Effects of Fermented Garlic Extract Containing Nitric Oxide Metabolites on Blood Flow in Healthy Participants: A Randomized Controlled Trial
Abstract
1. Introduction
2. Materials and Methods
2.1. Preparation and Fermentation of Garlic Fermented Broth
2.2. Determination of NO2− Ions in the Garlic Fermentation Broth and NaNO2 Solution
2.3. Determination of NO Release in Simulated Gastric Fluid
2.4. Formulation of FGE Tablets
2.5. Clinical Study
2.5.1. Experimental Design and Participants
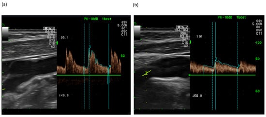
2.5.2. Doppler Ultrasonography (CA and BP)
2.5.3. Measurement of rCBF and PBF
2.6. Safety Variable Analysis
2.7. Statistical Analysis
3. Results
3.1. Induction of NO from FGE under Artificial Gastric Juice
3.2. Changes in BP and CA Velocity
3.3. Changes in rCBF and PBF
3.4. Evaluation of Adverse Side Effects
4. Discussion
Author Contributions
Funding
Institutional Review Board Statement
Informed Consent Statement
Data Availability Statement
Conflicts of Interest
Correction Statement
References
- Roth, G.A.; Johnson, C.; Abajobir, A.; Abd-Allah, F.; Abera, S.F.; Abyu, G.; Ahmed, M.; Aksut, B.; Alam, T.; Alam, K.; et al. Global, Regional, and National Burden of Cardiovascular Diseases for 10 Causes, 1990 to 2015. J. Am. Coll. Cardiol. 2017, 70, 1–25. [Google Scholar] [CrossRef] [PubMed]
- Xing, C.Y.; Tarumi, T.; Meijers, R.L.; Turner, M.; Repshas, J.; Xiong, L.; Ding, K.; Vongpatanasin, W.; Yuan, L.J.; Zhang, R. Arterial Pressure, Heart Rate, and Cerebral Hemodynamics Across the Adult Life Span. Hypertension 2017, 69, 712–720. [Google Scholar] [CrossRef] [PubMed]
- Kisler, K.; Nelson, A.R.; Montagne, A.; Zlokovic, B.V. Cerebral blood flow regulation and neurovascular dysfunction in Alzheimer disease. Nat. Rev. Neurosci. 2017, 18, 419–434. [Google Scholar] [CrossRef]
- Sverdlov, A.L.; Ngo, D.T.; Chan, W.P.; Chirkov, Y.Y.; Horowitz, J.D. Aging of the nitric oxide system: Are we as old as our NO? J. Am. Heart Assoc. 2014, 3, e000973. [Google Scholar] [CrossRef] [PubMed]
- Gimbrone, M.A., Jr.; García-Cardeña, G. Endothelial Cell Dysfunction and the Pathobiology of Atherosclerosis. Circ. Res. 2016, 118, 620–636. [Google Scholar] [CrossRef]
- Vanhoutte, P.M.; Shimokawa, H.; Tang, E.H.; Feletou, M. Endothelial dysfunction and vascular disease. Acta Physiol. 2009, 196, 193–222. [Google Scholar] [CrossRef]
- Amdahl, M.B.; DeMartino, A.W. Inorganic nitrite bioactivation and role in physiological signaling and therapeutics. Biol. Chem. 2019, 401, 201–211. [Google Scholar] [CrossRef]
- Lundberg, J.O.; Gladwin, M.T.; Ahluwalia, A.; Benjamin, N.; Bryan, N.S.; Butler, A.; Cabrales, P.; Fago, A.; Feelisch, M.; Ford, P.C.; et al. Nitrate and nitrite in biology, nutrition and therapeutics. Nat. Chem. Biol. 2009, 5, 865–869. [Google Scholar] [CrossRef]
- Bryan, N.S.; Fernandez, B.O.; Bauer, S.M.; Garcia-Saura, M.F.; Milsom, A.B.; Rassaf, T.; Maloney, R.E.; Bharti, A.; Rodriguez, J.; Feelisch, M. Nitrite is a signaling molecule and regulator of gene expression in mammalian tissues. Nat. Chem. Biol. 2005, 1, 290–297. [Google Scholar] [CrossRef]
- Bryan, N.S. Functional Nitric Oxide Nutrition to Combat Cardiovascular Disease. Curr. Atheroscler. Rep. 2018, 20, 21. [Google Scholar] [CrossRef]
- Rossman, M.J.; Gioscia-Ryan, R.A.; Santos-Parker, J.R.; Ziemba, B.P.; Lubieniecki, K.L.; Johnson, L.C.; Poliektov, N.E.; Bispham, N.Z.; Woodward, K.A.; Nagy, E.E.; et al. Inorganic Nitrite Supplementation Improves Endothelial Function With Aging: Translational Evidence for Suppression of Mitochondria-Derived Oxidative Stress. Hypertension 2021, 77, 1212–1222. [Google Scholar] [CrossRef] [PubMed]
- Zand, J.; Lanza, F.; Garg, H.K.; Bryan, N.S. All-natural nitrite and nitrate containing dietary supplement promotes nitric oxide production and reduces triglycerides in humans. Nutr. Res. 2011, 31, 262–269. [Google Scholar] [CrossRef] [PubMed]
- Bouguyon, E.; Gojon, A.; Nacry, P. Nitrate sensing and signaling in plants. Semin. Cell Dev. Biol. 2012, 23, 648–654. [Google Scholar] [CrossRef]
- Iqbal, A.; Qiang, D.; Alamzeb, M.; Xiangru, W.; Huiping, G.; Hengheng, Z.; Nianchang, P.; Xiling, Z.; Meizhen, S. Untangling the molecular mechanisms and functions of nitrate to improve nitrogen use efficiency. J. Sci. Food Agric. 2020, 100, 904–914. [Google Scholar] [CrossRef]
- Chun, H.S. Manufacturing Method of Fermented Garlic Composition and Fermented Garlic Composition Thereof. International Patent KR101609918B1, 7 April 2014. [Google Scholar]
- Chun, H.S. Manufacturing Method of Natural Fermented-Composition Containing Fixed Nitric Oxide Precursors and the Natural Fermented-Composition Thereof. International Patent KR20190101353A, 26 May 2021. [Google Scholar]
- Chun, H.S. Method for Fixing and Stabilizing of Nitric Oxide Metabolites Using Fermentation of Nitrogen-Containing Natural Material. International Patent KR102129038B1, 1 July 2020. [Google Scholar]
- Park, B.M.; Cha, S.A.; Kim, H.Y.; Kang, D.K.; Yua, K.; Chun, H.; Chae, S.W.; Kim, S.H. Fermented garlic extract decreases blood pressure through nitrite and sGC-cGMP-PKG pathway in spontaneously hypertensive rats. J. Funct. Foods 2016, 22, 10. [Google Scholar] [CrossRef]
- Park, B.M.; Chun, H.; Chae, S.W.; Kim, S.H. Fermented garlic extract ameliorates monocrotaline-induced pulmonary hypertension in rats. J. Funct. Foods 2017, 30, 7. [Google Scholar] [CrossRef]
- Yu, H.; Rong, Z.X.; Koo, H.; Chun, H.S.; Yoo, S.J.; Kim, M.S. Changes in Cerebral Blood flow Following Fermented Garlic Extract Solution with High Content of Nitrite. Physiol. Soc. Korean Med. Soc. Pathol. Korean Med. 2020, 8, 326–333. [Google Scholar] [CrossRef]
- Lee, Y.J.; Lee, D.; Shin, S.M.; Lee, J.S.; Chun, H.S.; Quan, F.S.; Shin, J.H. Potential protective effects of fermented garlic extract on myocardial ischemia-reperfusion injury utilizing in vitro and ex vivo models. J. Funct. Foods 2017, 33, 8. [Google Scholar]
- Kapil, V.; Milsom, A.B.; Okorie, M.; Maleki-Toyserkani, S.; Akram, F.; Rehman, F.; Arghandawi, S.; Pearl, V.; Benjamin, N.; Loukogeorgakis, S.; et al. Inorganic nitrate supplementation lowers blood pressure in humans: Role for nitrite-derived NO. Hypertension 2010, 56, 274–281. [Google Scholar] [CrossRef] [PubMed]
- Hughan, K.S.; Levine, A.; Helbling, N.; Anthony, S.; DeLany, J.P.; Stefanovic-Racic, M.; Goodpaster, B.H.; Gladwin, M.T. Effects of Oral Sodium Nitrite on Blood Pressure, Insulin Sensitivity, and Intima-Media Arterial Thickening in Adults With Hypertension and Metabolic Syndrome. Hypertension 2020, 76, 866–874. [Google Scholar] [CrossRef]
- Waaler, B.A.; Eriksen, M. Post-prandial cardiovascular responses in man after ingestion of carbohydrate, protein or fat. Acta Physiol. Scand. 1992, 146, 321–327. [Google Scholar] [CrossRef] [PubMed]
- Kuwabara, Y. Nuclear medicine for general radiologists: Clinical application of brain SPECT. Nihon Igaku Hoshasen Gakkai Zasshi Nippon Acta Radiol. 2000, 60, 671–677. [Google Scholar]
- Makino, K.; Masuda, Y.; Gotoh, S. Comparison of cerebral vasoreactivity to acetazolamide in normal volunteer among 123I-IMP, 99mTc-ECD and 99mTc-HMPAO. Kaku Igaku. Jpn. J. Nucl. Med. 1996, 33, 551–555. [Google Scholar]
- García-Gómez, F.; García-Solís, D.; Luis-Simón, F.; Marín-Oyaga, V.; Carrillo, F.; Mir, P.; Vázquez-Albertino, R. Elaboration of the SPM template for the standardization of SPECT images with 123I-Ioflupane. Rev. Esp. Med. Nucl. Imagen Mol. 2013, 32, 350–356. [Google Scholar] [CrossRef] [PubMed]
- Tzourio-Mazoyer, N.; Landeau, B.; Papathanassiou, D.; Crivello, F.; Etard, O.; Delcroix, N.; Mazoyer, B.; Joliot, M. Automated anatomical labeling of activations in SPM using a macroscopic anatomical parcellation of the MNI MRI single-subject brain. Neuroimage 2002, 15, 273–289. [Google Scholar] [CrossRef]
- Houston, M.; Hays, L. Acute effects of an oral nitric oxide supplement on blood pressure, endothelial function, and vascular compliance in hypertensive patients. J. Clin. Hypertens. 2014, 16, 524–529. [Google Scholar] [CrossRef]
- Greenway, F.L.; Predmore, B.L.; Flanagan, D.R.; Giordano, T.; Qiu, Y.; Brandon, A.; Lefer, D.J.; Patel, R.P.; Kevil, C.G. Single-dose pharmacokinetics of different oral sodium nitrite formulations in diabetes patients. Diabetes Technol. Ther. 2012, 14, 552–560. [Google Scholar] [CrossRef]
- Hamal, S.; Cherukuri, L.; Birudaraju, D.; Matsumoto, S.; Kinninger, A.; Chaganti, B.T.; Flores, F.; Shaikh, K.; Roy, S.K.; Budoff, M.J. Short-term impact of aged garlic extract on endothelial function in diabetes: A randomized, double-blind, placebo-controlled trial. Exp. Ther. Med. 2020, 19, 1485–1489. [Google Scholar] [CrossRef]
- Xiong, X.J.; Wang, P.Q.; Li, S.J.; Li, X.K.; Zhang, Y.Q.; Wang, J. Garlic for hypertension: A systematic review and meta-analysis of randomized controlled trials. Phytomed. Int. J. Phytother. Phytopharm. 2015, 22, 352–361. [Google Scholar] [CrossRef]
- Varshney, R.; Budoff, M.J. Garlic and Heart Disease. J. Nutr. 2016, 146, 416S–421S. [Google Scholar] [CrossRef]
- Jackson, J.K.; Patterson, A.J.; MacDonald-Wicks, L.K.; Oldmeadow, C.; McEvoy, M.A. The role of inorganic nitrate and nitrite in cardiovascular disease risk factors: A systematic review and meta-analysis of human evidence. Nutr. Rev. 2018, 76, 348–371. [Google Scholar] [CrossRef]
- Moriya, A.; Grant, J.; Mowat, C.; Williams, C.; Carswell, A.; Preston, T.; Anderson, S.; Iijima, K.; McColl, K.E. In vitro studies indicate that acid catalysed generation of N-nitrosocompounds from dietary nitrate will be maximal at the gastro-oesophageal junction and cardia. Scand J. Gastroenterol. 2002, 37, 253–261. [Google Scholar] [CrossRef]
- Hirota, S.; Takahama, U. Reactions of Apple Fruit Polyphenols with Nitrite under Conditions of the Gastric Lumen: Generation of Nitric Oxide and Formation of Nitroso Catechins. Food Sci. Technol. Res. 2014, 20, 439–447. [Google Scholar] [CrossRef]
- Rocha, B.S.; Gago, B.; Barbosa, R.M.; Laranjinha, J. Dietary polyphenols generate nitric oxide from nitrite in the stomach and induce smooth muscle relaxation. Toxicology 2009, 265, 41–48. [Google Scholar] [CrossRef] [PubMed]
- Sindler, A.L.; Devan, A.E.; Fleenor, B.S.; Seals, D.R. Inorganic nitrite supplementation for healthy arterial aging. J. Appl. Physiol. 2014, 116, 463–477. [Google Scholar] [CrossRef] [PubMed]
- Sindler, A.L.; Fleenor, B.S.; Calvert, J.W.; Marshall, K.D.; Zigler, M.L.; Lefer, D.J.; Seals, D.R. Nitrite supplementation reverses vascular endothelial dysfunction and large elastic artery stiffness with aging. Aging Cell 2011, 10, 429–437. [Google Scholar] [CrossRef]
- Franko, E.; Ezra, M.; Crockett, D.C.; Joly, O.; Pattinson, K. Effect of nitrite on the electroencephalographic activity in the healthy brain. Nitric Oxide Biol. Chem. 2019, 90, 47–54. [Google Scholar] [CrossRef]
- Rifkind, J.M.; Nagababu, E.; Barbiro-Michaely, E.; Ramasamy, S.; Pluta, R.M.; Mayevsky, A. Nitrite infusion increases cerebral blood flow and decreases mean arterial blood pressure in rats: A role for red cell NO. Nitric Oxide Biol. Chem. 2007, 16, 448–456. [Google Scholar] [CrossRef]
- Presley, T.D.; Morgan, A.R.; Bechtold, E.; Clodfelter, W.; Dove, R.W.; Jennings, J.M.; Kraft, R.A.; King, S.B.; Laurienti, P.J.; Rejeski, W.J.; et al. Acute effect of a high nitrate diet on brain perfusion in older adults. Nitric Oxide Biol. Chem. 2011, 24, 34–42. [Google Scholar] [CrossRef]
- Wightman, E.L.; Haskell-Ramsay, C.F.; Thompson, K.G.; Blackwell, J.R.; Winyard, P.G.; Forster, J.; Jones, A.M.; Kennedy, D.O. Dietary nitrate modulates cerebral blood flow parameters and cognitive performance in humans: A double-blind, placebo-controlled, crossover investigation. Physiol. Behav. 2015, 149, 149–158. [Google Scholar]
- Aamand, R.; Dalsgaard, T.; Ho, Y.C.; Møller, A.; Roepstorff, A.; Lund, T.E. A NO way to BOLD? Dietary nitrate alters the hemodynamic response to visual stimulation. Neuroimage 2013, 83, 397–407. [Google Scholar] [CrossRef] [PubMed]
- Shah, K.B.; Hayman, L.A.; Chavali, L.S.; Hamilton, J.D.; Prabhu, S.S.; Wangaryattawanich, P.; Kumar, V.A.; Kumar, A.J. Glial tumors in Brodmann area 6: Spread pattern and relationships to motor areas. Radiographics 2015, 35, 793–803. [Google Scholar] [CrossRef] [PubMed]
- Burgess, P.W.; Wu, H. Rostral prefrontal cortex (Brodmann area 10). In Principles of Frontal Lobe Function; Oxford University Press: New York, NY, USA, 2013; pp. 524–544. [Google Scholar]
- Peng, K.; Steele, S.C.; Becerra, L.; Borsook, D. Brodmann area 10: Collating, integrating and high level processing of nociception and pain. Prog. Neurobiol. 2018, 161, 1–22. [Google Scholar] [PubMed]
- Uemura, K.; Shimada, H.; Doi, T.; Makizako, H.; Tsutsumimoto, K.; Park, H.; Suzuki, T. Reduced prefrontal oxygenation in mild cognitive impairment during memory retrieval. Int. J. Geriatr. Psychiatry 2016, 31, 583–591. [Google Scholar] [CrossRef]
- Stilla, R.; Sathian, K. Selective visuo-haptic processing of shape and texture. Hum. Brain Mapp. 2008, 29, 1123–1138. [Google Scholar]
- de Vasconcelos, A.P.; Baldwin, R.A.; Wasterlain, C.G. Nitric oxide mediates the increase in local cerebral blood flow during focal seizures. Proc. Natl. Acad. Sci. USA 1995, 92, 3175–3179. [Google Scholar] [CrossRef]
- Eshaghi, E. Effect of Transcranial Low-Level Laser Therapy in Chronic Restraint Stress Induced Depressive-Like Behaviour in Mice; Faculty of Medicine, Tabriz University of Medical Sciences: Tabriz, Iran, 2019. [Google Scholar]
- Hashmi, J.T.; Huang, Y.Y.; Osmani, B.Z.; Sharma, S.K.; Naeser, M.A.; Hamblin, M.R. Role of low-level laser therapy in neurorehabilitation. PmR 2010, 2, S292–S305. [Google Scholar] [CrossRef]
- Hase, S.N. Transcranial near Infrared Spectroscopy and Stimulation of Prefrontal Cognitive Functions in Young Adults; The University of Texas at Arlington: Arlington, TX, USA, 2015. [Google Scholar]
- Pittler, M.H.; Ernst, E. Clinical effectiveness of garlic (Allium sativum). Mol. Nutr. Food Res. 2007, 51, 1382–1385. [Google Scholar] [CrossRef]
- El-Saber Batiha, G.; Magdy Beshbishy, A.; Wasef, L.G.; Elewa, Y.H.A.; Al-Sagan, A.A.; Abd El-Hack, M.E.; Taha, A.E.; Abd-Elhakim, Y.M.; Prasad Devkota, H. Chemical Constituents and Pharmacological Activities of Garlic (Allium sativum L.): A Review. Nutrients 2020, 12, 872. [Google Scholar] [CrossRef]
- Loghmanifar, S.; Roozbeh Nasiraie, L.; Nouri, H.; Jafarian, S. Comparison of Fresh and Aged Garlic Extracts in Terms of Antioxidative Power and Allicin Content. J. Med. Plants Prod. 2022, 11, 29–35. [Google Scholar] [CrossRef]
- Ried, K.; Fakler, P. Potential of garlic (Allium sativum) in lowering high blood pressure: Mechanisms of action and clinical relevance. Integr. Blood Press. Control 2014, 7, 71–82. [Google Scholar] [CrossRef] [PubMed]
- Morihara, N.; Sumioka, I.; Moriguchi, T.; Uda, N.; Kyo, E. Aged garlic extract enhances production of nitric oxide. Life Sci. 2002, 71, 509–517. [Google Scholar] [CrossRef] [PubMed]
- Ku, D.D.; Abdel-Razek, T.T.; Dai, J.; Kim-Park, S.; Fallon, M.B.; Abrams, G.A. Garlic and its active metabolite allicin produce endothelium- and nitric oxide-dependent relaxation in rat pulmonary arteries. Clin. Exp. Pharmacol. Physiol. 2002, 29, 84–91. [Google Scholar] [CrossRef]
- Kim-Park, S.; Ku, D.D. Garlic elicits a nitric oxide-dependent relaxation and inhibits hypoxic pulmonary vasoconstriction in rats. Clin. Exp. Pharmacol. Physiol. 2000, 27, 780–786. [Google Scholar] [CrossRef] [PubMed]
- Kim, J.K.; Park, K.J.; Cho, K.S.; Nam, S.W.; Park, T.J.; Bajpai, R. Aerobic nitrification-denitrification by heterotrophic Bacillus strains. Bioresour. Technol. 2005, 96, 1897–1906. [Google Scholar] [CrossRef]
- Peng, Y.; Zhu, G. Biological nitrogen removal with nitrification and denitrification via nitrite pathway. Appl. Microbiol. Biotechnol. 2006, 73, 15–26. [Google Scholar] [CrossRef]
- Qu, X.M.; Wu, Z.F.; Pang, B.X.; Jin, L.Y.; Qin, L.Z.; Wang, S.L. From Nitrate to Nitric Oxide: The Role of Salivary Glands and Oral Bacteria. J. Dent. Res. 2016, 95, 1452–1456. [Google Scholar] [CrossRef]
- Yong, H.I.; Kim, T.K.; Choi, H.D.; Jang, H.W.; Jung, S.; Choi, Y.S. Clean Label Meat Technology: Pre-Converted Nitrite as a Natural Curing. Food Sci. Anim. Resour. 2021, 41, 173–184. [Google Scholar] [CrossRef]








| Experiment Set | Groups | Age | Sex | Total Number | |
|---|---|---|---|---|---|
| M ± SD | Male | Female | |||
| Study of CA and BP (04-2020-038, NCT05349604) | FGE | 61.33 ± 4.85 | 8 | 7 | 15 |
| Placebo | 61.20 ± 12.91 | 4 | 11 | 15 | |
| Study of rCBF and PBF (04-2020-036, NCT05349253) | FGE | 54.27 ± 10.91 | 8 | 7 | 15 |
| Placebo | 55.92 ± 13.91 | 3 | 10 | 13 | |
| Systolic BP | Diastolic BP | |||||||
|---|---|---|---|---|---|---|---|---|
| before | after | Z | p | before | after | Z | p | |
| FGE | 124 ± 13.76 | 107.07 ± 15.29 | −3.325 | * 0.001 | 79.47 ± 12.30 | 67.13 ± 12.47 | −3.355 | * 0.001 |
| Placebo | 133.40 ± 23.83 | 124.20 ± 26.19 | −1.665 | 0.096 | 84.20 ± 17.68 | 75.13 ± 11.77 | −1.877 | 0.061 |
| Right | Left | ||||||||
|---|---|---|---|---|---|---|---|---|---|
| CCA | ICA | CCA | ICA | ||||||
| Psv | Edv | Psv | Edv | Psv | Edv | Psv | Edv | ||
| FGE | Z | −2.413 | −3.114 | −2.480 | −1.819 | −2.204 | −2.240 | −1.822 | −0.377 |
| p | * 0.016 | * 0.002 | * 0.013 | 0.069 | * 0.028 | * 0.025 | 0.068 | 0.706 | |
| Placebo | Z | −1.540 | −1.334 | −0.385 | −0.350 | −0.974 | −0.286 | −0.472 | −1.159 |
| p | 0.124 | 0.182 | 0.701 | 0.726 | 0.330 | 0.775 | 0.637 | 0.246 | |
| Systolic BP | Diastolic BP | Right | Left | |||||||
|---|---|---|---|---|---|---|---|---|---|---|
| CCA | ICA | CCA | ICA | |||||||
| Psv | Edv | Psv | Edv | Psv | Edv | Psv | Edv | |||
| Z | −2.263 | −2.637 | −0.874 | −2.167 | −1.921 | −1.595 | −0.961 | −2.065 | −1.267 | −0.460 |
| p | * 0.024 | * 0.008 | 0.382 | * 0.030 | 0.055 | 0.111 | 0.336 | * 0.039 | 0.205 | 0.645 |
| Coordinates (MNI) | Peak Region | Brodmann Area | t | p FWE-corr | ||
|---|---|---|---|---|---|---|
| x | Y | z | ||||
| +34 | −4 | +68 | Rt. Frontal cortex | 6 | 4.145841 | 0.00016 |
| +38 | +2 | +64 | Rt. Frontal cortex | 6 | 4.083884 | 0.000188 |
| +30 | −32 | +72 | Rt. Parietal cortex | 2 | 3.902315 | 0.000301 |
| +46 | +54 | +14 | Rt. Frontal cortex | 10 | 3.960457 | 0.000259 |
| +50 | +52 | +6 | Rt. Frontal cortex | 10 | 3.937369 | 0.000275 |
| +46 | +48 | +24 | Rt. Frontal cortex | 9 | 3.923447 | 0.000285 |
| −32 | +10 | +64 | Lt. Frontal cortex | 6 | 3.734121 | 0.000466 |
| −26 | +26 | +58 | Lt. Frontal cortex | 6 | 3.674036 | 0.000544 |
| −28 | +18 | +62 | Lt. Frontal cortex | 6 | 3.641479 | 0.000591 |
Publisher’s Note: MDPI stays neutral with regard to jurisdictional claims in published maps and institutional affiliations. |
© 2022 by the authors. Licensee MDPI, Basel, Switzerland. This article is an open access article distributed under the terms and conditions of the Creative Commons Attribution (CC BY) license (https://creativecommons.org/licenses/by/4.0/).
Share and Cite
Baik, J.S.; Min, J.H.; Ju, S.M.; Ahn, J.H.; Ko, S.H.; Chon, H.S.; Kim, M.S.; Shin, Y.I. Effects of Fermented Garlic Extract Containing Nitric Oxide Metabolites on Blood Flow in Healthy Participants: A Randomized Controlled Trial. Nutrients 2022, 14, 5238. https://doi.org/10.3390/nu14245238
Baik JS, Min JH, Ju SM, Ahn JH, Ko SH, Chon HS, Kim MS, Shin YI. Effects of Fermented Garlic Extract Containing Nitric Oxide Metabolites on Blood Flow in Healthy Participants: A Randomized Controlled Trial. Nutrients. 2022; 14(24):5238. https://doi.org/10.3390/nu14245238
Chicago/Turabian StyleBaik, Ji Soo, Ji Hong Min, Sung Min Ju, Jae Hyun Ahn, Sung Hwa Ko, Hyun Soo Chon, Min Sun Kim, and Yong Il Shin. 2022. "Effects of Fermented Garlic Extract Containing Nitric Oxide Metabolites on Blood Flow in Healthy Participants: A Randomized Controlled Trial" Nutrients 14, no. 24: 5238. https://doi.org/10.3390/nu14245238
APA StyleBaik, J. S., Min, J. H., Ju, S. M., Ahn, J. H., Ko, S. H., Chon, H. S., Kim, M. S., & Shin, Y. I. (2022). Effects of Fermented Garlic Extract Containing Nitric Oxide Metabolites on Blood Flow in Healthy Participants: A Randomized Controlled Trial. Nutrients, 14(24), 5238. https://doi.org/10.3390/nu14245238

