman, M.A.; Al-Harbi, L.N.; Yagoub, A.E.A.; AlSedairy, S.A. Liquorice root extract and isoliquiritigenin attenuate high-fat diet-induced hepatic steatosis and damage in rats by regulating AMPK. Arch Physiol. Biochem. 2022, 19, 1–16. [Google Scholar] [CrossRef] [PubMed]
- Zarghamravanbakhsh, P.; Frenkel, M.; Poretsky, L. Metabolic causes and consequences of nonalcoholic fatty liver disease (NAFLD). Metab. Open 2021, 12, 100149. [Google Scholar] [CrossRef] [PubMed]
- Srikanth, S.; Deedwania, P. Management of dyslipidemia in patients with hypertension, diabetes, and metabolic syndrome. Curr. Hypertens. Rep. 2016, 18, 76. [Google Scholar] [CrossRef]
- Zhao, Y.-C.; Zhao, G.-J.; Chen, Z.; She, Z.-G.; Cai, J.; Li, H. Nonalcoholic fatty liver disease: An emerging driver of hypertension. Hypertension 2020, 75, 275–284. [Google Scholar] [CrossRef]
- Lasker, S.; Rahman, M.M.; Parvez, F.; Zamila, M.; Miah, P.; Nahar, K.; Kabir, F.; Sharmin, S.B.; Subhan, N.; Ahsan, G.U. High-fat diet-induced metabolic syndrome and oxidative stress in obese rats are ameliorated by yogurt supplementation. Sci. Rep. 2019, 9, 20026. [Google Scholar] [CrossRef]
- Son, M.J.; Rico, C.W.; Nam, S.H.; Kang, M.Y. Influence of Oryzanol and ferulic acid on the lipid metabolism and antioxidative status in high fat-fed mice. J. Clin. Biochem. Nutr. 2010, 46, 150–156. [Google Scholar] [CrossRef]
- Francisqueti-Ferron, F.V.; Silva, J.P.d.C.; Garcia, J.L.; Ferron, A.J.T.; Kano, H.T.; Silva, C.C.V.d.A.; Costa, M.R.; Nai, G.A.; Moreto, F.; Corrêa, C.R. Preventive Effect of Gamma-Oryzanol on Physiopathological Process Related to Nonalcoholic Fatty Liver Disease in Animals Submitted to High Sugar/Fat Diet. Livers 2022, 2, 146–157. [Google Scholar] [CrossRef]
- Minatel, I.O.; Francisqueti, F.V.; Corrêa, C.R.; Lima, G.P.P. Antioxidant activity of γ-Oryzanol: A complex network of interactions. Int. J. Mol. Sci. 2016, 17, 1107. [Google Scholar] [CrossRef] [PubMed]
- Ito, Y.; Nakashima, Y.; Matsuoka, S. Rice bran extract containing acylated steryl glucoside fraction decreases elevated blood LDL cholesterol level in obese Japanese men. J. Med. Investig. 2015, 62, 80–84. [Google Scholar] [CrossRef] [PubMed][Green Version]
- Diniz, Y.S.; Rocha, K.K.; Souza, G.A.; Galhardi, C.M.; Ebaid, G.M.; Rodrigues, H.G.; Novelli Filho, J.L.V.; Cicogna, A.C.; Novelli, E.L. Effects of N-acetylcysteine on sucrose-rich diet-induced hyperglycaemia, dyslipidemia and oxidative stress in rats. Eur. J. Pharmacol. 2006, 543, 151–157. [Google Scholar] [CrossRef] [PubMed]
- Zalewska, A.; Zięba, S.; Kostecka-Sochoń, P.; Kossakowska, A.; Żendzian-Piotrowska, M.; Matczuk, J.; Maciejczyk, M. NAC supplementation of hyperglycemic rats prevents the development of insulin resistance and improves antioxidant status but only alleviates general and salivary gland oxidative stress. Oxid. Med. Cell. Longev. 2020, 2020, 8831855. [Google Scholar] [CrossRef]
- Haber, C.A.; Lam, T.K.; Yu, Z.; Gupta, N.; Goh, T.; Bogdanovic, E.; Giacca, A.; Fantus, I.G. N-acetylcysteine and taurine prevent hyperglycemia-induced insulin resistance in vivo: Possible role of oxidative stress. Am. J. Physiol.-Endocrinol. Metab. 2003, 285, E744–E753. [Google Scholar] [CrossRef]
- Ismael, M.A.; Talbot, S.; Carbonneau, C.L.; Beauséjour, C.M.; Couture, R. Blockade of sensory abnormalities and kinin B1 receptor expression by N-Acetyl-l-Cysteine and ramipril in a rat model of insulin resistance. Eur. J. Pharmacol. 2008, 589, 66–72. [Google Scholar] [CrossRef]
- Nigro, E.; Scudiero, O.; Monaco, M.L.; Palmieri, A.; Mazzarella, G.; Costagliola, C.; Bianco, A.; Daniele, A. New insight into adiponectin role in obesity and obesity-related diseases. BioMed Res. Int. 2014, 2014, 658913. [Google Scholar] [CrossRef]
- Boutari, C.; Mantzoros, C.S. Adiponectin and leptin in the diagnosis and therapy of NAFLD. Metab.-Clin. Exp. 2020, 103, 154028. [Google Scholar] [CrossRef]
- Cao, J.; Sodhi, K.; Puri, N.; Monu, S.R.; Rezzani, R.; Abraham, N.G. High fat diet enhances cardiac abnormalities in SHR rats: Protective role of heme oxygenase-adiponectin axis. Diabetol. Metab. Syndr. 2011, 3, 13–37. [Google Scholar] [CrossRef]
- Buechler, C.; Wanninger, J.; Neumeier, M. Adiponectin, a key adipokine in obesity related liver diseases. World J. Gastroenterol. WJG 2011, 17, 2801. [Google Scholar] [PubMed]
- Ohara, K.; Kiyotani, Y.; Uchida, A.; Nagasaka, R.; Maehara, H.; Kanemoto, S.; Hori, M.; Ushio, H. Oral administration of γ-aminobutyric acid and γ-Oryzanol prevents stress-induced hypoadiponectinemia. Phytomedicine 2011, 18, 655–660. [Google Scholar] [CrossRef] [PubMed]
- Son, M.J.; Rico, C.W.; Nam, S.H.; Kang, M.Y. Effect of Oryzanol and ferulic acid on the glucose metabolism of mice fed with a high-fat diet. J. Food Sci. 2011, 76, H7–H10. [Google Scholar] [CrossRef] [PubMed]
- Delli Bovi, A.P.; Marciano, F.; Mandato, C.; Siano, M.A.; Savoia, M.; Vajro, P. Oxidative Stress in Non-alcoholic Fatty Liver Disease. An Updated Mini Review. Front. Med. 2021, 8, 595371. [Google Scholar] [CrossRef]
- Ore, A.; Akinloye, O.A. Oxidative stress and antioxidant biomarkers in clinical and experimental models of non-alcoholic fatty liver disease. Medicina 2019, 55, 26. [Google Scholar] [CrossRef]
- Dodd, S.; Dean, O.; Copolov, D.L.; Malhi, G.S.; Berk, M. N-acetylcysteine for antioxidant therapy: Pharmacology and clinical utility. Expert Opin. Biol. Ther. 2008, 8, 1955–1962. [Google Scholar] [CrossRef]
- Dludla, P.V.; Nkambule, B.B.; Mazibuko-Mbeje, S.E.; Nyambuya, T.M.; Marcheggiani, F.; Cirilli, I.; Ziqubu, K.; Shabalala, S.C.; Johnson, R.; Louw, J. N-acetyl cysteine targets hepatic lipid accumulation to curb oxidative stress and inflammation in NAFLD: A comprehensive analysis of the literature. Antioxidants 2020, 9, 1283. [Google Scholar] [CrossRef]
- Tenório, M.C.d.S.; Graciliano, N.G.; Moura, F.A.; Oliveira, A.C.M.d.; Goulart, M.O.F. N-Acetylcysteine (NAC): Impacts on human health. Antioxidants 2021, 10, 967. [Google Scholar] [CrossRef]
- Wilson, T.A.; Nicolosi, R.J.; Woolfrey, B.; Kritchevsky, D. Rice bran oil and Oryzanol reduce plasma lipid and lipoprotein cholesterol concentrations and aortic cholesterol ester accumulation to a greater extent than ferulic acid in hypercholesterolemic hamsters. J. Nutr. Biochem. 2007, 18, 105–112. [Google Scholar] [CrossRef]
- Fardet, A.; Rock, E.; Rémésy, C. Is the in vitro antioxidant potential of whole-grain cereals and cereal products well reflected in vivo? J. Cereal Sci. 2008, 48, 258–276. [Google Scholar] [CrossRef]
- Islam, M.S.; Yoshida, H.; Matsuki, N.; Ono, K.; Nagasaka, R.; Ushio, H.; Guo, Y.; Hiramatsu, T.; Hosoya, T.; Murata, T. Antioxidant, free radical–scavenging, and NF-κB–inhibitory activities of phytosteryl ferulates: Structure–activity studies. J. Pharmacol. Sci. 2009, 111, 328–337. [Google Scholar] [CrossRef] [PubMed]
- Araujo, S.M.; de Paula, M.T.; Poetini, M.R.; Meichtry, L.; Bortolotto, V.C.; Zarzecki, M.S.; Jesse, C.R.; Prigol, M. Effectiveness of γ-Oryzanol in reducing neuromotor deficits, dopamine depletion and oxidative stress in a Drosophila melanogaster model of Parkinson’s disease induced by rotenone. Neurotoxicology 2015, 51, 96–105. [Google Scholar] [CrossRef] [PubMed]
- Hye Khan, M.; Sattar, M.; Abdullah, N.; Johns, E. Influence of combined hypertension and renal failure on functional α1-adrenoceptor subtypes in the rat kidney. Br. J. Pharmacol. 2008, 153, 1232–1241. [Google Scholar] [CrossRef] [PubMed]
- Bougarne, N.; Weyers, B.; Desmet, S.J.; Deckers, J.; Ray, D.W.; Staels, B.; De Bosscher, K. Molecular actions of PPAR α in lipid metabolism and inflammation. Endocr. Rev. 2018, 39, 760–802. [Google Scholar] [CrossRef]
- Pawlak, M.; Lefebvre, P.; Staels, B. Molecular mechanism of PPARα action and its impact on lipid metabolism, inflammation and fibrosis in non-alcoholic fatty liver disease. J. Hepatol. 2015, 62, 720–733. [Google Scholar] [CrossRef]
- Zandbergen, F.; Plutzky, J. PPARα in atherosclerosis and inflammation. Biochim. Biophys. Acta (BBA)-Mol. Cell Biol. Lipids 2007, 1771, 972–982. [Google Scholar] [CrossRef]
- Liang, C.-P.; Tall, A.R. Transcriptional profiling reveals global defects in energy metabolism, lipoprotein, and bile acid synthesis and transport with reversal by leptin treatment in ob/ob mouse liver. J. Biol. Chem. 2001, 276, 49066–49076. [Google Scholar] [CrossRef]
- Muoio, D.M.; Dohm, G.L. Peripheral metabolic actions of leptin. Best Pract. Res. Clin. Endocrinol. Metab. 2002, 16, 653–666. [Google Scholar] [CrossRef]
- Goto, T.; Lee, J.-Y.; Teraminami, A.; Kim, Y.-I.; Hirai, S.; Uemura, T.; Inoue, H.; Takahashi, N.; Kawada, T. Activation of peroxisome proliferator-activated receptor-alpha stimulates both differentiation and fatty acid oxidation in adipocytes [S]. J. Lipid Res. 2011, 52, 873–884. [Google Scholar] [CrossRef]
- Guzmán, M.; Verme, J.L.; Fu, J.; Oveisi, F.; Blázquez, C.; Piomelli, D. Oleoylethanolamide stimulates lipolysis by activating the nuclear receptor peroxisome proliferator-activated receptor α (PPAR-α). J. Biol. Chem. 2004, 279, 27849–27854. [Google Scholar] [CrossRef]
- Fu, J.; Oveisi, F.; Gaetani, S.; Lin, E.; Piomelli, D. Oleoylethanolamide, an endogenous PPAR-α agonist, lowers body weight and hyperlipidemia in obese rats. Neuropharmacology 2005, 48, 1147–1153. [Google Scholar] [CrossRef] [PubMed]
- Araki, M.; Nakagawa, Y.; Oishi, A.; Han, S.-i.; Wang, Y.; Kumagai, K.; Ohno, H.; Mizunoe, Y.; Iwasaki, H.; Sekiya, M. The peroxisome proliferator-activated receptor α (PPARα) agonist pemafibrate protects against diet-induced obesity in mice. Int. J. Mol. Sci. 2018, 19, 2148. [Google Scholar] [CrossRef] [PubMed]







| Parameter | Control | NAC | γ-OZ | HFD | HFD + NAC | HFD + γ-OZ | HFD + NAC + γ-OZ |
|---|---|---|---|---|---|---|---|
| Final body weight (g) | 489 ± 32 | 501 ± 35 | 492 ± 29 | 642 ± 38 abc | 565 ± 32 abcd | 541 ± 26.8 abcd | 11 ± 26 def |
| Fasting plasma glucose (mg/dL) | 97.2 ± 9.3 | 88.9 ± 8.4 | 84 ± 9.5 a | 162 ± 15.6 abc | 122 ± 11.6 abcd | 131 ± 15.1 abcd | 104 ± 9.3 def |
| Fasting insulin levels (ng/mL) | 2.7 ± 0.47 | 3.1 ± 0.52 | 2.1 ± 0.54 a | 6.7 ± 1.2 abc | 4.9 ± 1.1 abcd | 3.9 ± 0.89 abcd | 2.9 ± 0.49 def |
| HOMA-IR | 0.64 ± 0.07 | 0.68 ± 0.05 | 0.43 ± 0.02 a | 2.61 ± 0.33 abc | 1.5 ± 0.35 abcd | 1.3 ± 0.36 abcd | 0.71 ± 0.69 def |
| SBP (mmHg) | 114 ± 8.7 | 109 ± 9.1 | 103 ± 9.7 | 156 ± 12.8 abc | 126 ± 9.1 abcd | 129 ± 11.8 abcd | 109 ± 9.1 def |
| Adiponectin (µg/mL) | 48.5 ± 5.8 | 62.6 ± 5.1 a | 59.1 ± 4.6 a | 22.7 ± 3.6 abc | 35.2 ± 5.3 abcd | 39.9 ± 4.2 abcd | 47.1 ± 5.4 bcdef |
| Leptin (ng/mL) | 18.3 ± 2.9 | 20.1 ± 3.4 | 17.6 ± 3.1 | 45.2 ± 5.9 abc | 31.4 ± 4.7 abcd | 27.3 ± 3.3 abcd | 18.9 ± 2.2 def |
| Serum FFAs (µmol/L) | 552 ± 39 | 492 ± 48 | 387 ± 53 a | 2002 ± 192 abc | 982 ± 83 abcd | 821 ± 79 abcd | 483 ± 31 def |
| Serum TNF-α (pg/mL) | 178 ± 15.4 | 161 ± 15.7 | 173 ± 16.5 | 332 ± 21.8 abc | 219 ± 22.4 abcd | 204 ± 19.9 abcd | 167 ± 14.2 def |
| Serum IL-6 (pg/mL) | 22.5 ± 3.6 | 19.4 ± 2.8 | 22.7 ± 2.6 | 53.4 ± 4.8 abc | 37.5 ± 5.6 abcd | 31.2 ± 3.4 abcd | 23.2 ± 4.2 def |
| Parameter | Control | NAC | γ-OZ | HFD | HFD + NAC | HFD + γ-OZ | HFD + NAC + γ-OZ |
|---|---|---|---|---|---|---|---|
| ALT (U/L) | 31 ± 3.3 | 35 ± 4.1 | 28 ± 3.7 | 78 ± 8.1 abc | 52 ± 4.8 abcd | 61 ± 6.8 abcd | 32 ± 4.3 def |
| AST (U/L) | 43 ± 6.5 | 48 ± 4.2 | 46 ± 5.2 | 112 ± 10.1 abc | 71 ± 7.3 abcd | 65 ± 6.5 abcd | 48 ± 5.4 def |
| GTT | 17 ± 2.1 | 19 ± 2.7 a | 2.1 ± 3.9 | 72 ± 5.2 abc | 41 ± 4.9 abcd | 37 ± 5.8 abcd | 25 ± 3.5 abcdef |
| Parameter | Control | NAC | γ-OZ | HFD | HFD + NAC | HFD + γ-OZ | HFD + NAC + γ-OZ | |
|---|---|---|---|---|---|---|---|---|
| Serum | TGs (mg/dL) | 58 ± 4.6 | 45 ± 4.9 a | 41 ± 4.1 a | 118 ± 11.4 abc | 88 ± 7.6 abcd | 74 ± 6.4 abcd | 53 ± 5 bcdef |
| CHOL (mg/dL) | 72 ± 6.7 | 61 ± 6.8 a | 63 ± 5.4 a | 158 ± 14.3 abc | 111 ± 9.2 abcd | 95± 8.4 abcde | 77 ± 7.6 bcdef | |
| LDL-c (mg/dL) | 35 ± 3.7 | 28 ± 3.4 a | 27 ± 3.8 a | 89 ± 7.1 abc | 62 ± 5.3 abcd | 48 ± 5.6 abcde | 33 ± 4.3 bcdef | |
| HDL-c (mg/dL) | 15 ± 2.8 | 22 ± 2.4 a | 25.6 ± 3.4 ab | 5.2 ± 0.67 abc | 9.8 ± 1.4 abcd | 12.3 ± 5.6 abcde | 16.5 ± 2.3 def | |
| Liver | TGs (mg/g) | 4.4 ± 0.3 | 3.37 ± 0.4 a | 3.34 ± 0.4 ab | 8.8 ± 0.7 abc | 6.4 ± 0.8 abcd | 5.3 ± 0.5 abcde | 4.5 ± 2.3 bcdef |
| CHOL (mg/dL) | 6.1 ± 0.6 | 5.1 ± 0.5 a | 0.49 ± 0.4 ab | 9.3 ± 1.1 abc | 8.1 ± 0.7 abcd | 7.2 ± 0.7 abcde | 5.9 ± 0.6 bcdef | |
| Stool | TGs (mg/g dry) | 1.9 ± 0.23 | 1.8 ± 0.17 | 2.09 ± 0.22 | 5.7 ± 0.6 abc | 5.2 ± 0.5 abc | 5.8 ± 0.6 abc | 5.4 ± 0.4 abc |
| CHOL (mg/g dry) | 2.4 ± 0.21 | 2.3 ± 0.3 | 2.5 ± 0.3 | 6.3 ± 0.8 abc | 5.9 ± 0.6 abc | 6.1 ± 0.7 abc | 6.4 ± 0.7 abc |
Disclaimer/Publisher’s Note: The statements, opinions and data contained in all publications are solely those of the individual author(s) and contributor(s) and not of MDPI and/or the editor(s). MDPI and/or the editor(s) disclaim responsibility for any injury to people or property resulting from any ideas, methods, instructions or products referred to in the content. |
© 2022 by the authors. Licensee MDPI, Basel, Switzerland. This article is an open access article distributed under the terms and conditions of the Creative Commons Attribution (CC BY) license (https://creativecommons.org/licenses/by/4.0/).
Share and Cite
Alwadani, A.H.; Almasri, S.A.; Aloud, A.A.; Albadr, N.A.; Alshammari, G.M.; Yahya, M.A. The Synergistic Protective Effect of γ-Oryzanol (OZ) and N-Acetylcysteine (NAC) against Experimentally Induced NAFLD in Rats Entails Hypoglycemic, Antioxidant, and PPARα Stimulatory Effects. Nutrients 2023, 15, 106. https://doi.org/10.3390/nu15010106
Alwadani AH, Almasri SA, Aloud AA, Albadr NA, Alshammari GM, Yahya MA. The Synergistic Protective Effect of γ-Oryzanol (OZ) and N-Acetylcysteine (NAC) against Experimentally Induced NAFLD in Rats Entails Hypoglycemic, Antioxidant, and PPARα Stimulatory Effects. Nutrients. 2023; 15(1):106. https://doi.org/10.3390/nu15010106
Chicago/Turabian StyleAlwadani, Ashwag H., Soheir A. Almasri, Amal A. Aloud, Nawal A. Albadr, Ghedeir M. Alshammari, and Mohammed Abdo Yahya. 2023. "The Synergistic Protective Effect of γ-Oryzanol (OZ) and N-Acetylcysteine (NAC) against Experimentally Induced NAFLD in Rats Entails Hypoglycemic, Antioxidant, and PPARα Stimulatory Effects" Nutrients 15, no. 1: 106. https://doi.org/10.3390/nu15010106
APA StyleAlwadani, A. H., Almasri, S. A., Aloud, A. A., Albadr, N. A., Alshammari, G. M., & Yahya, M. A. (2023). The Synergistic Protective Effect of γ-Oryzanol (OZ) and N-Acetylcysteine (NAC) against Experimentally Induced NAFLD in Rats Entails Hypoglycemic, Antioxidant, and PPARα Stimulatory Effects. Nutrients, 15(1), 106. https://doi.org/10.3390/nu15010106

