Protective Effect of Eurotium cristatum Fermented Loose Dark Tea and Eurotium cristatum Particle on MAPK and PXR/AhR Signaling Pathways Induced by Electronic Cigarette Exposure in Mice
Abstract
:1. Introduction
2. Materials and Methods
2.1. Preparation of ECP and ECT Extract
2.2. Analysis of Physicochemical Components of ECP and ECT
2.3. Metabolomic Analysis of ECP and ECT
2.3.1. Sample Preparation and Extraction
2.3.2. UPLC-MRM Analysis
2.4. eC Liquid Preparation
2.5. Chemicals
2.6. Animals and Experimental Design
2.7. Collection of Serum and Lung and Liver Tissues in Mice
2.8. Histological Evaluation
2.9. Biochemical Analysis
2.10. Western Blot Analysis
2.11. Statistical Analysis
3. Results
3.1. Analysis of Physicochemical Components of ECT and ECP
3.2. Metabolomic Analysis of ECP and ECT
3.2.1. Principal Component Analysis (PCA) and Partial Least Squares-Discriminant Analysis (PLS-DA) of ECT and ECP
3.2.2. Heatmap Analysis of the Differential Metabolites of ECT and ECP
3.2.3. Boxplot Analysis of the Differential Metabolites of ECT and ECP
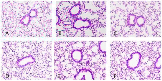
3.3. Pathological Changes in Lung Tissue Sections in Mice
3.4. Changes in Serum Oxidative Stress Indexes and Inflammatory Factors in Mice
3.5. Changes in Relative Expression of ERK, JNK and p38 MAPK Phosphorylated Proteins in Mousee Lung
3.6. Changes in Relative Expression of PXR and AhR Proteins in Liver Tissue of Mice
4. Discussion
5. Conclusions
Author Contributions
Funding
Institutional Review Board Statement
Informed Consent Statement
Data Availability Statement
Acknowledgments
Conflicts of Interest
References
- Stimson, G.V.; Thom, B.; Costall, P. Disruptive innovations: The rise of the electronic cigarette. Int. J. Drug Policy 2014, 25, 653–655. [Google Scholar] [CrossRef] [PubMed]
- Cohen, A.J.; Brauer, M.; Burnett, R.; Anderson, H.R.; Frostad, J.; Estep, K.; Balakrishnan, K.; Brunekreef, B.; Dandona, L.; Dandona, R.; et al. Estimates and 25-year trends of the global burden of disease attributable to ambient air pollution: An analysis of data from the Global Burden of Diseases Study 2015. Lancet 2017, 389, 1907–1918. [Google Scholar] [CrossRef] [Green Version]
- Klager, S.; Vallarino, J.; Macnaughton, P.; Christiani, D.C.; Lu, Q.; Allen, J.G. Flavoring Chemicals and Aldehydes in E-Cigarette Emissions. Environ. Sci. Technol. 2017, 51, 10806–10813. [Google Scholar] [CrossRef]
- Larcombe, A.N.; Janka, M.A.; Mullins, B.J.; Berry, L.J.; Bredin, A.; Franklin, P.J. The effects of electronic cigarette aerosol exposure on inflammation and lung function in mice. Am. J. Physiol. Cell. Mol. Physiol. 2017, 313, L67–L79. [Google Scholar] [CrossRef] [PubMed]
- Jensen, R.P.; Luo, W.; Pankow, J.F.; Strongin, R.M.; Peyton, D.H. Hidden Formaldehyde in E-Cigarette Aerosols. N. Engl. J. Med. 2015, 372, 392–394. [Google Scholar] [CrossRef] [PubMed] [Green Version]
- Ikonomidis, I.; Katogiannis, K.; Kostelli, G.; Kourea, K.; Kyriakou, E.; Kypraiou, A.; Tsoumani, M.; Andreadou, I.; Lambadiari, V.; Plotas, P.; et al. Effects of electronic cigarette on platelet and vascular function after four months of use. Food Chem. Toxicol. 2020, 141, 111389. [Google Scholar] [CrossRef] [PubMed]
- El Golli, N.; Jrad-Lamine, A.; Neffati, H.; Rahali, D.; Dallagi, Y.; Dkhili, H.; Ba, N.; El May, M.V.; El Fazaa, S. Impact of e-cigarette refill liquid with or without nicotine on liver function in adult rats. Toxicol. Mech. Methods 2016, 26, 433–440. [Google Scholar] [CrossRef] [PubMed]
- Chen, H.; Li, G.; Chan, Y.L.; Chapman, D.G.; Sukjamnong, S.; Nguyen, T.; Annissa, T.; McGrath, K.C.; Sharma, P.; Oliver, B.G. Maternal E-Cigarette Exposure in Mice Alters DNA Methylation and Lung Cytokine Expression in Offspring. Am. J. Respir. Cell Mol. Biol. 2017, 58, 366–377. [Google Scholar] [CrossRef]
- Guan, R.; Wang, J.; Li, D.; Li, Z.; Liu, H.; Ding, M.; Cai, Z.; Liang, X.; Yang, Q.; Long, Z.; et al. Hydrogen sulfide inhibits cigarette smoke-induced inflammation and injury in alveolar epithelial cells by suppressing PHD2/HIF-1α/MAPK signaling pathway. Int. Immunopharmacol. 2020, 81, 105979. [Google Scholar] [CrossRef]
- Kwak, S.; Choi, Y.S.; Na, H.G.; Bae, C.H.; Song, S.-Y.; Kim, Y.-D. Glyoxal and Methylglyoxal as E-cigarette Vapor Ingredients-Induced Pro-Inflammatory Cytokine and Mucins Expression in Human Nasal Epithelial Cells. Am. J. Rhinol. Allergy 2021, 35, 213–220. [Google Scholar] [CrossRef]
- Song, S.-Y.; Na, H.G.; Kwak, S.Y.; Choi, Y.S.; Bae, C.H.; Kim, Y.-D. Changes in Mucin Production in Human Airway Epithelial Cells after Exposure to Electronic Cigarette Vapor with or Without Nicotine. Clin. Exp. Otorhinolaryngol. 2021, 14, 303–311. [Google Scholar] [CrossRef]
- Lynch, C.; Sakamuru, S.; Huang, R.; Niebler, J.; Ferguson, S.S.; Xia, M. Characterization of human pregnane X receptor activators identified from a screening of the Tox21 compound library. Biochem. Pharmacol. 2021, 184, 114368. [Google Scholar] [CrossRef] [PubMed]
- Tajima, H.; Tajiki-Nishino, R.; Watanabe, Y.; Fukuyama, T. Direct activation of aryl hydrocarbon receptor by benzo[ a ]pyrene elicits T-helper 2-driven proinflammatory responses in a mouse model of allergic dermatitis. J. Appl. Toxicol. 2019, 39, 936–944. [Google Scholar] [CrossRef]
- Sulem, P.; Gudbjartsson, D.; Geller, F.; Prokopenko, I.; Feenstra, B.; Aben, K.K.; Franke, B.; Heijer, M.D.; Kovacs, P.; Stumvoll, M.; et al. Sequence variants at CYP1A1–CYP1A2 and AHR associate with coffee consumption. Hum. Mol. Genet. 2011, 20, 2071–2077. [Google Scholar] [CrossRef] [PubMed]
- Stading, R.; Gastelum, G.; Chu, C.; Jiang, W.; Moorthy, B. Molecular mechanisms of pulmonary carcinogenesis by polycyclic aromatic hydrocarbons (PAHs): Implications for human lung cancer. Semin. Cancer Biol. 2021, 76, 3–16. [Google Scholar] [CrossRef] [PubMed]
- Xu, A.; Wang, Y.; Wen, J.; Liu, P.; Liu, Z.; Li, Z. Fungal community associated with fermentation and storage of Fuzhuan brick-tea. Int. J. Food Microbiol. 2011, 146, 14–22. [Google Scholar] [CrossRef]
- Lu, X.; Jing, Y.; Zhang, N.; Cao, Y. Eurotium cristatum, a Probiotic Fungus from Fuzhuan Brick Tea, and Its Polysaccharides Ameliorated DSS-Induced Ulcerative Colitis in Mice by Modulating the Gut Microbiota. J. Agric. Food Chem. 2022, 70, 2957–2967. [Google Scholar] [CrossRef]
- Kang, D.; Su, M.; Duan, Y.; Huang, Y. Eurotium cristatum, a potential probiotic fungus from Fuzhuan brick tea, alleviated obesity in mice by modulating gut microbiota. Food Funct. 2019, 10, 5032–5045. [Google Scholar] [CrossRef]
- Xiao, Y.; He, C.; Chen, Y.; Ho, C.-T.; Wu, X.; Huang, Y.; Gao, Y.; Hou, A.; Li, Z.; Wang, Y.; et al. UPLC–QQQ–MS/MS-based widely targeted metabolomic analysis reveals the effect of solid-state fermentation with Eurotium cristatum on the dynamic changes in the metabolite profile of dark tea. Food Chem. 2022, 378, 131999. [Google Scholar] [CrossRef]
- Zhao, P.; Alam, B.; Lee, S.-H. Protection of UVB-Induced Photoaging by Fuzhuan-Brick Tea Aqueous Extract via MAPKs/Nrf2-Mediated Down-Regulation of MMP-1. Nutrients 2018, 11, 60. [Google Scholar] [CrossRef] [Green Version]
- Huang, X.-X.; Xu, S.; Yu, L.-J.; Zhou, Y.-F.; Zhou, Y.; Liu, Z.-H. Eurotium cristatum Fermented Loose Dark Tea Ameliorates Cigarette Smoke-Induced Lung Injury by MAPK Pathway and Enhances Hepatic Metabolic Detoxification by PXR/AhR Pathway in Mice. Oxidative Med. Cell. Longev. 2021, 2021, 6635080. [Google Scholar] [CrossRef] [PubMed]
- Samanidou, V.; Tsagiannidis, A.; Sarakatsianos, I. Simultaneous determination of polyphenols and major purine alkaloids in Greek Sideritis species, herbal extracts, green tea, black tea, and coffee by high-performance liquid chromatography-diode array detection. J. Sep. Sci. 2012, 35, 608–615. [Google Scholar] [CrossRef]
- Fischer, B.; Pavlisko, E.; Voynow, J. Pathogenic triad in COPD: Oxidative stress, protease–antiprotease imbalance, and inflammation. Int. J. Chronic Obstr. Pulm. Dis. 2011, 6, 413–421. [Google Scholar] [CrossRef] [PubMed] [Green Version]
- Rahman, I.; Adcock, I.M. Oxidative stress and redox regulation of lung inflammation in COPD. Eur. Respir. J. 2006, 28, 219–242. [Google Scholar] [CrossRef] [PubMed]
- Jiang, J.-X.; Zhang, S.-J.; Shen, H.-J.; Guan, Y.; Liu, Q.; Zhao, W.; Jia, Y.-L.; Shen, J.; Yan, X.-F.; Xie, Q.-M. Rac1 signaling regulates cigarette smoke-induced inflammation in the lung via the Erk1/2 MAPK and STAT3 pathways. Biochim. Et Biophys. Acta (BBA) Mol. Basis Dis. 2017, 1863, 1778–1788. [Google Scholar] [CrossRef]
- Li, C.; Yan, Y.; Shi, Q.; Kong, Y.; Gao, L.; Bao, H.; Li, Y. Recuperating lung decoction attenuates inflammation and oxidation in cigarette smoke-induced COPD in rats via activation of ERK and Nrf2 pathways. Cell Biochem. Funct. 2017, 35, 278–286. [Google Scholar] [CrossRef] [Green Version]
- Lee, K.-H.; Lee, C.-H.; Jeong, J.; Jang, A.-H.; Yoo, C.-G. Neutrophil Elastase Differentially Regulates Interleukin 8 (IL-8) and Vascular Endothelial Growth Factor (VEGF) Production by Cigarette Smoke Extract. J. Biol. Chem. 2015, 290, 28438–28445. [Google Scholar] [CrossRef] [Green Version]
- Ferraro, M.; Di Vincenzo, S.; Dino, P.; Bucchieri, S.; Cipollina, C.; Gjomarkaj, M.; Pace, E. Budesonide, Aclidinium and Formoterol in combination limit inflammaging processes in bronchial epithelial cells exposed to cigarette smoke. Exp. Gerontol. 2019, 118, 78–87. [Google Scholar] [CrossRef]
- Jin, M.; Xue, C.-J.; Wang, Y.; Dong, F.; Peng, Y.-Y.; Zhang, Y.-D.; Zang, B.-X.; Tan, L. Protective Effect of Hydroxysafflor Yellow A on Inflammatory Injury in Chronic Obstructive Pulmonary Disease Rats. Chin. J. Integr. Med. 2019, 25, 750–756. [Google Scholar] [CrossRef]
- Kuo, W.-H.; Chen, J.-H.; Lin, H.-H.; Chen, B.-C.; Hsu, J.-D.; Wang, C.-J. Induction of apoptosis in the lung tissue from rats exposed to cigarette smoke involves p38/JNK MAPK pathway. Chem. Interactions 2005, 155, 31–42. [Google Scholar] [CrossRef]
- Wu, Q.; Di Jiang, D.; Minor, M.; Chu, H.W. Electronic Cigarette Liquid Increases Inflammation and Virus Infection in Primary Human Airway Epithelial Cells. PLoS ONE 2014, 9, e108342. [Google Scholar] [CrossRef] [Green Version]
- Schweitzer, K.S.; Chen, S.; Law, S.; Van Demark, M.; Poirier, C.; Justice, M.J.; Hubbard, W.C.; Kim, E.S.; Lai, X.; Wang, M.; et al. Endothelial disruptive proinflammatory effects of nicotine and e-cigarette vapor exposures. Am. J. Physiol. Cell. Mol. Physiol. 2015, 309, L175–L187. [Google Scholar] [CrossRef] [PubMed]
- Schweitzer, K.S.; Hatoum, H.; Brown, M.B.; Gupta, M.; Justice, M.J.; Beteck, B.; Van Demark, M.; Gu, Y.; Presson, R.G., Jr.; Hubbard, W.C.; et al. Mechanisms of lung endothelial barrier disruption induced by cigarette smoke: Role of oxidative stress and ceramides. Am. J. Physiol. Lung Cell. Mol. Physiol. 2011, 301, L836–L846. [Google Scholar] [CrossRef] [PubMed]
- Nam, Y.J.; Lee, C.S. Protocatechuic acid inhibits Toll-like receptor-4-dependent activation of NF-κB by suppressing activation of the Akt, mTOR, JNK and p38-MAPK. Int. Immunopharmacol. 2018, 55, 272–281. [Google Scholar] [CrossRef] [PubMed]
- Liu, Q.; Li, X.; Li, L.; Xu, Z.; Zhou, J.; Xiao, W. Ginkgolide K protects SH-SY5Y cells against oxygen-glucose deprivation-induced injury by inhibiting the p38 and JNK signaling pathways. Mol. Med. Rep. 2018, 18, 3185–3192. [Google Scholar] [CrossRef] [Green Version]
- Choi, J.H.; Hwang, Y.P.; Jin, S.W.; Lee, G.H.; Kim, H.G.; Han, E.H.; Kim, S.K.; Kang, K.W.; Chung, Y.C.; Jeong, H.G. Suppression of PMA-induced human fibrosarcoma HT-1080 invasion and metastasis by kahweol via inhibiting Akt/JNK1/2/p38 MAPK signal pathway and NF-κB dependent transcriptional activities. Food Chem. Toxicol. 2019, 125, 1–9. [Google Scholar] [CrossRef]
- Li, H.; Mi, Y.; Duan, Z.; Ma, P.; Fan, D. Structural characterization and immunomodulatory activity of a polysaccharide from Eurotium cristatum. Int. J. Biol. Macromol. 2020, 162, 609–617. [Google Scholar] [CrossRef]
- Xie, Z.; Bai, Y.; Chen, G.; Rui, Y.; Chen, D.; Sun, Y.; Zeng, X.; Liu, Z.-H. Modulation of gut homeostasis by exopolysaccharides from Aspergillus cristatus (MK346334), a strain of fungus isolated from Fuzhuan brick tea, contributes to immunomodulatory activity in cyclophosphamide-treated mice. Food Funct. 2020, 11, 10397–10412. [Google Scholar] [CrossRef]
- Liu, J.-Y.; Yang, F.-L.; Lu, C.-P.; Yang, Y.-L.; Wen, C.-L.; Hua, K.-F.; Wu, S.-H. Polysaccharides from Dioscorea batatas Induce Tumor Necrosis Factor-α Secretion via Toll-like Receptor 4-Mediated Protein Kinase Signaling Pathways. J. Agric. Food Chem. 2008, 56, 9892–9898. [Google Scholar] [CrossRef]
- Zhang, P.; Jia, C.; Deng, Y.; Chen, S.; Chen, B.; Yan, S.; Li, J.; Liu, L. Anti-inflammatory prenylbenzaldehyde derivatives isolated from Eurotium cristatum. Phytochemistry 2019, 158, 120–125. [Google Scholar] [CrossRef]
- Aleksunes, L.; Klaassen, C.D. Coordinated Regulation of Hepatic Phase I and II Drug-Metabolizing Genes and Transporters using AhR-, CAR-, PXR-, PPARα-, and Nrf2-Null Mice. Drug Metab. Dispos. 2012, 40, 1366–1379. [Google Scholar] [CrossRef] [PubMed] [Green Version]
- Yen, C.-C.; Liu, Y.-T.; Lin, Y.-J.; Yang, Y.-C.; Chen, C.-C.; Yao, H.-T.; Chen, H.-W.; Lii, C.-K. Bioavailability of the diterpenoid 14-deoxy-11,12-didehydroandrographolide in rats and up-regulation of hepatic drug-metabolizing enzyme and drug transporter expression. Phytomedicine 2019, 61, 152841. [Google Scholar] [CrossRef] [PubMed]
- Rasmussen, M.K.; Daujat-Chavanieu, M.; Gerbal-Chaloin, S. Activation of the aryl hydrocarbon receptor decreases rifampicin-induced CYP3A4 expression in primary human hepatocytes and HepaRG. Toxicol. Lett. 2017, 277, 1–8. [Google Scholar] [CrossRef] [PubMed]
- Lewis, D.F.; Ioannides, C.; Parke, D.V. Cytochromes P450 and species differences in xenobiotic metabolism and activation of carcinogen. Environ. Health Perspect. 1998, 106, 633–641. [Google Scholar] [CrossRef]
- Okamura, M.; Shizu, R.; Hosaka, T.; Sasaki, T.; Yoshinari, K. Possible involvement of the competition for the transcriptional coactivator glucocorticoid receptor-interacting protein 1 in the inflammatory signal-dependent suppression of PXR-mediated CYP3A induction in vitro. Drug Metab. Pharmacokinet. 2019, 34, 272–279. [Google Scholar] [CrossRef]
- Zhang, G.; Liu, M.; Song, M.; Wang, J.; Cai, J.; Lin, C.; Li, Y.; Jin, X.; Shen, C.; Chen, Z.; et al. Patchouli alcohol activates PXR and suppresses the NF-κB-mediated intestinal inflammatory. J. Ethnopharmacol. 2020, 248, 112302. [Google Scholar] [CrossRef] [PubMed]
- Salisbury, R.L.; Sulentic, C.E.W. The AhR and NF-κB/Rel Proteins Mediate the Inhibitory Effect of 2,3,7,8-Tetrachlorodibenzo-p-Dioxin on the 3′ Immunoglobulin Heavy Chain Regulatory Region. Toxicol. Sci. 2015, 148, 443–459. [Google Scholar] [CrossRef] [Green Version]
- Lin, C.-H.; Chou, C.-C.; Lee, Y.-H.; Hung, C.-C. Curcumin Facilitates Aryl Hydrocarbon Receptor Activation to Ameliorate Inflammatory Astrogliosis. Molecules 2022, 27, 2507. [Google Scholar] [CrossRef]
- Vázquez-Gómez, G.; Karasová, M.; Tylichová, Z.; Kabátková, M.; Hampl, A.; Matthews, J.; Neča, J.; Ciganek, M.; Machala, M.; Vondráček, J. Aryl Hydrocarbon Receptor (AhR) Limits the Inflammatory Responses in Human Lung Adenocarcinoma A549 Cells via Interference with NF-κB Signaling. Cells 2022, 11, 707. [Google Scholar] [CrossRef]
- Harkitis, P.; Daskalopoulos, E.P.; Malliou, F.; Lang, M.A.; Marselos, M.; Fotopoulos, A.; Albucharali, G.; Konstandi, M. Dopamine D2-Receptor Antagonists Down-Regulate CYP1A1/2 and CYP1B1 in the Rat Liver. PLoS ONE 2015, 10, e0128708. [Google Scholar] [CrossRef] [Green Version]
- Datta, A.; Flynn, N.R.; Barnette, D.A.; Woeltje, K.F.; Miller, G.P.; Swamidass, S.J. Machine learning liver-injuring drug interactions with non-steroidal anti-inflammatory drugs (NSAIDs) from a retrospective electronic health record (EHR) cohort. PLOS Comput. Biol. 2021, 17, e1009053. [Google Scholar] [CrossRef] [PubMed]









| Physicochemical Components | ECT | ECP |
|---|---|---|
| Tea polyphenols (%) | 14.80 ± 0.22 | 3.40 ± 0.21 * |
| Water extract (%) | 41.55 ± 0.37 | 39.13 ± 1.71 |
| Free amino acid (%) | 3.02 ± 0.02 | 2.62 ± 0.01 * |
| Gallic acid (mg/g) | 13.23 ± 0.66 | 2.14 ± 0.20 * |
| Theobromine (mg/g) | 1.82 ± 0.06 | 1.42 ± 0.32 |
| Theophylline (mg/g) | 0.41 ± 0.12 | 0.08 ± 0.02 * |
| Caffeine (mg/g) | 39.40 ± 1.25 | 5.65 ± 0.208 * |
| EGC (mg/g) | 5.12 ± 0.32 | 2.74 ± 0.10 * |
| C (mg/g) | 6.41 ± 0.15 | 0.17 ± 0.01 * |
| EC (mg/g) | 3.12 ± 0.05 | 0.08 ± 0.01 * |
| EGCG (mg/g) | 9.86 ± 0.17 | 5.39 ± 0.57 * |
| GCG (mg/g) | 7.87 ± 0.23 | 2.27 ± 0.34 * |
| ECG (mg/g) | 1.68 ± 0.11 | 4.89 ± 0.43 * |
| Quercetin (mg/g) | 0.82 ± 0.08 | 0.18 ± 0.09 * |
| Kaempferol (mg/g) | 1.49 ± 0.217 | 0.20 ± 0.04 * |
Publisher’s Note: MDPI stays neutral with regard to jurisdictional claims in published maps and institutional affiliations. |
© 2022 by the authors. Licensee MDPI, Basel, Switzerland. This article is an open access article distributed under the terms and conditions of the Creative Commons Attribution (CC BY) license (https://creativecommons.org/licenses/by/4.0/).
Share and Cite
Xu, S.; Zhou, Y.; Yu, L.; Huang, X.; Huang, J.; Wang, K.; Liu, Z. Protective Effect of Eurotium cristatum Fermented Loose Dark Tea and Eurotium cristatum Particle on MAPK and PXR/AhR Signaling Pathways Induced by Electronic Cigarette Exposure in Mice. Nutrients 2022, 14, 2843. https://doi.org/10.3390/nu14142843
Xu S, Zhou Y, Yu L, Huang X, Huang J, Wang K, Liu Z. Protective Effect of Eurotium cristatum Fermented Loose Dark Tea and Eurotium cristatum Particle on MAPK and PXR/AhR Signaling Pathways Induced by Electronic Cigarette Exposure in Mice. Nutrients. 2022; 14(14):2843. https://doi.org/10.3390/nu14142843
Chicago/Turabian StyleXu, Shuai, Yufei Zhou, Lijun Yu, Xiangxiang Huang, Jianan Huang, Kunbo Wang, and Zhonghua Liu. 2022. "Protective Effect of Eurotium cristatum Fermented Loose Dark Tea and Eurotium cristatum Particle on MAPK and PXR/AhR Signaling Pathways Induced by Electronic Cigarette Exposure in Mice" Nutrients 14, no. 14: 2843. https://doi.org/10.3390/nu14142843
APA StyleXu, S., Zhou, Y., Yu, L., Huang, X., Huang, J., Wang, K., & Liu, Z. (2022). Protective Effect of Eurotium cristatum Fermented Loose Dark Tea and Eurotium cristatum Particle on MAPK and PXR/AhR Signaling Pathways Induced by Electronic Cigarette Exposure in Mice. Nutrients, 14(14), 2843. https://doi.org/10.3390/nu14142843

