Anti-Remodeling Effects of Xanthohumol-Fortified Beer in Pulmonary Arterial Hypertension Mediated by ERK and AKT Inhibition
Abstract
1. Introduction
2. Materials and Methods
2.1. Reagents
2.2. Experimental Design
2.3. Cardiopulmonary Exercise Testing
2.4. Hemodynamic Evaluation
2.5. Sample Collection
2.6. Histology
2.7. Western Blotting
2.8. Statistical Analysis
3. Results
3.1. FB Effects on Morphometrics
3.2. FB Effect on VO2max and Physical Capacity
3.3. FB effect on Pulmonary Remodeling
3.3.1. ERK1/2 and AKT Expression
3.3.2. Pulmonary Apoptosis
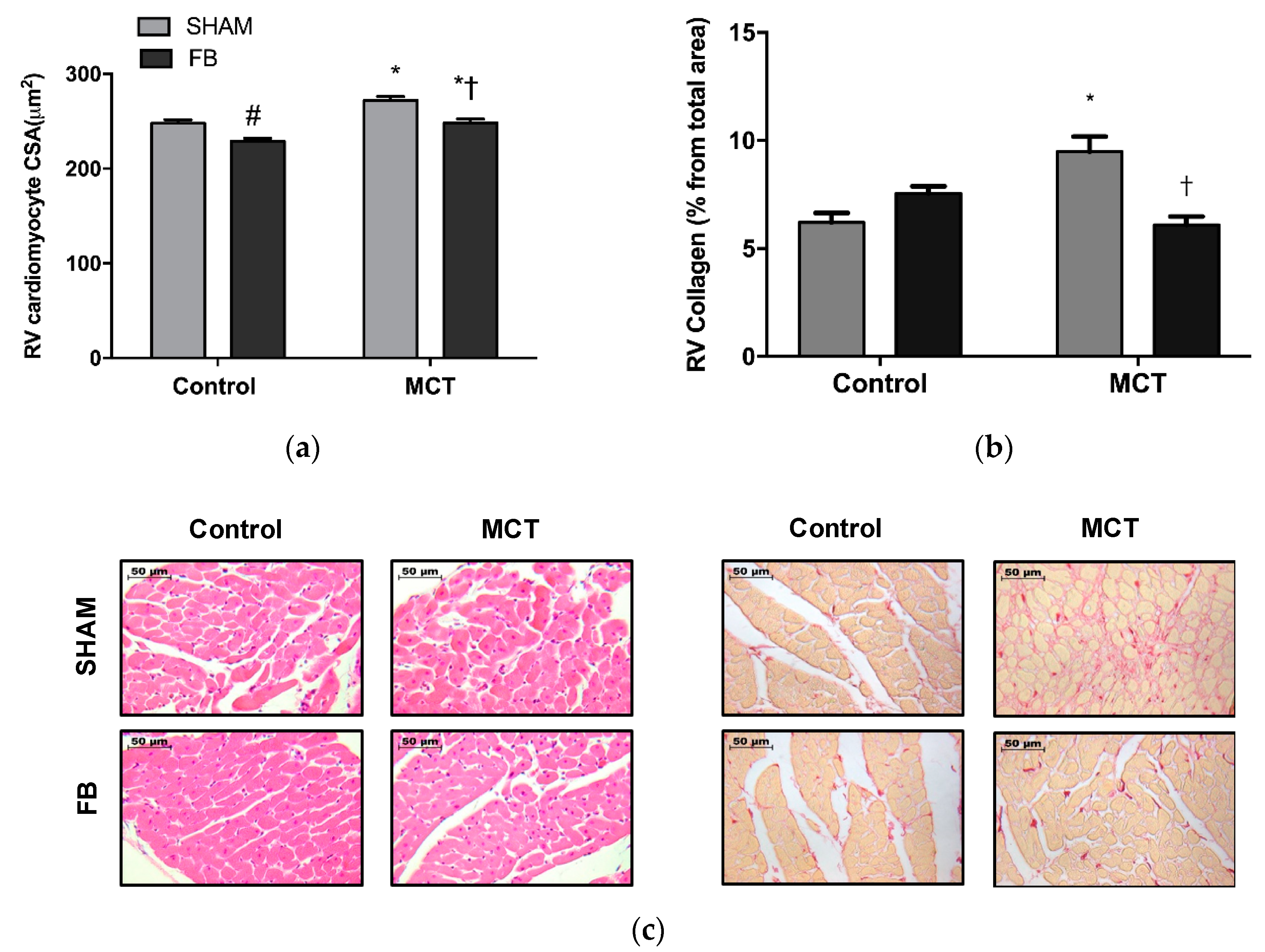
3.4. FB Effect on RV Hemodynamics and Hypertrophic Phenotype
3.5. FB effects on Survival
4. Discussion
5. Conclusions
Supplementary Materials
Author Contributions
Funding
Acknowledgments
Conflicts of Interest
List of Abbreviations:
| ALT | alanine aminotransferase |
| AST | aspartate aminotransferase |
| ALP | alkanine phosphatase |
| BW | Body weight |
| CSA | Cross-sectional area |
| dP/dtmax | Peak rate for pressure rise |
| dP/dtmin | Peak rate for pressure fall |
| Ea | Elastance |
| EDP | End-diastolic pressure |
| EDTA | Ethylenediamine tetraacetic acid |
| EF | Ejection fraction |
| ERK | Extracellular signal-regulated kinase |
| FB | Xanthohumol fortified beer |
| GGT | gamma-glutamyltransferase |
| Gast | Gastrocnemius |
| HE | Hematoxilin-eosin |
| HW | Heart weight |
| L | Lung |
| LV + S | Left ventricle + septum |
| MCT | Monocrotaline |
| PAH | Pulmonary arterial hypertension |
| Pmax | Peak systolic pressure |
| RV | Right ventricle |
| SHAM | Animal drinking 5.2% ethanol |
| Tau | Constant time of isovolumetric pressure decline |
References
- Lourenco, A.P.; Fontoura, D.; Henriques-Coelho, T.; Leite-Moreira, A.F. Current pathophysiological concepts and management of pulmonary hypertension. Int. J. Cardiol. 2012, 155, 350–361. [Google Scholar] [CrossRef] [PubMed]
- Benza, R.L.; Miller, D.P.; Barst, R.J.; Badesch, D.B.; Frost, A.E.; McGoon, M.D. An evaluation of long-term survival from time of diagnosis in pulmonary arterial hypertension from the REVEAL Registry. Chest 2012, 142, 448–456. [Google Scholar] [CrossRef] [PubMed]
- Kuriyama, S.; Shimazu, T.; Ohmori, K.; Kikuchi, N.; Nakaya, N.; Nishino, Y.; Tsubono, Y.; Tsuji, I. Green tea consumption and mortality due to cardiovascular disease, cancer, and all causes in Japan: The Ohsaki study. JAMA 2006, 296, 1255–1265. [Google Scholar] [CrossRef] [PubMed]
- Stoclet, J.-C.; Chataigneau, T.; Ndiaye, M.; Oak, M.-H.; El Bedoui, J.; Chataigneau, M.; Schini-Kerth, V.B. Vascular protection by dietary polyphenols. Eur. J. Pharmacol. 2004, 500, 299–313. [Google Scholar] [CrossRef]
- Kondo, K. Beer and health: Preventive effects of beer components on lifestyle-related diseases. Biofactors 2004, 22, 303–310. [Google Scholar] [CrossRef] [PubMed]
- Kanuri, G.; Wagnerberger, S.; Landmann, M.; Prigl, E.; Hellerbrand, C.; Bischoff, S.C.; Bergheim, I. Effect of acute beer ingestion on the liver: Studies in female mice. Eur. J. Nutr. 2015, 54, 465–474. [Google Scholar] [CrossRef] [PubMed]
- Taylor, A.W.; Barofsky, E.; Kennedy, J.A.; Deinzer, M.L. Hop (Humulus lupulus L.) proanthocyanidins characterized by mass spectrometry, acid catalysis, and gel permeation chromatography. J. Agric. Food Chem. 2003, 51, 4101–4110. [Google Scholar] [CrossRef]
- Negrao, R.; Costa, R.; Duarte, D.; Taveira Gomes, T.; Mendanha, M.; Moura, L.; Vasques, L.; Azevedo, I.; Soares, R. Angiogenesis and inflammation signaling are targets of beer polyphenols on vascular cells. J. Cell. Biochem. 2010, 111, 1270–1279. [Google Scholar] [CrossRef]
- Amararathna, M.; Johnston, M.R.; Rupasinghe, H.P. Plant Polyphenols as Chemopreventive Agents for Lung Cancer. Int. J. Mol. Sci. 2016, 17, 1352. [Google Scholar] [CrossRef]
- Laemmli, U.K. Cleavage of structural proteins during the assembly of the head of bacteriophage T4. Nature 1970, 227, 680–685. [Google Scholar] [CrossRef]
- Sakao, S.; Tatsumi, K. Vascular remodeling in pulmonary arterial hypertension: Multiple cancer-like pathways and possible treatment modalities. Int. J. Cardiol. 2011, 147, 4–12. [Google Scholar] [CrossRef] [PubMed]
- Chen, D.-L.; Hu, Z.-Q.; Zheng, X.-F.; Wang, X.-Y.; Xu, Y.-Z.; Li, W.-Q.; Fang, H.-S.; Kan, L.; Wang, S.-Y. EDAG-1 promotes proliferation and invasion of human thyroid cancer cells by activating MAPK/Erk and AKT signal pathways. Cancer Biol. Ther. 2016, 17, 414–421. [Google Scholar] [CrossRef] [PubMed]
- Jiang, X.; Li, T.; Liu, R.H. 2α-Hydroxyursolic Acid Inhibited Cell Proliferation and Induced Apoptosis in MDA-MB-231 Human Breast Cancer Cells through the p38/MAPK Signal Transduction Pathway. J. Agric. Food Chem. 2016, 64, 1806–1816. [Google Scholar] [CrossRef] [PubMed]
- Kovacs, L.; Han, W.; Rafikov, R.; Bagi, Z.; Offermanns, S.; Saido, T.C.; Black, S.M.; Su, Y. Activation of Calpain-2 by Mediators in Pulmonary Vascular Remodeling of Pulmonary Arterial Hypertension. Am. J. Respir. Cell Mol. Biol. 2015, 54, 384–393. [Google Scholar] [CrossRef] [PubMed]
- Slawinska-Brych, A.; Krol, S.K.; Dmoszynska-Graniczka, M.; Zdzisinska, B.; Stepulak, A.; Gagos, M. Xanthohumol inhibits cell cycle progression and proliferation of larynx cancer cells in vitro. Chem. Biol. Interact. 2015, 240, 110–118. [Google Scholar] [CrossRef] [PubMed]
- Slawinska-Brych, A.; Zdzisinska, B.; Dmoszynska-Graniczka, M.; Jeleniewicz, W.; Kurzepa, J.; Gagos, M.; Stepulak, A. Xanthohumol inhibits the extracellular signal regulated kinase (ERK) signalling pathway and suppresses cell growth of lung adenocarcinoma cells. Toxicology 2016, 357–358, 65–73. [Google Scholar] [CrossRef] [PubMed]
- Saikumar, P.; Dong, Z.; Mikhailov, V.; Denton, M.; Weinberg, J.M.; Venkatachalam, M.A. Apoptosis: Definition, mechanisms, and relevance to disease. Am. J. Med. 1999, 107, 489–506. [Google Scholar] [CrossRef]
- Nicholson, K.M.; Anderson, N.G. The protein kinase B/Akt signalling pathway in human malignancy. Cell Signal. 2002, 14, 381–395. [Google Scholar] [CrossRef]
- Garat, C.V.; Fankell, D.; Erickson, P.F.; Reusch, J.E.; Bauer, N.N.; McMurtry, I.F.; Klemm, D.J. Platelet-derived growth factor BB induces nuclear export and proteasomal degradation of CREB via phosphatidylinositol 3-kinase/Akt signaling in pulmonary artery smooth muscle cells. Mol. Cell. Biol. 2006, 26, 4934–4948. [Google Scholar] [CrossRef]
- Opel, D.; Naumann, I.; Schneider, M.; Bertele, D.; Debatin, K.M.; Fulda, S. Targeting aberrant PI3K/Akt activation by PI103 restores sensitivity to TRAIL-induced apoptosis in neuroblastoma. Clin. Cancer Res. Off. J. Am. Assoc. Cancer Res. 2011, 17, 3233–3247. [Google Scholar] [CrossRef]
- Huang, J.; Wolk, J.H.; Gewitz, M.H.; Mathew, R. Progressive endothelial cell damage in an inflammatory model of pulmonary hypertension. Exp. Lung Res. 2010, 36, 57–66. [Google Scholar] [CrossRef] [PubMed]
- Pei, Y.; Ma, P.; Wang, X.; Zhang, W.; Zhang, X.; Zheng, P.; Yan, L.; Xu, Q.; Dai, G. Rosuvastatin attenuates monocrotaline-induced pulmonary hypertension via regulation of Akt/eNOS signaling and asymmetric dimethylarginine metabolism. Eur. J. Pharm. 2011, 666, 165–172. [Google Scholar] [CrossRef] [PubMed]
- Gallo, C.; Dallaglio, K.; Bassani, B.; Rossi, T.; Rossello, A.; Noonan, D.M.; D’Uva, G.; Bruno, A.; Albini, A. Hop derived flavonoid xanthohumol inhibits endothelial cell functions via AMPK activation. Oncotarget 2016. [Google Scholar] [CrossRef] [PubMed]
- Albini, A.; Dell’Eva, R.; Vene, R.; Ferrari, N.; Buhler, D.R.; Noonan, D.M.; Fassina, G. Mechanisms of the antiangiogenic activity by the hop flavonoid xanthohumol: NF-kappaB and Akt as targets. FASEB J. 2006, 20, 527–529. [Google Scholar] [CrossRef] [PubMed]
- Manning, B.D.; Cantley, L.C. AKT/PKB signaling: Navigating downstream. Cell 2007, 129, 1261–1274. [Google Scholar] [CrossRef] [PubMed]
- Qian, J.; Zou, Y.; Rahman, J.S.; Lu, B.; Massion, P.P. Synergy between phosphatidylinositol 3-kinase/Akt pathway and Bcl-xL in the control of apoptosis in adenocarcinoma cells of the lung. Mol. Cancer 2009, 8, 101–109. [Google Scholar] [CrossRef] [PubMed]
- Jiang, W.; Zhao, S.; Xu, L.; Lu, Y.; Lu, Z.; Chen, C.; Ni, J.; Wan, R.; Yang, L. The inhibitory effects of xanthohumol, a prenylated chalcone derived from hops, on cell growth and tumorigenesis in human pancreatic cancer. Biomed. Pharmacother. Biomed. Pharmacother. 2015, 73, 40–47. [Google Scholar] [CrossRef]
- Klosek, M.; Mertas, A.; Krol, W.; Jaworska, D.; Szymszal, J.; Szliszka, E. Tumor Necrosis Factor-Related Apoptosis-Inducing Ligand-Induced Apoptosis in Prostate Cancer Cells after Treatment with Xanthohumol-A Natural Compound Present in Humulus lupulus L. Int. J. Mol. Sci. 2016, 17, 837. [Google Scholar] [CrossRef]
- Delmulle, L.; Vanden Berghe, T.; Keukeleire, D.D.; Vandenabeele, P. Treatment of PC-3 and DU145 prostate cancer cells by prenylflavonoids from hop (Humulus lupulus L.) induces a caspase-independent form of cell death. Phytother. Res. 2008, 22, 197–203. [Google Scholar] [CrossRef]
- Yang, D.L.; Zhang, H.G.; Xu, Y.L.; Gao, Y.H.; Yang, X.J.; Hao, X.Q.; Li, X.H. Resveratrol inhibits right ventricular hypertrophy induced by monocrotaline in rats. Clin. Exp. Pharmacol. Physiol. 2010, 37, 150–155. [Google Scholar] [CrossRef]
- Csiszar, A.; Labinskyy, N.; Olson, S.; Pinto, J.T.; Gupte, S.; Wu, J.M.; Hu, F.; Ballabh, P.; Podlutsky, A.; Losonczy, G.; et al. Resveratrol prevents monocrotaline-induced pulmonary hypertension in rats. Hypertension 2009, 54, 668–675. [Google Scholar] [CrossRef] [PubMed]
- Paffett, M.L.; Lucas, S.N.; Campen, M.J. Resveratrol reverses monocrotaline-induced pulmonary vascular and cardiac dysfunction: A potential role for atrogin-1 in smooth muscle. Vasc. Pharmacol. 2012, 56, 64–73. [Google Scholar] [CrossRef] [PubMed]
- Wilson, D.N.; Schacht, S.E.; Al-Nakkash, L.; Babu, J.R.; Broderick, T.L. Resveratrol prevents pulmonary trunk remodeling but not right ventricular hypertrophy in monocrotaline-induced pulmonary hypertension. Pathophysiol. Off. J. Int. Soc. Pathophysiol. ISP 2016. [Google Scholar] [CrossRef] [PubMed]
- Shimojo, N.; Jesmin, S.; Zaedi, S.; Otsuki, T.; Maeda, S.; Yamaguchi, N.; Aonuma, K.; Hattori, Y.; Miyauchi, T. Contributory role of VEGF overexpression in endothelin-1-induced cardiomyocyte hypertrophy. Am. J. Physiology. Heart Circ. Physiol. 2007, 293, H474–H481. [Google Scholar] [CrossRef] [PubMed]
- Meadows, K.N.; Bryant, P.; Pumiglia, K. Vascular endothelial growth factor induction of the angiogenic phenotype requires Ras activation. J. Biol. Chem. 2001, 276, 49289–49298. [Google Scholar] [CrossRef] [PubMed]
- Zhou, Y.; Bourcy, K.; Kang, Y.J. Copper-induced regression of cardiomyocyte hypertrophy is associated with enhanced vascular endothelial growth factor receptor-1 signalling pathway. Cardiovasc. Res. 2009, 84, 54–63. [Google Scholar] [CrossRef] [PubMed]
- Takahashi, T.; Ueno, H.; Shibuya, M. VEGF activates protein kinase C-dependent, but Ras-independent Raf-MEK-MAP kinase pathway for DNA synthesis in primary endothelial cells. Oncogene 1999, 18, 2221–2230. [Google Scholar] [CrossRef]
- Negrao, R.; Costa, R.; Duarte, D.; Gomes, T.T.; Coelho, P.; Guimaraes, J.T.; Guardao, L.; Azevedo, I.; Soares, R. Xanthohumol-supplemented beer modulates angiogenesis and inflammation in a skin wound healing model. Involvement of local adipocytes. J. Cell. Biochem. 2012, 113, 100–109. [Google Scholar] [CrossRef]
- Negrao, R.; Duarte, D.; Costa, R.; Soares, R. Isoxanthohumol modulates angiogenesis and inflammation via vascular endothelial growth factor receptor, tumor necrosis factor alpha and nuclear factor kappa B pathways. Biofactors 2013, 39, 608–622. [Google Scholar] [CrossRef]
- Desai, S.A.; Channick, R.N. Exercise in patients with pulmonary arterial hypertension. J. Cardiopulm. Rehabil. Prev. 2008, 28, 12–16. [Google Scholar] [CrossRef]
- Handoko, M.L.; de Man, F.S.; Happé, C.M.; Schalij, I.; Musters, R.J.P.; Westerhof, N.; Postmus, P.E.; Paulus, W.J.; van der Laarse, W.J.; Vonk-Noordegraaf, A. Opposite Effects of Training in Rats With Stable and Progressive Pulmonary Hypertension. Circulation 2009, 120, 42–49. [Google Scholar] [CrossRef] [PubMed]
- Arena, R. Exercise testing and training in chronic lung disease and pulmonary arterial hypertension. Prog. Cardiovasc. Dis. 2011, 53, 454–463. [Google Scholar] [CrossRef] [PubMed]
- Batt, J.; Ahmed, S.S.; Correa, J.; Bain, A.; Granton, J. Skeletal Muscle Dysfunction in Idiopathic Pulmonary Arterial Hypertension. Am. J. Respir. Cell Mol. Biol. 2013, 50, 74–86. [Google Scholar] [CrossRef] [PubMed]








| Control | MCT | |||
|---|---|---|---|---|
| SHAM (n = 10) | FB (n = 10) | SHAM (n = 12) | FB (n = 11) | |
| BW (kg) | 0.305 ± 0.0 | 0.305 ± 0.0 | 0.250 ± 0.0 ** | 0.260 ± 0.0 ** |
| HW (g) | 0.898 ± 0.0 | 0.861 ± 0.0 | 0.879 ± 0.0 | 0.863 ± 0.0 |
| HW/Tibia (g/mm) | 0.027 ± 0.0 | 0.025 ± 0.0 | 0.026 ± 0.0 | 0.025 ± 0.0 |
| RV (g) | 0.167 ± 0.0 | 0.165 ± 0.0 | 0.239 ± 0.0 * | 0.208 ± 0.0 |
| RV/Tibia (g/mm) | 0.005 ± 0.0 | 0.005 ± 0.0 | 0.007 ± 0.0 * | 0.006 ± 0.0 † |
| RV/LV+S (g/g) | 0.309 ± 0.1 | 0.287 ± 0.0 | 0.510 ± 0.1 * | 0.403 ± 0.0 *† |
| LV+S (g) | 0.586 ± 0.0 | 0.577 ± 0.0 | 0.491 ± 0.0 * | 0.481 ± 0.0 * |
| LV+S/Tibia (g/mm) | 0.017 ± 0.0 | 0.017 ± 0.0 | 0.015 ± 0.0 * | 0.014 ± 0.0 * |
| L (g) | 1.323 ± 0.1 | 1.323 ± 0.1 | 1.888 ± 0.1* | 1.603 ± 0.1 *† |
| L/Tibia (g/mm) | 0.042 ± 0.0 | 0.035 ± 0.0 | 0.056 ± 0.0 * | 0.046 ± 0.0 |
| Gast (g) | 1.921 ± 0.1 | 2.021 ± 0.1 | 1.554 ± 0.0 * | 1.587 ± 0.0 * |
| Gast/Tibia (g/mm) | 0.055 ± 0.0 | 0.056 ± 0.0 | 0.047 ± 0.0 * | 0.046 ± 0.0 * |
| Control | MCT | |||
|---|---|---|---|---|
| SHAM (n = 8) | FB (n = 8) | SHAM (n = 6) | FB (n = 9) | |
| Pmax (mmHg) | 27.5 ± 1.5 | 29.6 ± 1.6 | 62.7 ± 5.5 * | 50.2 ± 3.9 *† |
| dP/dtmax (mmHg/s) | 1798 ± 222 | 1877 ± 190 | 3133 ± 358 * | 2578 ± 104 |
| EF (%) | 74.0 ± 1.6 | 69.9 ± 7.9 | 39.9 ± 3.6 * | 55.2 ± 6.0 |
| EDP(mmHg) | 2.1 ± 0.2 | 2.3 ± 0.9 | 4.6 ± 0.7 * | 3.6 ± 0.4 |
| dP/dtmin (mmHg/s) | −1472 ± 84 | −1693 ± 174 | −3289 ± 528 * | −2671 ± 191 |
| Tau (ms) | 8.8 ± 0.8 | 8.9 ± 1.1 | 11.5 ± 1.4 | 9.4 ± 0.7 |
© 2019 by the authors. Licensee MDPI, Basel, Switzerland. This article is an open access article distributed under the terms and conditions of the Creative Commons Attribution (CC BY) license (http://creativecommons.org/licenses/by/4.0/).
Share and Cite
Silva, A.F.; Faria-Costa, G.; Sousa-Nunes, F.; Santos, M.F.; Ferreira-Pinto, M.J.; Duarte, D.; Rodrigues, I.; Tiago Guimarães, J.; Leite-Moreira, A.; Moreira-Gonçalves, D.; et al. Anti-Remodeling Effects of Xanthohumol-Fortified Beer in Pulmonary Arterial Hypertension Mediated by ERK and AKT Inhibition. Nutrients 2019, 11, 583. https://doi.org/10.3390/nu11030583
Silva AF, Faria-Costa G, Sousa-Nunes F, Santos MF, Ferreira-Pinto MJ, Duarte D, Rodrigues I, Tiago Guimarães J, Leite-Moreira A, Moreira-Gonçalves D, et al. Anti-Remodeling Effects of Xanthohumol-Fortified Beer in Pulmonary Arterial Hypertension Mediated by ERK and AKT Inhibition. Nutrients. 2019; 11(3):583. https://doi.org/10.3390/nu11030583
Chicago/Turabian StyleSilva, Ana Filipa, Gabriel Faria-Costa, Fábio Sousa-Nunes, Manuel Filipe Santos, Manuel João Ferreira-Pinto, Delfim Duarte, Ilda Rodrigues, João Tiago Guimarães, Adelino Leite-Moreira, Daniel Moreira-Gonçalves, and et al. 2019. "Anti-Remodeling Effects of Xanthohumol-Fortified Beer in Pulmonary Arterial Hypertension Mediated by ERK and AKT Inhibition" Nutrients 11, no. 3: 583. https://doi.org/10.3390/nu11030583
APA StyleSilva, A. F., Faria-Costa, G., Sousa-Nunes, F., Santos, M. F., Ferreira-Pinto, M. J., Duarte, D., Rodrigues, I., Tiago Guimarães, J., Leite-Moreira, A., Moreira-Gonçalves, D., Henriques-Coelho, T., & Negrão, R. (2019). Anti-Remodeling Effects of Xanthohumol-Fortified Beer in Pulmonary Arterial Hypertension Mediated by ERK and AKT Inhibition. Nutrients, 11(3), 583. https://doi.org/10.3390/nu11030583

